


ACTA de l'Assemblea General Ordinária celebrada el 2 d'abril del 1990 al local de la SOCIETAT CATALANA DE MICOLOGIA del Passeig de Carles I de Barcelona. convocatória a les 19 hores
ACT A de l'A ssemblea Gener al Ordinària celebrada el 2 d'ab ril del 19 90 al local de la SOCI ETAT CATALANA DE MI COLOG IA del Passeig de Carles I de Barce lona.
1. a convocatòria a les 19 hores
2.a convocatória a les 19.30 hores
2.a convocatòria a les 19 .30 hores
Assist ents : 31 socis.
De legacions de vot vàlides : 24
Assistents: 31 socis. Delegacions de vot válides: 24
ORDRE DEL DIA
ORDRE DEL DIA
LECTURA I APROVACIÓ DE L'ACTA DE LA DARRERA ASSEMBLEA. Es llegeix l'acta i s'aprova sense esmenes.
1. - LE CTURA I AP ROVACI Ó DE L' ACTA DE LA DARRERA ASSEMBLEA. Es llegeix l' acta i s' aprova sense esmenes.
INFORME DE SECRETARIA. ADMISSIÓ DE NOUS SOCIS. D'acord amb els Estatuts es llegeix el nom i cognoms dels nous associats donats d'alta durant el passat exercici i en no haver-hi cap objecció se'n formalitza l'admissió.
2.-INFORME DE SE CRETA RIA. ADMISSI Ó DE NOUS SOCIS. D'a cord amb els Estatuts es llegeix el nom i cognoms dels nous associats donats d'a lta durant el pas sat ex ercici i en no haver-hi cap obj ecció se'n formalitza l' admissió.
Seguidament el Secretara dóna el resum del moviment de socis des de la darrera assemblea:
Segui dament el Secretari dóna el resum del moviment de socis des de la darrera assemblea:
Altes de socis nu me raris
Altes de socis numeraris 17
Altes de socis adherits
Altes d'en titats
Altes de socis adherits O
Altes d'entitats O
Baixes de socis num eraris
TOTAL socis inscrits 17 O O 3 242
Baixes de socis numeraris 3
TOTAL socis inscrits 242

Manquen les baixes que, segons els Estatuts, s'haurien de produir pel fet de deure més d'una quota peró a causa de la reestructuració de Tresoreria, aquesta decisió s'ajorna per al proper exercici.
Manquen les baixes que , segons els Estatuts , s' haurien de produir pel fet de deu re més d' una quota pe rò a causa de la reestructuració de Tresoreri a, aques ta decisió s'ajo rna per al proper ex ercici
E s co mu niquen a l' A ssemb l ea les diverses man ifestacions micològiques que tindran lloc durant el cur s de l' any, de les qu als s'ha rebut noti ficació
Es comuniquen a l'Assemblea les diverses manifestacions micológiques que tindran lloc durant el curs de l'any, de les quals s'ha rebut notificació.
3.- INFORME ECON ÒMIC. El Tresorer Sr. Castellón informa que s' està passant d'un sistema comptable de pagaments-i ngressos a un altre de patrimoni al, per tal d' anar inc orporant
3.— INFORME ECONÓMIC. El Tresorer Sr. Castellón informa que s'está passant d'un sistema comptable de pagaments-ingressos a un altre de patrimonial, per tal d'anar incorporant
4

Butll. Soc. Catalana Micol. 14-15 3-4 Barcelona 1991
després a la comptabilitat els diversos actius de la Societat, fins a establir una valorac ió actualitzada de tot el patrimoni, que pe rmeti el se guiment econ òmic del seu conju nt.
després a la comptabilitat els diversos actius de la Societat, fins a establir una valoració actualitzada de tot el patrimoni, que permeti el seguiment económic del seu conjunt.
Seg uid ament dóna les dades de tots els concep tes comptables, que es resume ixen en un ACTIU TOTAL de 8. 222.091 ptes . i un PASSIU TOTAL de 7.16 0. 248 ptes .
Seguidament dóna les dades de tots els conceptes comptables, que es resumeixen en un ACTIU TOTAL de 8.222.091 ptes. i un PASSIU TOTAL de 7.160.248 ptes.
El Tresorer comun ica a l' Asse mblea que està a la seva disposició per donar tota mena d'ac lariments sobre els comptes de la Societat
El Tresorer comunica a l'Assemblea que está a la seva disposició per donar tota mena d'aclariments sobre els comptes de la Societat.
A sol· licitud d'u n dels assistents es comenta el deute per quotes inpagades i el procediment de notificacions als afectats abans de dona r-los definitivament de baixa com a socis
A sol•licitud d'un dels assistents es comenta el deute per quotes inpagades i el procediment de notificacions als afectats abans de donar-los definitivament de baixa com a socis.
També fa un resum de l'import de les subvencions rebudes provinents en la seva majoria de la CAIXA DE BARCELONA, en recolzament de les EDICIONS ESPECIALS de les quals cobreix el 50 % de l'import de l'edició. El President Sr. Mayoral destaca les excel•lents relacions existents amb aquesta entitat bancária.
També fa un resum de l'import de les subve ncions rebudes provinents en la seva maj or ia de la CAIXA DE BARCELO NA, en re colzament de les EDICIONS ESPECIALS de les quals cobreix el 50 % de l'imp ort de l'e dició. El President Sr. Ma yoral destaca les excel· lents relacions existents amb aques ta entitat ban cària .
El Sr. Rocabruna passa seguidament a comentar la situació actual de les publicacions de la Societat, tant des del punt de vista de les col•laboracions que necessiten, com de l'aspecte comercial i de suport económic de la Societat que suponen, així com les noves orientacions sobre el seu contingut i les perspectives de futur que s'intueixen. També es remarca la importáncia que tenen en l'intercanvi de publicacions amb altres societats micológiques i la seva incidéncia en el prestigi que la Societat va adquirint.
El Sr. Rocabruna passa segu idament a comentar la situació actual de les publicacions de la Soci etat, tant des del punt de vista de les co l· labo racions que nec essiten, com de l'a specte comercial i de sup ort econòm ic de la Societat que suponen, així com les noves orientacions sobre el seu contingut i les pe rspe ctiv es de futur que s' int ueixen. També es remarca la importància que tenen en l'intercanvi de publicacions amb altres societats micològiques i la seva incidència en el prestigi que la Societat va adq uirint.
Es comenta la possibilitat de començar a preparar un llibre que reculli les espèc ies ja publicades dels BOLETS DE CATALUNYA, però en general es considera que potser és encara una mica massa prematur engegar aqu esta iniciativa.
Es comenta la possibilitat de comentar a preparar un 'libre que reculli les espécies ja publicades dels BOLETS DE CATALUNYA, peró en general es considera que potser és encara una mica massa prematur engegar aquesta iniciativa.
INFORME DE BIBLIOTECA I D'INTERCANVI DE PUBLICACIONS. El vocal Sr. Giné informa de les tasques més remarcables dutes a terme en aquest darrer any com són, entre d'altres, l'establiment de nous contactes d'intercanvi amb diverses societats d'Espanya, Europa i América i el control dels llibres de la Biblioteca. Aprofita per agrair l'ajut rebut de Montserrat Aguasca i de M.a Teresa Gordi en les tasques de classificació i arxiu de les publicacions, revistes i articles que es van rebent.
4. - INFORME DE BIBL IOTECA I D' INTERCANVI DE PUBLICACION S. El vocal Sr. Giné informa de les tasques més rem arcables dutes a terme en aque st darrer any com són , entre d'altres, l'es tablim ent de nous contactes d' intercanv i amb diverses societats d'E spanya, Europa i Am èrica i el control dels llibres de la Biblioteca Aprofita per agraïr l'ajut rebut de Mo ntserrat Aguasca i de M.a Teresa Gordi en les tasques de classificació i arxiu de les publicacion s, re vistes i articles que es van rebent
La Presid ènc ia sol· licitada als vocals de Biblioteca que, aprofitant la bona situació econ òmica de la Societat, es compr in més llib res, espe cialment monografie s, i cita les més importants de les que ja es disposa Remarca també l'e sp ecial protecció que cal donar a aque stes publicaci ons, tant pel seu valor econ òmic com micològic.
La Presidéncia sol licitada als vocals de Biblioteca que, aprofitant la bona situació económica de la Societat, es comprin més llibres, especialment monografies, i cita les més importants de les que ja es disposa. Remarca també l'especial protecció que cal donar a aquestes publicacions, tant pel seu valor económic com micológic.
El Sr. Mayoral comunica que, atés que la Societat está entrant en el món informátic, es posa a disposició de tots els socis interessats en aquest tema i que ja hi estan treballant, per actuar com a coordinador i augmentar-ne així l'efectivitat en benefici de tothom.
El Sr. Ma yoral com unica que, atès que la Societat està entrant en el món informàtic, es posa a disposició de tots els socis in teress ats en aquest tema i que ja hi estan treb allant, per actuar com a coordinador i augm entar-ne així l'efe ctivitat en benefici de tothom .
5.- PRECS I SUGGERI ME NTS. El Vice-president Sr. Rocabruna demana si fóra possible posar a disposició dels socis els re actius i colorants bàsics per a estudi s microscòpics i macr oscòpics, tant en el local de Carles I com a casa seva. El Sr. Llistosella es posa a la seva disposició per col ·laborar en la prep aració dels productes.
PRECS I SUGGERIMENTS. El Vice-president Sr. Rocabruna demana si fóra possible posar a disposició dels socis els reactius i colorants básics per a estudis microscópics i macroscópics, tant en el local de Carles I com a casa seva. El Sr. Llistosella es posa a la seva disposició per col-laborar en la preparació dels productes.
El Sr. Jordi Ma rtí proposa la celebr ació d'u n curset de microscòpia S'en comenten les car acterístiq ues que haur ia de tenir i el Sr. Llistosella s'o fereix per gestionar la possibilitat de poder-lo dur a terme a les au les de la Fac ultat de Biologia utilitzant els microscopis de què disposa No have nt-hi més assumptes a tractar, es dóna per acabada l'As semblea a les 21 .30 hores.
El Sr. Jordi Martí proposa la celebració d'un curset de microscópia. S'en comenten les característiques que hauria de tenir i el Sr. Llistosella s'ofereix per gestionar la possibilitat de poder-lo dur a terme a les aules de la Facultat de Biologia utilitzant els microscopis de qué disposa. No havent-hi més assumptes a tractar, es dóna per acabada l'Assemblea a les 21.30 hores.
EL SECRETARI GENERAL: Ramon Nualart
EL SECRETARI GENERAL: Ramo n Nu alart

SECRETARIA — Moviment de socis
SECRETARIA - Moviment de socis
Ramon
Ramon Nualart
Variacions enreg istrades en el llibre de socis entre les assemblees ordinàries de 19 89 i 1991
Variacions enregistrades en el llibre de socis entre les assemblees ordináries de 1989 i 1991
ALTES
ALTES
Soci Núm. Cognoms, nom — AdreÇa — Teléfon
Soci Núm. Cogno ms, nom - Adreça - Telèfon
272 BURGUETE GENOVÉS, Alfredo
272 BURGUETE GENOV É S, Alfredo
C/. Les Parres, 12 baix — 12006 BORRIOL (Castelló)
CI. Les Parre s, 12 baix - 12 006 BORRIOL (Cast elló)
Tel. (9 64) 22 85 04
Tel. (964) 22 85 04
273 SÁNCHEZ RODRÍGUEZ, Juan Antonio
27 3 S A NCHEZ RODR Í GUEZ, Juan Anto nio
C/. Esla, 10 - 7.° L — 24010 LEÓN
CI. Esla, 10 - 7.° L - 240 10 LE Ó N
Tel. (987) 23 64 92
Tel. (98 7) 23 64 92
274 MARTÍNEZ MÁS, Joan VicenQ
27 4 MART Í NEZ M A s, Joan Vicenç
CI. Villarroel, 79 - 3r. 1. a - 08 011 BARCELONA
C/. Villarroel, 79 - 3r. 1.a — 08011 BARCELONA
Tel. (93) 253 06 33
Tel. (93) 253 06 33
27 5 GUERRI S A NCHEZ, Bernat
275 GUERRI SÁNCHEZ, Bernat
CI. Peñ íscola , 6 - 9è 4.a - L' HOSPITALET DE LLOB REGAT
C/. Periíscola, 6 - 9é 4.a — L'HOSPITALET DE LLOBREGAT
Tel. (93) 437 83 99
Tel. (93) 43 7 83 99
276 PARERA DOMENECH, Toni
27 6 PARERA DOMENECH, Toni
Pi i Margall, 85 baixos — 08224 TERRASSA
Pi i Ma rgall, 85 baixos - 08224 TERRASSA
Tel. (93) 785 73 37
Tel. (93) 785 73 37
277 MORANCHO ROVIRA, Manuel
277 MORANCHO ROVIRA, Manuel
Pça. Ma raga ll, 14 - 4t 2.a - 08027 BARCELONA
Na. Maragall, 14 - 4t. 2.' — 08027 BARCELONA
Tel. (39) 325 11 73
Tel. (39) 325 11 73
278 PRATS CANALES, J. Víctor
278 PRATS CANALES, J. Víctor
C/. Mayor, 10 — 22450 CAMPO (Huesca)
CI. Ma or 10 - 22 450 CAMPO (H ues ca)
Tel. (974) 55 00 47
Tel. (9 74) 55 00 47
279 ZAMORA ANGLADA, Josep
279 ZAMORA ANGLADA, Josep
C/. Clot, 187 - 6ó. 2.' — 08027 BARCELONA
CI. Clot, 187 - 6è. 2.a - 08027 BARCELONA

Tel. (93) 358 07 84 6 Butll. Soc. Catalana Micol. 14-15 5-9 Barcelona 1991
Tels. (93) 351 17 35 - (93) 848 71 45
Tels. (93) 351 17 35 - (93) 848 71 45
280 MI RATS i LLIGONYA, Josep
280 MIRATS i LLIGONYA, Josep
Cj. Santaló, 15 6 - 3r. C - 0802 1 BARCELONA
C/. Santaló, 156 - 3r. C — 08021 BARCELONA
Tel. (93) 201 19 59
Tel. (93) 201 19 59
281 ORFILA SINTES, Florian
28 1 ORFILA SINTES, Florian
C/. Molí, 1 - 2n. 1.a — 07701 MAÓ (Baleares)
Cj. Molí, 1 - 2n . 1. a - 07701 MA Ó (Baleares)
Tel. (9 71) 36 58 31
Tel. (971) 36 58 31
282 TRAMA ZA YGUES GONZ À LEZ, Valentín
282 TRAMAZAYGUES GONZÁLEZ, Valentín
C/. St. Esteve, 6 — 17131 RUPIÁ (Girona)
Cj. St. Est eve, 6 - 17 131 RUPI À (Girona)
Tel. (972) 64 22 01
Tel. (972) 64 22 01
283 SAURI MASÓ, Lluís
283 SAURI MAS Ó , Lluís
CI. Consellers, 28 - 17 240 LL AGOSTERA (Girona)
C/. Consellers, 28 — 17240 LLAGOSTERA (Girona)
Tel. (972) 83 03 50
Tel. (972) 83 03 50
284 SANTA MAR Í A DEL CAMPO, Sergi
284 SANTAMARÍA DEL CAMPO, Sergi
Cj. Hedilla, 97 - 1r. 3.a - 0803 1 BARCELONA
C/. Hedilla, 97 - 1r. 3.' — 08031 BARCELONA
Tel. (93) 42 7 36 10
Tel. (93) 427 36 10
285 ESTANYOL i DUOCASTELLA, Sergi
285 ESTANYOL i DUOCAST ELLA, Sergi
C/. Mauritánia, 28 - B 5é. 2.' — 08206 SABADELL
Cj. Ma uritània, 28 -B 5è. 2.a - 08206 SABADELL
Tel. (93) 717 76 99
Tel. (93) 717 76 99
286 CLARET BARGALL Ó , Josep
286 CLARET BARGALLÓ, Josep
Gran Via de les C.C., 392 - 5é. 1.a — 08015 BARCELONA
Gran Via de les C.C. , 392 - 5è. 1. a - 080 15 BARCELONA
Tel. (93) 423 90 66
Tel. (93) 423 90 66
287 MI RAVET SIL VESTR E, Vicent
287 MIRAVET SILVESTRE, Vicent
Cj. Majo r, 56 - Esc. 3-2n. A - 12 00 1 CAST ELL Ó
C/. Major, 56 - Esc. 3-2n. A — 12001 CASTELLÓ
Tel. (964) 22 94 97
Tel. (9 64) 22 94 97
288 PUDDU, Valdema ro
288 PUDDU, Valdemaro
Av. Mil-lenari, 53 — 08328 ALELLA (Barcelona)
Av. Mil·l enari, 53 - 08328 ALE LLA (Barcelona)
Tel. (93) 555 97 19
Tel. (93) 555 97 19
289 TORNÉS SANCHO, Joan-Ramon
289 TORN É S SANCHO, Joan-Ramon
Cj. Sant Ferriol , 13 - 17 800 OLOT (Gi rona)
C/. Sant Ferriol, 13 — 17800 OLOT (Girona)
Tel. (972) 26 87 01
Tel. (972) 26 87 01
290 ESCÁNEZ MONFERRER, Lluc
290 ESC À NEZ MONFERRER, Lluc
C/. Tossalet de les Forques, 3 — 08600 BERGA (Barcelona)
Cj. Tossalet de les Forques, 3 - 08600 BERGA (Barcelona)
Tel. (93) 821 16 65
Tel. (93) 821 16 65
291 HOYO NAVARRO, Magdalena Pilar
291 HOYO NAVARRO, Ma gda lena Pilar
Ntra Sra. de Pui gc erver, 11 - baixos 2. a - 08905 L' HOSPITALET
Ntra. Sra. de Puigcerver, 11 - baixos 2.' — 08905 L'HOSPITALET
Tel. (93) 333 86 73 DE LLOBREGAT
Tel. (93) 333 86 73 DE LLOB REGAT
292 VILA BORRALL ERAS , Josep Anton
292 VILA BORRALLERAS, Josep Anton
C/. Passeig Maragall, 305-307 — 08032 BARCELONA
CI. Passeig Ma ragall, 305-307 - 08032 BARCELONA
Tel. (93) 358 07 84
Bu tIl. Soc. Catalana Micol. 14-15 5-9 Barcelona 1991

293 SAL Ó JUBANY , Ter esa
293 SALÓ JUBANY, Teresa
Mas El Vilar de St. Andreu Banc ells - 17 403 ST. HIL ARI SACALM (Girona)
Mas El Vilar de St. Andreu Bancells — 17403 ST. HILARI SACALM (Girona)
Tel. (972) 88 82 63
Tel. (972) 88 82 63
294 AGULL Ó CALIC Ó , Anna
294 AGULLÓ CALICÓ, Anna
C/. Arbúcies, 20 — 17403 ST. HILARI SACALM (Girona)
CI. Arb úci es, 20 - 17 403 ST. HILARI SACALM (Girona)
Tel. (972) 86 91 35
Tel. (972) 86 91 35
295 MARFANY BON AST RE, Josep
295 MARFANY BONASTRE, Josep
CI. Vila domat, 234, - 5è. 4.a - 08029 BARCELONA
C/. Viladomat, 234, - 5é. 4.' — 08029 BARCELONA
Tel. (93) 439 50 91
Tel. (93) 439 50 91
296 SANCLEMENTE VISÚS, Joan
SANCLEMENTE VIS ÚS, Joan
Av. Pirineos, 15 - 1.° F — 22004 HUESCA
Av. Pirin eos, 15 - 1. 0 F - 22 004 HU ESCA
Tel. (9 74) 22 89 51
Tel. (974) 22 89 51
297 PUJOL BORREL L, Miquel
297 PUJOL BORRELL, Miguel
CI. Pizarro, 90 - 4t 2.a - 08204 SABADELL (Ba rcelona)
C/. Pizarro, 90 - 4t. 2.' — 08204 SABADELL (Barcelona)
Tel. (93) 716 28 55 - 710 44 41
Tel. (93) 716 28 55 — 710 44 41
298 AUBER ROMEU, Lluís
298 AUBER ROMEU, Lluís
Na. Sagrada Família, 2 — 08013 BARCELONA
Pça . Sagrada Famí lia, 2 - 080 13 BARCELONA
Tel. (93) 258 76 35
Tel. (93) 258 76 35
299 LÓPEZ MANZANO, Enric
299 L Ó PEZ MANZANO, Enric
Cj. Rafael Casanova, 14 - 3r. 2. a - 08629 TORRELLES DE LLOB REGAT
C/. Rafael Casanova, 14 - 3r. 2. a — 08629 TORRELLES DE LLOBREGAT
Tel. (93) 358 07 84 (Barcelona)
Tel. (93) 358 07 84 (B arce lo na)
300 NAVARRO RO SIN É S, Pere
300 NAVARRO ROSINÉS, Pere
Cj. Ferràn el Catòli c - 2520 0 CERVERA (Lleida)
C/. Ferrón el Católic — 25200 CERVERA (Lleida)
Tel. (973 ) 53 03 21
Tel. (973) 53 03 21
301 MARTÍ MONNIER, Oriol
301 MAR T Í MONNIER, Oriol
Passatge Mar imón , 9 - 4t 1. a - 08 021 BARCELONA
Passatge Marimón, 9 - 4t. 1.a — 08021 BARCELONA
Tel. (93) 209 90 98
Tel. (93) 209 90 98
302 LABRA ÑA SALAS, Josep
302 LABRAÑA SALAS, Josep
C/. Carretera, 20 — 25241 GOLMES (Lleida)
Cj. Carretera, 20 - 25241 GOLMES (Lleida)
Tel. (973 ) 60 20 09
Tel. (973) 60 20 09
303 RIB OT MUN DET, Joan
303 RIBOT MUNDET, Joan
P. Constitucional, 3 — 17181 AIGUAVIVA (Girona)
P. Constitucional, 3 - 171 81 AIGU AVIVA (Girona)
Tel. (972) 23 30 33
Tel. (972) 23 30 33 .
304 MORELL MOLINA, Enric
304 MORELL MOLINA, Enric
C/. Lleida, 27 bis — 08380 MALGRAT DE MAR (Barcelona)
Cj. Llei da, 27 bis - 08380 MALGRAT DE MAR (Ba rcelona)
Tel. (93) 765 49 08
Tel. (93) 765 49 08
305 DEVIS ORTEGA, Joan
305 DEVIS ORTEGA, Joan
CI. Sicíli 12 - 1r. 1.a - 08914 BADALONA (Barcelona)

C/. Sicilia, 12 - 1r. 1.a — 08914 BADALONA (Barcelona)
Tel. (93) 388 53 53
Tel. (93) 388 53 53

306 PÉREZ JARAUTA, José Tomás
306 P É REZ JA RAUTA, José Tomas
CI. Juan XX III, 10 - 3.° D - 24006 LE Ó N
C/. Juan XXIII, 10 - 3.° D — 24006 LEÓN
Tel. (987) 53 36 53
Tel. (987) 53 36 53
307 PIERA SOL, Miguel
307 PIERA SOL, Miguel
C/. González del Valle, 2 - 3.° — 33004 OVIEDO
CI. Go nzalez del Valle , 2 - 3.° - 33004 OVI EDO
Tel. (985) 24 48 13
Tel. (985) 24 48 13
308 SALADO GARCÍA, Francisco M.
308 SALADO GARC Í A, Francisco M.
CI. Santa Ri ta, 6 - 11 10 0 SAN FERNANDO (Cadiz)
C/. Santa Rita, 6 — 11100 SAN FERNANDO (Cádiz)
Tel. (956) 89 77 30
Tel. (956) 89 77 30
309 PÉREZ REDONDO, José Manuel
309 P É REZ REDONDO, José Manuel
C/. Conca de Barberá, 22 - 3r. 1. a — 25005 LLEIDA
CI. Conca de Barberà , 22 - 3r. 1. a - 25005 LLEIDA
Tel. (973) 23 84 60
Tel. (973) 23 84 60
310 CASTRILLO GARC Í A, Roberto
310 CASTRILLO GARCÍA, Roberto
C/. Federico Monpou, 6 - 5.° D — 38806 ALCALÁ DE HENARES (Madrid)
CI. Feder ico Monpou, 6 - 5. ° D - 38806 AL CAL À DE HENARES (Madr id)
Tel. (9 1) 889 92 66
Tel. (91) 889 92 66
311 CAMP ABADAL CAS TELLS, Jo rdi
311 CAMPABADAL CASTELLS, Jordi
C/. Pisuerga, 19-21 - 3r. 2.' — 08028 BARCELONA
CI. Pisuerga, 19 -2 1 - 3r. 2.a - 08028 BARCELONA
Tel. (93) 240 43 16
Tel. (93) 240 43 16
312 HURTADO PÉREZ, Carlos José
312 HURTADO P É REZ, Carlos José
CI. Pérez Galdós, 10 - 2.° B - 11 10 0 SAN FERNAND O (Cadiz)
C/. Pérez Galdós, 10 - 2.° B — 11100 SAN FERNANDO (Cádiz)
Tel. (956) 89 97 70
Tel. (956) 89 97 70
GONZ À LEZ-ALEGRE SALGADO, Víctor
313 GONZÁLEZ-ALEGRE SALGADO, Víctor
CI. Hernan Cortés, 1 - 2.° izq . - 36203 VIGO (Pontevedra)
C/. Hernán Cortés, 1 - 2.° izq. — 36203 VIGO (Pontevedra)
Tel. (986) 43 64 91
Tel. (986) 43 64 91
314 GUITART NAVARRO, Joan
GUITART NAVARRO, Joan
C/. Walden, 7 - Ap. 8-84 — 08960 ST. JUST DESVERN (Barcelona)
CI. Walden, 7 - Ap. 8-84 - 0896 0 ST. JUST DESVERN (Bar celona)
Tel. (93) 372 16 12
Tel. (93) 37 2 16 12
315 GARC Í A CERVERA, Joan
315 GARCÍA CERVERA, Joan
Via Laietana, 52 - 5è. 1. a - 08003 BARCELONA
Via Laietana, 52 - 5é. 1.a — 08003 BARCELONA
Tel. (93) 268 21 27
Tel. (93) 268 21 27
316 XIMENO ROCA, Frederic
BAIXES
316 XIM ENO ROCA, Freder ic BAIXES
CI. Rosselló, 224 - 5è. A - 0800 8 BARCELONA
C/. Rosselló, 224 - 5é. A — 08008 BARCELONA
Tel. (93) 215 14 57
Tel (93) 215 14 57
10-A CARRASCOSA LÓPEZ, Daniel
10 -A CARRAS COSA L Ó PEZ, Dan iel
108 BERNIS CARRO, Francisco
10 8 BERNIS CARRO, Francisco
121 LARA SITJAR, JULI (defu nció)
121 LARA SITJAR, JULI (defunció)
14-15 5-9

127 PASSOLAS FARRERONS, Josep
127 PASSOLAS FARRERONS, Josep
142 ZAPATA CASAÑO, José M.a
142 ZAPATA CASAÑ O, José M.a
186 GONZÁLEZ GONZÁLEZ, Andreu
186 GONZ À LEZ GONZ ÀLEZ, Andreu
264 CULLELL i SALA, Josep M.a
26 4 CULLELL i SALA, Josep M.a
CANVI DE DADES
CANVI DE DADES
014 JORDÁ BARRERAS, Cristóbal
014 JORD À BARRERAS, Cristóbal
C/. Mas Guimbau, 27 — 08017 BARCELONA
CI. Mas Guimbau, 27 - 080 17 BARCELONA
Tel. (93) 204 95 69
Tel. (93) 204'95 69
058 GINÉ GAVALDÁ, Josep — Tel. (93) 459 14 97
058 GIN É GAVALD À , Josep - Tel. (93) 459 14 97
105 CARRASCOSA FREIXAS, Gabriel — Tel. (93) 430 58 82
10 5 CARR ASCOSA FREIXAS , Gabriel - Te l. (93) 430 58 82
11 8
DOM Í NGUEZ MAR Í N, Francesc X.
118 DOMÍNGUEZ MARÍN, Francesc X.
Ntra. Sra. del Port, 347-349 - 2n. 2.a Esc. B — 08004 BARCELONA
Ntra Sra. del Port, 347 -349 - 2n. 2.a Esc. B - 08004 BARCELONA
Tel. (93) 432 07 24
Tel. (93) 432 07 24
12 3 LLORENS VILLAGRASA, Immaculada
123 LLORENS VILLAGRASA, Immaculada
CI. Gu aranís , 11 - 08304 MA TAR Ó (Barcelona)
C/. Guaranís, 11 — 08304 MATARÓ (Barcelona)
Tel. (93) 799 44 21
Tel. (93) 799 44 21
162 LÓPEZ ARNAL, Salvador
162 L Ó PEZ ARNAL, Sa lvador
Doctor Cardevall, 16-24 F — 08026 BARCELONA
Doctor Cardevall, 16 -24 F - 08026 BARCELONA
19 0 MONTERO ALFONSO, Manuel
190 MONTERO ALFONSO, Manuel
CI. Comerç, 11 - 1r. 1. a - 08003 BARCELONA
C/. ComerQ, 11 - 1r. 1. a — 08003 BARCELONA
Tel. (93) 432 07 24
Tel. (93) 432 07 24
19 8 MAH IQUES SANT ANDREU, Rafael
198 MAHIQUES SANTANDREU, Rafael
Or. Climent, 26 - 46 837 QUATRETONDA (València)
Dr. Climent, 26 — 46837 QUATRETONDA (Valéncia)
202 MOLDES FERRO, Xoan Xose
202 MOLDES FERRO, Xoan Xose
Apartado de Correos, 105 — 36900 MARIN (Pontevedra)
Apartado de Correos, 10 5 - 36900 MARIN (Ponteve dra)
240 CANALS ARTIGAS, Miguel
240 CANALS ARTIGAS , Miquel
CI. Ferràn Mu ño z, 32 - 08859 BEGUES (B arcelona)
C/. Ferrón Muñoz, 32 — 08859 BEGUES (Barcelona)
Tel . (93) 639 07 68
Tel. (93) 639 07 68

INFORME ANUAL
INFORME ANUAL
A ugust Rocabruna
August Rocabruna
Una vegada més relacionem les activitats desenvolupades durant l'any 1990, ordenades en un 1 er. grup de compromisos de cooperació social i un segon de les dutes a terme per associats, de les quals en tenim coneixement.
Una vegada més relacionem les activitats desenvol upades du rant l' any 19 90, ordenades en un 1e r. grup de comprom isos de coopera ció social i un segon de les dutes a terme per associats, de les quals en tenim coneixement.
Grup 1 er. Compromisos de cooperació social:
Grup 1er. Compromisos de cooperaci ó soc ial:
Octubre
Desem bre
* Barcelon a. «V Reunión Conj un ta de Mico lo gía». En el comité organitzador d'aquesta reu nió i en representació de la Societat i figuraba el nostre President Anselm Ma yoral i en el com ité cien tífic Aug ust Rocabr una. La Societat col· laborà en una ex cursió al Mo ntseny i en la exposici ó-taller en la Facultat de Biolo gia, i Ans elm Ma yoral donà una conferència amb el tema «Les Societ ats Micològi ques»
Octubre * Barcelona. «V Reunión Conjunta de Micología». En el comité organitzador d'aquesta reunió i en representació de la Societat i figuraba el nostre President Anselm Mayoral i en el comité científic August Rocabruna. La Societat col-labora en una excursió al Montseny i en la exposició-taller en la Facultat de Biologia, i Anselm Mayoral donó una conferéncia amb el tema «Les Societats Micológiques».
Berga. Les XV Jornades Micológiques organitzades pels socis d'aquella població tingueren el soport social.
* Berga. Les XV Jornades Mi cològiques organitzades pels socis d' aque lla població tingueren el soport so cial.
Esplugues de Llobregat. En les IV Jornades organitzades per «Amics de la Micologia de Esplugues», alguns de nosaltres, en representació de la Societat, vam col•laborar en la recolecta, identificació d'espécies, exposició i conferéncies.
* Esplugues de Llobregat. En les IV Jornades organitzades per «Amics de la Micologia de Esplugues», alguns de nosaltres, en representació de la Societat, vam col· laborar en la recolecta, ide ntificació d' espècies, exposició i conferènc ies.
Desembre * Barcelona. Exposició de Bolets a la Facultat de Farmácia de la Universitat de Barcelona.
* Barcelon a. Exposició de Bolets a la Facu ltat de Farmàcia de la Univ ersitat de Barcelona.
Grup 2on. Altres activitats:
Grup 2on. Altres activitats:
Septembre
Octubre
* Ribas de Freser. Diada de ls Bolets, organitzada per el Patronat Mu nicipal de Cultura i la Unió de Bot iguers. Sortida al bosc amb els participants i cla ssificació dels bolets collits, per A. Rocab runa.
Septembre * Ribas de Freser. Diada dels Bolets, organitzada per el Patronat Municipal de Cultura i la Unió de Botiguers. Sortida al bosc amb els participants i classificació dels bolets collits, per A. Rocabruna.
* Balaguer. Organitzat per el Mu seu Comarcal de la Noguera tinguè lloc en aqu ella població una ex posició monogràfica sobre «El Món dels Bole ts», amb la col· laboració de X. Llimona i A. Rocab runa.
* Lleida. Organitzada per la secció de Botànica del Institut d'E studis Ilerdencs»
Octubre * Balaguer. Organitzat per el Museu Comarcal de la Noguera tingué lloc en aquella població una exposició monográfica sobre «El Món dels Bolets», amb la co•aboració de X. Llimona i A. Rocabruna. Lleida. Organitzada per la secció de Botánica del Institut d'Estudis Ilerdencs» 10 Bu tll. Soc. Catalana Micol. 14-15 10 -12 Barcelona 1991
Bu til. Soc. Catalana

14 -15 10-12 Barcelona 1991 11
Novemb re de la Diputació de Lleida , tinguè lloc l' la. exposició de «Bolets de les Te rres de Lleida» amb una entu siasta col·laboració d' estaments de totes les comarques llei detanes . A. Rocabruna participà en la organització i classificació del material i J. Llistosella donà una conferènc ia sobre «Els principals bolets de les comarques llei detanes».
de la Diputació de Lleida, tingué lloc l' 1 a. exposició de «Bolets de les Terres de Lleida» amb una entusiasta col•laboració d'estaments de totes les comarques lleidetanes. A. Rocabruna participó en la organització i classificació del material i J. Llistosella donó una conferéncia sobre «Els principals bolets de les comarques lleidetanes».
Novembre * Llissá de Munt. Exposició de Bolets a les Escoles Municipals. Classificació i pase de transparéncies per A. Rocabruna. La Garriga. Mostra de Bolets en el Institut de Batxillerat Manuel Blancafort. Col laboració d'A. Rocabruna.
* Llissà de Munt. Exposició de Bolets a les Escoles Mu nicipals. Classificació i pase de trans parè ncies per A. Rocabruna.
* La Ga rriga . Mos tra de Bolets en el Ins titut de Batxillerat Manuel Bla ncafort Col·labora ció d'A. Rocab runa .
* Tudela del Duero. «6en. Jornades Micologiq ues de Valladolid». Col·laboració i pas si de diapositves de Ma nuel Tabarés y August Rocabru na.
* Madrid. XVIII Exposi ción de Ho ngos de Ma drid. Aportacions de mat erial i conferènc ia de A. Rocabruna .
Tudela del Duero. «6en. Jornades Micologiques de Valladolid». Col .laboració i passi de diapositves de Manuel Tabarés y August Rocabruna. Madrid. XVIII Exposición de Hongos de Madrid. Aportacions de material i conferéncia de A. Rocabruna.
als socis que intervinguin en activitat i vulguin quedi rel·lacionada en aque st apartat ho comun iquin per escrit al senyor Augu st Rocabr una.
Preguem als socis que intervinguin en alguna activitat i vulguin quedi rel•lacionada en aquest apartat ho comuniquin per escrit al senyor August Rocabruna.
A les «VIII Journées Européennes du Cortinaire» de 19 90 a Aja ccio (Corcega) hi assistiren un bon nombre de membres de la nostra Societat .
A les «VIII Journées Européennes du Cortinaire» de 1990 a Ajaccio (Corcega) hi assistiren un bon nombre de membres de la nostra Societat.
En el mes de Ma ig organitzat per «Flora Micológica Ibérica» tinguè lloc a la serra de Cazorla (Jaén) la «tercera campaña micológica».
En el mes de Maig organitzat per «Flora Micológica Ibérica» tingué lloc a la serra de Cazorla (Jaén) la «tercera campaña micológica».
També en el mes de febrer a Santa Coloma de Gramanet, Àrea Cultural Oriol en R. Nu alart donà una xer rada-col· lo qu i durant el any.
També en el mes de febrer a Santa Coloma de Gramanet, Área Cultural Oriol en R. Nualart donó una xerrada-col•oqui durant el any.
La activa Secció de Gir ona, també ens resume ix les activitats de 19 90:
La activa Secció de Girona, també ens resumeix les activitats de 1990:
19 -20 Octubre
19-20 Octubre
19-20 Octubre
19 -20 Octubre
27 Octubre
27 Octubre
31 Octubre
31 Octubre
1 Novembre
1 Novemb re
2 Novembre
3-4 Novembre
5-7-9-10 Novembre
2 Novemb re 3-4 Novemb re 5-7-9- 10 Novemb re
9-10-11 Novembre
9- 10 -1 1 Novembre
10-11 Novembre
10 -1 1 Nove mbre
PUBLICACIONS
PUBLICA CIONS
Exposició de Bolets a La Bisbal d'Empordá
Exposició de Bolets a La Bisbal d' Empordà
Exposició de Bolets a Banyoles
Exposició de Bolets a Bany oles
Exposició de Bolets a l'Associació de VeYns Barri Sant Miguel. Olot
Exposició de Bolets a l'A ss ociació de Veïns Barri Sant Miquel. Olot
Conferéncia Bolets a cárrec de J. M. Vidal. Centre Excursionista d'Olot. Sortida Práctica. Centre Excursionista d'Olot. Olot
Conferència Bolets a càrrec de J. M. Vidal. Centre Excursionista d'O lo t. Sortida Pràcti ca . Centre Excu rsionista d'O lot Olot
Exposició de Bolets a Blanes
Exposició de Bolets a Blanes
Exposició de Bolets a Torroella de Montgrí
Curset de Micologia a cárrec de J. M. Vidal a l'Escola Taller del Medi Ambient de l'Empordá. L'Escala
Exposició de Bolets a Calonge
Exposició de Bolets a Torroella de Mon tgrí Curset de Micologia a càrrec de J. M. Vidal a l' Escola Taller del Me di Ambient de l'E mpordà L'E sc ala Exposició de Bolets a Calonge
Exposició de Bolets a l' Esc ala
Exposició de Bolets a l'Escala
Hem rebut, del seu autor CARLOS LA DO com donac ió per la nostra bibli oteca, REIZIA Tomo 9 de les monografies del «Real Jardín Botanico», co mplert «Cat alogo comentado y síntes is corológica de los Mix omycetes de la Peníns ula Ib érica e Islas Baleares (1 788- 1 990)>>.
Hem rebut, del seu autor CARLOS LADO com donació per la nostra biblioteca, REIZIA Tomo 9 de les monografies del «Real Jardín Botánico», complert «Catálogo comentado y síntesis corológica de los Mixomycetes de la Península Ibérica e Islas Baleares (1788-1990)».
La Féd ération des Associations Myco logiq ues Mé diter ran éennes ens informa de l'aparició de:
Ann ales nO 3 de la Fédé ration des Associations My co logiq ues Mé di terran éennes:
Tables des matières des volumes de l'o uvrage «Les Cham pignons du Nord et du Midi» de ANDR É MARCHAND, par la Société My cologique d'A lès Brochure 1/ 2 format, 82 pages Sommai re :
La Fédération des Associations Mycologiques Méditerranéennes ens informa de l'aparició de: Annales n° 3 de la Fédération des Associations Mycologiques Méditerranéennes: Tables des matiéres des volumes de l'ouvrage «Les Champignons du Nord et du Midi» de ANDRÉ MARCHAND, par la Société Mycologique d'Alés. Brochure 1/2 format, 82 pages. Sommaire:

Butll. Soc. Catalana Micol. 14-15 10-12 Barcelona 1991
12 Butll. Soc. Catalana Mic ol. 14-15 10 -12 Barcelona 1991
I-Index des genr es (et leurs espèce s), pages 1 à 40.
I-Index des genres (et leurs espéces), pages 1 á 40.
II -Index des espèces, variétés et fo rmes , pages 1 à 42
II-Index des espéces, variétés et formes, pages 1 á 42.
Brochure très utile pour le My cologue qui possède la série des ouvrages de Ma rchand car elle lui permet, en qu elques secondes, de retrouver l ' espèce , la variété ou la forme qu 'il recherche dans Ma rch and.
Brochure trés utile pour le Mycologue qui posséde la série des ouvrages de Marchand car elle lui permet, en quelques secondes, de retrouver l'espéce, la variété ou la forme qu'il recherche dans Marchand.
Prix: 30 F. + 5 F. de port, poids: 129 g.
Prix: 30 F. + 5 F. de port, poids: 12 9 g.
Ecrire á M. J.P. BORELLA, villa les «Acanthes» 3 rue Réamur - 34500 Béziers.
Ecrire à M. J.P. BORELLA, villa les «Acan thes» 3 rue Réamur - 34500 Béziers.
Catalogue écologique des champignons supérieurs méditerranéens — Fascicule V — Russules — 1990
Catalogue écologique des champ ig nons supérieurs méd iter ranéens - Fascicule V - Rus sules - 19 90
li traite de l'e cologia ( repartiti on, abondance ... ) de 136 Russ ules dans les différentes sous-regions de la region med it erranéenne française ( Cors e comprise ).
Iltraite de l'ecologia ( repartition, abondance... ) de 136 Russules dans les différentes sous-regions de la region mediterranéenne franÇaise ( Corse comprise ).
Une conclusion originale permet de définir la notion de «méditerranéite» ou de tempérament ± méditerranéen.
Une conclusion originale permet de définir la notion de «méd it erra néite» ou de tempérament ± mé dite rran éen.
Brochure de 56 pages, format 21 x 14,5 cm, prix 20F + Port 5F
Brochure de 56 pages, format 21 X 14 ,5 cm, prix 20F + Port 5F
Commandes á adresser á J.P. BORELLA, 5 rue Ferréeol-Mazas, 34500 BÉZIERS
Commandes à adresser à J.P. BORELLA, 5 rue Ferréeol-Mazas, 34500 B É ZIE RS
Aprés les Amanites, les Lactaries, les Tricholomes, les Bolets et les Russules, le Vléme Catalogue Ecologique des Champignons Méditerranéens Francais est consacré aux Cortinaires.
Après les Aman it es, les Lactarie s, les Tric holomes, les Bolets et les Rus sules, le VIème Catalogue Ecologique des Cha mpignons Méd it erranéens Fran çais est consacré aux Cortinair es.
Comme les précédents, il est édité par la Fédér ation des Associations My cologiques Méd it erranéennes (la F.A .M.M.).
Comme les précédents, il est édité par la Fédération des Associations Mycologiques Méditerranéennes (la F.A.M.M.).
Mais il est finalement beaucoup plus important que les précédents, d'abord du point de vue volume (environ 80 pages), puis du nombre des espéces:
Ma is il est finalement beauc oup plus important que les précédents, d' abord du point de vue volume (e nviron 80 pages) , puis du nombre des espèc es:
297 espéces méditerranéennes dont 67 méditerranéennes strictes décrites par CHEVASSUT & HENRY enfin surtout du point de vue écologique: signalement de nombreuses espéces (24) caractéristiques de la principale association forestiére du Midi: la Chénaie verte méditerranéenne franÇaise ou Quercetum ilicis gallo-provinciale.
297 espèces méd iterra néennes dont 67 méd it erranéennes strictes dé crites par CHEV ASSUT & HENRY -, enfin surtout du point de vue écologiq ue: signale ment de nombreuses espèces (2 4) caractér istiq ues de la principale association forestière du Midi: la Chênaie ver te méd it erranéenne frança ise ou Quer cetum ilicis gallo-provinciale .
En comparison, la genr e Cortinarius renfe rme , à lui seul, 2, 4 fois plus de ces caractér istiq ues que tous les autres genres réun is . Tout cela montre combien les Cortinaires sont, de loin, parmi les autres genres , les meilleurs indica te urs des conditions de milie u. Ce role éco logique primordial des Cortinaires méritait d'être souli gné.
En comparison, la genre Cortinarius renferme, á lui seul, 2, 4 fois plus de ces caractéristiques que tous les autres genres réunis. Tout cela montre combien les Cortinaires sont, de loin, parmi les autres genres, les meilleurs indicateurs des conditions de milieu. Ce róle écologique primordial des Cortinaires méritait d'étre souligné.
On pourra se procurer cette brochure (de format 207 x 145 mm) en s'adressant á J.P. BORELLA, villa «Les Acanthes», 3 rue Réamur, 34500 Béziers (20 f + 8 f de port).
On pourra se procurer cette brochure (de format 207 x 14 5 mm) en s'a dressant à J.P. BORELLA, villa «Les Acanthes» , 3 rue Réamur, 34500 Béziers (20 f + 8 f de port)

APORTACIONES FLORÍSTICAS Y COROLÓGICAS SOBRE TRICOLOMATÁCEAS
APORTACIONES FLORÍSTICAS Y COROLÓGICAS SOBRE TRICOLOMATÀCEAS
M.S. San clemente
M.S. Sanclemente
Op to. Biología Vegetal (Botan ica ), Ftad . Biología, Univ . Barcelona: Av. Diagonal 645, 08028
Barcelon a.
Dpto. Biología Vegetal (Botánica), Ftad. Biología, Univ. Barcelona: Av. Diagonal 645, 08028 Barcelona.
RESUMEN
RESUMEN
Se citan 35 esp ecies de Tricolomataceas , rec ole ctadas en 28 10caldades de Cataluña. Destacamos Marasmius graminum (L ibert .) Berk . y Marasmius lim osus Boud. e Quél. como citas nue vas para Cataluña, así como el hallazgo de Calocybe chrysenteron (B ull. ex Fr.) Sing ., CoJJybia distorta (Fr.) Quél. , CrinipeJJis tomentosa (Qué l. ) Sing ., Lac caria tortilis (Bolt.) S.F. Gray, Marasmius cohaerens (Pers .: Fr.) Fr ., Marasmius JupuJetorum (We inm.) FR . y MeJa noleuca rasilis (Fr.) Sing.
Se citan 35 especies de Tricolomatáceas, recolectadas en 28 localdades de Cataluña. Destacamos Marasmius graminum (Libert.) Berk. y Marasmius limosus Boud. e Quél. como citas nuevas para Cataluña, así como el hallazgo de Calocybe chrysenteron (Bull. ex Fr.) Sing., Collybia distorta (Fr.) Quél., Crinipellis tomentosa (Quél.) Sing., Laccaria tortilis (Bolt.) S.F. Gray, Marasmius cohaerens (Pers.: Fr.) Fr., Marasmius lupuletorum (Weinm.) FR. y Melanoleuca rasilis (Fr.) Sing.
SUMMARY
SUMMARY
M.S. Sanclamente: Floristic and corologic contributions about Tricholomataceae. The 35 species identified were collected from 28 localities in Catalonia (NE Spain). Two are new record for Catalonia: Marasmius graminum (Libert.) Berk. and Marasmius limosus Boud. e Quél. Also, Calocybe chrysenteron (Bull. ex. Fr) Sing., Collybia distorta (Fr.) Quél., Crinipellis tomentosa (Quél) Sing., Laccaria tortilis (Bolt.) S.F. Gray, Marasmius cohaerens (Pers.: Fr.) Fr., Marasmius lupuletorum (Weim.) Fr. y Melanoleuca rasilis (Fr.) Sing. are very interesting.
M.S. Sanclamente: Floristic and corologic contributions about Tricholom ata ceae . The 35 sp ecies identified were collected from 28 localities in Cat alo ni a (NE Spain) Two are new rec ord for Catalonia: Marasmius gra minum (L ibert.) Be rk. and Marasmius lim osus Boud. e Quél. Also, Calocybe chrysen teron (B ull. ex. Fr) Sing ., CoJJybia dis torta (Pr.) Quél. , Crin ipellis tomentosa (Qu él) Sing ., La ccaria tortiJis (Bolt .) S.F. Gray , Marasmius cohaerens (Pers .: Fr.) Fr ., Marasmius Jupuletorum (Wei m.) Fr. y MelanoJeuca rasiJis (Fr.) Si ng. are very in teresting.
CA TÀLOGO FLORÍSTICO
CATÁLOGO FLORÍSTICO
Indicamos, para cada especie, la localidad, comarca, provincia, U.T.M., recolector, fecha de recolección, número de herbario, hábitat y trabajos bibliográficos (referidos a las zonas prospectadas) en los que han sido citadas anteriormente.
Ind icamos, para cada esp ecie , la localid ad, comarca , provincia , U.T.M ., recolector, fecha de re colección, número de he rbar io , hab itat y trabaj os bibliograficos (referidos a las zonas prospectadas) en los que han sido citadas ante riorme nte .
Todo el material estudiado se encuentra depositado en el Herbario de la Facultad de Biología, de la Universidad de Barcelona (BCC Mycotheca — SSN).
Todo el material estudiado se encuen tra de posit ado en el Herb ario de la Facultad de Biología, de la Universidad de Barcelona (BCC My cotheca - SSN).

Butll. Soc. Catalana Micol. 14-15 13-20 Barcelona 1991
14 Bu tll. Soc. Catalana Micol. 14-15 13 -20 Barcelona 19 91
Fam ilia THRICHOLOMA TACEAE
Familia THRICHOLOMATACEAE Roze
Calocybe chrysenteron (Bull .: Fr.)
Calocybe chrysenteron (Bull.: Fr.) Sing.
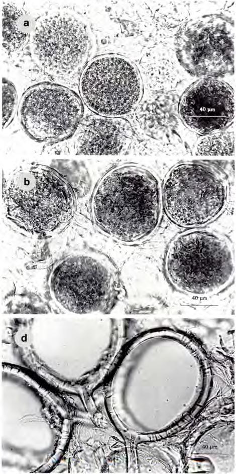
Sant Hilari Sacalm (Selva), Girona, DG53, en bosque de Cedrus y Picea. Leg. M. Tabarés, 8-11-87. SSN 1550.
Háb.: En bosques de coníferas./ Citas bibl.: MAIRE (1933). ROCABRUNA & TABARÉS (1988).
Sant Hilari Sacalm (Selva), Girona, DG53, en bosque de Cedrus y Picea. Leg. M. Tabarés, 8- 11 - 87. SSN 1550 . Hàb.: En bosques de coníferas ./ Citas bib l.: MAIR E (19 33) . ROCA BRUNA & TABAR É S (19 88).
Clitocybe alexandri (Gill.) Konr.
Clitocybe alexandri (Gill .) Konr.
Riera de Sant Roc, Garraf (Garraf) , Barcelona DF06, en bosque de P. haJepensis_ Leg. T. Canals, 22 -1 1-87. SSN 15 79.- Mu ntanya Pelada, Sant Pere Màrtir, Collserola (Barcelonè s), Barcelona, DF28 , en bosque de P. haJepensis. Leg. X. Llimona , 1-1 1-87. SSN 1551, SSN 1565.
Riera de Sant Roc, Garraf (Garraf), Barcelona DF06, en bosque de P. halepensis. Leg. T. Canals, 22-11-87. SSN 1579.- Muntanya Pelada, Sant Pere Mártir, Collserola (Barcelonés), Barcelona, DF28, en bosque de P. halepensis. Leg. X.Llimona, 1-11-87. SSN 1551, SSN 1565.
Hà b. : Baj o conífe ras, con preferencia en pinares térmicos de P. haJepensis./ Citas bibl .: MAIRE (19 33) MAIRE (19 37). SOC .CAT. MI COLOGIA (19 87). TABAR É S & ROCABRUNA (19 87). ROCA BRUNA & TABAR É S (19 88).
Háb.: Bajo coníferas, con preferencia en pinares térmicos de P. halepensis./ Citas bibl.: MAIRE (1933). MAIRE (1937). SOC.CAT.MICOLOGIA (1987). TABARÉS & ROCABRUNA (1987). ROCABRUNA & TABARÉS (1988).
Clitocybe cerussata (Fr.) Kumme r
Clitocybe cerussata (Fr.) Kummer
Pine Beach, Castelldefels (Baix Llobreg at) , Barcelona, DF16. Leg. D.S ierra, 17 -1 1- 88. SSN 1585, SSN 1586.
Pine Beach, Castelldefels (Baix Llobregat), Barcelona, DF16. Leg. D.Sierra, 17-11-88. SSN 1585, SSN 1586.
Hà b.: En bosque de P. pinea, sobre dunas fija da s./ Citas bib l.: CODINA & FONT QUER (19 31). MAIRE (19 33) HEIM (19 34) MAUBLANC (19 36) MAIRE (19 64) FINSCHO W (1 984) LLIMO NA (19 84) D Í EZ (19 86). LLISTOSELLA & AGUASCA (19 86).
Háb.: En bosque de P. pinea, sobre dunas fijadas./ Citas bibl.: CODINA & FONT QUER (1931). MAIRE (1933). HEIM (1934). MAUBLANC (1936). MAIRE (1964). FINSCHOW (1984). LLIMONA (1984). DÍEZ (1986). LLISTOSELLA & AGUASCA (1986).
Clitocybe gibba (Pers.: Fr.) Kummer
Muntanya Pelada, Sant Pere Mártir, Collserola (Barcelonés), Barcelona, DF28, en bosque de P. halepensis. Leg. X.Llimona, 12-11-87. SSN 1557.
Clitocybe gibba (Pers .: Fr.) Kummer Mu ntanya Pelada , Sant Pere Màrtir, Collserola (Barcelonè s), Barcelona, DF28, en bosque de V haJepensis. Leg_ X. Llimona, 12 -11 - 87 SSN 1557.
Hàb. : Gregario, en bosques mixtos, en ocasiones en pinares-l Citas bib l.: ARANZADI (19 08) SOLA (19 25) CODINA & FONT QUER (19 31). FONT QUER (1931). PEA RSON (19 31). MAIRE (19 33). HEIM (19 34) MAUBLANC (19 36). SINGER (19 47). FONT QUER (1954) BERTAUX (19 64) LLENSA DE GELCEN (19 70) MALE NÇON & BERTAULT (1971). MA LENÇON & LLIMONA (19 80) AGUASCA et al. (19 82). POLO (19 82) FOLGADO (19 83) BALLE STEROS (19 84). FOLGA DO et al. (19 84). LLIMONA (19 84) ROCABRUNA (1 986) LLIS TOSELLA & AGUASCA (19 86). SANCLE� ME NTE & LLIMONA (19 87). ROCABRUNA & TABAR É S (19 88).
Háb.: Gregario, en bosques mixtos, en ocasiones en pinares./ Citas bibl.: ARANZADI (1908). SOLA (1925). CODINA & FONT QUER (1931). FONT QUER (1931). PEARSON (1931). MAIRE (1933). HEIM (1934). MAUBLANC (1936). SINGER (1947). FONT QUER (1954). BERTAUX (1964). LLENSA DE GELCEN (1970). MALEWON & BERTAULT (1971). MALEWON & LLIMONA (1980). AGUASCA et al. (1982). POLO (1982). FOLGADO (1983). BALLESTEROS (1984). FOLGADO et al. (1984). LLIMONA (1984). ROCABRUNA (1986). LLISTOSELLA & AGUASCA (1986). SANCLEMENTE & LLIMONA (1987). ROCABRUNA & TABARÉS (1988).
Clitocybe hydrogramma (Bull. ex Fr.) Kummer
Clitocybe hydrogramma (Bull. ex Fr.) Kummer
Santa Fe del Montseny, Fogars de Montclús, Mo ntseny (Vallés Oriental) , Barcelona, DG52 , en bosque de F. syJvatica. Leg. M.Tabarés, 2- 10 -87. SSN 1594.
Santa Fe del Montseny, Fogars de Montclús, Montseny (Vallés Oriental), Barcelona, DG52, en bosque de F. sylvatica. Leg. M.Tabarés, 2-10-87. SSN 1594.
Hàb .. - En bosques de planifolios ./ Citas bib l.: SOLA (1 925) . CODINA & FONT QUER (19 31). SINGER (19 47) BAL LESTEROS (19 84) LLIMONA (19 84) ROCABRUNA (19 84). LLIS TOSELLA & AGUASCA (19 860. TABAR É S & ROCABRU NA (19 87).
Háb.: En bosques de planifolios./ Citas bibl.: SOLA (1925). CODINA & FONT QUER (1931). SINGER (1947). BALLESTEROS (1984). LLIMONA (1984). ROCABRUNA (1984). LLISTOSELLA & AGUASCA (19860. TABARÉS & ROCABRUNA (1987).
Clitocybe squamulosa (Pers.: Fr.) Lge.
Clitocybe squamulosa (Pers .: Fr.) Lge
Muntanya Pelada, Sant Pere Mártir, Collserola (Barcelonés), Barcelona, DF28, en bosque de P. halepensis. Leg. XLlimona, 12-11-87. SSN 1563.
Mu ntanya Pelada , Sant Pere Màrtir, Collserola (Barcelonès), Barcelona, DF28, en bosque de P. halepensis. Leg. XLlimona, 12 -1 1-87. SSN 1563.
Háb.: Prefiere bosques bajos y térmicos de P. halepensis./ Citas bibl.: MAIRE (1933). MAIRE (1937). MALEçON & BERTAULT (1971). BALLESTEROS (1984). ROCABRUNA (1984). LLISTOSELLA & AGUASCA (1986). SANCLEMENTE & LLIMONA (1987).
Hà b. : Prefiere bosques bajos y térmicos de P. haJepensis-l Citas bibl .: MAIRE (19 33) MAIRE (19 37). MA LEÇON & BERTAULT (1971). BALLE STEROS (19 84) ROCABRUNA (1 984)_ LLISTOSELLA & AGUASCA (19 86) SANCLEME NTE & LLIMONA (19 87).
Clitocybe vermicularis (Fr.) Quél.
Clitocybe vermicularis (Fr.) Quél.
Espinelves (Os ona) , Girona, DG53, en plantación de coníferas. Leg_ M.T abar és, 23-4-88_ SSN 16 25. Hàb. : Gregario y vernal, en bosques de coníferas. Prefiere bosques de P. haJepensis a escasa alti tu d./ Citas bibl .: HEIM (18 34) BALLE STEROS (1 984)_ ROCABRUNA (19 84) SANCLEMENTE & LLIMONA (19 87). TABAR É S & ROCABRUNA (19 87). ROCABRUNA & TABAR É S (19 88).
Espinelves (Osona), Girona, DG53, en plantación de coníferas. Leg. M.Tabarés, 23-4-88. SSN 1625. Háb.: Gregario y vernal, en bosques de coníferas. Prefiere bosques de P. halepensis a escasa altitud./ Citas bibl.: HEIM (1834). BALLESTEROS (1984). ROCABRUNA (1984). SANCLEMENTE & LLIMONA (1987). TABARÉS & ROCABRUNA (1987). ROCABRUNA & TABARÉS (1988).

Bu tll. Soc. Catalana Micol. 14-15 13 -20 Barcelona 1991
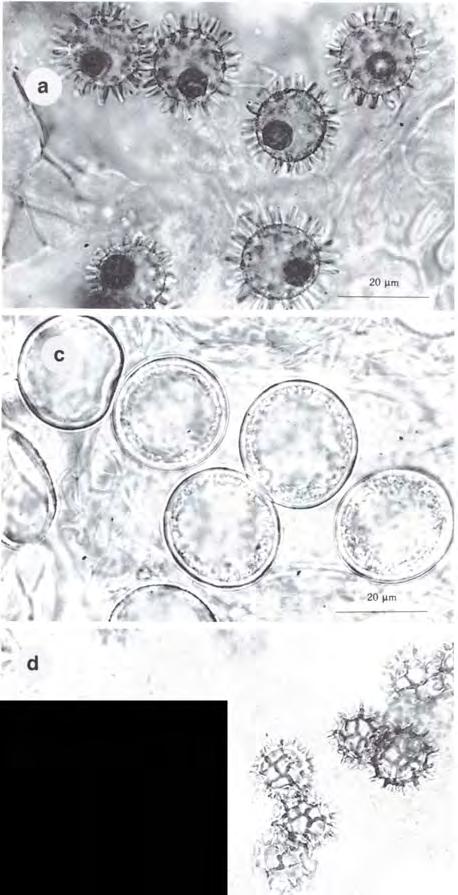
Collybia distorta (Fr.) Quél 15
Collybia distorta (Fr.) Quél.
Argentona (Ma resm e), Barcelona, DG50, sobre restos de corteza y serrín. Leg. A. Rocabruna, 15 -5-88 SSN 16 48 , SSN 16 49.
Citas bibl .: HEIM (1934) MAUBLANC (19 36) SIQUIER & CONSTANTINO (19 82).
Argentona (Maresme), Barcelona, DG50, sobre restos de corteza y serrín. Leg. A. Rocabruna, 15-5-88. SSN 1648, SSN 1649. Citas bibl.: HEIM (1934). MAUBLANC (1936). SIQUIER & CONSTANTINO (1982).
Crinipellis tomentosa (Quél.) Sing. = C. mauritanica R. Mre.
Crinipellis tomentosa (Qu él.) Sing. = C. mauritanica R. Mre.
Río Sed. Aspa (Segriá), Lérida, CF09, en bosque de ribera. Leg. J. Blanco, 22-11-87. SSN 1548. Citas bibl.: HEIM (1934). MALENçON & BERTAULT (1976).
Río Sedo Aspa (Segrià ), Lérida, CF09, en bosque de ribera. Leg. J. Blanco, 22 -1 1- 87. SSN 15 48 Citas bibl .: HEIM (19 34) MALE NÇON & BERTAULT (19 76)
Crinipellis stipitaria (Fr.) Pat.
Crinipellis stipitaria (Fr.) Pat.
Río Sed, Aspa (Segriá), Lérida, CF09, en bosque de ribera. Leg. J. Blanco, 22-11-87. SSN 1574.Font de L'Arc, sant Hilari Sacalm (Selva), Gerona, DG53, en prado. Leg. X.Llimona, 5-11-87. SSN 1513.
Río Sed, Aspa (Seg rià) , Lérida, CF09, en bosque de ribera. Leg. J. Blanco, 22 -1 1-87. SSN 15 74.Font de L' Arc, sant Hilari Sacalm (Selva) , Gerona, DG53, en prado. Leg. X.L limona, 5-1 1- 87. SSN 1513.
Hà b.: Sobre restos de gramíneas y madera en descompo sición .ó Citas bibl .: CODINA & QUER (19 31). MAIRE (19 33) HEIM (19 34) MAUBLANC (19 36) MAIRE (19 37). MAL ENÇON & BERTAUL T (1971). MALE NÇON &BER TAULT (1 972). MALENÇ ON & BERTA ULT (19 76 ). ROCAB RUNA (19 84) LLISTOSELLA & AGUASCA (19 86). SANCLEMENTE & LLIMONA (19 87). SOC .CA T.MICOLOG ÍA (19 87). TABAR É S & ROCABRUNA (1 98 7). ROCABRUNA & TABAR É S (19 88). LLISTOSELLA & AGUASCA (19 90) .
Háb.: Sobre restos de gramíneas y madera en descomposición.ó Citas bibl.: CODINA & QUER (1931). MAIRE (1933). I-IEIM (1934). MAUBLANC (1936). MAIRE (1937). MALENçON & BERTAULT (1971). MALENçON &BERTAULT (1972). MALENçON & BERTAULT (1976). ROCABRUNA (1984). LLISTOSELLA & AGUASCA (1986). SANCLEMENTE & LLIMONA (1987). SOC.CAT.MICOLOGÍA (1987). TABARÉS & ROCABRUNA (1987). ROCABRUNA & TABARÉS (1988). LLISTOSELLA & AGUASCA (1990).
Hemimycena delicatella (Peck) Sing. Mora d' Ebre (Ribera d'Ebre), Tarragona, CF05 Leg. S. Sancleme nte , 15-1 1-87. SSN 15 55. Hàb. : En grupos, sobre acículas de coníferas: con frecuencia en bosques baj os y térmicos de P. ha/epensis./ Citas bibl .: MAIRE (19 933) . HEIM (19 34) . LOSA (1946) . MAL ENÇON & BERTAULR (1971). MA LENÇON & BERTA ULT (197 2) LASUNCION et al. (1 974). MALENÇON & BERTAUL T (1 976). LLIMONA (1 9840. SANCLEMENTE & LLIMONA (19 87). TABAR É S & ROCABRUNA (19 87).
Hemimycena delicatella (Peck) Sing. Mora d'Ebre (Ribera d'Ebre), Tarragona, CF05. Leg. S. Sanclemente, 15-11-87. SSN 1555. Háb.: En grupos, sobre acículas de coníferas: con frecuencia en bosques bajos y térmicos de P. halepensis./ Citas bibl.: MAIRE (19933). HEIM (1934). LOSA (1946). MALENçON & BERTAULR (1971). MALENçON & BERTAULT (1972). LASUNCION et al. (1974). MALENçON & BERTAULT (1976). LLIMONA (19840. SANCLEMENTE & LLIMONA (1987). TABARÉS & ROCABRUNA (1987).
Laccaria laccata (Scop: Fr.) Bk . & Br.
Tarrambó, Port de la Selva (Alta Empord à), Gerona, EG18, en bosque de P. pinea. Leg. X. Llimona, 25-1 0- 86. SSN 15 67.- Umbría al W de Mc kintosh, Mon troses, Port de la Selva (Alt Empord à), Gerona, EG 18. Leg. X. Llimona, 25- 1 0- 86. SSN 15 68.- Baixador de Vallvidrera (Barcelonè s), Barcelona, DF28, en bosque de P. ha/ep ensis, Cistus y U/ex. Leg J. Llistosella, 27-1 1- 86. SSN 15 69.- Blanes (Selva), Gerona, DG 81. Leg. E. Gracia, 11 -12 -89. Hà b.: Cespitosa o gregaria , en los margenes de caminos y en claros de bosqu es, entre musgos ./ Citas bibl .: CODINA & FONT QUER (1931). PEARSON (19 31). MAIRE (19 33) HEIM (19 34) MA UBLANC (19 36) font quer (19 54) BERTAUX (19 64) LLENSA DE GELCEN (197 0). MA LENÇON & BERTAUL T (1 971). AGUASA et al. (19 82) SOC.CAT. MICOLO GIA (19 83). BALLE STEROS (19 84). LLIMONA (19 84). ROCABRUNA (19 84) . D Í EZ (19 86). LLISTOSELLA & AGUASCA (19 86). SANCLEMENTE -FT S.C.M. (19 86). SANCLEMENTE & LLIMONA (19 87). TABAR É S & ROCABRUNA (19 87). ROCABRUNA & TABAR É S (19 88). LLIS TOSELLA & AGUASCA (19 90)
Laccaria laccata (Scop: Fr.) Bk. & Br. Tarrambó, Port de la Selva (Alta Empordá), Gerona, EG18, en bosque de P. pinea. Leg. X. LLimona, 25-10-86. SSN 1567.- Umbría al W de Mckintosh, Montroses, Port de la Selva (Alt Empordá), Gerona, EG18. Leg. X. Llimona, 25-10-86. SSN 1568.- Baixador de Vallvidrera (Barcelonés), Barcelona, DF28, en bosque de P. halepensis, Cistus y Ulex. Leg. J. Llistosella, 27-11-86. SSN 1569.- Blanes (Selva), Gerona, DG81. Leg. E. Gracia, 11-12-89. Háb.: Cespitosa o gregaria, en los márgenes de caminos y en claros de bosques, entre musgos./ Citas bibl.: CODINA & FONT QUER (1931). PEARSON (1931). MAIRE (1933). HEIM (1934). MAUBLANC (1936). font quer (1954). BERTAUX (1964). LLENSA DE GELCEN (1970). MALENçON & BERTAULT (1971). AGUASA et al. (1982). SOC.CAT.MICOLOGIA (1983). BALLESTEROS (1984). LLIMONA (1984). ROCABRUNA (1984). DÍEZ (1986). LLISTOSELLA & AGUASCA (1986). SANCLEMENTE-FT S.C.M. (1986). SANCLEMENTE & LLIMONA (1987). TABARÉS & ROCABRUNA (1987). ROCABRUNA & TABARÉS (1988). LLISTOSELLA & AGUASCA (1990).
Laccaria tortilis (Bolt .) S.F. Gray. Hostalric (Selva), Gerona, DG72, en plantación de Pop u/us. Leg. A. Rocabruna, 30-4-8 8. SSN. 16 41 Citas bibl .: MAIRE (19 33). MAUBLANC (19 36) MA IRES (19 37). ROCA BRUNA & TABAR É S (19 88).
Laccaria tortilis (Bolt.) S.F. Gray. Hostalric (Selva), Gerona, DG72, en plantación de Populus. Leg. A. Rocabruna, 30-4-88. SSN. 1641. Citas bibl.: MAIRE (1933). MAUBLANC (1936). MAIRES (1937). ROCABRUNA & TABARÉS (1988).
Lyo yllum fumosum (Pers . : Fr . ühn . & o magn . Coll Fe , Garraf (Garraf) , Barcelona, DF06. Leg. T. Canals, 22 -11- 87. SSN 15 73.- Roca Tallada, Salou (Tarra gonès), Tarragona, CF44, en bosque de P. ha/ep ensis. Leg. X. Llimona, 1-1 1-87. SSN 16 34. Citas bibl .: CODINA & FONT QUER (19 31). SOLA (19 25). MAIRE (19 33). SANCLEMENTE & LLIMONA (19 87).
Lyophyllum fumosum (Pers.: Fr.) Kühn. & Romagn. Coll Fe, Garraf (Garraf), Barcelona, DF06. Leg. T. Canals, 22-11-87. SSN 1573.- Roca Tallada, Salou (Tarragonés), Tarragona, CF44, en bosque de P. halepensis. Leg. X. Llimona, 1-11-87. SSN 1634. Citas bibl.: CODINA & FONT QUER (1931). SOLA (1925). MAIRE (1933). SANCLEMENTE & LLIMONA (1987).

Butll. Soc. Catalana Micol. 14-15 13-20 Barcelona 1991
16 Bu tll. Soc. Catalana Micol. 14-15 13-20 Barcelona 1991
Lyophyllum infumatum (Bres .) Kühn.
Lyophyllum infumatum (Bres.) Kühn.
Mu ntanya Pelada, Sant Pere Màtir, Collserola (Barcelonès) , Barcelona, DF28 , en bosque de P. haJepensis. Leg. M. Tabar és, 16-5-88 SSN 1615
Muntanya Pelada, Sant Pere Mátir, Collserola (Barcelonés), Barcelona, DF28, en bosque de P. halepensis. Leg. M. Tabarés, 16-5-88. SSN 1615.
Hà b.: Puede encontrarse en bosques de coní feras o de caducifolios .j Ctias bibl .: SANCLEMENTE & LLIMONA (19 87). TABAR É S & ROCAB RUNA (19 87). ROCABRUNA & TABAR É S (19 88).
Háb.: Puede encontrarse en bosques de coníferas o de caducifolios./ Ctias bibl.: SANCLEMENTE & LLIMONA (1987). TABARÉS & ROCABRUNA (1987). ROCABRUNA & TABARÉS (1988).
Lyophyllum loricatum (Fr.) Kühn.
Lyophyllum Ioricatum (Fr.) Kühn.
Vallgrossa (Garraf) , Barcelona, DF06 Leg. T. Canals, 22 -11- 87. SSN 1577.
Vallgrossa (Garraf), Barcelona, DF06. Leg. T. Canals, 22-11-87. SSN 1577.
Hà b.: En bosques de planifolio s.j Citas bibl. : CODINA & FONT QUER (19 31 ). MAIRE (19 33) HEIM (19 34) MAUBLANC (1 936). MAIRE (19 37. BERTAUX (19 64) MALE NÇON & BERTAULT (1971). SANCLEMENT & LLIMONA (19 87).
Háb.: En bosques de planifolios./ Citas bibl.: CODINA & FONT QUER (1931). MAIRE (1933). HEIM (1934). MAUBLANC (1936). MAIRE (1937. BERTAUX (1964). MALENçON & BERTAULT (1971). SANCLEMENT & LLIMONA (1987).
Marasmius carpathicus Kalchbr
Marasmius carpathicus Kalchbr.
Mu ntanya Pelada, Sant Pere Màrtir , Collserola, (Barcelo nès), Barcelona, DF28 Leg. X. Llimona, 12 -1 1-87. SSN 15 64, SSN 1510
Muntanya Pelada, Sant Pere Mártir, Collserola, (Barcelonés), Barcelona, DF28. Leg. X. Llimona, 12-11-87. SSN 1564, SSN 1510.
Háb.: En bosques térmicos de P. halepensis, aislado o en grupos./ Citas bibl.: TABARÉS-FT S.C.M. (1984). SANCLEMENT & LLIMONA (1987). TABARÉS & ROCABRUNA (1987).
Hà b.: En bosques térmicos de P. haJepensis, aislado o en grupos .j Citas bibl .: TABAR É S-FT S.C.M. (19 84) SANCLEMENT & LLIMONA (19 87). TABAR É S & ROCABRUNA (19 87).
Marasmius cohaerens (Pers.: Fr.) Fr.
Marasmius cohaerens (Pers .: Fr.) Fr.
Font de l'Arc, Sant Hilari Sacalm (Selva), Gerona, DG53, en bosque de P. halepensis y Pseudotsuga. Leg. X. Llimona, 5-11-87. SSN 1635.
Font de l' Arc, Sant Hilari Sacalm (Selva) , Ge rona, DG53, en bosque de P. haJepensis y Ps eudotsuga. Leg. X. Llimona, 5- 11 - 87. SSN 16 35.
Citas bibl .: HEIM (19 34) MAIRE (19 37). SIN GER (19 47).
Citas bibl.: HEIM (1934). MAIRE (1937). SINGER (1947).
Marasmius collinus (Scop. ex Fr.) Sing.
Turó d'en Docí, sobre Mataró (Maresme), Barcelona, DF59, en bosque de P. pinea. Leg. A. Juliá, 4-5-88. SSN 1640.
Marasmius collinus (Scop . ex Fr.) Sing. Turó d'en Docí, sobre Mataró (Maresm e), Barcelona, DF59, en bosque de P. pin ea. Leg. A. Julià, 4-5 -88. SSN 16 40.
Citas bibl.: SINGER (19 47) . MA LEÇON & BERTAULT (1 976). LOSA et al. (19 80) ROCABRUNA (19 84)
Citas bibl.: SINGER (1947). MALEçON & BERTAULT (1976). LOSA et al. (1980). ROCABRUNA (1984).
Marasmius graminum (Libert) Berk.
Marasmius graminum (Lib ert) Berk
Santa Coloma de Farners (Selva), Gerona, DG73, sobre restos de gramíneas. Leg. M. Tabarés, 22-5-88. SSN 1547.
Santa Coloma de Farners (Selva) , Gerona, DG73, sobre restos de gramíne as. Leg. M. Tabarés, 22-5- 88. SSN 1547.
Háb.: Sobre hojas y tallos de gramíneas en descomposición.
Hà b.: Sobre hojas y tallos de gramíneas en descomposici ón.
Marasmius limosus Boud. et Quél.
Marasmius Iimosus Boud. et Quél .
Dosrius (Maresme), Barcelona, DG50, sobre restos de gramíneas. Leg. A. Rocabruna, 18-11-88. SSN 1653
Dosrius (M aresme) , Barcelona, DG50, sobre restos de gramíne as. Leg. A. Rocabruna, 18 -1 1-88. SSN 16 53.
Háb.: Sobre hojas y tallos de gramíneas en descomposición.
Hà b.: Sobre hojas y tallos de gramíneas en descompos ición.
Marasmius lupuletorum (Weinm.) Fr.
Marasmius lupuletorum (Weinm.) Fr.
Santa Fe del Montseny, Fogars de Montclús, Montseny (Vallès Oriental ), Barcelona, DG52, llano de las sequo ias Leg. A. Rocabruna, 6-8-8 7. SSN 15 49
Citas bibl. : ROCABRUNA & TABAR É S (19 88).
Santa Fe del Montseny, Fogars de Montclús, Montseny (Vallés Oriental), Barcelona, DG52, llano de las sequoias. Leg. A. Rocabruna, 6-8-87. SSN 1549. Citas bibl.: ROCABRUNA & TABARÉS (1988).
Marasmius oreadas (Bolt: Fr.) Fr.
Marasmius oreadas (Bolt: Fr.) Fr.
Font de l'Arc, Sant Hilari Sacalm (Selva), Gerona, DG53, en prado. Leg. X. Llimona, 5-11-87. SSN 1505.
Font de l'A rc, Sant Hil ari Sacalm (Selva) , Gerona, DG 53, en prado. Leg. X. Llimo na, 5-1 1- 87. SSN 15 05.
Hà b.: Mu y abundante en pastos o céspedes .j Citas bibl .: ARANZADI (19 05). ARANZADI (19 08). CODINA & FONT QUER (19 31). FONT QUER (19 31). MAIRE (19 33). HEIM (1 934) MAUBLANC (19 36). MAIRE (19 37). SINGER (19 47). LLENSA DE GEL CEN (1 970). MALE NÇON & LLIMONA (19 80)
SOc. CAT. MI COLOGIA (19 82). FAUS-FT S.C.M. (19 83). BALLESTEROS (19 84) . LLIMONA (19 84) .
Háb.: Muy abundante en pastos o céspedes./ Citas bibl.: ARANZADI (1905). ARANZADI (1908). CODINA & FONT QUER (1931). FONT QUER (1931). MAIRE (1933). HEIM (1934). MAUBLANC (1936). MAIRE (1937). SINGER (1947). LLENSA DE GELCEN (1970). MALENçON & LLIMONA (1980). SOC. CAT. MICOLOGIA (1982). FAUS-FT S.C.M. (1983). BALLESTEROS (1984). LLIMONA (1984).

ROCABRUNA (19 84) . D Í EZ (19 86). LLISTOSELLA & AGUASCA (19 86). SANCLEMENTE & LLIMONA (19 87). ROCABRUNA & TABAR É S (19 88) . LLISTOSELLA & AGUASCA (19 90) .
ROCABRUNA (1984). DÍEZ (1986). LLISTOSELLA & AGUASCA (1986). SANCLEMENTE & LLIMONA (1987). ROCABRUNA & TABARÉS (1988). LLISTOSELLA & AGUASCA (1990).
Marasmius wynneii Bk. & Br. Santa Fe del Mo ntseny, Fogars de Montclús, Montseny (Vallès Oriental) , Barcelona, DG52 , en bosque de F. sylvatica. Leg. A. Rocabruna, 12 -8-8 7. SSN 15 87.
Marasmius wynneii Bk. & Br. Santa Fe del Montseny, Fogars de Montclús, Montseny (Vallés Oriental), Barcelona, DG52, en bosque de F. sylvatica. Leg. A. Rocabruna, 12-8-87. SSN 1587.
Hà b. : En bosque de planifolios ./ Citas bib! .: MAIRE (19 33) HEIM (19 34) MAIRE (19 37). MALEÇON & LLIMONA (19 80). SIQUIER & CONSTA NTINO (1 9820. SANCLEMENTE & LLIMONA (19 87). ROCABRUNA Y TABAR É S (19 88).
Háb.: En bosque de planifolios./ Citas bibl.: MAIRE (1933). HEIM (1934). MAIRE (1937). MALEçON & LLIMONA (1980). SIQUIER & CONSTANTINO (19820. SANCLEMENTE & LLIMONA (1987). ROCABRUNA Y TABARÉS (1988).
Melanoleuca rasilis (Fr.) Sing.
El medol (Tarragonès) , Tarragona, CF65, en bosque de P. ha lepensis. Leg. X. Llimona, 30- 10 -87. SSN 15 08.
Melanoleuca rasilis (Fr.) Sing. El medol (Tarragonés), Tarragona, CF65, en bosque de P. halepensis. Leg. X. Llimona, 30-10-87. SSN 1508.
Hà b.: Preferentemente en bosques de P. ha lepensis, a baja altitud ./ Citas bib! .: RIVAS & LOSA (19 69)
Háb.: Preferentemente en bosques de P. halepensis, a baja altitud./ Citas bibl.: RIVAS & LOSA (1969).
Mycena amicta (Fr.) Qué!
Mycena amicta (Fr.) Quél.
Canyamars, Dosrius (Maresme), Barcelona, DG50. Leg. A. Rocabruna, 26-3-89. SSN 1701.
Háb.: Suelos musgosos./ Citas bibl.: HEIM (1934). MAIRE (1937). SANCLEMENTE (1988).
Canyam ars, Dosrius (Ma resme) , Barcelona, DG50. Leg. A. Rocabruna, 26-3- 89. SSN 17 01. Hàb. : Suelos musgosos ./ Citas bib! .: HEIM (19 34) . MAIRE (19 37). SANCLEMENTE (19 88).
Mycena crocata (Schrad: Fr.) Kummer
Mycena crocata (Schrad: Fr.) Kummer
Font de l'ArÇ, Sant Hilai Sacalm (Selva), Gerona, DG53, en bosque de F. sylvatica y Pseudotsuga. Leg. X. Llimona, 5-11-87. SSN 1506.
Font de l'Arç, Sant Hilai Sacalm (Selva) , Gerona, DG53, en bosque de F. sylva tica y Pseudotsuga . Leg. X. Llimona, 5- 1 1-87. SSN 15 06.
Hàb. : En bosque de hayas y encin as ./ Citas bibl .: MAIR E (19 33). SINGER (1947) . ROCABRUNA & TABARES (19 88). SANCLEMENTE (19 88).
Háb.: En bosque de hayas y encinas./ Citas bibl.: MAIRE (1933). SINGER (1947). ROCABRUNA & TABARES (1988). SANCLEMENTE (1988).
Mycena f1avoalba (Fr.) Qué!.
Mycena flavoalba (Fr.) Quél.
Font de l'ArÇ, Sant Hilad Sacalm (Selva), Gerona, DG53, en bosque de F. sylvatica y Pseudotsuga. Leg. X. Llimona, 5-11-87. SSN 1509.
Font de l'Arç, Sant Hilari Sacalm (Selva), Gerona, DG53, en bosque de F. sylva tica y Pseudotsuga. Leg. X. Llimona, 5- 1 1- 87. SSN 15 09.
Citas bib! .: MAIRE (1933). MAUBLANC (19 36). MAIR E (19 37). SINGER (19 47)
Citas bibl.: MAIRE (1933). MAUBLANC (1936). MAIRE (1937). SINGER (1947).
Mycena meliigena (Berk. & Cke. ap. Cke.) Sacc.
Mycena meliigena (Berk. & Cke ap. Cke .) Sacc.
Vista Rica, Collserola (Barcelonè s), Barcelona, DF28, sobre Q. cerrioides. Leg. X. Llimo na, 28-3 -83. SSN 15 66.
Vista Rica, Collserola (Barcelonés), Barcelona, DF28, sobre Q. cerrioides. Leg. X. Llimona, 28-3-83. SSN 1566.
Háb.: Sobre corteza de árboles vivos y musgosos, tanto de coníferas como de caducifolios./ Citas bibl.: MALEçON & LLIMONA (1980). ROCABRUNA (1984). LLISTOSELLA & AGUASCA (1986). SOC. CAT. MICOLOGIA (1987). TABARÉS & ROCABRUNA (1987). SANCLEMENTE (1988). SANCLEMENTE-FT S.C.M. (1990).
Hà b. : Sobre corteza de arboles vivos y musgosos, tanto de coníferas como de cadu cifolios ./ Citas bib! .: MALEÇON & LLIMONA (19 80) . ROCABRUNA (19 84) . LLISTOSELLA & AGUASCA (19 86). SOc . CAT. MI COLOGIA (19 87). TABAR É S & RECABRUNA (19 87). SANCLEMENTE (19 88). SANCLEME NTE-FT S.C.M. (19 90)
Oudemansiella badia (Quél.) Moser
Oudemansiella badia (Qu é!.) Moser
Vall vidrera (Barcelon ès) , Barcelona, DF28, en bosque mixto. Leg. M. Tabarés, 19 -11- 87. SSN 15 70.Sant Cugat del Vallès (Vallès Oriental), Barcelona, DF29, en bosque de Q.Ilex Leg. M. Tabarés, 17 -9-8 7.
Vallvidrera (Barcelonés), Barcelona, DF28, en bosque mixto. Leg. M. Tabarés, 19-11-87. SSN 1570.Sant Cugat del Vallés (Vallés Oriental), Barcelona, DF29, en bosque de Q.Ilex. Leg. M. Tabarés, 17-9-87.
Hà b. : Preferentemente ,en bosques de planifolios ./ Citas bib! .: SANCLEMENTE & LLIMONA (19 87).
Háb.: Preferentemente,en bosques de planifolios./ Citas bibl.: SANCLEMENTE & LLIMONA (1987).
Oudemansiella platyphylla (Pers .: Fr.) Mos.
Sant Martí del Mont negre (Vallès Oriental), Barce lona, DG 61, en bosque de C.sa tiva Leg. S. Sanclemente , 1- 6- 88. SSN 15 45, SSN 15 46.
Oudemansiella platyphylla (Pers.: Fr.) Mos. Sant Martí del Montnegre (Vallés Oriental), Barcelona, DG61, en bosque de C.sativa. Leg. S. Sanclemente, 1-6-88. SSN 1545, SSN 1546.
Sobre restos e osos e terra os itas bibl.: PEARSON (1 933). HEIM (19 34) MAU BLANC (19 36) SINGER (19 47) POLO (1982). BAL LESTEROS (19 84) LLIMONA (19 84). ROCABRUNA (19 84) DIEZ (19 86). LLISTOSELLA & AGUASCA (19 86). SANCLEMENTE & LLIMONA (19 87). ROCABRUNA & TABAR É S (19 88). CARR ASCOSA-FT S.C.M. (19 90) LLISTOSELLA & AGUASCA (19 90)
Háb,: Sobre restos leñosos enterrados./ Citas bibl.: PEARSON (1933). HEIM (1934). MAUBLANC (1936). SINGER (1947). POLO (1982). BALLESTEROS (1984). LLIMONA (1984). ROCABRUNA (1984). DIEZ (1986). LLISTOSELLA & AGUASCA (1986). SANCLEMENTE & LLIMONA (1987). ROCABRUNA & TABARÉS (1988). CARRASCOSA-FT S.C.M. (1990). LLISTOSELLA & AGUASCA (1990).
18

Butll. Soc. Catalana Micol. 14 -15 13 -20 Barcelona 1991
Butll. Soc. Catalana Micol. 14-15 13-20 Barcelona 1991
Tricholoma aurantium (Schaeff. ex. Fr.) Ricken
Tricholoma aurantium (Schaeff. ex. Fr.) Ricken
Collsacabra (Osona) , Barcelona, en bosque de F. sylva ti ca. Leg. J. Blanco, 8- 11 - 87. SSN 15 56. Citas bib l.: CODINA & FONT QUER (19 31). MAIRE (19 33). HEIM (19 34) . MAIRE (19 37). SINGER (19 47) . MAL ENÇON & BERTAUL T (1971). MA LENÇON & BERTAULT (1 972) . SOC. CAT. MI COLOGIA (19 82). ROCABRUNA & TABAR É S (19 88). SOc. CAT. MI COLOGIA (19 88).
Collsacabra (Osona), Barcelona, en bosque de F.sylvatica. Leg. J. Blanco, 8-11-87. SSN 1556. Citas bibl.: CODINA & FONT QUER (1931). MAIRE (1933). HEIM (1934). MAIRE (1937). SINGER (1947). MALENçON & BERTAULT (1971). MALENON & BERTAULT (1972). SOC. CAT. MICOLOGIA (1982). ROCABRUNA TABARÉS (1988). SOC. CAT. MICOLOGIA (1988).
Tricholoma caligatum (Viv.) Ricken.
Tricholoma caligatum (Viv .) Ric ken.
Coll Fe, Garraf (Garraf) , Barcelona, DF06, en bosques de P. ha lepensis. Leg. T. Canals, 22 -1- 87. SSN 15 80.
Coll Fe, Garraf (Garraf), Barcelona, DF06, en bosques de P. halepensis. Leg. T. Canals, 22-1-87. SSN 1580.
Hà b.: En bosque de coníferas, especialmente pinar es situados a escasa altitud o en zonas de inviernos suaves ./ Citas bib l.: CODINA & FONT QUER (19 31). MAIRE (19 33) HEIM (19 34) MAINE (19 37). SINGER (19 47) LLENSA DE GELCEN (1 970). MA LENÇON & BERTAULT (1971). MA LENÇON & BERTAULR (1 972). CALONGE & ZUGAZA (19 73). LASUNCION et al. (1 97 4) MALENÇON & BERTAULT (19 76. BERTAUL T (19 82). BALLESTEROS (19 84) FINSCHOW (19 84) ROCABRUNA (19 84) SOC .C AT.M ICOLOGIA (19 85). DIEZ (19 86). SANCLEME NTE-FT S.C.M. (19 86). SANCLEME NTE & LLIMONA (19 87). ROCA BRUNA & TABAR É S (19 88). LLISTOSELLA & AGUASCA (19 90) .
Háb.: En bosque de coníferas, especialmente pinares situados a escasa altitud o en zonas de inviernos suaves./ Citas bibl.: CODINA & FONT QUER (1931). MAIRE (1933). HEIM (1934). MAINE (1937). SINGER (1947). LLENSA DE GELCEN (1970). MALENçON & BERTAULT (1971). MALENçON & BERTAULR (1972). CALONGE & ZUGAZA (1973). LASUNCION et al. (1974). MALENçON & BERTAULT (1976. BERTAULT (1982). BALLESTEROS (1984). FINSCHOW (1984). ROCABRUNA (1984). SOC.CAT.MICOLOGIA (1985). DIEZ (1986). SANCLEMENTE-FT S.C.M. (1986). SANCLEMENTE & LLIMONA (1987). ROCABRUNA & TABARÉS (1988). LLISTOSELLA & AGUASCA (1990).
Tricholoma terreum (Schaeff. ex. Fr.) Kummer Coll Fe, Garraf (Garraf), Barcelona, DF06, en bosque de P. halepensis. Leg. T. Canals, 22-1-87. SSN 1575.
Tricholoma terreum (Schaeff. ex. Fr.) Kummer Coll Fe, Garraf (Garraf) , Barcelona, DF06, en bosque de P. ha lepensis. Leg. T. Canals, 22- 1-87. SSN 157 5.
Hà b.: Muy abundante en pinares, especialmente sobre suelo caldire os ./ Citas bib l.: CODINA QUER (19 31). FONT QUER (19 31). PEARSON (19 31). MAIRE (19 33) HEIM (19 34) MA UBLANC (19 36). MAIRE (19 37). SINGER (19 47). FONT QUER (19 54) BERTAUX (19 64) LLENSA DE GEL CEN (1 97 0) MALE NÇON & BERTAULT (1971). MA LENÇON & BERTAULT (1 972 ). LASUNCION et al. (1 974). MA LENÇON & BERTAUL T (1 976). LOSA et al. (19 82). BERTAULT (19 82). SOc. CAT. MICOLOGIA (19 82). FAUST-FT S.C.M. (19 83). HON RUBIA & LLIMONA (19 83). BALLESTEROS (19 84) FI NSCHOW (19 84) LLIMONA (19 84) ROCABRUNA (19 84). DIEZ (19 86). LLISTOSELLA & AGUASCA (19 86). SANCLEMENTE & LLIMONA (19 87). TABAR É S & ROCA BRUNA (19 87). ROCABRUNA & TABA RES (19 88). LLISTOSELLA & AGUASCA (19 90)
Háb.: Muy abundante en pinares, especialmente sobre suelo calcáreos./ Citas bibl.: CODINA QUER (1931). FONT QUER (1931). PEARSON (1931). MAIRE (1933). HEIM (1934). MAUBLANC (1936). MAIRE (1937). SINGER (1947). FONT QUER (1954). BERTAUX (1964). LLENSA DE GELCEN (1970). MALENçON & BERTAULT (1971). MALEWON & BERTAULT (1972). LASUNCION et al. (1974). MALENçON & BERTAULT (1976). LOSA et al. (1982). BERTAULT (1982). SOC. CAT. MICOLOGIA (1982). FAUST-FT S.C.M. (1983). HONRUBIA & LLIMONA (1983). BALLESTEROS (1984). FINSCHOW (1984). LLIMONA (1984). ROCABRUNA (1984). DIEZ (1986). LLISTOSELLA & AGUASCA (1986). SANCLEMENTE & LLIMONA (1987). TABARÉS & ROCABRUNA (1987). ROCABRUNA & TABARES (1988). LLISTOSELLA & AGUASCA (1990).
Tricholomopsis rutilans (Schaeff. ex Fr.) Sing. Coll Fe, Garraf (Garraf), Barcelona, DF06, en bosque de P. halepensis. Leg. T.Canals, 22-11-87. SSN 1576.
Tricholomopsis rutilans (Schaeff. ex Fr.) Sing. Coll Fe , Garraf (Garraf), Barcelona, DF06, en bosque de P. ha lepensis. Leg. T.C anals, 22 -1 1-87. SSN 1576.
Háb.: Lignícola, aislado o en grupos, sobre madera de coníferas./ Citas bibl.: CODINA & FONT QUER (1931). PEARSON (1931). MAIRE (1933). HEIM (1934). MAIRE (1937). SINGER (1947). BERTAUX (1964). LLENSA DE GELCEN (1970). MALENçON BERTAULT (1971). LOSA et al. (1980). BERTAULT (1982). BALLESTEROS (1984). ROCABRUNA (1984). SOC. CAT. MICOLOGIA (1984). DIEZ (1986). LLISTOSELLA & AGUASCA (1986). SANCLEMENTE-FT S.C.M. (1986). SANCLEMENTE & LLIMONA (1987). ROCABRUNA & TABARÉS (1988).
Hà b.: Lignícola, aislado o en grupos, sobre mader a de coníferas ./ Citas bib l.: CODINA & FONT QUER (19 31). PEARSON (19 31). MAIRE (19 33). HEIM (19 34) MAIRE (19 37). SINGER (19 47). BERTAUX (19 64) LLENSA DE GEL CEN (1 97 0) MALENÇON & BERTAULT (1971). LOSA et al. (19 80). BERTAULT (19 82). BALLE STEROS (19 84) ROCA BRUNA (19 84) SOc. CAT. MI COLOGIA (19 84) DIEZ (19 86). LLIS TOSELLA & AGUASCA (19 86). SANCLEMENTE-FT S.C.M. (19 86). SANCLEME NTE & LLIMONA (19 87). ROCABRUNA & TABAR É S (19 88).
NOTA
NOTA
A continuación indicamos el nombre completo de las plantas superiores correspondientes a las abrev iaturas utilizadas en el presente trabaj o:
A continuación indicamos el nombre completo de las plantas superiores correspondientes a las abreviaturas utilizadas en el presente trabajo:
C. sa tiva = Castanea sa tiva Miller
C. sativa = Castanea sativa Miller
F. sylva tica = Fagus sylvatica
F. sylvatica = Fagus sylvatica L.
P. halepensis = Pinus halepensis Miller
P. ha lepensis = Pin us ha lepensis Miller
P. pinea = Pin us pinea L.
P. pinea = Pinus pinea L.
Q. cerrioides = Quercus cerrioides Willk et Costa
Q. cerrioides = Quercus cerrioides Willk. et Costa
Q. ilex = Quercus ilex L.
Q. ilex = Quercus ilex L.

ButIl. Soc. Ca talana Micol. 14 -15 13 -20 Barcelona 1991
BIBLlOGRAFÍA 19
BIBLIOGRAFÍA
AGUASCA, M. et al (1 982): Aportación al catalogo micológico de Menorca. CoIlectanea Botanica 13 (2): 385-389.
AGUASCA, M. et al. (1982): Aportación al catálogo micológico de Menorca. Collectanea Botanica 13 (2): 385-389.
ARANZA DI, T. (19 05) : Lista de hongos del Empalme (Gerona) recibidos en Noviembre de 19 05 Bol. Real Soc. Española His t. Nat. 5: 499-50 1.
ARANZADI, T. (1905): Lista de hongos del Empalme (Gerona) recibidos en Noviembre de 1905. Bol. Real Soc. Española Hist. Nat. 5: 499-501.
ARANZA DI, T. (1 908): Hongos observados en Cataluña durante el otoño de 1907 Bol. Real Soc. Espa ñola. Hist. Nat. Julio 1908: 351- 356.
ARANZADI, T. (1908): Hongos observados en Cataluña durante el otoño de 1907. Bol. Real Soc. Española. Hist. Nat. Julio 1908: 351-356.
BALLESTER OS, E. (19 84): Primera contribució al coneixement dels macromicets del Massís de les Cadiretes (La Selva). Bu tIl. Inst. Cat. Hist. Nat. 51.(Secc. Bot . 5): 67 -7 6.
BALLESTEROS, E. (1984): Primera contribució al coneixement deis macromicets del Massís de les Cadiretes (La Selva). Butll. Inst. Cat. Hist. Nat. 51.(Secc. Bot. 5): 67-76.
BERTAULT, R. (19 82): Contribution à le flore mycologique de la Catalogne. Acta Bot. Barcinonensia 34: 35 pp.
BERTAULT, R. (1982): Contribution á le flore mycologique de la Catalogne. Acta Bot. Barcinonensia 34: 35 pp.
BERTAUX, A. (1 964) : Campagne mycologique de 19 61. Champignons déterminés. CoIle ctanea Botanica 6 (3) : 457-465.
BERTAUX, A. (1964): Campagne mycologique de 1961. Champignons déterminés. Collectanea Botanica 6 (3): 457-465.
BERTAUX, A. (19 64) : Champignons exposés à Barcelone en octobre 19 61. CoIlectanea Botanica 6 (3): 467-474.
BERTAUX, A. (1964): Champignons exposés á Barcelone en octobre 1961. Collectanea Botanica 6 (3): 467-474.
CALONGE, FD. & ZUGAZA, A. (1973): Catálogo de los hongos presentados en la I Exposición de Madrid del 1-5 de Noviembre de 1972. Anal. Inst. Bot. A.J. Cavanilles 30: 33-35.
CALONGE, FD. & ZUGAZA , A. (19 73): Catalogo de los hongos presentados en la I Exposición de Madrid del 1-5 de Noviembre de 1972. Anal. Inst. Bot. A.J CavaniIles 30: 33-35.
CODINA, J. & FONT QUER, P. (1931) : Introducció a l'estudi dels macromicets de Cat alunya. CavaniIles 3: 10 0-1 89.
CODINA, J. & FONT QUER, P. (1931): Introducció a l'estudi deis macromicets de Catalunya. Cavanilles 3: 100-189.
DICCIONARI NOMENCLATOR DE POBLES I POBLATS DE CATALUNYA (1964): Edit. Aedos, Barcelona.
DÍEZ, M.M. (1986): La micologia, els fongs i els bolets. L'Erol 17: 16-27.
DICCIONARI NOMENCLATOR DE POBLES I POBLATS DE CATALUNY A (1 964) : Edit. Aedos, Barcelona. D Í EZ, M.M. (19 86) : La micologia, els fongs i els bolets. L'Erol 17: 16 -27.
FINSCHOW, G. (19 84) : Contributions to the higher fungal flora of Eivissa. Biography and Ecology oi the Pi tyusic Isla nds, cap. 6: 13 7-1 54. Monographiae Biologicae Vol. 52. Dr. W. JUNK Publishers.
FINSCHOW, G. (1984): Contributions to the higher fungal flora of Eivissa. Biography and Ecology of the Pityusic Islands, cap. 6: 137-154. Monographiae Biologicae Vol. 52. Dr. W. JUNK Publishers.
FOLGADO, R.V. (19 83): Contribución al estudio de la micoflora de la dehesa de la Albufera de Valencia. Tesina de Licenciatura Inédita.
FOLGADO, R.V. (1983): Contribución al estudio de la micoflora de la dehesa de la Albufera de Valencia. Tesina de Licenciatura Inédita.
FOLGADO, R., HONRUBIA, M. & COSTA, M. (1 984): Notas sobre los hongos de la dehesa de la Albufera (Valencia, España) I. Int. J. Myc. Lich. 1 (3) : 351 -365
FOLGADO, R., HONRUBIA, M. & COSTA, M. (1984): Notas sobre los hongos de la dehesa de la Albufera (Valencia, España) I. Int. J. Myc. Lich. 1 (3): 351-365.
FONT QUER, P. (1 93 1): Notes sobre bolets catalalans. Bu tIl. Ins. Cat. Hist. Nat. Vol. XXXI, n.7: 1-3.
FONT QUER, P. (1931): Notes sobre bolets catalalans. Butll. Ins. Cat. Hist. Nat. Vol. XXXI, n.7: 1-3.
FONT QUER, P. (1959): Plantes de Greixa (Pirineo Catalán). Collectanea Botanica Vol. IV, fasc. I, n.10: 173-177.
FONT QUER, P. (1 959): Plantes de Greixa (Pirineo Catalan). CoIlectanea Botanica Vol. IV, fasc. I, n. 10: 17 3- 177.
HEIM, R. (1934): Fungi iberici. Observations sur la Flore Mycologique Catalane. Treb. Mus. Cienc. Nat. Barcelona 15 (3). 146 pp.
HEIM, R. (19 34): Fungi iberici. Observations sur la Flore Mycologique Catalane. Tre b. Mus. Cienc. Nat. Barcelona 15 (3) 146 pp.
HONRUBIA, M. & LLI MONA, X. (19 83): Aportación al conocimiento de los hongos del SE de España. X. Boletales, Agaricales, Rusulales. An. Univ. de Murcia. Ciencias. 42 : 13 7-200.
HONRUBIA, M. & LLIMONA, X. (1983): Aportación al conocimiento de los hongos del SE de España. X. Boletales, Agaricales, Rusulales. An. Univ. de Murcia. Ciencias. 42: 137-200.
LAS UNCION, HLADUN, N. & LLIMONA, X. (1974) : AIgunos basidiomicetes recolectados en Torrellas de llobregat en otoño de 1971. Anal. del Inst. Bot. A.J Cavanilles 31 (2): 171-1 77.
LASUNCION, HLADUN, N. & LLIMONA, X. (1974): Algunos basidiomicetes recolectados en Torrellas de Llobregat en otoño de 1971. Anal. del Inst. Bot. A.J. Cavanilles 31 (2): 171-177.
LLENSA DE GELCEN, S. (197 0): Bolets de les rodalies d'Igualada. Centre d'Estudis Comarcals d'Igualada. 71 pp.
LLENSA DE GELCEN, S. (1970): Bolets de les rodalies d'Igualada. Centre d'Estudis Comarcals d'Igualada. 71 pp.
LL IMONA, X.(1 983): Sobre fongs de primavera a Catalunya. Bu tIl. Soc. Catalana de Micol. 7: 33-45. Barcelona.
LLIMONA, X.(1983): Sobre fongs de primavera a Catalunya. Butll. Soc. Catalana de Micol. 7: 33-45. Barcelona.
LLIMONA, X. (1984) : Llista d' especies de l' exposiciò de fongs organitzada a Barcelona, l' octubre de 1977. Bu tIl. Soc. Catalana Micol. 8: 39-46.
LLIMONA, X. (1984): Llista d'especies de l'exposició de fongs organitzada a Barcelona, l'octubre de 1977. Butll. Soc. Catalana Micol. 8: 39-46.
LL ISTOSE LLA, J. & AGUASCA, M. (1986): El 1. «Mini Foray» de la British Mycological Society a Catalunya (1 985). Bu tIl. Soc. Catalana Micol. 10: 19 -33.
LLISTOSELLA, J. & AGUASCA, M. (1986): El 1. «Mini Foray» de la British Mycological Society a Catalunya (1985). Butll. Soc. Catalana Micol. 10: 19-33.
LLISTOSELLA, J. & AGUASCA, M. (1990): Macromicets de l'illa de Menorca. Butll. Soc. Catalana Micol. 13: 17-32.
LL ISTOS ELLA, J. & AGUASCA, M. (19 90): Macromicets de l' illa de Menorca. Bu tIl. Soc. Catalana Micol. 13 : 17 -32.
LOSA, M. (1946): Algunos hongos de los alrededores de Barcelona. Collectanea Botanica 1(1): 9-23.
LOSA, M. (19 46) : AIgunos hongos de los alrededores de Barcelona. CoIlectanea Botanica 1(1) : 9-23
LOSA, J.M., ANDRES, J., CARBO, R. & GARCIA PRIETO, D. (1 980): Macromicetes de la comarca de Bergueda (Barcelona). Acta Botanica Malacitana 6: 57-74.
LOSA, J.M., ANDRES, J., CARBO, R. & GARCIA PRIETO, D. (1980): Macromicetes de la comarca de Berguedá (Barcelona). Acta Botanica Malacitana 6: 57-74.
MAIRE, R. (19 33): Fungi Catala unici . Contributions à l' etude de la flore mycologique de la Catalogne. Publ. nta enc Nat. a ce na 15 (2): 120 pp
MAIRE, R. (1933): Fungi Catalaunici. Contributions á l'etude de la flore mycologique de la Catalogne. Publ. Junta Cienc. Nat. Barcelona 15 (2): 120 pp.
MAIRE, R. (1 937) : Fungi Catalalunici. Series altera. Contribution à l' etude de la flore mycologique de la Catalogne. Publ. de l'Inst. Bot. Barcelona 3 (4): 128 pp.
MAIRE, R. (1937): Fungi Catalalunici. Series altera. Contribution á l'etude de la flore mycologique de la Catalogne. Publ. de l'Inst. Bot. Barcelona 3 (4): 128 pp.
MALENÇ ON, G & BERTAUL T, R. (197 1) : Champignons de la Péninsule Ibérique. I, 11, III. Act. Phyto tax. Barcinon ensia 8: 5-94.
MALENON, G & BERTAULT, R. (1971): Champignons de la Péninsule Ibérique. I, II, III. Act. Phytotax. Barcinonensia 8: 5-94.

20 Butll. Soc. Catalana Micol. 14-15 13 -20 Barcelona 1991
Butll. Soc. Catalana Micol. 14-15 13-20 Barcelona 1991
MALE NÇON, G. & BERTAUL T, R (1 972): Champignons de la Péninsule Ibérique. IV. Les Isles Baléares. Act. Phytotax. Barcinonensia. 11: 1- 64.
MALENçON, G. & BERTAULT, R (1972): Champignons de la Péninsule Ibérique. IV. Les Isles Baléares. Act. Phytotax. Barcinonensia. 11: 1-64.
MALENçON & BERTAULT, R (1976): Champignons de la Péninsule Iberique. V. Catalogne, Aragon, Andalousie. Acta Phytotax. Barcinonensia 19: 68 pp.
MALENçON, G et LLIMONA, X. (1980): Champignons de la Péninsle Iberique VI. Est et Sud-Est. An. Univ. Murcia. Ciencias 34: 47-135.
MA LENÇ ON & BERTAUL T, R (19 76): Champignons de la Péninsule Iberique. V. Catalogne, Aragon, Andalousie. Acta Phytotax. Barcinonen sia 19: 68 pp. G et LLIMONA, X. (1980) : Champignons de la Péninsle Iberique VI. Est et Sud-Est . An. Univ. Murcia. Ciencias 34: 47- 13 5.
MAUBLANC, M.e. (19 36) : Rapport sur la session générale de la Société mycologique de France, tenue a Barcelone du 19 au 27 octubre 19 35. Bull. Soc. MycoJ. France 52: XVII -XXX II.
MAUBLANC, M.C. (1936): Rapport sur la session générale de la Société mycologique de France, tenue a Barcelone du 19 au 27 octubre 1935. Bull. Soc. Mycol. France 52: XVII-XXXII.
PEARSON, A.A. (1 93 1): Contribución al estudio de la micología catalana: Hongos de St. Pere de Vilamajor. Cavanillesia 4: 20-23.
PEARSON, A.A. (1931): Contribución al estudio de la micología catalana: Hongos de St. Pere de Vilamajor. Cavanillesia 4: 20-23.
POLO, L. (1982): Relació d'especies recolectades pels congresistes del IV simposi de botánica criptogámica. Anal. de la Sección de Ciencias del Colegio Univ. de Gerona. Any VII, n.8, Nov.82.
POLO, L. (19 82) : Relació d'especies recoledades pels congresistes del IV simposi de botànica criptogamica. Anal. de la Sección de Ciencias del Colegio Univ. de Gerona. Any VII, n.8, Nov .82.
RIVAS MARTÍNEZ, S & LOSA, J.M. (1969): Comportement sociologique des champignons des dunes littorals du fleuve Llobregat (Barcelona). Bull. Soc. Myc. France 85 (2).
RI VAS MARTÍ NEZ, S & LOSA, J.M. (1 969) : Comportement sociologique des champignons des dunes Iittorals du f1euve Llobregat (Barcelona). Bull. Soc. Myc. Fra nce 85 (2).
ROCABRUNA, A. (1984): Aportació al coneixement deis fongs del Maresme (Catalunya). Butll. Soc. Micol 8: 47-74.
ROCABRUNA, A. (1984) : Aportació al coneixement dels fongs del Maresme (Catalunya). Bu tll. Soc. Mico1 8: 47-74.
ROCABRUNA, A. & TABARÉS, M. (1988): Aportación al conocimiento de los hongos del macizo montañoso del Montseny (Cataluña). Butll. Soc. Catalana Micol. 12: 25-53.
ROCABRUNA, A. & TABARÉS, M. (1 988): Aportación al conocimiento de los hongos del macizo montañoso del Montseny (Cataluña). Butll. Soc. Catalana Micol. 12: 25-53.
SANCLEMENTE, M.S. & LLIMONA, X. (1987): Aportación al conocimiento de las Tricolomataceas de Cataluña. Bu tll. Soc. Catalana. Micol. 11: 29-72.
SANCLEMENTE, M.S. & LLIMONA, X. (1987): Aportación al conocimiento de las Tricolomatáceas de Cataluña. Butll. Soc. Catalana. Micol. 11: 29-72.
SANCLEMENTE, M.S. (19 88): El género Mycena en Cataluña. Bu tll. Soc. Catalana. Micol. 12: 55-62.
SANCLEMENTE, M.S. (1988): El género Mycena en Cataluña. Butll. Soc. Catalana. Micol. 12: 55-62.
SINGER, R. (1947): Champignons de la Catalogne. Espéces observéés en 1934. Collectanea botanica 1 (3): 199-246.
SINGE R, R. (19 47 ): Champignons de la Catalogne. Espèces observéés en 19 34. Collectanea botanica 1 (3) : 19 9-246.
SIQUIER, J.L. & CONSTANTI NO, e. (1982): Aportación de nuevas especies a la flora micológica de la isla de Mallorca. Bol. Soc. Hist. Nat. Baleares 26: 15 7- 168.
SIQUIER, J.L. & CONSTANTINO, C. (1982): Aportación de nuevas especies a la flora micológica de la isla de Mallorca. Bol. Soc. Hist. Nat. Baleares 26: 157-168.
SOCIETAT CATALANA DE MI COLOGIA (1 982- 1990) : Bolets de Catalunya. I-IX coI.Iecció. Barcelona.
SOCIETAT CATALANA DE MICOLOGIA (1982-1990): Bolets de Catalunya. I-IX col.lecció. Barcelona.
SOCIETAT CATALANA DE MICOLOGIA (1983-1990): Fichas técnicas. Barcelona.
SOCIETAT CATALANA DE MI COLOGIA (1 983- 19 90) : Ficha s técnicas. Barcelona.
SOLA, J.SCH.P. (1925): Alguns macromicets deis volts de Terrasa (Prov. de Barcelona). lnst. Cat. Hist. Nat. : 31-44.
SOLA, J. SCH .P. (19 25) : Alguns macromicets dels volts de Terrasa (Prov de Barcelona). Inst. Cat. His t. Nat. : 31- 44.
TABARÉS, M. & ROCABRUNA, A. (1987): Aportación al conocimiento de los hongos de la «Serra de Collserola» (Catalunya). Butll. Soc. Catalana Micol. 11: 83-98.
TABARÉS, M. & ROCABRUNA, A. (1987): Aportación al conocimiento de los hongos de la «Serra de Collserola» (Catalunya). Butll. Soc. Catalana Micol. 11: 83-98

APORTACIONES FLORÍSTICAS Y COROLÓGICAS SOBRE APHYLLOPHORALES
APORTACIONES FLORÍSTICAS Y COROLÓGICAS SOBRE APHYLLOPHORALES
M.S. Sanclemente
M. S. Sa nclemente
Dpto. Biología Vegetal (Botánica). Fac. Biología.
Univ. Barcelona: Avda. Diagonal 645. 08028 Barcelona
Opto . Biología Vegetal (Botan i ca) . Fac. Biología. Univ Barcelona : Avda. Diagonal 645 08028 Barcelona
RESUMEN
RESUMEN
Se citan 101 especies de Aphyllophorales, recolectadas en 117 localidades de Cataluña, Aragón y sur de Francia. Destacamos Bondarzewia montana (Quél.) Singer, Cantharellus melanoxeros Desm., Clavarla rosea Fr., Clavaria tenuipes Berk. & Br., Clavulinopsis luteoalba (Rea) Corner, Peniophora pithya (Pers.) Erikss., Hymenochaete cinnamomea (Pers.) Quél., Hymenochaete corrugata (Fr.) Lév., Phellinus contiguus (Fr.) Pat., Ramaria pallida (Schaeff. ex Schulzer) Ricken, Trametes ijubarskyi Pilát como citas nuevas para Cataluña, así como el hallazgo de Stereum reflexulum Reid en el sur de Francia y Lenzitopsis oxycedri MalenÇon & Bertault en Zaragoza.
Se citan 101 esp ecies de Ap hylloph orale s, recolectadas en 117 localidades de Cataluña, Aragón y sur de Francia. Destacamos Bondarze wia mon tana (Quél.) Singer, Cantha rellus melanoxeros Des m., Cla varia rosea Fr ., Cla varia tenuipes Berk. & Br ., Cla vulinopsis luteoalba (Rea) Corner, Peniophora pithya (Per s .) Erikss ., Hym enochaete cinnamomea (Pers .) Quél. , Hym enochaete corrugata (Fr.) Lé v., Phellin us contiguus (F r.) Pa t., Ramaria pa llida (Schaeff. ex Sch ulzer) Rick en, Tra metes ij uba rskyi Pilat como citas nu evas pa ra Cataluña, así como el hallazgo de Stereum ref1exulum Reid en el sur de Francia y Lenzitopsis oxycedri Ma lençon & Berta ult en Zaragoza
SUMMARY
SUMMARY
Floristic and corologic contributions about Aphyllophorales. The 101 species identified were collected from 117 localities in Catalonia, Aragon (NE Spain) and the south of France. 11 are new record for Catalonia: Bondarzewia montana (Quél.) Singer, Cantharellus melanoxeros Desm., Clavaria rosea Fr., Clavaria tenuipes Berk. & Br., Clavulinopsis luteoalba (Rea) Corner, Peniophora pithya (Pers.) Erikss., Hymenochaete cinnamomea (Pers.) Quél., Hymenochaete corrugata (Fr.) Lév., Phellinus contiguus (Fr.) Pat., Ramaria pallida (Schaeff. ex Schulzer) Ricken, Trametes ijubarskyi. Pilát. Also, Stereum reflexulum Reid in France and Lenzitopsis oxycedri MalenÇon & Bertault in Zaragoza, are very interesting.
Floristic and corologic con tributions ab out Aphyllophorales. The 101 spe cies identified were collected from 11 7 localities in Catalonia , Aragon (NE Spain) and the south of France 11 are new record for Catalonia: Bondarzewia montana (Qué l. ) Sin ger, Cantharellus melanoxeros Desm ., Cla varia rosea Fr ., Cla varia tenuipes Berk. & Br ., Cla vulinopsis luteoalba (Rea) Corner, Peniophora pithya (Pers .) Erikss ., Hym enochaete cinn amomea (Per s .) Qué l. , Hym enochaete corrugata (F r.) Lé v., Phellin us con tiguus (F r.) Pa t., Ramaria pa llida (Schae ff. ex Sch ulzer) Ric ken, Tra metes ijuba rskyi. Pilat. AIso, Stereum reflexulum Re id in France and Lenzitopsis oxycedri Ma lençon & Berta ult in Zaragoza, are very interestin g.
CATALOGO FLORÍSTICO
CATÁLOGO FLORÍSTICO
Indicamos, para cada especie, la localidad, comarca, provincia, U.T.M., recolector, fecha de
In dicamos , para cada especie, la locali dad, comarca, provincia, U.T.M., rec olec tor, fecha de

Butil. Soc. Catalana Micol. 14-15 21-42 Barcelona 1991
22 Bu tll. Soc. Catalana Micol. 14-15 21-42 Barcelona 19 91
re colección , número de herbario, hab itat y trabajos bib liograficos (referidos a las zo nas prospetadas) en los que ha sido citada anteriormente.
Todo el mate rial estudiado se enc uentra dep ositado en el He rbario de la Facultad de Biología, de la Universidad de Barcelona (BCC My cotheca - SSN).
recolección, número de herbario, hábitat y trabajos bibliográficos (referidos a las zonas prospetadas) en los que ha sido citada anteriormente. Todo el material estudiado se encuentra depositado en el Herbario de la Facultad de Biología, de la Universidad de Barcelona (BCC Mycotheca - SSN).
Familia BONDARZEWIACEAE Kotl. & Pouz.
Familia BONDARZE WIACEA E Kotl. & Pouz.
Bondarzewia montana (Quél.) Singer
Bondarzewia montana (Qué! .) Singer
Espot, (Pallars Sobirá), Lérida, CH41, sobre A. alba. Leg. A. Rocabruna, 18-8-87. SSN 1588. Háb.: Sobre restos leñosos de coníferas.
Espot, (Pallars Sobir à), Lérida, CH 41, sobre A. alba. Leg. A. Rocabruna, 18 -8-8 7. SSN 15 88. Ha b. : Sobre restos leñosos de coníferas.
Familia CANTHARELLACEAE Schroeter
Familia CA NTHARELLA CEAE Schroeter
Cantharellus cibarius Fr.
Cantharellus cibarius Fr.
Sobre Can Bordoi, Parc del Corredor, Llinars del Vallés (Vallés Oriental), Barcelona, DG50, en encinar con P. halepensis. Leg. S. Sanclemente, 25-10-84. SSN 99.- El Farell, Parc del Corredor, Dosrius (Maresme), Barcelona, DG50, en encinar con P. pinea, y Q. pubescens. Leg. S. Sanclemente, 25-10-84. SSN 115.- Camino de Nevá, bajo Nevá, Tosses (Ripollés), Gerona, DG28, en bosque de Quercus, Betula y Corylus. Leg. M. Aguasca, 25-8-85. SSN 639.- Monasterio de la Salut (Garrotxa), Barcelona, DG55, en bosque de Betula. Leg. M. Aguasca, 31-8-85. SSN 642, SSN 643.- Bajo el bosque de Pruedo, Vall d'Aiguamoix, Salardú (Vall d'Aran), Lérida, CH22, en bosque de A. alba, F. sylvatica, S. aucuparia y C. avellana. Leg. S. Sanclemente, 8-9-85. SSN 703.- Rencules, pie del funicular, Vall de Valarties, Arties (Vall d'Aran), Lérida, CH22, en bosque de P. uncinata, A. alba, V. myrtillus, R. ferrugineum y C. vulgaris. Leg. S. Sanclemente, 10-9-85. SSN 733.- Salida de Arties, Vall de Valarties, Arties (Vall d'Aran), Lérida, CH22, en bosque de A. alba, C. avellana, B. sempervirens, y J. communis. Leg. S. Sanclemente, 10-9-85. SSN 734.- Can Valls, Olzinelles (Vallés Oriental), Barcelona, DG61, en plantación de P. hybrida. Leg. J. Llistosella, 22-10-85. SSN 810.
Sobre Can Bordoi, Parc del Corredor, Llinars del Vallès (Vallès Orient a!) , Barcelona, DG50, en encinar con P. ha lepensis. Leg. S. Sanclemente, 25- 1 0-84. SSN 99.- El Fare ll, Parc del Corredor, Dosrius (Maresm e), Barcelona, DG50, en encinar con P. pinea, y Q. pubescens. Leg. S. Sanclemente, 25- 1 0-84. SSN 11 5.- Camino de Nevà, baj o Nevà, Tosses (Ripollè s), Gerona, DG28, en bosque de Quercus, Betula y Corylus. Leg. M. Aguasca, 25-8- 85. SSN 639 .- Monasterio de la Salut (Garrot xa), Barcelona, DG55, en bosque de Betula. Leg. M. Aguasca, 31- 8-85. SSN 642 , SSN 643 .- Baj o el bosque de Pruedo, Vall d' Aiguamoix, Salardú (Vall d' Aran), Lérida, CH22, en bosque de A. alba, F. sylvatica, S. au cupa ria y C. avellana. Leg. S. Sanclemente, 8-9-8 5. SSN 70 3.- Rencu l es , pie del funicular, Vall de Valarties, Arties (Vall d'Ar an) , Lérida, CH22, en bosque de P. uncinata, A. alba, V. myrti1lus, R. ferrugin eum y C. vulga ris. Leg. S. Sancleme nte , 10 -9- 85. SSN 733.- Sa lida de Arties, Vall de Valarties, Arties (Vall d'Aran) , Lérida, CH22, en bosque de A. alba, C. avellana, B. sempervirens, y J. communis. Leg. S. Sanclemente, 10 -9-85. SSN 734.- Can Valls, Olzinelles (Vallès Orienta !), Barcelona, DG6 1, en plantación de P. hybrida . Leg. J. Llisto sella, 22- 1 0-85 . SSN 810.
Ha b. : Aparece tanto en bosques de coníferas como de planifolios, aunque demuestra una ligera preferencia por hayedos y encinares .j Citas bib! .: VAYREDA (18 82). ARANZADI (19 05) . ARANZADI (19 08) . BOLOS (19 24) SOLA (19 25). CODINA & FONT QUER (19 31). FONT QUER (19 31). PEARSON (1931). MAIRE (19 33). HEIM (19 34) MAUBLANC (19 36). SINGER (19 47). FONT QUER (19 54). BERTAUX (19 64) . LLENSA DE GELCEN (197 0) . MAL ENÇON & BERTAUL T (1971). BERTAULT (19 82) POLO (19 82). SOc. CAT. MI COLOGIA (19 82). BALLESTEROS (19 84) LLIMONA (19 84). ROCABRUNA (19 84) . DIEZ (19 86). LL ISTOSELLA & AGUASCA (19 86). SANCLEM ENTE -FT S.C.M. (19 87). TABARES & ROCABRUNA (19 87). ROCABRUNA & TABAR É S (19 88). LLISTOSELLA & AGUASCA (19 90) var. albidus Maire: MAIRE (19 37). var. amethystea Qu é!. : MAU BLANC (19 36). MAIRE (19 37). ROCA BRUNA & TABAR É S (19 88). var. Maire : MAIRE (19 37). var. neglectus Souché: MAIRE (19 37).
Háb.: Aparece tanto en bosques de coníferas como de planifolios, aunque demuestra una ligera preferencia por hayedos y encinares./ Citas bibl.: VAYREDA (1882). ARANZADI (1905). ARANZADI (1908). BOLOS (1924). SOLA (1925). CODINA & FONT QUER (1931). FONT QUER (1931). PEARSON (1931). MAIRE (1933). HEIM (1934). MAUBLANC (1936). SINGER (1947). FONT QUER (1954). BERTAUX (1964). LLENSA DE GELCEN (1970). MALENCON & BERTAULT (1971). BERTAULT (1982). POLO (1982). SOC. CAT. MICOLOGIA (1982). BALLESTEROS (1984). LLIMONA (1984). ROCABRUNA (1984). DIEZ (1986). LLISTOSELLA & AGUASCA (1986). SANCLEMENTE-FT S.C.M. (1987). TABARES & ROCABRUNA (1987). ROCABRUNA & TABARÉS (1988). LLISTOSELLA & AGUASCA (1990). var. albidus Maire: MAIRE (1937). var. amethystea Quél.: MAUBLANC (1936). MAIRE (1937). ROCABRUNA & TABARÉS (1988). var. bicolor Maire: MAIRE (1937). var. neglectus Souché: MAIRE (1937).
Cantharellus cinereus Pers.: Fr. Cantonigrós (Osona), Barcelona, DG55, en bosque de P. sylvestris, F. sylvatica y Q. pubescens. Leg. J. Girbal, 26-10-84. SSN 128.- Sant Gregori (Gironés), Gerona, DG74, en encinar. Leg. J. Voz, 22-11-87. SSN 1582.- Savassona (Osona), Barcelona, DG44. Leg. C. Casas, 27-11-83. SSN 477. Háb.: En bosque de planifolios, preferentemente hayedos./ Citas bibl.: ARANZADI (1908). CODINA & FONT QUER (1931). PEARSON (1931). MAIRE (1933). HEIM (1934). BERTAUX (1964). MALENCON & BERTAULT (1971). BALLESTEROS (1984). ROCABRUNA (1984).
Cantharellus cinereus Pers .: Fr. Cantonigròs (Osona), Barcelona, DG55, en bosque de P. sylvestris, F. sylvatica y Q. pu bescens. Leg. J. Girbal, 26-1 0-84. SSN 12 8.- Sant Gregori (Gironè s), Gerona, DG74, en encinar. Leg. J. Voz, 22 -11- 87. SSN 15 82.- Savassona (Osona), Barcelona, DG44. Leg. C. Casas, 27-1 1- 83. SSN 477. Ha b. : En bosque de planifolios , preferentemente hayedos .j Citas bib !.: ARANZADI (19 08) . CODINA & FONT QUER (19 31). PEARSON (1931). MAIR E (19 33). HEIM (19 34) BERTAUX (1 964) MALENÇON & BERTA ULT (1971). BALLESTEROS (19 84) ROCABRUNA (19 84)
Cantharellus lutescens (Pers .) ex Fr.
Carretera de Llinars a Sant Pere de Vilamaj or (Vallès Orienta !), Barcelona, DG 51, en encinar con P. ha-
Cantharellus Iutescens (Pers.) ex Fr. Carretera de Llinars a Sant Pere de Vilamajor (Vallés Oriental), Barcelona, DG51, en encinar con P. ha-

Butll. Soc. Catalana Micol. 14-15 21-42 Barcelona 1991 23
Butll. Soc. Catalana Micol. 14-15 21- 42 Barcelona 1991 23
lepensis. Leg. I. Rodríguez, 7-10-84. SSN 46.- El Farell, Parc del Corredor, Dosrius (Maresme), Barcelona, DG50, en encinar con P. pinea y Q. pu bescens. Leg. S. Sanclemen te, 25- 1 0-84. SSN 116 .- L'H ospital de la Vall del Bac, La Vall de Bianya (Garrot xa), Gerona, DG57, entre musgos Leg. X. Oliver, 25 -11 - 84. SSN 242 .- Begues (Baix Llobrega t), Barc elona, DF0 7, en bosque de P. halepensis, C. humilis, E. multiflora y Q. coccifera Leg. A. Gómez, 30 -11- 84. SSN 248 . - Baj o el bosque de Pruedo, Vall d' Aiguamoix, Salardú (Vall d' Aran), Lérida, CH22, en bosque de A. alba, F. syl vatica, 5. au cuparia y C. avellana. Leg. S. Sanc lemente, 8-9- 85. SSN 704.- Campelles (Ripoll ès) , Gerona, DG28, en bosque de P. cinata, P. sylvestrfs. Leg. E. Descals, 10-1 1-85. SSN 935.- Savassona (Osona), Barcelona, DG44. Leg. C. Casas, 27-1 1- 88. SSN 476. Hé1 b. : Aparece en bosques húmedos de coníferas y planifolios ./ Citas bib l.: MAIRE (19 33) HEIM (19 34) MAIRE (19 37). FONT QUER (19 54) BERTAUX (19 64) LLENSA DE GELCEN (1 97 0) MALENÇON & BERTAULT (1971). CALONGE & ZUGAZA (1 973). LOSA QUINTANA et al. (19 80) BERTAULT (19 82). SOC CAT. MI COLOGIA (19 83). BALLESTEROS (19 84) LLIMONA (19 84) ROCABRUNA (19 84). DIEZ (19 86). LLISTOSELLA & AGUA SCA (19 86). SANCLEM ENTE-FT S.C.M. (19 87). TABARES & ROCABRUNA (19 87). ROCABRUNA & TABAR É S (19 88). LLISTOSELLA & AGUASCA (19 90)
lepensis. Leg. I. Rodríguez, 7-10-84. SSN 46.- El Farell, Parc del Corredor, Dosrius (Maresme), Barcelona, DG50, en encinar con P. pinea y Q. pubescens. Leg. S. Sanclemente, 25-10-84. SSN 116.- L'Hospital de la Vall del Bac, La Vall de Bianya (Garrotxa), Gerona, DG57, entre musgos. Leg. X. Oliver, 25-11-84. SSN 242.- Begues (Baix Llobregat), Barcelona, DF07, en bosque de P. halepensis, C. humilis, E. multiflora y Q. coccifera. Leg. A. Gómez, 30-11-84. SSN 248.- Bajo el bosque de Pruedo, Vall d'Aiguamoix, Salardú (Vall d'Aran), Lérida, CH22, en bosque de A. alba, F. sylvatica, S. aucuparia y C. avellana. Leg. S. Sanclemente, 8-9-85. SSN 704.- Campelles (Ripollés), Gerona, DG28, en bosque de P. uncinata, P. sylvestris. Leg. E. Descals, 10-11-85. SSN 935.- Savassona (Osona), Barcelona, DG44. Leg. C. Casas, 27-11-88. SSN 476. Háb.: Aparece en bosques húmedos de coníferas y planifolios./ Citas bibl.: MAIRE (1933). HEIM (1934). MAIRE (1937). FONT QUER (1954). BERTAUX (1964). LLENSA DE GELCEN (1970). MALENCON & BERTAULT (1971). CALONGE & ZUGAZA (1973). LOSA QUINTANA et al. (1980). BERTAULT (1982). SOC. CAT. MICOLOGIA (1983). BALLESTEROS (1984). LLIMONA (1984). ROCABRUNA (1984). DIEZ (1986). LLISTOSELLA & AGUASCA (1986). SANCLEMENTE-FT S.C.M. (1987). TABARES & ROCABRUNA (1987). ROCABRUNA & TABARÉS (1988). LLISTOSELLA & AGUASCA (1990).
Cantharellus melanoxeros Desm.
El Far, Parc del Corredor, Dosrius (Maresme), Barcelona, DG51, en bosque de Q. pubescens y B. sempervirens. Leg. J. Girbal, 26-10-84. SSN 129.
Cantharellus melanoxeros Desm. El Far, Parc del Corredor, Dosrius (Ma resm e), Barcelona, DG5 1, en bosque de Q. pu bescens y B. sempervirens. Leg. J. Girbal, 26-1 0-84. SSN 12 9. Hé1 b. : En bosques de caducifolios o bsoques mixtos
Háb.: En bosques de caducifolios o bsoques mixtos.
Craterellus cornucopioides (L.) ex Pers. Sobre Can Bordoi, Parc del Corredor, Llinars del Vallés (Vallés Oriental), Barcelona, DG50, en encinar con P. halepensis. Leg. S. Sanclemente, 25-10-84. SSN 103.- El Farell, Parc del Corredor, Dosrius (Maresme), Barcelona, DG50, en encinar con P. pinea y Q. pubescens. Leg. S. Sanclemente, 25-10-84. SSN 117.- Cantonigrós (Osona), Barcelona, DG55, en bosque de P. sylvestris, F. sylvatica y Q. pubescens. Leg. J. Girbal, 26-10-84. SSN 125.- Vista Rica, Collcerola (Barcelonés), Barcelona, DF28, en bosque de Q. cerrioides. Leg. X. Llimona, 28-10-84. SSN 1142.
Craterellus cornucopioides (L.) ex Pers. Sobre Can Bordoi, Parc del Corredor, Llinars del Vallès (Vallès Orient al) , Barcelona, DG50, en encinar con P. ha lepensis. Leg. S. Sanclemente, 25-1 0-84. SSN 103.- El Farel l, Parc del Corredor, Dosrius (Mares me), Barcelona, DG50, en encinar con P. pinea y Q. pu bescens. Leg. S. Sanclemen te, 25-1 0-84. SSN 117 .- Cantonigròs (Oson a), Barcelona, DG55, en bosque de P. sylvestris, F. sylva tica y Q. pu bescens. Leg. J. Girbal, 26-1 0-84. SSN 12 5.- Vista Rica, Collce rola (Barcelon ès) , Barcelona, DF28, en bosque de Q. cerrioides. Leg. X. Llimona, 28- 1 0-84. SSN 11 42.
Háb.: En bosques de caducifolios y de coníferas, sobre suelo musgoso./ Citas bibl.: ARANZADI (1905). SOLA (1925). CODINA & FONT QUER (1931). MAIRE (1933). HEIM (1934). MAUBLANC (1936). MAIRE (1937). SINGER (1947). BERTAUX (1964). LLENSA DE GELCEN (1970). MALENCON & BERTAULT (1971). CALONGE & ZUGAZA (1973). BERTAULT (1982). BALLESTEROS (1984). LLIMONA (1984). ROCABRUNA (1984). SOC. CAT. MICOLOGIA (1985). DIEZ (1986). SANCLEMENTE-FT S.C.M. (1987). TABARÉS & ROCABRUNA (1987). ROCABRUNA & TABARÉS (1988). var. crispus Sacc.: CODINA & FONT QUER (1931).
Hé1 b. : En bosques de caducifolios y de conífe ras, sobre sue lo musgos o./ Citas bib l.: ARANZADI (19 05) SOLA (19 25) CODINA & FONT QUER (1931). MAIRE (19 33). HEIM (19 34) MAUBLANC (19 36). MAIRE (1 93 7). SINGER (19 47) BERTAUX (19 64) LLENSA DE GELCEN (1 970). MALE NÇON & BERTAUL T (1971). CALONGE & ZUGAZA (1 973) BERTAUL T (19 82). BAL LESTEROS (19 84) LLIMONA (19 84). ROCABRUNA (19 84) SOC. CAT. MI COLOGIA (19 85). DIE Z (19 86). SANCLEMENTE-FT S.C.M. (19 87). TABAR É S & ROCA BRUNA (19 87). ROCABRUNA & TABAR É S (19 88). var. crisp us Sac c.: CODINA & FONT QUER (1931).
Familia CLAVARIACEAE Chev.
Familia CLA VA RIACEAE Chev.
Clavaria rosea Fr.
Clavaria rosea Fr.
Sant Cugat del Vallés (Vallés Occidental), Barcelona, DF29, en suelo desnudo. Leg. M. Tabarés, 29-11-87. SSN 1607.
Sant Cugat del Vallès (Vallès Occident al) , Barcelo na, DF29, en suelo desnudo. Leg. M. Tabarés, 29 -11- 87. SSN 16 07.
Hé1 b. : Entre plantas herbaceas, en claros de bosques .
Háb.: Entre plantas herbáceas, en claros de bosques.
Clavaria tenuipes Berk . & Br.
Clavaria tenuipes Berk. & Br.
Sant Cugat del Vallés (Vallés Occidental), Barcelona, DF29, en suelo desnudo. Leg. M. Tabarés, 29-11-87. SSN 1605.
Sant Cugat del Vallès (Vallès Occident al) , Barcelona, DF29, en suelo desnudo. Leg. M. Tabarés, 29-1 1-87. SSN 16 05.
Hé1 b. : Entre el humus y pequeñas ramas en descomposición.
Háb.: Entre el humus y pequeñas ramas en descomposición.
Clavaria vermicularis Sw. ex Fr. Fons del Fanga r, Gavà (Baix Llobrega t), Barcelona, DF 17, en bosque de Q. ilex y P. ha lepensis. Leg. X.
Clavaria vermicularis Sw. ex Fr. Fons del Fangar, Gavá (Baix Llobregat), Barcelona, DF17, en bosque de Q. ilex y P. halepensis. Leg. X.

Butll. Soc. Catalana Mico'. 14-15 21-42 Barcelona 1991
24 Bu tll. Soc. Catalana Micol. 14-15 21- 42 Barcelona 1991
Llimona, 31-10-85. SSN 926.- Can l'Arenys, Vallgorguina (Vallés Oriental), Barcelona, DG51, en bosque de P. radiata. Leg. J. Llistosella, 26-1-86. SSN 1200.- Sant Pere del Bosc, Condado del Jaruco, Lloret de Mar (Selva), Gerona, DG81, en bosque de P. halepensis y Q. suber. Leg. D. Sierra, 2-11-86. SSN 1456.- Sant Cugat del Vallés (Vallés Occidental), Barcelona, DF29, en suelo desnudo. Leg. M. Tabarés, 29-11-87. SSN 1606.- Garraf (Garraf), Barcelona, DF06, en bosque de P. halepensis. Leg. T. Canals, 15-11-87. SSN 1758.- La Fábrega, Selva de Mar (Alt Empordá), Gerona, UTM, en bosque de P. halepensis. Leg. X. Llimona, 10-12-83. SSN 1840.
Háb.: Entre plantas herbáceas y musgos, en claros de bosques./Citas bibl.: BOLOS (1924). CODINA (1932). HEIM (1934). MAIRE (1937). BERTAUX (1964). BERTAULT (1982). LLIMONA (1983). BALLESTEROS (1984). TABARÉS & ROCABRUNA (1987).
Llimona, 31- 10 -85 SSN 926 .- Can l'A renys, Vallgorguina (Vallès Orient al) , Barcelona, DG5 1, en bosque de P. ra dia ta . Leg. J. Llistosella, 26- 1- 86. SSN 12 00.- Sant Pere del Bosc, Condado del Jaruco, Lloret de Mar (Sel va) , Gerona, DG8 1, en bosque de P. ha lepensisy Q. su ber. Leg. D. Sierra, 2-1 1- 86. SSN 1456.- Sant Cugat del Vallès (Vallès Occi dental) , Barcelona, DF29, en suelo desnudo. Leg. M. Tabaré s, 29 -11- 87. SSN 16 06.- Garraf (Garraf) , Barcelona, DF06, en bosque de P. ha lepensis. Leg. T. Can als, 15 -11- 87. SSN 17 58.- La Fàbrega, Selva de Mar (Alt Empordà), Gerona, UTM , en bosque de P. halepensis. Leg. X. Llimona, 10-1 2- 83. SSN 18 40. Hti b. : Entre plantas herbaceas y musgos, en claros de bosque s. jCitas bibl .: BOLOS (19 24) CODINA (19 32) HEIM (19 34) MAIRE (19 37). BERTAUX (19 64) BERTAULT (19 82). LLIMONA (19 83). BALLESTEROS (19 84) TABAR É S & ROCABRUNA (19 87).
Clavariadelphus pistillaris (Fr.) Donk
Clavariadelphus pistillaris (Fr.) Donk
Sobre Can Bordoi, Parc del Corredor, Llinars del Vallés (Vallés Oriental), Barcelona, DG50, en encinar con P. halepensis. Leg. S. Sanclemente, 25-10-84. SSN 106.- El Farell, Parc del Corredor, Dosrius (Maresme), Barcelona, DG50, en encinar con P. pinea y Q. pubescens. Leg. S. Sanclemente, 25-10-84. SSN 113.- Cantonigrós (Osona), Barcelona, DG55, en bosque de P. sylvestris, F. sylvatica y Q. pubescens. Leg. J. Girbal, 26-10-84. SSN 126.- Pasado el Salt del Pitx, Vall de Varradós, Arrós (Valí d'Aran), Lérida, CH23, en bosque de F. sylvatica, A. alba, P. setiferum y H. viridis. Leg. S. Sanclemente, 9-9-85. SSN 719.
Sobre Can Bordoi, Parc del Corredor, Llinars del Vallès (Vallès Orient al) , Barcelona, DG50, en encinar con P. ha lepensis. Leg. S. Sanc lemente, 25-1 0-84. SSN 10 6.- El Farell, Parc del Corredor, Dosrius (Maresm e), Barcelona, DG50, en encinar con P. pinea y Q. pu bescens. Leg. S. Sanclemente , 25- 1 0- 84. SSN 11 3.- Cantonigròs (Osona), Barcelona, DG55 , en bosque de P. sylvestris, F. sylvatica y Q. pu bescens. Leg. J. Girbal, 26 -10 -84. SSN 126.- Pasado el Salt del Pitx, Vall de Varradòs, Arròs (Vall d'A ran), Lérida, CH23, en bosque de F. sylvatica, A. alba, P. se tiferum y H. viridis. Leg. S. Sanclemente, 9-9-85. SSN 71 9.
Hti b. : En bosque de planifolios, especialmente hayedos y encinares, solitario o en grupos .j Citas bib l.: ARANZADI (19 05) ARANZADI (19 08) SOLA (19 25). CODINA & FONT QUER (19 31). FONT QUER (1931). MAIRE (19 33) HEIM (19 34) MAU BLANC (19 36). MAIRE (19 37). SINGER (19 47). FONT QUER (19 54) . BERTAUX (19 64) . MAL EÇON & BERTAUL T (1971). BERTAUL T (19 82). BALLESTEROS (19 84) LLIMONA (19 84) ROCA BRUNA (19 84) TELLER Í A (1984) . D Í EZ (19 86). ROCABRUNA & TABAR É S (19 88).
Háb.: En bosque de planifolios, especialmente hayedos y encinares, solitario o en grupos./ Citas bibl.: ARANZADI (1905). ARANZADI (1908). SOLA (1925). CODINA & FONT QUER (1931). FONT QUER (1931). MAIRE (1933). HEIM (1934). MAUBLANC (1936). MAIRE (1937). SINGER (1947). FONT QUER (1954). BERTAUX (1964). MALEON & BERTAULT (1971). BERTAULT (1982). BALLESTEROS (1984). LLIMONA (1984). ROCABRUNA (1984). TELLERÍA (1984). DÍEZ (1986). ROCABRUNA & TABARÉS (1988).
Clavariadelphus truncatus (Quél.) Donk
Clavariadelphus truncatus (Qué! .) Donk
Torre de Santa Margarida, Sant Feliu de Llobregat (Baix Llobregat), Barcelona, DF28, en encinar con P. halepensis. Leg. J. Pahissa, 15-12-83 y 12-11-84. SSN 358, SSN 166. Háb.: En bosques de coníferas y bosques mixtos, preferentemente calcáreos./ Citas bibl.: HEIM (1934). MAIRE (1937). FONT QUER (1954). BERTAUX (1964). MALEWON & BERTAULT (1971). MALENçON & LLIMONA (1980). SIQUIER & CONSTANTINO (1982). LLIMONA (1984). ROCABRUNA (1984). SOC. CAT. MICOLOGIA (1984). DÍEZ (1986). LLISTOSELLA & AGUASCA (1986). SANCLEMENTE-FT S.C.M. (1987). ROCABRUNA & TABARÉS (1988).
Torre de Santa Margarida, Sant Feliu de Llobregat (Baix Llobregat), Barcelona, DF28, en encinar con P. halepensis. Leg. J. Pahissa, 15-1 2-83 y 12-1 1- 84. SSN 358, SSN 16 6. Hti b. : En bosques de coníferas y bosques mixtos, preferentemente calcare os .j Citas bib l.: HEIM (19 34) MAIRE (19 37). FONT QUER (19 54) BERTAUX (19 64). MAL ENÇON & BERTAUL T (1971) MALENÇON & LLIMONA (19 80). SIQUIER & CONSTANTINO (19 82). LLIMONA (19 84) ROCABRUNA (19 84) SOc. CAT. MI COLOGIA (19 84) . D Í EZ (19 86). LLlSTOSELLA & AGUASCA (19 86). SANCLEM ENTE-FT S.C.M. (19 87). ROCABRUNA & TABAR É S (1988).
Clavulinopsis corniculata (Fr.) Corner
Clavulinopsis corniculata (Fr.) Corner
Tibida bo, Collserola (Barce lonés) , Barcelona, DF28. Leg. M. Tabarés, 15 -11- 87. SSN 1597. Hti b. : En prados y claros de bosques .j Citas bibl .: CODINA & FONT QUER (19 31). PEARSON (19 31). HEIM (19 34) . MAUBLANC (19 36). MAIRE (19 37) . MAL ENÇON & BERTAULT (1971). SIQUIER & CONSTANT IN O (19 82). BALLESTE ROS (19 84). ROCABRUNA (19 84) . TABAR É S & ROCA BRUNA (19 87).
Tibidabo, Collserola (Barcelonés), Barcelona, DF28. Leg. M. Tabarés, 15-11-87. SSN 1597. Háb.: En prados y claros de bosques./ Citas bibl.: CODINA & FONT QUER (1931). PEARSON (1931). HEIM (1934). MAUBLANC (1936). MAIRE (1937). MALENçON & BERTAULT (1971). SIQUIER & CONSTANTINO (1982). BALLESTEROS (1984). ROCABRUNA (1984). TABARÉS & ROCABRUNA (1987).
Clavulinopsis luteoalba (Rea) Corner Cantonigròs (Oson a), Barcelona, DG55, en bosque de Q. pu bescens, C. avellanas y B. sempervirens. Leg. J. Girbal, 26-1 0-84. SSN 13 9. Hti b. : En prados y claros de bosques, rarame nte ligada a restos leñosos en descomposición.
Clavulinopsis Iuteoalba (Rea) Corner Cantonigrós (Osona), Barcelona, DG55, en bosque de Q. pubescens, C. avellanas y B. sempervirens. Leg. J. Girbal, 26-10-84. SSN 139. Háb.: En prados y claros de bosques, raramente ligada a restos leñosos en descomposición.
Macrotyphula juncea (Fr.) Berthier
Sant Hilari Sacalm (Selva), Gerona, DG53. Leg. M. Tabarés, 22 -11- 87. SSN 16 09. Htib. :S obre restos leñosos de planifoli os .j Citas bib l.: CODINA & FONT QUER (19 31). MALE NÇON & BERTAUL T (1971). BERTAULT (19 82). LLIST OSELLA & AGUASCA (19 86). TABAR É S & ROCABRUNA (19 87).
Macrotyphula juncea (Fr.) Berthier Sant Hilari Sacalm (Selva), Gerona, DG53. Leg. M. Tabarés, 22-11-87. SSN 1609. Háb.: Sobre restos leñosos de planifolios./ Citas bibl.: CODINA & FONT QUER (1931). MALENçON & BERTAULT (1971). BERTAULT (1982). LLISTOSELLA & AGUASCA (1986). TABARÉS & ROCABRUNA (1987).

Butll. Soc. Catalana Micol. 14-15 21- 42 Barcelona 19 91
Butll. Soc. Catalana Micol. 14-15 21-42 Barcelona 1991 25
Ramariopsis kunzei (Fr.) Corner
Ramariopsis kunzei (Fr.) Corner 25
Serra de Sant Grau, Massís de Cadiretes, Tossa (Selva), Gerona, DG92, en bosque mixto con Q. suber. Leg. J. Blanco, 27-10-84. SSN 142.- Canyamars, Dosrius (Maresme), Barcelona, DG50, en plantación de P. hybrida. Leg. A. Rocabruna, 15-11-87. SSN 1598.- Can Guitart Vell, Cervelló (Baix Llobregat), Barcelona, DF18, en bosque de P. halepensis, R. officinalis y P. lentiscus. Leg. M. Tabarés, 10-1-88. SSN 1621.- Ermita de Sant Nazari, Coll de Bracons, Torelló (Osona), Barcelona, DG46, en bosque de F. sylvatica. Leg. E. Llorens, 26-10-86. SSN 1744, SSN 1745. Háb.: En prados y claros de bosques, generalmente en el suelo, aunque en ocasiones se encuentra ligada a restos de madera en descomposición./ Citas bibl.: CODINA & FONT QUER (1931). MAIRE (1933). HEIM (1934). MAIRE (1937).
Serra de Sant Grau, Massís de Cadiretes, Tossa (Selva), Gerona, DG92, en bosque mixto con Q. su ber. Leg. J. Blanco, 27-1 0-84. SSN 142.- Canyamars, Dosrius (Maresme), Barcelona, DG50, en plantación de P. hybrida Leg. A. Rocabruna, 15-1 1-87. SSN 15 98 .- Can Guitart Vell, Cervelló (Baix Llobregat), Barcelona, DF18, en bosque de P. halepensis, R. officinalis y P. Leg. M. Tabarés, 10 -1- 88. SSN 16 21. - Ermita de Sant Nazari, Coll de Bracons, Torelló (Osona) , Barcelona, DG46, en bosque de F. sylvatica. Leg. E. Llorens, 26 -10-86. SSN 17 44, SSN 17 45. Héi b. : En prados y claros de bosques, generalmente en el suelo, aunque en ocasiones se encuentra ligada a restos de madera en descomposición .j Citas bibl .: CODINA & FONT QUER (19 31). MAIRE (19 33) . HEIM (19 34) . MAIRE (19 37).
Familia CLA VULINA CEA E (Dnk) Donk
Familia CLAVULINACEAE (Dnk) Donk
Clavulina amethystina (Fr.) Donk
Clavulina amethystina (Fr.) Donk
Bosc de Bericauba, Gausac (Vall d'Aran), Lérida, CH13, en bosque de A. alba, F. sylvatica, V. myrtillus, idaeus, S. aucuparia y P. setiferum. Leg. S. Sanclemente, 7-9-85. SSN 697.- Tossa de Montbui, Santa Margarida de Montbui (Anoia), Barcelona, CG80, en bosque de P. halepensis, Q. ilex y R. officinalis. Leg. Sanclemente y A. Gendrau, 2-11-86. SSN 1430.
Bosc de Berica uba, Gausac (Vall d' Ara n), Lérida, CH 13 , en bosque de A. alba, F. syl vatica, V. myrtillus, R. ida eus, S. au cuparia y P. setiferum. Leg. S. Sancleme nte , 7-9- 85. SSN 69 7.- Tossa de Montbui, Santa Margarida de Montbui (Anoia), Barcelona, CG80, en bosque de P. halepensis, Q. ilex y R. officinalis. Leg. S. Sanclemente y A. Gendrau, 2- 11 - 86. SSN 1430.
Héi b. : Aparece en bosques de planifol ios ./ Citas bib l.: VAYREDA (18 82).
Háb.: Aparece en bosques de planifolios./ Citas bibl.: VAYREDA (1882).
Clavulina cinerea (Fr.) Schroeter
Clavulina cinerea (Fr.) Schroeter
Monasterio de la Salut (Garrotxa), Barcelona, DG55, en bosque de F. sylvatica y B. pendula. Leg. J. Girbal, 26-10-84. SSN 140, SSN 296.- Torre del Baró (Barcelonés), Barcelona, DF38, en bosque de Q. ilex, Q. pubescens y Cistus. Leg. F. Blanco, 1-1-85. SSN 458.- Urbanización Pinalbert, Monnars (Tarragonés), Tarragona, CF55, en bosque de P. halepensis, Q. ilex y C. himils. Leg. S. Sanclemente, 22-11-86. SSN 1536, SSN 1537.
Monasterio de la Salut (Garrotxa), Barcelona, DG55, en bosque de F. sylva tica y B. pendu la. J. GirbaI, 26- 1 0-84. SSN 140, SSN 296 .- Torre del Baró (B arcelonè s), Barcelona, DF38, en bosque de Q. ilex, Q. pubescens y Cistus. Leg. F. Blanco, 1-1- 85. SSN 45 8.- Urbanización Pinalbert, Monnars (Tarragonès) , Tarragona, CF55, en bosque de P. halepensis, Q. ilex y C. himils. Leg. S. Sanclemente, 22 -11-86. SSN 15 36, SSN 15 37.
Héi b. : En bosques de caducifolios o bosques mixtos, en ocasiones sobre restos de madera enterrada ./ Citas bibl.: VAYREDA (18 82). ARANZADI (19 05) . ARANZADI (19 08) . SOLA (19 25). CODINA & FONT QUER (19 31). CODINA (19 32). MAIRE (19 33). HEIM (19 34) . MAUBLANC (19 36) . MAIRE (19 37). MA LENÇON & BERTAULT (1971). MAL ENÇON & BERTAULT (19 76) . LOSA QUINT ANA et al. (19 80) . BERTAULT (19 82) . BAL LESTEROS (19 84) . LLIMONA (1 984) . ROCABRUNA (19 84) . LLISTOSELLA & AGUASCA (19 86) . TABAR É S & ROCABRUNA (19 87). ROCABRUNA & TABAR É S (19 88). LLISTOSELLA & AGUASCA (19 90) .
Háb.: En bosques de caducifolios o bosques mixtos, en ocasiones sobre restos de madera enterrada./ Citas bibl.: VAYREDA (1882). ARANZADI (1905). ARANZADI (1908). SOLA (1925). CODINA & FONT QUER (1931). CODINA (1932). MAIRE (1933). HEIM (1934). MAUBLANC (1936). MAIRE (1937). MALENçON & BERTAULT (1971). MALENçON & BERTAULT (1976). LOSA QUINTANA et al. (1980). BERTAULT (1982). BALLESTEROS (1984). LLIMONA (1984). ROCABRUNA (1984). LLISTOSELLA & AGUASCA (1986). TABARÉS & ROCABRUNA (1987). ROCABRUNA & TABARÉS (1988). LLISTOSELLA & AGUASCA (1990).
Clavulina cristata (Fr.) Schroeter
Clavulina cristata (Fr.) Schroeter
Torrent de Tarrambó, Port de la Selva (Alt Empordá), Gerona. EG18. Leg. X. Llimona, 8-12-84. SSN 281
Torrent de Tarrambó, Port de la Selva (Alt Empord à), Gerona. EG 18. Leg. X. Llimona, 8- 1 2-84. SSN 28 1.
Héi b. : Crece en suelo desnudo o herbaceo, preferentemente en bosque de planifolios, ligada a raíces o madera enterrada./ Citas bib l.: ARANZADI (19 05) , MA IRE (19 33) . HEIM (1 934) . MA UBLANC (19 36). MAIRE (19 37). MA LENÇ ON & BERTAUL T (1971). BE RTAULT (19 82). SIQUIER & CONSTAN TINO (1982). BALLESTER OS (19 84) . FI NSCHOW (19 84) . ROCABRUNA (19 84) . LLISTONELLA & AGUASCA (19 86). ROCABRUNA & TABA R É S (19 88). var. coralloides Corner: VA YREDA (18 82). MASFERRER (18 87). ARA NZADI (19 05) ARANZADI (19 08) CODINA & FONT QUER (19 31). var. nivea Bourd . & Galz.: SINGER (19 47)
Háb.: Crece en suelo desnudo o herbáceo, preferentemente en bosque de planifolios, ligada a raíces o madera enterrada./ Citas bibl.: ARANZADI (1905), MAIRE (1933). HEIM (1934). MAUBLANC (1936). MAIRE (1937). MALENçON & BERTAULT (1971). BERTAULT (1982). SIQUIER & CONSTANTINO (1982). BALLESTEROS (1984). FINSCHOW (1984). ROCABRUNA (1984). LLISTONELLA & AGUASCA (1986). ROCABRUNA & TABARÉS (1988). var. coralloides Corner: VAYREDA (1882). MASFERRER (1887). ARANZADI (1905). ARANZADI (1908). CODINA & FONT QUER (1931). var. nivea Bourd. & Galz.: SINGER (1947).
Clavulina rugosa (Fr.) Schroeter
Clavulina rugosa (Fr.) Schroeter
Font de l'A rç, Sant Hilari Sacalm (Selva) , Gerona, DG53, en bosque de F. sylva tica y Pseudotsuga. Leg. X. Llimona, 5-1 1-87. SSN 17 97.
Héi b. : Aparece en el suelo de claros de bosque o margenes de camino ./ Citas bib l.: SOLA (19 25) CODINA & FONT QUER (1931). MAIRE (19 33). HEIM (19 34) MAUBLANC (19 36) MAL ENÇON & BERTAULT (1 971). LOS A QUI NTANA et al. (1980). BERTAULT (19 82) BALLESTER OS (19 84) ROCA
Font de l'ArÇ, Sant Hilari Sacalm (Selva), Gerona, DG53, en bosque de F. sylvatica y Pseudotsuga. Leg. X. Llimona, 5-11-87. SSN 1797. Háb.: Aparece en el suelo de claros de bosque o márgenes de camino./ Citas bibl.: SOLA (1925). CODINA & FONT QUER (1931). MAIRE (1933). HEIM (1934). MAUBLANC (1936). MALENçON & BERTAULT (1971). LOSA QUINTANA et al. (1980). BERTAULT (1982). BALLESTEROS (1984). ROCA-
26

Butll. Soc. Catalana Micol. 14-15 21-42 Barcelona 1991
Butll. Soc. Catalana Micol. 14-15 21-42 Barcelona 1991
BRUNA (19 84) . D Í EZ (19 86). ROCABRUNA & TABAR É S (19 88). var. canaliculata Corner: CODINA & FONT QUER (19 31). HEIM (19 34) . BERTAULT (19 82).
BRUNA (1984). DÍEZ (1986). ROCABRUNA & TABARÉS (1988). var. canaliculata Corner: CODINA & FONT QUER (1931). HEIM (1934). BERTAULT (1982).
Familia CONIOPHORACEAE Ulbr.
Familia CONIOPHORA CEA E Ulbr.
Coniophora arida (Fr .) P. Karst
Els Pallaresos, cerca del Me dol (Tarragonès) , Tarrago na, CF55, en bosque de P. halepensis y R. officinalis. Leg. S. Sanclemente, 22 -11- 86. SSN 1534.- Mata Negra, Moixeró, Bellver (Cerdanya) , Lérida, DG08, en bosque de P. uncinata y A. alba. Leg. S. Sanclemente, 26-6-8 5. SSN 17 21, SSN 17 22. Ha b. : la hemos encontrado sobre madera des compuesta de Pin us. / Citas bibl .: MALENÇON & LLIMONA (19 83).
Coniophora arida (Fr.) P. Karst. Els Pallaresos, cerca del Medol (Tarragonés), Tarragona, CF55, en bosque de P. halepensis y R. officinalis. Leg. S. Sanclemente, 22-11-86. SSN 1534.- Mata Negra, Moixeró, Bellver (Cerdanya), Lérida, DG08, en bosque de P. uncinata y A. alba. Leg. S. Sanclemente, 26-6-85. SSN 1721, SSN 1722. Háb.: la hemos encontrado sobre madera descompuesta de Pinus./ Citas bibl.: MALENCON & LLIMONA (1983).
Fa milia COR TICIACEA E s. lat.
Familia CORTICIACEAE s. lat.
Amphinema byssoies (Pers.: Fr.) Erikss. Urbanización Pinalbert, Monnars (Tarragonés), Tarragona, 50-100 m, CF55, en bosque de P. halepensis, Q. ilex y C. humilis. Leg. S. Sanclemente, 22-11-86. SSN 1525.
Háb.: Aparece sobre madera muerta, principalmente coníferas./ Citas bibl.: BERTAULT (1982). MANJON (1983). TELLERÍA (1985). SANCLEMENTE (1988).
Amphinema byssoies (Pers .: Fr.) Erikss. Urbanización Pinalbert, Monnars (Tarra gon ès), Tarrag ona, 50- 10 0 m, CF55, en bosque de P. halepensis, Q. ilex y C. humilis. Leg. S. Sanclemente, 22 -11-86. SSN 15 25. Ha b. : Aparece sobre madera muerta, principalmente coníferas. / Citas bib l.: BERT AUL T (19 82). MA NJON (19 83). TELLER Í A (19 85). SANCLEMENTE (19 88)
Auriculariopsis ampla (Lév.) Maire
Font del Bufó, Santa Margarida de Montbui (Anoia), Barcelona, CG80, sobre S. nigra. Leg. D. Farré, 11-12-84. SSN 283.- La Granja d'Escarp (Segriá), Lérida, BF58. Leg. M. C. Roca, 30-11-86. SSN 1817.- Orrius (Maresme), Barcelona, DG40, en bosque de ribera. Leg. A. Rocabruna, 19-4-86. SSN 1835.- Les Botigues de Sitges (Garraf), Barcelona, DF16, sobre Populus. Leg. A. Canals, 13-12-87. SSN 1836.
Auriculariopsis ampla (Lév .) Ma ire Font del Bufó, Santa de Montbui (Anoi a), Barcelona, CG80, sobre S. nigra Leg. D. Farré, 11 -12 -84. SSN 283.- La Granja d'Escarp (Segri à), Lérida, BF58. Leg. M. C. Roca, 30 -11- 86. SSN 181 7.- Ò rrius (Maresme), Barcelona, DG40, en bosque de ribera Leg. A. Rocabruna, 19 -4-86. SSN 18 35.- Les Botigues de Sitges (Garraf), Barcelona, DFI 6, sobre Pop ulus. Leg. A. Canals, 13 -1 2- 87. SSN 18 36.
Ha b. : sobre madera muerta, con preferencia de caducifolios asociados a bosques de ribera ./ Citas bib l.: MAL ENÇON & BERTAULT (19 76) . SANCLE ME NTE-FT S.C.M. (19 87). SOc. CAT. MI COLOGIA (19 87). SANCLEMENT E (19 88).
Háb.: sobre madera muerta, con preferencia de caducifolios asociados a bosques de ribera./ Citas bibl.: MALENCON & BERTAULT (1976). SANCLEMENTE-FT S.C.M. (1987). SOC. CAT. MICOLOGIA (1987). SANCLEMENTE (1988).
Grandinia arguta (Fr.) Jülich
Grandinia arguta (Fr.) Jülich
El Médol (Tarragonés), Tarragona, CF65. Leg. S. Sanclemente, 19-2-87. SSN 1513, SSN 1514, SSN 1517, SSN 1555, SSN 1558.- Cala Trident (Baix Camp), Tarragona, CF23, sobre R. officinalis. Leg. X. Llimona, 24-5-85. SSN 1831.
El Mè dol (Tarragonè s), Tarragona, CF65. Leg. S. Sanclemente, 19-2-8 7. SSN 1513 , SSN 1514 , SSN 1517 , SSN 15 55, SSN 15 58 .- Cala Trident (Baix Camp) , Tarragona, CF23 , sobre R. offjcin alis. Leg. X. LIimona, 24-5-8 5. SSN 18 31.
Ha b. : Generalm ente sobre madera muerta de planifolios y arbustos ./ Citas bib l.: MALE NÇON & BERTAULT (1 972). BERTAULT (19 82). TELLER Í A ( 19 85) SANCLEMENTE (19 88).
Háb.: Generalmente sobre madera muerta de planifolios y arbustos./ Citas bibl.: MALENCON & BERTAULT (1972). BERTAULT (1982). TELLERÍA (1985). SANCLEMENTE (1988).
Grandinia crustosa (Fr.) Erikss.
Grandinia crustosa (Fr.) Erikss.
Pleta de les Vagues, cerca de La Masella (Cerdanya), Gerona, DG18, en bosque de P. uncinata, P. sylvestris y B. sempervirens. Leg. S. Sanclemente, 25-5-85. SSN 1726.
Háb.: Sobre madera muerta, tanto de planifolios como de coníferas./ Citas bibl.: MAIRE (1937). MALENCON & BERTAULT (1976). MALENCON & LLIMONA (1983). HALLEMBERG (1988). SANCLEMENTE (1988).
Pleta de les Vagues, cerca de La Masella (Cerdanya), Gerona , DG I8, en bosque de P. uncinata, P. sylvestris y B. sempervirens. Leg. S. Sancle mente , 25-5- 85. SSN 17 26. Ha b. : Sobre madera muerta, tanto de planifolios como de coníferas ./ Citas bib l.: MAIRE (19 37). MALENÇON & BERTAULT (1 976). MALENÇON & LLIMONA (19 83). HALLEMBERG (19 88). SANCLEMENTE (19 88).
Grandinia subalutacea (P. Karst.) Erikss.
Grandinia subalutacea (P. Karst .) Erikss. Coma Oriola, Urús (Cerdanya), Gerona, DG08, en bosque de P. uncinata y J. communis. Leg. S. San c1emente, 25-5-8 5. SSN 17 05, SSN 17 06, SSN 17 07, SSN 17 24.
Ha b. : Preferentemente sobre madera de conífer as ./ Citas bibl .: MA LENÇON & LLIMONA (19 83). MANJON (19 83). TELLER Í A (19 85).
Coma Oriola, Urús (Cerdanya), Gerona, DG08, en bosque de P. uncinata y J. communis. Leg. S. Sanclemente, 25-5-85. SSN 1705, SSN 1706, SSN 1707, SSN 1724. Háb.: Preferentemente sobre madera de coníferas./ Citas bibl.: MALENCON & LLIMONA (1983). MANJON (1983). TELLERÍA (1985).

Butll. Soc. Catalana Micol. 14-15 21- 42 Barcelona 1991
Hyphoderma radula (F r.: Fr.) Donk 27
Hyphoderma radula (Fr.: Fr.) Donk
Sant Mateu, sobre Vilassar (Mar esme) , Barcelona, DF49. Leg. A. Rocabrun a, 5-2- 89. SSN 16 63 .- Estación de Ribes de Freser (Ripoll ès), Gerona, DG38. Leg. X. Llimona, 16 -1 1- 86. SSN 18 07.
Hii b. : Aparece sobre madera de planifoli os, rara vez sobre coníferas ./ Citas bib l.: TELLER Í A (1984) HALLEMBERG (19 88).
Sant Mateu, sobre Vilassar (Maresme), Barcelona, DF49. Leg. A. Rocabruna, 5-2-89. SSN 1663.- Estación de Ribes de Freser (Ripollés), Gerona, DG38. Leg. X. Llimona, 16-11-86. SSN 1807. Háb.: Aparece sobre madera de planifolios, rara vez sobre coníferas./ Citas bibl.: TELLERÍA (1984). HALLEMBERG (1988).
Hyphodermella corrugata (Fr.) Eirkss. & Ryv.
Hyphodermella corrugata (Fr.) Eirkss. & Ryv .
El Ciervo, Retuerta de Pina, Zaragoza, 30T YL29, sobre R. officinalis. Leg. S. Sanclemente, 6-5-88. SSN.- El Médol (Tarragonés), Tarragona, CF65. Leg. S. Sanclemente, 19-2-87. SSN 1730, SSN 1731, SSN 1732, SSN 1733, SSN 1734, SSN 1735, SSN 1736.
Háb.: Sobre madera muerta, tanto de planifolios como de coníferas./ Citas bibl.: MALENCON & BERTAULT (1976). HONRUBIA & LLIMONA (1982). MANJON (1983). SANCLEMENTE (1988).
El Ciervo, Retuerta de Pina, Zaragoza, 30T YL29, sobre R. offjcinalis. Leg. S. Sanclemente, 6-5-88. SSN .- El Mè dol (Tarragonès) , Tarragona, CF65 Leg. S. Sanclemente , 19 -2-8 7. SSN 17 30, SSN 17 31, SSN 17 32, SSN 17 33, SSN 17 34, SSN 17 35, SSN 17 36. Hii b. : Sobre madera muerta, tanto de planifolios como de coníferas ./ Citas bib l.: MA LENÇON & BERTAULT (1 976) HONRUBIA & LLIMONA (19 82). MA NJON (19 83). SANCLEMENTE (19 88).
Lopharia spadicea (Pers.: Fr.) Boidin
Lopharia spadicea (Pers .: Fr.) Boidin
El Médol (Tarragonés), Tarragona, CF65. Leg. S. Sanclemente, 19-2-87. SSN 1554.- Camino a Els Bufadors, La Farga de Bebié, Lloses (Ripollés), Gerona, DG36. Leg. S. Sanclemente, 2-11-83. SSN 1768. Háb.: Sobre madera de planifolios./ Citas bibl.: CODINA & FONT QUER (1931). MAIRE (1933). MALENCON & BERTAULT (1976). MALENCON & LLIMONA (1980). BERTAULT (1982). MALENCON & LLIMONA (1983). FINSCHOW (1984). TELLERÍA (1984). LLISTOSELLA & AGUASCA (1986).
El Mèdol (Tarragonès) , Tarragona, CF65 . Leg. S. Sancle mente , 19-2-8 7. SSN 15 54.- Camino a Els Bufadors, La Farga de Bebié, Lloses (Ripollès), Gerona, DG36. Leg. S. Sanclemente, 2- 11 - 83. SSN 17 68. Hii b. : Sobre madera de planifolios ./ Citas bibl .: CODINA & FONT QUER (19 31). MAIRE (1933). MALEN ÇON & BERTAULT (19 76) MAL ENÇON & LLIMONA (19 80) BERTAULT (19 82 ). MA LENÇON & LLIMONA (19 83). FINSCHO W (19 84) TELLERÍ A (19 84) . LLISTOSELLA & AGUASCA (19 86).
Megalocystidium luridum (Bres.) Boidin
Megalocystidium luridum (Bres .) Boidin
Coma Oriola, Urús (Cerdanya), Gerona, DG08, en bosque de P. uncinata y J. communis. Leg. S. Sanclemente, 25-5-85. SSN 1711, SSN 1712, SSN 1713.
Háb.: Preferentemente sobre planifolios, aunque puede encontrarse sobre coníferas./ Citas bibl.: MALENCON & LLIMONA (1983). SANCLEMENTE (1988).
Coma Oriol a, Urús (Cerda nya) , Geron a, DG08, en bosque de P. uncinata y J. communis. Leg. S. Sanclemente , 25-5-85 . SSN 1711, SSN 17 12, SSN 17 13. Hii b. : Preferentemente sobre planifolios, aunque puede encontrarse sobre conífera s./ Citas bib l.: MALENÇON & LLIMONA (19 83). SANCLEMENTE (1 988)
Meruliopsis corium (Fr.) Ginns
Meruliopsis corium (Fr.) Ginns
El Médol (Tarragonés), Tarragona, CF65. Leg. S. Sanclemente, 19-2-87. SSN 1515.- Sant Mateu, sobre Vilassar (Maresme), Barcelona, DF49. Leg. A. Rocabruna, 5-2-89. SSN 1662.- Riera d'Arenys del Munt (Maresme), Barcelona, DG60. Leg. A. Rocabruna, 1-2-87. SSN 1751.- Bosc de la Mata, Poblet, Vimbodí (Conca de Barberá), Tarragona, CF38, en bosque de Q. rotundifolia. Leg. X. Llimona, 27-4-86. SSN 1808, SSN 1809, SSN 1821.
El Mè dol (Tarragonè s), Tarragona, CF65 Leg. S. Sanclemente, 19-2-8 7. SSN 15 15.- Sant Mateu, sobre Vilassar (Maresme), Barcelona, DF49. Leg. A. Rocabruna, 5-2-8 9. SSN 16 62 .- Riera d'Ar enys del Mu nt (Maresme), Barcelona, DG60. Leg. A. Rocabruna, 1- 2- 87. SSN 17 51. - Bosc de la Mata, Poblet, Vimbodí (Conca de Barberà), Tarragona, CF38 , en bo sque de Q. rotundi!olia. Leg. X. Llimona, 27 -4-8 6. SSN 18 08, SSN 18 09, SSN 18 21.
Háb.: Sobre madera de planifolios./ Citas bibl.: PEARSON (1931). HEIM (1934). MAUBLANC (1936). MAIRE (1937). MALENCON & BERTAULT (1971). MALENCON & BERTAULT (1972). BERTAULT (1982). HONRUBIA & LLIMONA (1982). TELLERÍA (1984). LLISTOSELLA & AGUASCA (1986). SANCLEMENTE (1988).
Hii b. : Sobre madera de planifolios ./ Citas bib l.: PEARSON (1931). HEIM (19 34) MAU BLANC (19 36) MAIRE (19 37). MA LENÇON & BERTAULT (1971). MA LENÇON & BERTAUL T (1 972) BERTAUL T (1982). HONRUBIA & LLIMONA (19 82). TELLER Í A (1 984). LLISTOSELLA & AGUASCA (19 86). SANCLEMEN TE (19 88).
Peniophora incarnata (Fr.) P. Karst.
Coma Oriola, Urús (Cerda nya) , Gerona, DG08, en bosque de P. uncinatar y J. communis. Leg. S. Sanclemente, 25-5-8 5. SSN 17 25.
Peniophora incarnata (Fr.) P. Karst. Coma Oriola, Urús (Cerdanya), Gerona, DG08, en bosque de P. uncinatar y J. communis. Leg. S. Sanclemente, 25-5-85. SSN 1725.
Háb.: Sobre madera muerta, generalmente de planifolios, rara vez de coníferas./ Citas bibl.: MAIRE (1933). MAIRE (1937). MALENCON & BERTAULT (1971). BERTAULT (1982). MALENCON & LLIMONA (1983). TELLERÍA (1985). LLISTOSELLA & AGUASCA (1986). HALLEMBERG (1988). ROCABRUNA & TABARÉS (1988). SANCLEMENTE (1988).
Hii b. : Sobre madera muerta, generalmente de planifolios, rara vez de coníferas ./ Citas bibl.: MAIRE (19 33). MAIRE (1 937). f'1 ALENÇON & BERTAUL T (1971). BERTAULT (19 82). MAL ENÇON & LLIMONA (19 83). TELLERIA (19 85). LLISTOSELLA & AGUASCA (1986). HALLEM BERG (19 88). ROCABRUNA & TABAR É S (19 88). SANCLEMENTE (19 88).
niop ora ii s v . H o hn . & Li sc h .
El Mèdol (Tarragonès) , Tarragona, CF65 Leg. S. Sanclemente, 19 -2-8 7. SSN 1516 .- Carretera de Tarragona a Valls (Tarragonès) , Tarragona, CF55, en bosque de P. ha lepensis, Q. co ccifera y C. salvi!olius. Leg. S. Sanclemente, 12 -1 1-86. SSN 15 20.
Peniophora Iycii (Pers,) v. Han. & Litsch. El Médol (Tarragonés), Tarragona, CF65. Leg. S. Sanclemente, 19-2-87. SSN 1516.- Carretera de Tarragona a Valls (Tarragonés), Tarragona, CF55, en bosque de P. halepensis, Q. coccifera y C. salvifolius. Leg. S. Sanclemente, 12-11-86. SSN 1520.
Háb.: Sobre madera muerta de árboles y arbustos./ Citas bibl.: MALENCON & BERTAULT (1971).
Hii b. : Sobre madera muerta de arboles y arb ustos ./ Citas bibl .: MALE NÇON & BERTAULT (1971).

Butll. Soc. Catalana Micol. 14-15 21-42 Barcelona 1991
28 Butll. Soc. Catalana Micol. 14 -15 21- 42 Barcelona 1991
MA LENÇON & BERTAUL T (1 972) MALE NÇ ON & LLIMONA (19 80). BERTAUL T (19 82). HON RUBlA & LLIMONA (19 82) MA LENÇ ON & LLIMONA (19 83). TELLER Í A (19 85). SAN CLEMENT E (19 88)
MALEWON & BERTAULT (1972). MALENçON & LLIMONA (1980). BERTAULT (1982). HONRUBIA & LLIMONA (1982). MALENçON & LLIMONA (1983). TELLERÍA (1985). SANCLEMENTE (1988).
Peniophora pini (Fr.) Boidin
Peniophora pini (Fr.) Boidin
Sobre el pla de Bagó (Berguedó), Barcelona, DG07, sobre P. uncinata. Leg. S. Sanclemente, 25-6-85. SSN 1723.
Sobre el pla de Bagà (Bergued à), Barcelona, DG0 7, sobre P. uncinata. Leg. S. Sanclemen te, 25-6- 85. SSN 17 23.
Háb.: Sobre madera muerta de Pinus./ Citas bibl.: MALENçON & BERTAULT (1971). SANCLEMENTE (1988).
HfJ b. : Sobre madera muer ta de Pinus. j Cita s bib l.: MA LENÇ ON & BERTAUL T (1971). SANCLEME NTE (19 88).
Peniophora pithya (Pers.) Erikss.
Peniophora pithya (Pers .) Erikss.
Coma Oriola, Urús (Cerdanya), Gerona, DG08, en bosque de P. uncinata y J. communis. Leg. S. Sanclemente, 25-5-85. SSN 1708.
Háb.: Aparece sobre madera de coníferas.
Coma Oriola, Urús (Cerdan ya) , Gerona, DG08, en bosque de P. uncinata y J. communis. Leg. S. Sanclemente, 25-5- 85. SSN 17 08. HfJ b. : Aparece sobre madera de coníferas.
Peniophora quercina (Pers.: Fr.) Cooke
Peniophora quercina (Pers .: Fr.) Cooke
La Massana, Alberes (Vallespir), Francia, EHOO, sobre F. syl vatica Leg. S. Sanclemente, 29-4 -88. SSN 16 73.- El Brull , Montseny (Oson a), Barcelona, DG43, sobre Q. ilex. Leg. S. Sanclemente, 30-3- 83. SSN 17 67.- La Pin eda, carretera de Igualada a Sant Martí de Tous (Anoi a), Barcelona, CG70. Leg. S. Sanclemen te, 14-7-85. SSN 17 74.- Serrat de la Glòria, Selva de Mar (Alt Empord à), Gerona, EG 18, sobre Q. suber. Leg. X. Llimona, 14-10 -84. SSN 17 78.- Bosc de la Mata, Poblet, Vimbodí (conca de Barberà) , Tarragona, CF38 . Leg. X. Llimona, 27 -4 -86. SSN 18 10.- La Clota, Begues (Baix Llobregat), Barcelona, DF07, sobre Q. ilex. Leg. A. Canals, 24-4-88. SSN 1816
HfJ b. : Sobre madera muerta de planifolios, preferentemente Quercus. j Citas bibl .: CODINA & FONT QUER (19 31). MAL ENÇON & BERTAULT (1 971 ) . MA LENÇON & BERTAUL T (19 72). BERTAUL T (19 82) MALENÇON & LLIMONA (19 83). TELLER ÍA (19 84) . TELLER Í A (19 85). LLISTOSELLA & AGUASCA (19 86). ROCA BRUNA & TABAR É S (19 88). SANCLEMENTE (19 88)
La Massana, Alberes (Vallespir), Francia, EHOO, sobre F. sylvatica. Leg. S. Sanclemente, 29-4-88. SSN 1673.- El Brull, Montseny (Osona), Barcelona, DG43, sobre Q. ilex. Leg. S. Sanclemente, 30-3-83. SSN 1767.- La Pineda, carretera de Igualada a Sant Martí de Tous (Anoia), Barcelona, CG70. Leg. S. Sanclemente, 14-7-85. SSN 1774.- Serrat de la Glória, Selva de Mar (Alt Empordó), Gerona, EG18, sobre Q. suber. Leg. X. Llimona, 14-10-84. SSN 1778.- Bosc de la Mata, Poblet, Vimbodí (conca de Barberó), Tarragona, CF38. Leg. X. Llimona, 27-4-86. SSN 1810.- La Clota, Begues (Baix Llobregat), Barcelona, DF07, sobre Q. ilex. Leg. A. Canals, 24-4-88. SSN 1816. Háb.: Sobre madera muerta de planifolios, preferentemente Quercus./ Citas bibl.: CODINA & FONT QUER (1931). MALENçON & BERTAULT (1971). MALENçON & BERTAULT (1972). BERTAULT (1982). MALENON & LLIMONA (1983). TELLERÍA (1984). TELLERÍA (1985). LLISTOSELLA & AGUASCA (1986). ROCABRUNA & TABARÉS (1988). SANCLEMENTE (1988).
Peniophora versiformis (Berk. & Curt.) Bourd. & Galz.
Peniophora versiformis (Berk. & Cur t.) Bourd. & Galz.
El Médol (Tarragonós), Tarragona, CF65. Leg. S. Sanclemente, 19-2-87. SSN 1556, SSN 1557.- Carretera de Tarragona a Valls (Tarragonés), Tarragona, CF55, en bosque de P. halepensis, Q. coccifera y C. salvifolius. Leg. S. Sanclemente, 22-11-86. SSN 1521, SSN 1522.- Garraf (Garraf), Barcelona, DF06, en el Oleo-Ceratonion. Leg. X. Llimona, 14-2-88. SSN 1757.- Torrent de la Sequera, Massís de Bonastre, Masarbonés (Alt Camp), Tarragona, CF66. Leg. J. Cambra, 23-10-87. SSN 1851.
El Mè dol (Tarragonè s), Tarrag ona, CF65. Leg. S. Sanclemente, 19 -2-8 7. SSN 15 56, SSN 15 57.- Carretera de Tarragona a Valls (Tarra gon ès) , Tarragona, CF55 , en bosque de P. ha lepensis, Q. coccifera y C. salvi!olius. Leg. S. Sanclemente, 22 -11 - 86. SSN 15 21, SSN 15 22.- Garraf (Garraf), Barcelona, DF06, en el Oleo-Cera tonion. Leg. X. Llimona, 14-2-88 SSN 17 57.- Torrent de la Sequera, Massís de Bonastre , Masarbonès (Alt Camp) , Tarrag ona, CF66. Leg. J. Cambra, 23- 10 -87. SSN 18 51.
HfJ b. : Sobre madera muerta, con preferencia de planifoli os .j Citas bibl .: MALENÇON & LLIMONA (19 80). TELLER Í A (19 80) SANCLEMENTE (19 88).
Háb.: Sobre madera muerta, con preferencia de planifolios./ Citas bibl.: MALENçON & LLIMONA (1980). TELLERÍA (1980). SANCLEMENTE (1988).
Phanerochaete sordida (P. Karst.) Erikss. & Ryv. Urbanización Pinalbert, Monnars (Tarragonós), Tarragona, CF55, en bosque de P. halepensis, Q. ilex y C. humilis. Leg. S. Sanclemente, 22-11-86. SSN 1530.- Coma Oriola, Urús (Cerdanya), Gerona, DG08, en bosque de P. uncinata y J. communis. Leg. S. Sanclemente, 25-5-85. SSN 1704.
Háb.: Sobre madera muerta, tanto de planifolios como de coníferas./ Citas bibl.: MANJON (1983). TELLERÍA (1984). SANCLEMENTE (1988).
Phanerochaete sordida (P. Karst .) Erikss. & Ryv. Urbanización Pinalbert, Mon nars (Tarrag onès) , Tarragona, CF55, en bosque de P. halepensis, Q. ilex y C. humilis. Leg. S. Sanclemente, 22 -11- 86. SSN 15 30.- Coma Oriola, Urús (Cerdanya), Gerona, DG08, en bosque de P. uncinata y J. comm unis. Leg . S. Sanclemente, 25-5- 85. SSN 17 04. HfJ b. : Sobre madera muerta, tanto de planifolios como de coníferas .j Citas bib l.: MANJ Ó N (19 83). TELLER Í A (19 84) SANCLEMEN TE (19 88)
Phanerochaete velutina (DC ex Pers.) P. Karst. Salida de Prades (Baix Camp), Tarragona, CF37. Leg. S. Sanclemente y A. Gendrau, 10-10-85. SSN 1814.
Phanerochaete velutina (DC ex Pers .) P. Karst. Salida de Prades (Baix Camp) , Tarragona , CF 37. Leg. S. Sanclemente y A. Gendrau, 10-10 -85 . SSN 18 14.
HfJ b.: Preferentemente sobre madera de planifolios, rara vez sobre coníferas .j Citas bib l.: MAIRE (19 37).
Háb.: Preferentemente sobre madera de planifolios, rara vez sobre coníferas./ Citas bibl.: MAIRE (1937).
Pulcherricium caeruleum (Schrad. ex Fr.) Parm. La Massana, Alberes (Vallespir), Francia, EHOO, en bosque de F. sylvatica. Leg. S. Sanclemente,
Pulcherricium caeruleum (Schrad. ex Fr.) Parm . La Massana, Al beres (Vallespir), Francia, EHOO, en bosque de F. sylvatica. Leg. S. Sanclemente,

Butll. Soc. Catalana Micol. 14-15 21- 42 Barcelona 1991 29
29-4-88. SSN 1668.- El Médol (Tarragonós), Tarragona, CF65. Leg. S. Sanclemente, 19-2-87. SSN 1519.- Frente cantera, carretera del Pont d'Armentera a Querol (Alt Camp), Tarragona, CF68, en encinar. Leg. S. Sanclemente y A. Gendrau, 2-11-86. SSN 1460.- Estación de Ribes de Freser (Ripollós), Gerona, DF38, en bosque de Q. robur. Leg. X. Llimona, 16-11-86. SSN 1763.- Batet, Vall de Ribes (RipoIlós), Gerona, DG38. Leg. J. Llistosella, 9-2-85. SSN 1771.- Foix (Garraf), Barcelona, CF86, sobre Myrthus. Leg. X. Llimona, 26-8-83. SSN 1789.- Barranc de la Caramella, Roquetes (Baix Ebre), Tarragona, BF71, sobre P. media. Leg. M. Boqueres, 19-10-86. SSN 1790.
Háb.: Sobre madera de planifolios y arbustos./ Citas bibl.: CODINA & FONT QUER (1931). HEIM (1934). MALENçON & BERTAULT (1971). BERTAULT (1982). TELLERÍA (1985). LLISTOSELLA & AGUASCA (1986). TABARÉS & ROCABRUNA (1987). SANCLEMENTE (1988).
29-4-88. SSN 16 68 .- El Mè dol (Tarragonès) , Tarragona, CF65 . Leg. S. Sanclemente, 19 -2-8 7. SSN 15 19.- Frente cant era, carretera del Pont d'Ar mentera a Querol (Alt Camp) , Tarragona, CF68 , en encinar. Leg. S. Sanclemente y A. Gendrau, 2- 1 1- 86. SSN 14 60.- Estación de Ribes de Freser (Ripollès), Gerona, DF38, en bosque de Q. rabur. Leg. X. Llimona, 16-1 1- 86. SSN 17 63 .- Batet, Vall de Ribes (Ripollès), Gerona, DG38. Leg. J. Llistosella, 9-2-85. SSN 17 71. - Foix (Garraf), Barcelona, CF86, sobre Myrthus. Leg. X. Llimona, 26-8 -83. SSN 17 89.- Barranc de la Caramel la, Roquetes (Baix Ebre), Tarragona, BF7 1, sobre P. media. Leg. M. Boqueres, 19-1 0- 86. SSN 17 90. HfJ b. : Sobre madera de planifolios y arbust os .j Citas bib l.: CODINA & FONT QUER (1931). HEIM (19 34) . MALE NÇON & BERTAUL T (1971). BERTAUL T (19 82). TELLER Í A (19 85). LLISTOSELLA & AGUASCA (19 86). TABAR É S & ROCABRUNA (19 87). SANCLEMENTE (19 88).
Steccherinum ochraceum (Pers. in Gmelin ex Fr.) S. F. Gray
Salida de Prades (Baix Camp), Tarragona, CF37. Leg. S. Sanclemente y A. Gendrau, 10-10-85. SSN 1811, SSN 1812, SSN 1813.
Háb.: Sobre madera de planifolios, raramente sobre coníferas./ Citas bibl.: MAIRE (1905). MAUBLANC (1936). MAIRE (1937). SINGER (1947). MALENçON & BERTAULT (1971). MALENçON & BERTAULT (1972). MALENçON & LLIMONA (1980). BERTAULT (1982). TELLERÍA (1984). TELLERÍA (1985). SANCLEMENTE (1988).
Steccherinum ochraceum (Pers. in Gmelin ex Fr.) S. F. Gray Salida de Prades (Baix Camp) , Tarragona, CF37. Leg. S. Sanclemente y A. Gendrau, 10 -10-85. SSN 181 1, SSN 1812 , SSN 1813. HfJ b. : Sobre madera de planifolios, raramente sobre coníferas. j Citas bib l.: MAIRE (19 05). MAUBLANC (19 36) . MAIRE (19 37). SINGER (19 47) . MA LENÇON & BERTAUL T (1971). MAL ENÇON & BERTAUL T (1 972). MA LENÇON & LLIMONA (19 80) . BERT AULT (19 82). TELLERÍ A (19 84) . TELLER ÍA (19 85). SANCLEMENTE (19 88).
Stereum, hirsutum (Willd. ex Fr.) S. F. Gray
Stereum, hirsutum (Will d. ex Fr.) S. F. Gray . Riu (Cerdanya ), Gerona, DG08 , sobre caducifolio. Leg. I. Soriano, 19-10 -86. SSN 12 96.- Calamot, Gavà (Baix Llobregat), Barcelona, DF 17 , sobre Q. ilex. Leg. X. Llimona, 28- 1- 88. SSN 18 06 .- Greixer (Berguedà) , Barcelona, DG08. Leg. I. Soriano, 15 -11- 86. SSN 18 18.- Vista Rica, Collserola (Barcelonès) , Barcelona, DF28, sobre Q. ilex. Leg. X. Llimo na, 13 -11- 83. SSN 18 37.- Torrent de la Sequer a, Massís de Bonastre, Masarbonès (Alt Camp) , Tarragona, CF66. Leg. J. Cambra, 23- 10 -87. SSN 18 53. HfJ b. : Preferentemente sobre madera de planifolios, en ocasiones sobre conífera s.j Citas bibl.: ARANZADI (19 05) ARAN ZADI (19 08). SOLA (19 25). CODINA & FONT QUER (19 31). PEARSON (1931). MAIRE (19 33) . HEIM (19 34) . MAUBLANC (19 36). MA LENÇON & BERTAULT (1971) . LASUNCION et al. (1 97 4) . LOSA QUINTANA et al. (19 80) . MALE NÇON & LLIMONA (19 80). BERTAUL T (19 82). MALENÇ ON & LLIMONA (19 83). BAL LESTEROS (19 84) . FI NSCHOW (19 84) . LLIMONA (19 84) . ROCABRUNA (19 84) . TELLER Í A (19 84) . TELLERÍ A (1985). LLI STOSELLA & AGUASCA (19 86). TABAR É S & ROCABRUNA (19 87). ROCABRUNA & TABAR É S (19 88). SANC LEMENTE (19 88). LL ISTOSELLA & AGUASCA (19 90) .
Riu (Cerdanya), Gerona, DG08, sobre caducifolio. Leg. I. Soriano, 19-10-86. SSN 1296.- Calamot, Gavá (Baix Llobregat), Barcelona, DF17, sobre Q. ilex. Leg. X. Llimona, 28-1-88. SSN 1806.- Greixer (Berguedá), Barcelona, DG08. Leg. I. Soriano, 15-11-86. SSN 1818.- Vista Rica, Collserola (Barcelonés), Barcelona, DF28, sobre Q. ilex. Leg. X. Llimona, 13-11-83. SSN 1837.- Torrent de la Sequera, Massís de Bonastre, Masarbonós (Alt Camp), Tarragona, CF66. Leg. J. Cambra, 23-10-87. SSN 1853. Háb.: Preferentemente sobre madera de planifolios, en ocasiones sobre coníferas./ Citas bibl.: ARANZADI (1905). ARANZADI (1908). SOLA (1925). CODINA & FONT QUER (1931). PEARSON (1931). MAIRE (1933). HEIM (1934). MAUBLANC (1936). MALENON & BERTAULT (1971). LASUNCION et al. (1974). LOSA QUINTANA et al. (1980). MALENON & LLIMONA (1980). BERTAULT (1982). MALENçON & LLIMONA (1983). BALLESTEROS (1984). FINSCHOW (1984). LLIMONA (1984). ROCABRUNA (1984). TELLERÍA (1984). TELLERÍA (1985). LLISTOSELLA & AGUASCA (1986). TABARÉS & ROCABRUNA (1987). ROCABRUNA & TABARÉS (1988). SANCLEMENTE (1988). LLISTOSELLA & AGUASCA (1990).
Stereum ochraceo-flavum (Schw.) Ellis
Stereum ochraceo-f1avum (Sc hw.) Ellis
Turó de Morou, Montseny (Vallós Oriental), Barcelona, DG52, sobre caducifolio. Leg. J. Blanco, 15-11-87. SNN 1753.
Turò de Morou, Montseny (Vallès Oriental), Barcelona, DG52, sobre caducifol io. Leg. J. Blanco, 15 -11- 87. SNN 17 53.
HfJ b. : Aparece sobre ramas delgadas de planifolios ,j Citas bib l.: BERTAUL T (19 82). MALE NÇON & LLIMONA (19 83). LL ISTOSELLA & AGUASCA (1 986) . ROCABRUNA & TABAR É S (19 88).
Háb.: Aparece sobre ramas delgadas de planifolios,/ Citas bibl.: BERTAULT (1982). MALENçON & LLIMONA (1983). LLISTOSELLA & AGUASCA (1986). ROCABRUNA & TABARÉS (1988).
Stereum reflexulum Reid
Stereum reflexulum Reid
La Massana, Alberes (Vallespi r), Francia, EHOO, en bosque de F. sylva tica. Leg. S. Sanclemen te, 29-4 -88 SSN 16 74, SSN 16 75, SSN 16 76, SSN 1677, SSN 16 88, SSN 16 89.
HfJ b. : Sobre madera en descomposición de planifolios y arbustos.
La Massana, Alberes (Vallespir), Francia, EHOO, en bosque de F. sylvatica. Leg. S. Sanclemente, 29-4-88. SSN 1674, SSN 1675, SSN 1676, SSN 1677, SSN 1688, SSN 1689. Háb.: Sobre madera en descomposición de planifolios y arbustos.
Stereum rugosum (Pers .: Fr.) Fr.
Estación de Ribes de Freser (Ripollès), Gerona, DG 38, sobre Q. rabur. Leg. X. Llimona, 16 -11 - 86. SSN 17 85 .
Stereum rugosum (Pers.: Fr.) Fr. Estación de Ribes de Freser (Ripollós), Gerona, DG38, sobre Q. robur. Leg. X. Llimona, 16-11-86. SSN 1785
Háb.: Aparece sobre madera de planifolios./ Citas bibl.: MAIRE (1937). BERTAULT (1982). ROCABRUNA (1984).
HfJ b. : Aparece sobre madera de planifoli os .j Citas bibl. : MAIRE (19 37). BERTAUL T (19 82). ROCABRUNA (19 84)

30 Butll. Soc. Catalana Micol. 14·15 21- 42 Barcelona 19 91
Butil. Soc. Catalana Micol. 14-15 21-42 Barcelona 1991
Tubulicrinis subulatus (Bourd. & Gal z.) Donk
Tubulicrinis subulatus (Bourd. & Galz.) Donk
Mata Negra, Moixeró, Bellver (Cerdan ya) , Lérida, DG08, en bosque de P. uncinata y A. alba. Leg. S. Sanclemente, 26-6-8 5. SSN 17 20.
Mata Negra, Moixeró, Bellver (Cerdanya), Lérida, DG08, en bosque de P. uncinata y A. alba. Leg. S. Sanclemente, 26-6-85. SSN 1720.
HfJ b. : Sobre restos de madera en descomposición .j Citas bib! .: MANJ Ó N (19 83). TELLER Í A (19 85).
Háb.: Sobre restos de madera en descomposición./ Citas bibl.: MANJON (1983). TELLERÍA (1985).
Familia HERICIA CEA E
Familia HERICIACEAE Donk
Hericium coralloides (Scop. ex Fr.) S. F. Gray
Hericium coralloides (Scop. ex Fr.) S. F. taray
Umbría de la Vall de Conangles (Vall d' Aran), Lérida, CH12, sobre A. alba, en bosque de F. sylvaticar y A. alba. Leg. V. Canalís, 26- 1 0-86. SSN 17 48 , SSN 17 49.
Umbría de la Vall de Conangles (Vall d'Aran), Lérida, CH12, sobre A. alba, en bosque de F. sylvaticar y A. alba. Leg. V. Canalís, 26-10-86. SSN 1748, SSN 1749.
HfJ b. : Gene ralmente aparece sobre A. alba, aunque rara vez puede crecer sobre otras coníferas .j Citas bib !.: CODINA & FONT QUER (1931). BALLESTEROS (19 84)
Háb.: Generalmente aparece sobre A. alba, aunque rara vez puede crecer sobre otras coníferas./ Citas bibl.: CODINA & FONT QUER (1931). BALLESTEROS (1984).
Familia HYDNA CEA E Ch ev.
Familia HYDNACEAE Chev.
Hydnum repandum L. ex Fr.
Hydnum repandum L. ex Fr.
Punta de la Mora (Tarra gon ès), Tarrag ona, CF56, en sabinar. Leg. X. Llimona, 18 -12 -87. SSN 15 64. HfJ b. : Crece en bosques de coníferas y planifolios .j Citas bib !.: SOLA (19 25). CODINA & FONT QUER (19 31). PEARSON (1931). HEIM (19 34) MAUBLANC (19 36). MAIRE (19 37). SINGER (1947) FONT QUER (19 54) BERTAUX (19 64) LLENSA DE GELCEN (1 97 0) MAL ENÇON & BERTAUL T (1971). MAL ENÇON & BERTA ULT (19 72). LOSA QUINTANA et a!' (19 80). MAL ENÇON & LLIMONA (19 80). BERTAULT (19 82). SOc. CAT. MICO LOGIA (19 82). BALLE STEROS (19 84) FI NSCHOW (19 84) LLIMONA (19 84) ROCA BRUNA (19 84) . D Í EZ (19 86). LLISTOSELLA & AGUACA (19 86). ROCABRUNA & TABAR É S (19 88). LLISTOSELLA & AGUASCA (19 90) . var. album (Qué !.): MAIRE ( 1 937) .
Punta de la Mora (Tarragonés), Tarragona, CF56, en sabinar. Leg. X. Llimona, 18-12-87. SSN 1564. Háb.: Crece en bosques de coníferas y planifolios./ Citas bibl.: SOLA (1925). CODINA & FONT QUER (1931). PEARSON (1931). HEIM (1934). MAUBLANC (1936). MAIRE (1937). SINGER (1947). FONT QUER (1954). BERTAUX (1964). LLENSA DE GELCEN (1970). MALENçON & BERTAULT (1971). MALEWON & BERTAULT (1972). LOSA QUINTANA et al. (1980). MALENçON & LLIMONA (1980). BERTAULT (1982). SOC. CAT. MICOLOGIA (1982). BALLESTEROS (1984). FINSCHOW (1984). LLIMONA (1984). ROCABRUNA (1984). DÍEZ (1986). LLISTOSELLA & AGUACA (1986). ROCABRUNA & TABARÉS (1988). LLISTOSELLA & AGUASCA (1990). var. album (Quél.): MAIRE (1937).
Familia HYMENOCHAETACEAE Donk
Familia HYMENOCHA ETACEAE Donk
Coltricia perennis (L. ex Fr.) Murrill
Coltricia perennis (L. ex Fr.) Murrill
Vista Rica, Collcerola (Barcelonés), Barcelona, DF28, en bosque de Q. cerrioides. Leg. J. Sanchís, 6-3-84. SSN 1752.- Turó de Morou, Montseny (Vallés Oriental), Barcelona, DG52. Leg. J. Blanco, 15-11-87. SSN 1754.- Canyamars, Dosrius (Maresme), Barcelona, DG50, en bosque de Q. ilex, Q. pubescens y C. sativa. Leg. F. X. Yuste, 15-11-87. SSN 1755. Leg. A. Rocabruna, 8-11-87. SSN 1801. Háb.: Crece en el suelo, con preferencia por los bosques de coníferas, aunque también podemos encontrarla en bosques de planifolios./ Citas bibl.: CODINA & FONT QUER (1931). PEARSON (1931). MAIRE (1933). HEIM (1934). MAUBLANC (1936). MAIRE (1937). SINGER (1947). MALENON & BERTAULT (1971). BERTAULT (1982). ROCABRUNA (1984). TELLERÍA (1984). DIEZ (1986). TABARÉS & ROCABRUNA (1987). ROCABRUNA & TABARÉS (1988).
Vista Rica, Collcerola (Barcelonès), Barcelo na, DF28 , en bosque de Q. cerrioides. Leg. J. Sanchís, 6-3-84. SSN 17 52.- Turó de Morou, Montseny (Vallès Orient al) , Barcelona, DG52 Leg. J. Blanco, 15 -1 1- 87. SSN 17 54.- Canyamars, Dosrius (Maresme) , Barcelona, DG50, en bosque de Q. ilex, Q. pubescens y C. sativa. Leg. F. X. Yuste, 15 -1 1- 87. SSN 17 55. Leg. A. Rocabruna, 8- 11 - 87. SSN 18 01. HfJ b. : Crece en el suelo, con preferencia por los bosques de coníferas, aunque también podemos encontraria en bosques de planifolios .j Citas bib! .: CODINA & FONT QUER (19 31). PEARSON (19 31). MAIRE (19 33). HEIM (19 34) MAUBLANC (19 36). MAIRE (19 37). SIN GER (1947) . MAL ENÇON & BERTAUL T (1971). BERTAULT (19 82). ROCABRUNA (1 984) TELLER Í A (19 84) . DIEZ (19 86). TABAR É S & ROCABRUNA (19 87). ROCABRUNA & TABAR É S (19 88).
Hymenochaete cinnamomea (Pers .) Qué!.
Hymenochaete cinnamomea (Pers.) Quél.
El Mèdol (Tarrag onès) , Tarrag ona, CF65 . Leg. S. Sanclemente, 19 -2-8 7. SSN 1518. HfJ b. : Sobre madera de planifolios, raramente sobre conífe ras
El Médol (Tarragonés), Tarragona, CF65. Leg. S. Sanclemente, 19-2-87. SSN 1518. Háb.: Sobre madera de planifolios, raramente sobre coníferas.
Hymenochaete corrugata (Fr.) Lév.
Hymenochaete corrugata (Fr.) Lév.
Castellví de Rosanes, Torrent de les Licorelles, DF08, sobre P. a vium. Leg. J. Coll, 25-11-86. SSN 1481. Háb.: Sobre madera de planifolios.
Castellví de Rosan es, Torrent de les Licorelles, DF08 , sobre P. avium. Leg. J. Coll, 25 -1 1- 86. SSN 1481. HfJ b. : Sobre madera de planifolios
Hymenochaete rubiginosa (Dicks. ex Fr.) Lév.
Hymenochaete rubiginosa (Dicks. ex Fr.) Lév.
La Massana, Alberes (Vallespir), Francia, EHOO, en bosque de F. sylvatica. Leg. S. Sanclemente, 29-4-88. SSN 1681, SSN 1682.
La Ma ssana, Alberes (Vallespir), Francia, EHOO, en bosque de F. syl vatica. Leg. S. Sanclemente, 29-4 -88 SSN 16 81, SSN 16 82.

Butll. Soc. Catalana Micol. 14-15 21-42 Barcelona 19 91 31
Ha b. : Sobre madera de planifolios ./ Citas bibl .: SOLA (19 25). CODINA & FONT QUER (1931). PEARSON (19 31). HEIM (19 34) SINGER (19 47). MALENÇON & BERTAULT (1971). MALE NÇON & LLIMONA (19 83).
Háb.: Sobre madera de planifolios./ Citas bibl.: SOLA (1925). CODINA & FONT QUER (1931). PEARSON (1931). HEIM (1934). SINGER (1947). MALENCON & BERTAULT (1971). MALENCON & LLIMONA (1983).
Phellinus contiguus (Fr.) Pat.
Phellinus contiguus (Fr.) Pat.
Torrent de la Sequera, Massís de Bonastre, Masarbonés (Alt Camp), Tarragona, CF66. Leg. J. Cambra, 23-10-87. SSN 1852.
Háb.: Sobre madera de planifolios; en ocasiones ataca también la madera de construcción.
Torrent de la Sequera, Massí s de Bonastre, Masarbonès (Alt Camp) , Tarrag ona, CF66. Leg. J. Cambra, 23- 10 -8 7. SSN 18 52. Ha b. : Sobre madera de planifol ios; en ocasiones ataca también la madera de construcción.
Phellinus ferruginosus (Schrad. ex Fr.) Pat.
Phellinus ferruginosus (Schrad. ex Fr.) Pat.
Punta de la Mo ra (Tarrag onès) , Tarragona , CF56. Leg. S. Sanclemente , 19 -2-8 7. SSN 15 65 i 15 26. Tres Cales, Ametlla de Mar (Baix Ebre), Tarragona, CF12, en bosque de P. ha Jepensis. Leg. X. Llimona, 26-5- 85. SSN 15 39. SSN 15 40 .- Carretera de Tarragona a Valls (Tarragonès) , Tarragona , CF55, en bosque de P. haJepensis, Q. coccifera y C. saJ vifoJius. Leg. S. Sanclemen te, 22 -11- 86. SSN 15 23, SSN 15 24, SSN 15 26. Tres Cales, L' Atmella de Mar (Baix Ebre) Tarrag ona, CF12, en bosque de P. haJepensis. Leg. X. LlilJlona, 25-5-85 SSN 18 29.- Cala Trident (Baix Camp), Tarragona, CF23, sobre R. officinalis. Leg. X. Llimona, 24-5-8 5. SSN 18 30. Ha b. : En troncos y ramas muertas de planifolios, muy rara vez sobre restos de coníferas ./ Citas bib l.: MALENÇON & BERTAUL T (19 76 ). HONRUBIA & LLIMONA (19 82). TELLER Í A (19 84)
Punta de la Mora (Tarragonés), Tarragona, CF56. Leg. S. Sanclemente, 19-2-87. SSN 1565 i 1526. Tres Cales, Ametlla de Mar (Baix Ebre), Tarragona, CF12, en bosque de P. halepensis. Leg. X. Llimona, 26-5-85. SSN1539. SSN 1540.- Carretera de Tarragona a Valls (Tarragonés), Tarragona, CF55, en bosque de P. halepensis, Q. coccifera y C. salvifolius. Leg. S. Sanclemente, 22-11-86. SSN 1523, SSN 1524, SSN1526. Tres Cales, L'Atmella de Mar (Baix Ebre) Tarragona, CF12, en bosque de P. halepensis. Leg. X. Llimona, 25-5-85. SSN 1829.- Cala Trident (Baix Camp), Tarragona, CF23, sobre R. officinalis. Leg. X. Llimona, 24-5-85. SSN 1830. Háb.: En troncos y ramas muertas de planifolios, muy rara vez sobre restos de coníferas./ Citas bibl.: MALENCON & BERTAULT (1976). HONRUBIA & LLIMONA (1982). TELLERÍA (1984).
Phellinus pini (Brot. ex Fr.) Ames Vista Rica, Collserola (Barcelonè s), Barcelon a, DF28, sobre P. ha Jepensis. Leg. X. Llimona, 28-3- 83. SSN 15 66.- Sant Martí de Tous (Anoia) , Barcelona, CG70, sobre P. haJepensis. Leg. D. Farré, 19 -1 1- 88. SSN 17 28.- Mas del Guarda, Retuerta de Pina, Zarag oza, 30T YL29, sobre P. ha Jepensis. Leg. S. Sanclemen te, 6-5-88. SSN 17 40, SSN 17 41 .- Can Fosal ba, Pierola (Anoi a), Barcelona, CG90, sobre P. pinea Leg. X. Mu ñoz, 22 -11- 87, SSN 17 59.- Boca sur Túnel del Bruc (Anoi a), Barcelona, CG90, sobre P. haJepensis vivo. Leg. V. Canalís, 24- 1- 86. SSN 17 87.- Mu ntanya Pelada , Sant Pere Màrtir (Barcelon ès) , Barcelona, DF28, sobre P. ha Jepensis vivo. Leg. X. Llimona, 1-1 1- 87. SN 18 02. Ha b. : Sobre madera de Pin us, generalmente en arboles vivos ./ Citas bib l.: MAIRE (19 33) HEIM (19 34) SINGER (19 47). MALE NÇON & BERTAUL T (1971). MA LENÇON & LLIMONA (19 80). HONRUBIA & LLIMONA (19 82). FOLGADO (19 83). BALL ESTEROS (19 84) FIN SCHOW (19 84) FOLGADO et al. (19 84) TABAR É S & ROCA BRUNA (19 87).
Phellinus pini (Brot. ex Fr.) Ames Vista Rica, Collserola (Barcelonés), Barcelona, DF28, sobre P. halepensis. Leg. X. Llimona, 28-3-83. SSN 1566.- Sant Martí de Tous (Anoia), Barcelona, CG70, sobre P. halepensis. Leg. D. Farré, 19-11-88. SSN 1728.- Mas del Guarda, Retuerta de Pina, Zaragoza, 30T YL29, sobre P. halepensis. Leg. S. Sanclemente, 6-5-88. SSN 1740, SSN 1741.- Can Fosalba, Pierola (Anoia), Barcelona, CG90, sobre P. pinea Leg. X. Muñoz, 22-11-87, SSN 1759.- Boca sur Túnel del Bruc (Anoia), Barcelona, CG90, sobre P. halepensis vivo. Leg. V. Canalís, 24-1-86. SSN 1787.- Muntanya Pelada, Sant Pere Mártir (Barcelonés), Barcelona, DF28, sobre P. halepensis vivo. Leg. X. Llimona, 1-11-87. SN 1802. Háb.: Sobre madera de Pinus, generalmente en árboles vivos./ Citas bibl.: MAIRE (1933). HEIM (1934). SINGER (1947). MALENCON & BERTAULT (1971). MALENCON & LLIMONA (1980). HONRUBIA & LLIMONA (1982). FOLGADO (1983). BALLESTEROS (1984). FINSCHOW (1984). FOLGADO et al. (1984). TABARÉS & ROCABRUNA (1987).
Phellinus torulosus (Pers.: Pers.) Bourd. & Galz.
Torrent de Tarrambó, Port de la Selva (Alt Empordá), Gerona, EG18, en bosque de P. halepensis. Leg. X. Llimona. SSN 1484.- Calamont, Gavá (Baix Llobregat), Barcelona, DF17, sobre C. siliqua. Leg. X. Llimona, 21-1-88. SSN 1760.
Phellinus torulosus (Pers .: Per s.) Bourd. & Galz. Torrent de Tarr ambó, Port de la Selva (Alt Empordà), Gerona, EG 18, en bosque de P. ha Jepensis. Leg. X. Llimona. SSN 1484.- Calamont, Gavà (Baix Llobregat), Barcelona, DF 17, sobre C. siliq ua . Leg. X. Llimona, 21-1- 88. SSN 17 60.
Ha b. : Sobre madera de planifolios (con preferencia por Quercus y Ca stanea), raramente sobre coníferas ./ Citas bib l.: SOLA (19 25). CODINA & FONT QUER (19 31). MAIRE (19 33) HEIM (19 34) MAIRE (19 37). SINGER (19 47) MALE NÇON & BERTAULT (1 971). MAL ENÇON & BERTAULT (1 972) MALENÇON & BERTAULT (1 976). MA LENÇON & LLIMONA (19 80) BERTAULT (19 82). MALENÇON & LLIMONA (19 83). BALLE STEROS (19 84) FI NSCHOW (19 84) LLIMONA (19 84) ROCABRUNA (19 84) LLISTOSELLA & AGUASCA (19 86). TABAR É S & ROCABRUNA (19 87). ROCABRUNA & TABAR É S (19 88). LLISTOSELLA & AGUASCA (19 90)
Háb.: Sobre madera de planifolios (con preferencia por Quercus y Castanea), raramente sobre coníferas./ Citas bibl.: SOLA (1925). CODINA & FONT QUER (1931). MAIRE (1933). HEIM (1934). MAIRE (1937). SINGER (1947). MALENCON & BERTAULT (1971). MALENCON & BERTAULT (1972). MALENCON & BERTAULT (1976). MALENCON & LLIMONA (1980). BERTAULT (1982). MALENCON & LLIMONA (1983). BALLESTEROS (1984). FINSCHOW (1984). LLIMONA (1984). ROCABRUNA (1984). LLISTOSELLA & AGUASCA (1986). TABARÉS & ROCABRUNA (1987). ROCABRUNA & TABARÉS (1988). LLISTOSELLA & AGUASCA (1990).
Phellinus tuberculosus (Baumg ,) Niemela Vallgorguina (Vallès Orient a!), Barcelona, DGS 1, sobre P. avium. Leg. J. Blanco, 31-1- 88. SSN 17 64. o br e m ad e ra d e planif olios; pr e f e r e nt e m e nt e de Prun us. / Citas bib1.: MAIRE (19 33) SINGER (19 47). MALE NÇON & BERTAUL T (1971). MA LENÇON & LLIMONA (19 80) FI NSCHOW (19 84) LLISTOSELLA & AGUASCA (19 90)
Phellinus tuberculosus (Baumg,) Niemelá Vallgorguina (Vallés Oriental), Barcelona, DG51, sobre P. avium. Leg. J. Blanco, 31-1-88. SSN 1764. Háb.: Sobre madera de planifolios; preferentemente de Prunus./ Citas bibl.: MAIRE (1933). SINGER (1947). MALENCON & BERTAULT (1971). MALENCON & LLIMONA (1980). FINSCHOW (1984). LLISTOSELLA & AGUASCA (1990).

Butll. Soc. Catalana Micol. 14-15 21- 42 Barcelona 1991
Butll. Soc. Catalana Micol. 14-15 21-42 Barcelona 1991
Familia POL YPORACEAE s. lat.
Familia POLYPORACEAE s. lat.
Albatrellus cristatus (Schaeff. ex Fr.) Kotl. & Pouz.
Albatrellus cristatus (Schaeff. ex Fr.) Kotl. & Pouz.
La Molina, Alp (Cerdanya), Gerona, DG 18. Leg. I. Soriano, 5- 10-85. SSN 17 09. Ha b. : Aparece ligado a bosques de planifolios , preferentemente de Quercus y Gafus, muy rara vez de coníferas '¡ Citas bibl .: CODINA & FONT QUER (1931). HEIM (19 34) MAUBLANC (1936) MAIRE (19 37). SINGER (1947) TELLER Í A (19 84) . D Í EZ (19 86). ROCABRUNA & TABAR É S (19 88). SOc. CAT. MI COLOGIA (19 88).
La Molina, Alp (Cerdanya), Gerona, DG18. Leg. I. Soriano, 5-10-85. SSN 1709. Háb.: Aparece ligado a bosques de planifolios, preferentemente de Quercus y Gafus, muy rara vez de coníferas./ Citas bibl.: CODINA & FONT QUER (1931). HEIM (1934). MAUBLANC (1936). MAIRE (1937). SINGER (1947). TELLERÍA (1984). DÍEZ (1986). ROCABRUNA & TABARÉS (1988). SOC. CAT. MICOLOGIA (1988).
Antrodia sinuosa (F r.) P. Karst.
Antrodia sinuosa (Fr.) P. Karst.
La Mol ina, Alp (Cerdanya), Gerona, DG 18. Leg. S. Sancle mente , 7- 11 - 86. SSN 17 18. Hab. :C rece sobre ramas y madera de coníf era s.j Citas bi bl.: HEIM (19 34) MAL ENÇON & BERTAUL T (1971). HONRUBIA & LLIMONA (19 82). MA LENÇON & LLIMONA (19 83).
La Molina, Alp (Cerdanya), Gerona, DG18. Leg. S. Sanclemente, 7-11-86. SSN 1718. Háb.: Crece sobre ramas y madera de coníferas./ Citas bibl.: HEIM (1934). MALENçON & BERTAULT (1971). HONRUBIA & LLIMONA (1982). MALENçON & LLIMONA (1983).
Bjerkandera adusta (Fr.) P. Karst.
Bjerkandera adusta (Fr.) P. Karst.
Dosrius (Maresme), Barcelona, DG50, sobre U. minoro Leg. A. Rocabruna, 8- 1- 89. SSN 16 55.- Sant Feliu de Llo bregat (Baix Ll obregat) , Barcelona, DF28 , sobre U. minoro Leg. J. Pahissa , 9-1 1-83. SSN 18 33. Ha b. : Aparece sobre madera de pl anifo lios , muy rara vez sobre coníferas .j Citas bib l.: CODINA & FONT QUER (19 31). MAIRE (19 33) . HEIM (19 34) . MAUBLANC (19 36). SINGER (19 47) . MA LENÇON & BERTAUL (1971). MAL ENÇON & LLIMONA (19 80) HONRUBIA & LLIMONA (19 82). POLO (19 82). ROCA BRUNA (19 84). TELLER Í A (19 84). LLISTOSELLA & AGUASCA (19 86).
Dosrius (Maresme), Barcelona, DG50, sobre U. minor. Leg. A. Rocabruna, 8-1-89. SSN 1655.- Sant Feliu de Llobregat (Baix Llobregat), Barcelona, DF28, sobre U. minor. Leg. J. Pahissa, 9-11-83. SSN 1833. Háb.: Aparece sobre madera de planifolios, muy rara vez sobre coníferas./ Citas bibl.: CODINA & FONT QUER (1931). MAIRE (1933). HEIM (1934). MAUBLANC (1936). SINGER (1947). MALENWN & BERTAUL (1971). MALENçON & LLIMONA (1980). HONRUBIA & LLIMONA (1982). POLO (1982). ROCABRUNA (1984). TELLERÍA (1984). LLISTOSELLA & AGUASCA (1986).
Dichomitus campestris (Quél .) Domanski & OrI . Fons del Fanga r, Gavà (Baix Llob reg at), Barcleona, DF 17 , en bosque de P. halepensis, Q. Cerrioides y A. ma uritanica. Leg. S. Sanclemen te , 20-5- 85. SSN 17 73.- Foix (Garraf) , Barcelona, CF86. Leg. J. Blanco, 22 -1 1- 82. SSN 17 92.
Dichomitus campestris (Quél.) Domanski & Orl. Fons del Fangar, Gavá (Baix Llobregat), Barcleona, DF17, en bosque de P. halepensis, Q. Cerrioides y A. mauritanica. Leg. S. Sanclemente, 20-5-85. SSN 1773.- Foix (Garraf), Barcelona, CF86. Leg. J. Blanco, 22-11-82. SSN 1792.
Ha b. : Crece sobre madera de pl anifol io s.j Citas bib l.: MAL ENÇON & BERTAULT (197 6). MALENÇON & LLIMONA (19 80). ROCABRUNA (19 84). TELLER Í A (19 84) TABAR É S & ROC ABRUNA (19 87). ROCABRUNA & TABAR É S (19 88)
Háb.: Crece sobre madera de planifolios./ Citas bibl.: MALEWON & BERTAULT (1976). MALENON & LLIMONA (1980). ROCABRUNA (1984). TELLERÍA (1984). TABARÉS & ROCABRUNA (1987). ROCABRUNA & TABARÉS (1988).
Diplomitoporus flavescens (Bres.) Domanski
Diplomitoporus flavescens (Bres.) Domanski
La Molina, Alp (Cerdanya), Gerona, DG18, Leg. S. Sanclemente, 7-11-86. SSN 1716.
Háb.: Aparece sobre madera de coníferas./ Citas bibl.: MANJÓN (1983)
La Mol ina, Alp (Cerdanya), Gerona, DG 18, Leg. S. Sanclemente, 7-1 1- 86. SSN 17 16. Ha b. : Aparece sobre madera de coníferas '¡ Citas bibl .: MANJ Ó N (1983)
Fonutopsis pinicola (Sw. ex Fr.) P. Karst.
Fonutopsis pinicola (Sw. ex Fr.) P. Karst.
La Molina, Alp (Cerdanya), Gerona, DG18. Leg. S. Sanclemente, 7-11-86. SSN 1710.- Font d'en Sert (Comarca), Provincia, UTM, sobre Pinus. Leg. J. Blanco, 25-4-87. SSN 1775.- Can Fosalba, Pierola (Anoia), Barcelona, CG90, sobre P. pinea. Leg. X. Muñoz, 22-11-87. SSN 1786.- Vallvidrera (Barcelonés), Barcelona, DF28. Leg. M. Giralt, 1-11-83. SSN 1803.
Háb.: Generalmente se encuentra sobre madera de coníferas, con preferencia por Pinus./ Citas bibl.: SOLA (1925). MAIRE (1933). HEIM (1934). MAIRE (1937). SINGER (1947). LLENSA DE GELCEN (1970). MALENçON & BERTAULT (1972). SIQIER & CONSTANTINO (1982). MANJÓN (1983). FINSCHOW (1984). DÍEZ (1986). TABARÉS & ROCABRUNA (1987). SOC. CAT. MICOLOGIA (1988).
La Molina, Alp (Cerdan ya) , Gerona, DG 18. Leg. S. Sancle mente , 7-1 1-86. SSN 171 0.- Font d'e n Sert (Comar ca) , Provincia, UTM, sobre Pin us. Leg. J. B1anco, 25-4-8 7. SSN 17 75.- Can Fosalba, Pierola (Anoia) , Barcelona, CG90 , sobre P. pinea. Leg. X. Mu ñoz, 22 -1 1-87. SSN 17 86.- Val lvidrera (Barcelonès) , Barcelona, DF28 Leg. M. Giralt, 1-1 1- 83. SSN 18 03. Ha b. : Generalm ente se encuentra sobre madera de coníferas, con preferencia por Pin us. j Citas bib l.: SOLA (19 25). MAIRE (19 33) HEIM (19 34) MAIRE (19 37). SINGER (19 47). LLENSA DE GEL CEN (1 970). MALE NÇON & BERTAUL T (1 972) SIQIER & CONST ANTINO (19 82). MANJ Ó N (19 83). FINSCHOW (19 84) . D Í EZ (19 86). TABAR :ES & ROCABRUNA (19 87). SOc. CAT. MI COLOGIA (19 88).
Gloeophyllum sepiarium (Wulf. ex. Fr .) P. Karst.
Gloeophyllum sepiarium (Wulf. ex. Fr.) P. Karst.
La Mo lina, Alp (Cerdanya ), Gerona, DG 18. Leg. S Sanclemen te, 7- 11 - 86. SSN 17 19.- La Febró, Prades (Baix Camp) , Tarragona, CF 37, sobre P. nigra Leg. X. Llimona, 27-4-8 6. SSN 1815
Ha b. : Crece preferentemente sobre restos de coníferas .j Citas bi bl.: MAIRE (19 33) MAIRE (19 37). SINGER (19 47). LOSA et al (19 80) BALLESTEROS (19 84) LLlSTOSELLA & AGUASCA (19 86).
La Molina, Alp (Cerdanya), Gerona, DG18. Leg. S. Sanclemente, 7-11-86. SSN 1719.- La Febró, Prades (Baix Camp), Tarragona, CF37, sobre P. nigra. Leg. X. Llimona, 27-4-86. SSN 1815. Háb.: Crece preferentemente sobre restos de coníferas./ Citas bibl.: MAIRE (1933). MAIRE (1937). SINGER (1947). LOSA et al. (1980). BALLESTEROS (1984). LLISTOSELLA & AGUASCA (1986).

Butll. Soc. Catalana Micol. 14-15 21- 42 Barcelona 1991
Lenzites betulina (L.: Fr.) Fr. 33
Lenzites betulina (L.: Fr.) Fr.
Darnius (Alt Empord à), Gerona, DG89, sobre Q. suber. Leg. A. Rocabruna, 5-4 -88. SSN 16 22.- Arenys de Mu nt (Maresme), Barcelona, DG60, sobre Q. suber. Leg. J. Blanco, 15 -10-88 SSN 16 51.
Darnius (Alt Empordá), Gerona, DG89, sobre Q. suber. Leg. A. Rocabruna, 5-4-88. SSN 1622.- Arenys de Munt (Maresme), Barcelona, DG60, sobre Q. suber. Leg. J. Blanco, 15-10-88. SSN 1651.
Ha b. : Gene ralmente sobre madera de planifol ios, con preferencia por Quercus. j Citas bib l.: CODINA & FONT QUER (1931). MAIRE (19 33). HEIM (19 34) MAIRE (19 37). SINGER (19 47) MAL ENÇON & BERTAULT (1971). LOSA et al. (19 80) ROCABRUNA & TABAR É S (19 88).
Háb.: Generalmente sobre madera de planifolios, con preferencia por Quercus./ Citas bibl.: CODINA & FONT QUER (1931). MAIRE (1933). HEIM (1934). MAIRE (1937). SINGER (1947). MALENçON & BERTAULT (1971). LOSA et al. (1980). ROCABRUNA & TABARÉS (1988).
Polyporus melanopus Fr.
Polyporus melanopus Fr.
Santa Fe del Montseny, Fogars de Montclús, Montseny (Vallés Oriental), Barcelona, DG52, en bosque de F. sylvatica. Leg. A. Rocabruna, 89-8-87. SSN 1702.
Santa Fe del Montseny, Fogars de Montclús, Montseny (Vallès Orienta !) , Barcelona, DG52, en bosque de F. sylva tica . Leg. A. Rocabruna, 89-8-8 7. SSN 17 02.
Ha b. : Aparece en el suelo, en bosques de planifolios .j Citas bib l.: SINGER (19 47) ROCABRUNA & TABAR É S (19 88).
Háb.: Aparece en el suelo, en bosques de planifolios./ Citas bibl.: SINGER (1947). ROCABRUNA & TABARÉS (1988).
Polyporus meridionalis (David) Jahn
Polyporus meridionalis (David) Jahn
El Ciervo, Retuerta de Pina , Zarag oza, 30T YL29. Leg . S. Sanclemente, 6-5-8 8. SSN 17 39.- Calamot, Gavà (Baix Llobregat), Barcelona, DF 17 , sobre restos vegetales. Leg. X. Llimona, 26- 1 0-85 . SSN 1485.- Que rmançó (Alt Empordà), Gerona, EG08, Cistion Leg. X. Llimona, 25 -10 -86. SSN 14 86.
Ha b. : Crece Iigado a restos leñosos de algunos arbustos como Rosmarinus o Cistus. j Citas bib l.: HONRUBIA & LLIMONA (19 82). FI NSCHOW (19 84)
El Ciervo, Retuerta de Pina, Zaragoza, 30T YL29. Leg. S. Sanclemente, 6-5-88. SSN 1739.- Calamot, Gavá (Baix Llobregat), Barcelona, DF17, sobre restos vegetales. Leg. X. Llimona, 26-10-85. SSN 1485.- Quermancó (Alt Empordá), Gerona, EG08, Cistion. Leg. X. Llimona, 25-10-86. SSN 1486. Háb.: Crece ligado a restos leñosos de algunos arbustos como Rosmarinus o Cistus./ Citas bibl.: HONRUBIA & LLIMONA (1982). FINSCHOW (1984).
Polyporus varius Fr.
Polyporus varius Fr.
Riera d'Alp (Cerdanya), Gerona, DG18, en bosque de A. alba. Leg. I. Soriano, 6-10-86. SSN 1715.- La Molina, Alp (Cerdanya), Gerona, DG18. Leg. S. Sanclemente, 7-11-86. SSN 1714.
Riera d'A lp (Cerdanya), Gerona, DG 18, en bosque de A. alba. Leg. 1. Soriano, 6-1 0-8 6. SSN 171 5.- La Molina, Alp (Cerdan ya) , Gerona, DG 18. Leg. S. Sanclemen te, 7-1 1- 86. SSN 17 14
Ha b. : Sobre madera de planifolios, preferentemente Fagus.j Citas bibl.: MAIRE (19 33) HEIM (19 34) MAUBLANC (19 36). SINGER (19 47) MA LENÇON & LLIMONA (19 80) TELLER Í A (1984) . D Í EZ (19 86). ROCABRUNA & TABAR É S (19 88).
Háb.: Sobre madera de planifolios, preferentemente Fagus./ Citas bibl.: MAIRE (1933). HEIM (1934). MAUBLANC (1936). SINGER (1947). MALENçON & LLIMONA (1980). TELLERÍA (1984). DÍEZ (1986). ROCABRUNA & TABARÉS (1988).
Postia leucomallela (M urrill) Jülich
Postia leucomallela (Murrill) Jülich
Carretera de Tarragona a Valls (Tarragonés), Tarragona, CF55, en bosque de P. halepensis, Q. coccifera y C. salvifolius. Leg. S. Sanclemente, 22-11-86. SSN 1535.
Carretera de Tarragona a Valls (Tarragonès) , Tarragona, CF55, en bosque de P. ha lepensis, Q. cOCCÍfera y C. sal vifolius. Leg. S. Sanclemente, 22 -11 - 86. SSN 15 35.
Ha b. : Aparece sobre madera de conífe ras, raramente sobre planifolios .j Citas bib l.: MA LENÇON & BERTAULT (19 72).
Háb.: Aparece sobre madera de coníferas, raramente sobre planifolios./ Citas bibl.: MALENçON & BERTAULT (1972).
Postia stiptica (Pers .: Fr.) Jülich
Punta de la Mora (Tarragonès) , Tarragona, CF56, en bosque de P. ha lepensis. Leg. X. Llimona, 22 -11- 87. SSN 15 53.
Postia stiptica (Pers.: Fr.) Jülich Punta de la Mora (Tarragonés), Tarragona, CF56, en bosque de P. halepensis. Leg. X. Llimona, 22-11-87. SSN 1553.
Ha b. : Crece sobre madera de coníferas, raramente sobre planifolios .j Citas bib l.: MAIRE (19 37). MANJ Ó N (19 83)
Háb.: Crece sobre madera de coníferas, raramente sobre planifolios./ Citas bibl.: MAIRE (1937). MANJÓN (1983).
Postia subcaesia (David) Jülich
Postia subcaesia (David) Jül ich
Masarbonés (Alt Camp), Tarragona, CF66. Leg. J. Cambra, 18-10-87. SSN 1847.
Masar bonès (Alt Camp) , Tarragona , CF66. Leg. J. Cambra, 18-10 -87. SSN 18 47.
Háb.: Aparece sobre madera de planifolios./ Citas bibl.: FOLGADO (1983). TELLERIA (1984).
Ha b. : Aparece sobre madera de planifoli os .j Citas bibl .: FOLGADO (19 83). TELLER Í A (1 984)
Pycnoporus cinnabarinus (Jacq. ex Fr.) P. Karst. Alins (Pallars Sobirà), Lérida, CH 61, sobre Betula. Leg. M. Tabarés, 18 -8-8 7. SSN 16 20. Hab. :C} ece sobre madera de planifoli os .j Citas bibl .: CODINA & FONT QUER (19 31). SINGER (19 47) MA NJON (19 83).
Pycnoporus cinnabarinus (Jacq. ex Fr.) P. Karst. Alins (Pallars Sobirá), Lérida, CH61, sobre Betula. Leg. M. Tabarés, 18-8-87. SSN 1620. Háb.: Crece sobre madera de planifolios./ Citas bibl.: CODINA & FONT QUER (1931). SINGER (1947). MANJÓN (1983).
Scenidium nitidum (Dur. & Mont.) O. Kuntze
Scenidium nitidum (Dur. & Mont .) O. Kuntze
La Massana, Alberes (Vallespir), Francia, EHOO, en bosque de F. sylvatica. Leg S. Sanclemente, 29-4-88. SSN 1678.- Pic d'en Jordana, Colera (Alt Empordá), Gerona, EG19, en encinar. Leg. X. Llimona, 9-8-79. SSN 1846.
La Massana, Alberes (Vallespi r), Francia, EHOO, en bosque de F. sylvatica. Leg S. Sanclemente, 29-4-88. SSN 16 78.- Pic d'en Jordana, Colera (Alt Empord à), Gerona, EG 19, en encinar. Leg. X. Llimona, 9-8- 79. SSN 18 46 .
34

Butll. Soc. Ca ta/ana Mico/. 14-15 21- 42 Barcelona 1991
Butll. Soc. Catalana Micol. 14-15 21-42 Barcelona 1991
Háb.: Aparece sobre madera de planifolios./ Citas bibl.: BERTAULT (1982). ROCABRUNA (1984). LLISTOSELLA & AGUASCA (1986). SOC. CAT. MICOLOGIA (1988).
Hií b. : Aparece sobre madera de planifol ios ./ Citas bibl .: BERTAULT (19 82). ROCABRUNA (19 84). LLIS TOSELLA & AGUASCA (19 86). SOc. CAT. MIC OLOGIA (19 88).
Schizopora pardoxa (Schrad. ex Fr.) Donk
Schizopora pardoxa (Schrad. ex Fr.) Donk
Pla dels Ocel ls, Montserrat (Bages), Barcelona, DGOO. Leg. P. Pérez, 14-1 1- 87. SSN 17 50.- Muntanya Pelada, Sant Pere Màrtir (Barcelon ès), Barcelona, DF28, sobre piña de P. ha /epensis. Leg. X. Llimona, 11 - 12 -85. SSN 17 79, SSN 17 80, SSN 17 81; 6- 1 1- 85. SSN 18 19 ; y 21-1- 88, SSN 18 55, SSN 18 56.Can Brugu era, Mataró (Maresme), Barcel ona, DE59, en encinar. Leg. E. Descals, 15 -4-86. SSN 17 88. Hií b. : Crece tanto sobre madera de coníferas como de planifoli os ./ Citas bib l.: BERTAULT (19 82). TELLER ÍA (19 84) . LLISTOSELLA & AGUASCA (19 86).
Pla deis Ocells, Montserrat (Bages), Barcelona, DGOO. Leg. P. Pérez, 14-11-87. SSN 1750.- Muntanya Pelada, Sant Pere Mártir (Barcelonés), Barcelona, DF28, sobre piña de P. halepensis. Leg. X. Llimona, 11-12-85. SSN 1779, SSN 1780, SSN 1781; 6-11-85. SSN 1819; y 21-1-88, SSN 1855, SSN1856.Can Bruguera, Mataró (Maresme), Barcelona, DE59, en encinar. Leg. E. Descals, 15-4-86. SSN 1788. Háb.: Crece tanto sobre madera de coníferas como de planifolios./ Citas bibl.: BERTAULT (1982). TELLERÍA (1984). LLISTOSELLA & AGUASCA (1986).
Trametes gibbosa (Per s.: Fr.) Fr.
Trametes gibbosa (Pers.: Fr.) Fr.
Tibidabo, Collserola (Barcelonés), Barcelona, DF28, sobre P. hybrida. Leg. M. Tabarés, 15-10-88. SSN 1652.
Tibidabo, Collserola (Barce lonè s), Barcelona, DF28, sobre P. hybrida. Leg. M. Tabar és, 15-10 -88 . SSN 16 52.
Hiíb. :C rece saprófito o parasito sobre madera de planifolios ./ Citas bibl .: HEIM (19 34) . SINGER (19 47) . CALONGE & ZUGAZA (19 73). LOSA et al. (19 80) . D Í EZ (19 86). ROCA BRUNA & TABAR É S (19 88).
Háb.: Crece saprófito o parásito sobre madera de planifolios./ Citas bibl.: HEIM (1934). SINGER (1947). CALONGE ZUGAZA (1973). LOSA et al. (1980). DÍEZ (1986). ROCABRUNA & TABARÉS (1988).
Trametes hirsuta (Wulf. ex Fr.) Pilát
Trametes hirsuta (Wulf. ex Fr.) Pilat
Darnius (Alt Empordà), Gerona, DG89, sobre Q. suber. Leg. A. Rocabruna, 5-4-88 SSN 16 23. Hií b. : Aparece saprófito o parasito sobre madera de planifolios ./ Citas bib l.: BENITO (19 30). CODINA & FONT QUER (19 31). MAIRE (19 33) MAIRE (19 37). SINGER (19 47). MAL ENÇON & BERTAULT (1971). CALONGE & ZUGAZA (1 973) BERTAULT (1982). MANJ Ó N (19 83). TELLER Í A (19 84) D Í EZ (19 86) LLI STOSELLA & AGUASCA (19 86). ROCABRUNA & TABA R É S (19 88).
Darnius (Alt Empordá), Gerona, DG89, sobre Q. suber. Leg. A. Rocabruna, 5-4-88. SSN 1623. Háb.: Aparece saprófito o parásito sobre madera de planifolios./ Citas bibl.: BENITO (1930). CODINA & FONT QUER (1931). MAIRE (1933). MAIRE (1937). SINGER (1947). MALENçON & BERTAULT (1971). CALONGE & ZUGAZA (1973). BERTAULT (1982). MANJÓN (1983). TELLERÍA (1984). DÍEZ (1986). LLISTOSELLA & AGUASCA (1986). ROCABRUNA & TABARÉS (1988).
Trametes Ijubarxkyi Pilat
Trametes Ijubarxkyi Pilát
Font del Baró, Pont d' Armentera (Alt Camp) , Tarragona, CF68, de Q. i/ex y P. ha /epensis. Leg. S. Sanclemente y A. Gendrau, 3-3- 85. SSN 15 38.
Font del Baró, Pont d'Armentera (Alt Camp), Tarragona, CF68, bosque de Q. ílex y P. halepensis. Leg. S. Sanclemente y A. Gendrau, 3-3-85. SSN 1538.
Hií b. : Crece preferentemente sobre planifo lios, raramente sobre conífer as ./ Citas bib l.: FIN SCHOW (19 84) .
Háb.: Crece preferentemente sobre planifolios, raramente sobre coníferas./ Citas bibl.: FINSCHOW (1984).
Trametes versicolor (L. : Fr.) Pilat
Trametes versicolor (L.: Fr.) Pilát
La Massana, Alberes (Vallespir), Francia, EHOO, en bosque de F. sylvatica. Leg. S. Sanclemente, 29-4-88. SSN 1669, SSN 1670, SSN 1671, SSN 1672.
La Massana, Alberes (Vallespi r) , Francia, EHOO, en bosque de F. sy/va tica . Leg. S. Sanclemen te, 29-4-8 8. SSN 16 69, SSN 16 70, SSN 16 71, SSN 16 72.
Hií b. : Gene ralmente sobre madera de planifolios, preferentemente Fagus o Betu/a./ Citas bib l.: CODINA & FONT QUER (19 31). PEARSON (19 31 ). MAIRE (19 33) HEIM (19 34) MAUBLANC (19 36) MAIRE (19 37). BERTAUX (19 64) LLENSA DE GELCEN (1 97 0) MAL ENÇON & BERTAUL T (1971)
LASUNCION et al. (1 97 4) . LOSA et al. (19 80). BERTAULT (19 82). SOc. CAT. MI COLOGIA (19 83). BALLE STEROS (19 84). LLIMONA (19 84) ROCABRUNA ( 19 84). TELLER Í A (19 84) LLISTOSELLA & AGUASCA (19 86). SANCLEM ENTE -FT S.C.M. (19 87). TABAR É S & ROCA BRUNA (19 87). ROCABRUNA & TABAR É S (19 88).
Háb.: Generalmente sobre madera de planifolios, preferentemente Fagus o Betula./ Citas bibl.: CODINA & FONT QUER (1931). PEARSON (1931). MAIRE (1933). HEIM (1934). MAUBLANC (1936). MAIRE (1937). BERTAUX (1964). LLENSA DE GELCEN (1970). MALENçON & BERTAULT (1971). LASUNCION et al. (1974). LOSA et al. (1980). BERTAULT (1982). SOC. CAT. MICOLOGIA (1983). BALLESTEROS (1984). LLIMONA (1984). ROCABRUNA (1984). TELLERÍA (1984). LLISTOSELLA & AGUASCA (1986). SANCLEMENTE-FT S.C.M. (1987). TABARÉS & ROCABRUNA (1987). ROCABRUNA & TABARÉS (1988).
Trichaptum abietinum (Pers .: Fr.) Ryv La Molin a, Alp (Cerdan ya) , Gerona, DG18. Leg. S. Sanclemente, 7-1 1- 86. SSN 1717 Hií b. : Crece preferentemente sobre restos de coníferas .j Citas bibl .: MAIRE (19 33) MAL ENÇON & BERTAUL T (1971). MAL ENÇON & LLIMONA (19 80) . BERTAULT (19 82). LLISTOSELLA & AGUASCA (19 86).
Trichaptum abietinum (Pers.: Fr.) Ryv. La Molina, Alp (Cerdanya), Gerona, DG18. Leg. S. Sanclemente, 7-11-86. SSN 1717. Háb.: Crece preferentemente sobre restos de coníferas./ Citas bibl.: MAIRE (1933). MALEKON BERTAULT (1971). MALENçON & LLIMONA (1980). BERTAULT (1982). LLISTOSELLA & AGUASCA (1986).
Trichaptum fusco-violaceum (Ehremb. ex Fr.) R yv Garraf (Garraf), Barcelona, DF06, sobre P. ha /epensis. Leg. T. Canals, 15 -1 1-87. SSN 17 56.- Fons del Fanga r, Gavà (Baix Llobregat) , Barcelona, DF 17 Leg. S. Sanclemente, 31-10-85. SSN 17 72.- Salt de la Gorga, Port de la Selva (Alt empord à), Gerona, EG 18, en bosque de P. ha/epensis. Leg. X. Llimona, 24-9 -84. SSN 18 05.- Selva de Mar (Alt Empordà), Gerona, EG 18. Leg. X. Llimona, 17 -5-84. SSN
Trichaptum fusco-violaceum (Ehremb. ex Fr.) Ryv. Garraf (Garraf), Barcelona, DF06, sobre P. halepensis. Leg. T. Canals, 15-11-87. SSN 1756.- Fons del Fangar, Gavá (Baix Llobregat), Barcelona, DF17 Leg. S. Sanclemente, 31-10-85. SSN 1772.- Salt de la Gorga, Port de la Selva (Alt empordá), Gerona, EG18, en bosque de P. halepensis. Leg. X. Llimona, 24-9-84. SSN 1805.- Selva de Mar (Alt Empordá), Gerona, EG18. Leg. X. Llimona, 17-5-84. SSN

Butll. Soc. Catalana Micol. 14-15 21- 42 Barcelona 19 91 35
1842.- Calamot, Gavá (Baix Llobregat), Barcelona, DF17, en bosue de P. halepensis. Leg. X. Llimona, 28-3-84. SSN 1843.- Pantano del Club Mediterraneé, Cadaqués (Alt Empordá), Gerona, EG28. Leg. S. Sanclemente, 11-4-84. SSN 1844.
18 42 .- Calamot, Gavà (Baix Llobregat ), Barcelona , DF 17 , en bosue de P. ha lepensis. Leg. X. Llimona, 28-3-84. SSN 18 43 .- Pantano del Club Med iterraneé, Cadaqués (Alt Empordà), Gerona, EG28. Leg. S. Sanclemente , 11 - 4- 84. SSN 18 44.
Háb.: Aparece preferentemente sobre restos leñosos de coníferas./ Citas bibl.: ROCABRUNA (1984). LLISTOSELLA & AGUASCA (1986). TABARES & ROCABRUNA (1987). LLISTOSELLA & AGUASCA (1990).
Ha b. : Aparece preferentemente sobre restos leñosos de coníferas ./ Citas bib !.: ROCABRUNA (19 84) . LLISTOSELLA & AGUASCA (19 86). TABAR É S & ROCABRUNA (19 87). LLISTOSELLA & AGUASCA (19 90)
Familia PTERULA CEA E Corner
Familia PTERULACEAE Corner
Pterula multifida E. P. Fries ex Fr.
Sant Hilari Sacalm (Selva ), Gerona, DG53, en bosque de Pop ulus y Alnus. Leg. M. Tabar és, 6-1 1- 87. SSN 15 96.
Pterula multifida E. P. Fries ex Fr. Sant Hilari Sacalm (Selva), Gerona, DG53, en bosque de Populus y Alnus. Leg. M. Tabarés, 6-11-87. SSN 1596.
Háb.: Aparece generalmente sobre acículas o ramas de coníferas, aunque puede darse sobre restos de planifolios./ Citas bibl.: CODINA & FONT QUER (1931). HEIM (1934). MAUBLANC (1936). ROCABRUNA & TABARES (1988).
Ha b. : Aparece generalmen te sobre acículas o ramas de coníferas, aunque puede darse sobre restos de planifolios ./ Citas bib l.: CODINA & FONT QUER (19 31). HEIM (19 34) MA UB LANC (1936) ROCABRUNA & TABAR É S (19 88).
Familia RAMARIACEAE Corner
Fa milia RAMA RIA CEA E Corner
Ramaria abietina (Pers.: Fr.) Quél Altafulla (Tarragonés), Tarragona, CF65, en bosque de P. halepensis y dunas fijadas. Leg. C. Lapieza, 10-11-85. SSN 957.- Fons del Fangar, Gavá (Baix Llobregat), Barcelona, DF17. Leg. X. Llimona, 31-10-85. SSN 964.- Pi Gros, entre Olesa de Bonesvalls y Begues (Baix Llobregat), Barcelona, DF07. Leg. A. Gómez, 25-10-85. SSN 965.- Muntanya Pelada, Sant Pere Mártir (Barcelonés), Barcelona, DF28, en bosque de P. halepensis. Leg. X. Llimona, 1-11-87. SSN 1804 y 27-11-83. SSN 1832.- Font de l'Alzina, Santa Coloma de Gramenet (Barcelonés), Barcelona, DF38. Leg. J. Blanco, 30-11-83. SSN 1834 y J. Hernando, 23-11-83. SSN 1838.
Ramaria abietina (Pers .: Fr.) Quél Altafulla (Tarragonès) , Tarragona , CF65, en bosque de P. halepensis y dunas fij adas. Leg. C. Lapieza, 10 -1 1- 85. SSN 95 7.- Fons del Fanga r, Gavà (Baix Llobregat), Barcelona, DF 17 . Leg. X. Llimona, 31- 10 -85 . SSN 964.- Pi Gros, entre Olesa de Bonesvalls y Begues (Baix Llobrega t), Barcelona, DF07. Leg. A. Gómez, 25-10-85 SSN 965 .- Mu ntanya Pelada, Sant Pere Màrtir (Barcelon ès) , Barcelona, DF28, en bosque de P. halepensis. Leg. X. Llimona, 1-11- 87. SSN 18 04 y 27-1 1- 83. SSN 18 32.- Font de l' Alzina, Santa Coloma de Gramenet (Barcelon ès), Barcelona, DF38. Leg. J. Blanco, 30-1 1- 83. SSN 18 34 y J. Her nando, 23 -1 1- 83. SSN 18 38.
Ha b. : En bosque de coníferas, en general a escasa altit ud, con preferencia por los pinares de P. halepensis, en donde puede ser muy abundante después de las lluvias ./ Citas bib! .: ARANZADI (19 05). CODINA & FONT QUER (19 31). HEIM (19 34) MALENÇON & LLIMONA (19 80). LLIMONA (19 84)
Háb.: En bosque de coníferas, en general a escasa altitud, con preferencia por los pinares de P. halepensis, en donde puede ser muy abundante después de las lluvias./ Citas bibl.: ARANZADI (1905). CODINA & FONT QUER (1931). HEIM (1934). MALENçON & LLIMONA (1980). LLIMONA (1984).
Ramaria aurea (Schaeff. ex Fr.) Qu é!.
Ramaria aurea (Schaeff. ex Fr.) Quél.
Ermita de Sant Nazari, Coll de Bracons, Torelló (Osona), Barcelona, DG46, en bosque de F. sylvatica. Leg. E. Llorens, 26-10-86. SSN 1746, SSN 1747.
Háb.: Tanto en bosque de coníferas como de planifolios, con preferencia bajo Fagus./ Citas bibl.: CODINA & FONT QUER (1931). MAIRE (1933). HEIM (1934). MAUBLANC (1936). MAIRE (1937). SINGER (1947). FONT QUER (1954). BERTAUX (1964). SIQUIER & CONSTANTINO (1982). SOC. CAT. MICOLOGIA (1982). BALLESTERO (1984). DÍEZ (1986). LLISTOSELLA & AGUASCA (1986). ROCABRUNA & TABARES (1988).
Ermita de Sant Nazari, Coll de Bracons, Torelló (Osona), Barcelona, DG46, en bosque de F. syl vatica. Leg. E. Llorens, 26-1 0-8 6. SSN 17 46, SSN 17 47. Ha b. : Tanto en bosque de coníferas como de planif olios, con preferencia bajo Fagus. / Citas bib !.: CODINA & FONT QUER (1931). MAIRE (1933). HEIM (1 934) MAUBLANC (19 36). MAIRE (1 937 ). SINGER (19 47) FONT QUER (19 54) BERTAUX (19 64) SIQUIER & CONSTA NTINO (19 82). SOC. CAT. MICOLOGIA (19 82). BAL LESTERO (19 84) . D Í EZ (19 86). LLISTOSELLA & AGUASCA (19 86). ROCABRUNA & TABAR É S (19 88).
Ramaria flaccida (Fr.) Bourdot
El Far, Parc del Corredor, Dosrius (Maresme), Barcelona, DG50, en bosque de Q. pubescens y Buxus. Leg. J. Girbal, 26-10-84. SSN 135, SSN 136.- Tossa de Montbui, Santa Margarida de Montbui (Anoia), Barcelona, CG80, en bosque de P. halepensis, Q. ilex y R. officinalis. Leg. S. Sanclemente y A. Gendrau, 2-11-86. SSN 1459.
Háb.: Crece tanto en bosque de coníferas como de planifolios./ Citas bibl.: MAIRE (1933). HEIM (1934). MAIRE (1937). MALENçON & BERTAULT (1971). MALENçON & BERTAULT (1971). MALENON & BERTAULT (1976).
Ramaria flaccida (Fr.) Bourdot El Far, Parc del Corredor, Dosrius (Ma resme) , Barcelona, DG50, en bosque de Q. pu bescens y Buxus. Leg. J. Girbal, 26-1 0-84. SSN 13 5, SSN 13 6.- Tossa de Montbui, Santa Margarida de Montbui (Anoia ), Barcelona, CG80, en bosque de P. ha lepensis, Q. ilex y R. officin a lis. Leg. S. Sanclemente y A. Gendrau, 2- 11 - 86. SSN 1459. Ha b. : Crece tanto en bosque de coníferas como de planifolios ./ Citas bib !.: MAIRE (19 33) . HEIM (19 34) . MAI R E 1 9 7) MA L EN Ç ON & B E RTAU L T ( 1 9 71 ) MAL ENÇON & BERTAULT ( 1971 ) . MALENÇON & BERT AUL T (19 76).
Ramaria fiava (Schaeff. ex Fr.) Qué!. Bosc de Bericauba, Gausac (Vall d' Aran) , Lérida, CH 13 , en bosque de A. alba, F. sylvatica, S. au cupa-
Ramaria flava (Schaeff. ex Fr.) Quél. Bosc de Bericauba, Gausac (Valí d'Aran), Lérida, CH13, en bosque de A. alba, F. sylvatica, S. aucupa-
36

Butll. Soc. Catalana Micol. 14-15 21 -42 Barcelona 1991
Butll. Soc. Catalana Micol. 14-15 21-42 Barcelona 1991
ria, R. idaeus, V. myrtillus y P. setiferum. Leg. S. Sanclemente, 7-9-86. SSN 696.- Pasado Pla de Morós, Vall de Valarties, Arties (Valí d'Aran), Lérida, CH22, en bosque de A. alba. Leg. S. Sanclemente, 10-9-85. SSN 736.
Háb.: En bosque de coníferas y de caducifolios, en ocasiones en prados./ Citas bibl.: MASFERRER (1887). SOLA (1925). CODINA & FONT QUER (1931). PEARSON (1931). MAIRE (1933). HEIM (1934). MAUBLANC (1936). MAIRE (1937). SINGER (1947). BERTAUX (1964). LLENSA DE GELCEN (1970). MALENCON & BERTAULT (1971). DÍEZ (1986).
ria, R. ida eus, V. myrtillus y P. setiferum. Leg. S. Sanclemente , 7-9-8 6. SSN 696 .- Pasado Pla de Moràs, Vall de Valarti es, Arties (Vall d' Aran) , Lérida, CH22, en bosque de A. alba. Leg. S. Sanclemente, 10 -9- 85. SSN Hfi b. : En bosque de coníferas y de caducifo lios, en ocasiones en prados'; Citas bibl .: MASFERRER (18 87). SOLA (19 25). CODINA & FONT QUER (1931). PEARSON (19 31). MAIRE (19 33) HEIM (19 34) MA UBLANC (19 36). MAIRE (19 37). SINGER (19 47). BERTAUX (1 964) LLENSA DE GEL · CEN (1 970). MA LENÇON & BERTAUL T ( 1971 ). D Í EZ (19 86).
Ramaria formosa (Fr.) Quél.
Ramaria formosa (Fr.) Quél.
Camino de Nevó, bajo Nevó, Tosses (Ripollés), Gerona, DG28, en bosque de Betula, Quercus y Corylus. Leg. M. Aguasca, 25-8-85. SSN 649.- Santa Fe del Montseny, Fogars de Montclús, Montseny (Vallés Oriental), Barcelona, DG52, en bosque de F. sylvatica. Leg. S. Sanclemente, 2-11-86. SSN 1453.- Ermita de Sant Nazari, Coll de Bracons, Torelló (Osona), Barcelona, DG46, en bosque de F. sylvatica. Leg. E. Llorens, 26-10-86. SSN 1742, SSN 1743.
Háb.: Preferentemente en bosques de planifolios./ Citas bibl.: SOLA (1925). CODINA & FONT QUER (1931). MAIRE (1933). HEIM (1934). MAUBLANC (1936). MAIRE (1937). SINGER (1947). BERTAUX (1964). LLENSA DE GELCEN (1970). MALENCON & BERTAULT (1971). SOC. CAT. MICOLOGIA (1983). LLIONA (1984). DÍEZ (1986). ROCABRUNA & TABARÉS (1988).
Camino de Nevà, bajo Nevà, Tosses (Ripol lès) , Gerona, DG28, en bosqUe de Betula, Quercus y Corylus. Leg. M. Aguasca, 25-8- 85. SSN 649.- Santa Fe del Montseny, Fogars de Montclús, Montseny (Vallès Oriental) , Barcelona, DG52, en bosque de F. sylvatica. Leg. S. Sanclemente, 2- 11 - 86. SSN 1453.- Er· mita de Sant Nazari, Coll de Bracons, Torelló (Oso na) , Barcelona, DG46, en bosque de F. sylva tica Leg. E. Llorens, 26-1 0-8 6. SSN 17 42, SSN 17 43. Hfi b. : Preferentemente en bosques de planifolios .j Citas bib l.: SOLA (19 25) CODINA & FONT QUER (19 31 ). MAIRE (19 33) HEIM (19 34) MAUBL ANC (19 36). MAIRE (19 37). SINGER (19 47) BERTAUX (19 64) LLENSA DE GEL CEN (1 970). MALENÇ ON & BERTAULT (1971). SOc. CAT. MI COLOGIA (19 83) LLIONA (19 84) . D Í EZ (19 86). ROCABRUNA & TABAR É S (19 88).
Ramaria gracilis (Fr.) Quél.
Ramaria gracilis (Fr.) Quél.
Cantonigròs (Osona), Barcelona, DG55. Leg. J. Girba l , 26- 1 0-84, SSN 137.- Mataró (Ma res me), Barce· lona, DF59, pinar. Leg. M. Tabarés, 25 -11- 85. SSN 10 26.- Tossa de Montbui, Santa Ma rgarida de Montbui (Anoi a), Barcelona, CG80, en bosque de P. ha lepensis, Q. ilex y R. officinalis. Leg. S. Sancle· mente y A. Gendra u, 2-1 1- 86. SSN 14 54, SSN 14 57.
Cantonigrós (Osona), Barcelona, DG55. Leg. J. Girbal, 26-10-84, SSN 137.- Mataró (Maresme), Barcelona, DF59, pinar. Leg. M. Tabarés, 25-11-85. SSN 1026.- Tossa de Montbui, Santa Margarida de Montbui (Anoia), Barcelona, CG80, en bosque de P. halepensis, Q. ilex y R. officinalis. Leg. S. Sanclemente y A. Gendrau, 2-11-86. SSN 1454, SSN 1457.
Hfi b. : Generalmente en bosque de coníferas .j Citas bibl .: MAIRE (19 37). MALENÇON & BERTAUL T (1971). MAL ENÇON & LLIMONA (19 80) . FINSCHOW (19 84) . ROCABRUNA (19 84) . LLISTOSE· LLA & AGUASCA (19 86). LLIS TOSELLA & AGUASCA (19 90)
Háb.: Generalmente en bosque de coníferas./ Citas bibl.: MAIRE (1937). MALENCON & BERTAULT (1971). MALENCON & LLIMONA (1980). FINSCHOW (1984). ROCABRUNA (1984). LLISTOSELLA & AGUASCA (1986). LLISTOSELLA & AGUASCA (1990).
Ramaria pallida (Schaeff, ex Schulzer) Ricken
Ramaria pallida (Schaeff, ex Schulzer) Ricken
El Far, Parc del Corredor, Dosrius (Mares me), Barcelona, DG5 1, en bosque de Q. pu bescens y Buxus. Leg. J. Girbal, 26-1 0-84. SSN 13 8.
El Far, Parc del Corredor, Dosrius (Maresme), Barcelona, DG51, en bosque de Q. pubescens y Buxus. Leg. J. Girbal, 26-10-84. SSN 138.
Hfi b. : Preferentemente en bosques de planifolios o bosques mixtos .j Citas bibl .: MAIRE (19 33). HEIM (19 34) MAUBLANC (19 36). MAIRE (19 37). MA LENÇON & BERTAULT (1971) LOSA QUINTANA et al. (19 80) MAL ENÇON & LLIMONA (19 80).
Háb.: Preferentemente en bosques de planifolios o bosques mixtos./ Citas bibl.: MAIRE (1933). HEIM (1934). MAUBLANC (1936). MAIRE (1937). MALENCON & BERTAULT (1971). LOSA QUINTANA et al. (1980). MALENCON & LLIMONA (1980).
Ramaria stricta (Fr.) Quél.
Ramaria stricta (Fr.) Quél.
Vallgorguina (Vallès Oriental), Barcelona, DG5 1, en bosque de Q. ilex. Leg. J. Blanco, 17 -1 1- 81. SSN 18 20.
Vallgorguina (Vallés Oriental), Barcelona, DG51, en bosque de Q. ilex. Leg. J. Blanco, 17-11-81. SSN 1820.
Hfi b. : Aparece ligada a madera en descomposición, tanto de coníferas como de planifoli os .j Citas bib l.: MAIRE (19 33) HEIM (19 34) MAIRE (19 37). SINGER (1947) BERTAUX (19 64) . BERTAUL T (19 82). SIQ UIER & CONSTANTINO (19 82). BALLE STEROS (19 84) ROCABRUNA (19 84) . D Í EZ (19 86). LLISTOSELLA & AGUASCA (19 86). TABAR É S & ROCABRUNA (19 87). ROCABRUNA & TABAR É S (19 88)
Háb.: Aparece ligada a madera en descomposición, tanto de coníferas como de planifolios./ Citas bibl.: MAIRE (1933). HEIM (1934). MAIRE (1937). SINGER (1947). BERTAUX (1964). BERTAULT (1982). SIQUIER & CONSTANTINO (1982). BALLESTEROS (1984). ROCABRUNA (1984). DÍEZ (1986). LLISTOSELLA & AGUASCA (1986). TABARÉS & ROCABRUNA (1987). ROCABRUNA & TABARÉS (1988).
Familia SCH YZOPHUL LA CEA E Roze
Familia SCHYZOPHULLACEAE Roze
Schyzophyllum commune Fr. ex Fr.
Schyzophyllum commune Fr. ex Fr.
La Massana, Alberes (Vallespir), Francia, EHOO, en bosque de F. sylvatica. Leg. S. Sanclemente, 29-4-88. SSN 1683.- De Capdevánol a Ribes de Freser (Ripollés), Gerona, DG37. Leg. J. Llistosella, 9-2-85. SSN 1769.- Sobre Sant Quirze de Besora (Ripollés), Barcelona, DG36, sobre Pinus. Leg. J. Llistosella, 9-2-85. SSN 1770.- Muntanya Pelada, Sant Pere Mártir (Barcelonés), Barcelona, DF28. Leg. X.
La Massana, Alberes (Vallespir), Francia, EHOO, en bosque de F. sylvatica. Leg. S. Sanclemente, 29-4-88. SSN 16 83.- De Capdevànol a Ribes de Freser (Ripollè s), Gerona, DG3 7. Leg. J. Llistosella, 9-2-85. SSN 17 69.- Sobre Sant Quirze de Besora (Ripollès), Barcelona, DG36, sobre Pin us. Leg. J. Llis· tosell a, 9-2- 85. SSN 17 70 .- Muntanya Pelada, Sant Pere Màrtir (Barcelon ès) , Barcelona, DF 28. Leg. X.

Butll. Soc. Catalana Micol. 14-15 21-42 Barcelona 1991
Butll. Soc. Catalana Micol. 14-15 21-42 Barcelona 19 91 37
Llimona, 21-1-88. SSN 1784 y 10-11-87. SSN 1791.- Sobre la Font del Lledoner, Selva de Mar (Alt Empordá), Gerona, EG18, sobre C. australis. Leg. X. Llimona, 2-4-83. SSN 1839, SSN 1841. Háb.: Aparece sobre madera en descomposición, o en ocasiones sobre árboles enfermos./ Citas bibl.: CODINA & FONT QUER (1931). PEARSON (1931). MAIRE (1933). HEIM (1934). MAUBLANC (1936). MAIRE (1937). SINGER (1947). BERTAUX (1964). MALEKON & BERTAULT (1971). MALENçON & BERTAULT (1972). HONRUBIA & LLIMONA (1982). FOLGADO (1983). MALENçON & LLIMONA (1983). FINSCHOW (1984). LLIMONA (1984). LLISTOSELLA & AGUASCA (1986). TABARÉS & ROCABRUNA (1987). ROCABRUNA & TABARÉS (1988).
Llimona, 21 -1- 88. SSN 17 84 y 10-1 1-87. SSN 17 91.- Sobre la Font del Lledoner, Selva de Mar (Alt Empord à), Gerona, EG 18, sobre C. australis. Leg. X. Llimona, 2-4-83. SSN 18 39, SSN 18 41. Hii b. : Aparece sobre madera en descomposición, o en ocasiones sobre arboles enferm os '¡ Citas bib l.: CODINA & FONT QUER (19 31 ). PEARSON (19 31). MAIRE (19 33) HEIM (19 34) MAUBLANC (19 36). MAIRE (19 37). SINGER (19 47) . BERTAUX (1 964) . MAL ENÇON & BERTAULT (1971). MALENÇON & BERTAULT (19 72). HONRUBIA & LLIMONA (19 82). FOLGADO (19 83). MALENÇON & LLIMONA (19 83). FINS CHOW (19 84) LLIMONA (19 84) LLISTOSELLA & AGUASCA (19 86). TABAR É S & ROCABRUNA (1987). ROCABRUNA & TABAR É S (19 88).
Familia THELEPHORACEAE Chev.
Familia THELEPHORA CEA E Ch ev
Boletopsis leucomelaena (Pers.: Fr.) Fayod
Boletopsis leucomelaena (Pers .: Fr.) Fayod
Pantano de Foix, Foix (Garraf), Barcelona, CF86, en bosque de P. halepensis. Leg. X. Llimona, 6-1-85. SSN 1254.
Pantano de Foix, Foix (Garraf) , Barcelona, CF86, en bosque de P. ha lepensis. Leg. X. Llimona, 6- 1- 85. SSN 12 54.
Hii b. : En bosques de coníferas, con preferencia en pinares térmicos de P. halepensis. / Citas bib l.: CODINA & FONT QUER (19 31). MAIRE (19 33) HEIM (19 34) MAIRE (19 37). BERTAUX (19 64) MALENÇON & BERTAUL T (1971). MALENÇON & BERTAULT (19 76) BALLESTEROS (1 984) FINSCHOW (19 84) LLISTOSELLA & AGUASCA (19 90)
Háb.: En bosques de coníferas, con preferencia en pinares térmicos de P. halepensis./ Citas bibl.: CODINA & FONT QUER (1931). MAIRE (1933). HEIM (1934). MAIRE (1937). BERTAUX (1964). MALENçON & BERTAULT (1971). MALENçON & BERTAULT (1976). BALLESTEROS (1984). FINSCHOW (1984). LLISTOSELLA & AGUASCA (1990).
Hydnellum concreseens (Pers. ex Schw .) Bank.
Hydnellum concrescens (Pers. ex Schw.) Bank.
Pantano de Foix, Foix (Garraf), Barcelona, CF86, en bosque de P. halepensis. Leg. X. Llimona, 6-12-85. SSN 1247.
Pantano de Foix, Foix (Garraf), Barcelona, CF86, en bosque de P. halepensis. Leg. X. Llimona, 6-1 2- 85. SSN 12 47.
Hii b. : En bosques de coníferas y caducifolios , con preferencia por los lugares poco ele vados ./ Citas bib l.: ARANZADI (19 05) . ARANZADI (19 08) SOLA (19 25). CODINA & FONT QUER (19 31). MAIRE (19 33). MAIRE (19 37). MALE NÇON & BERTAUL T (1971). CALONGE & ZUGAZA (19 73). BERTAULT (19 82). BAL LESTEROS (1 984) FI NSCHOW (1 984) ROCABRUNA (19 84) . LLIS TOSELLA & AGUASCA (19 90) .
Háb.: En bosques de coníferas y caducifolios, con preferencia por los lugares poco elevados./ Citas bibl.: ARANZADI (1905). ARANZADI (1908). SOLA (1925). CODINA & FONT QUER (1931). MAIRE (1933). MAIRE (1937). MALENçON & BERTAULT (1971). CALONGE & ZUGAZA (1973). BERTAULT (1982). BALLESTEROS (1984). FINSCHOW (1984). ROCABRUNA (1984). LLISTOSELLA & AGUASCA (1990).
Hydnellum ferrugineum (Fr.: Fr.) P. Karst.
Hydnellum ferrugineum (Fr.: Fr.) P. Karst.
Punta de la Mora (Tarragonés), Tarragona, CF56, en bosque de P. halepensis. Leg. S. Sanclemente, 22-11-87. SSN 1563.- Urbanización Pinalbert, Monnars (Tarragonés), Tarragona, CF55, en bosque de P. halepensis, Q. ilex y C. humilis. Leg. S. Sanclemente, 22-11-86. SSN 1527, SSN 1528.- Tossa de Montbui, Santa Margarida de Montbui (Anoia), Barcelona, CG80, en bosque de P. halepensis, Q. ilex, R. officinalis. Leg. S. Sanclemente y A. Gendrau, 2-11-86. SSN 1461, SSN 1462.- Pantano de Foix, Foix (Garraf), Barcelona, CF86, en bosque de P. halepensis. Leg. X. Llimona, 6-12-85. SSN 1246.Calamot, Gavá (Baix Llobregat), Barcelona, DF17, en bosque de P. halepensis. Leg. X. Llimona, 28-1-87. SSN 1762; 20-5-85. SSN 1782; 30-10-85. SSN 1822.- Argentona (Maresme), Barcelona, DG50. Leg. A. Rocabruna, 18-12-86. SSN 1825. Háb.: Prefiere bosques bajos de P. halepensis, pero puede encontrarse también en pinares de montaña, e incluso en bosques de caducifolios./ Citas bibl.: ARANZADI (1908). SOLA (1925). CODINA & FONT QUER (1931). MAIRE (1933). HEIM (1934). MAUBLANC (1936). MAIRE (1937). BERTAUX (1964). MALENçON & BERTAULT (1971). MALENçON & BERTAULT (1972). LASUNCION et al. (1974). MALENON & BERTAULT (1976). LOSA et al. (1980). BERTAULT (1982). MALENçON & LLIMONA (1980). BALLESTEROS (1984). FINSCHOW (1984). LLIMONA (1984). ROCABRUNA (1984). DÍEZ (1986). LLISTOSELLA & AGUASCA (1986). SANCLEMENTE-FT- S.C.M. (1987). SOC. CAT. MICOLOGIA (1987). TABARÉS & ROCABRUNA (1987). LLISTOSELLA & AGUASCA (1990).
Punta de la Mora (Tarragonès) , Tarragona, CF56, en bosque de P. ha lepensis. Leg. S. Sanclemente, 22 -11- 87. SSN 15 63 .- Urbanización Pinalbert, Monnars (Tarragonès) , Tarragona, CF55 , en bosque de P. ha lepensis, Q. ilex y C. humilis. Leg. S. Sanclemente, 22- 1 1- 86. SSN 15 27, SSN 15 28 .- Tossa de Montbui, Santa Margarida de Mo ntbui (Anoia) , Barcelona, CG80, en bosque de P. ha lepensis, Q. ilex, R. officinalis. Leg. S. Sanclemente y A. Gendrau, 2-1 1- 86. SSN 14 61, SSN 14 62 .- Pantano de Foix, Foix (Garraf), Barcelona, CF86, en bosque de P. ha lepensis. Leg. X. Llimona, 6-1 2-85 . SSN 12 46 .Calamot, Gavà (Baix Llobregat) , Barcelona, DF 17 , en bosque de P. halepensis. Leg. X. Llimona, 28 -1- 87. SSN 17 62; 20-5-8 5. SSN 17 82; 30- 10 -85 SSN 18 22.- Argentona (Ma res me), Barcelona, DG50. Leg. A. Rocabruna, 18-1 2-86. SSN 18 25. Hii b. : Prefiere bosques bajos de P. halepensis, pero puede encontrarse también en pinares de montaña, e incluso en bosques de caducifolios ./ Citas bib l.: ARANZADI (19 08). SOLA (19 25) . CODINA & FONT QUER (19 31). MAIRE (19 33) . HEIM (1934) . MA UBLANC (19 36). MAIRE (19 37). BERTAUX (1 964) MA LENÇON & BERTA ULT (1971). MALENÇON & BERTA ULT (1 972) LASUNCION et al. (1 97 4) MALE NÇON & BERTA ULT (1 976). LOSA et al. (19 80) BERTAULT (19 82). MALENÇ ON & LLIMONA (19 80). BAL LESTEROS (1 984) . FINSCHOW (19 84) . LLIMONA (1 984) . ROCABRUNA (19 84) . D Í EZ (19 86). LLISTOSELLA & AGUASCA (19 86). SANCLEMEN TE-FT- S.C.M. (19 87). SOC. CAT. MI COLOGIA (19 87). TABAR É S & ROCABRUNA (19 87). LLISTOSELLA & AGUASCA (19 90)
Hydnellum scrobiculatum (Fr.) P. Karst. Urbanización Pinalbert, Monnars (Tarragonés), Tarragona, CF55, en bosque de P. halepensis, Q. ilex y C. humilis. Leg. S. Sanclemente, 22-11-86. SSN 1529.
Hydnellum scrobiculatum (Fr.) P. Karst. Urbanización Pinalbert, Mo nnars (Tarragonès) , Tarragona, CF55 , en bosque de P. ha lepensis, Q. ilex y C. hu milis. Leg. S. Sanclemente, 22 -1 1- 86. SSN 15 29.
38

Butll. Soc. Catalana Micol. 14-15 21- 42 Barcelona 1991
Butll. Soc. Catalana Micol. 14-15 21-42 Barcelona 1991
Háb.: Crece en bosques de coníferas o mixtos./ Citas bibl.: MAIRE (1933). MAIRE (1937). SINGER (1947). MALENCON & BERTAULT (1971).
Hfi b. : Crece en bosques de coníferas o mixtos .j Citas bib l.: MAIRE (19 33) MAIRE (19 37). SINGER (19 47). MAL ENÇON & BERTAUL T (1971).
Lenzitopsis oxycedri Malençon & Bertault
Lenzitopsis oxycedri Malencon & Bertault
Pasado el Ciervo, Retuerta de Pina, Zaragoza, 30T YL29, sobre J. thurifera. Leg. S. Sanclemente, 6-5-88. SSN 1737, SSN 1738.
Pas ad o el Ciervo, Retuerta de Pina, Zaragoza, 30T YL29, sobre J. thurifera Leg. S. Sanclemente , 6-5- 88. SSN 17 37, SSN 17 38.
Hfi b. : Sobre J. thurifera vivos.
Háb.: Sobre J. thurifera vivos.
Phellodon melaleucus (Sw. ap. Fr.: Fr.) P. Kartst.
Phellodon melaleucus (Sw. ap. Fr .: Fr.) P. Kartst
Font de l' Arç, Sant Hilari Sacalm (Selva), Gerona, DG53, sobre F. syl va tica. Leg. X. Llimona, 5- 1 1-87. SSN 17 96, SSN 18 00.
Font de l'ArÇ, Sant Hilari Sacalm (Selva), Gerona, DG53, sobre F. sylvatica. Leg. X. Llimona, 5-11-87. SSN 1796, SSN 1800.
Hfi b. : Aparece tanto en bosque de coníferas como de planifolios .j Citas bibl .: CODINA & FONT QUER (1931). MAIRE (19 33) . HEIM (19 34) . SINGER (19 47). MAL ENÇON & BERTAULT (1971). LASUNCION et al. (1 974). BERTAUL T (1 982) . TELLERÍ A (19 84) .
Háb.: Aparece tanto en bosque de coníferas como de planifolios./ Citas bibl.: CODINA & FONT QUER (1931). MAIRE (1933). HEIM (1934). SINGER (1947). MALENCON & BERTAULT (1971). LASUNCION et al. (1974). BERTAULT (1982). TELLERÍA (1984).
Phellodon niger (Fr. : Fr.) P. Karst.
Phellodon niger (Fr.: Fr.) P. Karst.
Punta de la Mora (Tarragonés), Tarragona, CF56, en bosque de P. halepensis. Leg. X. Llimona, 22-11-87. SSN 1857.- Pantano de Foix, Foix (Garraf), Barcelona, CF86, en bosque de P. halepensis. Leg. X. Llimona, 6-12-85. SSN 1245.- Calamot, Gavá (Baix Llobregat), Barcelona, DF17, en pinar, Leg. X. Llimona, 28-1-88, SSN 1761
Háb.: Crece tanto en bosque de coníferas como de planifolios./ Citas bibl.: ARANZADI (1908). CODINA (1932). MAIRE (1933). HEIM (1934). MAIRE (1937). MALENCON & BERTAULT (1971). LOSA et al. (1980). MALENCON & LLIMONA (1980). BERTAULT (1982). BALLESTEROS (1984). FINSCHOW (1984). LLIMONA (1984). ROCABRUNA (1984). DÍEZ (1986). LLISTOSELLA & AGUASCA (1986). TABARÉS & ROCABRUNA (1987). LLISTOSELLA & AGUASCA (1990).
Punta de la Mora (Tarragonès) , Tarragona, CF56, en bosque de P. halepensis. Leg. X. Llimona, 22 -1 1-87. SSN 18 57.- Pantano de Foix, Foix (Garraf) , Barcelona, CF86, en bosque de P. halepen· sis. Leg. X. Llimona, 6-1 2-85. SSN 12 45 .- Calamot, Gavà (Baix Llobrega t) , Barcelona, DF 17 , en pi· nar, Leg. X. Llimona, 28- 1- 88, SSN 17 61 Hfi b. : Crece tanto en bosque de coníferas como de planifolios .j Citas bibl .: ARANZADI (19 08) CO· DINA (19 32). MAIRE (19 33). HEIM (19 34) MAIRE (19 37). MAL ENÇON & BERTAULT (1971). LOSA et al. (19 80) MALENÇON & LLIMONA (19 80) BERTAULT (19 82). BALLESTEROS (19 84) FI NSCHOW (19 84) LLIMONA (19 84) ROCABRUNA (19 84) . D Í EZ (19 86). LLISTOSELLA & AGUASCA (19 86). TABAR É S & ROCA BRUNA (19 87). LLISTOSELLA & AGUASCA (1990)
Sarcodon imbricatus (L. ex Fr.) P. Karst . Riu (Cerdan ya) , Lérida, DG08, en bosque de P. sylvestris. Leg. I. Soriano, 19-1 0-86. SSN 13 05. Hfi b. : Aparece ligado a bosques de coníferas .j Citas bib l.: BOLOS (19 24) . SOLA (19 25) . CODINA & FONT QUER (1931). MAIRE (19 37). BE RTAUX (1 964) . MA LENÇON & BERTAUL T (1971). LOSA et al. (19 80) . LLIMONA (19 84) . ROCABRUNA (19 84) .
Sarcodon imbricatus (L. ex Fr.) P. Karst. Riu (Cerdanya), Lérida, DG08, en bosque de P. sylvestris. Leg. I. Soriano, 19-10-86. SSN 1305. Háb.: Aparece ligado a bosques de coníferas./ Citas bibl.: BOLOS (1924). SOLA (1925). CODINA & FONT QUER (1931). MAIRE (1937). BERTAUX (1964). MALENCON & BERTAULT (1971). LOSA et al. (1980). LLIMONA (1984). ROCABRUNA (1984).
Sarcodon leucopus (Pers .) Maas G. & Nannf. Vilanova de Meià, Montsec (No guer a), Lérida, CG35, en bosque de P. nigra , Leg. F. X. Yuste, 8- 11 - 87. SSN 17 93, SSN 17 94, SSN 17 95 Hfi b. : Aparece ligado a bosques de coníferas .j Citas bi bl.: MAIRE (19 37).
Sarcodon leucopus (Pers.) Maas G. & Nannf. Vilanova de Meiá, Montsec (Noguera), Lérida, CG35, en bosque de P. nigra, Leg. F. X. Yuste, 8-11-87. SSN 1793, SSN 1794, SSN 1795. Háb.: Aparece ligado a bosques de coníferas./ Citas bibl.: MAIRE (1937).
Thelephora anthocephala (Bull. ex Fr.) Pers Sant Hilari Sacalm (Selva ) , Gerona, DG53, bajo Cedrus. Leg. A. Rocabruna, 11 - 6-88 . SSN 16 36.Blanes (Selva ), Gerona, DG8 1, sobre restos P. insignis.Leg. E. Gracia, 11 -12 -89. SSN 17 27. Hfi b. : Crece en el suelo, tanto en bosques de coníferas como de planifol io s.j Citas bibl .: BALLESTE· ROS (19 84)
Thelephora anthocephala (Bull. ex Fr.) Pers. Sant Hilari Sacalm (Selva), Gerona, DG53, bajo Cedrus. Leg. A. Rocabruna, 11-6-88. SSN 1636.Blanes (Selva), Gerona, DG81, sobre restos P. insignis.Leg. E. Gracia, 11-12-89. SSN 1727. Háb.: Crece en el suelo, tanto en bosques de coníferas como de planifolios./ Citas bibl.: BALLESTEROS (1984).
Thelephora caryophyllea (Schaeff.) ex Fr. Dosrius (Maresme), Barceloa, DG51, en encinar en margen de camino. Leg. A. Rocabruna, 8-1-89. SSN 1654.- Riu (Cerdanya), Lérida, DG08, en bosque de P. sylvestris. Leg. I. Soriano, 19-10-86. SSN 1328.- S'Arenella, Port de la Selva (Alt Empordá), Gerona, EG18. Leg. X. Llimona, 10-12-84. SSN 1766.- Serra Carbonera, Port de la Selva (Alt Empordá), Gerona, EG18. Leg. X. Llimona, 10-12-84. SSN 1776, SSN 1777.- Cabrera d'Igualada (Anoia), Barcelona, CF99, en bosque de P. halepensis, E. arborea y R. officinalis. Leg. J. Miguel, 25-11-84. SSN 1783.- Canyamars, Dosrius (Maresme), Barcelona, DG50, en bosque de P. halepensis y Q. ilex. Leg. A. Rocabruna, 8-11-87. SSN 1798.- La Perafita, Cadaqués (Alt Empordá), Gerona, EG18. Leg. X. Llimona, 9-12-84. SSN
Thelephora caryophyllea (Schaeff.) ex Fr. Dosrius (M aresm e), Barceloa, DG5 1, en encinar en margen de camino. Leg. A. Rocabruna, 8-1- 89. SSN 16 54.- Riu (Cerdanya), Lérida, DG08, en bosque de P. sylvestris. Leg. I. Soriano, 19-10 -86. SSN 13 28.- S'A renella, Port de la Selva (Alt Empordà), Gerona, EG 18. Leg. X. Llimona, 10-1 2-84. SSN 17 66.- Serra Carbonera, Port de la Selva (Alt Empor dà) , Gerona, EG 18. Leg. X. Llimona, 10 -1 2-84. SSN 17 76, SSN 17 77.- Cabrera d' Igualada (Anoia), Barcelona, CF99, en bosque de P. ha lepensis, E. arborea y R. oi!icinalis. Leg. J. M i quel , 25 -11 - 84. SSN 17 83.- Canyamars, Dosrius (Maresme), Barcelona, DG50, en bosque de P. ha lepensis y Q. ilex. Leg. A. Rocabruna, 8- 1 1-87. SSN 17 98 .- La Perafita, Cadaqués (Alt Empordà) , Gerona, EG 18. Leg. X. Llimona, 9-1 2-84. SSN

Butll. Soc. Catalana Micol. 14-15 21- 42 Barcelona 1991 39
18 23.- Tarrambó, Port de la Selva (Alt Empordà), Gerona, EG 18. Leg. X. Llimon a, 8- 1 2-84. SSN 18 24. Ha b. : Crece en el suelo, en bosques de coníferas y en el Cistion .j Citas bib l.: SOLA (19 25). CODINA & FONT QUER (1931). HEIM (19 34) . MAIRE (19 37). ROCABRUNA & TABAR É S (19 88).
1823.— Tarrambó, Port de la Selva (Alt Empordá), Gerona, EG18. Leg. X. Llimona, 8-12-84. SSN 1824. Háb.: Crece en el suelo, en bosques de coníferas y en el Cistion./ Citas bibl.: SOLA (1925). CODINA & FONT QUER (1931). HEIM (1934). MAIRE (1937). ROCABRUNA & TABARÉS (1988).
Thelephora therrestris Fr.
Espinelves (Osona), Gerona, DG53, en plantación de A. alba. Leg. A. Rocabruna, 4-5-88. SSN 1637, SSN 1638.— Mas Carbó, Sant Hilad Sacalm (Selva), Gerona, DG53, en bosque de F. sylvatica. Leg. A. Ortega, 5-11-87. SSN 1799.
Háb.: Crece en el suelo, entre musgos o sobre restos leñosos en descomposición en bosques de coníferas, raramente de planifolios./ Citas bibl.: CODINA & FONT QUER (1931). SINGER (1947). BERTAULT (1982). BALLESTEROS (1984). ROCABRUNA (1984). DÍEZ (1986). ROCABRUNA & TABARÉS (1988).
Thelephora therrestris Fr. Espinelves (Osona ), Gerona, DG53, en plantación de A. alba. Leg. A. Rocabruna, 4-5 -88. SSN 16 37, SSN 16 38.- Mas Carbó, Sant Hilari Sacalm (Sel va), Gerona, DG53 , en bosque de F. sylvatica. Leg. A. Orte ga, 5- 11 - 87. SSN 17 99. Ha b. : Crece en el suelo, entre musgos o sobre restos leñosos en descomposición en bosques de coníferas, raramen te de planifolios .j Citas bib l.: CODINA & FONT QUER (19 31). SINGER (19 47). BERTA ULT (19 82) BALLE STEROS (19 84) ROCABRUNA (19 84) . D Í EZ (19 86). ROCABRUNA & T ABAR É S (19 88).
NOTA
NOTA
A continuación indicamos el nombre completo de las plantas sup eriores correspondientes a las abreviaturas utilizadas en el presente trab ajo:
A continuación indicamos el nombre completo de las plantas superiores correspondientes a las abreviaturas utilizadas en el presente trabajo:
A. alba = Abies alba Miller
A. ma uritanica = Ampelodesmos ma uritanica (Poiret) Dur. et Schinz
B. pendula = Betula pendula
A. alba = Abies alba Miller mauritanica = Ampelodesmos mauritanica (Poiret) Dur. et Schinz pendula = Betula pendula Roth
B. sempervirens = Buxus sempervirens L.
B. sempervirens = Buxus sempervirens L.
C. sativa = Castanea sativa Miller
C. sativa = Castanea sativa Miller
C. australis = Celtis australis L.
C. australis = Celtis australis L.
C. siliq ua = Cera tonia siliqua L.
C. siliqua = Ceratonia siliqua L.
C. salvifolius = Cistus salvifolius L.
C. salvifolius = Cis tus salvifolius L.
C. avella na = Corylus avellana L.
C. avellana = Corylus avellana L.
C. vulgaris = Calluna vulgaris (L.) Hull
C. vulgaris = Calluna vulgaris (L.) Hull
C. humilis = Chama erops humilis L.
C. humilis = Chamaerops humilis L.
E. arborea = Erica arborea L.
E. multiflora = Erica multiflora L.
F. sylvatica = Fagus sylvatica L.
E. arborea = Erica arborea L. multiflora = Erica multiflora L. sylvatica = Fagus sylvatica L.
H. viridis = Helleborus viridis L.
H. viridis = Helleborus viridis L.
J. communis = Juniperus communis L.
J. communis = Juniperus communis L.
J. thurifera = Juniperus thu rifera L.
J. thurifera = Juniperus thurifera L.
P. la tifolia = Phyllyrea la tifolia L.
P. latifolia = Phyllyrea latifolia L.
P. halepensis = Pin us ha lepensis Miller
P. halepensis = Pinus halepensis Miller
P. nigra = Pin us nigra Arnold
P. nigra = Pinus nigra Arnold
P. pinea = Pin us pinea L.
P. pinea = Pinus pinea L.
BIBLlOGRAFÍA
BIBLIOGRAFÍA
P. radiata = Pinus radiata D. Don
P. radiata = Pin us radiata D. Don
P. sylvestris = Pin us sylvestris L.
P. sylvestris = Pinus sylvestris L.
P. uncinata = Pin us uncinata Miller ex Mir bel
P. uncinata = Pinus uncinata Miller ex Mirbel
P. lentiscus = Pis tacia lentiscus L.
P. lentiscus = Pistacia lentiscus L.
P. hybrida = Pla tanus hybrida Brot.
P. hybrida = Platanus hybrida Brot.
P. setiferum = Polystichum setiferum (Forsk .) Woynar
P. avium = Prunus avium L.
Q. cerrioides = Quercus cerrioides Willk et Costa
P. setiferum = Polystichum setiferum (Forsk.) Woynar avium = Prunus avium L. cerrioides = Quercus cerrioides Willk. et Costa
Q. coccifera = Quercus coccifera L.
Q. coccifera = Quercus co ccifera L.
Q. ilex = Quercus ilex L.
Q. ilex = Quercus ilex L.
Q. pubescens = Quercus pubescens Wild.
Q. pu bescens = Quercus pubescens Wild.
Q. robur = Quercus robur L.
Q. robur = Quercus robur L.
Q. rotundifolia = Quercus rotundifolia Lam.
Q. rotun difolia = Quercus rotun difolia Lam.
Q. suber = Quercus suber L.
Q. suber = Quercus suber L.
R. ferrugineum = Rhododendron ferrugineum L.
R. ferrugin eum = Rhododendron ferrugin eum L.
R. officinalis = Rosmarinus officinalis L.
R. ida eus = Rubus ida eus L.
S. nigra = Sambucus nigra L.
R. officinalis = Rosmarinus officinalis L. idaeus = Rubus idaeus L. nigra = Sambucus nigra L.
S. au cuparia = Sorbus au cuparia L.
V. minor = U/mus minor Miller
V. myrtillus = Vaccinium myrtillus L.
S. aucuparia = Sorbus aucuparia L. minor = Ulmus minor Miller myrtillus = Vaccinium myrtillus L.
ARAN ZADI, T. (19 05): Listra de hongos del Empalme (Gerona) recibidos en Noviembre de 1905. Bol. Real Soc. Espa ñola His t. Nat. 5: 499-50 1.
ARANZADI, T. (1905): Listra de hongos del Empalme (Gerona) recibidos en Noviembre de 1905. Bol. Real Soc. Española Hist. Nat. 5: 499-501.
ARANZADI, T. (1908): Hongos observados en Cataluña durante el otoño de 1907. Bol. Real Soc. Española. Hist. Nat. Julio 1908: 351-356.
ARANZA DI, T. (19 08) : Hongos observados en Cataluña durante el otoño de 19 07. Bol. Rea l Soc. Española. His t. Nat. Julio 19 08: 351- 356.
BALLESTEROS, E, (1984): Primera contribució al coneixement deis macromicets del Massís de les Cadiretes (La Selva). Butll. Inst. Cat. Hist. Nat. 51 (Secc. Bot. 5): 67-76.
BA L LE S TEROS E 1 rime ra co n ribuci ó al cone ix e me nt de ls macromicets del Massís de les Cadiretes (La Se lva). Butll. lnst. Cat. Hist. Nat. 51 (Secc. Bot. 5): 67-76.
BENITO MARTÍNEZ, J. (1930): Algunos datos acerca de hongos que viven sobre matriz vegetal y principalmente leñosa. Bol. Real Soc. Esp. H. Nat. Vol. XXX: 323-325.
BENITO MART Í NEZ, J. (19 30): Algunos datos acerca de hongos que viven sobre matriz vegetal y principalmente leñosa. Bol Real Soc. Esp. H. Nat. Vol XXX: 323-325.
BERTAULT, R (19 82): Contribution à la flore mycologique de la Catalogne. Acta Bot. Barcinonensia 34: 35 pp.
BERTAULT, R (1982): Contribution á la flore mycologique de la Catalogne. Acta Bot. Barcinonensia 34: 35 pp.

Butll. Soc. Catalana Micol. 14-15 21-42 Barcelona 1991
Bu tll. Soc. Catalana Micol. 14-15 21 -42 Barcelona 1991
BERTAUX, A. (1 964) : Campagne mycologique de 19 61. Champignons determ inés. Collectanea Botanica 6 (3): 45 7-465
BERTAUX, A. (1964): Campagne mycologique de 1961. Champignons determinés. Collectanea Botanica 6 (3): 457-465.
BERTAUX, A. (19 64) : Champignons exposés à Barcelone en octobre 1961. Colle ctanea Botanica 6 (3) : 46 7-474.
BERTAUX, A. (1964): Champignons exposés á Barcelone en octobre 1961. Collectanea Botanica 6 (3): 467-474.
BOLOS, A. (1924): Alguns bolets de la comarca d'Olot. Butll. Inst. Catalana Hist. Nat. 4: 193-195.
BOLOS, A. (19 24) : Alguns bolets de la comarca d'O lot. Butll. Inst. Catalana His t. Nat. 4: 19 3-195.
CALONGE, F. D. & ZUGAZA, A. (19 73): Catalogo de los hongos presentados en la I Exposición de Madrid del 1- 5 Noviembre de 19 72. Anl. Inst. Bot. A. J. Cavanilles 30: 33-35 .
CALONGE, F. D. & ZUGAZA, A. (1973): Catálogo de los hongos presentados en la I Exposición de Madrid del 1-5 Noviembre de 1972. Anl. Inst. Bot. A. J. Cavanilles 30: 33-35.
CODINA, J. & FONT QUER, P. (1931): Introducció a l'estudi deis macromicets de Catalunya. Cavanillesia 3: 100-189.
CODINA, J. & FONT QUER, P. (1 93 1): Introducció a l'estudi dels macromicets de Catalunya. Cavanillesia 3: 10 0-189.
CODINA J. (19 32): Contribució a l'e studi dels macromicets de Catalunya. Cavanillesia 5: 31- 35.
CODINA J. (1932): Contribució a l'estudi deis macromicets de Catalunya. Cavanillesia 5: 31-35.
DICCIONARI NOMENCLATOR DE POBLES I POBLATS DE CATALUNYA (1964): Edit. Aedos, Barcelona.
DÍEZ, M. M. (1986): La micologia, els fongs i els bolets. L'Erol 17: 16-27.
DICCIONARI NOM ENCLA TOR DE POBLES I POBLATS DE CATALUNYA (19 64) : Edit. Aedos, Barcelona. DÍ EZ, M. M. (19 86): La micologia, els fongs i els bolets. L'Erol 17 : 16-27.
FINSCHOW, G. (1 984) : Contribucions to the higher fungal flora of Eivissa. Biography and Ecology of the Pityusic Isla nds, cap. 6: 13 7-1 54. Monographia e Bioligicae. Vol. 52. Dr. W. JUNK Publishers.
FINSCHOW, G. (1984): Contribucions to the higher fungal flora of Eivissa. Biography and Ecology of the Pityusic Islands, cap. 6: 137-154. Monographiae Bioligicae. Vol. 52. Dr. W. JUNK Publishers.
FOLGADO, R. V. (1983): Contribució al estudio de la microflora de la dehesa de la Albufera de Valencia. Valencia. Tesina de Licenciatura Inédita.
FOLGADO, R. V. (19 83): Contribució al estudio de la microflora de la dehesa de la Albufera de Valencia. Valencia. Tesina de Licenciatura Inédita.
FOLGADO, R., HONRUBIA, M. & COSTA, M. (1984): Notas sobre los hongos de la dehesa de la Albufera (Valencia, España) I. Int. J. Myc. Lich. 1 (3): 351-365.
FOLGADO, R., HONRUBIA, M. & COSTA, M. (1 984) : Notas sobre los hongos de la dehesa de la Albufera (Valencia, España) I. Int. J. Myc. Lich. 1 (3) : 35 1 -365
FONT QUER, P. (1923): Notes criptogámiques. Butll. Inst. Cat. Hist. Nat. 3: 31-36.
FONT QUER, P. (19 23) : Notes criptogàmiques. Butil. Inst. Cat. Hist. Nat. 3: 31- 36.
FONT QUER, P. (1931): Notes sobre bolets catalans. Butll. Ins. Cat. Hist. Nat. Vol. XXXI, n. 7: 1-3.
FONT QUER, P. (1 93 1): Notes sobre bolets catalans. Bu tll. Ins. Cat. His t. Nat. Vol. XXXI, n. 7: 1-3.
FONT QUER, P (19 54): Plantas de Greixa (Pirineo Catalan). Colle ctanea Botanica Vol. IV, fasc. I, n. 10: 17 3- 17 7.
FONT QUER, P (1954): Plantas de Greixa (Pirineo Catalán). Collectanea Botanica Vol. IV, fasc. I, n. 10: 173-177.
HALLEMBERG, N. (1988): Species delimitation in Corticiaceae. Mycotaxon 31(2): 445-465.
HALLEMBERG, N. (19 88): Species delimitation in Corticiaceae. Mycota xon 31( 2): 445-46 5.
HEIM, R. (1934): Fungi iberici. Observations sur la Flore Mycologique Catalane. Treb. Mus. Cienc. Nat. Barcelona 15 (3). 146 pp.
HEIM, R. (1 934) : Fungi iberici. Observations sur la Flore Mycologique Catalane. Tre b. Mus. Cienc. Nat. Barcelona 15 (3). 14 6 pp.
HONRUBIA, M. y LL IMONA, X. (19 82): Aportación al conocimiento de los hongos del SE de España. VIII. Afiloforales (Basidiomicetes). Colle ctanea Botanica 13 (2): 49 1- 532 .
HONRUBIA, M. y LLIMONA, X. (1982): Aportación al conocimiento de los hongos del SE de España. VIII. Afiloforales (Basidiomicetes). Collectanea Botanica 13(2): 491-532.
LAS UNCION, HLADUN, N. & LLIMONA, X. (19 74) : Algunos basidiomic etes recolectados en Torrelles de Llobregat en otoño de 1971. Anal. del Inst. Bot. A. Cavanilles 31 (2) : 171-17 7.
LASUNCION, HLADUN, N. & LLIMONA, X. (1974): Algunos basidiomicetes recolectados en Torrelles de Llobregat en otoño de 1971. Anal. del Inst. Bot. A. J. Cavanilles 31 (2): 171-177.
LLENSA DE GELCEN, S. (19 70) : Bolets de les rodalies d'Igualada. Centre d'Estudis Comarcals d'Igualada. 71 pp.
LLENSA DE GELCEN, S. (1970): Bolets de les rodalies d'Igualada. Centre d'Estudis Comarcals d'Igualada. 71 pp.
LLIMONA, X. (1983): Sobre fongs de primavera a Catalunya. Butll. Soc. Catalana de Micol. 7: 33-45 Barcelona.
LLIMONA, X. (1983): Sobre fongs de primavera a Catalunya. Butll. Soc. Catalana de Micol. 7: 33-45. Barcelona.
LLIMONA, X. (1 984) . Llista d'espècies de l' exposició de fongs organitzada a Barcelona, l'o ctubre de 19 77. Bu tll. Soc. Catalana Micol. 8: 39-46.
LLIMONA, X. (1984). Llista d'espécies de l'exposició de fongs organitzada a Barcelona, l'octubre de 1977. Butll. Soc. Catalana Micol. 8: 39-46.
LLlSTO SELLA, J. & AGUASCA, M. (1 986) : El l. «M ini Foray» de la British Mycological Society a Catalunya (1985). Bu tll. Soc. Catalana Micol. 10: 19-33.
LLISTOSELLA, J. & AGUASCA, M. (1986): El 1. «Mini Foray» de la British Mycological Society a Catalunya (1985). Butll. Soc. Catalana Micol. 10: 19-33.
LL lSTOS ELLA, H. & AGUASCA, M. (1 990): Macromicets de l'illa de Menorca. Butll. Soc. Catalana Micol. 13: 17 -32.
LLISTOSELLA, H. & AGUASCA, M. (1990): Macromicets de l'illa de Menorca. Butll. Soc. Catalana Micol. 13: 17-32.
LOSA, J. M., ANDRÉS, J., CARBÓ, R. & GARCÍA PRIETO, 0. (1980): Macromicetes de la comarca del Berguedá (Barcelona). Acta Botánica Malacitana 6: 57-74.
LOSA, J. M., ANDR ÉS, J., CARB Ó , R. & GARC Í A PRIETO, O. (1 980) : Macromicetes de la comarca del Berguedà (Barcelona). Acta Botanica Malacitana 6: 57-7 4.
MAIRE (19 05): Contributions à l' étude de la Flore mycologique des lles Baleares. Bull. Soc. Mycol. Fra nce 21: 21 3-224.
MAIRE (1905): Contributions á l'étude de la Flore mycologique des Iles Baleares. Bull. Soc. Mycol. France 21: 213-224.
MAIRE, R. (19 33): Fungi Catalaunici. Contributions à l' étude de la flore mycologique de la Catalogne. PubJ. Junta Cienc. Nat. Barcelona 15 (2) : 12 0 pp.
MAIRE, R. (1933): Fungi Catalaunici. Contributions á l'étude de la flore mycologique de la Catalogne. Publ. Junta Cienc. Nat. Barcelona 15 (2): 120 pp.
MAIRE, R. (1 937): Fungi Catalaunici. Series altera. Contribution à l' étude de la flore mycologique de la Catalogne. Publ. de l'Inst. Bot. Barcelona 3 (4) : 12 8 pp.
MAIRE, R. (1937): Fungi Catalaunici. Series altera. Contribution á l'étude de la flore mycologique de la Catalogne. Publ. de l'Inst. Bot. Barcelona 3 (4): 128 pp.
MALE NÇON, G. & BE RTAULT, R. (1971): Champignons de la Péninsule Ibérique, I, 11, III. Act. Phytotax. Barcinonensia 8: 5-94.
MALENçON, G. & BERTAULT, R. (1971): Champignons de la Péninsule Ibérique, I, II, III. Act. Phytotax. Barcinonensia 8: 5-94.
MAL ENÇON, G. & BERTAUL T, R. (19 72): Champignons de la Péninsule Ibériue. IV. Les Isles Baléares. Act. Phy totax. Barcinonensia. 11: 1- 64.
MALENçON, G. & BERTAULT, R. (1972): Champignons de la Péninsule Ibériue. IV. Les Isles Baléares. Act. Phytotax. Barcinonensia. 11: 1-64.
MAL ENÇON, G. & BER TAULT, R. (19 76) : Champignons de la Péninsule Ibérique. V. Catalogne, Aragon, Andalousie. Acta Phytotax. Barcinonensia 19: 68 pp.
MALENçON, G. & BERTAULT, R. (1976): Champignons de la Péninsule Ibérique. V. Catalogne, Aragon, Andalousie. Acta Phytotax. Barcinonensia 19: 68 pp.
MALENÇON, G. et LLIMONA, X. (1 980) : Champignons de la Péninsule Ibérique VI. Est. et Sud-Est An. Un iv. Murcia. Ciencias 34: 47- 13 5.
MALENçON, G. et LLIMONA, X. (1980): Champignons de la Péninsule Ibérique VI. Est. et Sud-Est. An. Univ. Murcia. Ciencias 34: 47-135.

Butll. Soc. Catalana Mico1. 14-15 21- 42 Barcelona 1991 41
MALE NÇON, G. et LLIMONA, X. (19 83): Champignons ibériques . VII. Flora vernale du SE Basidiomycètes. An. Un iv. Murcia. Cien cia s 39 (1- 4) : 1- 89.
MALENçON, G. et LLIMONA, X. (1983): Champignons ibériques. VII. Flora vernale du SE. Basidiomycétes. An. Univ. Murcia. Ciencias 39 (1-4): 1-89.
MANJ Ó N, J. L. (19 83): Estudio de los órdenes Aphyllophorales y Agaricales, parasitos y sapórfitos del orden Coniferales. Univ. de Alcala de Henares. Tesis Doctora l Inédita.
MANJÓN, J. L. (1983): Estudio de los órdenes Aphyllophorales y Agaricales, parásitos y sapórfitos del orden Conif erales. Univ. de Alcalá de Henares. Tesis Doctoral Inédita.
MASFERRER (18 87): Recuerdos botanicos de Vich. Ana les de la Real Soc. Esp His t. Na t. , 1887.
MASFERRER (1887): Recuerdos botánicos de Vich. Anales de la Real Soc. Esp. Hist. Nat., 1887.
MAUBLANC, M. C. (19 36) : Rapport sur la session générale de la Société mycologique de France, tenue a Barcelone du 19 au 27 octubre 19 35. Bull. Soc. Mycol. Fra nce 52: XVII-XX XII.
MAUBLANC, M. C. (1936): Rapport sur la session genérale de la Société mycologique de France, tenue a Barcelone du 19 au 27 octubre 1935. Bull. Soc. Mycol. France 52: XVII-XXXII.
PEARSON, A. A. (1931): Contribución al estudio de la micología catalana: Hongos de St. Pere de Vilamajor. Cavanillesia 4: 20-23.
PEARSON, A. A. (1931): Contribución al estudio de la micología catalana: Hongos de St. Pere de Vilamajor. Cavanillesia 4: 20-23.
POLO, L. (19 82): Relació d'espècies recolectades pels congresistes del IV simposi de botànica criptogamica. Ana l. de la Sección de Cien cia s del Colegio Un iv. de Gerona. Any VII, n. 8, Nov. 82.
POLO, L. (1982): Relació d'espécies recolectades pels congresistes del IV simposi de botánica criptogámica. Anal. de la Sección de Ciencias del Colegio Univ. de Gerona. Any VII, n. 8, Nov. 82.
ROCABRUNA, A. (19 84) : Aportació al coneixement dels fongs del Maresme (Catalunya). Butll. Soc. Ca talana Micol. 8: 47-74.
ROCABRUNA, A. (1984): Aportació al coneixement deis fongs del Maresme (Catalunya). Butll. Soc. Catalana Micol. 8: 47-74.
ROCABRUNA, A. & TABARES, M. (1988): Aportación al conocimiento de los hongos del macizo montañoso del Montseny (Cataluña). Bullí. Soc. Catalana Micol. 12: 25-53.
ROCABRUNA, A. & TABARÉS, M. (1 988) : Aportación al conocimiento de los hongos del macizo montañoso del Montseny (Cataluña). Butll. Soc. Catalana Micol. 12: 25-53.
SANCLEMENTE, M. S. (1988): Sobre Corticiáceas de Cataluña. Butll. Soc. Catalana Micol. 12: 63-72.
SANCLEMENTE, M. S. (19 88) : Sobre Corticiaceas de Cataluña. Butll. Soc. Ca talana Micol. 12: 63-72.
SINGER, R. (1947): Champignons de la Catalogne. Espécies observées en 1934. Collectanea botanica 1 (3): 199-246.
SING ER , R. (19 47) : Champignons de la Catalogne. Espècies observées en 1934. Collectanea botanica 1 (3): 19 9-246
SIQUIER, J. L. & CONSTANTI NO, C. (19 82): Aportación de nuevas especies a la flora micológica de la isla de Mallorca. Bol. Soc. Hist. Nat. Baleares 26: 15 7- 16 8.
SIQUIER, J. L. & CONSTANTINO, C. (1982): Aportación de nuevas especies a la flora micológica de la isla de Mallorca. Bol. Soc. Hist. Nat. Baleares 26: 157-168.
SOCIETAT CATALANA DE MICOLOGIA (1982-1990): Bolets de Catalunya. I-IX col lecció. Barcelona.
SOCIETAT CATALANA DE MI COLOGIA (1 982- 19 90): Bolets de Catalunya. I-IX col ·lecció. Barcelona.
SOCIETAT CATALANA DE MICOLOGIA (1983-1990): Fichas Técnicas. Barcelona.
SOCIETAT CATALANA DE MI COLOGIA (1 983- 19 90): Fichas Técnicas. Barcelona.
SOLA, J. Sch. P. (19 24) : Alguns macromicets dels volts de Terrassa (Prov. de Barcelona). Inst. Cat. His t. Na t. : 31- 44.
SOLA, J. Sch. P. (1924): Alguns macromicets deis volts de Terrassa (Prov. de Barcelona). Inst. Cat. Hist. Nat.: 31-44.
TABARÉS, M. & ROCABR UNA, A. (19 87): Aportación al conocimiento de los hongos de la "Serra de Collcerola» (Catalunya). Butll. Soc. Catalana MicoJ. 11: 83-98.
TABARES, M. & ROCABRUNA, A. (1987): Aportación al conocimiento de los hongos de la «Serra de Collcerola» (Catalunya). Butll. Soc. Catalana Micol. 11: 83-98.
TELLER Í A, M. T. (1980): Contribución al estudio de los Aphyllophorales españoles. Bibliotheca Myco logica n. 74. Cramer.
TELLERÍA, M. T. (1980): Contribución al estudio de los Aphyllophorales españoles. Bibliotheca Mycologica n. 74. J. Cramer.
TELLERIA, M. T. (1984): De Aphyllophoralibus in Hispania provenientibus comentarii, I. Bol. Soc. Micol. Castellana 8: 61-78.
TELLER Í A, M. T. (1984): De Aphyllophoralibus in Hispania provenientibus comentarii, I. Bol. Soc. Micol. Castellana 8: 61- 78.
TELLERÍA, M. T. (1985): De Aphyllophoralibus in Hispania provenentibus comentarii, III. Anal. J. Bot. Madrid 42 (1): 49-60.
TELLER Í A, M. T. (1 985) : De Aphyllophoralibus in Hispania provenentibus comentarii, III. Anal J. Bot. Madrid 42 (1): 49-60.
VAYREDA (1982): Catáleg de la Flora de la Vall de Núria, Barcelona.
VA YREDA (19 82): Catàleg de la Flora de la Vall de Núria, Barcelona.
Butll. Soc. Catalana Micol. 14-15 43-66 Barcelona 1991

NOVES DADES SOBRE FONGS HIPOGEUS. I: ASCOMICETS
NOVES DADES SOBRE FONGS HIPOGEUS . I: ASCOMICETS
Sierra, D., Martín, M.P. & X. Llimona
Sierra, D., Ma rtín, M.P. & X. Llimona
Dpt. Biologia Vegetal. Fac. Biologia. Avdg. Diagonal, 645. 08028 Barcelona.
Dpt . Biologia Vege tal. Fac. Biologia. Avdg. Di agonal, 645 08028 Barcelona.
RESUMEN
RESUMEN
En el presente trabajo se estudian un total de 12 táxones de ascomicetes hipogeos recolectados en diferentes localidades de la Península Ibérica, entre los cuales destacan Picoa juniperina y Terfezia claveryi. Para cada una de las especies estudiadas se ofrece una descripción macro y microscópica con iconografía original, y datos de distribución y ecología.
En el presente trabajo se estu dian un total de 12 tax ones de ascomicetes hipogeos recolectados en dife rentes localidades de la Peníns ula Ibér ic a, entre los cu ales destacan Pícoa juníperína y Terfezía ela veryí. Para cada una de las espec ies estudi adas se ofrece una desc ripción ma cro y microscópica con iconografía original, y datos de distribución y ecología.
RESUM
RESUM

S'ha efectuat l'estudi detallat de 12 espécies d'ascomicets hipogeus recol•ectats a diferents localitats de la Península Ibérica, entre els quals destaquen Picoa juniperina y Terfezia claveryi.
S'ha efectuat l'es tud i deta llat de 12 espè cies d'a scomicets hip ogeus re col· lectats a diferents loca li tats d e la Pen ns u la rica , entre els quals d estaquen Pícoa juníperína y Terfezía elaveryí.
Per cadascuna d'aquestes espécies es dona una descripció macro i microscópica detallada, amb dibuixos originals, així com l'ecologia i la localitat.
Per cadascuna d' aqu estes espècies es dona una descripció macro i microscòpica det allada, amb dibuixos originals, així com l'e cologia i la localitat.

44 Butll. Soc. Catalana Micol. 14-15 43-66 Barcelona 1991
INTRODUCCIÓ
INTRODUCCIÓ
La principal contribució al coneixement dels fongs hipogeus d'E spanya correspon a F.D. Calo nge , (Calonge 19 82), (Calonge & al. 19 77). A Catal unya, Calonge ha tingut com a col·laborador s direc tes A. Rocabruna i M. Tabarés , de la S.C.M. Aquesta col· laboració va prod uir les publicacions següents: Calo nge , Rocabruna & Tabarés (19 85), Calonge , Rocabruna, Tabarés & Rodríguez (19 85) .
La principal contribució al coneixement deis fongs hipogeus d'Espanya correspon a F.D. Calonge, (Calonge 1982), (Calonge & al. 1977). A Catalunya, Calonge ha tingut com a col-laboradors directes A. Rocabruna i M. Tabarés, de la S.C.M. Aquesta col•laboració va produir les publicacions següents: Calonge, Rocabruna & Tabarés (1985), Calonge, Rocabruna, Tabarés & Rodríguez (1985).
En l'últim treball publicat sobre aquest tema, Arroyo & al. (1989) ofereixen un catáleg provisional dels fongs hipogeus trobats a Espanya, que conté 40 espécies (3 dubtoses) d'ascomicets hipogeus i 28 espécies de gasteromicets hipogeus.
En l' últim treb all publicat sobre aqu est tema, Arroyo & al. (19 89) ofereixen un catàleg provisional dels fongs hipog eus trobats a Espanya, que conté 40 espè cies (3 dub toses) d' ascomicets hipogeus i 28 espèc ies de gastèromicets hipo geus.
Els 12 taxons d' ascomicets que presentem en aqu est treb all no suposen afegir cap nova espècie al catàleg, però s'h i amplia l' àrea de distribució d'a lg unes de les espèci es, poc recol·lectades fins ara
Els 12 taxons d'ascomicets que presentem en aquest treball no suposen afegir cap nova espécie al catáleg, peró s'hi amplia l'área de distribució d'algunes de les espécies, poc recol-lectades fins ara.
El material estud iat proced eix de diverses localitats de la Peníns ula Ib èrica que hem tingut ocasió de visitar al llarg d'aq uests últims 3 anys, o bé, ens ha estat aportat per diversos col· laborad ors
El material estudiat procedeix de diverses localitats de la Península Ibérica que hem tingut ocasió de visitar al llarg d'aquests últims 3 anys, o bé, ens ha estat aportat per diversos col-laboradors.
Tots els ex em plars estan dipositats a l'he rbari de la Fac ultat de Biologia (B CC) , amb el númer o que apare ix al text.
Tots els exemplars estan dipositats a l'herbari de la Facultat de Biologia (BCC), amb el número que apareix al text.
Les espécies s'han ordenat per ordre alfabétic de famílies (ja que totes pertanyen a l'ordre de les pezizals), seguint ERIKSSON & HAWKSWORTH (1988).
Les esp ècies s' han ordenat per ordre alfabètic de famílies (ja que totes pertanyen a l'or dre de les pezizals), seg uint ERIKSSON & HAWK SWORTH (19 88)
DESCRIPCIÓ DE LES ESPÉCIES ESTUDIADES
DESCRIPCIÓ DE LES ESPÈCIES ESTUDIA DES
F. BALSA MIACEA E
F. BA LSA MIACEA E
Picoa juniperina Vitt. (Fig. 1)
Picoa juniperina Vitt. (Fig. 1)
Carpòfors d' 1. 4-2 cm de diàmetre, més o men ys globosos i deform ats. Peridi bru negrós o gairebé negre, amb incrustacions blanquinoses del su bstracte. Textura berrugosa deguda a petites berrugues piramidals. Gleba blanca, unifo rme, amb ven ositats poc visibl es.
Carpófors d'1.4-2 cm de diámetre, més o menys globosos i deformats. Peridi bru negrós o gairebé negre, amb incrustacions blanquinoses del substracte. Textura berrugosa deguda a petites berrugues piramidals. Gleba blanca, uniforme, amb venositats poc visibles.
Peridi cel · lular, més fosc a la part externa, format per cèl ·lu les de 10-20 Jlm de diàmetre . Ascs octospòrics , globosos i pedicel· lats, de 90 -12 0 x 60-70 Jl m. Hifes interascals hialianes, septades, de 6-8 Jlm d' amplada. Espores hialines, rodones o subgloboses, de 23-27 x 20-25 Jlm, amb la paret llisa, però a vegades sembla que siguin ornamentades amb berrugues poc prominents. Presenten una gran gútula al mig.
Peridi més fosc a la part externa, format per cél-lules de 10-20 pm de diámetre. Ascs octospórics, globosos i pedicel-lats, de 90-120 x 60-70 pm. Hifes interascals hialianes, septades, de 6-8 pm d'amplada. Espores hialines, rodones o subgloboses, de 23-27 x 20-25 pm, amb la paret llisa, peró a vegades sembla que siguin ornamentades amb berrugues poc prominents. Presenten una gran gútula al mig.
Loc. : Hem trobat aquesta espécie a Farlete, Saragossa, el 9-5-88 i el 25-4-89. Leg. J. Blasco. Creixia associada a la «hierba turmera», una planta d'hábitat nitrófil i que apareix a les proximitats de llocs frequentats pels ramats. BCC-DSL 2057 i 2058.
Loc. : Hem trobat aquesta espècie a Farlete, Saragossa, el 9-5-88 i el 25-4-8 9. Leg. J. Blasco. Creixia associada a la «hierba turmera», una planta d' hàbitat nitròfil i que apareix a les proximitats de llocs frequentats pels ramats. BCC-DSL 2057 i 2058
Observacions: Es tracta d'u na espècie bastant rara, que es diferencia bé, per les seves característiques del peri di. CALONGE & al. (19 85a) consideren que l' ornamentació esporal que es veu a vegades és deguda al fet que les espores retenen a la seva superfície residus de la paret de l'a sc. Segons dades comunicades pels naturals a Llimona, és un fong abundant vora Belchite, on la cullen i la coneixen amb el nom de «trufas de raposa».
Observacions: Es tracta d'una espécie bastant rara, que es diferencia bé, per les seves característiques del peridi. CALONGE & al. (1985a) consideren que l'ornamentació esporal que es veu a vegades és deguda al fet que les espores retenen a la seva superficie residus de la paret de l'asc. Segons dades comunicades pels naturals a Llimona, és un fong abundant vora Belchite, on la cullen i la coneixen amb el nom de «trufas de raposa».


Picoa juniperina Vitt. Espores dintre de l'asc.
F. GENEACEAE
Genea klotzschii Berk. et Br. (Fig. 2 i 3)
Genea klotzsch ii Berk. et Br. {Fig. 2 i 3}
Ascocarp globós, i irregularment lobulat. L'únic exemplar recol-lectat té una mida de 8 mm de diárnetre i s'obre a l'exterior mitjanÇant un porus apical circular. Si fem un tall longitudinal, observem que presenta una série de plecs grossos que des de la base arriben cap a dalt. El conjunt és una sola cavitat solcada per aquests plecs, com una mena de laberint. A la base hi romanen restes miceliars adherides. Peridi bru fosc o gairebé negre, amb petites berrugues piramidals, constituTt per cél-lules de 15-30 x 15-30 globoses o allargades, amb la paret gruixuda i bruna.
L'himeni, amb paráfisis, es trova localitzat entre la superficie externa i la interna de la cavitat. La superficie interna és exactament igual a l'externa inclosa l'ornamentació. Els ascs són cilíndrica, de 280-300 x 38-40 p.m, octospórics, amb les parets constrictes entre les espores. A la base tenen un peu clarament bifurcat. Les paráfisis són hilianes, septades, de 3-4 .tm d'amplada i formen una capa epitecial. Espores uniseriades dins l'asc, primer rodones i finalment
Ascocarp globós, i irregularment lobulat. L'ú nic exemplar recol ·l ectat té una mida de 8 mm de diàmetre i s'ob re a l' exterior mitjançant un porus apical circular. Si fem un tall longit udinal, observem que presenta una sèrie de plecs grossos que des de la base arriben cap a dalt. El conj unt és una sola cavitat solcada per aquests plecs, com una mena de laberint. A la base hi romanen restes miceliars adherides. Peridi bru fosc o gairebé negre, amb petites berrugues piramidals, constituït per cèl· lules de 15 -30 x 15 -30 �m, globoses o allargades, amb la paret gruix uda i bruna. hi me i a m aràfisis e s t r va l ocali t za t en t re l a superficíe externa i la interna de la cavitat. La superfície interna és exactament igual a l' externa inclosa l' ornamentació. Els ascs són cilíndrics, de 28 0-300 x 38-40 �m, octospòrics , amb les parets constrictes entre les espores . A la base tenen un peu clarament bifurcat. Les paràfisis són hiliane s, septades, de 3-4 �m d'a mplada i formen una capa epitecia1. Espores unise riades dins l'a sc, primer rodones i finalment

46 Butll. Soc. Catalana Micol. 14 -15 43-66 Barcelona 1991
ovals, hialines, de 25-36 X 28-33 �m, sense l' ornamentació, que consta de berrugues angulars, distribuïdes de manera irregular i amb mides de 5-7 X 3-5 �m.
ovals, hialines, de 25-36 x 28-331.1m, sense l'ornamentació, que consta de berrugues angulars, distribuides de manera irregular i amb mides de 5-7 x 3-5 1.1m.
Loc.: Castelló de la Plana, 29-10-88, sota Quercus sp. BCC-DSL 2059.
Loc. : Castelló de la Plana, 29- 10 -88, sota Quercus sp BCC-DSL 2059.
Observacions: Es una espècie que pot arribar a tenir la mida d'u na nou. Macroscòpicament és molt fàcil de confondre amb Genea verrucosa i Genea hispidula , però l' ornamentació esporal diferencia les tres espècies de manera clara
Observacions: Es una espécie que pot arribar a tenir la mida d'una nou. Macroscópicament és molt fácil de confondre amb Genea verrucosa i Genea hispidula, peró l'ornamentació esporal diferencia les tres espécies de manera clara.
F. TERFEZIACEAE
F. TERFEZIA CEA E
Choiromyces meandriformis Vitt. (Fig. 4)
Choiromyces meandriformis Vitt. (Fig. 4)
Tuber album Sow.
Tuber album Sow.
Carpófor en forma de tubercle, globulós, de 6 cm de diámetre, (peró pot arribar fins a 10 cm). A la base presenta una petita prominéncia triangular. Peridi llis, de color blanquinós, ocraci o groguenc, a vegades bru i amb la superficie débilment esquerdada.
Carn molt dura, primer de color blanc crema, després groguenc, amb nombroses venositats cerebriformes, convolutes, de color blanquinós i barrejades amb d'altres brunenques. Emet una olor forta, no massa agradable.
Carpòfor en forma de tubercle, globulós, de 6 cm de diàmet re, (però pot arribar fins a 10 cm) . A la base presenta una petita prominència triangular Pe ridi llis, de color blanquinós, ocraci o groguenc, a vegades bru i amb la superfície dèbilment esquerda da Carn molt dura, primer de color blanc crema, després groguenc, amb nombroses venositats cerebriformes, convolutes, de color blanquinós i barrej ades amb d' altres brunenques. Emet una olor for ta, no massa agra dable
Ascs octospòrics, subglobosos amb un peu ben marcat, de 90- 15 0 x 40-50 �m. Espores globoses, de 16 -20 �m de diàmetre, hialines o dèbilment groguenques quan són madur es. Tenen una ornamentació formada per espines llargues, irregulars, truncades, de 5-7 x 2-3 �m.
Ascs octospórics, subglobosos amb un peu ben marcat, de 90-150 x 40-50 p.m. Espores globoses, de 16-20 Jim de diámetre, hialines o débilment groguenques quan són madures. Tenen una ornamentació formada per espines llargues, irregulars, truncades, de 5-7 x 2-3 p.m.
Loc.: Navarra, prop del llac habla, 1200 m. Leg. A. Rocrabuna. Sota Picea abies. BCC-DSL 2060.
Loc. : Nav arra, prop del llac Irabia, 12 00 m. Leg. A. Rocrabuna. Sota Picea abies. BCC-DSL 2060.
Observacions: Aquesta espécie creix a finals d'estiu i a la tardor, en boscos, principalment de faigs i roures i en terrenys calcaris o argilosos.
Observacions: Aquesta espècie creix a finals d' estiu i a la tardor, en boscos, principalment de faigs i roures i en terrenys calcaris o argilosos.
Segons la bibliografia, és un fong indigest, que produeix transtorns gástrics, amb efectes purgants.
Segons la bibliografia, és un fong indigest, que produeix transtorns gàst rics, amb efectes purgants
Delastria rosea Tul (Fig. 5)
Delastria rosea Tul. (Fig. 5)
Carpòfor irregularment globós, una mica aplanat a la part de dalt, mentre que es va fent més estret vers la base, de 16 mm d' alçada per 24 mm de diàmetre Textura i consistència carnosa.
Carpófor irregularment globós, una mica aplanat a la part de dalt, mentre que es va fent més estret vers la base, de 16 mm d'alÇada per 24 mm de diámetre. Textura i consisténcia carnosa.
Peridi llis, una mica feltrat i amb incrustacions de gránuls del substrat en alguns llocs de la seva superfície. El color varia des d'ocre groguenc a rosat o bru groguenc.
Peridi llis, una mica feltrat i amb incrustacions de grànuls del substrat en alguns llocs de la seva superfí cie . El color varia des d' ocre groguenc a rosat o bru groguenc.
La gleba és rosada i està solcada per moltes venes blanques. Fa olor de patata crua .
La gleba és rosada i está solcada per moltes yenes blanques. Fa olor de patata crua.
Ascs de 110-150 x 45-60 ptm, subcilíndrics, breument pedicel-lats i amb 3 espores dins. Espores de 23-27 jim de diámetre, rodones, hialines i amb una ornamentació reticulada.
Ascs de 11 0- 15 0 x 45-60 �m, subcilíndrics, breument pedic el· lats i amb 3 espores dins Espores de 23-2 7 �m de diàmetre, rodones, hialines i amb una ornamentació reticulada.
Loc. : Recol· lecció d'u n únic exemplar a la comarca del Vallès Oriental , novembre 19 87, en una plantació de Pin us radia ta. Leg. J. Llistosella. BCC-DS L 206 1.
Loc.: Recol-lecció d'un únic exemplar a la comarca del Vallés Oriental, novembre 1987, en una plantació de Pinus radiata. Leg. J. Llistosella. BCC-DSL 2061.
Observacions: La seva comestibilitat és desconeguda. CALONGE & al. (1 985b)consideren, segons referències d' altres països on l' han trobat, que es tracta d'u na espècie mediterrània, de clima temperat, que surt a la tardor i fins potser a l'h ivern. També indiquen que les espores, quan són totalment madures, presenten un color bru, fet que nosaltres no hem pogut constatar.
Observacions: La seva comestibilitat és desconeguda. CALONGE & al. (1985b)consideren, segons referéncies d'altres paisos on l'han trobat, que es tracta d'una espécie mediterránia, de clima temperat, que surt a la tardor i fins potser a l'hivern. També indiquen que les espores, quan són totalment madures, presenten un color bru, fet que nosaltres no hem pogut constatar.
Terfezia arenaria (Mo ris) Trappe (Fig. 6 i 7)
Terfezia arenaria (Morís) Trappe (Fig. 6 i 7)
T. leonis (Tul. & C.T ul) Tul. & C.T ul
T. leonis (Tul. & C.Tul) Tul. & C.Tul
T. Hispanica Uizaro Ibiza
T. Hispanica Lázaro Ibiza
Els exempla rs recol· lectats tenen, cadascú per separat un diàmetre de 2.5 -4 cm i forma globosa, poc irregular. Però, generalment apareixen varis carpòfors junts, formant un grup amb forma de patata, subglobós o pirif orme , irregular, de 8- 10 cm de diàmetre i amb restes de substrat adherides.
Peridi primer blanquinós, més tard ocre o bru clar. Gleba bru grisenca quan és madura i amb venositats blanquinose s. Olor no massa forta.
Els exemplars recol-lectats tenen, cadascú per separat un diámetre de 2.5-4 cm i forma globosa, poc irregular. Peró, generalment apareixen varis carpófors junts, formant un grup amb forma de patata, subglobós o piriforme, irregular, de 8-10 cm de diámetre i amb restes de substrat adherides. Peridi primer blanquinós, més tard ocre o bru ciar. Gleba bru grisenca quan és madura i amb venositats blanquinoses. Olor no massa forta.

Butll. Soc. Catalana Mico1. 14·15 43-66 Barcelona 1991 47
Ascs octospòrics, globoses, de 90-98 x 75-78 �m . Espores rodone s, al principi són hialines i ll i ses , tenen una grossa gútula central i mesuren 13 -17 �m de diàm etre. Un cop madur es, les dimensions són de 25-3 1 �m de diàmetre y presenten una ornamentació amb grosses berrugues cilíndriques i amb l'à pex truncat.
Ascs octospórics, globoses, de 90-98 x 75-78 Espores rodones, al principi són hialines i llises, tenen una grossa gútula central i mesuren 13-17 lirn de diámetre. Un cop madures, les dimensions són de 25-31 psn de diámetre y presenten una ornamentació amb grosses berrugues cilíndriques i amb l'ápex truncat.
Loc. : Caceres, 31- 3-89, associada a Tuberaria guttata. BCC-DSL 2062.
Loc.: Cáceres, 31-3-89, associada a Tuberaria guttata. BCC-DSL 2062.
Observacions: Es podria confondre amb Terfezia c1a veryi, però se'n diferencia bé per les seves espores, també rodo nes, però amb la superfície reticulada en lloc de i també amb T. leptoderma , que té les espores espinoses.
Observacions: Es podria confondre amb Terfezia claveryi, peró se'n diferencia bé per les seves espores, també rodones, peró amb la superfície reticulada en lloc de berrugosa, i també amb T. leptoderma, que té les espores espinoses.
Es molt apreciada com a comestible a Extremadura, on es comercialitza. Acostuma a trobar-se a la primavera en comunitats en cistácies. Aquest fong ha estat molt citat a tota la Península (CALONGE & al. 1977), peró és especialment abundant a Extremadura i a zones limítrofes. En altres pasos de l'área mediterránia és també bastant apreciada, i gran part de la nostra produció s'exporta als paYsos árabs, Israel i Sud d'Itália.
É s molt apreciada com a comestible a Extremad ura, on es comercialitza. Acostuma a trobar-se a la primavera en comunitats en cistàcies. Aquest fong ha estat molt citat a tota la Península (CALONGE & al. 197 7), però és especialment abundant a Extremadura i a zones limítrofes. En altres països de l'àrea mediterrània és també bastant apreciada, i gran part de la nostra produció s' exporta als països àrabs, Israel i Sud d' Itàlia.
Aquí s' associa simbiòticament amb la cistàcia Tuberaria guttata, mentre que a Itàlia ho fa també amb diverses espècies de Cistus i amb Helianthemum vulgare (CALONGE & al. 19 77).
Aquí s'associa simbióticament amb la cistácia Tuberaria guttata, mentre que a Itália ho fa també amb diverses espécies de Cistus i amb Helianthemum vulgare (CALONGE & al. 1977).
Terfezia c1averyi Chatin (Fig. 8)
Terfezia claveryi Chatin (Fig. 8)
Ascocarp globós, en forma de tuberc le, de 2.7 cm de diàmetre , amb la superfície reticulada, meandriforme o cereb rif orme, i amb solcs més o menys profunds. Peridi de color bru clar (canyella) i també amb tonalitats rosàcies. Quan aquest fong s'a sseca, es torna més fo sc. Conserva incrustacions del substrat. Gleba de color ocraci groguenc, amb tons rosats, i solcada per venes blanquin oses
Ascocarp globós, en forma de tubercle, de 2.7 cm de diámetre, amb la superfície reticulada, meandriforme o cerebriforme, i amb solcs més o menys profunds. Peridi de color bru ciar (canyella) i també amb tonalitats rosácies. Quan aquest fong s'asseca, es torna més fosc. Conserva incrustacions del substrat. Gleba de color ocraci groguenc, amb tons rosats, i solcada per yenes blanquinoses.
Ascs globosos, octospòrics, de 50-70 �m de diàmetre. Espores esfèriques, de 17 -22 �m de diàmetre , hialines o feblemen t groguenques, ornamentades amb un reticle de costes bastant amples però poc prominents (1 �m d' alçada)
Ascs globosos, octospórics, de 50-70 de diámetre. Espores esfériques, de 17-22 lirn de diámetre, hialines o feblement groguenques, ornamentades amb un reticle de costes bastant amples peró poc prominente (1 pim d'alÇada).
Loc.: Farlete, Saragossa, 9-5-88, associada a Helianthemum salicifolium. Leg. J. Blasco. BCC-DSL 2063.
Loc. : Farl ete, Saragossa, 9-5-8 8, associada a Helianthemum sa licifolium. Leg. J. Blasco. BCC-DSL 2063.
Observacions: CALONGE & al. (19 85) diuen que es tracta d'u na espècie de distribució mediterrània, que arriba fins l' À frica del Sud i À sia, i que viu en sòls sorrencs, associada a cistàcies, en zones de pineda i bosc mixt. Anteriorment ha estat citada a Burgos, Ma drid i Granada.
Observacions: CALONGE & al. (1985) diuen que es tracta d'una espécie de distribució mediterránia, que arriba fins ('África del Sud i Asia, i que viu en sóls sorrencs, associada a cistácies, en zones de pineda i bosc mixt. Anteriorment ha estat citada a Burgos, Madrid i Granada.
Terfezia leptoderma Tul. (Fig. 9 i 10)
Terfezia leptoderma Tul (Fig. 9 i 10 )
T. fa nfani Matt
T. fanfani Matt.
Ascocarps amb el peridi ocre groguenc amb tonalitats ferruginoses i gleba blanc rosada. Macroscòpicament es podria confondre amb Terfezia arenaria, però presenta uns ascs més petits, de 55-60 �m de diàmetre i espores una mica més petites, 20-24 �m de diàmetre, però sobretot difereix per l'ornamentació, d' espines cilíndriques i llargues de fins 3 �m de llargada, en comptes de les espines truncades de T. arenaria. Loc. : Portug al, Parc Nacional de Peneda-Ge rês, Terras de Bouro, Gerês, Pedra Bela, 29TNG 70 18, 900 msm, 28/4/89. Leg. M.P. MARTIN. BCC-DSL 2064.
Ascocarps amb el peridi ocre groguenc amb tonalitats ferruginoses i gleba blanc rosada. Macroscópicament es podria confondre amb Terfezia arenaria, peró presenta uns ascs més petits, de 55-60 prn de diámetre i espores una mica més petites, 20-24 de diámetre, peró sobretot difereix per l'ornamentació, d'espines cilíndriques i llargues de fins 3 jim de Ilargada, en comptes de les espines truncades de T. arenaria. Loc.: Portugal, Parc Nacional de Peneda-Gerés, Terras de Bouro, Gerés, Pedra Bela, 29TNG7018, 900 msm, 28/4/89. Leg. M.P. MARTIN. BCC-DSL 2064.
Observacions: Es una espécie primaveral i comestible. CALONGE & al. (1977) indiquen que el seu hábitat és similar al de Terfezia arenaria, si bé nosaltres la vam trobar a la vora d'un camí, al costat d'un bosc de Pinus sylvestris.
Observacions: Es una espècie primaveral i comesti ble. CALONGE & al. (19 77) indiquen que el seu hàbitat similar al de Terfezia arenaria, si bé nosaltres la vam trobar a la vora d'un camí, al costat d'u n bosc de Pin us sylvestris.
F. TUBERA CEA E
F. TUBERACEAE
Tuber aestivum Vitt. (Fig. 11 )
Tuber aestivum Vitt. (Fig. 11)
Carpófor globulós, en forma de tubercle de 3 cm de diámetre. Peridi negre, amb grans berrugues piramidals, de 2-5 mm d'amplada. Aquestes berrugues presenten estriacions longitudinals. Gleba de color ciar, ocre pál•lid, amb nombroses yenes blanques i primes. Paral•eles a les yenes blanques n'hi ha d'altres de grisoses, d'aspecte translúcid i molt més primes. En fresc, desprén una olor suau i agradable.
Carpòfor globulós, en forma de tubercle de 3 cm de dià metre Peridi negre, amb grans berrugues piramidals, de 2-5 mm d'am plada. Aquestes berrugues presenten estriacions longitudinals. Gleb a de color clar, ocre pàl·lid, amb nombroses venes blanques i prime s. Paral ·l eles a les venes blanques n'h i ha d'altres de grisoses, d' aspecte translúcid i molt més primes. En fresc, desprèn una olor suau i agra dable

Butll. Soc. Catalana Micol. 14-15 43-66 Barcelona 1991
48 Bu tll. Soc. Catalana Micol. 14-15 43-66 Barcelona 1991
Ascs globosos, de 62-85 x 4 7-60 �m, gairebé esfèrics i provistos d'u n peu curt. Espores en nombre de 3 o 4 dins l'a sc, de 28-30-35 X 20-25 �m, ovalades, algunes una mica el· líptiques i altres gairebé esfèr iques Tenen una ornamentació reticulada poligon al, de 2-4 �m d' alçada i un color bru daurat.
Ascs globosos, de 62-85 x 47-6011m, gairebé esférics i provistos d'un peu curt. Espores en nombre de 3 o 4 dins l'asc, de 28-30-35 x 20-25 jim, ovalades, algunes una mica el•íptiques i altres gairebé esfériques. Tenen una ornamentació reticulada poligonal, de 2-4 Jim d'alÇada i un color bru daurat.
Loc.: Hem trobat aquesta espécie a Morella (Castelló de la Plana), el 10-2-89, BCC-DSL 2065; a Organyá (Alt Urgell, Lleida), el 12-2-89, BCC-DSL 2066 i a LliÇá de Munt (Vallés Oriental, Barcelona), el 17-10-89 sota avellaner, leg. T. Canals. BCC-DSL 2067.
Loc. : Hem trobat aquesta espècie a Mor ella (Castelló de la Plan a), el 10-2-89, BCC-DSL 2065; a Organyà (Alt Urge ll, Lleida), el 12 -2-89, BCC-DSL 2066 i a Lliçà de Munt (Vallès Oriental, Barcel ona) , el 17 -10 -89 sota avellaner, leg. T. Cana ls. BCC-DSL 20 67.
Observacions: La mida d'aquest bolet pot arribar a atényer 10 cm de diámetre. Com ja s'indica a la lámina n.° 199 de la col•ecció «Bolets de Catalunya», aquesta espécie madura a l'estiu, peró és molt freqüent a la tardor i principis d'hivern. Comenta a collir-se a la primavera, quan la tófona negra va de baixa. Es fa als boscos de planifolis, sobretot rouredes i alzinars. Es un comestible de bona qualitat, peró que no es paga tant al mercat com la tófona negra ( Tuber melanosporum). No és fácil de confondre ambdues espécies perqué la tófona negra té les berrugues més petites i compactes, la gleba més fosca, les yenes diferents i una olor molt més forta.
Observacions: La mida d'a quest bolet pot arriba r a atènyer 10 cm de diàmet re. Com ja s' indica a la làmina n.o 19 9 de la col lecció «Bolets de Catalunya», aquesta espècie madura a l'e stiu, però és molt freqüent a la tardor i principis d'hivern. Comença a collir-se a la primavera, quan la tòfona negra va de baixa Es fa als boscos de planifolis, sobretot rouredes i alzinars. És un comestible de bona qualitat, però que no es paga tant al mercat com la tòfona negra (Tuber melan osporum) No és fàcil de confondre dues espècies perquè la tòfona negra té les berr ugues més petites i compactes, la gleba més fosca, les venes diferents i una olor molt més forta.
Tuber borchii Vitt. (Fig. 12 i 13)
Tuber borchii Vitt. (Fig. 12 i 13 )
Ascocarps globosos, de 5-14 i fins 22 mm de diámetre, amb aspecte de tubercle, amb la superfície bastant uniforme, gairebé llisa o una mica pubescent. Peridi amb restes de terra adherits, llis, de color ciar, blanquinós o cremós que se separa fácilment de la gleba. Quan s'asseca, agafa un color ocre rosat. Gleba o carn rosada (cárnia) amb alguns matisos grisencs, i nerviació blanca. Olor forta, afruitada. Ascs globosos, de 65-98 x 60-70 µm, subpedunculats, amb un curt pedicel. Contenen d'l a 4 espores. Els ascs estan barrejats amb hifes hialines, septades, ramificades, i laxament agrupades, de 5-7 Jim d'amplada.
Ascocarps globosos, de 5- 14 i fins 22 mm de diàmetre, amb aspecte de tuberc le, amb la superfície bastant uniforme , gairebé llisa o una mica pubescent. Peridi amb restes de terra adherits, llis, de color clar, blanquinós o cremós que se separa fàcilment de la gleba. Quan s'a sseca, agafa un color ocre rosat. Gleba o carn rosada (càrnia) amb alguns matisos grisencs , i nerviació blan ca. Olor forta , afruitad a. Ascs globosos, de 65-98 x 60-70 �m, subpeduncu l ats , amb un curt pedic el. Contenen d' 1 a 4 espore s. Els ascs estan barrejats amb hifes hi alines, septades, ramificades, i laxament agrupad es, de 5-7 �m d' amplada
Espores globoses o el-líptiques, primer hialines, després, al madurar, brunes. L'ornamentació és clarament reticulada (o alveolada), de 5-6 iirn d'alÇada. La mida de les espores és funció del nombre d'espores per asc. D'aquesta manera trobem espores de 30-36 x 23-26 pirn, en ascs amb 4 espores; de 39-40 x 26-28 um, en ascs amb 2-3 espores i de 49 x 31 pim en els ascs que només contenen una espora. Aquestes mides no inclouen l'ornamentació.
Espores globoses o el· lípti ques, primer hial ines, després, al madurar, brunes. L'ornamentació és clarament reticulada (o alveolada), de 5-6 �m d' alçada. La mida de les espores és funció del nombre d' espores per asc. D' aquesta manera trobem espores de 30-36 x 23-26 �m, en ascs amb 4 espores; de 39-40 x 26-28 �m, en ascs amb 2-3 espores i de 49 x 31 �m en els ascs que només contenen una espora. Aquestes mides no inclouen l' ornamentac ió.
Loc.: Prop de la Font Groga, Serra de Collserola (Barcelona), 1-11-89, sota Corylus avellana, leg. M. Tabarés. BCC-DSL 2068.— Muntanya Pelada (Barcelona), 27-3-84, en un esllavisat a la soca d'un pi blanc, Pinus halepensis, leg. M. Aguasca. BCC-DSL 2069.
Loc. : Prop de la Font Groga, Serra de Collserola (Barcelona), 1-1 1- 89, sota Corylus avella na, leg. M. Tabarés. BCC-DSL 2068 .- Munt anya Pelada (Barcelona), 27 -3-84, en un esllavisat a la soca d'u n pi blanc, Pin us ha lepensis, leg. M. Aguasca. BCC-DSL 2069.
Observacions: És una espécie molt freqüent, del novembre fins l'abril, en terrenys argilosos. A Punta de la Móra, Tarragona, al gener de 1990 i soterrat en un bosc de Pinus halepensis, várem trobar un carpófor globós, de 28 mm de diámetre, amb el peridi llis, molt poc pubescent, de color ocre blanquinós al principi i amb tonalitat rosada més tard. La gleba era completament blanca amb nombroses yenes, també blanques i opaques. En alguns punts apareixien tons ocre-rosats. Tenia una olor poc marcada, que recordava lleugerament el de les nous. Els ascs eren subglobosos, de 70-100 x 40-70 Jim i amb un curt peu. Presentava hifes interascals de 8-9 Jim d'amplada i ramificades. Les espores, en nombre de 1 a 3 per asc, eren rodones, de 24-32 jam de diámetre, primer hialines i després brunes, ornamentades amb un reticle de crestes d'1-2 p.rn d'alÇada. (BCC-DSL 2070).
Observacions: É s una espècie molt freq üent , del novembre fins l'a bril, en terrenys argi losos. A Punta de la Móra, Tarragona, al gener de 19 90 i soterrat en un bosc de Pin us halepensis, vàrem trobar un carpòfor globós, de 28 mm de diàmetre, amb el peridi llis, molt poc pubescent, de color ocre blanquinós al principi i amb tonalitat rosada més tard. La gleba era completament blanca amb nombroses venes, també blanques i opaqu es. En alguns punts apareixien tons ocre-rosats. Tenia una olor poc marcada, que recordava lleugeramen t el de les nous. Els ascs eren subglobosos, de 70- 10 0 x 40- 70 �m i amb un curt peu. Presentava hifes interascals de 8-9 �m d' amplada i ramific ades. Les espores, en nombre de 1 a 3 per asc, eren rodones, de 24-32 �m de diàmetre, primer hialines i després brunes, ornamentades amb un reticle de crestes d'1- 2 �m d' alçada. (BCC-DSL 207 0)
Possiblement, es tracta d'un exemplar immadur de Tuber borchii, que presenta les espores rodones i la gleba blanca. Una de les principals diferéncies amb Tuber magnatum, amb el qual es podria confondre, és l'ornamentació esporal, també reticulada en aquesta darrera espécie, peró només amb 2-3 alvéols en tota la seva longitud, mentre que T. borchii en pot tenir fins 8 o 10. El carpófor de T. borchii no té una prominéncia basal com T. magnatum, ni el color groguenc verdós ni una olor tan forta.
Poss iblement, es tracta d'u n exemplar immadur de Tuber borchii, que presenta les espores rodones i la gleba blanca. Una de les principals diferències amb Tuber magnatum, amb el qual es podria confondre , és l' ornamen tació esporal, també reticulada en aquesta darrera espècie, però només amb 2-3 alvèols en tota la seva longitud, mentre que T. borchii en pot tenir fins 8 o 10. El carpòfor de T. borchii no té una prominèn cia basal com T. magnatum, ni el color groguenc verdós ni una olor tan forta
MALENçON (1938) indica que T. magnatum i T. borchii presenten accidentalment individus amb les espores globoses, ja que les espores e•íptiques no arriben a tenir aquesta morfologia fins que maduren completament.
MALE NÇON (19 38) indica que T. magnatum i T. borchii presenten accidentalment individus amb les espores globo ses, ja que les espores el· líptiques no arriben a tenir aquesta morfologia fins que maduren completa ment.

Butll. Soc. Catalana Micol. 14-15 43-66 Barcelona 19 91
Tuber melanosporum Vitt. (Fig. 14)
Tuber melanosporum Vitt. (Fig. 14)
Tuber nígrum Bull.
Tuber nigrum Bull. 49
Carpòfor globós, de 2- 10 cm de diàmetre i més o menys deformat. Peridi de color negre mat, recobert de berrugues piramidals i poligonals amples (3-5 mm) i solcat amb escletxes longit udina ls. La gleba és compacta, tova, primer gris o violàcia i, en madurar apareix ennegrida i solcada de fines vetes blanques que es ramif iquen, amb aspecte de marbre i que , a la maduresa, es tornen una mica brunes. Olor molt perfumada.
Carpófor globós, de 2-10 cm de diámetre i més o menys deformat. Peridi de color negre mat, recobert de berrugues piramidals i poligonals amples (3-5 mm) i solcat amb escletxes longitudinals. La gleba és compacta, tova, primer gris o violácia i, en madurar apareix ennegrida i solcada de fines vetes blanques que es ramifiquen, amb aspecte de marbre i que, a la maduresa, es tornen una mica brunes. Olor molt perfumada.
Ascs globosos , de 60-70 �m amb 1- 4 espores.
Ascs globosos, de 60-70 l_tm amb 1-4 espores.
Espores de 29-45 x 17 -24 �m, el· lípti ques, allargades i fosques, brunes, recobertes de nombrosos agullons rígids, de fins a 5 �m d' alçada.
Espores de 29-45 x 17-24 pm, ellíptiques, allargades i fosques, brunes, recobertes de nombrosos agullons rígids, de fins a 5 pm d'alÇada.
Lo c.: Organyà (Alt Urgell, Lleid a), 12 -2-89, sota alzina, BCC-DSL 207 1.
Loc.: Organyó (Alt Urgell, Lleida), 12-2-89, sota alzina, BCC-DSL 2071.
Observacions: Correspon a l'a preciada tòfona negra del Perigord. És una espècie d' hivern que es troba des del novembre fins al març en els boscos d'al zines, a vegades sota avellaners, faigs o til ·l ers. És un comestible excel·l ent, i per raó de la seva qualitat, és el bolet que ateny un preu més ele vat en els nostres mercats.
Observacions: Correspon a l'apreciada tófona negra del Perigord. És una espécie d'hivern que es troba des del novembre fins al maro en els boscos d'alzines, a vegades sota avellaners, faigs o til-lers. Es un comestible excel lent, i per raó de la seva qualitat, és el bolet que ateny un preu més elevat en els nostres mercats.
Ori a de Rueda (1 989) assenyala que al nostre país es produeixen anualment entre 50 i 12 0 Tm de tòfones negre s, la major part de les quals es destina a l' exportació.
Oria de Rueda (1989) assenyala que al nostre país es produeixen anualment entre 50 i 120 Tm de tófones negres, la major part de les quals es destina a l'exportació.
Tuber rufum (Fig. 15)
Tuber rufum (Fig. 15 )
Carpòfors globosos, una mica irregulars, de 12 a 18 mm de diàmetre Peridi castany fosc, amb la superfície fissurada formant berruguetes molt petites i aplanades. Com a conseqüència d'a ixò, el peridi té un aspecte bastant llis i una textura una mica as pre. Gleba compacta, de color carn o salmó, apagat. Està solcada per algunes vetes blanques. Olor fo rta, desagradabl e.
Carpófors globosos, una mica irregulars, de 12 a 18 mm de diámetre. Peridi castany fosc, amb la superficie fissurada formant berruguetes molt petites i aplanades. Com a conseqüéncia d'aixó, el peridi té un aspecte bastant llis i una textura una mica aspre. Gleba compacta, de color carn o salmó, apagat. Está solcada per algunes vetes blanques. Olor forta, desagradable.
Ascs de 80- 10 0 x 50 �m, ovals o bastant globosos i amb un peu llarg. El nombre d' espores, per asc varia entre 3 i 4 però també n'hi ha amb 1 o 2 espores que llavors són més grans Les hifes interascals són hialines, septad es, de 6-7 �m d'am plada, si bé alguns eleme nts estan més inflats Espores ovalades, brunes quan maduren, amb una ornam entació d'espines llargues (de 1. 5 -3 �m) i, a vegades, corbes a la pun ta. Mesuren, sense l'o rnamentació, de 25-34 x 18 -22 �m. Quan només hi ha una espora per asc, la mida arriba fins a 35-40 x 25-30 �m.
Ascs de 80-100 x 50 pm, ovals o bastant globosos i amb un peu llarg. El nombre d'espores, per asc varia entre 3 i 4 peró també n'hi ha amb 1 o 2 espores que llavors són més grans. Les hifes interascals són hialines, septades, de 6-7 pm d'amplada, si bé alguns elements estan més inflats. Espores ovalades, brunes quan maduren, amb una ornamentació d'espines llargues (de 1.5-3 pm) i, a vegades, corbes a la punta. Mesuren, sense l'ornamentació, de 25-34 x 18-22 Quan només hi ha una espora per asc, la mida arriba fins a 35-40 x 25-30 pm.
Loc. : Malla (Osona, Barcelona) 29- 1- 89. Sota roures. Leg. A. Mayoral BCC-DSL 2072.
Loc.: Malla (Osona, Barcelona) 29-1-89. Sota roures. Leg. A. Mayoral. BCC-DSL 2072.
Observacions: MONTECCHI & LAllARI (1984) cometen que es tracta d'una espécie molt freqüent, que fructifica durant tot l'any, especialment a la tardor i a l'hivern. No és comestible per la consisténcia de la carn, molt tenn i per l'olor desagradable.
Observacions: MONTECCHI & LAZZARI (19 84) cometen que es tracta d'u na espècie molt freqüent, que fructifica durant tot l'a ny, especialment a la tardor i a l'h ivern. No és comestible per la consistència de la carn, molt tenaç i per l'o lor desagrada ble.
Segons la bibliografia, és una espècie de mida petita, amb el peridi amb una tonalitat ferrugino sa, superfície llisa però aspre al tacte degut a les petites berrugues plan es, tan caracterí stique s.
Segons la bibliografia, és una espécie de mida petita, amb el peridi amb una tonalitat ferruginosa, superficie llisa peró aspre al tacte degut a les petites berrugues planes, tan característiques.
Tuber excavatum Vitt. (Fig. 16 )
Tuber excavatum Vitt. (Fig. 16)
Recol· lecció d'u n únic exemplar d'1. 9 cm de diàmetre Carpòfor globulós amb una clara excavació basal. Peridi llis o suaument tomentós, de color bru clar. Gleba de color fosc a la maduresa, solcada amb una venositat blanca no massa ramificada.
Recollecció d'un únic exemplar d'1.9 cm de diámetre. Carpófor globulós amb una clara excavació basal. Peridi llis o suaument tomentós, de color bru ciar. Gleba de color fosc a la maduresa, solcada amb una venositat blanca no massa ramificada.
Ascs globulosos, pedunculats, de 68-90 x 60-75µm i amb un peu de fins 60 pm de llargada. Tenen d'1 a 4 espores al seu interior. Espores ovalades o bé arrodonides, brunes al madurar, amb una ornamentació reticulada formada per unes costes de 5-6 pm d'alÇada. La mida está en funció del nombre d'espores que hi hagi per asc. D'aquesta forma, pot oscil .lar des de 31-42 x 25-31 pm quan només hi ha 2 espores per asc a 30-35 x 24-25 pm quan n'hi ha 4. Aquestes mides no inclouen l'ornamentació.
Ascs globulosos, pedu nculats, de 68-90 X 60-75 �m i amb un peu de fins 60 �m de llargada. Tenen d' I a 4 espores al seu interior. Espores ovalades o bé arrodo nides, brunes al madurar, amb una ornamentació reticulada formada per unes costes de 5-6 �m d' alça da. La mida està en funció del nombre d'espores que hi hagi per asc. D'a questa form a, pot osc il·l ar des de 31- 42 x 25-3 1 �m quan només hi ha 2 espores per asc a 30-35 x 24-25 �m quan n'hi ha 4. Aquestes mides no inclouen l'o rnamentació.
Loc.: Vores de Bellmunt, municipi d'Oris, (Osona, Barcelona), 6-10-90, bosc de Pinus sylvestris amb Quercus sp. BCC-DSL 2056.
Loc. : Vores de Bellmunt, municipi d' Oris, (Osona, Barcelona) , 6-10 -90, bosc de Pin us sylvestris amb Quercus sp. BCC-DSL 20 56.
Observacions: La preséncia de l'excavació a la base del carpófor fa que aquesta espécie sigue difícilment confosa amb cap altra.
Observacions: La presència de l' excavació a la base del carpòfor fa que aquesta espècie sigue difícilment confosa amb cap altra.

50 Butll. Soc. Catalana Mico]. 14 43-66 Barcelona 1991
50 Butll. Soc. Catalana Micol. 14 43·66 Barcelona 19 91

10 �m e


Butll. Soc. Catalana: Micol. 14-15 43-66 Barcelona
Butll. Soc. Cata lana:MicoJ. 14-15 43-66 Barcelona 1991





52 Butll. Soc. Catalana Micol. 14-15 43-66
Butll. Soc. Catalana Micol. 14-15 43-66



10 !lm














56 Butll. Soc. Catalana Micol. 14-15 43-66
56 Bu tll. Soc. Catalana Micol. 14 -15 43-66 Barcelona 1991


Butll. Soc. Catalana Micol. 14 -15 43-66 Barcelona 1991







60
60 A


Butll. Soc. Catalana Micol. 14-15 43-66 Barcelona 1991
Butll. Soc. Catalana Micol. 14-15 43-66 Barcelona 1991



Soc. Catalana Micol. 14-15 43-66 Barcelona 1991


62 Butll. Soc. Catalana Micol. 14-15 43-66 Barcelona 1991



Soc. Catalana Micol. 14-15 43-66 Barcelona 1991





1.1m
11m





10 ium
10 !lm








66

Bu tll. Soc. Catalana Micol. 14 ·15 43-66 Barcelona 1991
Butll. Soc. Catalana Micol. 14-15 43-66 Barcelona 1991
AGR A ÏMENTS
AGRAIMENTS
Volem agrair a la FUNDACI Ó CAIXA DE BARCELONA la seva fi nanciació del proj ecte «Inves tigació de la relació entre els fongs hipogeus i els paràmetres autoecològics que int ervenen en el seu desenvolupament», dintre del qual s' inclou aqu est article Agraïm també al Servei de Mi croscopia Electrònica de la Univ ersitat de Barcelona , la seva aj uda amb el microscopi elec trònic de rastreig.
Volem agrair a la FUNDACIÓ CAIXA DE BARCELONA la seva financiació del projecte «Investigació de la relació entre els fongs hipogeus i els parámetres autoecológics que intervenen en el seu desenvolupament», dintre del qual s'inclou aquest article. Agraim també al Servei de Microscopia Electrónica de la Universitat de Barcelona, la seva ajuda amb el microscopi electrónic de rastreig.
BIBLlOGRAFÍA
BIBLIOGRAFÍA
ARROYO, 1.; F.D. CALONGE; G. CARR ASCOSA & E. SAU (19 89): Nuovi funghi ipogei di Spagna III. Hydn ocystis clausa (Tu! .) Ceruti e Genea verrucosa Vitt.
ARROYO, I.; F.D. CALONGE; G. CARRASCOSA & E. SAU (1989): Nuovi funghi ipogei di Spagna III. Hydnocystis clausa (Tul.) Ceruti e Genea verrucosa Vitt.
CALONGE, F.D. (19 82) : Adiciones al catalogo de los hongos hipogeos de España. Sep. García de Orta, Sér. Est. Agran. 9(1- 2): 14 3- 146.
CALONGE, F.D. (1982): Adiciones al catálogo de los hongos hipogeos de España. Sep. García de Orta, Sér. Est. Agron. 9(1-2): 143-146.
CALONGE, F.D.; M. DE LA TORRE y M. LAWRY NOWICZ (1 977): Contribución al estudio de los hongos hipogeos de España. Anales del Instituto Botanico A.J Cavanilles. 34 (1): 15 - 31.
CALONGE, F.D.; M. DE LA TORRE y M. LAWRYNOWICZ (1977): Contribución al estudio de los hongos hipogeos de España. Anales del Instituto Botánico A.J. Cavanilles. 34(1): 15-31.
CALONGE, F.D.; A. ROCABRUNA y M. TABAR ÉS (1 985a) : Nuevos datos sobre los hongos hipogeos de España. Bol. Soc. Mic. Castella na 9: 45-54.
CALONGE, F.D.; A. ROCABRUNA y M. TABARÉS (1985a): Nuevos datos sobre los hongos hipogeos de España. Bol. Soc. Mic. Castellana 9: 45-54.
CALONGE, F.D.; A. ROCABRUNA; M. TABAR É S y N.B. RODR Í GUEZ (19 85b): Nuevos datos sobre los hongos hipogeos de España 11. Géneros Balsamia, Delas tria y Genea Butll. Soc. Catalana Micol. 9: 57 -64.
CALONGE, F.D.; A. ROCABRUNA; M. TASARÉ. S y N.B. RODRÍGUEZ (1985b): Nuevos datos sobre los hongos hipogeos de España II. Géneros Balsamia, Delastria y Genea Butll. Soc. Catalana Micol. 9: 57-64.
CODINA, J. i P. FONT I QUER (19 31): Introducció a l' estudi dels macromicets de Catalunya. Cavanillesia 3: 10 0-1 89.
CODINA, J. i P. FONT I QUER (1931): Introducció a l'estudi dels macromicets de Catalunya. Cavanillesia 3: 100-189.
ERIKSSON, O.E. & D.L. HAW KSWORTH (19 88): Outline of the Ascomycetes. Sys tema Ascomycetum 7(2) : 11 9-3 15
ERIKSSON, O.E. & D.L. HAWKSWORTH (1988): Outline of the Ascomycetes. Systema Ascomycetum 7(2): 119-315.
MALENÇON, G. (19 38): Les truffes europé ennes Revue de Mycologie 3(1): 1- 92.
MALENçON, G. (1938): Les truffes européennes. Revue de Mycologie 3(1): 1-92.
MON TECCHI, A. & G. LAZZARI (1 984) : Invito alio studio dei funghi ipoge i. Boll. Grup. Micol. Bres. Trento 27 (3-4) : 10 0 -1 16 .
MONTECCHI, A. & G. LAllARI (1984): Invito allo studio dei funghi ipogei. Boll. Grup. Micol. Bres. Trento 27(3-4): 100-116.
ORlA DE RUEDA, J.A. (1 989) : Silvicultura y ordenación de montes productores de hongos micorrizógenos comestibles. Bol. Soc. Micol. Madrid. 13: 17 5- 18 8.
ORIA DE RUEDA, J.A. (1989): Silvicultura y ordenación de montes productores de hongos micorrizógenos comestibles. Bol. Soc. Micol. Madrid. 13: 175-188.
Bu tll. Soc. Catalana Micol. 14-15 67-76 Barcelona 1991

RUSSULACEAE, NOTES FLORÍSTIQUES
RUSSULACEAE, NOTES FLORÍSTIQUES
J. Llistosella
J. Llistosella
Dep. Biologia Vegetal (Botánica), Fac. Biologia, Universitat de Barcelona, a y. Diagonal 645, 08028 Barcelona.
Dep. Biologia Vegetal (Botàni ca), Fac. Biolo gia, Un iv ersitat de Barcelona , av. Diagonal 645 , 08028 Barcelo na.
RESUM
RESUM
Es presenten unes notes florís tiques referents a 41 espècies dels gèneres Russula i La ctarius, que considerem com a rares o noves citacions per a l'à rea geogràfica de Catalunya i les Illes Balears . Són de destacar les següentes: Russula aq uosa Lec l., R. azurea Bres ., R. clariana Heim ex Kuyp. & V. Uure, R. multicolor Blum ex Bon , R. norvegica Reid, R. prinophila Samari, R. rhodomargina ta Samari, R. thyrrh enica Samari, Lactarius fra xineus Romagn ., L. glutinopallens Moll. & Lge ., L. mu steus (Fr.) Fr ., L. pergamenu s Fr. i L. sphagn eti (Fr.) Ne uhoff.
Es presenten unes notes florístiques referents a 41 espécies dels géneres Russula i Lactarius, que considerem com a rares o noves citacions per a l'área geográfica de Catalunya i les Illes Balears. Són de destacar les següentes: Russula aquosa Lecl., R. azurea Bres., R. clariana Heim ex Kuyp. & V. Uure, R. multicolor Blum ex Bon, R. norvegica Reid, R. prinophila Sarnari, R. rhodomarginata Sarnari, R. thyrrhenica Sarnari, Lactarius fraxineus Romagn., L. glutinopallens Moll. & Lge., L. musteus (Fr.) Fr., L. pergamenus Fr. i L. sphagneti (Fr.) Neuhoff.
SUMMARY
SUMMARY
Floristic data on 41 species of Russula and Lactarius, considered as rare or found as first record in Catalonia and Balearics Islands area. Let us point out: Russula aquosa Lecl., R. azurea Bres., R. clariana Heim ex Kuyp. & V. Uure, R. multicolor Blum ex Bon, R. norvegica Reid, R. prinophila Sarnari, R. rhodomarginata Sarnari, R. thyrrhenica Sarnari, Lactarius fraxineus Romagn., L. glutinopallens Moll. & Lge., L. musteus (Fr.) Fr., L. pergamenus Fr., and L. sphagneti (Fr.) Neuhoff.
Floristic data on 41 species of Russula and Lactarius, considered as rare or found as first record in Catalonia and Balearics Islands area. Let us point out: Russula aq uosa Lec l., R. azurea Br es. , R. clariana Heim ex Kuyp. & V. Uure, R. mu lticolor Blum ex Bon, R. nor vegica R e i d , R. prinophila Samari, R. rhodomargina ta Samari, R. thyrrh enica Sam ari , Lactarius fraxineu s Romag n., L. glutinopallens Moll. & Lg e., L. mu steus (Fr.) Fr ., L. perga menus Fr ., and L. sphagn eti (Fr.) Neuh off.
INTRODUCCIÓ
INTRODUCCIÓ
Dins dels estudis que estem duent a terme sobre la família de les Russulácies de Catalunya (inclós el principat d'Andorra) i les Illes Balears, presentem aquestes notes florístiques referents a algunes espécies dels géneres Russula i Lactarius, les quals, segons la bibliografia que hem pogut consultar, es poden considerar com a rares o noves citacions per a l'área d'estudi.
Din s d e l s es t udis qu e e s t e m du e n t a terme sobre la família de les Russulàcies de Cata l unya {inclòs el principat d' And orra) i les Illes Balear s, presentem aquestes notes floríst iques referents a algunes espècies dels gèneres Russula i Lactarius, les quals , segons la bi bliografia que hem pogut consultar, es poden considerar com a rares o noves citacions per a l' àrea d'e studi
Per a cadascuna de les 41 espécies presentades donem la relació de localitats on han estat tro-
Per a cadascuna de les 41 espècies presentades donem la relació de localitats on han estat tro-

Butll. Soc. Catalana Micol. 14-15 67-76 Barcelona 1991
68 Bu tll. Soc. Catalana Micol. 14-15 67-76 Barcelona 1991
bades, indicant el topónim complet, la quadrícula UTM, Falcada, l'ecologia, la data, el recol-lector i la referéncia del plec de l'Herbari (BCC) del Departament de Biologia Vegetal de la Universitat de Barcelona, on estan dipositades les mostres. La majoria de les espécies han estat recol-lectades durant l'estiu o la tardor, peró volem destacar que, malgrat que aquests géneres no estan considerats entre els de fructificació vernal, un nombre significatiu de les reco•eccions han estat fetes a la primavera, durant els mesos de maig i juny, a la muntanya baixa i en ambients de vegetació mediterránia.
En algunes de les espécies fem una revisió crítica de les possibles citacions que coneixem quan és el cas, esmentem si ja les hem citades en diferents congressos o reunions científiques, dels quals donem també la referéncia a la bibliografia.
bades, indica nt el topònim compl et, la qu adrícula UTM , l' alçada, l' ecologia, la data , el rec ol· lector i la referència del plec de l'Her bari (B CC) del Departament de Biologia Vegetal de la Universitat de Barcelona, on estan dipositades les mo stres. La majoria de les espècies han esta t rec ol· lectades durant l' estiu o la tardor, però volem destacar que, mal grat que aque sts gèneres no estan consider ats entre els de fructificació vernal , un nombre significatiu de les rec ol· le ccions han estat fetes a la primavera, durant els mesos de maig i ju ny, a la muntanya baixa i en ambients de vegetació mediterrània . En algunes de les espècies fem una revisió crítica de les possibles citacions que coneixem i, quan és el cas, esmentem si ja les hem citades en diferents congressos o reuni ons cientí f iques, dels qual s donem també la referència a la bi bliografia.
CA T ÀLEG FLORÍSTIC
CATÁLEG FLORÍSTIC
Russula amoenolens Romagn
Russula amoenolens Romagn.
A Catalunya coneixem només la citació de BERTAULT (1982), d'Olzinelles (St. Celoni).
A coneixem només la citació de BERTAUL T (19 82), d' Olzinelles (St. Celoni)
Can Rabassers de Baix, Cadaqués (Alt Empo rdà) , GIRONA, 31 TEG28 50- 150 m, Pin us pin ea, P. halepensis i Juniperus ma crocarpa; 14 j Xj19 84, leg. J. Girbal et al. (BCC JL 392)
Can Rabassers de Baix, Cadaqués (Alt Empordá), GIRONA, 31TEG28. 50-150 m, Pinus pinea, P. halepensis i Juniperus macrocarpa; 14/X/1984, leg. J. Girbal et al. (BCC JL392).
Font del Mal Pas, Dosrius (Maresme), BARCELONA. 31TDG50. 400-500 m, Quercus ilex i Pinus pinea; 16/IX/1984, leg. J. Llistosella (BCC JL294).
Can Rabasses, Vallromanes (Vallés Oriental), BARCELONA. 31TDF49. 150-200 m, Pinus pinea i Quercus ilex; 15/XI/1987, leg. J. Nolla (BCC JL1216).
Font del Mal Pas, Dosrius (Maresme), BARCEL ONA. 31 TD G50. 400-500 m, Quercus ilex i Pin us pinea; 16 jIXj 19 84, leg. J. Llistosella (BCC JL2 94) . Can Rabasse s, Vallromanes (Vallès Orient al) , BARCELONA. 31 TDF49. 15 0-200 m, Pin us pinea i Quercus ilex; 15 jXIj 19 87, leg. J. Nolla (BCC JL1216).
Russula anthracina Romagn.
Russula anthracina Romagn.
Bosc de Pruedo, Vall d' Aiguamoix, Salardú (Vall d' Aran) , LLEIDA. 31 TCH22. 15 00- 17 00 m, Corylus avellana; 8jIXj 19 85, leg. J. Llistosella (BCC JL 550)
Bosc de Pruedo, Vall d'Aiguamoix, Salardú (Vall d'Aran), LLEIDA. 31TCH22. 1500-1700 m, Corylus avellana; 8/IX/1985, leg. J. Llistosella (BCC JL550).
Font de la Budellera, Vallvidrera, Barcelona (B arcelonès) , BARCEL ONA. 31 TDF28 250-350 m, Quercus i/ex i Pin us pinea; 9jI Xj19 84, leg. M. Aguasca (BCC JL252)
Font de la Budellera, Vallvidrera, Barcelona (Barcelonés), BARCELONA. 31TDF28. 250-350 m, Quercus ilex i Pinus pinea; 9/IX/1984, leg. M. Aguasca (BCC JL252).
Russula aquosa Lecl.
Russula aquosa Lecl.
Llorts, Ordino, ANDORRA. 31 TC H71. 15 00 m, Pin us mugo ssp uncínata Betula pendula; 20j Xj19 87, leg. J. Llistosella (BCC JLI0 93).
Llorts, Ordino, ANDORRA. 31TCH71. 1500 m, Pinus mugo ssp. uncinata i Betula pendula; 20/X/1987, leg. J. Llistosella (BCC JL1093).
Russula atrorubens Quél.
Russula atrorubens Quél.
El caràcter higròfil d'a questa espècie ens fa considerar com a dubtosa la citació de Vallvidrera d'AR ANZADI (19 05) , recollida també per CODINA i FONT i QUER (19 30) ; creiem que potser pot correspondre a Russula fragilís (Pers .: Fr.) Fr ., molt semblant macroscòpicament , comú a la muntanya baixa i mitj ana i no citada en el treball d'A RANZA DI.
El carácter higrófil d'aquesta espécie ens fa considerar com a dubtosa la citació de Vallvidrera d'ARANZADI (1905), recollida també per CODINA i FONT i QUER (1930); creiem que potser pot correspondre a Russula fragilis (Pers.: Fr.) Fr., molt semblant macroscópicament, comú a la muntanya baixa i mitjana i no citada en el treball d'ARANZADI.
Llorts, Ordino, ANDORRA. 31TCH71. 1500 m, Pinus mugo ssp. uncinata i Betula pendula; 20/X/1987, leg. J. Llistosella et al. (BCC JL1089).
Llorts, Ordino, ANDORRA. 31 TC H71 15 00 m, Pin us mugo ssp. uncínata i Betula pendula; 20j Xj19 87, leg. J. Llistosella et al. (BCC JLI0 89)
Russula azurea Bres.
Russula azurea Bres.
El Pla, Arbúcies (Selva), GIRONA. 31 TDG 63. 800-850 m, Pin us pinaster, Quercus ilex i Q. su ber, 12 jVIj 19 88, leg. A. Rocabruna (BCC JL1 280)
El Pla, Arbúcies (Selva), GIRONA. 31TDG63. 800-850 m, Pinus pinaster, Quercus ilex i Q. suben 12/VI/1988, leg. A. Rocabruna (BCC JL1280).
Russula cavipes Britz.
Russula cavipes Britz.
Coneixem la citació de R. fallaxd e SINGER (1947) a la Vall d' Aran que, si bé molt imprecisa, correspon sens dubte a aquesta espèc ie. MAIRE (19 37) confon probablement dues espècies sota el nom de Russula viola cea, i es possible que la citació de la Collada de Tosse s, sota Abies alba, pugui correspondre a aquesta espèc ie.
Coneixem la citació de R. fallax de SINGER (1947) a la Vall d'Aran que, si bé molt imprecisa, correspon sens dubte a aquesta espécie. MAIRE (1937) confon probablement dues espécies sota el nom de Russula violacea, i es possible que la citació de la Collada de Tosses, sota Abies alba, pugui correspondre a aquesta espécie.
Baga de Campelles, (Ripollès ), GIRONA. 31 TDG36. 14 00- 1 600 m, Abies alba, Pin us sylvestris i Pin us mugo ssp. uncínata; 29j Xj 19 85, leg. J. Llistosella et al. (BCC JL 639)
Baga de Campelles, Campelles (Ripollés), GIRONA. 31TDG36. 1400-1600 m, Abies alba, Pinus syl vestris i Pinus mugo ssp. uncinata; 29/X/1985, leg. J. Llistosella et al. (BCC JL639).
Russula clariana Heim ex Kuyp & V. Uure
Russula clariana Heim ex Kuyp. & V. Uure
El Pla del Bosc, Vimbodí (Conca de Barberà) , TARRAGO NA. 31 TCF3 7. 10 50-1 10 0 m, Quercus pyrenaica, Cís tus la urífolíus i Pin us sylvestris; 20jXj 1990, leg. J. Llistosella (BCC JL 13 92)
El Pla del Bosc, Vimbodí (Conca de Barberá), TARRAGONA. 31TCF37. 1050-1100 m, Quercus pyrenaica, Cistus laurifolius i Pinus sylvestris; 20/X/1990, leg. J. Llistosella (BCC JL1392).

Butll. Soc. Catalana Micol. 14-15 67-76 Barcelona 19 91 69
Can Massó, Arbúcies (Selva), GIRONA. 31TDG63. 600-700 m, Quercus suber, Cistus salvifolius i C. monspeliensis; 2/XI/1987, leg. E. Grácia et al. (BCC JL1123).
Can Massó, Arbúcies (Selva), GIRONA. 31 TDG63 600-700 m, Quercus su ber, Cis tus sal vifolius i C. monspeliensis; 2/X I/ 19 87, leg. E. Gràcia et al. (BCC JL1 12 3).
Russula globispora (B1 um) Bon El Barranc, Vim bodí (Conca de Barberà), TARRAGONA 31 TCF38. 500-600 m, Quercus ilex i Pin us ha lepensis; 4/X/ 19 86, leg. J. M. Mestres (BCC JL8 15 ).
Russula globispora (Blum) Bon El Barranc, Vimbodí (Conca de Barberá), TARRAGONA. 31TCF38. 500-600 m, Quercus ilex i Pinus halepensis; 4/X/1986, leg. J. M. Mestres (BCC JL815).
Russula gracillima Schaeff.
Russula gracillima Schaeff.
Riera de la Coma, Ordino, ANDORRA. 31 TCH8 1. 16 00 m, Betula pendula i Pin us mugo ssp. un cinata; 20/ X/1987, leg. J. Llistosella (BCC JL10 83).
Riera de la Coma, Ordino, ANDORRA. 31TCH81. 1600 m, Betula pendula i Pinus mugo ssp. uncinata; 20/X/1987, leg. J. Llistosella (BCC JL1083).
Llorts, Ordino, ANDORRA. 31TCH71. 1500 m, Betula pendula i Pinus mugo ssp. uncinata; 20/X/1987, leg. J. Llistosella et al. (BCC JL1087).
Llorts, Ordino, AND ORRA 31 TCH7 1. 15 00 m, Betula pendula i Pin us mugo ssp. un cina ta; 20/ X/ 1987, leg. J. Llistosella et al. (BCC JL10 87).
Artiga de Lin, Les Bordes (Valí d'Aran), LLEIDA. 31TCH12. 1200-1300 m, Betula pendula; 23/IX/1984, leg. J. Llistosella (BCC JL312).
Artiga de Un, Les Bordes (Vall d'A ran) , LLEI DA. 31T CH 12. 12 00- 13 00 m, Betula pendula; 23/I X/19 84, leg. J. Llistosella (BCC JL 3 12).
Russula melliolens Quél.
Russula melliolens Quél.
Sta. Fe del Montseny, Fogars de Monclús (Vallés Oriental), BARCELONA. 31TDG52. 1100-1200 m, Fagus sylvatica: 10/VII/1987, leg. A. Rocabruna (BCC JL993); 26/VII/1987, leg. A. Rocabruna (BCC JL1016); 8/VIII/1987, leg. A. Rocabruna (BCC JL1023 i JL1024).
Sta . Fe del Montseny , Fogars de Monclús (Vallès Orienta l) , BARCEL ONA. 31 TDG5 2. 11 0 0- 1 200 m, Fagus sylvatica: 10 /VII /1 98 7, leg. A. Rocabruna (BCC JL 993); 26/VI I/ 1987, leg. A. Rocabrun a (BCC JL1016 ); 8/ VIII/ 1987, leg. A. Rocabruna (BeC JL10 23 i JL10 24)
Fontmartina, Fogars de Monc lús (Vallès Orient al), BARCEL ONA. 31 TD G52. 900· 11 00 m, Quercus ilex; 30/V I/1 990, leg. A. Rocabruna (BCC JL1406).
Fontmartina, Fogars de Monclús (Vallés Oriental), BARCELONA. 31TDG52. 900-1100 m, Quercus ilex; 30/VI/1990, leg. A. Rocabruna (BCC JL1406).
Can Clarenys, Vallgorguina (Vallés Oriental), BARCELONA. 31TDG51. 300-400 m, Quercus ilex; 25/V/1988, leg. E. Escutia (BCC JL1266).
Can Clarenys, Vallgorguina (Vallès Orient al), BARCEL ONA. 31 TDG5 1. 300-400 m, Quercus ilex; 25/V /19 88, leg. E. Escutia (BCC JL1 266)
Plans del Vernet, St. Hilari Sacalm (Selva) , GIRONA. 31 TDG63 800-900 m, Quercus ilex; 4/X I/ 1987, leg. J. Llistosella (BCC JL 11 5 9)
Plans del Vernet, St. Hilari Sacalm (Selva), GIRONA. 31TDG63. 800-900 m, Quercus ilex; 4/XI/1987, leg. J. Llistosella (BCC JL1159).
Russula minutula Vél.
Russula minutula Vél.
Presentada com a nova durant el VII Congreso Nac. Bot. Criptogámica de Madrid (LLISTOSELLA, 1987).
Presentada com a nova durant el VII Congreso Nac. Bot. Criptogamica de Madrid (LLISTOSELLA, 19 87).
Torrent de Nevà, Tosses (Ripollè s). 31 TDG28 11 00 -115 0 m, Quercus sp. i Betula pendula; 25/VI II/19 85, leg. J. Llistosella (BCC JL5 13 ).
Torrent de Nevá, Tosses (Ripollés). 31TDG28. 1100-1150 m, Quercus sp. i Betula pendula; 25/VIII/1985, leg. J. Llistosella (BCC JL513).
Russula monspeliensis Samari
Russula monspeliensis Sarnari
Presentada com a nova durant la V Reunión Conj unta de Micología, a Barcelona (LLISTOSELLA, 19 90)
Presentada com a nova durant la V Reunión Conjunta de Micología, a Barcelona (LLISTOSELLA, 1990)
Santa Bárbara, Ciutadella (Menorca), ILLES BALEARS. 31TEE82. 60-1200 m, Cistus monspeliensis i Pinus halepensis; 15/XI/1985, leg. J. Llistosella (BCC JL673).
Santa Bàrbara, Ciutadella (M enorca) , IL LES BALEARS. 31 TEE82. 60- 1 200 m, Cistus monspeliensis i Pin us ha lepensis; 15 /XI/ 19 85, leg. J. Llistosella (BeC JL673).
Russula multicolor Blum ex Bon
Russula multicolor Blum ex Bon
El Pla del Bosc, Vimbodí (Conca de Barberá), TARRAGONA. 31TCF37. 1050-1100 m, Quercus pyrenaica i Pinus sylvestris; 28/X/1989, leg. J. Llistosella (BCC JL1375).
El Pla del Bosc, Vimbodí (Conca de Barberà ), TARRAGONA. 31 TCF3 7. 10 50-1 10 0 m, Quercus pyrenaica i Pin us sylvestris; 28/X/ 19 89, leg. J. Llistosella (BCC JL1 37 5) .
Russula norvegica Reid
Russula norvegica Reid
Coma Ermada, Puigpedrós, Mer anges (Cerdanya), GIRONA. 31 TCH90 . 270 0-2800 m, prats alpins; 2/VII I/19 87, leg. X. Baulies (BCC JL 1019 ).
Coma Ermada, Puigpedrós, Meranges (Cerdanya), GIRONA. 31TCH90. 2700-2800 m, prats alpins; 2/VIII/1987, leg. X. Baulies (BCC JL1019).
Russula nuragica Samari
Russula nuragica Sarnari
Presentada de forma simultània com a nova per a les illes Balears (LLISTOSELLA, 19 90) i per a Catalunya (MORENO et al. 19 90) durant la V Reunión Conj unta de Micología, a Barcelona. Verger de Sant Joan, Maó (M enorca) , IL LES BALEARS. 31 SFE 01. 10 -40 m, Quercus ilex; 26/X I/19 82, leg. J. Llistosella (BCC JL 58)
Presentada de forma simultánia com a nova per a les illes Balears (LLISTOSELLA, 1990) i per a Catalunya (MORENO et al. 1990) durant la V Reunión Conjunta de Micología, a Barcelona. Verger de Sant Joan, Maó (Menorca), ILLES BALEARS. 31SFE01. 10-40 m, Quercus ilex; 26/XI/1982, leg. J. Llistosella (BCC JL58).
Russula odorata Romagn.
Russula odorata Romagn.
Vall de Torrentbó, El Port de la Selva (Alt Empordá), GIRONA. 31TEG18. 50-100 m, Pinus pinea; 12/X/1984, leg. J. Llistosella et al. (BCC JL374).
Vall de Torrent bó, El Port de la Selva (Alt Empordà), GIRONA. 31 TEG 18. 50- 10 0 m, Pinu s pinea; 12 /X/ 19 84, leg. J. Llistosella et al. (BCC JL374).
Can Rabassers de Baix, Cadaqués (Alt Empordá), GIRONA. 31TEG28. 50-150 m, Pinus pinea, P. halepensis i Juniperus macrocarpa; 14/X/1984, leg. J. Girbal et al. (BCC JL376).
Can Rabassers de Baix, Cadaqués (Alt Empord à), GIRONA. 31 TEG28 50- 15 0 m, Pin us pinea, P. halepensis i Juniperus ma crocarpa; 14/ X/19 84, leg. J. Girbal et al. (BCC JL376).
Coll de Perafita, Roses (Alt Empordá), GIRONA. 31TEG18. 250-300 m, Quercus suber, 14/V/1988, leg. X. Llimona (BCC JL1238).
Coll de Perafita, Roses (Alt Empordà), GIRONA. 31 TEG 18. 250-300 m, Quercus su ber, 14 jV /19 88, leg. X. Llimona (BCC JL12 38).
Collsacre u, Vallgorguina (Vallès Orient al), BARCELO NA. 31 TDG6 1. 250-350 m, Quercus ilex i Pin us pinea; 28/I X/19 86, leg. A. Rocabruna (BCC JL766).
Collsacreu, Vallgorguina (Vallés Oriental), BARCELONA. 31TDG61. 250-350 m, Quercus ilex i Pinus pinea; 28/IX/1986, leg. A. Rocabruna (BCC JL766).

Butll. Soc. Catalana Micol. 14-15 67-76 Barcelona 1991
Butll. Soc. Catalana Micol. 14-15 67-76 Barcelona 19 91
Font de la Budellera, Vallvidrera, Barcelona (Barcelonè s), BARCEL ONA. 31 TDF28 . 250-350 m, Quercus ilex i Pin us pinea; 9/IX/1 984, leg. M. Aguasca (BCC JL25 0)
Font de la Budellera, Vallvidrera, Barcelona (Barcelonés), BARCELONA. 31TDF28. 250-350 m, Quercus ilex i Pinus pinea; 9/IX/1984, leg. M. Aguasca (BCC JL250).
Russula prinophila Sarnari
Russula prinophila Sarnari
Font de la Reina, Bunyola (M allorca), IL LES BALEARS. 31S DD79. 500-550 m, Quercus ilex; 19 /XI/ 19 84, leg. J. L. Siquier (BCC JL448).
Font de la Reina, Bunyola (Mallorca), ILLES BALEARS. 31SDD79. 500-550 m, Quercus ilex; 19/XI/1984, leg. J. L. Siquier (BCC JL448).
Russula rhodomarginata Sarnari
Russula rhodomarginata Sarnari
Can Collet, Llinars del Vallés (Vallés Oriental), BARCELONA. 31TDG40. 250-350 m, Quercus ilex i Cistus monspeliensis; 1/VII/1990, leg. A. Rocabruna (BCC JL1386).
Can Collet, Llinars del Vallès (Vallès Orien ta!), BARCELO NA. 31 TDG40. 250-350 m, Quercus ilex i Cis tus monspeliensis; 1/ VII/ 19 90, leg. A. Rocabruna (BCC JL13 86).
Russula rubroalba (Sing.) Romagn.
Russula rubroalba (Si ng.) Romagn.
En la seva recopilació de les rússules de Cat alunya, SINGER (19 82) cita aquesta espècie (i la sinonimitza amb R. alutacea ssp. romellii Sing.) sense fer menció de la localitat on fou recol· lectada. Hem fet una revisió acurada de la bibliografia d'aq uest i altres autors, i no hem trobat cap referència d' aquesta citació a Cata lunya .
En la seva recopilació de les rússules de Catalunya, SINGER (1982) cita aquesta espécie (i la sinonimitza amb R. alutacea ssp. romelliiSing.) sense fer menció de la localitat on fou recol•lectada. Hem fet una revisió acurada de la bibliografia d'aquest i altres autors, i no hem trobat cap referéncia d'aquesta citació a Catalunya.
Les Planes, Vimbodí (Conca de Barberá), TARRAGONA. 31TCF38. 500-600 m, Quercus ilex i Q. faginea; 28/V/1988, leg. J. Llistosella (BCC JL1248).
Les Plan es, Vimbodí (Conca de Barber à), TARRAGO NA. 31 TCF38 500-600 m, Quercus ilex i Q. faginea; 28/V /19 88, leg. J. Llistosella (BCC JL 1 248)
Can Bosc, Corredor, Dosrius (Maresme), BARCELONA. 31TDG50. 400-500 m, Quercus ilex; 29/V/1988, leg. A. Rocabruna (BCC JL1261, JL1262, JL1263 i JL1264).
Can Bosc, Corredor, Dosrius (Ma resme) , BARCELONA. 31 TDG50. 400-500 m, Quercus ilex; 29/V /1 9 88, leg. A. Rocabruna (BCC JL 1261, JL1 262, JL1 263 i JL1 264)
St. Martí del Montnegre, St. Celoni (Vallés Oriental), BARCELONA. 31TDG61. 400-600 m, Quercus ilex i Castanea sativa; 1/VI/1988, leg. L. Pineda et al. (BCC JL1272).
St. Martí del Montnegre, St. Celoni (Vallès Orient a!) , BARCEL ONA. 31 TDG6 1. 400-600 m, Quercus ilex i Castanea sativa; 1/ VI /19 88, leg. L. Pineda et al. (BCC JL127 2).
Fontmartina, Fogars de Monclús (Vallés Oriental), BARCELONA. 31TDG52. 900-1100 m, Quercus ilex; 29/VI/1985, leg. A. Rocabruna (BCC JL502).
Fontmartina , Fogars de Monc!ús (Vallès Orienta l), BARCELONA. 31 TDG5 2. 900-1 10 0 m, Quercus ilex; 29/V I/ 19 85, leg. A. Rocabruna (BCC JL 50 2) .
Russula rutila Romagn.
Russula rutila Romagn.
St. Martí del Montnegre, St. Celoni (Vallés Oriental), BARCELONA. 31TDG61. 400-600 m, Quercus ilex; 3/XI/1985, leg. V. Canalís (BCC JL648).
St Ma rtí del Montnegre , St. Celoni (Vallès Orienta !), BARCEL ONA. 31 TDG6 1. 400-600 m, Quercus ilex; 3/X I/19 85, leg. V. Canalís (BCC JL 64 8).
Russula subazurea Bon
Russula subazurea Bon
Presentada com a nova durant el 4th International Mycological Congress a Regensburg (LL ISTOSELLA, 19 90) i pocs mesos després per MORENO et al. (1990) durant la V Reunión Conjunta de Micología, a Barcelo na.
Presentada com a nova durant el 4th International Mycological Congress a Regensburg (LLISTOSELLA, 1990) i pocs mesos després per MORENO et al. (1990) durant la V Reunión Conjunta de Micología, a Barcelona.
Camí a Joanet, Arbúcies (Selva), GIRONA. 31TDG63. 500-600 m, Quercus suber i Cistus salvifolius; 6/XI/1987, leg. J. Llistosella (BCC JL1202).
Turó de Casalots, Llagostera (Selva), GIRONA. 31TDG92. 250 m, Quercus suber, Q. ilex i Cistus salvifolius; 21/X/1988, leg. J. Llistosella (BCC JL1297).
Camí a Joanet, Arbúcies (Selva) , GIRONA. 31 TDG63. 500-600 m, Quercus suber i Cistus salvifolius; 6/X I/ 19 87, leg. J. Llistosella (BCC JL12 02) . Turó de Casalots , Llagostera (Selva), GIRONA. 31 TDG92 . 250 m, Quercus suber, Q. ilex i Cis tus salvifoli us; 21/ X/19 88, leg. J. Llistosella (BCC JL12 97).
Russula thyrrhenica Sarnari
Russula thyrrhenica Sarnari
Presentada com a nova durant la V Reunión Conjunta de Micología, a Barcelona (LLISTOSELLA, 1990) La Vall, Ciutadella (Menorca), ILLES BALEARS. 31TEE83. 20-70 m, Cistus monspeliensis; 16/XI/1985, leg. J. Llistosella (BCC JL683).
Presentada com a nova durant la V Reuni ón Conj unta de Mi cología, a Barcelona (LL ISTOSELLA, 19 90) La Vall, Ciutadella (M enorca) , IL LES BA LEARS 31 TEE83 20-70 m, Cis tus monspeliensjs; 16 /X I/19 85, leg. J. Llistosella (BCC JL683).
Russula violeipes Quél.
Russula violeipes Quél.
Presentada com a nova durant el VII Congreso Nac. Bot. Criptogamica de Madrid (LLISTOSELLA, 19 87), ha estat citada posteriorment de Catalunya (ROCABRUNA et al ., 19 88) i de Me norca (LLI STOSELLA et al ., 19 90)
Presentada com a nova durant el VII Congreso Nac. Bot. Criptogámica de Madrid (LLISTOSELLA, 1987), ha estat citada posteriorment de Catalunya (ROCABRUNA et al., 1988) i de Menorca (LLISTOSELLA et al., 1990).
Font del Mal Pas, Dosrius (Ma resm e), BARCEL ONA. 31 TDG50. 400-500 m, Quercus ilex; 11 /I X/19 83, leg. J. Llistosella (BCC JL 10 1); 16 /IX/ 19 84, leg. J. Llistosella (BCC JL279).
Font del Mal Pas, Dosrius (Maresme), BARCELONA. 31TDG50. 400-500 m, Quercus ilex; 11/IX/1983, leg. J. Llistosella (BCC JL101); 16/IX/1984, leg. J. Llistosella (BCC JL279).
La Cornisa, St. Andreu de Llavaneres (Maresme), BARCELONA. 31TDG50. 300-400 m, Quercus ilex i Q. suber, 11/IX/1983, leg. J. Llistosella (BCC JL102).
Rectoria d'Olzinelles, St. Celoni (Vallés Oriental), BARCELONA. 31TDG51. 200-300 m, Quercus ilex; 24/X/1985, leg. A. Rocabruna (BCC JL615).
La Cornisa, St. Andreu de Llavaneres (Maresme), BARCEL ONA. 31 TDG50. 300-400 m, Quercus jlex i Q. suber, 11 /I X/19 83, leg. J. Llistosella (BCC JL10 2) . Rectoria d' Olzine lles, St. Celoni (Vallès Oriental), BARCELONA. 31 TDG5 1. 200-300 m, Quercus jlex; 24/X /19 85, leg. A. Rocabruna (BCC JL 615 ).
Vallvidrera, Barcelona (Barcelonés), BARCELONA. 31TDF28. 300-400 m, Quercus ilex i Pinus pinea; 26/X/1986, leg. M. Aguasca (BCC JL868).
Vallvidrera, Barcelona (Barcelon ès), BARCELO NA. 31 TDF28. 300-400 m, Quercus ilex i Pin us pinea; 26/ X/19 86, leg. M. Aguasca (BCC JL86 8).
Lactarius bertillonii (Neuh. ex. Z. Sch.) Bon var. queletii Blum
Lactarius bertillonii (Neuh. ex. Z. Sch .) Bon var. queletii Blum
Presentada com a nova per a Catalunya durant el VI Congreso Nac. Bot. Criptogámica de Granada (LLISTOSELLA, 1985), ha estat citada posteriorment per CARRASCOSA et al. (1990).
Presentada com a nova per a Catalunya durant el VI Congreso Nac. Bot. Criptogamica de Granada (LLISTOSELLA, 19 85), ha estat citada posteriorment per CAR RASCOSA et al. (19 90)

Bu tll. Soc. Ca talana Micol. 14-15 67-76 Barcelona 19 91 71
St. Feliu del Riu, Montagut de Fluvià (Garrotxa) , GIRONA. 31 TDG68. 550-600 m, Castanea sativa; 22/V II/ 19 84, leg. J. L1istosella (BCC JL226)
St. Feliu del Riu, Montagut de Fluviá (Garrotxa), GIRONA. 31TDG68. 550-600 m, Castanea sativa; 22/VII/1984, leg. J. Llistosella (BCC JL226).
Torrent de Nevà, Toses (Ripollè s), GIRONA. 31 TDG 28. 11 00 -1 15 0 m, Betula pendula i Quercus sp .; 25/VI II/ 19 85, leg. J. L1istosella (BCC JL504) .
Torrent de Nevá, Toses (Ripollés), GIRONA. 31TDG28. 1100-1150 m, Betula pendula i Quercus sp.; 25/VIII/1985, leg. J. Llistosella (BCC JL504).
Sta . Fe del Mo nts eny, Fogars de Monc lús (Vallès Oriental), BARCEL ONA. 31 TDG 52. 11 00- 1 200 m, Fagus syl vatica; 12/ VII /19 87, leg. A. Rocabruna (BCC JL9 87).
Sta. Fe del Montseny, Fogars de Monclús (Vallés Oriental), BARCELONA. 31TDG52. 1100-1200 m, Fagus sylvatica; 12/VII/1987, leg. A. Rocabruna (BCC JL987).
Lactarius circellatus Fr.
Lactarius circellatus Fr.
Guixera de Salvone ra, Maià de Montcal (Garrotxa), GIRONA. 31 TD G77. 250-350 m, Quercus ilex i Q. pu bescens; 16 /XI I/19 89, leg. M. Aguasca (BCC JL1 360)
Guixera de Salvonera, Maiá de Montcal (Garrotxa), GIRONA. 31TDG77. 250-350 m, Quercus ilex i Q. pubescens; 16/XII/1989, leg. M. Aguasca (BCC JL1360).
La Devesa, i Pruit (Oson a), BARCELO NA. 31 TDG55. 10 00 m, Fagus sylvatica; 15 /IX/ 19 90, leg. A. Rocabru na (BCC JL14 23).
La Devesa, Rupit i Pruit (Osona), BARCELONA. 31TDG55. 1000 m, Fagus sylvatica; 15/IX/1990, leg. A. Rocabruna (BCC JL1423).
El Pla de la Selva, À reu, Alins (Pallars Sobir à), LLEIDA. 31 TCH6 1. 12 00- 1 400 m, Betula pendula; 20/VII I/19 87, leg. M. Tabarés (BCC JL1061).
El Pla de la Selva, Areu, Alins (Pallars Sobirá), LLEIDA. 31TCH61. 1200-1400 m, Betula pendula; 20/VIII/1987, leg. M. Tabarés (BCC JL1061).
Can Segarra , Anglès (Selva) , GIRONA. 31 TDG 74. 10 0-300 m, Corylus a vellana; 6 / XI / 19 88 , leg. J. Canal (BCC JL 12 98).
Can Segarra, Anglés (Selva), GIRONA. 31TDG74. 100-300 m, Corylus avellana; 6/XI/1988, leg. J. Canal (BCC JL1298).
Lactarius cistophilus Bon & Trimb.
Lactarius cistophilus Bon & Trimb.
Presentada com a nova per a Catalunya durant el VI Congreso Nac. Bot. Criptogámica de Granada (LLISTOSELLA, 1985), ha estat citada per nosaltres de Menorca (LLISTOSELLA et al., 1990) i iconografiada posteriormente dins la collecció Bolets de Catalunya (VIDAL, 1990).
Coll de Perafita, Roses (Alt Empordá), GIRONA. 31TEG18. 250-300 m, Cistus monspeliensis; 1/X1/1984, leg. X. Llimona (BCC JL424).
Presentada com a nova per a Catalunya durant el VI Congreso Nac . Bot. Criptogamica de Granada (LL ISTOSELLA, 1985), ha estat citada per nosaltres de Men orca (LLIS TOSELLA et al ., 19 90) i iconografiada posteriormente dins la col · lecció Bolets de Catalunya (VIDAL, 19 90) . Coll de Perafi ta, Roses (Alt Empordà), GIRONA. 31 TE G18. 250-300 m, Cistus monspeliensis; 1/ XI/ 19 84, leg. X. Llimona (BCC JL424) .
Hermita de Sta. Cristina, Lloret de Mar (Selva) , GIRONA. 31 TDG8 1. O-50 m, Quercus ilex, Pin us pinea i Cis tus salvi/oli us; 11/ 1/19 86, leg. E. Gomar et al. (BCC JL7 17 ).
Hermita de Sta. Cristina, Lloret de Mar (Selva), GIRONA. 31TDG81. 0-50 m, Quercus ilex, Pinus pinea i Cistus salvifolius; 11/1/1986, leg. E. Gomar et al. (BCC JL717).
Hostal Cal Coix, Maçanet de la Selva (Selva) , GIRONA. 31 TDG 72. 15 0-200 m, Quercus ilex, Q. su ber, Cis tus monspeliensis i Pin us pinea; 13/1/ 19 90, leg. M. Tabarés i A. Rocabruna (BCC JL137 0).
Hostal Cal Coix, Macanet de la Selva (Selva), GIRONA. 31TDG72. 150-200 m, Quercus ilex, Q. suber, Cistus monspeliensis i Pinus pinea; 13/1/1990, leg. M. Tabarés i A. Rocabruna (BCC JL1370).
Mas Carbó, St. Hilari Sacalm (Selva) , GIRONA. 31 TDG 53. 10 00-1 10 0 m, Cis tus salvi/olius; 5/X I/ 19 87, leg. A. Rocabruna (BCC JL 11 76).
Mas Carbó, St. Hilari Sacalm (Selva), GIRONA. 31TDG53. 1000-1100 m, Cistus salvifolíus; 5/XI/1987, leg. A. Rocabruna (BCC JL1176).
Rodalies d' Hostalric (Selva) , GIRONA. 31 TD G71. 50-250 m, Quercus ilex, Cis tus sal vi/olius i C. monspeliensis; 9/X I/19 86, leg. J. L1istosella (BCC JL 89 2).
Rodalies d'Hostalric (Selva), GIRONA. 31TDG71. 50-250 m, Quercus ilex, Cistus salvifolius i C. monspeliensis; 9/XI/1986, leg. J. Llistosella (BCC JL892).
Lactarius curtus Brit z.
Lactarius curtus Britz.
Presentada com a nova per a Catalunya durant el VI Congreso Nac Bot Criptogamica de Granada (LL ISTOSELLA, 19 85), ha estat iconografiada posteriorment dins la col· lecció Bolets de Catalunya (TABARES, 19 90)
Presentada com a nova per a Catalunya durant el VI Congreso Nac. Bot. Criptogámica de Granada (LLISTOSELLA, 1985), ha estat iconografiada posteriorment dins la collecció Bolets de Catalunya (TABARES, 1990).
La Salut, St. Feliu de Pallerols (Garrotxa), GIRONA. 31 5TDG5 5. 10 00- 10 50 m, Betula pendula, Pin us sylvetris i Fagus syl vatica; 26/X/ 19 84, leg. J. Girbal (B CC JL 414 i JL 415 ); 30/I X/19 86, leg. J. Girbal et al. (BCC JL 771) ; 13 /IX/ 19 89, leg. M. Tabarés (BCC JL13 27).
La Salut, St. Feliu de Pallerols (Garrotxa), GIRONA. 315TDG55. 1000-1050 m, Betula pendula, Pinus sylvetris i Fagus sylvatica; 26/X/1984, leg. J. Girbal (BCC JL414 i JL415); 30/IX/1986, leg. J. Girbal et al. (BCC JL771); 13/IX/1989, leg. M. Tabarés (BCC JL1327).
Funicular de la Vall de Rencul es, Arties (Vall d' Aran) , LLEIDA. 31T CH22. 18 50- 1 950 m, Pin us muga ssp. uncina ta; 9/IX/ 19 85, leg. E. Descals et al. (BCC JL57 7).
Funicular de la Vall de Rencules, Arties (Vali d'Aran), LLEIDA. 31TCH22. 1850-1950 m, Pinus mugo ssp. uncinata; 9/IX/1985, leg. E. Descals et al. (BCC JL577).
Lactarius deterrimus Gróger
Lactarius deterrimus Groger
La Farga de Bebiè, Les Lloses (Ripollès), GIRONA. 31 TDG36. 600- 700 m, Pic ea abies i Fagus syl vatica; 25/I Xj19 86, leg. J. M. Mestres (BCC JL787), Aigües Tortes, Vall d' Aiguamoix, Salardú (Vall d'A ra n), LLEIDA. 31 TCH32 . 18 00- 1 900 m, Pin us muga ssp . uncinata i Sphagn um sp .; 8/IX/ 1985, leg. J. L1istosella (BCC JL557).
La Farga de Bebié, Les Lloses (Ripollés), GIRONA. 31TDG36. 600-700 m, Picea abiesi Fagus sylvatica; 25/IX/1986, leg. J. M. Mestres (BCC JL787), Aigües Tortes, Vall d'Aiguamoix, Salardú (Vall d'Aran), LLEIDA. 31TCH32. 1800-1900 m, Pinus mugo ssp. uncinata i Sphagnum sp.; 8/IX/1985, leg. J. Llistosella (BCC JL557).
Funicular de la Vall de Rencules, Arties (Vall d'Aran), LLEIDA. 31TCH22. 1850-1950 m, Pinus mugo ssp. uncinata; 10/IX/1985, leg. J. Llistosella (BCC JL578).
Funicular de la Vall de Rencules, Arties (Vall d' Aran), LLEID A. 31 TC H22. 18 50- 1 950 m, Pin us muga ssp. uncinata; 10/ I X/19 85, leg. J. L1istosella (BCC JL578)
Lactarius fraxineus Romagn. Font d'e n Plaja, Forallac (Baix Empordà), GIRONA. 31 TEG04. 200 m, Alnus glutinosa i Pru nus avium; 3/V I/19 90, leg. M. Aguasca (BCC JL 13 87).
Lactarius fraxineus Romagn. Font d'en Plaja, Forallac (Baix Empordá), GIRONA. 31TEG04. 200 m, Alnus glutinosa i Prunus avium; 3/VI/1990, leg. M. Aguasca (BCC JL1387).
a c ar us fuscus ll.
L1orts, Ordino, ANDO RRA. 31 TC H71. 15 00 m, Pin us muga ssp. uncinata i Betula pendula; 7/ VII I/ 1987, leg. H. Mehus (BCC JL10 63); 20/ X/ 19 87, leg. J. L1istosella et al. (BCC JL10 90) .
Lactarius fuscus Roll. Llorts, Ordino, ANDORRA. 31TCH71. 1500 m, Pinus mugo ssp. uncinata i Betula pendula; 7/V111/1987, leg. H. Mehus (BCC JL1063); 20/X/1987, leg. J. Llistosella et al. (BCC JL1090).

Butll. Soc. Catalana Micol. 14-15 67-76 Barcelona 1991
Butll. Soc. Catalana Micol. 14-15 67-76 Barcelona 1991
Lactarius glutinopallens Moll . & Lge.
Lactarius glutinopallens Moll. & Lge.
Bosc de Varicauba, Gausac (Vall d'A ra n) , LLEIDA. 31 TCH 13. 13 00- 15 00 m, Abies alba i Fagus syl vatica; 7/IX/ 19 85, leg. J. Llistosella et al. (BCC JL553)
Bosc de Varicauba, Gausac (Vall d'Aran), LLEIDA. 31TCH13. 1300-1500 m, Abies alba i Fagus sylvatica; 7/IX/1985, leg. J. Llistosella et al. (BCC JL553).
Mata Negra, Bellver de Cerdanya (Cerdan ya) , LLEIDA. 31 TDG08 18 00 m, Abies alba; 19/ X/19 86, leg. I. Soriano (BCC JL845).
Mata Negra, Bellver de Cerdanya (Cerdanya), LLEIDA. 31TDG08. 1800 m, Abies alba; 19/X/1986, leg. I. Soriano (BCC JL845).
Estany de St. Maurici, Espot (Pallars Sobirà), LLEIDA. 31 TCH3 1. 18 00-2000 m, Abies alba i Betula pendula; 18 /VII I/19 87, leg. A. Rocabruna (B CC JL1041).
Estany de St. Maurici, Espot (Pallars Sobirá), LLEIDA. 31TCH31. 1800-2000 m, Abies alba i Betula pendula; 18/VIII/1987, leg. A. Rocabruna (BCC JL1041).
Coll d'Ordino, Ordino, ANDORRA. 31TCH81. 1900 m, Pinus mugo ssp. uncinata iA bies alba; 8/IX/1987, leg. H. Mehus (BCC JL1044); 20/X/1987, leg. J. Llistosella et al. (BCC JL1067, JL1076 i JL1082).
Font Verda, Ordino, ANDORRA. 31TCH81. 1800 m, Pinus mugo ssp. uncinata i Abies alba; 20/X/1987, leg. J. Llistosella (BCC JL1070).
Coll d'O rdino, Ordino, ANDORRA. 31 TCH8 1. 1900 m, Pin us mugo ssp. uncinata i Abies alba; 8 /IX/ 19 87, leg. H. Mehus (BCC JLI 044); 20/X/ 19 87, leg. J. Llistosella et al. (BCC JLI067, JLI0 76 i JLI 082). Font Verda, Ordino, ANDORRA. 31 TCH8 1. 18 00 m, Pin us mugo ssp. uncinata i Abies alba; 20/ X/19 87, leg. J. Llistosella (BCC JLI 070) .
Rodalies de Ribes de Fresser (Ripollès), GIRONA. 31T DG38. 900 -110 0 m, Abies alba; 5/ X I/19 89, (BCC JL1 363 i JL1 366) .
Rodalies de Ribes de Fresser (Ripollés), GIRONA. 31TDG38. 900-1100 m, Abies alba; 5/XI/1989, (BCC JL1363 i JL1366).
Font de l'Ingla, Bellver de Cerdanya (Cerdanya), LLEIDA. 31TCG98. 1200-1400 m, Pinus sylvestris i Abies alba; 7/IX/1990, leg. E. Grácia (BCC JL1410).
Font de l' Ingla, Bellver de Cerdanya (Cerd anya), LLEIDA. 31 TCG98 . 12 00- 14 00 m, Pin us sylvestris i Abies alba; 7/ IX/ 19 90, leg. E. Gràcia (BCC JLI410).
Lactarius glycyosmus Fr.
Lactarius glycyosmus Fr.
Llorts, Ordino, ANDORRA. 31TCH71. 1500 m, Pinus mugo ssp. uncinata i Betula pendula; 7/VIII/1987, leg. H. Mehus (BCC JL1064); 20/X/1987, leg. J. Llistosella (BCC JL1092).
Llorts, Ordino, AN DORRA. 31 TC H71. 15 00 m, Pin us mugo ssp. uncinata i Betula pendula; 7/ VII I/19 87, leg. H. Mehus (BCC JL10 64) ; 20/ X/19 87, leg. J. Llistosella (BCC JLI0 92)
Pla de Paulel les, La Maçana, ANDORRA. 31 TCH8 1. 17 00- 1 800 m, Betula pendula i Pin us mugo ssp. uncina ta; 20/ X/19 87, leg. J. Llistosella (BCC JLI 06 8).
Pla de Paulelles, La MaÇana, ANDORRA. 31TCH81. 1700-1800 m, Betula pendula i Pinus mugo ssp. uncinata; 20/X/1987, leg. J. Llistosella (BCC JL1068).
Lactarius lilacinus Laschu: Fr.
Lactarius lilacinus Las chu: Fr. Presentada com a nova per a Catalunya durant el VI Congres o Nac. Bot . Criptogamica de Granada (LLIST OSELLA, 19 85)
Presentada com a nova per a Catalunya durant el VI Congreso Nac. Bot. Criptogámica de Granada (LLISTOSELLA, 1985)
Font de la Gomara, Viladrau (Osona), GIRONA. 31 TDG 53. 800-900 m, Alnus glutinosa i Pop ulus sp .; 3/XI/ 19 83, leg. J. Llistosella et al. (BCC JL16 3, JL 164 i JL1 67).
Font de la Gomara, Viladrau (Osona), GIRONA. 31TDG53. 800-900 m, Alnus glutinosa i Populus sp.; 3/XI/1983, leg. J. Llistosella et al. (BCC JL163, JL164 i JL167).
Rodalies de Guils de Cerdanya (Cerdanya), GIRONA. 31 TDHOO. 13 00- 15 00 m, Alnus glutinosa i Pop ulus sp .; 3/XI/ 19 85, leg. S. López (BCC JL 644)
Rodalies de Guils de Cerdanya (Cerdanya), GIRONA. 31TDHOO. 1300-1500 m, Alnus glutinosa i Populus sp.; 3/XI/1985, leg. S. López (BCC JL644).
Lactarius mairei Malern.
Lactarius mairei Malenç.
Es coneix tan sols de l'illa de Menorca (LLISTOSELLA et al., 1990)
Es coneix tan sols de l' illa de Me norca (LLISTOSELLA et al ., 19 90)
Les Planes, Vimbodí (Conca de Barberá), TARRAGONA. 31TCF38. 500-600 m, Quercus ilex, Q. faginea, Pinus halepensis i P. sylvestris; 28/IX/1986, leg. J. M. Mestres (BCC JL753).
Les Planes, Vimbodí (Conca de Barberà), TARRAGO NA. 31 TCF38 500-600 m, Quercus ilex, Q. faginea, Pin us ha lepensis i P. sylvestris; 28/I Xj19 86, leg. J. M. Mestres (BCC JL 753)
Paller de Baix, Bagá (Berguedá), BARCELONA. 31TDG07. 1000 m, Quercus petrea i Buxus sempervirens; 6/X/1986, leg. I. Soriano (BCC JL810).
Paller de Baix, Bagà (Berg uedà) , BARCE LON A. 31 TDG0 7. 1000 m, Quercus petrea i Buxus sempervirens; 6/X/ 19 86, leg. I. Soriano (BCC JL8 10 ).
Serrat del Morral, Berga (Berguedá), BARCELONA. 31TDG06. 850-950 m, Quercus ilex, Q. robur i Buxus sempervirens; 14/XI/1987, leg. M. Aguasca (BCC JL1208).
Guixera de Salvonera, Maiá de Montcal (Garrotxa), GIRONA. 31TDG77. 250-350 m, Quercus ilex; 13/X/1990, leg. M. Aguasca (BCC JL1396).
Serrat del Mo rral, Berga (Berg uedà) , BARCELONA. 31 TDG06 850-950 m, Quercus ilex, Q. robur i Buxus sempervirens; 14 /X I/ 1987, leg. M. Aguasca (BCC JLI 208) . Guixera de Salvonera, Maià de Mo ntcal (Garrotxa), GIRONA. 31 TDG 77. 250-350 m, Quercus ilex; 13/ X/ 19 90, leg. M. Aguasca (BCC JLI3 96)
Font dels Orobins , Cervera (Segarra), LLEIDA. 31 TDG5 1. 450-500 m, Quercus rotun difolia i Q. coccifera ; 12/ X/ 19 86, leg. P. Navarro (BCC JL825 i JL828)
Font dels Orobins, Cervera (Segarra), LLEIDA. 31TDG51. 450-500 m, Quercus rotundifolia i Q. coccifera; 12/X/1986, leg. P. Navarro (BCC JL825 i JL828).
Lactarius musteus (Fr.) Fr.
Aigües Torte s, Vall d' Aiguamoix, Salardú (Vall d'A ran) , LLEIDA. 31 TC H32. 18 00- 19 00 m, Pinus mugo ssp. uncinata i 5phagnum sp .; 8/I X/19 85, leg. J. Llistosella (BCC JL560)
Lactarius musteus (Fr.) Fr. Aigües Tortes, Vall d'Aiguamoix, Salardú (Vall d'Aran), LLEIDA. 31TCH32. 1800-1900 m, Pinus mugo ssp. uncinata i Sphagnum sp.; 8/IX/1985, leg. J. Llistosella (BCC JL560).
Lactarius pergamenus Fr. (ss. Blum, March., non Romagn.)
Lactarius pergamenus Fr. (ss. Blum, March ., non Romagn .) Presentada com a nova per a Catalunya durant el VI Congreso Nac. Bot. Criptogamica de Granada (LLISTOSELLA, 19 85).
Presentada com a nova per a Catalunya durant el VI Congreso Nac. Bot. Criptogámica de Granada (LLISTOSELLA, 1985).
St. Feliu del Riu, Montagut de Fluviá (Garrotxa), GIRONA. 31TDG68. 550-600 m, Castanea sativa; 22/VII/1984, leg. J. Llistosella (BCC JL224 i JL225).
El Far, Susqueda (Selva), GIRONA. 31TDG65. 1000-1100 m, Quercus sp., Corylus avellana, Populus tremula i Pinus sylvestris; 26/X/1984, leg. J. Girbal (BCC Z409).
St. Feliu del Riu, Montagut de Fluvià (Garro txa) , GIRONA. 31 TDG68 . 550-600 m, Castanea sativa; 22/V I I/19 84, leg. J. Llistosella (BCC JL224 i JL 225) . El Far, Susqueda (Selva) , GIRON A. 31 TDG 65. 10 00-1 10 0 m, Quercus sp ., Corylus avellana, Populus tremula i Pin us sylves tris; 26/ X/1 984, leg. J. Girbal (BCC JL409)
Sta. Fe del Montseny, Fogars de Monclús (Vallés Oriental), BARCELONA. 31TDG52. 1100-1200 m, Fagus sylvatica; 8/VIII/1987, leg. A. Rocabruna (BCC JL1021).
Sta. Fe del Montse ny, Fogars de Monclús (Vallès Orienta!) , BARCELONA. 31 TDG 52. 11 0 0- 1 200 m, Fagus sylvatica; 8/V II I/ 1987, leg. A. Rocabruna (BCC JL10 2 1).
Sta. Bárbara, Blanes (Selva), GIRONA. 31TDG81. 50-150 m, Quercus suberi Pinus pinea; 22/V/1988, leg. M. D. Sierra et al. (BCC JL1243).
Sta Bàrbara, Blanes (Selva) , GIRONA. 31 TDG8 1. 50- 15 0 m, Quercus suber i Pin us pinea; 22/V /19 88, leg. M. D. Sierra et al. (BCC JLI 243)

14-15 67-76 Barcelona 1991
Bu tll. Soc. Catalana Micol. 14 -15 67-76 Barcelona 1991 73
Can Jaques de Dalt, Brunyola (Selva), GIRONA. 31TDG73. 250-300 m, Quercus ilex, Q. suber i Q. cerrioides; 9/VI/1990, leg. M. Aguasca (BCC JL1394 i JL1395).
Lactarius picinus Fr.
Presentada com a nova per a Catalunya durant el VI Congreso Nac. Bot. Criptogámica de Granada (LLISTOSELLA, 1985).
Can Jaques de Dalt, Brunyola (Selva), GIRONA. 31 TDG73. 250-300 m, Quercus ilex, Q. suber i Q. cei"rioides; 9jVIj 19 90, leg. M. Aguasca (BCC JL1 394 i JL1 395) . Lactarius picinus Fr. Presentada com a nova per a Catalunya durant el VI Congreso Nac. Bot. Criptogamica de Granada (LL ISTOSELLA, 19 85).
Cap de Rec, Lles de Cerdanya (Cerdan ya) , LLEIDA. 31 TCG8 9. 19 50-2050 m, Pin us mugo ssp. un cina ta i Sphagn um sp .; 9jIXj 19 84, leg. E. Gràcia (BCC JL267).
Cap de Rec, Lles de Cerdanya (Cerdanya), LLEIDA. 31TCG89. 1950-2050 m, Pinus mugo ssp. uncinata i Sphagnum sp.; 9/IX/1984, leg. E. Grácia (BCC JL267).
Bosc de Variucauba, Gausac (Vall d' Aran), LLEIDA. 31 TCH 13. 13 00- 15 00 m, Abies alba i Fagus sylvatica; 7 jI Xj19 85, leg. J. Llistosella (BCC JL55 1).
Bosc de Variucauba, Gausac (Vall d'Aran), LLEIDA. 31TCH13. 1300-1500 m, Abies alba i Fagus sylvatica; 7/IX/1985, leg. J. Llistosella (BCC JL551).
Aigües Tortes, Vall d' Aiguamoix, Salardú (Vall d' Aran) , LLEIDA. 31 TCH32. 18 00- 1 900 m, Pin us muga ssp. uncinata i Sphagnum sp .; 8j IXj 19 85, leg. J. Llistosella (BCC JL556)
Aigües Tortes, Vall d'Aiguamoix, Salardú (Vall d'Aran), LLEIDA. 31TCH32. 1800-1900 m, Pinus mugo ssp. uncinata i Sphagnum sp.; 8/IX/1985, leg. J. Llistosella (BCC JL556).
Coll d'Or dino, Ordino, ANDORRA 31 TCH8 1. 19 00 m, Pin us mugo ssp. uncinata i Abies alba; 8j IXj 19 87, leg. H. Mehus (BCC JL10 43); 20j Xj 1987, leg. J. Llistosella et al. (BCC JL10 65).
Coll d'Ordino, Ordino, ANDORRA. 31TCH81. 1900 m, Pinus mugo ssp. uncinata i Abies alba; 8/IX/1987, leg. H. Mehus (BCC JL1043); 20/X/1987, leg. J. Llistosella et al. (BCC JL1065).
Lactarius rufus (Scop .: Fr.) Fr.
Lactarius rufus (Scop.: Fr.) Fr.
Coneixem només la citació de LLENSA (1 968) d' Hostalric, però la considerem improbable, a causa del caràcter montà o subalpí d' aquesta espècie.
Coneixem només la citació de LLENSA (1968) d'Hostalric, peró la considerem improbable, a causa del carácter montó o subalpí d'aquesta espécie.
Cap de Rec, Lles de Cerdanya (Cerdanya), LLEIDA. 31TCG89. 1950-2050 m, Pinus mugo ssp. uncinata i Sphagnum sp.; 9/IX/1984, leg. E. Grácia (BCC JL268).
Aigües Tortes, Vall d'Aiguamoix, Salardú (Vall d'Aran), LLEIDA. 31TCH32. 1800-1900 m, Pinus mugo ssp. uncinata i Sphagnum sp.; 8/IX/1985, leg. J. Llistosella (BCC JL561 i JL564).
Cap de Rec, Lles de Cerdanya (Cerdanya), LLEIDA. 31 TCG89. 19 50-2050 m, Pin us muga ssp. uncinata i Sphagnum sp .; 9 jI Xj19 84, leg. E. Gràcia (BCC JL 268) . Aigües Torte s, Vall d' Aiguamoix, Salardú (Vall d'Aran) , LLEIDA. 31 TCH32 . 18 00- 19 00 m, Pin us muga ssp . uncinata i Sphagn um sp .; 8jIXj 19 85, leg. J. Llistosella (BCC JL561 i JL 564) .
Coll del Pendís, Bellver de Cerdanya (Cerdanya), LLEI DA. 31 TDG08 18 00 m, Abies alba i Pin us muga ssp. uncina ta; 19 jXj 19 86, leg. I. Soriano (BCC JL 842)
Coll del Pendís, Bellver de Cerdanya (Cerdanya), LLEIDA. 31TDG08. 1800 m, Abies alba i Pinus mugo ssp. uncinata; 19/X/1986, leg. I. Soriano (BCC JL842).
Coll de Sentiagosa, St. Joan de les Abadesses (Ripollés), GIRONA. 31TDG47. 1000-1100 m, Pinus sylvestris; 19/IX/1987, leg. A. Rocabruna (BCC JL1058).
Baga de Campelles, Campelles (Ripollés), GIRONA. 31TDG36. 1400-1600 m, Pinus sylvestris i Abies alba; 20/Xl1983, leg. M. Bernal (BCC JL204).
Coll de Sentiago sa, St. Joan de les Abadesses (Ripollès ), GIRONA. 31 TDG 47. 10 00 -1 10 0 m, Pin us sylvestris; 19 jI Xj19 87, leg. A. Rocabruna (BCC JL10 58). . Baga de Campell es, Campelles (Ripollès), GIRONA. 31 TDG36. 1400- 16 00 m, Pin us sylvestris i Abies alba; 20j XI 19 83, leg. M. Bemal (BCC JL 204)
Lactarius salmonicolor Heim & Lecl.
Lactarius salmonicolor Heim & Lecl.
Ampliem les dades referents a aquesta espècie, que ja vàrem citar del Ripollès (L LISTOSELLA et al ., 19 86).
Ampliem les dades referents a aquesta espécie, que ja várem citar del Ripollés (LLISTOSELLA et al., 1986).
Bosc de Varicauba, Gausac (Vall d' Aran) , LLEIDA. 31 TCH 13. 13 00- 1 500 m, Abies alba; 22jI X1 984, leg. J. Llistosella (BCC JL 309 i JL 31 1); 7 jI Xj19 85, leg. J. Llistosella (BCC JL546)
Bosc de Varicauba, Gausac (Vall d'Aran), LLEIDA. 31TCH13. 1300-1500 m, Abies alba; 22/IX1984, leg. J. Llistosella (BCC JL309 i JL311); 7/IX/1985, leg. J. Llistosella (BCC JL546).
Artiga de Lin, Les Bordes (Vall d'Aran), LLEIDA. 31TCH12. 1200-1300 m, Abies alba i Fagus sylvatica; 23/IX/1984, leg. J. Llistosella (BCC JL322).
Artiga de Un, Les Bordes (Vall d' Aran) , LLEIDA. 31 TCH 12. 12 00- 1 300 m, Abies alba i Fagus sylvatica; 23jI Xj1 984, leg. J. Llistosella (BCC JL322).
Salt del Pitx, Vall de Varradós, Arrós (Vall d' Aran), LLEIDA. 31 TC H23. 15 00- 1 700 m, Fa gus sylva tica i Abies alba; 9jI Xj19 85, leg. J. Llistosella et al. (BCC JL573).
Salt del Pitx, Vall de Varradós, Arrós (Vall d'Aran), LLEIDA. 31TCH23. 1500-1700 m, Fagus sylvatica i Abies alba; 9/IX/1985, leg. J. Llistosella et al. (BCC JL573).
Pla de Losseron, Arties (Vall d'Aran), LLEIDA. 31TCH22. 1600-1700 m, Abies alba, Betula pendula i Pinus mugo ssp. uncinata; 10/IX/1985, leg. J. Llistosella et al. (BCC JL582).
Font Verda, Ordino, ANDORRA. 31TCH81. 1800 m, Pinus mugo ssp. uncinata i Abies alba; 20/X/1987, leg. J. Llistosella et al. (BCC JL1074).
Font de l'Ingla, Bellver de Cerdanya (Cerdanya), LLEIDA. 31TCG98. 1200-1400 m, Pinus sylvestris i Abies alba; 7/IX/90, leg. E. Grácia (BCC JL1407).
Pla de Losseron, Arties (Vall d' Aran) , LLEIDA. 31 TC H22. 16 00- 17 00 m, Abies alba, Betula pendula i Pin us muga ssp. uncinata; 10 jI Xj19 85, leg. J. Llist osella et al. (BCC JL 58 2) . Font Verda, Ordino, ANDO RRA . 31 TCH8 1. 18 00 m, Pin us muga ssp. uncinata i Abies alba; 20j Xj 1987, leg. J. Llistosella et al. (BCC JL1 07 4) . Font de l' Ingla, Bellver de Cerdanya (Cerdan ya) , LLEIDA. 31 TCG98 . 12 00 -14 00 m, Pin us sylvestris i Abies alba; 7 jIXj90, leg. E. Gràcia (BCC JL14 07).
Lactarius sphagneti (Fr.) Ne uhoff
Lactarius sphagneti (Fr.) Neuhoff
Aigües Tortes, Vall d'Aiguamoix, Salardú (Vall d'Aran), LLEIDA. 31TCH32. 1800-1900 m, Pinus mugo ssp. uncinata i Spagnum sp.; 8/IX/1985, leg. J. Llistosella et al. (BCC-JL567).
Aigües Tortes, Vall d' Aiguamoix, Salardú (Vall d'A ran), LLEIDA. 31 TC H32. 18 00- 1 900 m, Pin us muga ssp. uncinata i Spagn um sp .; 8j IXj 19 85, leg. J. Llistosella et al. (BCC-J L567).
Funicular de la Vall de Rencules, Arties (Vall d'Aran) , LLEIDA. 31T CH22. 18 50- 19 50 m, Pin us muga ssp. uncinata i Sphagn um sp .; 10jI Xj19 85, leg. J. Llistosella et al. (BCC JL 586 ).
Funicular de la Vall de Rencules, Arties (Vall d'Aran), LLEIDA. 31TCH22. 1850-1950 m, Pinus mugo ssp. uncinata i Sphagnum sp.; 10/IX/1985, leg. J. Llistosella et al. (BCC JL586).
Prat de Miró, Lles de Cerdanya (Cerdanya), LLEIDA. 31 TCG8 9. 2000 m, Pin us muga ssp. uncinata i Sphagn um sp .; 31 jVII Ij19 85, leg. E. Gràcia (BCC JL536).
Prat de Miró, Lles de Cerdanya (Cerdanya), LLEIDA. 31TCG89. 2000 m, Pinus mugo ssp. uncinata i Sphagnum sp.; 31/VIII/1985, leg. E. Grácia (BCC JL536).
a cta riu s sp nosulus u !.
Coneixem tan sols la citació de SINGER (19 47), d'Estanyets (Espot)
Lactarius spinosulus Quél. Coneixem tan sols la citació de SINGER (1947), d'Estanyets (Espot).
Valéncia d'Aneu, Alt Aneu (Pallars Sobirá), LLEIDA. 31TCH42. 1050-1250 m, Abies alba i Betula pendula; 15/VIII/1987, leg. A. Rocabruna (BCC JL1040).
València d' À neu, Alt À neu (Pallars Sobir à), LLEIDA. 31 TCH42 10 50- 1 250 m, Abies alba i Betula pendula; 15 jVIII j19 87, leg. A. Rocabruna (BCC JL10 40)
74

Bu tll. Soc. Catalana Micol. 14·15 67 -76 Barcelona 1991
Butll. Soc. Catalana Mico]. 14-15 67-76 Barcelona 1991
AGRAIMENTS
AGRA ÏMENTS
Volem agrair als Ors H. Romagnesi (Par ís) i M. Samari (Temi) la revisió d' algunes de les mostr es. També volem agrair a M. Aguaca, J. Girbal, E. Gràc ia, X. Llimona, A. Rocabruna, M. Tabarés i altres amics la seva col· lab oració en les tasques de rec ol· lecció del materi al.
Volem agrair als Drs. H. Romagnesi (París) i M. Sarnari (Terni) la revisió d'algunes de les mostres. També volem agrair a M. Aguaca, J. Girbal, E. Grácia, X. Llimona, A. Rocabruna, M. Tabarés i altres amics la seva col•laboració en les tasques de recol-lecció del material.
BIBLIOGRAFÍA
BIBLIOGRAFÍA
ARANZADI, T. (19 05): Segunda lista de nombres catalanes de hongos, lista de hongos del Empalme (Girona) , y catalogo de hongos observados en Cat aluña. Bolet ín Real Soc. Esp. Hi storia Natural, 5: 495-5 02.
BERTAUL T, R. (19 82): Contribution a la flore mycologique de la Catalogne. Acta Phytotax. Barcinonensia, 34: 1- 35.
ARANZADI, T. (1905): Segunda lista de nombres catalanes de hongos, lista de hongos del Empalme (Girona), y catálogo de hongos observados en Cataluña. Boletín Real Soc. Esp. Historia Natural, 5: 495-502. BERTAULT, R. (1982): Contribution a la flore mycologique de la Catalogne. Acta Phytotax. Barcinonensia, 34: 1-35.
BON M.; (19 80): Clé monografique du genre Lactarius. Documents Mycol ., X (4 0): 1- 85.
BON M.; (1980): Clé monografique du genre Lactarius. Documents Mycol., X (40): 1-85.
BON M.; (19 88): Clé monographique des russules d' Euro pe. Docume nts Mycol., XVIII (70 -71): 1-12 0.
BON M.; (1988): Clé monographique des russules d'Europe. Documents Mycol., XVIII (70-71): 1-120.
CARR ASCOSA, G. & E. SAU. (1 990) : Lactarius bertillonii var queletii. Fich. Téc. Soc. Catalana Micol., serie 7: 205.
CARRASCOSA, G. & E. SAU. (1990): Lactarius bertillonii var queletii. Fich. Téc. Soc. Catalana Micol., serie 7: 205.
CODINA, J. & P. FONT i QUER. (19 30): Introducció a l' estudi dels macromicets de Catalunya. Cav anillesia, 3: 100- 18 9.
CODINA, J. & P. FONT i QUER. (1930): Introducció a l'estudi deis macromicets de Catalunya. Cavanillesia, 3: 100-189.
LLENSA, S. (19 68). Glossari de noms populars de bolets a Hostalrich. Collect anea Bot anica, 7(2): 637-65 1.
LLENSA, S. (1968). Glossari de noms populars de bolets a Hostalrich. Collectanea Botanica, 7(2): 637-651.
LLI STOSELLA, J. (19 85): Notas sobre el género Lactarius. VI Simp. Nac. Bot. Criptog amica, Uni v. Granada, Libro de resúmenes: IOl.
LLISTOSELLA, J. (1985): Notas sobre el género Lactarius. VI Simp. Nac. Bot. Criptogámica, Univ. Granada, Libro de resúmenes: 101.
LLI STOSELLA, J. & M. AGUASCA. (19 86) : El primer «Mini Forey» de la British Mycological Society a Catalunya. But ll etí Soc. Catalana Micol., 10: 19 -34.
LLISTOSELLA, J. & M. AGUASCA. (1986): El primer «Mini Forey» de la British Mycological Society a Catalunya. Butlletí Soc. Catalana Micol., 10: 19-34.
LL IST OSELLA, J. (19 87): Sobre algunas especies del género Russula de Cataluña. VII Simp. Nac. Bot. Criptoga mica, Real Jardín Bot. Madrid, Libro de resúmenes: 82.
LLISTOSELLA, J. (1987): Sobre algunas especies del género Russula de Cataluña. VII Simp. Nac. Bot. Criptogámica, Real Jardín Bot. Madrid, Libro de resúmenes: 82.
LLISTOSELLA, J. (1990): An updated check-list of the Russulaceae of Catalonia and Balearic islands. IV Internat. Mycol. Congress, Univ. Regensburg, Abstracts: 33.
LLI STOSE LLA, J. (19 90) : An updated check-list of the Russulaceae of Catalonia and Balearic islands. IV Internat. Mycol. Congress, Un iv. Regensburg, Abstrads: 33.
LL IST OSELLA, J. (19 90) : Sobre algunas espec i es del género Russula. III. Rev ista Iberoamericana de Micologia, 7(3) : 96.
LLISTOSELLA, J. (1990): Sobre algunas especies del género Russula. III. Revista Iberoamericana de Micologia, 7(3): 96.
LLI STOSELLA, J. & M. AGUASCA. (19 90) : Ma cromicets de l'Il la de Menorca. 11. Butl letí Soc. Catalana Micol., 13: 17 -32
LLISTOSELLA, J. & M. AGUASCA. (1990): Macromicets de l'Illa de Menorca. II. Butlletí Soc. Catalana Micol., 13: 17-32.
MAIRE, R. (1937): Fungi catalaunici, series altera. Publicacions Institut Botánic Barcelona, 3(4): 1-128.
MAIRE, R. (19 37): Fungi catalaunici, series altera. Publicacions Institut Botànic Barcelona, 3(4): 1-12 8.
MARCHAND A. (1977): Champignons du Nord et du Midi. V. Soc. Mycol. des Pyrénées Méditerranéennes, Perpignan, 303 pp.
MARCHAND A. (19 77) : Champignons du Nord et du Midi. V. Soc. Mycol des Pyrénées Méditerranéennes, Perpignan, 303 pp.
MARC HAND A. (19 77 ): Champignons du No rd et du Midi. VI. Soc Mycol. des Pyrénées Méditerranéennes, Perpignan, 29 1 pp.
MARCHAND A. (1977): Champignons du Nord et du Midi. VI. Soc. Mycol. des Pyrénées Méditerranéennes, Perpignan, 291 pp.
MORENO, G., C. IL LANA, F. ESTEVE-RAVENT ÓS, V. CARNERO & J. A. ESTEBAN (1 990) : Algunos Agaricales s. 1. y una especie de Scleroderma interesantes presentadas en las II y III Jornadas Micológicas de Esplugas de Llobregat (Cata luña). Revi sta Ib eroamericana de Mi cología, 7(3) : 88.
MORENO, G., C. ILLANA, F. ESTEVE-RAVENTÓS, V. CARNERO & J. A. ESTEBAN (1990): Algunos Agaricales s. 1. y una especie de Scleroderma interesantes presentadas en las II y III Jornadas Micológicas de Esplugas de Llobregat (Cataluña). Revista Iberoamericana de Micología, 7(3): 88.
NEUHOFF, W. (19 56): Die milchlinge. J. Kli nkhardt , Bad Heilbrun, 248 pp.
NEUHOFF, W. (1956): Die milchlinge. J. Klinkhardt, Bad Heilbrun, 248 pp.
ROCABRUNA, A. & M. TABAR ÉS (19 88) : Aportación al conocimiento de los hongos del macizo montañoso del Montseny (Cata luña) Butl letí Soc. Catalana Micol., 12: 25-53 .
ROCABRUNA, A. & M. TABARES (1988): Aportación al conocimiento de los hongos del macizo montañoso del Montseny (Cataluña). Butlletí Soc. Catalana Micol., 12: 25-53.
ROMAGNESI, H. (19 67): Les russules d'Eur ope et d'Afr ique du No rd. J. Cramer (reimp. 1985), Vaduz; 10 30 pp.
ROMAGNESI, H. (1967): Les russules d'Europe et d'Afrique du Nord. J. Cramer (reimp. 1985), Vaduz; 1030 pp.
SARNARI, M. (19 87): Due russule nuove dell' area mediterranea. Boll. Ass. Micol. Ecol. Romana, 12: 30-32.
SARNARI, M. (1987): Due russule nuove dell'area mediterranea. Boll. Ass. Micol. Ecol. Romana, 12: 30-32.
SARNARI, M. (1987): Russule nuove o interessanti dell'Italia centrale e mediterranea. VII. Micol. Italiana, 3: 65-70.
SARNARI, M. (1987): Russule nuove o interessanti dell 'lt alia central e e mediterranea. VII. Micol. Italiana, 3: 65-70.
SARNARI, M. (1988): Russules nuovelles ou intéressantes de l'Italie centrale et méditerranéenne. Bull. Soc. Mycol. France, 104(3): 133-144.
SARNARI, M. (19 88) : Russules nuovelles ou intéressantes de l' ltalie centrale et méditerrané enne. Bull. Soc_ Mycol. Fran ce, 10 4(3) : 13 3- 144.
SCHAEFFER, J. (19 52) : Russula mo nogr aph ie. J. Cramer, Lehre (re imp. 197 0), 296 pp.
SCHAEFFER, J. (1952): Russula monographie. J. Cramer, Lehre (reimp. 1970), 296 pp.
SINGER, R. (19 47): Champignons de la Catalo gne Espèces observées en 19 34. Collectanea Botanica, 1 (3) : 19 9-246.
SINGER, R. (1947): Champignons de la Catalogne. Espéces observées en 1934. Collectanea Botanica, 1(3): 199-246.

SINGER, R. (1982): Notes on Russula taxonomy, I. The Russulae of Catalonia. Collectanea Botanica, 13(2): 669-700.
SINGER, R. (19 82): Notes on Russula taxonomy, I. The Rus sulae of Catatonia. Collectanea Bota nica, 13 (2) : 669-700.
TABARES, M. (1990): Lactarius hisginus. Bolets de Catalunya, 9: 420. VIDAL, J. M. (1990): Lactarius cistophilus. Bolets de Catalunya, 9: 419.
T ABAR ÉS, M. (1 990): Lactarius hisgin us. Bolets de Catalunya, 9: 420. VIDAL, J. M. (19 90) : Lactarius cistophilus. Bol ets de Catalunya, 9: 419
Catalana Micol. 14-15 77 -86 Barcelona 1991

APORTACIÓN AL CONOCIMIENTO DE LOS HONGOS DEL MACIZO MONTAÑOSO DEL MONTSENY (CATALUÑA) . Il .
APORTACIÓN AL CONOCIMIENTO DE LOS HONGOS DEL MACIZO MONTAÑOSO DEL MONTSENY (CATALUÑA). II.
August Rocabruna * y Manuel Tabarés **
August Rocabruna * y Manuel Tabarés **
* Gran Via 111 àtic 1e r. 08330 Premià de Ma r (Barcelon a).
** Coll del Portell, 44 bajos. 08024 Barcelo na.
* Gran Via 111 átic ler. 08330 Premia de Mar (Barcelona). ** Coll del Portell, 44 bajos. 08024 Barcelona.
SUMMARY
SUMMARY
2nd contribution to the catalogue of fungi observed in the Montseny range (Catalonian pre-littoral chain) in an area delimitated in the enclosed map. We list 104 species, 17 Ascomycetes and 87 Basidiomycetes, emphasizing by its special interest Disciotis maturescens Boud. var. flavescens Boud., Peziza pudica (Boud.) Moser, Hygrophorus mesotephrus Berk. & Br., Alpova rubescens (Vitt.) Troppe.
2nd contribution to the catalogue of fungi observed in the Mo ntseny range (Catalonian pre -littoral chain) in an area delimitated in the enclosed mapo We list 10 4 species, 17 Ascomycetes and 87 Basidiomyc etes, emp hasizing by its special intere st Disciotis ma turescens Bo ud. var. flavescens Boud ., Peziza pudica (B oud .) Moser, Hygrophorus meso tephrus Berk. & Br ., Alpova rubescens (Vitt .) Trop pe.
RESUMEN
RESUMEN
Segunda aportación al catálogo de los hongos observados en el mazizo del Montseny (Cordillera Pre-litoral Catalana), en el territorio delimitado en el mapa adjunto. Citamos un total de 104 especies, que comprende 17 Ascomicetes y 87 Basidiomecetes, destacando por su especial interés los que figuran en el resumen en inglés.
Segunda aportación al cata logo de los hongos observa dos en el mazizo del Mo ntseny (Cordillera Pre-litoral Catalana) , en el ter ritori o delimi tado en el mapa adj unto . Citamos un total de 10 4 que comprende 17 Ascomicetes y 87 Basidiomecetes, destacando por su especial interés los que figuran en el resumen en inglés.
INTRODUCCIÓN
INTRODUCCIÓN

Co o una se gunda par t e a nu e stra co nt rib u ción al conocimiento de la flora fúngica del Mo ntseny, ofrecemos este catal ogo donde indicamos con un asterisco las especies que, según la bibliografía consultada, constituyen primera cita para el area de estudio
Hemos añadido una nue va zona de recolección, que señ alamos con el número trece , con lo que la lista de toponÍmicos queda como si gue
Como una segunda parte a nuestra contribución al conocimiento de la flora fúngica del Montseny, ofrecemos este catálogo donde indicamos con un asterisco las especies que, según la bibliografía consultada, constituyen primera cita para el área de estudio. Hemos añadido una nueva zona de recolección, que señalamos con el número trece, con lo que la lista de toponímicos queda como sigue. Bu tll.
78

Butll. Soc. Catalana Micol. 14-15 77 -86 Barcelona 1991
1 Valle de Sta. Fe y Pla de l'Espin alb. 31 TDG 5524 y 5525. Alt 1. 10 0-1 .2 00 m. À rea potencial del Fa gion sylvaticae, con hayedo acidófilo de suelos prof undos , con ¡¡ex aq uifolium y algunas plantaciones de coníferas
1 Valle de Sta. Fe y Pla de l'Espinalb. 31 TDG 5524 y 5525. Alt. 1.100-1.200 m. Área potencial del Fagion sylvaticae, con hayedo acidófilo de suelos profundos, con Ilex aquifolium y algunas plantaciones de coníferas.
2 Sa nt Hila ri Sacalm. 31 TDG 593 7. Alt 700 -900 m. À rea potencial del Quercetum mediterrane o-montanum.
2 Sant Hilari Sacalm. 31 TDG 5937. Alt. 700-900 m. Área potencial del Quercetum mediterraneo-montanum.
3 Sa nt Celoni y alrededores 31 TDG 5616 y 5617. Alt . 200 m. À rea potencial del Quercetum ilicis galloprovinciale
3 Sant Celoni y alrededores. 31 TDG 5616 y 5617. Alt. 200 m. Área potencial del Quercetum ilicis galloprovinciale.
4 Espin elves. 31 TDG 513 5. Alt. 700-800 m. À rea potencial del Fa ngion sylva ticae, con plantaciones de coníferas ornamental es como Abies alba, Abies masjoani, Picea abies, Cedrus sp, etc.
4 Espinelves. 31 TDG 5135. Alt. 700-800 m. Área potencial del Fangion sylvaticae, con plantaciones de coníferas ornamentales como A bies alba, Abies masjoani, Picea abies, Cedrus sp, etc.
5 Riells del Montseny. 31 TDG 5925. Alt. 400-500 m. Área potencial del Quercetum ilicis galloprovinciale suberetosum. Alcornoques en las zonas soleadas y vegetación de ribera y plantaciones de Castanaea sativa en la riera de Fuirosos.
5 Riells del Montseny. 31 TDG 5925. Alt. 400-500 m. À rea potencial del Quercetum ilicis galloprovinciale suberetosum. Alcorn oques en las zonas soleadas y vegetación de ribera y plantaciones de Castanae a sativa en la riera de Fuiro sos.
6 Fogars de Montclús. 31 TDG 5421. Alt. 500-700 m. Área potencial del Quercetum ilicis galloprovinciale.
6 Fogars de Montclús. 31 TDG 54 21. Alt. 500-700 m. À rea potencial del Quercetum ilicis gallopro vin ciale.
7 La Costa del Montseny-Fontmartina. 31 TDG 51 22. Alt . 700-800 m. À rea potencial del Quercetum mediterraneo-mon tanum, con pl antaciones de coníferas ornamentales en la zona del arboretum.
7 La Costa del Montseny-Fontmartina. 31 TDG 5122. Alt. 700-800 m. Área potencial del Quercetum mediterraneo-montanum, con plantaciones de coníferas ornamentales en la zona del arboretum.
8 Mosquerolas-Campins. 31 TDG 5821. Alt. 300-400 m. Área potencial del Quercetum ilicis galloprovinciale.
8 Mosquerolas-Campins. 31 TDG 58 21. Alt. 300-400 m. À rea potencial del Quercetum ilicis gallopro vin ciale.
9 Breda . 31 TDG 6323. Alt. 250 -400 m. À rea potencial del Quercetum ilicis gallopro vinciale.
9 Breda. 31 TDG 6323. Alt. 250-400 m. Área potencial del Quercetum ilicis galloprovinciale.
10 Joanet. 31 TDG 6032. Alt. 500-600 m. Área potencial del Quercetum ilicis galloprovinciale suberetosum.
10 Joanet. 31 TDG 60 32. Alt. 500-600 m. À rea potencial del Quercetum ilicis galloprovinciale suberetosum.
11 Gualba de Dalt. 31 TDG 58 21. Alt. 20 0-300 m. Riera de Gualba. Alnus glutinosa Pop ulus sp, Salix sp, etc.
11 Gualba de Dalt. 31 TDG 5821. Alt. 200-300 m. Riera de Gualba. Alnus glutinosa Populus sp, Salix sp, etc.
12 Sa nt Marçal. 31 TDG 5028 Alt. 1. 000 -1. 10 0 m . À rea potencial del Fagion sylva ticae, con zonas de robles, castaños y avellan os.
12 Sant Marpal. 31 TDG 5028. Alt. 1.000-1.100 m. Área potencial del Fagion sylvaticae, con zonas de robles, castaños y avellanos.
13 El Brull-Seva. 31 TDG 4229. Alt. 850-950 m. Área potencial del Buxo-Quercetum pubescentis, con pinares plantados de Pinus sylvestris.
13 El Brull-Seva. 31 TDG 4229. Alt. 850-950 m. À rea potencial del Buxo-Quercetum pu bescen tis, con pinares plantados de Pin us syl vestris.
Bu tll. Soc. Catalana Micol. 14-15 77 -86 Barcelona 1991



Butll. Soc. Catalana Micol. 14-15 77-86 Barcelona 1991
80 Bu tll. Soc. Catalana Micol. 14-15 77 -86 Barcelona 1991
CA TA LOGO
CATÁLOGO
Hemos modificado, en parte, la nomenclatura y la ordenación taxonómica, al adoptar para los ascomicetes las propuestas de O. ERIKSSON & D.L. HAWKSWORTH 1987, relacionándolos alfabéticamente por Ordenes y Familias. Para los Basidiomicetes seguimos la revisión de M. BON (1988), recomendada por la FEDERATION DES ASSOCIATIONS MYCOLOGUIQUES MEDITERRANEÉNNES y los ordenamos alfabéticamente dentro de los órdenes correspondientes, añadiendo los sinónimos empleados en la anterior obra de MOSER (1979), a menudo mucho más conocidos.
Todas las recolecciones han sido efectuadas por nosotros, excepto las que se indican con el Leg. correspondiente, cuya aportación agradecemos. De todas disponemos de diapositivas y el material seco está depositado, con el número de registro indicado, en el herbario de la Societat Catalana de Micologia, en donde está consultable y prestable.
Hemos modificado, en parte, la nomenclat ura y la ordenación taxon ómica , al adoptar para los ascomicetes las propuestas de 0_ ERIKSSON & D.L. HAWKSWORTH 19 87, relacionandolos alfabéticamente por Ó rdenes y Familias. Par a los Basidiomicetes seguim os la re visión de M. BON (19 88), recomendada por la FEDERATION DES ASS OCIATIONS MY COLOGUIQ UES ME DITERRANE É NNE S y los ordenam os alfabéticamente dentro de los órdenes correspondientes, añadiendo los sinónimos em pleados en la anterior obra de MO SER (1 97 9) , a menudo mucho mas conocidos . T odas las recolecciones han sido efectuadas por nosotros, ex cepto las que se indican con el Leg corres pondien te , cuya aportación agra decemos. De todas disponemos de diapo sitivas y el material seca esta deposit ado, con el número de registro indicado, en el herbario de la Societat Catalana de Mi cologia, en donde esta consultable y prestable.
Algunas especies han sido publicadas en las colecciones de «Bolet s de Catalunya» de esta Sociedad o en otras publicaciones en colabor a ci ón. En tales casos, citamos el trabajo en que aparece n.
Algunas especies han sido publicadas en las colecciones de «Bolets de Catalunya» de esta Sociedad o en otras publicaciones en colaboración. En tales casos, citamos el trabajo en que aparecen.
ASCOM YCETES
ASCOMYCETES
Orden Helotiales
Orden Helotiales
Ciboria caucus (Reb.) Fock. [= Ciboria amentacea (Balb.) Fuck.]
* Cib oria caucus (Reb.) Fock [= Ciboria amentacea (Ba lb.) Fuck .]
Bajo arboles de ribera. Loc. 5. 6-4-9 1. Núm. 42 1 A. «Bolets de Catalunya» Col. IX, 19 90 núm. 405.
* Durella connivens (Fr.) Rehm.
Bajo árboles de ribera. Loc. 5. 6-4-91. Núm. 421 A. «Bolets de Catalunya» Col. IX, 1990 núm. 405. Durella connivens (Fr.) Rehm.
Sobre restos sin corteza de arbol de ribera. Loc. 6. 6-5-8 9.N úm. 382 A.
Sobre restos sin corteza de árbol de ribera. Loc. 6. 6-5-89.Núm. 382 A.
* Lac hnum fuscesce ns
Lachnum fuscescens
Sobre hojas caídas de Quercus petrea. Loc. 6. 25-5-9 1.
Sobre hojas caídas de Quercus petrea. Loc. 6. 25-5-91.
Scletorinia sclerotiorum (Libert) de Bary.
Bajo avellanos, entre Doronicum sp. Loc. 3. 24-4-91.
* Scletorinia scler otiorum (Li bert) de Bary. Bajo avellanos, entre Doronicum sp. Loc. 3. 24-4-9 1.
Sclerotinia tuberosa (Hedwig : Fr.) Fuck.
* Sclerotinia tuberosa (H edwig : Fr .) Fuck.
Sobre Anemona nemorosa. Loc. 1. 4-90. Núm. 372 A.
Sobre Anemona nemorosa. Loc. 1. 4-90. Núm. 372 A.
Tapesia fusca (Pers. ex Mérat) Fuck.
* Tapesia fusca (Pers. ex Mérat) Fuck.
Sobre madera de castaño muy descompuesta. Loc. 4. 5- 85. Núm. 237 A. 1- 4-8 7. Núm. 237 A.
Sobre madera de castaño muy descompuesta. Loc. 4. 5-85. Núm. 237 A. 1-4-87. Núm. 237 A.
Peziza les
Orden Pezizales
Disciotis maturescens Boud. var. fulvescens Boud.
Margen de camino arenoso, en una plantación de Abies alba. Loc. 4. 4-87. Núm. 291 A. «Bolets de Catalunya». Col. IX. 1990. Núm. 411 A.
* Disciotis maturescens Boud. var. fulvescens Boud. Margen de camino arenoso, en una plantación de Abies alba. Loc. 4. 4-8 7. Núm. 291 A. «Bolets de Catalunya». Col. IX. 19 90. Núm. 41 1 A.
Helvella elastica (Bull. : Fr. [= Leptopodia elastica (Bull. ex St. Amans) Boud.]
En un lugar embarrado cerca del embalse. Loc. 1. 30-6-90. Núm. 373 A. «Bolets de Catalunya» Col. II. 1983. Núm. 70.
* Hel vella elastica (Bull. : Fr. [= Leptopodia elastica ( B ull. ex St. Amans) Boud .] En un lugar embarrado cerca del embalse. Loc. 1. 30-6-90. Núm. 373 A. «Bolets de Catalunya» Col. lI. 19 83. Núm. 70.
* Ge opora sumner iana (Cooke) de la Torre Bajo Cedrus sp. Loc. 4. 2-4-87. Núm. 14 A. 9-4-8 7. Núm. 25 A. «Bolets de Catalunya» Col. III, 19 84. Núm. 14 2.
Geopora sumneriana (Cooke) de la Torre. Bajo Cedrus sp. Loc. 4. 2-4-87. Núm. 14 A. 9-4-87. Núm. 25 A. «Bolets de Catalunya» Col. III, 1984. Núm. 142.
* Lamprospora crec'hqueraultii Boud.
Sobre tierra húmeda, entre musgo, en el margen de un curso de agua Loc. 5. 6-6-89. Núm. 323 A.
* Lamprospora polytrichi (Schum . : Fr.) Le Ga l.
Lamprospora crec'hqueraultii Boud. Sobre tierra húmeda, entre musgo, en el margen de un curso de agua. Loc. 5. 6-6-89. Núm. 323 A. Lamprospora polytrichi (Schum. : Fr.) Le Gal.
Entre Fumaria hygrometrica, en un lugar quemado. Loc. 4. 15-4-89. Núm. 315 A.
Entre Fumaria hygrome trica, en un lugar quemado . Loc. 4. 15 -4-89. Núm. 315 A.

Bu tll. Soc. Catalana Micol. 14-15 77 -86 Barcelona 19 91
Butll. Soc. Catalana Micol. 14-15 77-86 Barcelona 1991
* Peziza pudi ca (Ba ud.) Moser. Sobre tierra húmeda, baja castaños. Loc. 5. 81 Creemos se trata de una primera cita para la Penín sula «Bolets de Catalunya». Col. X. 19 91. Núm. 489.
* Pez iza repa nda Pers. Baja encinas y castaños con abundante humus. Loc. 71 6. 16 -6-90. Núm. 37 5 A.
* Peziza viola cea Pers. Sobre carboneras de bosque Loc. 4. 15 -4-89. Núm. 313 A. «Bolets de Catalunya» Col. IV. 19 85. Núm. 18 5.
Peziza pudica (Boud.) Moser. Sobre tierra húmeda, bajo castaños. Loc. 5. Creemos se trata de una primera cita para la Península. «Bolets de Catalunya». Col. X. 1991. Núm. 489. Peziza repanda Pers. Bajo encinas y castaños con abundante humus. Loc. 716.16-6-90. Núm. 375 A. Peziza violacea Pers. Sobre carboneras de bosque. Loc. 4. 15-4-89. Núm. 313 A. «Bolets de Catalunya» Col. IV. 1985. Núm. 185.
Orden Patellariales
Orden Patellariales
Patellaria atrata Fr. Sobre madera muerta de árboles de ribera. Loc. 5. 6-5-89. Núm. 324 A.
* Patellaria atrata Fr. Sobre madera muerta de arboles de ribera. Loc. 5. 6-5-89. Núm. 324 A.
Orden Tuberales
Orden Tuberales
Tuber rufum Poll. : Fr. Bajo coníferas diversas. Loc. 4. 18-5-91. «Bolets de Catalunya». Col. X. 1991. núm. 50.
* Tuber rufum Poll. : Fr. Baja coníferas diversas Loc. 4. 18 -5- 91. «Bolets de Catalunya». Col. X. 19 91. núm. 50.
Orden Xyla riales
Orden Xylariales
Hypoxylon fuscum (Pers. : Fr .) Fr.
Hypoxylon fuscum (Pers. : Fr.) Fr.
Sobre restos vegetales indeterminados. Loc. 5. 4- 3-89. Núm. 306 A.
Sobre restos vegetales indeterminados. Loc. 5. 4-3-89. Núm. 306 A.
HOLOBA SIDIOMYCETES
HOLOBASIDIOMYCETES
Orden Aphyllophorales
Orden Aphyllophorales
Flagelloscypha minutissima (Burt.) Donk. Sobre restos vegetales indeterminados enterrados entre la hojarasca. Loc. 3. 4-5-91. Merulius tremellosos Schrad. : Fr.
* Flagelloscypha mi nutissima (Burt .) Donk. Sobre restos vegetales indeterminados enterrados entre la hojarasca. Loc. 3. 4-5-9 1. Merulius tremello sos Schr ad. : Fr.
Sobre ma de ra de haya. Loc. 1-10-89 Núm. 15 06 B. Sobre madera de Pin us silvestris. Loc. 13. 12 -89 Núm. 1521 B. Sobre madera de Cedrus sp Loc. 2. 28-1 0-90. Núm. 17 08 B. Pseudocratere llus sinuo sos (Fr.) Reid. [= Cantharellus sin uosus (Fr. : Fr.) K.]
Sobre madera de haya. Loc. 1-10-89. Núm. 1506 B. Sobre madera de Pinus silvestres. Loc. 13. 12-89. Núm. 1521 B. Sobre madera de Cedrus sp.. Loc. 2. 28-10-90. Núm. 1708 B. Pseudocraterellus sinuosos (Fr.) Reid. [= Cantharellus sinuosus (Fr. : Fr.) K.]
Baja castaños y encinas. Loc. 3. 9-84. Núm. 598 B. Sarcodon im bricatus (L. : Fr .) P. Karst
Baja hayas. Loc. 1. 27 -8- 89. Núm. 11 27 B. «Bolets de Cata lunya» Col. X. 19 91. Núm. 494.
Bajo castaños y encinas. Loc. 3. 9-84. Núm. 598 B. Sarcodon imbricatus (L. : Fr.) P. Karst. Bajo hayas. Loc. 1. 27-8-89. Núm. 1127 B. «Bolets de Catalunya». Col. X. 1991. Núm. 494.
Orden Boletales
* Aureoboletus gentilis (Qu él.) Pouz. [= Pulveroboletus cramesinus (Secr .) Sing.]
Baja encinas. Loc. 7. 24- 9-90 . Núm. 1694 B. «Bolets de Cata lunya» Col. V. 1986. Núm. 293.
Orden Boletales Aureoboletus gentilis (Quél.) Pouz. [= Pulveroboletus cramesinus (Secr.) Sing.] Bajo encinas. Loc. 7. 24-9-90. Núm. 1694 B. «Bolets de Catalunya». Col. V. 1986. Núm. 293.
Orden A garicales
Orden Agarica les Agaricus praeclaresquamosus Frem. var. grísea Pearson (= A. placomyces Peck.)
* Agaricus praeclaresquamosus Fre m. var. grisea Pearson (= A. placomyces Pe ck.)
Baja chopos . Loc. 5. 19 -9-90 . Núm. 16 89 B. Bolets de Catalunya. Col. VI. 1987. Núm. 25 1.
* Calli stosporium xantho phyllum (Malç (IS Bert .) Bon.
Sobre madera de coníferas en descomposición. Det. G. Moreno. Loc. 7. 17 -10 -80. Núm. 16 99 B.
Bajo chopos. Loc. 5. 19-9-90. Núm. 1689 B. Bolets de Catalunya. Col. VI. 1987. Núm. 251. Callistosporium xanthophyllum (Malo o Bert.) Bon. Sobre madera de coníferas en descomposición. Det. G. Moreno. Loc. 7. 17-10-80. Núm. 1699 B.
82

Collybia cirrhata (Pers.) Kumm.
Butll. Soc. Catalana Micol. 14-15 77-86 Barcelona 1991
Bu tll. Soc. Catalana Micol. 14-15 77 -86 Barcelona 19 91
* Collybia ci rrhata (Pers .) Kumm. Sobre restos de Aphyllophoral. Loc. 1. 26-8-89. Núm. 12 08 B.
Sobre restos de Aphyllophoral. Loc. 1. 26-8-89. Núm. 1208 B.
Collybia impudica (Fr.) Sing.
Colly bia impudica (Fr.) Sing.
En plantaciones de coníferas ornament ales. Loc . 4. 1- 9-90. Númm. 16 80 B. «B olets de Catalunya». VII. 19 88. Núm. 309.
En plantaciones de coníferas ornamentales. Loc. 4. 1-9-90. Númm. 1680 B. «Bolets de Catalunya». VII. 1988. Núm. 309.
Collybia tube rosa var. cookei (Bres) Bon [= C. cookei {Bres) J. D. Arnol] Loc 2. Sobre restos de Russula sp. Loc 2. 1-1 1- 90. Núm. 171 3 B.
Collybia tuberosa var. cookei (Bres). Bon [= C. cookei (Bres) J. D. Arnol]. Loc. 2. Sobre restos de Russula sp. Loc. 2. 1-11-90. Núm. 1713 B.
Conocybe subovalis Kühn. ex Walt.
* Conocybe subova lis Kühn. ex Walt.
Sobre humus, en el margen de un camino. Loc. 5. Leg. A. Mayoral. 16-6-90. Núm. 1414 B.
Sobre humus, en el margen de un camino. Loc. 5. Leg. A. Mayoral. 16-6-90. Núm. 1414 B.
Cortinari us amoenolens R. Hry. ex Orton.
Cortinarius amoenolens R. Hry. ex Orton.
Bajo hayas. Loc. 1. 10-88. Núm. 1492 B.
Baj o hayas. Loc 1. 10 -88 Núm. 1492 B.
Cortinarius anomalus (Fr. : Fr.) Fr.
Cortinarius anomalus (Fr. : Fr .) Fr.
Bajo hayas. Loc. 1. 10 -89. Núm. 15 07 B.
Bajo hayas. Loc. 1. 10-89. Núm. 1507 B.
Cortinari us balteatoc umatilis Hry. ex Ort on.
Cortinarius balteatocumatilis Hry. ex Orton.
Bajo hayas. Loc. 1. 26-9-90. Núm. 383 B.
Bajo hayas. Loc 1. 26-9-90. Núm. 383 B.
* Cortinarius cephalixus (Secr .) Fr. [= C. olidus Lge .]
Cortinarius cephalixus (Secr.) Fr. [= C. olidus Lge.]
Baj o hayas. Loc . 1. 16-10-90. Núm. 17 00 B.
Bajo hayas. Loc. 1. 16-10-90. Núm. 1700 B.
Cortinarius cinnamomeus (L.) Fr. [=Dermocybe cinnamomea (L. : Fr.) Wünsche].
Cortinarius cinnamomeus (L.) Fr. [= Dermocybe cinnamomea (L. : Fr .) Wüns che]
Bajo Piceas sp. Loc. 6. 17-6-90. Núm. 1422 B.
Bajo Piceas sp. Loc 6. 17 -6-90. Núm. 14 22 B.
Cortinarius cinnamomeoluteus Orton [= Dermocybe cinnamomeolutea (Orton) Mos.]
Cortinarius cinnamomeoluteus Orton [= Dermocybe cinnamomeolutea (Orton) Mo s.]
En bosque mixto. Loc 2. 5- 11 -87. Núm. 393 B.
En bosque mixto. Loc. 2. 5-11-87. Núm. 393 B.
Cortinari us cotoneus Fr.
Cortinarius cotoneus Fr.
Bajo hayas. Loc. 1. 2-9-89. Núm. 1253 B. «Bolets de Catalunya». VI. 1987. Núm. 264.
Cortinarius croceocaeruleus (Pers. : Fr.) Fr.
Baj o hayas. Loc 1. 2-9-89. Núm. 12 53 B. «B olets de Catalunya». VI. 1987. Núm. 264. Cortinarius croceocaeruleus (Pers. : Fr .) Fr.
Baj o hayas Loc 1. 10 -89. Núm. 15 29 B.
Bajo hayas. Loc. 1. 10-89. Núm. 1529 B.
Corti narius mu ltifluus Fr.
Loc. 2. 11 -87. Núm. 406 B.
Cortinarius multifluus Fr. Loc. 2. 11-87. Núm. 406 B.
Cortinarius obtusus (Fr. : Fr.) Fr. Loc. 2. 11-87. Núm. 390 B.
Corti narius obtusus (Fr. : Fr.) Fr.
Loc. 2. 11 -87. Núm. 390 B.
* Cortinarius phoeniceus (Bull .) Mre. [ = Dermocybe phonicea (Bull. ex Mre .) Mo s.]
Cortinarius phoeniceus (Bull.) Mre. [= Dermocybe phonicea (Bull. ex Mre.) Mos.]
Baj o hayas. Loc 1. 10-9-89. Núm. 1217 B. Loc. 1. 21 -9-89. Núm. 12 36 B.
Bajo hayas. Loc. 1. 10-9-89. Núm. 1217 B. Loc. 1. 21-9-89. Núm. 1236 B.
* Cortinarius pseudocrassus Joss.
Cortinarius pseudocrassus Joss.
Baj o hayas. Loc 1. 9-8-8 7. Núm. 304 B.
Bajo hayas. Loc. 1. 9-8-87. Núm. 304 B.
Cortinarius rubicundulus (Rea) Pearson.
Cortinarius rubicundulus (Rea) Pearson.
Baj o hayas. Loc. 1. 30-7- 8 1. Núm. 209 B. Loc 1. 18 -7-87. Núm. 27 8 B. Loc. 1. 24-7-8 7. Núm. 293 B. Loc. 1. 20-9-89. Núm. 13 53 B. Loc 1. 6-9- 90. Núm. 13 98 B. y Loc 1. 6-7-90. Núm. 1405 B. «Bolets de Catalunya». VII. 19 88. Núm. 313 .
Bajo hayas. Loc. 1. 30-7-81. Núm. 209 B. Loc. 1. 18-7-87. Núm. 278 B. Loc. 1. 24-7-87. Núm. 293 B. Loc. 1. 20-9-89. Núm. 1353 B. Loc. 1. 6-9-90. Núm. 1398 B. y Loc. 1. 6-7-90. Núm. 1405 B. «Bolets de Catalunya». VII. 1988. Núm. 313.
Cortinarius sebaceus Fr.
Cortinari us sebaceus Fr.
Bajo hayas. Loc. 1. 10-89. Núm. 1520 B.
Bajo hayas. Loc. 1. 10 -89. Núm. 15 20 B.
Cortinari us talus Fr.
Cortinarius talus Fr.
Bajo hayas. Loc 1. 16-10 -90. Núm. 17 02 B.
Bajo hayas. Loc. 1. 16-10-90. Núm. 1702 B.
Cortinari us xantho phyllus (Cooke) Hry.
Cortinarius xanthophyllus (Cooke) Hry.
Bajo encimas y pinos. Loc 5. 14-1 0-90. Nóm. 17 07 B.
Bajo encimas y pinos. Loc. 5. 14-10-90. Nóm. 1707 B.
* Crinipellis tomentosa (Q uél .) Sing. [= C. ma uretanica R. Mr e ]
Crinipellis tomentosa (Quél.) Sing. [= C. mauretanica R. Mre.]
Entre la hierba. Loc. 13. 11 - 89. Núm. 1512 B. Bolets de Catal unya. I X . 19 90. Núm. 409.
* Cystolepiota bucknallii (Bk . & Br.) Sacc.
Entre la hierba. Loc. 13. 11-89. Núm. 1512 B. Bolets de Catalunya. IX. 1990. Núm. 409. Cystolepiota bucknallii (Bk. & Br.) Sacc.
Entre hojas de planifolias. Loc. 1.10-90. «B olets de Catalunya». X. 19 91. Núm. 459.
* Delicatula integrell a (Pers. : Fr .) Fay.
Entre hojas de planifolias. Loc. 1.10-90. «Bolets de Catalunya». X. 1991. Núm. 459. Delicatula integrella (Pers. : Fr.) Fay.
Margen de curso de agua, sobre raíces de herbaceas y restos leñosos Loc. 11. 5-8-8 9. Núm. 11 62 B.
Margen de curso de agua, sobre raíces de herbáceas y restos leñosos. Loc. 11. 5-8-89. Núm. 1162 B.
Entoloma griseocyaneum (Fr. : Fr.) Mos.
* Ent oloma griseo cyaneum (Fr. : Fr .) Mos.
Entre la hierba, en claros de hayedo. Loc 1. 10 - 91. Núm. 1714 B.
* Entoloma ict erinum (Fr. : Fr .) Mos.
Entre la hierba, en claros de hayedo. Loc. 1. 10-91. Núm. 1714 B. Entoloma icterinum (Fr. : Fr.) Mos.
Bajo hayas. Loc. 1. 15-10-90. Núm. 1695 B.
Bajo hayas. Loc 1. 15-10-90. Núm. 16 95 B.

Bu tll. Soc. Catalana Micol. 14 -15 77 -86 Barcelona 19 91
Entoloma nidorosum (Fr.) Quél.
Entoloma nidorosum (Fr.) Qué!.
Bajo hayas. Loc. 1. 16-10-90. Núm. 1696 B.
Entoloma rhodopolium (Fr.) Kummer.
Baj o hayas. Loc. 1. 16 -10 -90. Núm. 1696 B. Entoloma rhodopo lium (Fr.) Kummer.
Bajo hayas. Loc 1. 9-8-8 7. Núm. 273 B.
Bajo hayas. Loc. 1. 9-8-87. Núm. 273 B.
* Hygr ocybe coccinea (Sch. : Fr .) Kumm. var. um bonata Kumm.
Hygrocybe coccinea (Sch. : Fr.) Kumm. var. umbonata Kumm.
Margen arenoso, baj o castaños. Loc. 5. 14-10-90.
* Hygrocybe ins ipida (L ge. ex Lundell) Mos.
Margen arenoso, bajo castaños. Loc. 5. 14-10-90. Hygrocybe insipida (Lge. ex Lundell) Mos.
Bajo Pinus sylvestris. Loc. 13. 12-11-90. Núm. 1701 B.
Hygrocybe pseudoconica Lange [= H. nigrescens (Quél.) Kühn.]
Baj o Pin us sylvestris. Loc. 13. 12 -11- 90. Núm. 17 01 B. Hygrocybe pseudoconica Lange [= H. nigrescens (Qu é!.) Kühn.]
En un camino de hayedo. Loc. 1. 21-9-89. Núm. 1234 B.
En un camino de hayedo. Loc 1. 21 -9-89. Núm. 12 34 B.
Hygrophorus mesotephrus B.& Br.
* Hygrophorus mesotephrus B.& Br.
En claros herbosos de hayedo. Loc. 1. 12-10-90. Núm. 1701 B.
Hygrophorus pudorinus (Fr.) Fr.
En claros herbosos de hayedo. Loc. 1. 12-10 -90. Núm. 17 01 B. Hygrophorus pudorinus (Fr.) Fr.
Bajo hayas. Loc. 1. 10-89. Núm. 1505 B. «Bolets de Catalunya». X. 1991. Núm. 472.
Baj o hayas. Loc. 1. 10 -89. Núm. 15 05 B. «Bolets de Catalunya». X. 19 91. Núm. 472.
Inocybe calamistrata (Fr.) Gill.
* In ocybe calam istrata (Fr.) Gil!.
Sobre tierra muy húmeda, en hayedo. Loc 1. 25-8-8 9. Núm. 15 25 B. En el hayedo. Loc 1. 10 -89. Núm. 14 76 B.
Sobre tierra muy húmeda, en hayedo. Loc. 1. 25-8-89. Núm. 1525 B. En el hayedo. Loc. 1. 10-89. Núm. 1476 B.
Inocybe godeyi Gill.
* In ocybe godeyi Gil!.
Bajo hayas. Loc. 1. 9-8 9. Núm. 12 88 B.
Bajo hayas. Loc. 1. 9-89. Núm. 1288 B.
* In ocybe fi brosoides Kühn & Bours
Inocybe fibrosoides Kühn & Bours.
* In ocybe pudica Künh.
Inocybe pudica Künh.
Bajo Pin us sylvestris Loc. 1. 12 -10 -89. Núm. 13 00 B.
Bajo Pinus sylvestris Loc. 1. 12-10-89. Núm. 1300 B.
* Ino cybe sindonia (Fr.) P. Karst [= I. kuehneri Stangl & Wes!.]
Inocybe sindonia (Fr.) P. Karst. [= 1. kuehneri Stangl & Wesl.]
Baj o Abies alba y Larix sp. Loc. 7. 17 -10 -90. Núm. B.
Bajo Abies alba y Larix sp. Loc. 7. 17-10-90. Núm. B.
* Inocybe subnudipes Künh.
Inocybe subnudipes Künh.
Entre hojas de haya caídas. Loc. 1. 10-89. Núm. 1518 B. Laccaria bicolor (R. Mre.) Orton
Entre hojas de haya caídas. Loc. 1. 10-89. Núm. 1518 B. Laccaria bicolor (R. Mre.) Orton.
En el hayedo, entre las hojas caíd as. Loc. 1. 10 -89. Núm. 1488 B.
* Lepiota grangei (Eyre) Lge.
En el hayedo, entre las hojas caídas. Loc. 1. 10-89. Núm. 1488 B. Lepiota grangei (Eyre) Lge.
En el hayedo, entre hojas caídas. Loc . 1. 7- 10-89 . Núm. 15 36 B. «Bolets de Catalunya» IX. 1990. Núm. 423.
En el hayedo, entre hojas caídas. Loc. 1. 7-10-89. Núm. 1536 B. «Bolets de Catalunya». IX. 1990. Núm. 423.
Lepiota ventriosospora Reid.
* Lepiota ventriosospora Reid.
Bajo hayas. Loc. 1. 16-9-90 . Núm. 16 92 B. Baj o Pin us syl ves tris. Loc. 13. 12 -1 1-90. Núm. 16 74 B.
* Leucoagaricus macrorhizus (Locq .) Sing.
Bajo hayas. Loc. 1. 16-9-90. Núm. 1692 B. Bajo Pinus sylvestris. Loc. 13. 12-11-90. Núm. 1674 B. Leucoagaricus macrorhizus (Locq.) Sing.
Entre vegetación de ribera. Loc. 5. 5-9-90. Núm. 1670 B. «Bolets de Catalunya». II. 1983. Núm. 80. Leucoagaricus serenus (Fr.) Bon & Boiff. [= Pseudobaeospora serena (Fr.) Locq.]
Entre vegetación de ribera. Loc. 5. 5-9-90 Núm. 16 70 B. «Bolets de Cata lunya» II. 1983. Núm. 80. Leucoagaricus sere nus (Fr.) Bon & Boiff. [= Pseudobaeospora serena (Fr.) Locq .]
Entre vegetación de ribera. Loc. 5. 5-9-90. Núm. 1671 B.
Entre vegetación de ribera Loc 5. 5-9-90 Núm. 1671 B.
Marasmius bulliardii Quél.
Maras mius bulli ardii Qué!.
Sobre hojas de castaño y de roble. Loc. 12. 1-9-90. Núm. 16 83 B.
* Marasmius buxi Fr. ap. Qué!.
Sobre hojas de castaño y de roble. Loc. 12. 1-9-90. Núm. 1683 B. Marasmius buxi Fr. ap. Quél.
Sobre hojas muertas de Buxus sp. Loc. 4. 15 -4- 89 Núm. 10 52 B.
* Marasmius torquescens Qué!.
Sobre hojas muertas de Buxus sp. Loc. 4. 15-4-89. Núm. 1052 B. Marasmius torquescens Quél.
Sobre restos leñosos, en el hayedo. Loc. 1-8-84. Núm. 208 B. Mycena rubromarginata (Fr. : Fr.) Kummer.
Sobre restos leñosos, en el hayedo. Loc. 1- 8-84. Núm. 208 B. Mycena rubromarginata (Fr. : Fr .) Kummer.
Bajo encinas. Loc. 6. 16 -10 -90. Núm. 16 98 B.
* Omphalina rose lla (Leg.) Mos. Loc. 1. 10 -89. Núm. 1517 B. Leg. y determinación J. M. Vida!'
* Phol iota aporos (Künh. et Romag .) Clç.
Bajo encinas. Loc. 6. 16-10-90. Núm. 1698 B. Omphalina rosella (Leg.) Mos. Loc. 1. 10-89. Núm. 1517 B. Leg. y determinación J. M. Vidal. Pholiota aporos (Künh. et Romag.) ClQ.
Entre castaños y hayas Loc. 5. 4- 5-88 . Núm. 904 B.
Entre castaños y hayas. Loc. 5. 4-5-88. Núm. 904 B.
Pleurotus ostreatus (Jacq. : Fr.) Kummer.
Sobre un tocón de haya. Loc. 1. 8-9-90. Núm. 1665 B. «Bolets de Catalunya». 1. 1982. Núm. 42. Pluteus chrysophaeus (Schff. : Fr.) Quél.
Ple urotus ostreatus (Jacq. : Fr.) Kummer. o re un t oc n de h aya. L oc. 1. 8-9-90. N úm. 1 665 B. «B olets de Catalunya». 1. 19 82. Núm. 42. Pluteus chrysophaeus (Schff. : Fr.) Qué!.
Sobre tocón de haya. Loc . 1. 24-8-8 9. Núm. 11 29 B.
* Psathyrella cotonea (Qué! .) K. & M.
Sobre tocón de haya. Loc. 1. 24-8-89. Núm. 1129 B. Psathyrella cotonea (Quél.) K. & M.
En el hayedo. Loc 1. 7-1 0-89. Núm. 15 36 B.
En el hayedo. Loc. 1. 7-10-89. Núm. 1536 B.
Butll. Soc. Catalana Micol. 14-15 77-86 Barcelona 1991

* Psathyre lla spadicea (Schff. : Fr.) Sing.
Psathyrella spadicea (Schff. : Fr.) Sing.
Entre raíces de coníferas ornamentales. Loc. 4. 18-5-91. Ripartites tricholoma (A. & S.: Fr.) Karsten
Entre raíces de coníferas ornamentales. Loc. 4. 18 -5- 91. Ri partites tricholoma (A. & S. : Fr.) Karsten
Entre aciculas de Picea sp. Loc. 1. 10-89. Núm. 1534 B. «Bolets de Catalunya». IX. 1990. Núm. 439.
Entre aciculas de Picea sp. Loc. 1. 10-89 . Núm. 15 34 B. «Bolets de Catalunya». IX. 19 90. Núm. 439.
Symocybe rubi (Berk.) Sing.
* Symocybe rubi (Berk .) Sing.
Sobre madera muerta de haya. Loc. 1. 24-8-89. Núm. 11 38 B.
* Strobi lurus tenacellus (Pers. : Fr .) Sing.
Sobre madera muerta de haya. Loc. 1. 24-8-89. Núm. 1138 B. Strobilurus tenacellus (Pers. : Fr.) Sing.
Sobre conos enterrados de Pin us sylvestris. Loc. 13. 10 -4-9 1. Núm. 1715 B. Tricholoma colu mbetta (F r.) Kummer.
Sobre conos enterrados de Pinus sylvestris. Loc. 13. 10-4-91. Núm 1715 B. Tricholoma columbetta (Fr.) Kummer.
Bajo Quercus ilix y Quercus sp. Loc. 3. Leg. L. Molini. 16 -1 1- 90. Núm. 15 89 B.
* Tricholoma pardinum Qué\.
Bajo Quercus ílix y Quercus sp. Loc. 3. Leg. L. Molini. 16-11-90. Núm. 1589 B. Tricholoma pardinum Quél.
En el hayedo. Loc. 1. 21-9-89. Núm. 1249 B. «Bolets de Catalunya». V. 1986. Núm. 248. Tricholoma sciodes (Pes.) Martin.
En el hay edo. Loc. 1. 21-9-8 9. Núm. 12 49 B. «Bolets de Catalunya». V. 19 86. Núm. 248. Tricholoma sciodes (P es.) Martin.
En el hayedo. Loc. 1. 2-9-8 9. Núm. 12 50 B.
* Volvariella caesi ocincta Orton.
En el hayedo. Loc. 1. 2-9-89. Núm. 1250 B. Volvariella caesiocincta Orton.
Sobre restos de madera de haya, muy descompuesta. Loc. 1. 6-8-87. Núm. 276 B.
Sobre restos de madera de haya, muy descompuesta. Loc. 1. 6-8-8 7. Núm. 276 B.
Orden Russulales
Orden Russulales
Lactarius atlanticus Bon f. Strigipes Bon
Lactarius atlanticus Bon f. Strigipes Bon.
Entre la hierba, en un jardín. Loc. 3. Leg. J. Negre. 18-11-90. Núm. 1585 B. Lactarius bertillonii (Nevk. ex Z. Sck.) Bon var. Queletii Blum.
Entre la hierba, en un ja rdín. Loc. 3. Leg. J. Negre. 18 -1 1- 90. Núm. 15 85 B. Lactarius bertillonii (Nevk. ex Z. Sc k.) Bon var. Queletii Blum.
En el hayedo. Loc. 1. 12 -7-87. Núm. 764 B. Loc. 1. 14-7 -89. Núm. 117 6 B. y 10 -8-89. Núm. 11 51 B.
En el hayedo. Loc. 1. 12-7-87. Núm. 764 B. Loc. 1. 14-7-89. Núm. 1176 B. y 10-8-89. Núm. 1151 B.
Lactarius cis toph ilus Bon & Trimb.
Lactarius cistophilus Bon & Trimb.
Bajo Cistus sp. Loc. 2. 10-10-89. Núm. 844 B. «Bolets de Catalunya». XX. 1990. Núm. 419. Lactarius lilacinus (Lasch.) Fr.
Bajo Cistus sp. Loc. 2. 10-10-89 Núm. 844 B. «Bolets de Cata lunya». XX. 19 90. Núm. 419. Lactarius liIacinus (Lasch .) Fr.
Bajo Alnus glutinosa, en una ribera. Loc. 9. 10-6-84. Núm. 774 B.
Lactarius pergamenus (Swartz) Fr.
Bajo Alnus glutinosa, en una ribera. Loc. 9. 10-6-84. Núm. 774 B. Lactarius pergamenus (Swartz) Fr.
Bajo hayas. Loc. 1. 1-8-87. Leg. A. Duran y A. Quiles. Núm. 774 B. 17-7-89. Núm. 1170 B.
Russula acrifolia Romagn.
Bajo hayas. Loc. 1. 1- 8-8 7. Leg. A. Duran y A. Quiles. Núm. 774 B. 17 -7 -89. Núm. 11 70 B. Ru ssula acrifolia Romagn
Baj o Quercus suber y Pin us sp. Leg. J. Martí. Loc. 2. 6- 11 -87. Núm. 822 B.
Ru ssula densi fo lia Gill.
Bajo Quercus suber y Pinus sp. Leg. J. Martí. Loc. 2. 6-11-87. Núm. 822 B. Russula densifolia Gill.
Baj o Quercus sp. y Castanea sativa. Loc. 6. 21 - 6-90. Núm. 1418 B.
* Ru ssula fa ginea Romagn
Bajo Quercus sp. y Castanea sativa. Loc. 6. 21-6-90. Núm. 1418 B. Russula faginea Romagn.
Bajo hayas. Loc. 1. 28-7-89. Núm. 12 01 B.
Ru ssula fe llea (Fr. : Fr .) Fr.
Bajo hayas. Loc. 1. 28-7-89. Núm. 1201 B. Russula fellea (Fr. : Fr.) Fr.
Baj o hayas. Loc. 1. 16-10-90. Núm. 17 05 B.
* Russula parazurea J. Schaeff.
Bajo hayas. Loc. 1. 16-10-90. Núm. 1705 B. Russula parazurea J. Schaeff.
En el hayedo. Loc. 1. 11 -8-90. Núm. 16 88 B.
Ru ssula pectin ata Fr. ss. Romagn .
En el hayedo. Loc. 1. 11-8-90. Núm. 1688 B. Russula pectinata Fr. ss. Romagn.
Bajo hayas. Loc. 1. 28-7-89. Núm. 1201 B.
Baj o hayas. Loc. 1. 28-7-89. Núm. 12 01 B.
Russula seperina Dup.
* Ru ssula seperina Dup.
Baj o encinas. Loc. 2. 11 -87. Núm. 845 B.
* Ru ssula solaris, Ferd et Winge.
Bajo encinas. Loc. 2. 11-87. Núm. 845 B. Russula solaris, Ferd. et Winge.
Bajo hayas. Loc. 1. 10-86. Núm. 800 B. 24-8-8 9. Núm. 12 46 B. Russula subfoete ns W. G. Smith.
Bajo hayas. Loc. 1. 10-86. Núm. 800 B. 24-8-89. Núm. 1246 B. Russula subfoetens W. G. Smith.
En claros del hayedo, entre la hierba. Loc. 1. 28-7-89. Núm. 11 98 B.
En claros del hayedo, entre la hierba. Loc. 1. 28-7-89. Núm. 1198 B.

GASTEROMYCETES
GAS TER OM YCE TES
Orden Geastra ceae
Orden Geastraceae
Ge astrum fi mbriatum (F r.) Fischer [= G. sessile (S ow.) Pouzar.]
Geastrum fimbriatum (Fr.) Fischer [= G. sessile (Sow.) Pouzar.]
Entre ortigas, en el margen de un camino, en el hayed o. Loc. 1. 11 - 9-8 7. Núm. 57 2 B.
Entre ortigas, en el margen de un camino, en el hayedo. Loc. 1. 11-9-87. Núm. 572 B.
* Geastrum pectinatum Pers . : Pers .
Geastrum pectinatum Pers. : Pers.
Bajo coníferas ornamentales. Loc. 4. 18 -5-91. Núm. B.
Bajo coníferas ornamentales. Loc. 4. 18-5-91. Núm. B.
Geastrum quadrilidum Pers.: Pers.
* Geastrum quadrilidum Pers.: Pers.
Bajo Juniperus communis. Loc. 1. 8-91.
Bajo Juniperus communis. Loc. 1. 8- 91.
Orden Liycoperda ceae
Orden Liycoperdaceae
Bovi sta nigrescens Pers . : Pers
Bovista nigrescens Pers. : Pers.
Bajo hayas. Loc. 1. 5-87. Núm. 1091 B. 26-3-89. Núm. 1041 B. 24-2-90. Núm. 1367 B.
Bajo hayas. Loc. 1. 5-8 7. Núm. 1091 B. 26-3-89. Núm. 1041 B. 24-2-90. Núm. 1367 B.
Calvatia cyathi fo rmis (Bosc) Morgan.
Calvatia cyathiformis (Bosc) Morgan.
Entre hojas secas de haya. Loc. 1. Núm. 1497 B.
Entre hojas secas de haya. Loc. 1. Núm. 1497 B.
Orden Hysterangiaceae
Orden Hysterangia ceae
* Hy steran gium separabile Zeller 1941 [= H. clathroides autc. (non Vitt .)]
Hysterangium separabile Zeller 1941 [= H. clathroides autc. (non Vitt.)]
Baj o Abies alba. Loc. 4. 18 -5- 91.
Bajo Abies alba. Loc. 4. 18-5-91.
Orden Melanogastraceae
Orden Melanogastra ceae
* Alpova rubescens (Vitt .) Trappe 19 75.
Alpova rubescens (Vitt.) Trappe 1975.
Bajo Abies alba y Picea sp. Loc. 1. 18 -5-91. Identificación J. M. Vidal.
Bajo Abies alba y Picea sp. Loc. 1. 18-5-91. Identificación J. M. Vidal.
Nota:
Nota:
Las especies sin número de herbario, estan pendientes de su registro en la micoteca, en la fecha de redacció de este trabajo.
Las especies sin número de herbario, están pendientes de su registro en la micoteca, en la fecha de redacció de este trabajo.
AGRA DECIMIENTOS
AGRADECIMIENTOS
Agradecemos, una vez mas, la colaboración de los especialistas del Departamento de Botanica de la Facultad de Biologí a, M. AGUASCA, J. LLISTOSELLA, I. LLORENS, M. P. MART Í N y D. SIE RRA, así como a J. M. VIDAL y a los demas mie mbros de la S.C.M. que nos han ayudado con legados y colaborando en determi nacio nes. A los Doctores R. P O DER, F. D. CALONGE y G. MORENO por su ayuda en algunas ide ntificaciones de especies críticas y al Or. X. LLIMONA, que nos ha guiado en la preparación de este trabajo.
Agradecemos, una vez más, la colaboración de los especialistas del Departamento de Botánica de la Facultad de Biología, M. AGUASCA, J. LLISTOSELLA, I. LLORENS, M. P. MARTÍN y D. SIERRA, así como a J. M. VIDAL y a los demás miembros de la S.C.M. que nos han ayudado con legados y colaborando en determinaciones. A los Doctores R. PODER, F. D. CALONGE y G. MORENO por su ayuda en algunas identificaciones de especies críticas y al Dr. X. LLIMONA, que nos ha guiado en la preparación de este trabajo.
86

Butll. Soc. Catalana Micol. 14-15 77-86 Barcelona 1991
Bu tll. Soc. Catalana Micol. 14-15 77-86 Barcelona 1991
BIBLlOGRAFÍA
BIBLIOGRAFÍA
AZÉMA, R. C. (19 88). Cortina ires recoltés à Sant Hilari Sacalm. Documents Mycologiques. n.O 73: 1- 21. BOLÒS, de O. (19 83). La vegetación del Montseny. Diputació de Barcelona. Servei de Parcs Natura ls. BREITENBACH, J. KRANZLIN, F. (1 98 1-19 86) . Champignons de Suisse. Torne I. Ascom ycètes. Torne 11. Champignons sans lames Torne III. Bolets et champignons à lames. 1è re partie. Lucerne.
AZÉMA, R. C. (1988). Cortinaires recoltés á Sant Hilari Sacalm. Documents Mycologiques. n.° 73:1-21. BOLOS, de 0. (1983). La vegetación del Montseny. Diputació de Barcelona. Servei de Pares Naturals. BREITENBACH, J. KRANZLIN, F. (1981-1986). Champignons de Suisse. Tome I. Ascomycétes. Tome II. Champignons sans lames. Tome III. Bolets et champignons á lames. lére partie. Lucerne.
BERTEA, P. BON, M. CHEVASSUT , G. COURTECUISSE, R. LECOT, C. NEVILLE, P. PROUST, F. RASCOL, J. P. (18 69). Les Noms valides des Champignons. Annales n.O 1 Fed. Assoc. Mycol. Me diterranneénnes. 2ème. édition.
BERTEA, P. BON, M. CHEVASSUT, G. COURTECUISSE, R. LECOT, C. NEVILLE, P. PROUST, F. RASCOL, J. P. (1869). Les Noms valides des Champignons. Annales n.° 1 Fed. Assoc. Mycol. Mediterranneénnes. 2éme. édition.
BON, M. (19 88). Guía de Campo de los Hon;10s de Euro pa'.- Edicions Omega, S.A. Barcelona, 35 1 pp.
BON, M. (1988). Guía de Campo de los Hongos de Europa. Edicions Omega, S.A. Barcelona, 351 pp.
CALONGE, F. D., ROCABRUNA, A., TABARES, M. y RODRIGUE Z, N. B. (19 85). Contribución al estudio de los Ascomicetes españoles. Boletín S.M. de Madrid, n.O 9: 54- 53
CALONGE, F. D., ROCABRUNA, A., TABARES, M. y RODRÍGUEZ, N. B. (1985). Contribución al estudio de los Ascomicetes españoles. Boletín S.M. de Madrid, n.° 9: 54-53.
CALONGE, F. D., ROCABRUNA, A., TABARÉS, M. y SIERRA, D. (19 86) Contribución al estudio de los Ascomycotina españoles lI, Boletín S.M. de Madrid V. 11 (1).: 27-37.
CALONGE, F. D., ROCABRUNA, A., TABARÉS, M. y SIERRA, D. (1986). Contribución al estudio de los Ascomycotina españoles II, Boletín S.M. de Madrid V. 11(1).: 27-37.
CALONGE, F. D., ROCABRUNA, A., TABARÉS, M. y SIERRA, D. (1986). Contribución al estudio de la Ascomycotina españoles III. Butlletí S.C.M. n.° 10.: 35-47.
CALONGE, F. D., ROC ABRU NA, A., TABARÉS, M. y SIERRA, D. (1 986). Contribución al estudio de la Ascomycotina III. Butlletí S.C.M. n.O 10. : 35- 47.
ERIKSSON, O. & HAWKSWORTH, D. L. (1987). An alfhabetical list of the generic names of Ascomycetes. Systema Ascomycetum 6 (1): 1-109.
ERIKSSON, O. & HAWKSWORTH, D. L. (19 87). An alfhabetical list of the generi e names of Ascomycet es. Systema Ascomycetum 6 (1): 1-109.
GIR BAL, J. (19 86). Fongs del Montseny. El patrimoni biològic del Montseny. Diputació de Barcelona .: Catàlegs de Flora i Fauna I. Diputació de Barce lona. 12 -30
GIRBAL, J. (1986). Fongs del Montseny. El patrimoni biológic del Montseny. Diputació de Barcelona.: Catálegs de Flora i Fauna I. Diputació de Barcelona. 12-30.
JÜLICH, Walter (1 984) Guida alla determinazione de funghi. Vol. 2.e Trento 597.
JULICH, Walter (1984). Guida alla determinazione de funghi. Vol. 2.e Trento. 597.
LLISTOSELLA, J., AGUASCA, M. (19 86). EI 1. er «Mini-Foray» de la British Mycological Society a Catalunya . Butlletí S.C. M. n.O 10. : 19 -33.
LLISTOSELLA, J., AGUASCA, M. (1986). El Ler «Mini-Foray» de la British Mycological Society a Catalunya. Butlletí S.C.M. 10. : 19-33.
MARCHAND, A. (19 80 a 1986). Champignons du nord et du midi. Vol. 1 al 9. Perpignan.
MARCHAND, A. (1980 a 1986). Champignons du nord et du midi. Vol. 1 al 9. Perpignan.
MARTÍN, M. P. (19 88). Aportación al conocimiento de las Higroforaceas y Gasteromicetes de Catalunya Edic. Esp. S.C.M. Vol. lI.: 508.
MARTÍN, M. P. (1988). Aportación al conocimiento de las 1--Tigroforáceas y Gasteromicetes de Catalunya. Edic. Esp. S.C.M. Vol. II.: 508.
MOSER, M. (1 978). Guida alla determinazione del funghi. Trento 565.
MOSER, M. (1978). Guida alla determinazione del funghi. Trento. 565.
ROC ABRUNA, A., TABARÉS, M. (1985). Aportaciones a la flora micológica de Catalunya . El Ordre Bole tales. Gilbert Butlletí S.C .M. n.O 9.: 27 -3 7.
ROCABRUNA, A., TABARÉS, M. (1985). Aportaciones a la flora micológica de Catalunya. El Ordre Boletales. Gilbert. Butlletí S.C.M. n." 9.: 27-37.
SANCLEMENTE, M. S. y LLIMONA, X. (1987). Aportación al conocimiento de las Tricolomatáceas de Cataluña. Butlletí S.C.M. n.° 11.: 29-72.
SANCLEMENTE, M. S. y LLIMONA, X. (19 87). Aportación al conocimiento de las Tricolomataceas de Cataluña. Butlletí S.C.M. n.O 11 .: 29-72.
SIERRA, D. (1987). Aportación al conocimiento de los Ascomicetes (Ascomycotina) de Catalunya. Edic. Esp. S.C.M. Vol. I.: 481.
SIE RRA, D. (19 87). Aportación al conocimiento de los Ascomicetes (Ascomycotina) de Catalunya Edic Esp. S.C. M. Vol. 1. : 48 1.
SIERRA, D., ROCABRUNA, A., TABARÉS, M. (1987). Aportación al Catálogo de Ascomicetes de Catalunya. Butlletí S.C.M. n." 11.: 99-110.
SIERRA, D., ROC ABRUNA, A., TABARÉS, M. (1 987). Aportación al Catalogo de Ascomicetes de Catalunya. Butlletí S.C.M. n.O 11.: 99 -1 10.
SOCIETAT CATALANA DE MIC OLOGIA (1982- 19 88) «Bolets de Catalunya» : co¡ ¡eccions I a IX. 450. TORRE, M. de la, ROCABRUNA, A., TABARÉS, M., ARROYO, I. yCALONGE, F. D. (19 87 ). Contribución al estudio de los Ascomycotina españoles IV. Boletín S.M. de Madrid. n.O 12.: 35-38
SOCIETAT CATALANA DE MICOLOGIA (1982-1988) «Bolets de Catalunya»: col-leccions I a IX. 450. TORRE, M. de la, ROCABRUNA, A., TABARÉS, M., ARROYO, I. y CALONGE, F. D. (1987). Contribución al estudio de los Ascomycotina españoles IV. Boletín S.M. de Madrid. n." 12.: 35-38.
Bu til. Soc. Catalana Micol. 14-15 87 -98 Barcelona 1991

APORTACIÓN
APORTACIÓN AL CONOCIMIENTO DE LOS HONGOS DE LA SIERRA DE COLLSEROLA Y ZONAS PRÓXIMAS (CATALUNYA), II.
AL CONOCIMIENTO DE LOS HONGOS DE LA SIERRA DE COLLSEROLA Y ZONAS
PRÓXIMAS (CATALUNYA) , Il .
Manuel Tabarés* y August Rocabruna** *Coll de portell, 44 bajos. 08024 Barcelona. **Gran Via, 111-átic ler. 08330 Premió de Mar (El Maresme).
Ma nuel Tabarés" y August Rocabruna .... "Coll de portell, 44 baj os. 08024 Barcelona . .... Gran Via, III - àtic ler. 08330 Premià de Ma r (El Ma res me) .
SUMMARY
SUMMARY
Second contribution to the catalogue of fungi observed in Catalonian littoral mountains, in the Collserola forest (Barcelona) in the zone delimited in the mapo We list 133 species composed by Ascomycetes and Basidiomyc etes. Some of them have a special interest : Lachnum clandestinum (Bull ex Mé rat) Fuck . Pezize mora ve cii (Svrcek) Oonadini , Pterula mu ltifida Fr. : Fr, CamarophyJJopsis fo etens (P hi ll.) Arnolds, CoJJybia racemosa (Pers . : Fr.) Quel, Cys tolepiota sistrata (Fr. : Fr.) Sing. ex Bon a Bellu, LimaceJJa gJioderma (Fr.) Ear1e Inocibe griseolila cina Lge .
Second contribution to the catalogue of fungi observed in Catalonian littoral mountains, in the Collserola forest (Barcelona) in the zone delimited in the map. We list 133 species composed by Ascomycetes and Basidiomycetes. Some of them have a special interest: Lachnum clandestinum (Bull ex Mérat) Fuck. Pezize moravecii (Svréek) Donadini, Pterula multifida Fr. : Fr, Camarophyllopsis foetens (Phill.) Arnolds, Collybia racemosa (Pers. : Fr.) Quel, Cystolepiota sistrata (Fr. : Fr.) Sing. ex Bon a Bellu, Limacella glioderma (Fr.) Earle Inocibe griseolilacina Lge.
RESUMEN
RESUMEN
Segundo catálogo de los hongos observados en la cordillera litoral catalana, macizo forestal de Collserolla (Barcelona) y zonas urbanas próximas, en el territorio representado en el mapa. Citarnos un total de 133 especies, que comprenden Ascomycetes y Basidiomycetes, destacando por su especial interés: Lachnum clandestinum (Bull ex Mérat) Fuck. Pezize, mora vecii (Svréek) Donadini, Pterula multifida Fr. : Fr, Camarophyllopsis foetens (Phill.) Arnolds, Collybia racemosa (Pers. : Fr.) Quel, Cystolepiota sistrata (Fr. : Fr.) Sing ex Bon y Bellu, Limacella glioderma (Fr.) Rarle Inocybe griseolilacina Lge.
Segundo catal ogo de los hongos observados en la cordillera litoral catalana, mac izo forestal de Collserolla (Barcelona) y zonas urbanas próximas, en el territorio representado en el mapa. Citamos un total de 13 3 especies, que comprenden Ascomycetes y Basidiomyc etes, destacando por su especial interés: Lachnum clandestinum (Bull ex Mé rat) Fuck. Pezize, mora vecii (Svrcek) 00nadini, Pterula multífida Fr. : Fr, Cama rophyJJopsis foetens (P hi ll.) Arnolds , CoJJybia racemosa (P ers _ : Fr.) Quel, Cys tolepiota sistra ta (Fr. : Fr.) Sing ex Bon y BeJJu, LimaceJJa glio derma (Fr.) Rarle In ocybe griseolila cina Lge
INTRODUCCIÓN
INTRODUCCIÓN
Como continuación del catal ogo publicado en las paginas de este «Butlletí» en 19 87, aportamos 133 nue vos taxones a añadir a los 229 citados en dicho año. Para cada espec ie, damos la eco logí a, zona de rec olección y abundancia median te una escala
Como continuación del catálogo publicado en las páginas de este «Butlletí» en 1987, aportamos 133 nuevos táxones a añadir a los 229 citados en dicho año. Para cada especie, damos la ecología, zona de recolección y abundancia mediante una escala
88

Butll. Soc. Catalana Mico/. 14-15 87 -98 Barcelona 1991
Butll. Soc. Catalana Micol. 14-15 87-98 Barcelona 1991
de cinco grados : CCC, muy común; CC, bastante común; C, fr ecuen te ; R, relativamente rara ; y RR, muy rara
de cinco grados: CCC, muy común; CC, bastante común; C, frecuente; R, relativamente rara; y RR, muy rara.
De todas las especies citadas, conservamos dia positivas en color y, de una pa rte tamb ién, guardam os muestra en el her bario de la S.C.M. En este caso indicamos letra y número correspondiente de la citada micot eca.
De todas las especies citadas, conservamos diapositivas en color y, de una parte también, guardamos muestra en el herbario de la S.C.M. En este caso indicamos letra y número correspondiente de la citada micoteca.
La mayoría de las recolecciones han sido efectuadas por nosotros; en caso contrario indicamos el nombre del recolector.
La mayoría de las recolecciones han sido efectuadas por nosotros; en caso contrario indicam os el nombre del recolector.
En relación con el catálogo anterior hemos modificado en parte la nomenclatura y la ordenación taxonómica, al adoptar para los ascomicetes la propuesta de D. ERIKSSON & D. L. HAWKSWORTH 1987, relacionándolas alfabéticamente por Ordenes y Familias. Para los basidiomicetes seguimos la establecida por M. BON y recomendada por la FEDERATION DES ASSOCIATIONS MYCOLOGYQUES MEDITERRANEENES, al objeto de unificar criterios, y los ordenamos alfabéticamente dentro de los órdenes correspondientes, añadiendo los sinónimos de la anterior ordenación: MOSER 1979. Algunas especies han sido publicadas en las colecciones de «Bolets de Catalunya». En estos casos, citamos el número de la lámina correspondiente, como iconografía.
En relación con el catalogo anterior hemos modi fica do en parte la nomenclatura y la ordenación taxonómica, al adoptar para los ascomicetes la propuesta de D. ERIK SSON & D. L. HAWKS WORTH 19 87, relacionandolas alfabéticamente por Ó rdenes y Familias . Para los basidiomicetes seguimos la estable cid a por M. BON y recomendada por la FEDERATION DES ASSOCIA TIONS MY COLOGYQUES MEDITERRANEENES, al obj eto de unificar criterio s, y los ordenam os alfab éticamente den tro de los órdenes corres pondientes, añadiendo los sinónimos de la anterior ordenaci ón: MO SER 19 79. Algunas especies han sid o public adas en las colecciones de «Bolets de Catalun ya» En estos casos, citamos el número de la lamina corres pondiente , como ico nografí a.
El area de prospección que se extiende alreded or de 10 Km2 comprende qui nce localidades de estudio, cuyas altitud es var ían de los 10 0 a los 400 m.s.m. En el mapa adju nto aparecen numeradas y, a continua ción , las relacio nadas, señalando el UTM y vegetación dominan te.
El área de prospección que se extiende alrededor de 10 Km2 comprende quince localidades de estudio, cuyas altitudes varían de los 100 a los 400 m.s.m. En el mapa adjunto aparecen numeradas y, a continuación, las relacionadas, señalando el UTM y vegetación dominante.
1 La Paella . DF2886. Quercus i/ex, Pin us ha/epensis, Arbutus unedo y Robinia pseudoacacia.
1 La Paella. DF2886. Quercus ilex, Pinus halepensis, Arbutus unedo y Robinia pseudoacacia.
2 Font Groga . DF2786. Quercus pu bescens, Quercus i/ex, Robinia pseudoacacia, Acer negundo, Acer p/a tan oides, Acer pseudo-p/atanus, Popu/us alba, Ph oenix canariensis, Pin us ha/epensis, Aescu/us hippocastanum, U/mus minor, y P/a tanus hybrida . Esta zona es la mas rica en especies, debido a antiguas plantaciones que pertenecían a ja rdines de fincas residencial es.
2 Font Groga. DF2786. Quercus pubescens, Quercus ilex, Robinia pseudoacacia, Acer negundo, Acer platanoides, Acer pseudo-platanus, Populus alba, Phoenix canariensis, Pinus halepensis, Aesculus hippocastanum, Ulmus minor, y Platanus hybrida. Esta zona es la más rica en especies, debido a antiguas plantaciones que pertenecían a jardines de fincas residenciales.
3 Font d'en Sert. DF2786. Quercus pu bescens, Quercus i/ex, Pin us ha/epensis, Arbutus unedo, Cory/us ave· lla na y Ficus sp.
3 Font d'en Sert. DF2786. Quercus pubescens, Quercus ilex, Pinus halepensis, Arbutus unedo, Corylus avellana y Ficus sp.
4 Can Piera. DF2687. Quercus pubescens, Pinus halepensis y Arbutus unedo.
4 Can Piera. DF268 7. Quercus pu bescens, Pin us ha/epensis y Arbutus unedo.
5 San Medir. DF2688. Quercus pu bescens, Quercus i/ex, Pin us ha/epensis y Arbustus unedo.
5 San Medir. DF2688. Quercus pubescens, Quercus ilex, Pinus halepensis y Arbustus unedo.
6 Km. 11 (Ca rretera a Sant Cugat). DF248 8. Pin us ha/epensis y Quercus i/ex.
6 Km. 11 (Carretera a Sant Cugat). DF2488. Pinus halepensis y Quercus ilex.
7 Golf de Sant Cugat. DF2390. Pinus halepensis, Quercus ilex y Q. faginea ssp. cerrioides.
7 Golf de Sant Cugat. DF2390. Pin us halepensis, Quercus ilex y Q. faginea ssp. cerrioides.
8 Carretera de les Aigües. DF 2786. Pin us halepensis, P. pinea, P. pinaster, Quercus ilex, Q. coccifera y Arbutus unedo.
8 Carretera de les Aigües. DF2786. Pinus halepensis, P. pinea, P. pinaster, Quercus ilex, Q. coccifera y Arbutus unedo.
9 Observa tori Fa bra. DF2785. Pin us halepensis, P. pinea y Arbutus unedo.
9 Observatori Fabra. DF2785. Pinus halepensis, P. pinea y Arbutus unedo.
10 Sta. Creu d'Olorde. DF2285. Quercus ilex y Pin us
10 Sta. Creu d'Olorde. DF2285. Quercus ilex y Pinus halepensis.
11 Villa Joana. DF2585. Quercus ilex y Pinus halepensis.
11 Villa Joana. DF2585. Quercus ilex y Pin us halepensis.
12 Les Planes. DF2386. Quercus ilex y Pinus halepensis.
12 Les Pla nes. DF2386. Quercus ilex y Pin us halepensis.
13 La Flor de Maig. DF269 1. Quercus Ilex, Pin us halepensis y Arbutus unedo.
13 La Flor de Maig. DF2691. Quercus Ilex, Pinus halepensis y Arbutus unedo.
14 Club de Tenis San Gervasi. DF2 485. Comprende una area entre Vallvidrera y Molins de Rei, con una ecología similar a la zona 10. Quercus ilex y Pin us halepensis.
14 Club de Tenis San Gervasi. DF2485. Comprende una área entre Vallvidrera y Molins de Rei, con una ecología similar a la zona 10. Quercus ilex y Pinus halepensis.
15 Parc Güell. DF2984. Dentro de la zona urbana de Barcelona. La parte boscosa de este parque esta formada en su mayor part e por Pin us ha/epensis y Cera tonia siliqua (algarrobos) con Vib urnum sp.
15 Parc Güell. DF2984. Dentro de la zona urbana de Barcelona. La parte boscosa de este parque está formada en su mayor parte por Pinus halepensis y Ceratonia siliqua (algarrobos) con Viburnum sp.


90

Bu tll. Soc. Catalana Micol. 14-15 87 -98 Barcelona 1991
ASCOM YCETTES
ASCOMYCETTES
Orden Leotiales
Orden Leotiales
Familia Geoglossa ceae
Familia Geoglossaceae
Geoglossum glabrum Pers. : Fr.
Entre musgo, en bosque mixto. Zona 7. 20- 1-87. C.
Geoglossum glabrum Pers. : Fr. Entre musgo, en bosque mixto. Zona 7. 20-1-87. C.
Familia Leotiaceas
Familia Leotiaceas
Bu lgaria inquinans (Pers. : Fr .) Fr.
Sobre tronco muerto de Quercus cerrioides. Zona 2. 2- 12 -89. R. Núm. 35 1 A. Sobre madera muerta de Quercus cerrioides. Zona 2. 8-7-88. R. Núm. 350 A.
Bulgaria inquinans (Pers. : Fr.) Fr. Sobre tronco muerto de Quercus cerrioides. Zona 2. 2-12-89. R. Núm. 351 A. Sobre madera muerta de Quercus cerrioides. Zona 2. 8-7-88. R. Núm. 350 A.
Bisporella citrina (Batsch : Fr .) Korf . & Carp Sobre ramas muertas de planifo lio. Zona 3. 7-2-8 8.-C. «B. de c." núm. 303.
Bisporella citrina (Batsch : Fr.) Korf. & Carp. Sobre ramas muertas de planifolio. Zona 3. 7-2-88.-C. «B. de C.» núm. 303.
Bisporella su lfurina (Quél) Carp .
Bisporella sulfurina (Quél) Carp.
Sobre rama de Corylus avella na, en una riera próxima a la zona 7. 15 -3- 88. R. Hym enoscyphus fr uctigenus (Bull. : Fr .) S.F. Gray
Sobre rama de Corylus avellana, en una riera próxima a la zona 7. 15-3-88. R. Hymenoscyphus fructigenus (Bull. : Fr.) S.F. Gray
Sobre bellotas . Zona 2 y 3. 4-4-89. C.
Sobre bellotas. Zona 2 y 3. 4-4-89. C.
Familia Hyaloscyphaceae
Familia Hyaloscyphaceae
Lachnum pat ulum (Pers. : Fr.) Rehm
Lachnum patulum (Pers. : Fr.) Rehm
Especie primaveral, sobre hojas caídas de Quercus cerrioides. Zona 4. 10-5-90. C. «B. de C" núm. 37 2.
Especie primaveral, sobre hojas caídas de Quercus cerrioides. Zona 4. 10-5-90. C. «B. de C» núm. 372.
La chnum clandestinum (Bull ex Mé rat) Fuck.
En el mismo habitat, época y l ugar que la especie anterior. Zona 4. 10-5-90. R. Determinación D. SIERRA. Pequeño ascocarpo compuesto por una copa de 1 mm de 0 y un pequeño pie . Pelos en el margen con cristales de oxtalato de calcio.
Lachnum clandestinum (Bull ex Mérat) Fuck. En el mismo hábitat, época y lugar que la especie anterior. Zona 4. 10-5-90. R. Determinación D. SIERRA. Pequeño ascocarpo compuesto por una copa de 1 mm de 0 y un pequeño pie. Pelos en el margen con cristales de oxtalato de calcio.
Familia Orbila ceae
Familia Orbilaceae
Orbilia xhantostigma (Fr. : Fr .) Fr.
Orbilia xhantostigma (Fr. : Fr.) Fr.
Sobre madera de Pinus halepensis, formando abundantes colonias. Zona 12. 19-5-88. C. 274 A.
Sobre madera de Pin us halepensis, formando abundantes colonias. Zona 12. 19 -5-88 . C. 274 A.
Familia Sclerotiniaceae
Familia Sclerotiniaceae
Ciboria batschiana (Zopf.) Buchw.
Ciboria batschiana (Zopf .) Buchw.
Sobre restos de amentos de Quercus pubescens. Zona 7. 12-1-88. C. 278 A. «B. de C.3 núm. 306.
Sobre restos de amentos de Quercus pu bescens. Zona 7. 12 -1- 88. C. 278 A. «B. de C.3 núm. 306.
Sclerotinia scler otiorum (Liberty) de Bary
Sclerotinia sclerotiorum (Liberty) de Bary
Sobre restos de vegetals enterrados, probablemente de Doronicum sp . Emerge de un esclerocio negro . Zona 2, bajo un puente del antiguo jardín residencial. 3-4-88 R. 261 A.
Poculum firm un (Pers .) Dumont
Sobre restos de vegetals enterrados, probablemente de Doronicum sp. Emerge de un esclerocio negro. Zona 2, bajo un puente del antiguo jardín residencial. 3-4-88. R. 261 A. Poculum firmun (Pers.) Dumont
Sobre ramas muertas de Pin us halepensis. Zona 4. 20-2-89. C.
Sobre ramas muertas de Pinus halepensis. Zona 4. 20-2-89. C.
Orden Pezizales
Orden Pezizales
Familia Ascobolaceae
Familia Ascobolaceae
Ascobolus furfuraceus Pers. : Fr.
Sobre excrementos de perro En otras recolecciones los hemos encontrado sobre excrementos de vacuno. Zona 4. 8-3-8 8. R.
Ascobolus furfuraceus Pers. : Fr. Sobre excrementos de perro. En otras recolecciones los hemos encontrado sobre excrementos de vacuno. Zona 4. 8-3-88. R.
Familia Geneaceae
Familia Geneaceae
Genea verruc osa Vitt.
Hypogea o epigea, baj o Quercus cerrioides. Zona 7. 4-3-9 1. R. Determinación J.M. VIDAL.
Genea verrucosa Vitt. Hypogea o epigea, bajo Quercus cerrioides. Zona 7. 4-3-91. R. Determinación J.M. VIDAL.
Familia Helvella ceae
Familia Helvellaceae
Hel vel laceae atra Holmskj . : Fr.
Sobre tierra musgosa, bajo Pin us halepensis. Zona 7. 15-1- 91. C. en esta zona.
Helvellaceae atra Holmskj. : Fr. Sobre tierra musgosa, bajo Pinus halepensis. Zona 7. 15-1-91. C. en esta zona.
Helvella macropus (Pers. : Fr .) P. Karst . Macroscypus macropus (Pers. ex S.F. Gray J. Primaveral , sobre tierra musgosa. Zona 7. 12 -4-8 7. R. 12 7 A.
Helvella macropus (Pers. : Fr.) P. Karst. Macroscypus macropus (Pers. ex S.F. Gray J. Primaveral, sobre tierra musgosa. Zona 7. 12-4-87. R. 127 A.

Bu tll. Soc. Catalana Micol. 14-15 87 -98 Barcelona 1991
Familia Peziza ceae
Familia Pezizaceae
Peziza albo rosea (Ba ud.) Mos.
Peziza alborosea (Boud.) Mos.
Sobre la tierra de una hondanada en bosque mixta. Zona. 12-1 -88 RR. 277 A. «B. de e.» núm. 386. Peziza ce rea Bull ex Mérat
Sobre la tierra de una hondanada en bosque mixto. Zona. 12-1-88. RR. 277 A. «B. de C.» núm. 386. Peziza cerea Bull. ex Mérat
Sobre arena y tierra húmeda. Zona 15. 14-5-88. e. 268 A.
Sobre arena y tierra húmeda. Zona 15. 14-5-88. C.268 A.
Peziza Iimn aena Maes Geest.
Peziza limnaena Maes Geest.
Sobre tierra con musgo muy húmedo, próxima a una riera. Entre las zonas 2 y 3. 10-6-8 7. R. 69 A. Peziza moravecii (Svrcek) Donadini
Sobre tierra con musgo muy húmedo, próxima a una riera. Entre las zonas 2 y 3. 10-6-87. R. 69 A. Peziza moravecii (Svréek) Donadini
En tierra con papel higiénico . Zona 4. 9- 10 -88. RR. 394 A. Ascocarpo de 1- 2 cm de (,25 acopada de color biege o crema.
En tierra con papel higiénico. Zona 4. 9-10-88. RR. 394 A. Ascocarpo de 1-2 cm de 0 acopado de color biege o crema.
Peziza saccardiana Cooke
Peziza saccardiana Cooke
Sobre tierra desnuda. Zona 2. 10 -12 -89. R.
Peziz a sani osa Schrader : Fr. Bella especie con característica latex de color añil. Sobre tierra o semi-enterrada entre agujas de Pin us halepensis y Erica sp. Zona 4. Recolecciones el 10 -5-88 entre agujas de Pin us halepensis y Erica sp. Zona 4. Recolecciones el 10 -5-88. 270 A. y el 15 -5- 88. 340 A. e. «B. de e.» núm. 387.
Sobre tierra desnuda. Zona 2. 10-12-89. R. Peziza saniosa Schrader : Fr. Bella especie con característico látex de color añil. Sobre tierra o semi-enterrada entre agujas de Pinus halepensis y Erica sp. Zona 4. Recolecciones el 10-5-88 entre agujas de Pinus halepensis y Erica sp. Zona 4. Recolecciones el 10-5-88. 270 A. y el 15-5-88. 340 A. C. «B. de C.» núm. 387.
Peziza vesiculosa Bull. : Fr.
Peziz a vesic ulosa Bull. : Fr.
Sobre paja. Zona 7. 4- 2-89 e. 12 9 A. «B. de e.» núm. 490
Sobre paja. Zona 7. 4-2-89. C. 129 A. «B. de C.» núm. 490.
Pul paria plan chonis (Dun ex Bou d.) Korf Baja Pin us halepensis, en tierra desnuda. Zona 15. 12 -3-89 . 15 3 A.
Pulparia planchonis (Dun ex Boud.) Korf Bajo Pinus halepensis, en tierra desnuda. Zona 15. 12-3-89. 153 A.
Familia Pyrenometaceae
Familia Pyrenometaceae
Cheilymenia theleboloides (A. & S. : Fr .) Baud
Cheilymenia theleboloides (A. & S.: Fr.) Boud.
Sobre estiércol. Zona 15. 22-3-8 7. e. 22 A.
Sobre estiércol. Zona 15. 22-3-87. C. 22 A.
Scutellinia armatospora Dension
Scutellinia armatospora Dension
Sobre tierra. Ornamentación esporal constituida por verrugas troncocónicas. Zona 2. 2-2-90. R. Scutellinia trechispora (Berk. & Br.) Lamb.
Sobre tierra. Ornamentación esporal constituida por verrugas troncocónicas. Zona 2. 2-2-90. R. Scutellinia trechi spora (Berk. & Br .) Lamb.
Sobre tierra. Ornamentación esporal constituida por verrugas redondeadas y bajas. Zona 3. 4-3-90. 4. Tarzetta cupularis (L. : Fr.) Lamb.ss Dennis
Sobre tierra. Ornamentación esporal constituida por verrugas redondeadas y bajas. Zona 3. 4-3-90. 4. Tarzetta cupularis (L. : Fr .) Lamb.ss Dennis
Sobre tierra desnuda, en el talud de un camino. Zonas 2 y 15. 12-4-89. R. Plectania melastoma (Sow. : Fr.) Fuck.
Sobre tierra desnuda, en el talud de un camino. Zonas 2 y 15. 12 -4-89. R. Plectania mel astoma (Sow. : Fr .) Fuck.
Sobre madera muerta de planifolio. Zona 4. 6-6-88. R. 341 A. «B. de C.» núm. 187.
Sobre madera muerta de planifolio. Zona 4. 6-6-8 8. R. 341 A. «B. de e.» núm. 187.
Familia Tuberaceae
Familia Tuberaceae
Tuber aestivum Vitt 1831
Tuber aestivum Vitt. 1831
Baja Quercus ilex y Quercus pu bescens.- Zonas 7 y 14. 20-3 -9 1 y 15 -4-9 1. Ce. «B. de e.» núm. 18 9. Tuber borchii Vitt. 18 31
Bajo Quercus ilex y Quercus pubescens.- Zonas 7 y 14. 20-3-91 y 15-4-91. CC. «B. de C.» núm. 189. Tuber borchii Vitt. 1831
Bajo Quercus. Zona 3. Determinación J.M. VIDAL.
Tuber excavatum Vitt. 1831 var. excavatum
Baja Quercus. Zona 3. Determinación J.M. VIDAL . Tuber excavatum Vitt 18 31 var. excavatum
Bajo Quercus ilex y Q. pubescens. Zona 7. 20-3-91. C. Determinación J.M. VIDAL. Tuber maculatum Vitt. 1831
Baja Quercus ilex y Q. pubescens. Zona 7. 20-3-9 1. e. Determinación J.M. VIDAL Tuber maculatum Vitt 18 31
Bajo Quercus ilex. Zona 14. 12-5-91. RR. Determinación J.M. VIDAL. Tuber oligospermun (L. & Ch. Tul) Trappe 1979
Baja Quercus ilex. Zona 14. 12 -5-9 1. RR. Determinación J.M. VIDAL . Tuber oligosperm un (L. & Ch. Tul) Trappe 197 9
Bajo Quercus ilex. Zona 7. 15-3-91. RR. Determinación J.M. VIDAL. Tuber rufum Pico 1788
Baja Quercus ilex. Zona 7. 15 -3-9 1. RR. Determinación J.M. VIDAL. Tuber rufum Pico 17 88
Bajo Corylus avellana y Quercus cerrioides. Zona 7. 3-6-91. CC. 346 A. «B. de C.» núm. 500.
Baja Corylus avella na y Quercus cerrioides. Zona 7. 3-6-9 1. ce. 346 A. «B. de e.» núm. 500.
Rhitism atales
Orden Rhitismatales
Familia Rhitismataceae
Familia Rhitismataceae
Lasiostictis fimbriata (Schw Baumler
Lasiostictis fimbriata (Schw.) Báumler
Sobre escudetes de piñas de Pinus halepensis. Zona 2. 4-5-88.-C.-182 A.«B. de C.». núm. 374.
Sobre escudetes de piñas de Pinus halepensis. Zona 2. 4-5-88.-e. -18 2 A.« B. de e.» núm. 374.
92

Bu tll. Soc. Catalana Micol. 14-15 87 -98 Barcelona 1991
Orden Sordariales
Orden Sordariales
Helmi ntosphaer ia c1avarium (Tul.) Fuckel
Helmintosphaeria clavarium (Tul.) Fuckel
Parásita sobre Clavaria cristata. Zona 5. 6-1-90.-R.-359 A.
Parasita sobre Cla varia crista ta. Zona 5. 6- 1- 90.-R.-359 A.
Orden Xilariales
Orden Xilariales
Familia Xilaria ceae
Familia Xilariaceae
Xitaria polymorpha (Pers. : Fr .) Gr ev.
Xilaria polymorpha (Pers. : Fr.) Grey.
Sobre madera de chopo muerto. Zona 2. 20-7-90.-C.-«B. de C». núm 250.
Sobre madera de chopo muerto. Zona 2. 20-7 -90.-C.-«B. de C». núm 250.
BA SIDIOM YCE TES
BASIDIOMYCETES
Orden Aphyllophorales
Orden Aphyllophorales
Clavariadelphus pistillaris (L. : Fr.) Donk
Bajo Quercus ilex. Zona 10. 15-10-89.-R.-«B. de C.» núm. 455.
Clavulinopsis laeticolor (Berk. & Curt.) Peterson
Clavariadelphus pistillaris (L. : Fr .) Donk Bajo Quercus ilex. Zona 10. 15-10 -89 .-R.- «B. de c.» núm. 455. Clavuli nopsis laeticolor (Berk & Curt .) Peterson
Bajo Pinus sp. y Quercus sp, entre abundante humus. Zona 5.-R.- 817 B. Determinación J.M. VIDAL.
Clavulinopsis Iuteoalba (Rea) Corner
Bajo Pin us sp. y Quercus sp, entre abundante humus. Zona 5.-R.- 817 B. Determinación J.M. VIDAL. Clavuli nopsis lu teoalba (Rea) Corner
Especie microscópicamente muy parecida ac fusiform es y ac cornicula ta .- Zona 4. 15 -1 0-89 .-R.- Determinación J.M. VIDAL.
Especie microscópicamente muy parecida a C. fusiformes y a C. corniculata.- Zona 4. 15-10-89.-R.- Determinación J.M. VIDAL.
Chondrosterium purpureum (Pers. : Fr .) Pouz. = Stereum purpureum (Pers. : Fr.) Fr.
Chondrosterium purpureum (Pers. : Fr.) Pouz. = Stereum purpureum (Pers. : Fr.) Fr.
Sobre tocones de planifolios, durante todo el año.-Font de l'Arrabassada, entre las zonas 2 y 3. 16-3-91.-CC.
Sobre tocones de planifolios, durante todo el año. -Font de l' Arraba ssada, entre las zonas 2 y 3. 16 -3-9 1. - CC.
Ionotus hispidus (Bull. : Fr.) P. Karst.
Ionotus hi spidus (Bull. : Fr.) P. Karst.
Sobre Populus sp. Zona 15. 30-9-89.-C. Sobre Morus sp, en la zona 10.-C.-1143 B. Leg. A. MAYORAL.
Meruliopsis corium (Pers. : Fr.) Ginns.
Sobre Populus sp. Zona 15. 30-9 -89.-C. Sobre Morus sp, en la zona 10 .-C .-1 14 3 B. Leg. A. MAYORAL. Mer uli opsis corium (Pers. : Fr.) Ginns.
Sobre ramas caídas de Quercus ilex, todo el año. Zona 5. 2-4-90 .-CC.
Sobre ramas caídas de Quercus ilex, todo el año. Zona 5. 2-4-90.-CC.
Picno pore llus alboluteus (Ell. et Ev.) Kolt. & Pouz
Picnoporellus alboluteus (Ell. et Ev.) Kolt. & Pouz
Sobre tronco de Pin us halepensis. Zona 4. 12-10 -8 8.- RR.- 9 12 B
Sobre tronco de Pinus halepensis. Zona 4. 12-10-88.-RR.-912 B.
Pterula multifida Fr. : Fr.
Pterula multifida Fr. : Fr.
Sobre abundante humus de Corylus avellana. Zona 7. 20-10-90.-RR. En forma de Ramaria de 5-8 cm de altura con ramificaciones blancas u ocráceas, finas, apretadas con extremidades puntiagudas naciendo de un tronco común. Polyporus arcalarius (Basch: Fr.) Fr.
Sobre abundante humus de Corylus avellana. Zona 7. 20 -10-90.-RR. En forma de Ramaria de 5-8 cm de altura con ramificaciones blanca s u ocraceas, finas, apretadas con extremi dades puntiagudas naciendo de un tronco común. Polyporus arcalarius (Basch: Fr.) Fr.
En madera indeterminada. Zona 2. 20-3-87.-R.-544 B. «B. de C.» núm. 87. Leg. G. CARRASCOSA. Ramaria flaccida (Fr. : Fr.) Boud.
En madera indeterminada. Zona 2. 20-3-8 7.-R.- 544 B. «B. de c.» núm. 87. Leg. G. CARRASCOSA. Ramaria fI accida (Fr. : Fr .) Boud.
En bosque mixto. Zona 7. 20-1-90.-RR.-1315 B.
En bosque mixto. Zona 7. 20- 1- 90.-RR .-1315 B.
Ramaria formosa (Pers. : Fr.) Quél.
Ramaria formosa (pers. : Fr.) Quél.
En tierra, bajo Quercus cerrioides. Zona 4. 12-11-89.-RR.-«B. de C.» núm. 87.
Ramariopsis crocea (Pers. : Fr.) Corner
En tierra, bajo Quercus cerrioides. Zona 4. 12 - 11 - 89 .- RR. -«B . de c.» núm. 87. Ram ariopsis crocea (Pers. : Fr .) Corner
Bajo Quercus pu bescens y Pin us halepensis. Zona 4. 12-10 -8 8.-R.- 1482 B.
Bajo Quercus pubescens y Pinus halepensis. Zona 4. 12-10-88.-R.- 1482 B.
Ram ariopsis kunzei (Fr.) Corner
Ramariopsis kunzei (Fr.) Corner
En la tierra, baja Quercus ilex. Zona 5. 20-12-90.-R. Stereum ochraceoflavum (Schw.) Ellis
En la tierra, baj a Quercus ilex. Zona 5. 20- 12 -90.-R. Stereum ochraceofIavum (Schw.) E\lis
Sobre ramas caídas de Quercus ilex, durante todo el año. Zona 5. 12-12-90. C.-
Spongiporus subcaesius (David) David = Postia subcaesia (David) Jülich sobre madera de Populus sp. Zona 2. 10-9-88.-C.- 1002 B.
Sobre ramas caídas de Quercus ilex, durante todo el año. Zona 5. 12-12 -90. c.Spongiporus subcaesius (David) David = Postia su bca esia (David) Jülich sobre madera de Pop ulus sp. Zona 2. 10 -9-88.-C.- 1002 B.
Orden Boletales
Orden Boletales
Paxillus involutus (Bastch: Fr.) Fr.
Pax illus involutus (Bastch: Fr .) Fr.
Bajo planifolios. Zona 3. 20-11-89.-R.- «B. de C.» núm. 83.
Bajo planifolios. Zona 3. 20 -1 1- 89.-R.- «B. de c.» núm 83.

Butll. Soc. Catalana Micol. 14-15 87 -98 Barcelona 1991
14-15 87-98 Barcelona 1991
Xer ocomus ch rysenteron (BulL) Quél.
Xerocomus chrysenteron (Bull.) Quél.
Bajo Quercus pu bescens y Pin us halepensis, en las proximidades del puente entre Can Piera y la carretera de l' Arrabassada. Zona 4. lS-1 0-90 .-C.- «B. de c.» núm. 399.
Bajo Quercus pubescens y Pinus halepensis, en las proximidades del puente entre Can Piera y la carretera de l'Arrabassada. Zona 4. 15-10-90.-C.-«B. de C.» núm. 399.
Xerocomus pulverulentus (Opat .) Gilb. = Boletus pulverulentus Opat.
Xerocomus pulverulentus (Opat.) Gilb. = Boletus pulverulentus Opat.
Bajo Corylus avellana. Zona 2. 9-9-89 .-R.- 15 00 B.
Bajo Corylus avellana. Zona 2. 9-9-89.-R.- 1500 B.
Orden
Orden Agaricales
Agrocybe vervacti (Fr. : Fr.) Sing.
Entre la hierba. Zona 7. S-S-88 .-R.
Agrocybe vervacti (Fr. : Fr.) Sing. Entre la hierba. Zona 7. 5-5-88.-R.
Ama ni ta echi nocephala (Vitt .) Quél.
En un camino, entre Hedera helix, en bosque de Quercus ilex. Zona 4. 11 -1l- 89.-RR.- 15 08 B.
Ama nita ovoidea (Bull. : Fr .) Link
Amanita echinocephala (Vitt.) Quél. En un camino, entre Hedera helix, en bosque de Quercus ilex. Zona 4. 11-11-89.-RR.- 1508 B. Amanita ovoidea (Bull. : Fr.) Link
Bajo Pinus halepensis. Zona 3. 20-11-88.-R.- «B. de C.» núm. 54 B.
Amanita umbrinolutea (Gill.) Bat. ss str. Bajo Pinus halepensis. Zona 4. 15-10-89.-R.
Bajo Pin us halepensis. Zona 3. 20-11-88.-R.- «B de c.» núm. 54 B. Ama nita umbrinol utea (Gill .) Bat. ss str. Bajo Pin us halepensis. Zona lS-1 0-89.-R.
Baeospora myosura (Fr.) Sing.
Sobre piñas de Pin us halepensis. Zona 4. lS -3-9 1. -R.
Baeospora myosura (Fr.) Sing. Sobre piñas de Pinus halepensis. Zona 4. 15-3-91.-R.
Bolbitius vitellinus (Pers. : Fr .) Fr.
Bolbitius vitellinus (Pers. : Fr.) Fr.
Sobre restos herbáceos en descomposición, en la Font de l'Arrabassada, entre las zonas 2 y 3. 15-5-89.-RR.«B. de C.» núm. 304.
Sobre restos herbaceos en descomposición, en la Font de l' Arrabassada, entre las zonas 2 y 3. lS-S-89 .-RR .«B de c.» núm. 304.
Camarophyllopsis fo etens (Phil l.) Amolds = Hygrotrama foetens (Phill. ex Bk. & Br.)
Camarophyllopsis foetens (Phill.) Arnolds = Hygrotrama foetens (Phill. ex Bk. Br.)
Baj o matas de Salvia officinalis, plantadas. Zona 7. -RR .- «B de c.» núm. 357. Sing.
Sombrero de 11 / 2-3 cm de 0 enbudado en la vejez. Laminas espaciadas y muy anosatomosadas que recuerdan a una Omphalia. Came con característica olor a naftalina.
Bajo matas de Salvia officinalis, plantadas. Zona 7.-RR.- «B. de C.» núm. 357. Sing. Sombrero de 172-3 cm de 0 enbudado en la vejez. Láminas espaciadas y muy anosatomosadas que recuerdan a una Omphalia. Carne con característica olor a naftalina.
Chaetocalathus craterellus (Dur. & Lév.) Sing.
Chaetocalath us crat erellus (Dur. & Lév.) Sing.
Sobre ramas secas de zarza , en la hondanada de un antiguo ja rdín privado, entre las zonas 2 y 3. 12 -3-9 1. c.«B de c.» núm 357.
Sobre ramas secas de zarza, en la hondanada de un antiguo jardín privado, entre las zonas 2 y 3. 12-3-91. C.«B. de C.» núm. 357.
Clitocybe font-queri Heim
Clitocybe fo nt-queri Heim
En un camino de bosque, bajo Cistus sp. Zona 4. 10-11-87.-R.-934 B. «B. de C.» núm. 307.
En un camino de bosque, bajo Cistus sp. Zona 4. 10 -11-87.- R.-934 B. «B . de c.» núm. 307.
Clitocybe metachroa (Hall. : Fr.) Kumm.
Clitocybe metach roa (HalI. : Fr.) Kumm.
Bàj o Cis tus sp y Pin us halepensis» , en el borde de un camino. Zona 4. lS-1-89.-R.
Bajo Cistus sp y Pinus halepensis», en el borde de un camino. Zona 4. 15-1-89.-R.
Cl itocybe phaeophthalma (Pers .) Kuyper = C. hydrogra mma (Bull. : Fr.) Kumm.
Clitocybe phaeophthalma (Pers.) Kuyper = C. hydrogramma (Bull. : Fr.) Kumm.
Baj o Quercus sp. en las zonas 2,3, 4 y 5. 12-12 -89.-C.- 14 70 B, muestra de la zona 5.
Bajo Quercus sp. en las zonas 2, 3, 4 y 5. 12-12-89.-C.- 1470 B, muestra de la zona 5.
Collybia rac emosa (Pers. : Fr.) Quél.
Collybia racemosa (Pers. : Fr.) Quél.
Semienterrada entre las capas de hojas secas de Quercus pubescens. Especie interesante, caracterizada por numerosas ramificaciones a lo largo del pie, en donde se producen conidios. Zona 7. 2-11-88.-R.- 1510 B. «B. de C.» núm. 361.
Semienterrada entre las capas de hoj as secas de Quercus pu bescens. Especie interesante, caracterizada por numerosas ramificaciones a lo largo del pie, en donde se producen conidios Zona 7. 2- 11 - 88.-R.- 1510 B. «B de c.» núm. 36 1.
Collybia tuberosa var. cookei (Bres.) Bon & Courtec. = C. cookei (Bres.) Arnols
Collybia tuberosa var. cookei (Bres .) Bon & Courtec. = C. cookei (Br es.) Amols
Entre hojas de Quercus pubescens, caracterizada por crecer a partir de un esclerocio amarillo-ocráceo. Zona 7. 11-11-90.-C.
Entre hojas de Quercus pu bescens, caracterizada por crecer a partir de un esclerocio amarillo-ocraceo. Zona 7. 11 -11- 90.-C.
Conocybe bruneola (Kühn.) Kühn. et Romagn.
Conocybe bruneola (Kühn.) Kühn. et Romagn.
Bajo algarrobos, entre la hierba. Zona 15. 10-7-86.-R.- 266 B.
Bajo algarrobos, entre la hierba. Zona 15. 10-7-86.-R.- 266 B.
Conocybe siennophila (Bk. & Br .) Sing.
Conocybe siennophila (Bk. Br.) Sing.
Entre la hierba. Zona 7. 22-9- 88.-R.- 1081 B.
Entre la hierba. Zona 7. 22-9-88.-R.- 1081 B.
Coprin us leiocephalus Orton = C. plica tilis var. microsporus Kühn.
En la tierra, entre hierba, en la Font de St. Sever. Zona 5. 10-S-90 .-R.- 1477 B.
Coprinus leiocephalus Orton = C. plicatilis var. microsporus Kühn. En la tierra, entre hierba, en la Font de St. Sever. Zona 5. 10-5-90.-R.- 1477 B.
Coprinus picaceus (Bull. : Fr.) S. F. Gray
Cop rin us picaceus (Bull. : Fr .) S. F. Gray
En bosque de Quercus sp. Zona 5. 10-5-90. Zona 2. 10-10-90. C.- «B. de C.» núm. 161.
En bosque de Quercus sp. Zona 5. 10 -5-90 . Zona 2. 10-10-90. c.- «B de c.» núm. 161.
Cortinarius anomalus (Fr. : Fr.) Fr.
Corti narius anomalus (Fr. : Fr.) Fr.
Bajo Quercus sp. Zonas 3 y 7. 11 -1 l- 90.-C.
Bajo Quercus sp. Zonas 3 y 7. 11-11-90.-C.
Cortinarius ionochlorus R. Mre.
Cortinarius ionochlorus R. Mre.
En un camino de bosque. Zona 2. 12 -10 -8 S.- R.-19 9 B.
En un camino de bosque. Zona 2. 12-10-85.-R.-199 B.
Corti narius salor Fr.
Cortinarius salor Fr.
Bajo Quercus pu bescens. Zona 7. 11 -1l- 90.-R.
Bajo Quercus pubescens. Zona 7. 11-11-90.-R.

94 Bu tll. Soc. Catalana Micol. 14-15 87 -98 Barcelona 1991
Crepidotus cesatii Rab.
Crepidotus cesatii Rab.
Sobre restos de plantas herbaceas, entre las zonas 2 y 3. 15-1-91 .-C.-1 660 B.
Sobre restos de plantas herbáceas, entre las zonas 2 y 3. 15-1-91.-C.-1660 B.
Crepidotus subphaeosporus (Lge.) Kühn. et Romagn.
Crepidotus sub phaeosporus (Lge .) Kühn. et Romagn.
Sobre lianas secas. Zona 7. Especie muy parecida macroscópicamente a C. variabilis (Pers. : Fr.) S. F. Gray; un examen de las esporas es imprescindible para identificarla. 15-5-91.-R.
Sobre lianas seca s. Zona 7. Especie muy parecida macroscópicamente a C. varia bilis (Pers. : Fr .) S. F. Gray; un examen de las esporas es imprescindible para identifica ria. 15 -5-9 1. -R.
Crinipellis tomentosa (Quél.) Sing. = C. mauretanica Mre.
Crinipellis tome ntosa (Qu él.) Sing. = C. ma uretanica Mre.
Entre la hierba. Zona 5. 20- 10-9 0.-R.- «B c." núm. 409.
Entre la hierba. Zona 5. 20-10-90.-R.- «B. de C.» núm. 409.
Cuphophyllus pratensis (Pers. : Fr.) Bon = Hygrophorus pratensis (Pers. : Fr.) Fr.
Cuphophyllus pratensis (Pers. : Fr.) Bon = Hygrophorus pratensis (Pers. : Fr.) Fr.
Entre la hierba. Entre las zonas 2 y 3. 12-10-90.R. «B. de C.» núm. 409.
Entre la hierba. Entre las zonas 2 y 3. 12 -10 -90 .R. «B de c." núm 409.
Cystolepiota aspera (Pers.) Bon
Cystolepi ota aspera (Pers .) Bon
Entre abundante materia orgánica. Zona 3. 15-11-89.-R.
Entre abundante materia organica. Zona 3. 15-1 1- 89.-R.
Cystolepiota sistrata (Fr. : Fr .) Sing. ex Bon & Bellú
Cystolepiota sistrata (Fr. : Fr.) Sing. ex Bon & Bellú
Entre la hierba, en bosque de Pin us halepensis y Quercus ilex. Zonas 4 y 8. 14 -4-88 .-R.-868 B., muestra de la zona 8. Sombrero de 0,7 -1 cm de 0. Pie furfuraceo, con base típicamente rosada Laminas también blancas.
Creemos que constituye primera cita para Cataluña.
Entre la hierba, en bosque de Pínus halepensis y Quercus ilex. Zonas 4 y 8. 14-4-88.-R.-868 B., muestra de la zona 8. Sombrero de 0,7-1 cm de 0. Pie furfuráceo, con base típicamente rosada. Láminas también blancas. Creemos que constituye primera cita para Cataluña.
Entoloma bissisedum (Pers. : Fr .) Donk
Entoloma bissisedum (Pers. : Fr.) Donk
Pequeña especie con piee rudimentario y excéntrico. Es aparentemente terrícola, pero en realidad se instala sobre madera o serrín, por lo general. Zona 14. 20-10-90.-Sobre carbonera. Zona 5. 22-10-90. C. Entoloma undatum (Gill.) Mos. =E. sericeonitidum (Orton) Arnols
Pequeña especie con piee rudimentario y excéntrico. Es aparentemente terríc ola, pero en realidad se instala sobre madera o serrín, por lo general. Zona 14. 20- 1 0-90. -Sobre carbone ra. Zona 5. 22- 1 0-90. C.
Entoloma undatum (Gill .) Mos. = E. sericeonitidum (Orton) Arnols
Entre Pin us halepensis y Quercus ilex. Zona 11. 15 -1 1- 90.-C.
Entre Pinus halepensis y Quercus ilex. Zona 11. 15-11-90.-C.
Hy grophorus hypothej us (Fr.) Fr.
Hygrophorus hypothejus (Fr.) Fr.
Bajo Quercus ilex y Pinus halepensis. Zona 7. 12-10-88.-R. «B. de C.» núm. 230.
Bajo Quercus ilex y Pin us halepensis. Zona 7. 12 -1 0-88.-R. «B de c." núm. 230.
Inocybe asterospora Quél.
In ocybe asterospora Quél .
Bajo Quercus sp. Zona 5. 3- 11 -87 .-R.- 33 1 B.
Bajo Quercus sp. Zona 5. 3-11-87.-R.- 331 B.
In ocybe griseolilacina Lge
Inocybe griseolilacina Lge.
En la tierra de un talud musgo so. Zona 5. 12 -1 0-90 .-RR. Sombrero de 2-2,5 cm de 0 tipícamente umbonado, escamoso-fibroso de color gris-pardo o pardo-ocraceo. Pie con una bella coloración violeta en la mitad superi or.
En la tierra de un talud musgoso. Zona 5. 12-10-90.-RR. Sombrero de 2-2,5 cm de 0 tipícamente umbonado, escamoso-fibroso de color gris-pardo o pardo-ocráceo. Pie con una bella coloración violeta en la mitad superior.
In ocybe subn udipes Kühn.
Inocybe subnudipes Kühn.
Entre abundante mate ria organica, en un antiguo jardín privado, entre las zonas 2 y 3. 13-1 1- 88.-R. Lachnella alboviolascens (A. & S. : Fr.) Fr.
Entre abundante materia orgánica, en un antiguo jardín privado, entre las zonas 2 y 3. 13-11-88.-R. Lachnella alboviolascens (A. & S.: Fr.) Fr.
Sobre ramas secas de una planta herbacea indeterminada. Entre las zonas 2 y 3. 10 -5-90. R. Leucoagaricus sericeus (Cool) Bon - Boiff.
Sobre ramas secas de una planta herbácea indeterminada. Entre las zonas 2 y 3. 10-5-90. R. Leucoagaricus sericeus (Cool) Bon - Boiff.
Sobre humus abundante. Zona 14. 20-11- 90.-R.
Leucocopri nus pulverulentus (Huisjm.) Mos.
Sobre humus abundante. Zona 14. 20-11-90.-R. Leucocoprinus pulverulentus (Huisjm.) Mos.
Entre abundante materia organica de Quercus sp. Zona 14 12 -11- 90.-R. Leucocopri nus birnbaumii (Corda) Sing.
Entre abundante materia orgánica de Quercus sp. Zona 14. 12-11-90.-R. Leucocoprinus birnbaumii (Corda) Sing.
En un tiesto con tierra para ja rdineria. Zona 10. Leg. S. FORCADELL. 14-7- 9 1. -R.- «B . de c." núm . 130. Leuc ocopri nus cepae stipes (Sow. : Fr.) Pat.
En un tiesto con tierra para jardineria. Zona 10. Leg. S. FORCADELL. 14-7-91.-R.- «B. de C.» núm. 130. Leucocoprinus cepaestipes (Sow. : Fr.) Pat.
En camino herboso. Zona 11 12 -11- 89. Zona 14. 15-11- 90.-R.
Limacella glio derma (Fr.) Earle
En camino herboso. Zona 11. 12-11-89. Zona 14. 15-11-90.-R. Limacella glioderma (Fr.) Earle
En una hondanada con abundancia de materia organica, bajo Quercus ilex. Zona 14. 15-1 1- 90.-R.- 1494 B. Sombrero de 4-6 cm de 0 de color pardo-rojizo, viscoso. Laminas blancas o cremosas. Pie blanco revestido de copos del mismo color que el sombrero, también viscoso.
En una hondanada con abundancia de materia orgánica, bajo Quercus ilex. Zona 14. 15-11-90.-R.- 1494 B. Sombrero de 4-6 cm de 0 de color pardo-rojizo, viscoso. Láminas blancas o cremosas. Pie blanco revestido de copos del mismo color que el sombrero, también viscoso.
Marasmiellus ramealis (Bull. : Fr.) Sing.
Marasmiellus ramealis (Bull. : Fr.) Sing.
Sobre ramas muestras de Rubus sp. Zona 7. 14 -7- 88.-R.- 110 0 B. «B de c." núm 485.
Marasmius ano malus Lasch in Rabh.
Lugar herboso muy próximo a Sant Medir. Zona 5. 12 -10 -90 .-R. Marasmius omphaliformis Kühn.
Sobre ramas muestras de Rubus sp. Zona 7. 14-7-88.-R.- 1100 B. «B. de C.» núm. 485. Marasmius anomalus Lasch in Rabh. Lugar herboso muy próximo a Sant Medir. Zona 5. 12-10-90.-R. Marasmius omphaliformis Kühn.
Sobre ramas muertas indeterminadas, en el camino de la Font d'en Sert. Zona 2. 12 -10 -90 .-R. Marasmius rotula (Scop. : Fr .) Fr.
Sobre ramas muertas indeterminadas, en el camino de la Font d'en Sert. Zona 2. 12-10-90.-R. Marasmius rotula (Scop. : Fr.) Fr.
Sobre ramas muertas indeterminadas, en la Font de l'Arrabassada, entre las zonas 2 y 3. 12-10-90.-R. Marasmius scorodonius (Fr. : Fr.) Fr.
Sobre ramas muertas indeterminadas, en la Font de l' Arrabassada, entre las zonas 2 y 3. 12-1 0-90.-R. Marasmius scorodo nius (Fr. : Fr.) Fr.
Sobre ramas muertas de Quercus sp . Zona 2. 8-5-88 .-CC .888 B. «B . de c." núm. 133.
Micromphale brassicolens (Romagn .) Orton
Sobre ramas muertas de Quercus sp. Zona 2. 8-5-88.-CC.888 B. «B. de C.» núm. 133. Micromphale brassicolens (Romagn.) Orton
Sobre ramas y hojas secas de Quercus ilex. Zona 7. 20-10-88.-C.
Sobre ramas y hoj as secas de Quercus ilex. Zona 7. 20- 10 -88.-C.

Bu tll. Soc. Catalana Micol. 14 -15 87 -98 Barcelona 1991
Mycena adscendens (Lasch) Ma es G. = M. tenerrima (Berk .) Sacc.
Mycena adscendens (Lasch) Maes G. = M. tenerrima (Berk.) Sacc.
Pequeña especie blanca en su totalidad, que aparece en ramas de Quercus ilex. Entre las zonas 2 y 3. 12-10-88 .-RR.
Pequeña especie blanca en su totalidad, que aparece en ramas de Quercus ilex. Entre las zonas 2 y 3. 12-10-88.-RR.
Mycena galericu lata (Scop . : Fr .) S. F. Gray
Mycena galericulata (Scop. : Fr.) S. F. taray
Sobre troncos de planifolio y conífera. Zona 3. 15-10-89.-RR.- «B. de c.» núm. 428.
Sobre troncos de planifolio y conífera. Zona 3. 15-10-89.-RR.- «B. de C.» núm. 428.
Mycena sanguinolent a (A. & S. : Fr .) Kumm.
Mycena sanguinolenta (A. & S.: Fr.) Kumm.
Característica por su pequeño tamaño y esbeltez y por el látex de color rojo purpúreo. Sobre acículas de conífera y hojas de planifolio. Zona 2.- 12-10-90.-R.- «B. de C.» núm. 382.
Característica por su pequeño tamaño y esbeltez y por el liitex de color rojo purpúreo. Sobre acículas de conífera y hoj as de planifolio. Zona 2.- 12-1 0-90 .-R.- «B. de c.» núm. 382.
My cena stilo bates (Pers. : Fr .) Kumm.
Mycena stilobates (Pers. : Fr.) Kumm.
Pequeña especie con característico disco basal, pubescente y estriado. Entre las zonas 2 y 3. 12-10-90.-C.- «B. de C.» núm. 290.
Pequeña especie con característico disco basal, pubescente y estriado . Entre las zonas 2 y 3. 12 -10 -9 0.-C.- «B. de C.» núm. 290.
Ne matoloma irroratum Sing.
Nematoloma irroratum Sing.
Sobre madera de madroño. Zona 13.- Leg. J. PLA. 25-10-84.- RR. 187 B.
Paneolus subbalteatus (Berk. & Br.) Sacc.
Sobre madera de madroño. Zona 13.- Leg. J. PLA. 25- 10-84.- RR. 187 B. Paneolus subbalteatus (Berk. & Br.) Sacc.
Entre la hierba. Zona 7. 20-9-88.-R.- 1109 B.
Entre la hierba. Zona 7. 20-9- 88.-R.- 11 09 B.
Panellus stipticus (Bull. : Fr.) Karst.
Panellus stipticus (Bull. : Fr .) Karst.
Sobre un tocón de Quercus ilex. Zona 5. 2-4-87.-C.- 325 B. «B. de C.» núm. 193.
Sobre un tocón de Quercus ilex. Zona 5. 2-4-8 7.-C.- 325 B. «B . de c.» núm. 193.
Pluteus atromarginatus (Konr.) Kühn.
Pluteus atromarginatus (Konr .) Kühn.
Sobre madera. Zona 3. 20- 10 -90 .- R.
Sobre madera. Zona 3. 20-10-90.- R.
Pluteus cervinus (Sch.) Kumm. =P. atricapillus (Secr.) Sing.
Pluteus cervinus (Sch.) Kumm. =P. atricapillus (Secr .) Si ng.
Sobre madera de planifolio, probablemente de Corylus avellana. Zona 3. 20-10-90.-R.- «B. de C.» núm. 291 B.
Sobre madera de planifolio, probablemente de Corylus avellana. Zona 3. 20- 10-90.-R.- «B . de c.» núm. 29 1 B.
Pluteus romellii (Britz.) Sacc.
Pluteus romellii (Britz.) Sacc.
Sobre madera indeterminada. Zona 4. 4-4-88.- B. 915 B. «B. de C.» núm. 389.
Sobre madera indetermina da. Zona 4. 4-4-88 .- B. 915 B. «B . de c.» núm. 389.
Psathyrella involuta (Romagn.) Mos.
Psathyrella inv oluta (Romagn .) Mos.
Entre humus de Robinia pseudoacacia y Quercus pubescens. Zona 3. 20-12-88.-R.-1100 B.
Entre humus de Robinia pseudoaca cia y Quercus pu bescens. Zona 3. 20- 1 2-88.- R. -1 10 0 B.
Psathyrella piluli fo rmis (Bull. : Fr .) Orton = P. hydrophila (Bull .) Mre
Psathyrella piluliformis (Bull. : Fr.) Orton = P. hydrophila (Bull.) Mre.
Sobre restos de madera. Zona 4. 20- 10 -90 .-R.
Sobre restos de madera. Zona 4. 20-10-90.-R.
Resupinatus trichotis (Pers.) Sing.
Resupin atus trichotis (Pers .) Sing.
Sobre ramas muertas de Quercus sp. Zona 2. 5-5-88.-R.- 887 B. Rhodocybe gemina (Fr.) Arnolds = R. truncata (Quél.) Bon.
Sobre ramas muertas de Quercus sp. Zona 2. 5-5- 88.-R .-887 B. Rhodocybe gemina (Fr.) Arnolds = R. truncata (Qu él.) Bon.
Sobre Quercus pubiscens y Quercus ilex. Zona 14. 12-10-88. -R. 437 B. Rhodophyllus corvinus Kühn.
Sobre Quercus pu biscens y Quercus ilex. Zona 14. 12 -10 -88. -R. 43 7 B. Rh odop hyllus cor vinus Kühn.
En bosque de Pinus halepensis y Q. pubescens. Zona 9. 15-6-88.-1098 B. Quercus ilex..
En bosque de Pin us halepensis y Q. pubescens. Zona 9. 15 -6-88 .-1098 B. Quercus ilex ..
Tricholoma album (Sch. : Fr.) Kumm.
Tricholoma album (Sch. : Fr.) Kumm.
Bajo Quercus pubescens y Quercus ilex. Zona 5. 15-11-89.-R.
Baj o Quercus pubescens y Quercus ilex. Zona 5. 15-11-89.-R.
Tricholoma atroc inereum Fr. : Pers.
Tricholoma atrocinereum Fr. : Pers.
Entre la hierba, bajo Quercus ilex. Zona 10. 12-10-8 8.-R R.-12 3 B. Tricholoma atrosq uamosum (Cooke) Sacc.
Entre la hierba, bajo Quercus ilex. Zona 10. 12-10-88.-RR.-123 B. Tricholoma atrosquamosum (Cooke) Sacc.
Sobre Quercus pubescens y Quercus ilex. Zona 5. 8-12-89.-C.- 145 B. «B. de C.» núm. 147. Tricholoma caligatum (Viv.) Ricken.
Sobre Quercus pu bescens y Quercus ilex. Zona 5. 8-1 2-89.-C.- 145 B. «B de c.» núm. 147. Tricho loma cal igatum (Viv.) Ricken.
Bajo Pin us halepensis. Zona 5. 12-10-89 .-R.- «B. de c.» núm. 197.
Tubaria di spersa (Pers .) Sing.
Bajo Pinus halepensis. Zona 5. 12-10-89.-R.- «B. de C.» núm. 197. Tubaria dispersa (Pers.) Sing.
Entre hojas de algarrobo. Zona 15. 12-12-89.-C.- 1510 B.
Entre hoj as de algarrobo. Zona 15. 12-12 -89.-C.- 1510 B.
Orden Russulales
Orden Russulales
Lactarius fuliginosus var. albipes Lange ex Bon = L. azonites (Bull.) Fr.
Lactarius fuliginosus var. albipes Lange ex Bon = L. azonites (Bull .) Fr.
Bajo Quercus sp. Zona 5. 11 -10 -89.-C.- 10 85 B.
Bajo Quercus sp. Zona 5. 11-10-89.-C.- 1085 B.
Lactarius fulvissimus Romagn.
Lactarius fulvissimus Romagn.
Bajo Quercus cerrioides. En el camino de la Font Groga en la zona 2. 15-10 -89 .-R.- determinación J. LLISTOSELLA.
Bajo Quercus cerrioides. En el camino de la Font Groga en la zona 2. 15-10-89.-R.- determinación J. LLISTOSELLA.
Lactarius subumbonatus Lindgr. = L. cimicarius (Batsch) Gill.
Lactarius subumb onatus Lindgr = L. cimicarius (Batsch) Gill.
Bajo Quercus sp. Zona 3. 18-10-89.-R.R.
Bajo Quercus sp. Zona 3. 18 -10 -8 9.-R.R.

Butll. Soc. Catalana Micol. 14-15 87-98 Barcelona 1991
96 Bu tll. Soc. Catalana Micol. 14-15 87 -98 Barcelona 1991
Ru ssula fo etens Pers. : Fr.
Russula foetens Pers. : Fr.
Baj o Quercus pu bescens. En las zonas 2 y 5. 12-10 -89. y 15-10 -89.-C C.- «B. de c.» núm. 493
Bajo Quercus pubescens. En las zonas 2 y 5. 12-10-89. y 15-10-89.-CC.- «B. de C.» núm. 493.
Ru ssula lutea (Huds. : Fr .) S. F. Gray
Russula lutea (Huds. : Fr.) S. F. Gray
Baj o Quercus sp. En las zonas 2 y 3. 12 -11- 89 y 20-11- 89.- R.
Bajo Quercus sp. En las zonas 2 y 3. 12-11-89 y 20-11-89.- R.
Ru ssula vesca Fr.
Russula yesca Fr.
Bajo Pin us sp y Quercus sp. Zona 2. 15 -1 1- 90 .-C.- «B. de c.» núm. 296.
Bajo Pinus sp y Quercus sp. Zona 2. 15-11-90.-C.- «B. de C.» núm. 296.
GAS TER OM YCE TES
GASTEROMYCETES
Alpova rubescens (Vitt .) Trape 1975
Alpova rubescens (Vitt.) Trape 1975
Bajo Quercus ilex. Zona 14.- Leg. J. VILA. 17-5-91. R. Determinación J.M. VIDAL.
Disciseda bovista (Klotzsch.) P. Henn.
Baj o Quercus ilex. Zona 14 .- Leg. J. VILA. 17 -5- 91. R. Determinación J.M. VIDAL. Discis eda bovista (Klotzsch .) P. Henn.
En un lugar herboso próximo a St. Medir. Zona 5. 19-10-90.- RR.
En un lugar herboso próximo a St. Medir. Zona 5. 19-10-90.- RR.
Gea strum campestre Morgan
Geastrum campestre Morgan
Entre la hierba. Zona 5. 19-10-90.-C.
Entre la hierba. Zona 5. 19-10-90.-C.
Ge astrum pectinatum Pers.
Geastrum pectinatum Pers.
Claros herbosos en bosque de Quercus ilex. Zona 5 19-10-90.-R. Hymenogaster olivaceus Vitt.
Claros herbosos en bosque de Quercus ilex. Zona 5. 19-10-90.-R. Hymen ogaster olivaceus Vitt.
Bajo Quercus ilex. Zona 7. 2-4-91.-R. Determinación J. M. VIDAL. Lycoperdon lambinonii Demoulin
Baj o Quercus ilex. Zona 7. 2-4-9 1. -R. Determinación J. M. VIDAL. Lycoperdon lambinonii Demoulin
En camino de bosque mixto. Zona 4. 10-11-88.- RR.- 14 73 B. Determinación M. P. MARTIN.
Martellia pila (Pat .) Vidal comb. nov.
En camino de bosque mixto. Zona 4. 10-11-88.- RR.-1473 B. Determinación M. P. MARTIN. Martellia pila (Pat.) Vidal comb. nov.
Bajo Quercus ilex. Zona 14.-RR. 14-5-91. Determinación J. M. VIDAL.
Melanogaster variegatus Tul.
Baj o Quercus ilex. Zona 14 .-RR. 14-5-9 1. Determinación J. M. VIDAL. Me lanogaster variegatus Tu\ Baj o Quercus ilex. Zona 14. 12 -5-9 1. - Leg. J. VILA.-R.
Bajo Quercus ilex. Zona 14. 12-5-91.- Leg. J. VILA.-R.
Myr iostoma col iforme (Dick. ex Pers .) Corda 18 42
Myriostoma coliforme (Dick. ex Pers.) Corda 1842
Bajo Robinia pseudoacacia, en lugar herboso del antiguo Casino de Barce lona. Zona 3. 20- 1- 89. -RR. -565 B.
Bajo Robinia pseudoacacia, en lugar herboso del antiguo Casino de Barcelona. Zona 3. 20-1-89.-RR.-565 B.
Con estos dos trabajos la flora micológica de las zonas prospectadas queda resumida aSÍ:
Con estos dos trabajos la flora micológica de las zonas prospectadas queda resumida así:
Mi xomycetes
Ascomycetes
Heterobasidiomyc
Agradecemos las aportaciones de nuestros compañeros de la S.C.M. que figuran en los legit. Las determinaciones y los consejos de M. PAZ MARTIN, J. LLISTOSELLA, D. SIERRA y J. M. VIDAL y muy especialmente, al Dr. X. LLIMONA, sus orientaciones y la revisión del presente trabajo.
Agradecemos las aportaciones de nu estros compañeros de la S.C.M. que figuran en los Jegit. Las determinaciones y los consejos de M. PAZ MAR T IN, J. LLISTO SELLA, D. SIERRA y J. M. VIDAL y muy especialmen te , al Or. X. LLIMONA, sus orientaciones y la revisión del presente tra baj o.

BIBLIOGRAFÍA
BIBLIOGRAFÍA
BERTEA, P. BON, M. CHEVASSUT, G. COURTECUISSE, R. LECOT, C. NEVILLE, P. PROUST, F. RASCOL, J. P.
BERTEA, P. BON, M. CH EVASSUT, G. COURTECUISSE, R. LECOT, C. NEVILLE, P. PROUST, F. RASCOL, J. P.
Les Noms valides des Champignons. Annales n.° 1 —Fed. Assoc. Mycol. Mediterranneénnes. 2óme édition. BOLOS, M. del T. i 0. (1983) Gran geografia comarcal de Catalunya, Vol. 17, VI. La Biogeografia: 193-248. Fundació Enciclopédia Catalana.
Les Noms valides des Champignons. Annales n.O 1 -Fed. Assoc. Mycol. Mediterranneénnes. 2ème édition. BOLÓ S, M. del T. i O. (19 83) Gran geografia comarcal de Catalunya, Vol. 17 , VI. La Biogeografia: 19 3-248. Fundació Enciclopèdia Cata lana.
BON, M. (1987) Guía de Campo de los Hongos de Europa. Edic. Omega S.A. Barcelona. 351 pp. BREITENBACH, J. et KR ÁNZLIN, F. (1981-1991). Champignons de Suisse. Tome I, II, III, Edit. Mycoligia. Lucerna. 320-411-364 pp.
BON, M. (1987 ) Guía de Campo de los Hongos de Europa. Edic. Omega S.A. Barcelona. 351 pp. BREITENBACH, J. et KR À NZLIN, F. (19 81- 1991). Champignons de Sui sse. Torne I, 11, III, Edit. Mycoligi a. Lucerna. 320-4 11 - 364 pp.
CALONGE, F. D. ROCABRUNA, A. TABARES, M. SIERRA, D. Contribución al estudio de los ascomicotina españoles (II). Boletín S. M. Madrid. Vol. 11 (1). 1986. 27 pp.
CALONGE, F. D. ROCABRUNA, A. TABAR ÉS, M. SIERRA, D. Contribución al estudio de los ascomicotina españoles (lI). Boletín S. M. Madrid. Vol. 11 (1). 19 86. 27 pp.
DENNIS, R.W.G. (1981) British Ascomycetes. J. Cramer. Vaduz. 586 pp.
ERIKSSON, D. & HAWKSWORTH, D.L. (1987) An alphabetical list of the generic names of Ascomycetes. Systema Ascomycetum 6 (1): 1-109.
DENNIS, R.W.G. (1981) British Ascomycetes. J. Cramer. Vaduz. 586 pp. ERIKSSON, D. & HAWK SWORT H, D.L. (19 87 ) An alphabetical list of the generic names of Ascomycet es. Systema Ascomycetum 6 (1): 1-109.
JÜLICH, WALTER. (1984). Guida alla determinazione de funghi. Vol. 2e. Trento. 597 pp.
J Ü LICH , WALTER. (1984) . Guida alia determinazione de funghi. Vol. 2e. Trento 597 pp.
KUHNER, R. et ROMAGNESI, H. (1978). Flore analytique des champignons supérieurs. Masson. Paris. 556 pp.
MARCHAND, A. (1980-1986). Champignons du nord et de midi. Vol. 1-9). Perpignan.
K Ü HNER, R. et ROMAGNESI, H. (1 978). Flore analytique des champignons supérieurs. Masson. Paris. 556 pp. MARCHAND, A. (1 980- 19 86). Champignons du nord et de midi. Vol. 1- 9). Perpign an.
MARTIN, M. P. (1988) Aportación al conocimiento de las Hygrofóraceas y Gasteromicetes de Catalunya. Edic. Esp. S.C.M. Vol. II.: 508 pp.
MARTIN, M. P. (1 988) Aportación al conocimiento de las Hygrofóraceas y Gasteromicetes de Catalunya. Edic. Esp. S.C.M. Vol. lI.: 508 pp.
MOSER, M. (1980) Guida alla determinazione dei funghi. Saturnia. Trento.: 565 pp.
MOSER, M. (1 980) Guida alia determinazione dei funghi. Saturnia. Tren to. : 565 pp.
ROCABRUNA, A. (19). Aportació al coneixement dels fongs del Maresme (Catalunya). Butlletí S.C.M. núm. 8.: 47-74.
ROCABRUNA, A. (19). Aportació al coneixement dels fongs del Maresme (Catalunya). Butlletí S.C.M. núm. 8.: 47-74.
ROCABRUNA, A.; TABARES, M. (1988) Aportación al conocimiento de los hongos del macizo montañoso del Montseny (Catalunya). Butlletí S.C.M. núm. 12. 25-54.
ROCABRUNA, A.; TABAR ÉS, M. (1 988) Aportación al conocimiento de los hongos del macizo montañoso del Montseny (Catalunya). Butlletí S.C.M. núm 12. 25-54.
SANCLEMENTE, M. S. LLIMONA, X. (1987). Aportación al conocimiento de las tricholomataceas de Cataluña. Butlletí S.C.M. núm. 11. 29-72.
SANCLEMENTE, M. S. LLIMONA, X. (19 87). Aportación al conocimiento de las tricholomataceas de Cata luña. Butlletí S.C.M. núm. 11. 29-72.
SIERRA, D. (1987). Aportación al conocimiento de los Ascomicetes (Ascomycotina) de Catalunya. (1987). Edic. Esp. S.C.M. vol. I.: 481 pp.
SOCIETAT CATALANA DE MICOLOGIA. (1982-1991). «Bolets de Cayalunya». Col. I al IX) 450 láminas. TABARES, M.; ROCABRUNA, A. (1987). Aportación al conocimiento de los hongos de la sierra de «Collserola». Butlletí de la S.C.M. núm. 11. 83-98.
SIERRA, D. (19 87). Aportación al conocimiento de los Ascomicetes (Ascomycotina) de Catalunya. (19 87). Edic. Esp. S.C.M. vol. I.: 48 1 pp. SOCIETAT CATALANA DE MICOLOGIA. (19 82 -1991). "Bolets de Cayalunya» Col. I al IX) 450 laminas. TABAR ÉS, M.; ROCABRUNA, A. (19 87). Aportación al conocimiento de los hongos de la sierra de "Collserola». Butlletí de la S.C.M. núm. 11. 83-98.

APORTACIÓ AL CONEIXEMENT DELS FONGS DEL MARESME (CATALUNYA) , 11
APORTACIÓ AL CONEIXEMENT DELS FONGS DEL MARESME (CATALUNYA), II
Rocabruna, A.* i Tabarés, M.**
*Gran Via, 111 àtic 1e r. 08330 Premià de Mar. **Coll de Port ell, 44 baixos . 08024 Barce lona.
Rocabruna, A.* i Tabarés, M.** *Gran Via, 111 átic 1er. 08330 Premió de Mar. **Coll de Portell, 44 baixos. 08024 Barcelona.
RESUM
RESUM
Adició al catáleg de la Comarca del Maresme, basada en una part de les recol•leccions fetes en un territori de sóls ácids, poblat per pinedes, brolles acidófiles i alzinars, en el domini del ViburnoQuercetum ilicis.
Adici ó al catàleg de la Comarca del Ma res me, basada en una pa rt de les rec ol·leccions fetes en un territori de sòls àcids, poblat per pinedes, brolles acid òfiles i alzinars, en el domini del Vi burn 0Quercetum ilicis.
Aquesta segona aportació, está constituida per un total de 180 espécies, que comprenen 56 Ascomicets i 124 Basidiomicets, d'entre les quals destaquen les següents:
Aque sta segona aportació, està constituïda per un total de 180 espècies, que comprenen 56 Ascomicets i 12 4 Basidiomicets, d' entre les quals destaquem les següents:
(Trichophaea paraphysincrustata Donadini, Torre & Calonge sp. nov., Delastria rosea Tul., Lachnum patulum Pers.: Rehm., Tuber asa Lespialdo, Bolbitius reticulatus (Pers.: Fr.) Ricken, Chaetocalathus craterellus (Dur. & Lév.) Sing. i Lactocollybia epia Bk an Br.).
(Trichophaea pa raphysin crustata Donadini, Torre & Calonge sp. nov ., Delastria rosea Tu l., Lachnum pa tulum Pers .: Reh m., Tuber asa Lespialdo, Bolbitius reticula tus (Pers .: Fr.) Ricken , Ch aetocalathus craterellus (Dur. & Lév.) Sing . i La cto collybia epia Bk an Br .).
SUMMARY
SUMMARY
Addition to the catalogue of the Maresme region, based on the collections made from 1985 to 1991 in an area with acidic soils, convered by pine woods, acidophilous schrubs and evergreen oak trees, in the dominion of the Viburno-Quercetum ilicis. This second contribution contains 180 species, 56 of the mare Ascomycetes and 124 Basidiomycetes. Some of them are of special interest:
Addition to the catalogue of the Ma resme region , based on the collec tions made from 19 85 to 1991 in an area with acidic sOils, convered by pine woods , acidophilous schrubs and ev ergreen oak trees, in the dominion of the Viburno- Quercetum ilicis. This second contribution contains 18 0 species , 56 of the mare Ascomycetes and 12 4 Basidiom ycet es. Some of them are of special interest:
(Trichophaea paraphysincrustata Donadini, Torre & Calonge sp. nov., Delastria rosea Tul., Lachnum patulum Pers.: Rehm., Tuber asa Lespialdo, Bolbitius reticulatus (Pers.: Fr.) Ricken, Chaetocalathus craterellus (Dru. & Lév.) Sing. i Lactocollybia epia Bk an Br.
(Trichoph aea pa raphysin crustata Donadini , Torre & Calonge sp. no v., Delas tria rosea Tul ., Lachnum pa tulum Per s.: Reh m., Tuber asa Lespial do, Bolbitius reticula tus (Per s.: Fr.) Ricken , Ch ae tocala thus craterellus (Dru . & Lév.) Sing . i Lac tocollybia epia Bk an Br.
INTRODUCCIÓ
INTRODUCCIÓ
El Maresme és una Comarca Litoral situada al N.E. de Barcelona, entre el vessant de migjorn
El Ma resme és una Comarca Litoral situada al N .E. de Barcelona, entre el vessant de migj orn

100 Sutil. Soc. Catalana Micol. 14-15 99-112 Barcelona 1991
10 0 Bu tll. Soc. Catalana Micol. 14 -15 99-112 Barcelona 1991
de la Serralada Litoral, que comprén les serres de Sant Mateu, del Corredor i del Montnegre, i el mar. Aquesta Serralada, constituida essencialment per roques granítiques molt meteoritzades, ha donat lloc a una terra sorrenca anomenada sauló.
de la Serralada Litoral, que comprèn les serres de Sant Mateu, del Corredor i del Mon tnegre , i el mar. Aque sta Serralada , constituïda essencialment per roques granítiques molt meteo ritza des, ha donat lloc a una terra sorrenca anomenada sauló.
El clima és temperat, amb 15° de temperatura mitjana, i amb unes precipitacions entre 600 i 800 mm de mitjana anual.
El clima és temperat, amb 15 ° de tempera tura mitj ana, i amb unes prec ipitacion s entre 600 i 800 mm de mitj ana anual.
El territori pertany a l'área potencial del Viburno-Quercetum ilicis peró actualment, en una bona part, és ocupat per pobles, urbanitzacions de segona residéncia i conreus diversos i n'han desaparegut la major part dels antics alzinars. En el seu lloc, domina una brolla d'estepes i brucs amb pi pinyer (Pinus pinea), especialment a les zones baixes.
Aquest treball complementa amb noves troballes el nostre publicat fa set anys (ROCABRUNA, 1984), que resumia els nostres coneixements de l'época sobre els marcromicets d'una de les comarques micológicament més riques i ben conegudes de Catalunya.
El territori pertany a l' àrea potencial del Viburno-Quercetum ilicis però actualment, en una bona part, és ocup at per pobles, urbanitzacions de segona residència i conreus diversos i n' han desaparegut la maj or part dels antics alzinars. En el seu lloc, domina una brolla d'e stepes i brucs amb pi pinyer (Pin us pin ea), especialment a les zones baixes . Aqu est treball complementa amb noves troballes el nostre publ icat fa set anys (ROCABRUNA, 19 84), que resumia els nostres con eixements de l' época sobre els marcromicets d' una de les comarques micolò gicament més riques i ben conegudes de Catal unya.

MAR MEDITERRÁNIA
MAR ME DITERRÀNIA
Localitats prospectades en la preparació d'aquest treball, i la seva situació general a Catalunya.
Localitats prospectades en la preparació d'a quest treball, i la seva situació general a Catalunya.

MUNICIPIS I LOCALITATS PROSPECTADES
MUNI CI PIS I LOCALITATS PROSPECTADES
Baix Ma resme
Baix Maresme
1 Alella. UTM 31 TDF 419 5; 90 m; coster de la Serralada Litoral; conreus i vinyes amb brolles, pinedes i alzinars.
1 Alella. UTM 31TDF 4195; 90 m; coster de la Serralada Litoral; conreus i vinyes amb brolles, pinedes i alzinars.
2 Coll de la Font de Cera. 15 0 m; límits entre el terme comarcal i el Vallès Oriental; pinedes, alzinars i suredes.
2 Coll de la Font de Cera. 150 m; límits entre el terme comarcal i el Vallas Oriental; pinedes, alzinars i suredes.
3 Premíá de Dalt. UTM 31TDF 4496; 142 m; interior de la comarca; garriga amb brolla d'estepes i brucs, i també brolla de romaní, pi pinyer, pi blanc i alzines.
3 Premià de Dalt. UTM 31 TDF 4496; 142 m; interior de la comarca; garriga amb brolla d' estepes i i també brolla de romaní, pi pinyer, pi blanc i alzines.
4 Sant Mateu. UTM 31TDF 4396; ermita i font a la part alta de la serra d'aquest nom; pinedes i alzinars.
4 Sant Mateu. UTM 31 TDF 4396; ermita i font a la part alta de la serra d' aquest nom; pinedes i alzinars
5 Vilassar de Dalt. UTM 31TDF 4596; 135 m; estribacions de la serra de Sant Mateu. Pinedes de pi pinyer i de pi blanc, amb claps de roures.
5 Vila ssar de Dalt. UTM 31 TDF 4596; 13 5 m; estribacions de la serra de Sant Mateu. Pinedes de pi pinyer i de pi blanc, amb claps de roures.
6 Cabrils. UTM 31 TDF 4697; 147 m; a la vall oberta dins la Serralada Litoral; conreus d' hortalisses i flors; pinedes, alzinars i brolles.
6 Cabrils. UTM 31TDF 4697; 147 m; a la vall oberta dins la Serralada Litoral; conreus d'hortalisses i flors; pinedes, alzinars i brolles.
7 Orrius. UTM 31TDG 4610; 256 m; petita vall dins la Serralada, a l'interior de la Comarca, en els límits amb el Vallés Oriental; pinedes i grans zones d'alzinars.
7 Òrrius. UTM 31 TDG 4610; 256 m; petita vall dins la Serralada, a l' interior de la Comarca , en els límits amb el Vallès Oriental; pinedes i grans zones d' alzinars.
8 Mataró. UTM 31TDF 5398; 28 m; horta, floricultura, pinedes de pi pinyer, alzinars, suredes i brolles.
8 Mataró. UTM 31 TDF 5398; 28 m; horta, floricultura, pinedes de pi pinyer, alzinars , suredes i brolles.
9 Argentona. UTM 31TDG 5000; 88 m; a la vall mitjana de la riera d'Argentona, al nord-oest de Mataró; pinedes i alzinars.
9 Argen tona. UTM 31 TDG 5000; 88 m; a la vall mitj ana de la riera d'Argentona, al nord-oest de Mataró; pinedes i alzinars.
10 Coll de Parpers. UTM 31TDH 4703; 300 m; límit comarcal amb el Vallés Oriental; pinedes i alzinars.
10 Coll de Parpers. UTM 31 TDH 4703; 300 m; límit comarcal amb el Vallès Oriental; pinedes i alzinars
11 Dosrius. UTM 31 TDG 5005; 147 m; estribacions de la serra del Corredor, un 80 % del municipi és cobert de bosc, amb predomini del pi pinyer, alzines, suredes, pollancres i alguns castany ers.
11 Dosrius. UTM 31TDG 5005; 147 m; estribacions de la serra del Corredor, un 80 % del municipi és cobert de bosc, amb predomini del pi pinyer, alzines, suredes, pollancres i alguns castanyers.
12 Sant Andreu del Far- Urbanització La Esmeralda. UTM 31 TDG 5108; 389 m; costers de la Serra del Corredor; pinedes i alzinars.
12 Sant Andreu del Fa r- Urbanització La Esmeralda. UTM 31 TDG 510 8; 389 m; costers de la Serra del Corredor; pinedes i alzinars
13 Can Bosc-Can Arenes. UTM 31 TDG 540 7; 500 m; part central de la serra del Corredor; grans extensions de bosc amb pi pinyer i d'a ltres, alzinar i sureda.
13 Can Bosc-Can Arenes. UTM 31TDG 5407; 500 m; part central de la serra del Corredor; grans extensions de bosc amb pi pinyer i d'altres, alzinar i sureda.
14 Canyamars. UTM 31 TDG 5405; agregat de Dosrius, al fons d' una vall, entre les estribacions del Corredor i del Montalt; pinedes, alzinars i pollancres.
14 Canyamars. UTM 31TDG 5405; agregat de Dosrius, al f ons d'una vall, entre les estribacions del Corredor i del Montalt; pinedes, alzinars i pollancres.
Alt Ma resme
Alt Maresme
15 Arenys de Munt. UTM 31TDG 6106; 121 m; relleu accidentat per les serres del Corredor i Montnegre; pinedes, castanyedes i alzinars.
15 Arenys de Munt. UTM 31 TDG 61 06; 121 m; relleu accidentat per les serres del Corredor i Montnegre; pinedes, castanyedes i alzinars.
16 Coll sa Creu. UTM 31TDG 6007; 400 m; Coll que separa els massisos del Corredor i Montnegre; pinedes, castanyedes i alzinars.
16 Coll sa Creu. UTM 31 TDG 6007; 400 m; Coll que separa els massisos del Corredor i Montnegre; pinedes, castanyedes i alzinars.
17 Canet de Mar. UTM 31TDG 6504; 15 m; zona litoral; pinedes i suredes.
17 Canet de Mar. UTM 31 TDG 6504; 15 m; zona litoral; i suredes.
18 Montnegre. Altitud máxima 750 m; serra d'aquest nom, que separa l' Alt Maresme del Vallés Oriental. Algunes prospeccions corresponen a Sant Martí de Montnegre, agregat de Sant Celoni (Vallés). Pinedes, castanyedes, suredes i alzinars amb algunas rouredes, en constant regressió.
18 Montnegre. Altitud màxima 750 m; serra d' aquest nom, que separa l' Alt Maresme del Vallès Oriental. Algunes prospeccions corresponen a Sant Martí de Montnegre, agregat de Sant Celoni (Vallès). Pinedes, castanyedes, suredes i alzinars amb algunes rour edes, en constant regressió
19 Santa Susanna. UTM 31TDG 7509; 10 m; relleu accidentat pels contraforts orientals de la serra de Montnegre. Pinedas, alzinars i matollars.
19 Santa Susanna. UTM 31 TDG 7509; 10 m; relleu accidentat pels contraforts orientals de la serra de Montnegre. Pinedes, alzinars i matollars.
20 Tordera. UTM 31 TDG 7616 ; 34 m; situada al nord-est de la Comarca, en el límit amb el Vallès Oriental i La Selva, en els darrers contraforts de la serra del Montnegre. Boscos d'a lzines, suredes, pinedes de pi pinyer i de pi blanc, castanyers i plantacions d' arbres de ribera a la vora del riu. Localitat poc prospectada.
20 Tordera. UTM 31TDG 7616; 34 m; situada al nord-est de la Comarca, en el límit amb el Vallés Oriental i La Selva, en els darrers contraforts de la serra del Montnegre. Boscos d'alzines, suredes, pinedes de pi pinyer i de pi blanc, castanyers i plantacions d'arbres de ribera a la vora del riu. Localitat poc prospectada.
CATÀLEG
CATÁLEG
Dins dels ordres respect ius, els géneres i les espècies estan ordenats alfabèti cament, exceptuant els ascomicets, que figuren relacionats per famílies i gèneres. En aq uest grup, la nome nclatura està basada en l'e staert per O RIK SS ON & L. HA WKSWORTH (19 87). En els basidiomicets, hem adoptat la revisió de M. B O N (1 988) recomanada per la F É D É RATI O N DES ASSOC IATI O NS MY CO L OGIQUES M É DITE RRAN É ENNES, afegint-hi com a sinònims les combin acions em prades per M OSER (1 979).
Dins dels ordres respectius, els géneres i les espécies estan ordenats alfabéticament, exceptuant els ascomicets, que figuren relacionats per famílies i géneres. En aquest grup, la nomenclatura está basada en l'establerta per O. ERIKSSON & D. L. HAWKSWORTH (1987). En els basidiomicets, hem adoptat la revisió de M. BON (1988) recomanada per la FÉDÉRATION DES ASSOCIATIONS MYCOLOGIQUES MÉDITERRANÉENNES, afegint-hi com a sinónims les combinacions emprades per MOSER (1979).
De cada una de les recol· le ccions, en tenim diapositives i material sec, dipositat a la micoteca de la Societat C atalana de Micologia, on es pot consultar o sol· licitar en préstec.
De cada una de les recol-leccions, en tenim diapositivas i material sec, dipositat a la micoteca de la Societat Catalana de Micologia, on es pot consultar o sol•licitar en préstec. Bu tll. Soc. Catalana Micol. 14 -15 99-1 12 Barcelona 1991
102

Bu tll. Soc. Catalana Micol. 14·15 99 ·112 Barcelona 1991
AS COMICETS
ASCOMICETS
Orden Dothideales
Orden Dothideales
Familia Hys teria ceae
Familia Hysteriaceae
Hysterium angustatum Alb. & Schw.
Hy ste rium ang ustatum Alb. & Schw.
Sobre un branquilló caigut de Quercus ilex.Loc. 2. 8-4-89. Núm. 309 A.
Sobre un branquilló caigut de Quercus ilex. Loc. 2. 8-4·89. Núm. 309 A.
Hysterographium mori (Schw.) Rehm.
Hy sterograp hium mori (Schw.) Rehm.
Sobre un brancall de Populus sp. Loc. 7. 17 -4·8 5. Núm. 187 A. Loc. 7. 21· 5· 87. Núm. 186 A.
Sobre un brancall de Populus sp. Loc. 7. 17-4-85. Núm. 187 A. Loc. 7. 21-5-87. Núm. 186 A.
Familia Phaesophaeriaceae
Familia Phaesopha eria ceae
Leptosphaeria acuta (Fr.) Karst.
Leptosphaeria acuta (Fr.) Karst.
Sobre tij a d' Urtica dioica. Loc. 14. 10 ·5·8 7. Núm. 191 A.
Sobre tija d' Urtica dioica. Loc. 14. 10-5-87. Núm. 191 A.
Orden Leotia1es (= He1otiales)
Orden Leotiales (= Helotiales)
Familia Dermataceae
Familia Dermataceae
Mollisia melaleuca (Fr.) Sacc.
Mollisia melaleuca (Fr.) Sacc.
Sobre una canya vella. Loc. 7. 27 ·1·88. Núm. 253 A.
Sobre una canya vella. Loc. 7. 27-1-88. Núm. 253 A.
Pyrenopeziza fo lii cola (Karst .) Sacc.
Pyrenopeziza foliicola (Karst.) Sacc.
Sobre fulles caigudes de roure Loc. 11. 14·4·9 1.
Sobre fulles caigudes de roure. Loc. 11. 14-4-91.
Familia Geoglossaceae
Familia Geoglossa ceae
Trichoglossum hirsutum (Pers. : Fr.) Boud.
Trichoglossum hirsutum (Pers. : Fr .) Baud.
Entre la molsa, en bosc de Pinus pinaster, Pinus pinea y Quercus ilex. Loc. 11.8-2-86. Núm. 207 i 234 A. Loc. 11. 7-1-91. Núm. 411 A.
Entre la molsa, en bosc de Pin us pinaster, Pin us pinea y Quercus i1ex. Loc. 11. 8·2·86. Núm. 207 i 234 A. Loc. 11. 7· 1· 91. Núm. 41 1 A.
Familia Helotiaceae = Leotiaceae
Familia Helotia ceae = Leotiaceae
Bisporella sulfurina (Qué !.) Carpenter.
En branques mortes, sobre velles Sphaeriales. Loc. 15. 25·2·89. Núm. 305 A.
Bu lgaria inquinans Fr.
Bisporella sulfurina (Quél.) Carpenter. En branques mortes, sobre velles Sphaeriales. Loc. 15. 25-2-89. Núm. 305 A. Bulgaria inquinans Fr.
Sobre branques tallades de Quercus sp, emmagatzemades a l'a ire lliure. Loc. 9. 14·5· 88. Núm. 264 A.
Sobre branques tallades de Quercus sp, emmagatzemades a l'aire lliure. Loc. 9. 14-5-88. Núm. 264 A.
Crocicreas cyathoideum (Bul! .) Carpen ter.
Crocicreas cyathoideum (Bull.) Carpenter.
Sobre una tij a morta de Pteridium aq uilin um. Loc. 14. 10 ·3·90. Núm. 37 0 A. Loc. 11. 3·5·90. Núm. 410 A.
Hyme noscyphus caudatus (Karsten) Dennis.
Sobre una tija morta de Pteridium aquilinum. Loc. 14. 10-3-90. Núm. 370 A. Loc. 11. 3-5-90. Núm. 410 A. Hymenoscyphus caudatus (Karsten) Dennis.
Sobre fulles caigudes d'arbres de ribera. Loc. 14. 4-90. Núm. 384 A.
Sobre fulles caigudes d' arbres de ribera. Loc. 14. 4·90. Núm. 384 A.
Familia Hyaloscyphaceae
Familia Hyaloscyphaceae
Arach nopeziza aurelia (Pers .) Fucke!.
Arachnopeziza aurelia (Pers.) Fuckel.
Sobre fusta morta. Loc. 11. 27 ·3·89. Núm. 303 A.
Sobre fusta morta. Loc. 11. 27-3-89. Núm. 303 A.
Sobre branquillons enterrat s, entre fullaraca de pollancres i castanyers Loc. 14. 1· 5·88 Núm. 260 A.
Sobre branquillons enterrats, entre fullaraca de pollancres i castanyers. Loc. 14. 1-5-88. Núm. 260 A.
La chnum fuscescens (Pers. : Fr .) Karst.
Lachnum fuscescens (Pers. : Fr.) Karst.
Sobre fulles caigudes de Quercus sp. Loc. 11. 14·5·89. Núm. 338 A.
Sobre fulles caigudes de Quercus sp. Loc. 11. 14-5-89. Núm. 338 A.
La chnum niveum (Hedw. : Fr .) Raitv.
Lachnum niveum (Hedw. : Fr.) Raitv.
Sobre fusta morta de Quercus sp. Loc. 16. 11-5-88. Núm. 265 A.
Sobre fusta morta de Quercus sp. Loc. 16. 11 5·88 . Núm. 265 A.
Lachnum patulum (Pers.) Rehm.
La chnum pat ulum (Pers .) Rehm.
Sobre fulles caigudes de castanyers, alzines i roures. Loc. 14. 16-4·89. Núm. 317 A. Loc. 14. 20·5·8 7. Núm. 226 A. 24·5 ·8 7. Núm. 227 A.
Sobre fulles caigudes de castanyers, alzines i roures. Loc. 14. 16-4-89. Núm. 317 A. Loc. 14. 20-5-87. Núm. 226 A. 24-5-87. Núm. 227 A.
La chnum virgineum (Batsch. : Fr .) Karst.
Lachnum virgineum (Batsch. : Fr.) Karst.
Sobre branquillons i fulles caigudes de roures i castanyers. Loc. 14. 12 ·5·88. Núm. 269 A.
Sobre branquillons i fulles caigudes de roures i castanyers. Loc. 14. 12-5-88. Núm. 269 A.
Polydesmia pruino sa (Berk & Br .) Baud.
Polydesmia pruinosa (Berk. & Br.) Boud.
Sobre branquillons parasitats per Sphaeriales. Loc. 9. 10·3·8 7. Núm. 206 i 225 A.
Sobre branquillons parasitats per Sphaeriales. Loc. 9. 10-3-87. Núm. 206 i 225 A.
Psilachnum ch rysos tigmum (Fr.) Raitviir [= Pezizella chrysostigma (Fr.) Sacc.]
Psilachnum chrysostigmum (Fr.) Raitviir [= Pezizella chrysostigma (Fr.) Sacc.]
Sobre base de pecíols de Pteridium aquilinum. Loc. 14. 5-4-87. Núm. 211 A. Loc. 14. 10-5-87. Núm. 257 A. Loc. 14. 10-3-90.Núm. 371 A.
Sobre base de pecíols de Pteridium aq uilin um. Loc. 14. 5·4·87. Núm. 21 1 A. Loc. 14. 10·5·87. Núm. 257 A. Loc. 14. 10·3·90.Núm. 371 A.
Bu tll. Soc. Catalana Micol. 14-15 99-1 12 Barcelona 1991

3
Familia Sc1erotiniadeae
Familia Sclerotiniadeae
Poculum fi rmum (Pers .) Dumont [= Ru tstroemia firma (Pers. : Fr.) Karst.] Sobre branquillons morts de Quercus sp. Loc. 8-2- 90. Núm. 366 A.
Poculum firmum (Pers.) Dumont [= Rutstroemia firma (Pers. : Fr.) Karst.]
Sobre branquillons morts de Quercus sp. Loc. 4. 8-2-90. Núm. 366 A.
Sclerotinia sclerotiorum (Libert) de Bary.
Sclerotinia sclerotiorum (Libert) de Bary.
Sota avellan ers i castanyers, sempre entre Doronicum pardalianches L. Loc. 15. 18 -4-9 1. Loc. 15. 24-4-9 1.
Sota avellaners i castanyers, sempre entre Doronicum pardalianches L. Loc. 15. 18-4-91. Loc. 15. 24-4-91.
Familia Orbilia ceae
Familia Orbíliaceae
Orbi lia coccinella (So mm.) Karst. ss. Mos
Orbilia coccinella (Somm.) Karst. ss. Mos.
Sobre bigues de fusta velles. Loc. 11. 23-3-8 6. Núm. 247 A.
Sobre bigues de fusta velles. Loc. 11. 23-3-86. Núm. 247 A.
Orden Hyp ocrales
Orden Hypocrales
Familia Hypocreaceae
Familia Hypocreaceae
Hypoc rea rufa (Pers. : Fr.) Fr.
Hypocrea rufa (Pers. : Fr.) Fr.
Sobre restes llenyoses molt descompostes, en una pin eda. Loc. 15. 18 -2-90. Núm. 301 A. Sobre fusta indeterminada en descomposi ció. Loc. 11. 25-2-89. Núm. 364 A.
Sobre restes llenyoses molt descompostes, en una pineda. Loc. 15. 18-2-90. Núm. 301 A. Sobre fusta indeterminada en descomposició. Loc. 11. 25-2-89. Núm. 364 A.
Hypomyces rosellus (Alb. & Schw .) Tul.
Hypomyces rosellus (Alb. & Schw.) Tul.
Sobre Trametes versicolor vell. Loc. 11. 4-2-90.Núm. 361 A.
Sobre Tra metes versicolor vell. Loc. 11. 4-2-90 .Núm. 361 A.
Ne ctria episphaeria (Tode : Fr .) Fr.
Sobre fusta parasitada per Pyrenomycetes, junt amb Bisporella sulfurin a. Loc. 15. 4-3-89 Núm. A.
Nectria episphaeria (Tode : Fr.) Fr. Sobre fusta parasitada per Pyrenomycetes, junt amb Bisporella sulfurina. Loc. 15. 4-3-89. Núm. 307 A.
Orden Ostropales
Orden Ostropales
Familia Ostropaceae
Familia Ostropaceae
Apostemidium sp. Apotecis
Apostemidium sp. Apotecis
Sobre fulles mortes de roure Loc. 11. 21- 4- 1. Núm. A.
Sobre fulles mortes de roure. Loc. 11. 21-4-1. Núm. A.
Orden Patellariales
Orden Patellariales
Familia Patellaria ceae
Familia Patellariaceae
Patellaria atrata Fr.
Patellaria atrata Fr.
Sobre fusta d' arbres de ribera Loc. 11 .2 5-4-8 7. Núm. 18 8 A.
Sobre fusta d'arbres de ribera. Loc. 11.25-4-87. Núm. 188 A.
Orden Peziza les
Orden Pezizales
Familia Ascobolaceae
Familia Ascobolaceae
Ascobolus furfuraceus Pers. : Fr.
Sobre excrements. Loc. 3. 17 -2-90. Núm. 363 A.
Ascobolus furfuraceus Pers. : Fr. Sobre excrements. Loc. 3. 17-2-90. Núm. 363 A.
Familia Helvellaceae
Familia Helvella ceae
Discina melaleuca Bres.
En bosc mixt, sota alzines i pi ns. Loc. 11. 6-2 -88 . Núm. 140 A.
Discina melaleuca Bres. En bosc mixt, sota alzines i pins. Loc. 11. 6-2-88. Núm. 140 A.
Helvella acetabulum (L. ex St. Amans) Quél.
En alzinars, marges de camins. Loc. 13. 31 -3- 91. Núm. 426 A.
Helvella acetabulum (L. ex St. Amans) Quél. En alzinars, marges de camins. Loc. 13. 31-3-91. Núm. 426 A.
He lvella ephippium Lév.
En terra nua, sota pollancres. Loc. 7. 22-1 2-8 7. Núm. 145 A.
Helvella ephippium Lév. En terna nua, sota pollancres. Loc. 7. 22-12-87. Núm. 145 A.
He vella queletii Bres.
Hevella queletii Bres.
Sota pollancre s. Loc. 7. 15 -1-87. Núm. 121 A.
Sota pollancres. Loc. 7. 15-1-87. Núm. 121 A.
Helvella leucomelaena (Pers.) Nannf.
Hel vella leucomelaena (Pers .) Nannf.
En marges de camins arenosos. Loc. 15-1-88. Núm. 117 A.
En marges de camins arenosos. Loc. 15 -1- 88. Núm. 117 A.
Familia Morchellaceae
Fa milia Morchella ceae
Disciotis venosa (Pers.) Boud.
Disciotis ven osa (Pers .) Boud.
Sota pins plantats en una antiga vinya, en terreny sorrenc de sauló. Loc. 11. 19-3-91. Núm. 424 A.
Sota pins plantats en una antiga vinya, en terreny sorrenc de sauló. Loc. 11. 19 -3-9 1. Núm. 424 A.
10 4

Bu tll. Soc. Catalana Mico/. 14·15 99 -112 Barcelona 1991
Familia Peziza ceae
Familia Pezizaceae
Pez iza atrospora Fuckel.
Peziza atrospora Fuckel.
En carbonera vegetal i terra, en bosc mixt. Loc. 10. 6- 88. Núm. 345 A.
En carbonera vegetal i terra, en bosc mixt. Loc. 10. 6-88. Núm. 345 A.
Peziza repanda Pers
Peziza repanda Pers.
Sobre runes. Loc. 10. 5-8 7. Núm. 63 A. Loc. 11 . 27-1 1- 87. Núm. 12 5 A.
Sobre runes. Loc. 10. 5-87. Núm. 63 A. Loc. 11. 27-11-87. Núm. 125 A.
Peziza saccardiana Cooke.
Peziza saccardiana Cooke.
Sobre terra humida, en camins de bosc mixte. Loc. 11. 10 -2-8 7. Núm. 147 A. Loc. 4. 8-2-90. Núm. 368 A. Marges camí arenós, en bosc mixte. Loc. 11. 1-1- 88. Núm. 136 A.
Sobre terra humida, en camins de bosc mixte. Loc. 11. 10-2-87. Núm. 147 A. Loc. 4. 8-2-90. Núm. 368 A. Marges camí arenós, en bosc mixte. Loc. 11. 1-1-88. Núm. 136 A.
Peziza saniosa (Schrad) Sacc.
Peziza saniosa (Schrad) Sacc.
En marges arenosos. Loc. 12. 1-1-88. Núm. 152 A. Loc. 12. 27-1-88. Núm. 124 A.
En marges arenosos. Loc. 12. 1- 1- 88. Núm. 152 A. Loc. 12. 27 -1- 88. Núm. 12 4 A.
Peziza succosa Berk.
Peziza suc cosa Berk.
En bosc de Quercus i/ex. Loc. 9. 30- 12 -87. Núm. 141 A. Sota alzines i sureres, entre molses. Loc. 11. 3-1-88. Núm. 142 A.
En bosc de Quercus ilex. Loc. 9. 30-12-87. Núm. 141 A. Sota alzines i sureres, entre molses. Loc. 11. 3-1-88. Núm. 142 A.
Peziza succosella Le Gal et Romagn.
Peziza succosella Le Gal et Romagn.
Sota pins i alzines. Loc. 11. 18-2-90. Núm. 360 A.
Sota pins i alzi nes. Loc. 11 18 -2-90. Núm. 360 A.
Peziza viola cea Pers.
Peziza violacea Pers.
En bosc cremat de Pin us pinea. Loc. 10. 1- 3- 86. Núm. 83 A.
En bosc cremat de Pinus pinea. Loc. 10. 1-3-86. Núm. 83 A.
Familia Pyron emataceae ( = Humariaceae)
Familia Pyronemataceae (= Humariaceae)
Anthracobia macrocystis (Cooke) Boud.
Ant hracobia macrocystis (Cooke) Boud.
Carbonera en un bosc de Pinus halepensis. Loc. 10. 5-3-87. Núm. 164 A.
Carbonera en un bosc de Pin us ha/epensis. Loc 10. 5-3 -87. Núm. 16 4 A.
Coprobia granulata (Bull. : Fr.) Boud.
Coprobia granul ata (Bull. : Fr .) Boud.
Sobre excrements indeterminats. Loc. 4. 2-90. Núm. 365 A.
Sobre excrements indeterminats. Loc. 4. 2-90. Núm. 365 A.
Humar ia hem isphaerica (Wigg : Fr .) Fuckel.
Humaria hemisphaerica (Wigg : Fr.) Fuckel.
Sobre terra humida, en bosc mixt. Loc. 7. 21-12 -89. Núm. 369 A. Sobre terra humida, en un camí d'un alzinar. Loc. 12. 26- 1- 88. Núm. 123 A.
Sobre terra humida, en bosc mixt. Loc. 7. 21-12-89. Núm. 369 A. Sobre terra humida, en un camí d'un alzinar. Loc. 12. 26-1-88. Núm. 123 A.
Lamprospora polytrichi (Schum. : Fr .) Le Gal
Lamprospora polytrichi (Schum. : Fr.) Le Gal.
En carboneres de bosc mixt, entre Fumaria hygrome trica. Loc . 5. 10-3-8 7. Núm. 10 A. Loc. 11. 8-2-8 7. Núm. 20 A.
En carboneres de bosc mixt, entre Fumaria hygrometrica. Loc. 5. 10-3-87. Núm. 10 A. Loc. 11.8-2-87. Núm. 20 A.
Octospora leucoloma Hedw. ex S.F. Gray.
Octospora leucoloma Hedw. ex S.F. Gray.
Sobre terreny sorrenc amb molsa o sense. Loc. 6. 29-1-88. Núm. 137 A. Loc. 6. 24-2-87. Núm. 104 A. Loc. 10. 10-1-88. Núm. 118 A.
Sobre terreny sorrenc amb molsa o sense Loc. 6. 29- 1- 88. Núm. 137 A. Loc. 6. 24-2-8 7. Núm. 10 4 A. Loc. 10. 10-1- 88. Núm. 11 8 A.
Octospora neglecta Dennis & Itzerott.
Octospora negl ecta Dennis & Itzerott
Sobre carbonera de bosc de Pinus pinaster. Loc. 11. 2-86. Núm. 45 A.
Sobre carbonera de bosc de Pin us pinaster. Loc. 11. 2- 86. Núm. A.
Octospora ro xheimii Dennis & Itzerott
Octospora roxheimii Dennis & Itzerott.
Sobre carbonera de bosc de Pin us pinaster. Loc. 11. 3-85. Núm. 61 A. Loc. 1. 8-3-8 7. Núm. 38 A. Loc. 11. 8-3-8 7. Núm. 2 A.
Sobre carbonera de bosc de Pinus pinaster. Loc. 11. 3-85. Núm. 61 A. Loc. 1. 8-3-87. Núm. 38 A. Loc. 11. 8-3-87. Núm. 2 A.
Pyronema domesticum (Sow. : Fr.) Sacc.
Pyronema domesticum (Sow. : Fr.) Sacc.
Sobre carbonera de bosc. Loc. 14. 23-3-8 9. Núm. 304 A.
Sobre carbonera de bosc. Loc. 14. 23-3-89. Núm. 304 A.
Pyronema omphalodes (Bull. ex St. Amans) Fuckel.
Pyronema omphalo des (Bull. ex St. Amans) Fuck el.
Sobre carbonera de bosc. Loc. 11. 5-2- 88. Núm. 135 A. Loc. 11. 10 -8-89. Núm. 353 A.
Tarzeta catinus (Holmsk : Fr.) Korf & J.P Rogers ss Dennis (1 978).
Sobre carbonera de bosc. Loc. 11. 5-2-88. Núm. 135 A. Loc. 11. 10-8-89. Núm. 353 A. Tarzeta catinus (Holmsk : Fr.) Korf & J.P. Rogers ss Dennis (1978).
Marge molt humit en camí sorrenc. Loc. 14. Núm. 319 A. Tarzeta cupularis (L. : Fr.) Lamb. ss Dennis (1978).
Marge molt humit en camí sorre nc. Loc. 14. Núm. 319 A. Tarzeta cu pularis (L. : Fr .) Lamb. ss Dennis (1 978 )
Marge camí en un bosc d' alzines i pins. Loc 11. 16 -1- 88. Núm. 12 0 A.
Trich ophaea paraphysin cru stata Donadini, Tore & Calonge , sp. rov. En sòl cremat de bosc de Quercus sp i Pin us sp. Loc. 5. 15 -2- 87. MA-Fung 19 474.
Marge camí en un bosc d'alzines i pins. Loc. 11. 16-1-88. Núm. 120 A. Trichophaea paraphysincrustata Donadini, Tore & Calonge, sp. rov. En sól cremat de bosc de Quercus sp i Pinus sp. Loc. 5. 15-2-87. MA-Fung 19474.
Familia Sarcosamataceae
Familia Sarcosamataceae
Plectania me lastoma (Sow. ex S.F. Gray) Fuck el.
Sobre branquillons morts de Quercus i/ex. Loc. 11. 3 1-12 -87. Núm. 143 A.
Plectania melastoma (Sow. ex S.F. Gray) Fuckel. Sobre branquillons morts de Quercus ilex. Loc. 11.31-12-87. Núm. 143 A.
Familia Terfezia ceae
Familia Terfeziaceae
Delastria rosea Tul. En un marge sorrenc, en bosc mixt. Leg. L. Loscertales. Loc. 6. 11 -84. Núm. 17 8 A.
Delastria rosea Tul. En un marge sorrenc, en bosc mixt. Leg. L. Loscertales. Loc. 6. 11-84. Núm. 178 A.
Familia Tuberaceae
Familia Tuberaceae
Tu ber asa Lespialdo. Sota estepes (Cis tus albidus), en terreny sorr enc . Loc . 11. 13 i 21-4- 91. Determinación J.M. Vidal .
Tuber asa Lespialdo. Sota estepes (Cistus albidus), en terreny sorrenc. Loc. 11. 13 i 21-4-91. Determinación J.M. Vidal.
Butll. Soc. Catalana Micol. 14-15 99 -112 Barcelona 1991

5
Orden Rhytisma tales
Orden Rhytismatales
Familia Rhytism ataceae
Familia Rhytismataceae
Propolomyces versicolor (F r.) Dennis
Propolomyces versicolor (Fr.) Dennis
Sobre escorça de planifolis. Loc. 11. 6-4-8 6. Núm . 209 A. Sobre escorça d' alzina. Loc. 11. 17 -4-86. Núm. 239 A.
Sobre escorÇa de planifolis. Loc. 11. 6-4-86. Núm. 209 A. Sobre escom d'alzina. Loc. 11. 17-4-86. Núm. 239 A.
Orden Taphrinales
Orden Taphrinales
Familia Taphrinaceae
Familia Taphrinaceae
Taphrina defo rmans (Berk .) Tul.
Taphrina deformans (Berk.) Tul.
Sobre fulles de presseguer jove. Loc. 11. 18 -5- 85. Núm. 16 7 A.
Sobre fulles de presseguer jove. Loc. 11. 18-5-85. Núm. 167 A.
Orden Xyla riales
Orden Xylariales
Familia Xylaria ceae
Familia Xylariaceae
Rosellinia aquila (Fr.) de Nat. Sobre fusta d' arbres de ribera. Loc. 14. 26-2-89 Núm. 300 A.
Rosellinia aquila (Fr.) de Not. Sobre fusta d'arbres de ribera. Loc. 14. 26-2-89. Núm. 300 A.
HETEROBASIDIOMICETS
HETEROBASIDIOMICETS
Orden Tremellales
Orden Tremellales
Exidia trun cata Fr.
Exidia truncata Fr.
Sobre fusta indeterminada. Loc. 15.19-4-9 1.
Sobre fusta indeterminada. Loc. 15.19-4-91.
Myxarium nu cleatum Wallz.
Myxarium nucleatum Wallz.
Sobre fusta morta de pollancre (Populus sp.). Loc. 7. 22-1-88. Núm. 534 B.
Sobre fusta morta de pollancre (Pop ulus sp.). Loc. 7. 22 -1-88. Núm. 534 B.
HOLOBASIDIOMICETS
HOLOBA SIDIOMICETS
Orden Aphyllophorales
Orden Aphyllophorales
Flagelloscypha minu tissima (Burt .) Donk
Flagelloscypha minutissima (Burt.) Donk
Sobre branques tallades de Quercus suber en estat de descomposició. Loc. 16. 22-4-89. Núm. 10 80 B. Granul obasid ium vellereum (Ell. & Crag .) Jül.
Sobre branques tallades de Quercus suber en estat de descomposició. Loc. 16. 22-4-89. Núm. 1080 B. Granulobasidium vellereum (Ell. & Crag.) Jül.
Sobre troncs tallats d' Ulmus sp. Loc. 11. 11 -1- 87. Núm. 635 B. Henn in gsomyces candidus (Pers. ex Schleich) O. Kuntze
Sobre troncs tallats d'Ulmus sp. Loc. 11. 11-1-87. Núm. 635 B. Henningsomyces candidus (Pers. ex Schleich) O. Kuntze.
Sobre escorça de pins tallats. Loc. 14. 6-4-8 9. Núm. 10 53 B. Loc. 11. 11 -4-90. Núm. 1429 B. Hy phoderma radula (Fr.) Donk
Sobre escorÇa de pins tallats. Loc. 14. 6-4-89. Núm. 1053 B. Loc. 11. 11-4-90. Núm. 1429 B. Hyphoderma radula (Fr.) Donk
Sobre brancalls caiguts d' arç. Loc. 4. 2-2-90. Núm. 13 66 B. Merismodes fasc icu latus (Schw .) Donk
Sobre brancalls caiguts d'arQ. Loc. 4. 2-2-90. Núm. 1366 B. Merismodes fasciculatus (Schw.) Donk
Sobre branquillons indeterminats, caiguts. Loc. 6. 29-1-88. Núm. 464 B. Meruliopsis corium (Pers. : Fr.) Ginns.
Sobre branquillons indeterminats, caiguts Loc. 6. 29- 1- 88. Núm. 464 B. Meru liopsis corium (Pers. : Fr .) Ginns.
Sobre brancalls caiguts de vegetació de ribera. Loc. 4. 20-1-89. Núm. 1045 B. Sobre brancalls caiguts, en bosc mixt. Loc. 16. 1-2-87. Núm. 638 B. Peniophora incarnata (Pers. : Fr.) P. Karst.
Sobre brancalls caiguts de de ribera. Loc. 4. 20- 1- 89. Núm. 1045 B. Sobre brancalls caiguts, en bosc m t. 1 6 1 87 Núm. 638 B Peniophora in carnata (Pers. : Fr.) P. Karst.
Sobre fusta de planifolis. Loc. 15. 4- 3-89. Núm. 1043 B. Pseudo cratere llus sinu osus (Fr.) Reid [= Cantharellus sin uosus (Fr. : Fr.) K. & R.]
Sobre fusta de planifolis. Loc. 15. 4-3-89. Núm. 1043 B. Pseudocraterellus sinuosus (Fr.) Reid [= Cantharellus sinuosus (Fr. : Fr.) K. & R.]
Sota alzines i pins. Loc. 18. 6-88. Núm. 11 02 B.
Sota alzines i pins. Loc. 18. 6-88. Núm. 1102 B.
10 6

Butll. Soc. Catalana Micol. 14·15 99 ·112 Barcelona 1991
Pulcherricium caeru leum (Schra d. : Fr.) Parm.
Pulcherricium caeruleum (Schrad. : Fr.) Parm.
Sobre brancalls caiguts en descomposició. Loc. 13. 11 2·90. Núm. 13 65 B. Loc. 9. 19 ·2·89. Núm. 10 40 B.
Sobre brancalls caiguts en descomposició. Loc. 13. 11-2-90. Núm. 1365 B. Loc. 9. 19-2-89. Núm. 1040 B.
Ramaria botrytis forma parvula (Fr.) Ricken.
Ramaria botrytis forma parvula (Fr.) Ricken.
Sota castanyers, alzines i pins. Leg. A. Duran. Loc. 18. 24·9·84. Núm. 594 B.
Sota castanyers, alzines i pins. Leg. A. Duran. Loc. 18. 24-9-84. Núm. 594 B.
Ramaria formosa (Pers. : Fr.) Quél.
Ramaria fo rmosa (Pers. : Fr .) Quél.
Sota planifolis. Loc. 18. 6-88. Núm. 1104 B.
Sota planifolis. Loc. 18. 6·88. Núm 11 04 B.
Ramariopsis cr ocea
Ramariopsis crocea
En una pineda. Loc. 12. 28-11-87. Núm. 676 B.
En una pineda. Loc. 12. 28 ·1 1·87. Núm. 676 B.
Ramariopsis kun zei (F r.) Donk
Ramariopsis kunzei (Fr.) Donk
Sota Platanus hybrida. Loc. 14. 11-87. Núm. 656 B.
Sota Pla tanus hybrida. Loc. 14. 11 ·87. Núm. 656 B.
Spongiporus styp ticus (p ers. : Fr .) David [= Postia stiptica (Pers. : Fr.) Jül .]
Spongiporus stypticus (Pers. : Fr.) David [= Postia stiptica (Pers. : Fr.) Jül.]
Sobre soca de pi tallat. Loc. 6. 3·1 2·88. Núm. 937 B.
Sobre soca de pi tallat. Loc. 6. 3-12-88. Núm. 937 B.
Steccherinum ochraceum (Pers. in Gmel. : Fr.) S.F. taray.
Ste ccherinum ochraceum (Pers. in Gmel. : Fr .) S.F. Gray.
Sobre branquillons de planifolis. Loc. 3. 11 2·89. Núm. 10 42 B
Sobre branquillons de planifolis. Loc. 3. 11-2-89. Núm. 1042 B.
Stereum ochraceoflavum (Sc hw.) Ellis.
Stereum ochraceoflavum (Schw.) Ellis.
Sobre petits branquillons caiguts de Quercus sp. Loc. 3. 11 2·89. Núm 10 46 B. Loc. 13. 15 ·1·87. Núm. 667 B. Loc. 11. 1·87. Núm. 602 B.
Sobre petits branquillons caiguts de Quercus sp. Loc. 3. 11-2-89. Núm. 1046 B. Loc. 13. 15-1-87. Núm. 667 B. Loc. 11. 1-87. Núm. 602 B.
Thelephora caryophyllea (Sch. : Fr.) Fr.
The lephora caryophyllea (Sch. : Fr .) Fr.
Marge camí de bosc mixt, en terreny sorr enc, sota Cis tus sp. Loc. 11. 12 ·89. Núm. 1314 B.
Núm. 10 36 B.
Marge camí de bosc mixt, en terreny sorrenc, sota Cistus sp. Loc. 11. 12-89. Núm. 1314 B. Loc. 11. 8-1-89. Núm. 1036 B.
Orden Boletales
Orden Boletales
Boletus dupainii Boud.
Boletus dupainii Boud.
Sota Quercus ilex i Castanea sativa. Loc. 18. 25-10-86. Núm. 721 B. Boletus fragrans Vitt.
Sota Quercus ilex i Castanea sativa. Loc. 18. 25· 10 ·86. Núm. 721 B. Boletus fragrans Vitt.
Sota Pin us pinea, Quercus ilex i Quercus suber. Loc. 18. 25· 10 ·86. Núm. 720 B.
Boletus lupinus Fr.
Sota Pinus pinea, Quercus ilex i Quercus suber. Loc. 18. 25-10-86. Núm. 720 B. Boletus lupinus Fr.
Sota alzines. Leg. R. Nualart. Loc. 3. 10-85. Núm. 685 B.
Sota alzines. Leg. R. Nualart. Loc. 3. 10·85. Núm. 685 B.
Phyllo porus rhodoxanthus (Schw. : Fr.) Bres.
Phylloporus rhodoxanthus (Schw. : Fr.) Bres.
Sota Castanea sativa i Pinus sp.. Loc. 16-6-88. Núm. 878 B. Loc. 14. 26-5-88.Núm. 863 B. Xerocomus moravicus (Vacek) Herink.
Sota Castanea sativa i Pin us sp Loc. 16 ·6·88. Núm 878 B. Loc. 14. 26·5· 88. Núm. 863 B. Xerocomus moravicus (Vacek) Herink.
Sota Quercus ilex i Pinus pinea. Loc. 18-10-89. Núm. 1489 B.
Sota Quercus ilex i Pin us pinea. Loc. 18·10·89 Núm. 1489 B.
Orden Agaricales
Orden Agaricales
Agaric us lanipes (Moll. & J. Schaeff.) S i ng Bosc degradat de Pin us halepensis i Quercus ilex. Loc. 6. Leg. i determinació A. Duran. 25 ·11·90. Núm. 15 98 B.
Agaricus lanipes (Molí. & J. Schaeff.) Sing. Bosc degradat de Pinus halepensis i Quercus ilex. Loc. 6. Leg. i determinació A. Duran. 25-11-90. Núm. 1598 B.
Agaricus porphyrizon Orton.
Agaricus porphyrizon Orton .
Bosc mixt, sota pins i alzines. Loc. 13. 15-9-90. Núm. 1653 B. Agrocybe molesta (Lasch.) Sing. [= A. dura (Bolt.) Sing.]
Bosc mixt, sota pins i alzin es. Loc. 13. 15 ·9·90. Núm. 16 53 B.
Agrocybe molesta (Lasch .) Sing. [= A. dura (Bo lt.) Sing .] En camps de pastura. Loc. 13. 8· 10·87. Núm. 343 B. Amanita fra nchetii (Boud .) Fayod forma Lactella [= A. aspera (Fr.) S. F. Gray].
En camps de pastura. Loc. 13. 8-10-87. Núm. 343 B. Amanita franchetii (Boud.) Fayod forma Lactella [= A. aspera (Fr.) S. F. taray].
Sota Quercus suber i Pin us halepensis. Loc. 18. 17 ·10 ·85. Núm. 259 B.
Ama nita fulva (Schff. : Fr .) Big. & Guil.
Sota Quercus suber i Pinus halepensis. Loc. 18. 17-10-85. Núm. 259 B. Amanita fulva (Schff. : Fr.) Big. & Guil.
Entre l'herba, camí, en bosc mixt. Loc. 11. 29-5-89. Núm. 858 B.
Entre l' herba, camí, en bosc mixt. Loc. 11 29·5·89. Núm 858 B.
Amanita verna (Bull. : Fr.) Lamk.
Ama nita verna (Bull. : Fr .) Lamk.
Sota Quercus ilex, Q. suber i Pinus sp. Loc. 11. 15-5-88. Núm. 490 B. Arrhenia spathulata (Fr.) Redh. = [Leptoglossum muscigenum (Bull.) P. Karst.]
Sota Quercus ilex, Q. suber i Pin us sp. Loc. 11 15 ·5·88. Núm. 490 B. Arrhenia spathul ata (Fr.) Redh. = [Leptoglossum muscigenum (Bull .) P. Karst .]
Sobre molses, entre Cistus albidus i Cistus salviaefolius. Loc. 11. 22-3-1. Núm. 1716 B. Bolbitius reticulatus (Pers. : Fr.) Riken.
Sobre molses, entre Cis tus albidus i Cistus salviaefolius. Loc. 11. 22·3· 1. Núm. 1716 B. Bolbitius reti culatus (Pers. : Fr .) Riken.
Sobre fusta morta indeterminada, junt amb Coprinus sp. Loc. 12. 25-3-90. Núm. 1437 B.
Sobre fusta morta indeterminada, ju nt amb Coprin us sp. Loc. 12. 25·3·90. Núm. 1437 B.

Bu tll. Soc. Catalana Micol. 14-15 99-112 Barcelona 1991
Chaetocalathus cratere llus (Dur & Lév .) Sing.
Chaetocalathus craterellus (Dur & Lév.) Sing.
Sobre restes vegetals , no identificades. Loc. 4. 8-2-90. Núm. 13 32 B. 7-4-90. Núm. 14 64 B.
Sobre restes vegetals, no identificades. Loc. 4. 8-2-90. Núm. 1332 B. 7-4-90. Núm. 1464 B.
Clitocybe alexandri (Gi ll.) Konr.
Clitocybe alexandri (Gill.) Konr.
Sota pins. Loc. 9. 19-1- 90. Núm. 13 28 B.
Sota pins. Loc. 9. 19-1-90. Núm. 1328 B.
Cl itocybe sino pica (Fr. : Fr.) Kumm.
Clitocybe sinopica (Fr. : Fr.) Kumm.
Sota Pin us pinae, en un bosc cremat. Loc. 10. 26-4-86. Núm. 182 B.
Sota Pinus pinae, en un bosc cremat. Loc. 10. 26-4-86. Núm. 182 B.
Collybia di storta (Fr.) Quél .
Collybia distorta (Fr.) Quél.
Sobre un munt de serradures i restes d'escom d'arbres. Loc. 9. 5-88. Núm. 869 B.
Sobre un munt de serradures i restes d' escorça d'a rbr es. Loc. 9. 5- 88. Núm. 869 B.
Collybia dryophila (Bull. : Fr.) Kumm.
Collybia dryophila (Bull . : Fr.) Kumm.
Sota bosc mixt. Loc. 12. 4-6-89. Núm. 1067 B. Loc. 11. 20-12-86. Núm. 25 B.
Sota bosc mixt. Loc. 12. 4-6-89 Núm. 10 67 B. Loc. 11. 20- 1 2-86. Núm. 25 B.
Collybia fu sipes (Bull. : Fr .) Quél.
Collybia fusipes (Bull. : Fr.) Quél.
En soques de roure. Loc. 16. 6-86. Núm. 90 B.
En soques de roure. Loc. 16. 6-86. Núm. 90 B.
Coprinus angulatus Peck.
Coprinus angula tus Peck.
En un bosc mixt. Loc. 5. 3-3 -87. Núm. 21 B.
En un bosc mixt. Loc. 5. 3-3-87. Núm. 21 B.
Coprinus domesticus (Bolt. : Fr .) S.F. Gray.
Coprinus domesticus (Bolt. : Fr.) S.F. Gray.
Sobre fusta indeterminada en descomposició. Loc. 12. 3-7-86. Núm. 202 B.
Sobre fusta indeterminada en descomposició. Loc. 12. 3-7-86. Núm. 202 B.
Coprinus radians (Bolt. : Fr.) Pers.
Coprinus rad ians (Bolt. : Fr.) Pers.
Sobre excrements de cavall, en un camí de bosc. Loc. 13. 15-5-88. Núm. 485 B.
Sobre excrements de cavall, en un camí de bosc. Loc. 13. 15 -5- 88. Núm. 485 B.
Coprinus velox Gad. ap. Gill.
Coprinus velox Gad. ap. Gill
Sobre excrements no identificats, en cultiu en cambra humida. Loc. 4. 24-2-90. Núm. 1394 B.
Sobre excrements no identificats, en cultiu en cambra humida. Loc. 4. 24-2-90. Núm. 13 94 B.
Cortinarius anomalus (Fr. : Fr .) Fr.
Cortinarius anomalus (Fr. : Fr.) Fr.
En bosc mixt. Loc. 7. 21-12 -89 Núm. 1310 B.
En bosc mixt. Loc. 7. 21-12-89. Núm. 1310 B.
Cortinarius bulli ardii (Fr.) Fr.
Cortinarius bulliardii (Fr.) Fr.
Sote alzines i roures. Loc. 14. 14-1- 90. Núm. 13 46 B.
Sote alzines i roures. Loc. 14. 14-1-90. Núm. 1346 B.
Cortinarius cedretorum R. Mre.
Cortinarius cedretorum R. Mre.
Sota sureres i alzines. Loc. 15. 8-12-89. Núm. 1357 B.
Sota sureres i alzi nes Loc. 15. 8-1 2-89. Núm. 13 57 B.
Cortinarius dibaphus Fr.
Cortinarius di baphus Fr.
Sota bosc mixt. Loc. 6. 11-86. Núm. 409 B.
Sota bosc mixt. Loc. 6. 11 - 86. Núm. 409 B.
Cortinarius di baphus Fr. var. nemorosus Hry.
Cortinarius dibaphus Fr. var. nemorosus Hry.
Sota Quercus ilex. Loc. 7. 3- 12-88. Núm. 936 B.
Sota Quercus ilex. Loc. 7. 3-12-88. Núm. 936 B.
Cortinarius dio nysae Hry.
Cortinarius dionysae Hry.
Sota alzines i sureres. Loc. 7. 14-12-89 Núm. 13 48 B.
Sota alzines i sureres. Loc. 7. 14-12-89. Núm. 1348 B.
Cortinarius mucifluus Hry.
Cortinarius mucifluus Hry.
Bosc mixt amb predomini de pins. Loc. 7. 30-12-89. Núm. 1316 B.
Bosc mixt amb predomini de pins . Loc. 7. 30- 1 2-89. Núm. 1316 B.
Crepidotus herbarum (Peck.) Sacc. [= pubescens Bres.]
Crepidotus herbarum (Peck .) Sacc. [= pubescens Br es.]
Sobre restes vegetals d'arbres de ribera i lianes. Loc. 4. 8-2-90. Núm. 1336 B.
Sobre restes vegetals d' arbres de ribera i lianes. Loc. 4. 8-2-90. Núm. 13 36 B.
Cuphphyllus cereopalli dus (Clemç.) Bon.
Cuphphyllus cereopallidus (Clerrw.) Bon.
Entre molses. Loc. 11. 1-1- 91. Núm. 16 56 B.
Entre molses. Loc. 11. 1-1-91. Núm. 1656 B.
Cystoderma granulosum (Batsch : Fr .) Fayod.
Cystoderma granulosum (Batsch : Fr.) Fayod.
En pineda sorrenca amb Pin us pinea. Loc. 16. 8-1 2-89. Núm. 1377 B.
En pineda sorrenca amb Pinus pinea. Loc. 16. 8-12-89. Núm. 1377 B.
Cystolepiota aspera (Pers.) Bon [= Lepiota acutesquamosa (Weinm.) Kummer. var. furcata Kühn.]
Cystolepi ota aspera (Pers .) Bon [= Lepiota acutesquamosa (Wei nm.) Kummer. var. furcata Kühn .]
Entre l'herba, en un bosc mixt. Loc. 7. 12-10-86. Núm. 101 B. Entoloma Iividaoalbum (K. et R.) Kub.
Entre l' herba, en un bosc mixt. Loc. 7. 12-10-86. Núm. 101 B. Entoloma Iivi daoalbum (K. et R.) Kub
Clarianes d'alzinar amb pins i estepes. Loc. 14. 23-12-89. Núm. 1372 B. Entoloma lividum (Bull.) Quél. [= E. sinuatum (Bull. : Fr.) Kumm.]
Clarianes d' alzinar amb pins i estepes. Loc. 14. 23- 12 -89. Núm. 1372 B. Entoloma Iividum (Bu ll.) Quél. [= E. sin uatum (Bull. : Fr .) Kumm.]
Entre alzines i sureres. Loc. 18. 25-6-90. Núm. 1550 B.
Entre alzines i sureres. Loc. 18. 25-6-90. Núm. 15 50 B.
Entoloma serrulatum (Pers. : Fr .) Hesler
Entoloma serrulatum (Pers. : Fr.) Hesler
Marge de camí de una pine da.Loc. 11. 23- 1 2-89. Núm. 13 85 B. He beloma album Peck
Marge de camí de una pineda.Loc. 11. 23-12-89. Núm. 1385 B. Hebeloma album Peck
Marge de camí, sota Cistus sp. Loc. 7. 21-12 -89. Núm. 13 02 B. He beloma hiem ale Bres
Marge de camí, sota Cistus sp. Loc. 7. 21-12-89. Núm. 1302 B. Hebeloma hiemale Bres.
Sota estepes (Cis tus sp.), en clarianes de pineda Loc. 9. 12 -3-91. Núm. 17 24 B. Hemi mycena mauretanica (R. Mre .) Sing.
Sota estepes (Cistus sp.), en clarianes de pineda. Loc. 9. 12-3-91. Núm. 1724 B. Hemimycena mauretanica (R. Mre.) Sing.
Sobre restes vegetals mig enterrades. Loc. 14. 23-3-8. Núm. 1302 B.
Hygrophorus arbustivus Fr.
Sobre restes vegetals mig enterrades. Loc. 14. 23-3-8. Núm. 13 02 B. Hygr ophorus arbustivus Fr.
Sota alzines, entre la molsa. Loc. 11. 8-1-89. Núm. 1029 B.
Sota alzines, entre la molsa. Loc. 11. 8-1- 89. Núm. 10 29 B.
10 8

Bu tll. Soc. Catalana Micol. 14-15 99 -112 Barcelona 1991
In ocybe adaeq uata (Bri tz.) Sacc. [= I. jurana Pat .]
Inocybe adaequata (Britz.) Sacc. [= I. jurana Pat.]
Sota Pin us pinea, Quercus suber i Q. ilex. Leg A. Duran. Loc. 6. 23 -10 -86. Núm. 236 B.
Sota Pinus pinea, Quercus suber i Q. ilex. Leg. A. Duran. Loc. 6. 23-10-86. Núm. 236 B.
Inocybe asterospora Qué!.
Inocybe asterospora Quél.
En bosc mixte de pins i alzines. Loc. 7. 8- 12 -88. Núm. 10 50 B.
En bosc mixte de pins i alzines. Loc. 7. 8-12-88. Núm. 1050 B.
Inocybe bongardii (Wei nm.) Qué! .
Inocybe bongardii (Weinm.) Quél.
En bosc mixte de pins i alzines. Loc. 19. Leg. F. J. Domínguez. 15 -11-87. Núm. 397 B.
En bosc mixte de pins i alzines. Loc. 19. Leg. F. J. Domínguez. 15-11-87. Núm. 397 B.
In ocybe dulc am ara (A. & S.) Kumm.
Inocybe dulcamara (A. & S.) Kumm.
Sota sureres i pins. Loc. 7. 13-12-84. Núm. 142 B.
Sota sureres i pins. Loc. 7. 13 -12 -84. Núm. 142 B.
Inocybe godeyi Gill.
In ocybe godeyi Gil!
Sota Quercus ilex i Pinus pinea. Loc. 4. 7-86. Núm. 241 B.
Sota Quercus ilex i Pin us pinea. Loc. 4. 7-86. Núm. 241 B.
Laccaria altaica Sing.
Laccaria altaica Sing.
En bosc mixt. Loc. 18. 15-10-90. Núm. 1655 B.
En bosc mixt. Loc. 18. 15 - 10 -90. Núm. 16 55 B.
Lactocollybia epia Bk. an Br.
Lactoco lly bia epia Bk. an Br.
Entre l' herba, sota cedres i altres coníferes ornamentals, en un ja rdí públic urbà. Loc. 8. 10-8-89. Núm. 11 50 B.
Entre l'herba, sota cedres i altres coníferes ornamentals, en un jardí públic urbá. Loc. 8. 10-8-89. Núm. 1150 B.
Determinació Dr. SINGER.
Determinació Dr. SINGER.
Lepiota brun neoi nca rnata Chod. & Mart.
Lepiota brunneoincarnata Chod. & Mart.
Entre l'herba, sota coníferes, en un jardí públic. Loc. 8. 7-6-89. Núm. 1152 B.
Entre l' herba, sota coníferes, en un ja rdí públic. Loc. 8. 7-6-89. Núm. 11 52 B.
Lepiota subgracilis Kühn. ex Wasser
Lepiota subgracilis Kühn. ex Wasser
En marges camins de bosc mixte, en terra de sauló. Loc. 14. 15-12-89.
Leucoagaricus melanotrichus (Malo. & Bert.) Trimb.
En marges camins de bosc mixte, en terra de sauló. Loc. 14. 15 -12 -89. Leucoagaricus melano trichus (Malç. & Bert.) Trimb.
Sota Quercus sp.. Loc. 18. Leg. i determinació A. Mayoral. 24-11-90. Núm. 1591 B.
Leucocoprinus lilacinogranulosus (Renn.) Locq.
Sota Quercus sp Loc. 18. Leg. i determinació A. Mayora!. 24-11- 90. Núm. 1591 B. Leuc ocopri nus Iilac in ogran ulosus (Renn .) Locq
En un test, sobra terra de ja rdiner. Loc. 3. 8-86. Núm. 10 2 B. Leuc opax illus tricholor (Pe ck .) Kühn. [= L. pseudoacerbum Cost . & Duf. Bours .]
En un test, sobra terra de jardiner. Loc. 3. 8-86. Núm. 102 B. Leucopaxillus tricholor (Peck.) Kühn. [= L. pseudoacerbum Cost. & Duf. Bours.]
Entre fullaraca de Castanea sativa. Loc. 18. 24-6-90. Núm. 15 47 B.
Entre fullaraca de Castanea sativa. Loc. 18. 24-6-90. Núm. 1547 B.
Limacella illinita (Fr. : Fr.) Earle.
Limacella iIIin ita (Fr. : Fr.) Earle.
Sota Pinus pinea, entre les acícules. Loc. 16. 8-12-89. Núm. 1378 B. Lyophyllum ulmarium (Bull. : Fr.) Kühn.
Sota Pin us pinea, entre les acícul es. Loc. 16. 8-12 -89. Núm. 1378 B. Lyop hyllum ulmarium (Bul!. : Fr .) Kühn.
Sobre restes de Populus sp. Leg. J. Canal. Loc. 14. 21-11-88. Núm. 955 B. Macrolepiota rhacodes (Witt.) Sing.
Sobre restes de Pop ulus sp. Leg. J. Cana!. Loc. 14. 21-1 1-88. Núm. 955 B. Ma crolep iota rhacodes (Witt .)
Entre brossa, en un marge de camí de bosc mixt. Loc. 16. 8-12-89. Núm. 1305 B. Marasmiellus ramealis Bull. : Fr.) Sing.
Entre brossa, en un marge de camí de bosc mixt. Loc. 16. 8- 12 -89. Núm 13 05 B. Mara smiellus ramealis Bul!. : Fr.) Sing.
Sobre branquillons indeterminats. Loc. 11. 13-1-91. Núm. 1654 B.
Sobre branquillons indeterminats. Loc. 11. 13 - 1- 91. Núm. 16 54 B.
Marasmius rotula (Scop. : Fr.) Fr.
Maras mius rotula (Scop . : Fr .) Fr.
Sobre fusta de planif olis. Loc. 16. 28-9-86. Núm. 17 6 B.
Me lanoleuca exsci ssa (Fr.: Fr .) Sing.
Sobre fusta de planifolis. Loc. 16. 28-9-86. Núm. 176 B. Melanoleuca exscissa (Fr.: Fr.) Sing.
Entre l' herba, en marges de bosc. Loc. 13. 3-85. Núm. 210 B. Melanoleuca pseudoevenosa Bon & Moreno.
Entre l'herba, en marges de bosc. Loc. 13. 3-85. Núm. 210 B. Melanoleuca pseudoevenosa Bon & Moreno.
Sota alzines, pins i estepes. Loc. 11. 1- 4-9 1. Núm. 17 20 B.
Mycena am icta (Fr.) Qué!.
Sota alzines, pins i estepes. Loc. 11. 1-4-91. Núm. 1720 B. Mycena amicta (Fr.) Quél.
Sota Querecus sp i Pinus sp. Loc. 11. 25--89. Núm. 1237 B. Sobre restes vegetals mig enterrades. Loc. 14. 15-3-89. Núm. 103 B.
Mycena quercusilicis Kühn.
Sota Querecus sp i Pin us sp. Loc. 11. 25--89. Núm. 12 37 B. Sobre restes vegetals mig enterrades. Loc. 14. 15 -3-89. Núm. 10 3 B. Mycena quercusilicis Kühn.
Sobre fulles caigudes de Quercus ilex. Loc. 12. 15-5-85. Núm. 1049 B. Loc. 7. 15-1-88. Núm. 407 B. Mycena stylobates (Pers. : Fr.) Kümm.
Sobre fulles caigudes de Quercus ilex. Loc. 12. 15 -5-85. Núm. 10 49 B. Loc. 7. 15-1- 88. Núm. 407 B. Mycena stylobates (Pers. : Fr.) Kümm.
Sobre fulles de Quercus sp. Loc. 13. 10-85. Núm. 5 B. Panaeolus ater (Lge.) Bon. Jardí urbá, entre la gespa. Loc. 8. 7-8-89. Núm. 1159 B. Panaeolus sphynctrinus (Fr.) Quél.
Sobre fulles de Quercus sp. Loc. 13. 10 -85. Núm. 5 B. Panaeolus ater (Lge.) Bon. Jardí urbà, entre la gespa. Loc. 8. 7-8-89. Núm. 11 59 B. Panaeolus sphynctrinus (Fr.) Qué!.
Sobre femta de cavall. Loc. 12. 19-6-88. Núm. 875 B.
Panellus stipticus (Bull. : Fr.) P. Karst.
Sobre femta de caval!. Loc. 12. 19 -6-88. Núm. 875 B. Panellus stipticus (Bul!. : Fr .) P. Karst.
Sobre soca tallada de pi. Loc. 11. 2-1 1- 87. Núm. 418 B. Phaeomarasmius erinaceus (Fr. : Fr .) Scherf. ex Romagn.
Sobre soca tallada de pi. Loc. 11. 2-11-87. Núm. 418 B. Phaeomarasmius erinaceus (Fr. : Fr.) Scherf. ex Romagn.
Sobre branquillons d'alzina. Loc. 13. 9-86. Núm. 244 B. Loc. 14. 11-85. Núm. 92 B. Pleurotellus hypnophilus (Berk.) Sacc. [= P. herbarum (Peck) Sing.]
Sobre branquillons d'alzina. Loc. 13. 9-8 6. Núm. 244 B. Loc. 14. 11 -85. Núm. 92 B. Ple urotellus hypnophilus (Berk .) Sacc. [= P. herbarum (peck) Sing .]
Sobre restes d'arpillera. Loc. 3. 5-2-89. Núm. 1442 B.
Sobre restes d' arpille ra. Loc. 3. 5-2-89 Núm. 1442 B.
Butll. Soc. Catalana Micol. 14-15 99 -112 Barcelona 1991

9
Pluteus chr ysophaeus (Schff. : Fr .) Qué!.
Pluteus chrysophaeus (Schff. : Fr.) Quél.
Entre fullaraca, en plantació de avelleners. Loc. 15. 24-4-9 1.
Entre fullaraca, en plantació de avelleners. Loc. 15. 24-4-91.
Pluteus romellii (Britz.) Sacc.
Pluteus romellii (Britz.) Sacc.
Sobre un tronc, tallat i en descompo sició, de pollancre Loc. 7. 11 - 5-88 Núm. 439 B. Sobre escorça de surera. Loc. 6. 17 -5 -1.
Sobre un tronc, tallat i en descomposició, de pollancre. Loc. 7. 11-5-88. Núm. 439 B. Sobre escorÇa de surera. Loc. 6. 17-5-1.
Pluteus seticeps (Atk .) Sing. [= P. minutissim us Mr e.]
Pluteus seticeps (Atk.) Sing. [= P. minutissimus Mre.]
En un test, sobre terre i restes vegetals Loc. 11. 27-786. Núm. 15 6 B. Sobre terra entre restes vegetals. Loc. 16. 30-9-86. Núm. 157 B.
En un test, sobre terre i restes vegetals. Loc. 11. 27-786. Núm. 156 B. Sobre terra entre restes vegetals. Loc. 16. 30-9-86. Núm. 157 B.
Pluteus villosus (Bul!.) Qu é!.
Pluteus villosus (Bull.) Quél.
Sobre fusta de pollancres i plátans. Loc. 14. 8-84. Núm. 97 B.
Sobre fusta de pollancres i plàtans. Loc. 14. 8-84. Núm. 97 B.
Psathyrella marcescibilis (Britz.) Sing.
Psathyrella marcescibilis (Britz .) Sing.
Entre fullaraca de pollancres. Loc. 4. 11-2-89. Núm. 1035 B.
Entre fullaraca de pollanc res. Loc. 4. 11 - 2-89. Núm. 10 35 B.
Psathyrella melanthina (Fr.) K. v. Waw.
Psathyrella melanthina (Fr.) K. v. Waw.
Entre restes vegetals d'arbres de ribera. Loc. 14. 19-5-91.
Entre restes vegetals d' arbres de ribera Loc. 14. 19 -5- 91.
Psathyrella semivestita (Bk. & Br.) A. H. Smith. Camí herbós. Loc. 18. 10-89. Núm. 1487 B.
Psathyrella semiv estita (Bk. & Br.) A. H. Smith. Camí her bós Loc. 18. 10-89 Núm. 1487 B.
Resupinatus applicatus (Batsch : Fr.) S.F. Gray.
Resupinatus applicatus (Batsch : Fr.) S.F. taray.
Sobre restes vegetals en descompos ició Loc. 15. 24-4-9 1.
Sobre restes vegetals en descomposició. Loc. 15. 24-4-91.
Simocybe centunculus (Fr. : Fr .) Karst.
Simocybe centunculus (Fr. : Fr.) Karst.
Sobre escorÇa caiguda de surera. Loc. 11. 10-5-91.
Sobre escorça caiguda de surera. Loc. 11. 10-5-9 1.
Tricholoma focale (Fr.) Ricken.
Tricholoma focale (Fr .) Ricke n.
Sota Pinus sp. Loc. 16. 12-86. Núm. 13 B.
Sota Pin us sp. Loc. 16 12 -86. Núm. 13 B.
Tricholoma fracticum (Birtz.) Kreis. [= T. batschii G. Gulden]
Tricholoma fract icum (Birtz.) Kreis. [= T. ba tschii G. Gulden]
Sota pins Loc. 5. 20- 12 -89. Núm. 13 86 B.
Sota pins. Loc. 5. 20-12-89. Núm. 1386 B.
Tricholoma psammopus (Kal ch.) Qué!.
Tricholoma psammopus (Kalch.) Quél.
Sota Pin us pinaster. Loc. 6. 22-2-8 7. Núm. 4 B.
Sota Pinus pinaster. Loc. 6. 22-2-87. Núm. 4 B.
Tubaria hiemali Romagn. ex Bon. [= T. furfuracea ss. Romagn .)
Tubaria hiemali Romagn. ex Bon. [= T. furfuracea ss. Romagn.)
Sobre restes vegetals. Loc. 16. 28-1-88. Núm. 410 B.
Sobre restes vegetals. Loc. 16. 28 -1- 88. Núm. 410 B.
Orden Russulales
Orden Russulales
Lactarius luridus (Pers.) Ricken [= L. violascens (Otto) Fr.]
Lactarius lu ridus (Pers .) Ricken [= L. viola scens (Otto) Fr .]
Sota Cistus sp, en clarianes de pineda sorrenca. Loc. 11. 23-12-89. Núm. 1371 B. Loc. 11.11-86. Núm. 771 B.
Sota Cistus sp, en clarianes de pineda sorren ca. Loc. 11. 23-1 2-89. Núm. 1371 B. Loc. 11.1 1- 86. Núm. 771 B.
Lactarius lu teolus Peck.
Lactarius luteolus Peck.
Sota Quercus ilex i Quercus suber. Loc. 2. 19-10-8. Núm. 1276 B.
Lactarius pergamenus (Swartz : Fr.) Fr.
Sota Quercus ilex i Quercus suber. Loc. 2. 19- 10 -8. Núm. 12 76 B. Lactarius perga menus (Swartz : Fr .) Fr.
Sota planifolis i coníferes. Loc. 18. 6-88. Núm. 1086 B.
Lactarius piperatus (L. : Fr .) S.F. Gray.
Sota planifolis i coníferes. Loc. 18. 6-88. Núm. 1086 B. Lactarius piperatus (L. : Fr.) S.F. taray.
Sota Quercus ilex i Arbutus unedo. Loc. 18. 6-88. Núm. 1103 B.
Sota Quercus ilex i Arbutus unedo. Loc. 18. 6-88. Núm. 11 03 B.
Lactarius obscuratus (Lasch. : Fr.) Fr.
Lactarius obscuratus (Lasch. : Fr .) Fr.
Semi enterrat prop de un curs d'aigua, sota arbres de ribera. Loc. 14. 4-91.
Semi enterrat prop de un curs d' aigua, sota arbres de ribera. Loc. 14. 4- 91.
Lactarius rugatus Kühn. et Romagn.
Lactarius rugatus Kühn. et Romagn.
Sota Quercus ilex, en bosc mixt. Loc. 12. 5-6-88. Núm. 850 B.
Lactarius subum bonatus Lindgr. [= L. cimicarius pp.]
Sota Quercus ilex, en bosc mixt. Loc. 12. 5-6-88. Núm. 850 B. Lactarius subumbonatus Lindgr. [= L. cimicarius pp.]
Sota Quercus ilex, en camins humits de bosc. Loc. 13. 24-9-89. Núm. 12 38 B.
Ru ssula albonigra (Krbh .) Fr.
Sota Quercus ilex, en camins humits de bosc. Loc. 13. 24-9-89. Núm. 1238 B. Russula albonigra (Krbh.) Fr.
Sota bosc mixt. Loc. 7. 1-1 1-88. Núm. 50 B. Loc. 13. 29-9-90. Núm. 16 58 B.
Russula grisea Fr.
Sota bosc mixt. Loc. 7. 1-11-88. Núm. 50 B. Loc. 13. 29-9-90. Núm. 1658 B. Russula grisea Fr.
o u us sp oc 13. 2-6- 88 Núm. 862 B.
Ru ssula lil acea Qué!.
Sota Quercus sp. Loc. 13. 2-6-88. Núm. 862 B. Russula lilacea Quél.
Sota Quercus sp. Loc. 12. 24-9-8 9. Núm. 12 69 B.
Ru ssula mac ul ata Qué!. & Roze.
Sota Quercus sp. Loc. 12. 24-9-89. Núm. 1269 B. Russula maculata Quél. & Roze.
Sota Quercus ilex. Loc. 13. 23-10-88. Núm. 1001 B.
Sota Quercus ilex. Loc. 13. 23- 10 -88. Núm. 10 01 B.
11 0

Bu tll. Soc. Catalana Micol. 14-15 99 -112 Barcelona 1991
Russula parazurea J. Schff.
Russula parazurea J. Schff.
Sota Cistus sp. Loc. 18. 11 - 88. Núm. 991 B.
Sota Cistus sp. Loc. 18. 11-88. Núm. 991 B.
Russula rubroalba (Sing .) Romagn.
Russula rubroalba (Sing.) Romagn.
Sota Quercus ilex en bosc mixt. Loc. 13. 29-5-88. Núm. 856 B.
Sota Quercus ilex en bosc mixt. Loc 13. 29-5- 88. Núm. 856 B.
Russula yesca Fr.
Russula vesca Fr.
Sota planifolis. Loc. 13. 5-89. Núm. 510 B.
Sota planifolis. Loc 13. 5-89. Núm. 510 B.
Russula violeipes Quél
Russula violeipes Quél.
Sota Quercus sp. Loc 15. 10 -86. Núm. 754 B.
Sota Quercus sp. Loc. 15. 10-86. Núm. 754 B.
GAS TEROMICETES
GASTEROMICETES
Orden Lycoperdales
Orden Lycoperdales
Familia Lycoperda ceae
Familia Lycoperdaceae
Bovi sta aestivalis (Bonord) Demoulin.
Bovista aestivalis (Bonord) Demoulin.
Terreny inculte. Loc. 11. 12-85. Núm. 559 B. JEPPSON, M. Bol. Sdad. Mic. de Madrid. Vol. 11(2). 1986 Madrid.
Terreny inculte. Loc 11. 12 -85. Núm. 559 B. JEPPSON, M. Bol. Sdad. Mic. de Madrid. Vol 11(2). 19 86 Madrid.
Bovi sta de rmoxantha (Vi tt.) de Toni in Sacc. [= B. pusilla Bastch. : Pers .]
Bovista dermoxantha (Vitt.) de Toni in Sacc. [= B. pusilla Bastch. : Pers.]
Marge de bosc mixte. Loc 18. 12 -85. Núm. 561 B.
Marge de bosc mixte. Loc. 18. 12-85. Núm. 561 B.
Bovi sta plum bea Pers. : Pers.
Bovista plumbea Pers. : Pers.
Camps de pastura. Loc. 10. 29-5-90. Núm. 1549 B.
Camps de pastura. Loc . 10. 29-5-90. Núm. 1549 B.
Disciseda bovista (Klotzsch) P. Henn.
Discis eda bovi sta (Klotzsch) P. Henn
Terreny inculte. Loc. 11. 14-12 -85 JEPPSO N, M. Bol. Sdad. Mic. de Madrid Vol. 11 (2). 19 86 Madrid.
Disciseda calva (M oravec) Moravec in Pilat [= D. candida (Schw ) Lloyd.]
Terreny inculte. Loc. 11. 14-12-85. JEPPSON, M. Bol. Sdad. Mic. de Madrid Vol. 11 (2). 1986 Madrid. Disciseda calva (Moravec) Moravec in Pilat [= D. candida (Schw.) Lloyd.]
Terreny inculte. Loc 11. 14-12 -85 MA-fungi 16 9 81. JEPPSON, M. Bol. Sdad. Mic. de Madrid Vol. 11( 2). 19 86 Madrid.
Terreny inculte. Loc. 11. 14-12-85. MA-Fungi 16981. JEPPSON, M. Bol. Sdad. Mic. de Madrid Vol. 11(2). 1986 Madrid.
Lycoperdon atropurpure um Vitt. [= L. decipiens Dur. et Mont.]
Lycoperdon atropurpureum Vitt. [= L. decipiens Dur. et Mont.]
Sota Pin us pinea i Cistus sp. Loc. 7. 14-12 -85 MA- fungi 16 988. JEPPSON, M. Bol. Sdad. Mic. de Madrid. Vol. 11 (2). 1986 Madrid.
Sota Pinus pinea i Cistus sp. Loc. 7. 14-12-85. MA-Fungi 16988. JEPPSON, M. Bol. Sdad. Mic. de Madrid. Vol. 11(2). 1986 Madrid.
Lycoperdon marginatum Vitt. : Moris & de Nat.
Lycoperdon marginatum Vitt. : Morís & de Not.
Sota Pinu spineai Cistus sp. Loc. 7. 14 -12 -85. MA -fungi 16 943 . JEPPSON, M. Bol. Sdad. Mic. de Madrid. Vol. 11( 2). 19 86 Madrid.
Sota Pinus pinea i Cistus sp. Loc. 7. 14-12-85. MA-Fungi 16943. JEPPSON, M. Bol. Sdad. Mic. de Madrid. Vol. 11(2). 1986 Madrid.
Lycoperdon nigrescens Pers.
Lycoperdon nigrescens Pers.
Sota Pinus pinea i Cistus sp.. Loc. 7. 14-12-85. MA-Fungi 16950. JEPPSON, M. Bol. Sdad. Mic. de Madrid. Vol. 11(2). 1986 Madrid.
Sota Pin us pinea i Cis tus sp .. Loc. 7. 14-12 -85 MA-fungi 16950. JEPPSON, M. Bol. Sdad. Mic. de Madrid Vol. 11 (2). 19 86 Madrid.
Vascellum depressum (Bonord) Smarda [= V. pratense (Pers. en Quél .) Kre is.] Camps. Loc 11. 12 -85. Núm. 566 B.
Vascellum depressum (Bonord) Smarda [= V. pratense (Pers. en Quél.) Kreis.] Camps. Loc. 11. 12-85. Núm. 566 B.
Orden Melanogastrales
Orden Melanogastrales
Familia Melanogastra ceae
Familia Melanogastraceae
Me lanogaster variegatus (Vitt .) Tu. [= M. Bromeianus Ber k. s.1 .M re.] En terreny sorre nc, mig enterrat Loc. 7. 12 -84. Núm. 500 B.
Melanogaster variegatus (Vitt.) Tu. [= M. Bromeianus Berk.s.l.Mre.] En terreny sorrenc, mig enterrat. Loc. 7. 12-84. Núm. 500 B.
Orden Phallales
Orden Phallales
Familia Phalla ceae
Phallus hadriani Vent. : Pers. Entre la gespa, sota Pin us pinaster, en un ja rdí. Loc. 11. 5- 7-8 7. Núm. 520 B. Loc. 11.
Familia Phallaceae Phallus hadriani Vent. : Pers. Entre la gespa, sota Pinus pinaster, en un jardí. Loc. 11. 5-7-87. Núm. 520 B. Loc. 11. 13-6-87. Núm. 519 B.
Orden Tulostomatales
Orden Tulostomatales
Familia Tulostom ataceae
Familia Tulostomataceae
Tulostoma fi mbriatum fr. Clarianas de pineda sorrenca, amb alguna alzina. Loc. 9. 22-1 -88. Núm. 506 B.
Tulostoma fimbriatum Fr. Clarianas de pineda sorrenca, amb alguna alzina. Loc. 9. 22-1-88. Núm. 506 B.

BIBLIOGRAFÍA
BIBLIOGRAFÍA
BERTEA, P. BON, M. CHEVASSUT, G. COURTECUISSE, R. LECOT, C. NEVILLE, P. PROUST, F. RASCOL, J. P.
BERTEA, P. BON, M. CH EVASSU T, G. COURTECUISSE, R. LECOT, C. NEVILLE, P. PROUST, F. RASCOL, J. P.
Les Noms valides des Champignons. Annales n.° 1 —Fed. Assoc. Mycol. Mediterranneénnes. 2éme édition. BOLOS, M. del T. i 0. (1983) Gran geografia comarcal de Catalunya, Vol. 17, VI. La Biogeografia: 193-248. Fundació Enciclopédia Catalana.
BON, M. (1987) Guía de Campo de los Hongos de Europa. Edic. Omega S.A. Barcelona. 351 pp. BREITENBACH, J. et KRANZLIN, F. (1981-1991). Champignons de Suisse. Tome I, II, III, Edit. Mycoligia. Lucerna. 320-411-364 pp.
Les Noms valides des Champign ons. Annales n.O 1 -Fed . Assoc. Mycol. Mediterranneénnes. 2ème éditio n. BOL ÓS, M. del T. i O. (1983) Gra n geografia comarcal de Catalunya, Vol 17 , VI. La Biogeografia: 19 3-248. Fundació Enciclopèdia Catalana. BON, M. (19 87 ) Guía de Campo de los Hongos de Europa. Edic. Omega S.A. Barcelona. 35 1 pp. BREITENBA CH, J. et KR À NZLIN, F. (1 98 1-1991). Champignons de Suisse. Tome 1, 11, III, Edit. Mycoligia. Lucerna. 320-4 11 - 364 pp.
CALONGE, F. D.; ROCABRUNA, A.; TABARES, M.; SIERRA, D. Contribución al estudio de los ascomicotina españoles (II). Boletín S. M. Madrid. Vol. 11 (1). 1986. 27 pp.
DENNIS, R.W.G. (1981) British Ascomycetes. J. Cramer. Vaduz. 586 pp.
CALONGE, F. D.; ROC ABRU NA, A.; TABAR ÉS, M.; SIERRA, D. Contribución al estudio de los ascomicotina españoles (Il). Boletín S. M. Madrid. Vol. 11 (1). 1986. 27 pp. DENNIS, R.W.G. (1981) British Ascomycet es. J. Cramer. Vaduz. 586 pp.
ERIKSSON, D. & HAWKSWORTH, D.L. (1987) An alphabetical list of the generic names of Ascomycetes. Systema Ascomycetum 6 (1): 1-109.
ERIKSSON, D. & HAWKSWORT H, D.L. (1987 ) An alphabetical list of the generic names of Ascomycet es. Systema Ascomycetum 6 (1): 1-10 9.
JULICH, WALTER. (1984). Cuida alla determinazione de funghi. Vol. 2e. Trento. 597 pp.
J Ü LICH, WALTER. (1 984) . Guida alia determinazione de funghi. Vol. 2e. Trento. 597 pp.
KUHNER, R. et ROMAGNESI, H. (1978). Flore analytique des champignons supérieurs. Masson. Paris. 556 pp.
KÜ HNER, R. et ROMAGNESI, H. (1 978). Flore analytique des champignons supérieurs Masson. Paris. 556 pp.
MARCHAND, A. (1980-1986). Champignons du nord et de midi. Vol. 1-9). Perpignan.
MARCHAND , A. (19 80- 19 86). Champignons du nord et de midi Vol. 1- 9). Perpignan.
MARTIN, M. P. (1988) Aportación al conocimiento de las Hygrofóraceas y Gasteromicetes de Catalunya. Edic. Esp. S.C.M. Vol. II.: 508 pp.
MARTIN, M. P. (1 988) Aportación al conocimiento de las Hygrofóraceas y Gasteromicetes de Catalunya. Edic. Esp. S.C.M. Vol. 11. : 508 pp.
MOSER, M. (1980) Cuida alla determinazione dei funghi. Saturnia. Trento.: 565 pp.
MOSER, M. (1 980) Guida alia determinazione dei fun ghi. Saturnia. Trento .: 565 pp.
ROCABRUNA, A. (19). Aportació al coneixement deis fongs del Maresme (Catalunya). Butlletí S.C.M. núm. 8.: 47-74.
ROC ABRU NA, A. (19 ). Aportació al coneixement dels fongs del Maresme (Cataluny a). Butlletí S.C.M. núm 8.: 47-74.
ROCABRUNA, A.; TABARÉS, M. (1988) Aportación al conocimiento de los hongos del macizo montañoso del Montseny (Catalunya). Butlletí S.C.M. núm. 12. 25-54.
ROCABRU NA, A.; TABAR ÉS, M. (19 88) Aportación al conocimiento de los hongos del macizo montañoso del Montseny (Catalunya). Butlletí S.C.M. núm. 12. 25-54.
SANCLEMENTE, M. S.; LLIMONA, X. (1987). Aportación al conocimiento de las tricholomataceas de Cataluña. Butlletí S.C.M. núm. 11. 29-72.
SANCLEMENTE, M. S.; LLIMONA, X. (1987). Aportación al conocimiento de las tricholomataceas de Cataluña. Butlletí S.C.M. núm. 11. 29-72.
SIERRA, D. (1987). Aportación al conocimiento de los Ascomicetes (Ascomycotina) de Catalunya. (1987). Edic. Esp. S.C.M. vol. I.: 481 pp.
SIERRA, D. (1987). Aportación al conocimiento de los Ascomicetes (Ascomycotina) de Catalunya. (19 87). Edic. Esp. S.C.M. vol. 1. : 48 1 pp.
SOCIETAT CATALANA DE MICOLOGIA. (1982-1991). «Bolets de Cayalunya». Col. I al IX) 450 láminas.
SOCIETAT CATALANA DE MIC OLOGI A. (19 82 -1991). «Bolets de Cayalunya». Col. I al IX) 450 laminas.

CONTRIBUCIÓ AL CONEIXEMENT DE LA FLORA MICOLÓGICA DEL BAIX
CONTRIBUCiÓ AL CONEIXEMENT DE LA FLORA MICOLÒGICA DEL BAIX
EMPORDÁ I RODALIES (CATALUNYA). III. GASTEROMICETS EPIGEUS (BASIDIOMYCOTINA)
EMPORDÀ I RODALIES (CATALUNYA) . III. GASTEROMICETS EPIGEUS (BASIDIOMYCOTINA)
Josep M. Vidal
Josep M. Vidal
Massaballs, 10. 17118-Sant Sadurní de l'Heura. Girona.
Ma ssaballs, 10. 17118 -Sant Sadurní de l' Heura. Girona.
RESUM
RESUM
Es presenten un total de 41 espècies i 1 varie tat de gasteromicets epigeus recoll its al Baix Empordà. MycocaJia duria eana (L. & Ch . Tul.) Palmer i Torrendia puJch eJJa Br es. són noves pel catàleg micològic català. Sc1eroderma fla vidum Ellis & Ever hart és nou per Espanya. S' estudia una possible rec ol· lecció de Sc1eroderma florida nu m Guzman.
Es presenten un total de 41 espécies i 1 varietat de gasteromicets epigeus recollits al Baix Empordá. Mycocalia duriaeana (L. & Ch. Tul.) Palmer i Torrendia pulchella Bres. són noves pel catáleg micológic catalá. Scleroderma flavidum Ellis & Everhart és nou per Espanya. S'estudia una possible recol•lecció de Scleroderma floridanum Guzmán.
SUMMARY
SUMMARY
Contribution to the knowledge of mycological flora of Baix Empordá and neighbouring areas (Catalonia). III. Epigean Gasteromycetes (Basidiomycotina).— This work contains records of 41 species and 1 variety of epigeic gasteromycetes collected in Baix Empordá (with some localities of the Gironés) in NE Catalonia (NE Spain). Mycocalia duriaeana (L. & Ch. Tul.) Palmer and Torrendia pulchella Bres. are new records for the mycological catalogue of Catalonia. Scleroderma floridanum is a new record for Spain. A collection, perhaps belonging to Scleroderma floridanum Guzmán, is discussed.
Contribution to the kno wJedge oi mycoJogicaJ flora oi Baix Empordà and neigh bo uring areas (CataJonia). III. Epigean Gasteromycetes (Ba sidiomycotin a). - This work contains records of 41 sp ecies and 1 variety of epigeic gasteromycetes collected in Baix Empordà (with some localities of the Gir onès) in NE Catalonia (NE Spai n). Myc oca Jia duria eana (L. & Ch. Tul.) Palmer and Torrendia puJch eJJa Bres. are new re cords for the mycological catalogue of Catalonia. Sc1eroderma floridanum is a new rec ord for Spain. A collection, perhaps belonging to Sc1eroderma florida nu m Guzman, is disc usse d.
INTRODUCCIÓ
INTRODUCCIÓ
Continuant l' estudi inicial dels gasteromicets del Baix Empordà (VIDAL, 19 87) on s' estudiaven 12 espècies i 1 varieta t de geastrà cies , es presenten un total de 41 espècies i 1 varietat de nous gasteromicets que es desenvolupen bàsicament de forma epigea Aques ts estudis són el producte de continuades recol· le ccions du rant els últims 7 anys a la nostra comarca i rodal ies.
Continuant l'estudi inicial dels gasteromicets del Baix Empordá (VIDAL, 1987) on s'estudiaven 12 espécies i 1 varietat de geastrácies, es presenten un total de 41 espécies i 1 varietat de nous gasteromicets que es desenvolupen básicament de forma epigea. Aquests estudis són el producte de continuades recol•leccions durant els últims 7 anys a la nostra comarca i rodalies. Bu tll. Soc. Catalana Micol. 14-15 11 3 -13 0 Barcelona 1991
4

Butll. Soc. Catalana Micol. 14-15 113-130 Barcelona 1991
Bu tll. Soc. Catalana Micol. 14-15 11 3- 13 0 Barcelona 1991

ALBONS • L ESCALA
BAIX
CAMPD • RÁ BAIX uLLÁ• • SANT IS e e PARLA V Á RUPIA DE MONTGRÍ
ULLÀ • • TORROELL • SANT IS LE • · PARLAVÀ RUPIÀ
GIR NA · Q U ART .
GIRONA IV • SANT SP QUART•
LLAMBILLES • ADREMANYA
CASSÀ DE LA SELVA
DURNÍ DE L • CF HEURA • MONELLS U I LLES e LA BISBAL • FONTET • PALAF '
CASSÁ DE LA SELVA • LLAGOSTEF A • CASTELL EMPORD A
CALONGE • pAL , D'ARO S • NTA CRISTINA • D'ARO ' NT FELIU LE GUÍXOLS

Butll. Soc. Catalana Micol. 14-15 113-13 0 Barcelona 1991 11 5
Per a informació sobre dades de geologia, clima tologia i vegeta ció, es remet al lector al primer treball d' aquesta sèrie (VIDAL, 19 87).
Per a informació sobre dades de geologia, climatologia i vegetació, es remet al lector al primer treball d'aquesta série (VIDAL, 1987).
L'h àbi tat indicat per a cada espècie és una síntesi dels difere nts hà bitats observats a les nostres recol ·l eccions. De totes les citacions s'en dona la localitat, altitut, UTM , data i ecologia. En el cas de les espècies més rares o noves per a Catalunya, oferim una des cripció ex tensa. De totes les citacions en tenim material sec diposita t a l' herbari de l' autor (JMV)
L'hábitat indicat per a cada espécie és una síntesi deis diferents hábitats observats a les nostres recolleccions. De totes les citacions s'en dona la localitat, altitut, UTM, data i ecologia. En el cas de les espécies més rares o noves per a Catalunya, oferim una descripció extensa. De totes les citacions en tenim material sec dipositat a l'herbari de l'autor (JMV).
Les observacions i fotografies al mic roscopi òptic han estat fetes a partir de material sec d'h erbari, reh idratat amb hid rat de cloral . Per a l' observació de l' ornamentació de les espor es, s' han efectuat tincions amb blau de lactofe nol. Per a la deter minació hem emp rat bàsicamen t J Ü LICH (19 89) , exc epte pel gèneres Lycoperdon en que s'ha utilitzat DEMOULIN (1971a) i JE PPSON (1 98 4) , per Scleroderma en que hem util itzat la magnífica mo nografí a de COCCIA & al. (1 990) i la de GUZM À N (1 97 0) , i TuJostoma en que hem seguit WRIGHT (19 87).
Les observacions i fotografies al microscopi óptic han estat fetes a partir de material sec d'herbari, rehidratat amb hidrat de cloral. Per a l'observació de l'ornamentació de les espores, s'han efectuat tincions amb blau de lactofenol. Per a la determinació hem emprat básicament JULICH (1989), excepte pel géneres Lycoperdon en que s'ha utilitzat DEMOULIN (1971a) i JEPPSON (1984), per Scleroderma en que hem utilitzat la magnífica monografía de COCCIA & al. (1990) i la de GUZMÁN (1970), i Tulostoma en que hem seguit WRIGHT (1987).
CATÁLEG D'ESPECIES
CATÀLEG D' ESPÈCIES
L' ordre de les espècies és alfabè tic. La rúbrica «Citacions anter ior s» fa exclusivament referéncia a l' àrea d' estud i. I hem ind icat la comarca quan no es tracta del Baix Empordà.
L'ordre de les espécies és alfabétic. La rúbrica «Citacions anteriors» fa exclusivament referéncia a l'área d'estudi. 1 hem indicat la comarca quan no es tracta del Baix Empordá.
Astraeus hygrometricus (Pers .) Mo rgan 19 89
Astraeus hygrometricus (Pers.) Morgan 1989
Hà b. : Viu formant colònies a tot tipus de sòls. Es troba a les brolles d'e stepes, d' estepes i brucs , de romaní , pinedes secundàries ... (Cistion, Rosma rin o-Ericion) , sempre amb presència d'e spècies arbòri es, esp ecialment fag àcies (Q uercus iJex, Q. suber, Castanea sativa ) en el domini del Quercion jJicis, i també a la garriga (Q uercetum coc cifera e) , etc . Fruc tifica a la tardor. É s molt freqüent arre u.
Háb.: Viu formant colónies a tot tipus de sóls. Es troba a les brolles d'estepes, d'estepes i brucs, de romaní, pinedes secundáries... (Cistion, Rosmarino-Ericion), sempre amb preséncia d'espécies arbóries, especialment fagácies (Quercus ilex, Q. suber, Castanea sativa...) en el domini del Quercion ilicis, i també a la garriga (Quercetum cocciferae), etc. Fructifica a la tardor. És molt freqüent arreu.
Loc. : Campdurà (El Gironès), Sant Miquel, 18 0 m, DG 87 50, 23- 1 2-84, brolla de Cistus monspeJiensis amb Quercus ilex .- Cruïlle s, Can Cavarroques, 220 m, DG 9443, 14-1 0- 86, brolla de C. monspeJiensis amb Q. su ber. -Calonge , Mo lí de les Roques, 40 m, EG 0433, 1-1- 84, id anteri or-o Parlavà, Matabou, 50 m, EG 0252, 8-4-85, sota Q. iJex i Q. co ccifera -Torroella de Mo ntgr í, camí de Sta . Caterina , 10 0 m, EG 10 56, 18 -10 -86, brolla de Cis tus, Rosmarin us i Q. coccifera ; i en altres llocs i dates.
Loc.: Campdurá (El Gironés), Sant Miguel, 180 m, DG 8750, 23-12-84, brolla de Cistus monspeliensis amb Quercus ilex.— Cru'illes, Can Cavarroques, 220 m, DG 9443, 14-10-86, brolla de C. monspeliensis amb Q. suber. —Calonge, Molí de les Roques, 40 m, EG 0433, 1-1-84, id anterior—. Parlavá, Matabou, 50 m, EG 0252, 8-4-85, sota Q. ilex i Q. coccifera. —Torroella de Montgrí, camí de Sta. Caterina, 100 m, EG 1056, 18-10-86, brolla de Cistus, Rosmarinus i Q. coccifera; i en altres llocs i dates.
Ci tacions an teriors: HEIM (1 934 ) a Pals, LLIMONA (19 83) a Torroella de Mo ntgrí .
Citacions anteriors: HEIM (1934) a Pals, LLIMONA (1983) a Torroella de Montgrí.
Observacions: Sovint viu formant «cre mats» al voltant dels arbres amb els qu als forma mic orrizes, especialment amb Quercus iJex.
Observacions: Sovint viu formant «cremats» al voltant deis arbres amb els quals forma micorrizes, especialment amb Quercus ilex.
Bo vista aestivalis (Bonord .) Demoulin 19 79
Bovista aestivalis (Bonord.) Demoulin 1979
= Lycoperdon furfuraceum Schaeff. ex Steudel 18 24
= Lycoperdon furfuraceum Schaeff.. ex Steudel 1824
= L. cepaeforme (Bull. ex DC) Chev. 1826
= L. cepa eform e (Bull. ex DC) Chev. 18 26
= L. polymorphum Vitt. 1842
= L. poJymorphum Vitt . 18 42
= L. pusil1iforme Kreisel 19 62
= L. pusilliforme Kreisel 1962
Hà b. : Viu solitari o formant grups a tota mena de sòl s, preferentment sorrecs. Es fr eqü ent a les brolles d' estepes i de romaní (Cistion, Rosmarino-Ericion), als alzinars degradats (Q uercion jJicis) , a l es p ne d es sec u n dà r es, etc. S urt a l a tar d or.
Háb.: Viu solitari o formant grups a tota mena de sóls, preferentment sorrecs. Es freqüent a les brolles d'estepes i de romaní (Cistion, Rosmarino-Ericion), als alzinars degradats (Quercion ilicis), a les pinedes secundáries, etc. Surt a la tardor.


Loc.: Sant Cristina d'Aro, Solius, Can Tallada, 200 m, DG 9528, 25-10-87, brolla de Cistus monspeliensis, Calluna vulgaris i Q. suber. —lb., Bell-lloc, 200 m, DG 9733, 21-9-90, brolla de Erica arborea, C. monspeliensis i Q. suber.— Llagostera (El Gironés), ve'inat de Penedes, 160 m, DG 9532, 4-12-88, brolla de C. mons-
Loc. : Sant Cristina d'Aro, Solius, Can Tallada, 200 m, DG 9528, 25- 10 -87, brolla de Cistus monspeJiensis, CaJJuna vuJgaris i Q. su ber. -Ib ., Bell-lloc, 200 m, DG 9733, 21 -9-90, brolla de Erica arborea, C. monspeliensis i Q. su ber.- Llagostera (El Gironès) , veïnat de Pened es, 16 0 m, DG 9532, 4- 1 2-88, brolla de C. mons-
11 6

Butll. Soc. Catalana Micol. 14-15 11 3 -13 0 Barcelona 1991
Butll. Soc. Catalana Micol. 14-15 113-130 Barcelona 1991
peliensis i Eucalyptus. - Quart (El Giro nès) , Montnegre, Mas Nadal, 240 m, DG 9544, 5-1-87, marge d'al zinar. - Madr emanya (El Gironès), Mas Vidal, 10 0 m, DG 96 47, 15 -9-84, camp abandonat, ju ntament amb Calva tia cyathiformis. - Sant Sadurní de l' Heura, Molí d'en Boscà, 105 m, DG 9643, 13 -11- 85, brolla de C. monspeliensis i Pinuspinea.- Ib., Banyeres, Riu Daró, 90 m, DG 9743, 2- 1 0-84, llistonar sota Q. ilex i P. pinea.- Ib., Can Bohigues, 12 0 m, DG 97 44, 26 -1 1- 86, brolla de Cis tus, Erica i Q. suber.- Ib., Can Masfont , 80 m, DG 97 46, 11 -1 -87, alzinar esclarissat .- Ib., Can Rosselló, 12 0 m, DG 9746, 9-1 0-84 i 13 -11- 86, brolla de C. monspeliensis i Q. suber.- Ib., Can Mateu de la Cre u, 11 0 m, DG 9844, 2-6-84, id. anterior .-Ib., Can Puigmiq uel, 10 0 m, DG 9845, 20- 1 2-86 , alz in ar.- L'E scala (Alt Empordà), Mas Vilanera, 25 m, EG 0963, 4- 1- 87, brolla de C. albidus i Q. co ccifera .- Begur, Aiguafreda, 40 m, EG 18 45, 24- 12 -89, marge alzinar .- Ullà, Mu ntanya d'U llà, 250 m, EG 10 56,28- 1 2- 86, brolla de C. monspeliensis.- Torroella de Montgrí, Les Dunes, 80- 12 0 m, EG 12 57, EG 1 256, 23 -11- 84, 19 -1 1- 86, pineda sobre dunes .- Ib., 12 0 m, EG 13 56, 2-1 2-84, alzinar esclarissat .- Ib., Mas Pinell , 10 M, EG 15 51, 21-12 -86, brolla de Rosmarinus.
peliensis i Eucalyptus.- Quart (El Gironés), Montnegre, Mas Nadal, 240 m, DG 9544, 5-1-87, marge d'alzinar.- Madremanya (El Gironés), Mas Vidal, 100 m, DG 9647, 15-9-84, camp abandonat, juntament amb Calvatia cyathiformis.- Sant Sadurní de l'Heura, Molí d'en Boscá, 105 m, DG 9643, 13-11-85, brolla de C. monspeliensis i Pinus pinea.- Ib., Banyeres, Riu Daró, 90 m, DG 9743, 2-10-84, llistonar sota Q. ilex i P. pinea.- Ib., Can Bohigues, 120 m, DG 9744, 26-11-86, brolla de Cistus, Erica i Q. suber.- Ib., Can Masfont, 80 m, DG 9746, 11-1-87, alzinar esclarissat.- Ib., Can Rosselló, 120 m, DG 9746, 9-10-84 i 13-11-86, brolla de C. monspeliensis i Q. suber.- Ib., Can Mateu de la Creu, 110 m, DG 9844, 2-6-84, id. anterior.- Ib., Can Puigmiquel, 100 m, DG 9845, 20-12-86, alzinar.- L'Escala (Alt Empordá), Mas Vilanera, 25 m, EG 0963, 4-1-87, brolla de C. albidus i Q. coccifera.- Begur, Aiguafreda, 40 m, EG 1845, 24-12-89, marge alzinar.- Ullá, Muntanya d'Ullá, 250 m, EG 1056, 28-12-86, brolla de C. monspeliensis.- Torroella de Montgrí, Les Dunes, 80-120 m, EG 1257, EG1256, 23-11-84, 19-11-86, pineda sobre dunes.- Ib., 120 m, EG 1356, 2-12-84, alzinar esclarissat.- Ib., Mas Pinell, 10 M, EG 1551, 21-12-86, brolla de Rosmarinus.
Observacions: Tal com indiquen MART Í N (19 88) i ORTEGA BUEND Í A (19 89) , també hem trobat algunes recol ·l eccions que presenten espores ovoidals, essent les altres característiques idéntiques a les de la resta de rec ol· le ccions . Algu ns exem plars petits, arrodonits i amb subgleba mol t reduï da es podríen confondre amb B. dermoxantha (Vitt .) De Toni , espècie que fins ara no hem trobat al Baix Empordà .
Observacions: Tal com indiquen MARTÍN (1988) i ORTEGA BUENDÍA (1989), també hem trobat algunes reco•eccions que presenten espores ovoidals, essent les altres característiques idéntiques a les de la resta de recol•eccions. Alguns exemplars petits, arrodonits i amb subgleba molt recluida es podríen confondre amb B. dermoxantha (Vitt.) De Toni, espécie que fins ara no hem trobat al Baix Empordá.
Bo vist a plum bea Per s.: Pers . 18 01
Bovista plumbea Pers.: Pers. 1801
Hà b. : Es troba sovint formant poblacions, a tot tipus de sòls Viu als prats secs (TrifoJio-Brachipodietum retusi), a les brolles d' estepes (Cistion) , vores de cami ns, et c., sempre en lloc s descoberts, fora del bosc. Sur t a la tardor, és fr eqüent.
Háb.: Es troba sovint formant poblacions, a tot tipus de sóls. Viu als prats secs ( Trifolio-Brachipodietum retusi), a les brolles d'estepes (Cistion), vores de camins, etc., sempre en llocs descoberts, fora del bosc. Surt a la tardor, és freqüent.
Loc. : Cruïll es, Cal Regidor, 380 m, 30-4·90, llistonar amb trèvols. - Sant Sadurní de l' Heura, Banye res, 90 m, DG 9743, 31 -5-84, prat sec vora rierol .- Ib. , Can Rosselló, 12 0 m, DG 9746, 8·1 0-84, brolla de C. monspeliensis i Q. su ber. - Santa Cristina d'Aro, Ctra Romanyà, 200 m, EG 013 4, 1-1- 87, brolla de C. monspeliensis. - Torroella de Montgrí, camí de Sta Caterina, 60 m, EG 10 56, 25- 1 0-8 6, id. anterior; i en altres llocs i dates
Loc.: Cruilles, Cal Regidor, 380 m, 30-4-90, llistonar amb trévols.- Sant Sadurní de l'Heura, Banyeres, 90 m, DG 9743, 31-5-84, prat sec vora rierol.- Ib., Can Rosselló, 120 m, DG 9746, 8-10-84, brolla de C. monspeliensis i Q. suber.- Santa Cristina d'Aro, Ctra. Romanyá, 200 m, EG 0134, 1-1-87, brolla de C. monspeliensis.- Torroella de Montgrí, camí de Sta. Caterina, 60 m, EG 1056, 25-10-86, id. anterior; i en altres llocs i dates.
Citacions anteriors: MARTÍN (1988) a Palafrugell.
Citacions an teriors: MART Í N (1 988) a Palafruge ll.
Ca lv atia candida (Ros tk.) Hollós 19 04
Calvatia candida (Rostk.) Hollós 1904
Hà b. : Solitari, a la terra nua, en una comu nitat de Cis tion, en sòl esquistós, en una sureda. Espècie d'a parició molt precoç, després de les primeres pluges de finals d' est iu. Molt term òfil a. Rara
Háb.: Solitari, a la terra nua, en una comunitat de Cistion, en sól esquistós, en una sureda. Espécie d'aparició molt precoc, després de les primeres pluges de finals d'estiu. Molt termófila. Rara.
Loc. : Sant Sadurní de l' Heura, Can Rosselló, 12 0 m, DG 9746, 6-9-90, brolla de C. monspeliensis, a la vora d'u n camí, ju ntament amb Disciseda candida.
Loc.: Sant Sadurní de l'Heura, Can Rosselló, 120 m, DG 9746, 6-9-90, brolla de C. monspeliensis, a la vora d'un camí, juntament amb Disciseda candida.
Observacions: Una característica típica d'a qu esta espècie és el capil ·l ici molt septat, amb septes engrossats, com al génere TuJostoma (fig. la ).
Observacions: Una característica típica d'aquesta espécie és el capil•lici molt septat, amb septes engrossats, com al génere Tulostoma (fig. la).
Calvatia cyathiformis (Bosc) Morgan 1890 =Lycoperdon fragile Vitt. 1842 =Bovista lilacina Berk. & Mont. 1845
Ca lv atia cyathiformis (Bosc) Mo rgan 18 90 =Lycoperdon fragiJe Vitt. 18 42 =Bo vista lila cina Berk. & Mont. 18 45
Hà b. : Soli tari o en grups reduïts, a tot tipus de sòls, preferentment sorrencosos, sempre en llocs secs i solell ats Viu als camps aband onats i nitrificats , a les brolles d'e stepes més o meny s arbrades (Cistion), etc. Poc fr eqüent.
Háb.: Solitari o en grups reduits, a tot tipus de sóls, preferentment sorrencosos, sempre en llocs secs i solellats. Viu als camps abandonats i nitrificats, a les brolles d'estepes més o menys arbrades (Cistion), etc. Poc freqüent.
Loc. : Santa Cristina d'Aro, Solius, 40 m, DG 9829, 18-10 -87, camp nitrificat, ju ntament amb Langerman-
Loc.: Santa Cristina d'Aro, Solius, 40 m, DG 9829, 18-10-87, camp nitrificat, juntament amb Langerman-

Bu tll. Soc. Catalana Micol. 14-15 11 3- 13 0 Barcelona 1991 117
Butll. Soc. Catalana Micol. 14-15 113-130 Barcelona 1991 117
nia giga ntea.- Llagostera (El Gironès), veïnat de Pene des, 15 0 m, DG 95 31, 22- 1- 84, brolla amb Q. suber.- Sant Sadurní de l' Heura, Can Moratell, 10 0 m, DG 964 7, 15 -9-84, camp abandonat, ju ntament amb Bo vista aestivalis. - Cruïll es, Sant Joan , 80 m, EG 0044, 6-1 0-84, conreu de Medicago sativa, jun tament amb Calva tia utriformis, Vascellum pratense i Langermannia giga ntea .- Torroella de Montgrí, camí de Sta. Cat erina, 60 m, EG 10 56, 23- 10 -8 7, brolla de C. albidus i C. monspeliensis. - Pals, Horts de les Ribes, 15 m, EG 12 47, 12 -10 -87, cultiu de M. sativa, ju ntament amb C. utriformis i V. pratense.
nia gigantea.- Llagostera (El Gironés), veinat de Penedes, 150 m, DG 9531, 22-1-84, brolla amb Q. suber.- Sant Sadurní de l'Heura, Can Moratell, 100 m, DG 9647, 15-9-84, camp abandonat, juntament amb Bovista aestivalis.- Cruilles, Sant Joan, 80 m, EG 0044, 6-10-84, conreu de Medicago sativa, juntament amb Calvatia utriformis, Vascellum pratense i Langermannia gigantea.- Torroella de Montgrí, camí de Sta. Caterina, 60 m, EG 1056, 23-10-87, brolla de C. albidus i C. monspeliensis.- Pals, Horts de les Ribes, 15 m, EG 1247, 12-10-87, cultiu de M. sativa, juntament amb C. utriformis i V. pratense.
Ca lvatia ex cipuli fo rmis (Scop .: Pers .) Perdeck 19 50 =Lycoperdon saccatum Schum. 18 03 =L. ela tum Mass. 18 87
Calvatia excipuliformis (Scop.: Pers.) Perdeck 1950 =Lycoperdon saccatum Schum. 1803 =L. elatum Mass. 1887
Hà b. : Soli tari o en grupets, en sòls pre ferentment sorrenc s i carbonatats. Surt a la tardor, a les pinedes secundàr ies (Pinus) , amb preferència per la zona litoral, on és freqüent
Háb.: Solitari o en grupets, en sóls preferentment sorrencs i carbonatats. Surt a la tardor, a les pinedes secundáries (Pinus), amb preferéncia per la zona litoral, on és freqüent.
Lo c. : Sant Sadurní de l' Heura, Can Boï gues, 11 0 m, DG 97 44, 26 -1 1- 86, brolla de C. monspeliensis i Erica .- Palamós, Cala Bona, 30 m, EG 14 35, 8- 12 -8 7, pineda secundà r ia.- Torroella de Montgrí, Torre Ferrana, 40 m, EG 11 58, 12 -2-84, pineda sobre dunes .- Ib., Les Dunes, 80- 120 m, EG 12 57, EG 12 56, EG 13 56, 8- 1 2- 83, 20- 11 - 83, 26 -1 1- 84, pineda sobre dunes i alzinar esclarissat.
Loc.: Sant Sadurní de l'Heura, Can Boigues, 110 m, DG 9744, 26-11-86, brolla de C. monspeliensis i Erica.- Palamós, Cala Bona, 30 m, EG 1435, 8-12-87, pineda secundária.- Torroella de Montgrí, Torre Ferrana, 40 m, EG 1158, 12-2-84, pineda sobre dunes.- Ib., Les Dunes, 80-120 m, EG 1257, EG 1256, EG 1356, 8-12-83, 20-11-83, 26-11-84, pineda sobre dunes i alzinar esclarissat.
Ci tacions an teriors: CALONGE-DEMOULIN (1 975) a Begur, MAR CHAND (1 97 6) a L' Escala
Citacions anteriors: CALONGE-DEMOULIN (1975) a Begur, MARCHAND (1976) a L'Escala.
Observacions: Aques ta espèc ie, que prese nta grans afinitats amb Lycoperdon molle, s'e n distingueix bàsicament per l' absència de pseudocolumela, la dehi scència i ruptura de la part apical del peridi i sobretot per la forma alla rgada i sigmoidal dels porus del cap il·l ici.
Observacions: Aquesta espécie, que presenta grans afinitats amb Lycoperdon molle, s'en distingueix básicament per l'abséncia de pseudocolumela, la dehiscéricia i ruptura de la part apical del peridi i sobretot per la forma allargada i sigmoidal dels porus del capil•lici.
Ca lvatia utriformis (Bul l.: Pers .) Jaap 1918
Calvatia utriformis (Bull.: Pers.) Jaap 1918
=Lycoperdon bo vista L.: Pers . 1801
=Lycoperdon bovista L.: Pers. 1801
=L. caelatum Bull. ex Vitt. 18 43
=L. caelatum Bull. ex Vitt. 1843
Hà b. : Sol itari o formant grups. Viu a la tardor-primavera en prats a la vora de rierols, als camps d' userda (M. sativa) , et c., en sòls més avia t nitrifi cats Freqüent.
Háb.: Solitari o formant grups. Viu a la tardor-primavera en prats a la vora de rierols, als camps d'userda (M. sativa), etc., en sóls més aviat nitrificats. Freqüent.
Loc. : Sant Sadurní de l' Heura, Banyeres, riu Daró, 90 m, DG 97 43, 31 -5-84, prat vora rierol .- Ib., Molí d'en Frigola, 70 m, DG 9943,2-6-84, id. anterio r.- Pa ls, Horts de les Ribes, 15 m, EG 12 47, 12 -10 -8 7, cultiu de Medicago sativa.- Cruïlles, Sant Joan, 80 m, EG 0044, 6- 1 0-84, id. anterior; i en altres llocs i dat es.
Loc.: Sant Sadurní de l'Heura, Banyeres, riu Daró, 90 m, DG 9743, 31-5-84, prat vora rierol.- Ib., Molí d'en Frigola, 70 m, DG 9943, 2-6-84, id. anterior.- Pals, Horts de les Ribes, 15 m, EG 1247, 12-10-87, cultiu de Medicago sativa.- Cruilles, Sant Joan, 80 m, EG 0044, 6-10-84, id. anterior; i en altres llocs i dates
Clathrus ruber Micheli: Pers. 1801 =C. cancellatus Tournef.: Fr. 1823
Clathrus ruber Micheli: Pers . 1801 =c. canc ella tus Tournef .: Fr. 18 23
Háb.: Solitari o en grups. Espécie termófila, que surt a la tardor i a la primavera, en ambients molt variats com alzinars i suredes (Quercion ilicis), garric (Quercetum cocciferae), brolles d'estepes (Cistion), pinedes secundáries (Pinus), boscos de ribera (Alno-Padion), etc. Es indiferent al substrat, peró prefereix els sóls humificats. Freqüent.
Hà b. : Soli tari o en grups Espècie term òfil a, que surt a la tardor i a la primavera, en ambient s molt variats com alzinars i suredes (Q uercion ilicis) , garric (Quercetum coc cifera e) , brolles d' estepes (Cistion) , pinedes secundàries (Pin us), boscos de ribera (Alno -Padion), etc. Es indiferent al sub strat, però prefereix els sòls hu mifi cats . Fre qüent.
Loc. : Llagostera (El Gironès), Molí d'en L1ambí, 145 m, DG 9532, 23-5- 88 , sota Q. ilex i Q. su ber. - Sant Sadurní de l' Heura, Font de l'A lzina, 13 0 m, DG 9643 , 13-10 -84, sota Q. suber i P. pinea.- Ib., Can Crespí, 11 5 m, DG 9844, 24-11 - 84, sota Q. su ber. - Ib., Can Font de les Serr es, 11 0 m, DG 9943, 1 2- 11 - 87 sota Q. ilex - Ib . , Mas Saballs 100 m , DG 994 5 , 1 4-4- 8 4 , sota Q suber i P pinea - Calonge, Can Viola, 11 0 m, EG 0736, 30-9-84, id. anteri or.- Torroella de Montgrí, camí de Sta. Cat erina, 100 m, EG 10 56, 18 -10 -86, sota P. halepensis. - Ib., Les Dunes, 50 m, EG 12 58, 4- 1-87, sota P. pinea.- Ib., El Mon tgrí, 12 0 m, EG 10 57, 14-1 1- 90, sota Q. coccifera .- Pals, Els Masos, 65 m, EG 13 47, 21-12 -86, sota Q! ilex i P. ha lepensis.
Loc.: Llagostera (El Gironés), Molí d'en Llambí, 145 m, DG 9532, 23-5-88, sota Q. ilex i Q. suber.- Sant Sadurní de l'Heura, Font de l'Alzina, 130 m, DG 9643, 13-10-84, sota Q. suber i P. pinea.- Ib., Can Crespí, 115 m, DG 9844, 24-11-84, sota Q. suber.- Ib., Can Font de les Serres, 110 m, DG 9943, 12-11-87, sota Q. ilex.- lb., Mas Saballs, 100 m, DG 9945, 14-4-84, sota Q. suber i P. pinea.- Calonge, Can Viola, 110 m, EG 0736, 30-9-84, id. anterior.- Torroella de Montgrí, camí de Sta. Caterina, 100 m, EG 1056, 18-10-86, sota P. halepensis.- Ib., Les Dunes, 50 m, EG 1258, 4-1-87, sota P. pinea.- Ib., El Montgrí, 120 m, EG 1057, 14-11-90, sota Q. coccifera.- Pals, Els Masos, 65 m, EG 1347, 21-12-86, sota ilex i P. halepensis.
11 8

Bu tll. Soc. Catalana Micol. 14 -15 11 3- 13 0 Barcelona 1991
Citacions an teriors: CODINA-FONT I QUER (19 31) a Palafru gell, MAIRE (19 37) a Torrent i Santa Cristina d' Aro
Citacions anteriors: CODINA-FONT I QUER (1931) a Palafrugell, MAIRE (1937) a Torrent i Santa Cristina d'Aro
Colus hir udinosus Cav o & Séch. 18 35
Colus hirudinosus Cav. & Séch. 1835
Hà b. : Soli tari o en colòn ies. Espècie de finals de tardor, que viu en sòls preferentment silicis i molt nitrifica ts, com ara prats secs i brolles (Cistion) , sempre en lloc s propers a la costa Rar
Háb.: Solitari o en colónies. Espécie de finals de tardor, que viu en sóls preferentment silicis i molt nitrificats, com ara prats secs i brolles (Cistion), sempre en llocs propers a la costa. Rar.
Loc.: Rupi5, Bosc Geltrú, 130 m, EG 0050, 13-12-90, olivar molt nitrificat.
Loc. : Rupià, Bosc Geltrú, 13 0 m, EG 0050, 13 -1 2-90, olivar molt nitrificat.
Cita cions an teriors: CODINA (19 32) a Calonge, MARTÍ N (19 88) a Palafruge ll.
Citacions anteriors: CODINA (1932) a Calonge, MARTÍN (1988) a Palafrugell.
Crucibulum laeve (Huds. ex Relh.) Kambly 1936
=C. vulgare Tul. 1844
Cr ucibulum laeve (Huds. ex Relh .) Kambly 19 36 =C vuJgare Tul. 18 44
Háb.: Forma colónies al damunt de restes vegetals de procedéncia molt diversa, branquetes caigudes, restes herbácies, etc. Es troba tot l'any, tant a les brolles com als boscos. Freqüent.
Hà b. : Forma colònies al damun t de restes vegetals de procedència molt diversa, branquetes caigudes, restes herbàcies, etc Es troba tot l'a ny, tant a les brolles com als boscos Freqüe nt.
Loc. : Sant Sadurní de l' Heura, Can Ma sfo nt, 80 m, DG 9746, 14-11 - 86, sobre branquetes de Q. ilex. - Torroella de Montgrí, Les Dunes, 60 m, EG 11 57, 19-2-84, sobre branquetes de P. pinea .- Pals, Els Masos, 65 m, EG 13 47, 21-12 -86, sobre branquetes de P. halepensis; i en altres llocs i dat es.
Loc.: Sant Sadurní de l'Heura, Can Masfont, 80 m, DG 9746, 14-11-86, sobre branquetes de Q. ilex.— Torroella de Montgrí, Les Dunes, 60 m, EG 1157, 19-2-84, sobre branquetes de P. pinea.— Pals, Els Masos, 65 m, EG 1347, 21-12-86, sobre branquetes de P. halepensis; i en altres llocs i dates.
Cya thus olla Ba ts ch: Pers. 18 01 =C vernicosus DC. 18 05
Cyathus olla Batsch: Pers. 1801 =C. vernicosus DC. 1805
Hà b. : Viu formant colònies al damunt de restes vegetals div erses , en camps, camins, dunes, clarianes del bosc, sempre en sòls nitrifica ts. Freqüent a la tardor.
Háb.: Viu formant colónies al damunt de restes vegetals diverses, en camps, camins, dunes, clarianes del bosc,... sempre en sóls nitrificats. Freqüent a la tardor.
Loc.: Sant Sadurní de l'Heura, Can Bosc de Baix, 80 m, DG 9746, sobre restes de palla, en un camp, i sobre restes herbácies en un camí.— Begur, Bosc Major, 100 m, EG 1546, 13-12-87, bosc de dunes sota P. pinea.Pals, Barraca deis Lladres, 70 m, EG 1547, 21-12-86, pineda de dunes.— Torroella de Montgrí, Les Dunes, 100 m, EG 1258, 20-11-86, id. anterior.— Calonge, Can Monells, 60 m, EG 0735, 15-1-84, camí vora Q. suber.
Loc. : Sant Sadurní de l' Heura, Can Bosc de Baix, 80 m, DG 9746, sobre restes de palla, en un camp, i sobre restes herbàcies en un camí .- Begur, Bosc Major, 10 0 m, EG 15 46, 13 -12 -87, bosc de dunes sota P. pinea .Pals, Barraca dels Lladres, 70 m, EG 15 47, 21-12 -86, pineda de dunes .- Torroella de Montgrí, Les Dunes, 10 0 m, EG 12 58, 20 -11- 86, id. anterior .- Calonge , Can Monel ls , 60 m, EG 0735, 15-1 -84, camí vora Q. su ber.
Ci tacions an teriors: MAR T Í N (1 988) a Torroella de Mo ntg rí.
Citacions anteriors: MARTÍN (1988) a Torroella de Montgrí.
Cy athus striatus (Huds .) Will d.: Pers 18 01
Cyathus striatus (Huds.) Willd.: Pers. 1801
= C hirsu tus (Schaeff.) Quél. 18 86
hirsutus (Schaeff.) Quél. 1886
Hà b. : Forma poblacions al damunt de restes llenyoses, en llocs més aviat humits, enmig de molses. Viu als alzinars , suredes (Q uercion iJicis) , pinedes secundàries (Pinus) , etc Freqüent.
Háb.: Forma poblacions al damunt de restes llenyoses, en llocs més aviat humits, enmig de molses. Viu als alzinars, suredes (Quercion ilicis), pinedes secundáries (Pinus), etc. Freqüent.
Loc.: Sant Sadurní de l'Heura, Can Follía de Muntanya, 140 m, DG 9644, 28-9-86, a la vora d'un camí sota P. pinaster.— lb., Can Masfont, 80 m, DG 9746, 14-11-86, sobre branca de Q. ilex.— La Bisbal, Riera Vilá, 110 m, EG 0339, a la vora d'un camí, entre molses, sota Q. suber; i en altres llocs i dates.
Loc. : Sant Sadurní de l' Heura, Can Follía de Muntanya, 14 0 m, DG 9644, 28-9-8 6, a la vora d'un camí sota P. pinaster. - Ib., Can Masfont , 80 m, DG 97 46, 14-1 1- 86, sobre branca de Q. ilex. - La Bisbal, Riera Vilà, 11 0 m, EG 0339, a la vora d'u n camí, entre molses, sota Q. su ber; i en altres llocs i dat es.
Disciseda calva (Mor avec) Mo ravec 19 58
= D can dida (Schw.) Lloyd var. caJva Mo ravec 19 54
= D. candida (Schw.) Lloyd ss. Ma as Gees teranus 19 51
Disciseda calva (Moravec) Moravec 1958 candida (Schw.) Lloyd var. calva Moravec 1954 =D. candida (Schw.) Lloyd ss. Maas Geesteranus 1951
Hà b. : Forma grups reduïts en sòls silicis Es troba a finals d'e stiu i a la tardor, a les brolles d' estepes (Cistion) . Poc fre qüent.
Háb.: Forma grups reduits en sóls silicis. Es troba a finals d'estiu i a la tardor, a les brolles d'estepes (Cistion). Poc freqüent.
Loc. : Cruï lles, Can Cavarroqu es, 220 m, DG 9443, 14-10 -86, brolla de C. monspeliensis.- Sant Sadurní de
Loc.: Cruilles, Can Cavarroques, 220 m, DG 9443, 14-10-86, brolla de C. monspeliensis.— Sant Sadurní de

Butll. Soc. Catalana Micol. 14-15 11 3- 13 0 Barcelona 1991 11 9
l'Heura, Can Follía de Muntanya, 140 m, DG 6-10-86, id. anterior.- Ib., Can Rosselló, 120 m, DG 9746, 6-9-90, id. anterior.- Pals, Rodors, 45 m, EG 1547, 26-12-86, brolla de C. albidus.
l' Heura, Can Follía de Muntanya, 140 m, DG 6-1 0-8 6, id. anteri or.- Ib., Can Rosse lló, 12 0 m, DG 9746, 6-9-90, id. anterior .- Pals , Rodors, 45 m, EG 15 47, 26-1 2-86, brolla de C. aJbidus.
Ileodictyon gracile Berk. 1845
Il eodict yon gracile Berk . 18 45
Háb.: Solitari o en colónies, en sóls silicis. Viu a la tardor en suredes (Quercetum suberetosum), pinedes secundáries (Pinus) i en comunitats del Cistion, enterrat enmig de la fullaraca d'on emergeix al obrirse. Poc freqüent, pera en expansió.
Hà b. : Solitari o en colònies , en sòls silicis Viu a la tardor en suredes (Q uercetum su beretosum) , pinedes secundà ries (Pinus) i en comu nitats del Cis tion, ent errat enmig de la fullaraca d ' on emergeix al obrir se. Poc fre qüen t, però en expansió
Loc.: Llambilles (El Gironés), Sant Cristófol, 180 m, DG 8940, 10-12-89, brolla de C. monspeliensis i E. arborea, amb P. pinaster.- Llagostera (El Gironés), Can Cateura, 175 m, DG 9633, 2-12-90, plantació de P. radiata.- Santa Cristina d'Aro, Bell-lloc, 150 m, DG 9733, 7-1-90, brolla de C. monspeliensis amb Q. suber.- Quart (El Gironés), Montnegre, Mas Nadal, 220 m, DG 9544, 30-11-90, vora camí, sota Q. suber.
Loc. : L1ambil1es (El Gironès) , Sant Cristòfol, 18 0 m, DG 8940, 10 -1 2-89, brolla de C. i E. arborea, amb P. pinaster. - Llagostera (El Gironès) , Can Cateur a, 17 5 m, DG 9633, 2-1 2-90, plantació de P. radia ta .- Santa Cristina d' Aro, Bell-lloc, 150 m, DG 9733, 7-1 -90, brolla de C. monspe/iensis amb Q. suber.- Quart (El Gironè s), Montnegre, Mas Nadal, 220 m, DG 9544, 30 -11- 90, vora camí, sota Q. su ber.
Observacions: Si les temperatures no són prou altes, no es produeix l'esclat i el gasterocarp roman en forma d'ou indefinidament fins que es descomposa. Aixó ho hem observat en nombroses ocasions, en anys en que les temperatures s'han mantingut fredes. Per a més informació sobre aquesta espécie, vegeu MARTIN & VIDAL (1991), (pág. 196). Il•ustracions, les podeu trobar a LIU (1984), CALONGE-ZARCO (1988) i CETTO (1989).
Observacions: Si les temperatures no són prou alte s, no es produeix l' esclat i el gastero carp roman en forma d'ou indefinidament fins que es descomposa. Aixó ho hem observat en nombroses ocasions, en anys en que les temp eratures s' han mantingu t fr edes. Per a més informació sobre aquesta espèc ie, vegeu MARTIN & VIDAL (19 91), (pàg. 19 6). lI· lustracions, les podeu trobar a llU (1 984) , CALONG E-ZARCO (1 988) i CETTO (19 89) .
Langermannia gigantea (Pers.) Rostk. 1839 =Lycoperdon maximum Schaeffer 1774
Langermannia gigantea (Per s .) Rostk. 18 39 =Lycoperdon maximum Schaeffer 17 74
Háb.: Forma rotllanes als Prats nitrificats, camps d'userda (M. sativa) etc., normalment en companyia d'altres gasteromicets, com Calvatia utriformis, C. cyathiformis i Vascellum pratense. Viu des de l'estiu fins a principis de tardor. És forra rara.
Hà b. : Forma rotllanes als prats nitrificats, camps d' user da (M. sativa) et c., normalment en companyia d'a ltres gas teromicets, com Calva tia utriformis, C. cyathiformis i Va scellum pratense. Viu des de l' estiu fins a principis de tardor. É s força rara.
Loc. : Santa Cristina d'A ro, Solius, 40 m, DG 9829, 18 -10 -87, camp abandonat nitrificat .- Calonge, Sant Dan iel, 55 m, EG 0834, 6-1 0-8 6, cultiu de Medicago sativa.- Sant Sadurní de l' He ura , Sant Joan, 80 m, EG 0044, 13 -6-84, 6-1 0-84 i 1- 9-86, id. anterior .- Cruïll es, Can Sabate r, 80 m, EG 0141, 6- 1 0-86, id. anterior.
Loc.: Santa Cristina d'Aro, Solius, 40 m, DG 9829, 18-10-87, camp abandonat nitrificat.- Calonge, Sant Daniel, 55 m, EG 0834, 6-10-86, cultiu de Medicago sativa.- Sant Sadurní de l'Heura, Sant Joan, 80 m, EG 0044, 13-6-84, 6-10-84 i 1-9-86, id. anterior.- Cru'illes, Can Sabater, 80 m, EG 0141, 6-10-86, id. anterior.
Lycoperdon atropurpureum Vitt. 1842 =L. decipiens Dur. & Mont. 1849 =L. asterospermum Dur. & Mont. 1849
Lycoperdon atropurpureum Vitt 18 42 =L. decipiens Dur. & Mont. 18 49 =L. asterospermum Dur. & Mont. 18 49
Háb.: Solitari o fent grups, a tota mena de sóls. Presenta una ecologia molt amplia, des de brolles d'estepes (Cistion), brolles de romaní (Rosmarino-Ericion), garric (Quercetum cocciferae), fins a alzinars, suredes i castanyedes (Querco-Fagetea). Freqüent, a la tardor.
Hà b. : Soli tari o fent grups , a tota mena de sòls. Presenta una ecologia molt àmplia , des de brolles d' estepes (Cistion), brolles de romaní (Rosmarino-Ericion), garric (Q uercetum cocciferae) , fins a alzinars, suredes i castanyedes (Q uerco-Fage tea) Freqüent, a la tardor.
Loc.: Campdurá (El Gironés), Sant Miguel, 190 m, DG 8750, 8-12-86, alzinar amb Q. ilex i Q. pubescens (ATR).- Llagostera (El Gironés), Molí d'en Llambí, 145 m, DG 9532, 30-9-90, alzinar amb Q. ilex, Q. pubescens i Q. suber (ATR).- CruYlles, Puig d'Arques, 500 m, DG 9937, 21-10-86, castanyeda amb Castanea sativa i Q. ilex (ATR).- Sant Sadurní de l'Heura, Molí d'en Boscá, 100 m, DG 9643, 23-10-84, bosc de ribera amb Alnus glutinosa i Q. ilex (ATR).- Ib., Can Follia de Muntanya, 110 m, DG 9644, 11-85, camp abandonat amb C. monspeliensis (DEC).- Ib., Can Rosselló, 120 m, DG 9746, 11-10-90, Q. suber (ATR).- Ib., Can Sarís, 100 m, DG 9944, 2-11-90, alzinar (ATR).- Ib., Can Puigmiquel, 100 m, DG 9945, 20-12-86, alzinar amb Q. ilex i Q. pubescens (ATR).- Madremanya (El Gironés), Can Vilar i Serra de Millas, 175 i 155 m, DG 9648, 6-12-86 i 13-12-86, alzinar (ATR).- Castell d'Aro, Masnou, 80-320 m, EG 0431 i 0231, 7-12-86, brolla de C. monspeliensis i Q. suber (DEC).- Monells, Campcerdans, 80 m, EG 15-12-86, brolla de C. monspeliensis (DEC) i alzinar (ATR).- Fonteta, Fitor, Can Cals, 120 m, EG 0540, 23-9-84, bosc de ribera amb Alnus glutinosa i Q. ilex (ATR).- Pals, Rodors, 45 m, EG 1547, 26-12-86, brolla de C. albidus i C. monspeliensis (DEC).- Torroella de Montgrí, Les Dunes, 120 m, EG 1256 i 1357,
Loc. : Campdurà (El Gironè s), Sant Miquel, 19 0 m, DG 87 50, 8- 1 2-86, alzinar amb Q. i/ex i Q. pubescens (AT R) .- Llagostera (El Gironès), Molí d'en L1ambí, 145 m, DG 9532, 30-9-90, alzinar amb Q. i/ex, Q. pubescens i Q. suber (AT R) .- Cruïlles, Puig d' Arques, 500 m, DG 993 7, 21-10 -86, castanyeda amb Ca stanea sativa i Q. i/ex (AT R) .- Sant Sadurní de l' Heura, Mo lí d'e n Boscà, 10 0 m, DG 9643, 23- 10-84, bosc de ribera amb A/nus glutinosa i Q. i/ex (ATR) .- Ib., Can Folli a de Mu ntanya, 11 0 m, DG 9644, 11 -85, camp abandonat amb C. monspe/iensis (DEC) .- Ib., Can Rosse lló, 12 0 m, DG 97 46, 11 -10 -90, Q. suber (AT R) .- Ib., Can Sarís, 10 0 m, DG 9944, 2-1 1- 90, alzinar (ATR) .- Ib., Can Puigmique l, 10 0 m, DG 9945, 20- 1 2-86, alzinar amb Q. ilex i Q. pu bescens (ATR) .-Ma dremanya (El Gironès), Can Vilar i Serra de Millà 1 75 i 155 m; 96 8 6- 1 2 - 86 i 1 3 - 1 2 - 86 , alzinar ( ATR ) . - Castell d'A ro , Masn ou, 8 0 - 3 2 0 m, EG 043 1 i 02 31, 7-1 2- 86, brolla de C. monspe/iensis i Q. su ber (DEC) .- Monells, Campcerdans, 80 m, EG 15-1 2-86, brolla de C. monspe/iensis (DEC) i alzinar (AT R).- Fonteta, Fitor, Can Cals, 12 0 m, EG 0540, 23-9-84, bosc de ribera amb A/nus glutinosa i Q. i/ex (AT R) .- Pals, Rodors, 45 m, EG 1547, 26- 1 2-86, brolla de C. a/bidus i C. monspe/iensis (DEC) .- Torroella de Mon tgrí, Les Dunes, 12 0 m, EG 12 56 i 13 57,

Bufa. Soc. Catalana Micol. 14-15 113-130 Barcelona 1991
120 Bu tll. Soc. Catalana Micol. 14-15 11 3- 13 0 Barcelona 1991
16 -1 2-84 i 20 -11- 86, alzinar degradat amb P. ha lepensis (ATR) i a la garriga (DE C) .- Ib., Estartit, Punta de la Barra, 10 0 m, EG 17 56, 5-1 2- 88, brolla de Q. coccifera i Rosmarin us officin alis (DEC), leg. M.A. Pérez.
16-12-84 i 20-11-86, alzinar degradat amb P. halepensis (ATR) i a la garriga (DEC).— Ib., Estartit, Punta de la Barra, 100 m, EG 1756, 5-12-88, brolla de Q. coccifera i Rosmarinus officinalis (DEC), leg. M.A. Pérez.
Citacions an teriors: CALONGE -D EMOULIN (19 75) a Begur (DEC)
Citacions anteriors: CALONGE-DEMOULIN (1975) a Begur (DEC).
Observacions: Després d'un estudi comparatiu de 24 col•eccions, 14 de la forma «atropurpureum» (ATR) i 10 de la forma «decipiens» (DEC), estem completament d'acord amb l'opinió de ORTEGA & al. (1985) de sinonimitzar L. atropurpureum Vitt. i L. decipiens Dur. & Mont. Ambdues formes presenten les mateixes espores. El capil•lici no és decisiu per a la seva separació, ja que presenta molta variabilitat segons el grau de maduració. En exemplars que s'han desenvolupat en ambients oberts com brolles, garrigues, etc., on la maduració ha sigut més rápida, el capil•lici sol presentar porus grans i parets primes de tonalitat pál-lida, forma «decipiens». En canvi, en exemplars que han madurat a l'interior del bosc, solen presentar porus més escassos i petits i les parets del capil-lici són gruixudes i de color vermell fosc, forma «atropurpureum». Peró existeix tota una gradació que uneix les dues formes, fent-les inseparables. Macroscópicament passa el mateix, ja que hi ha tota una gradació de forma, coloració, i ornamentació del peridi, que uneix les dues formes, depenent només dels factors ecológics i ambientals. En general, els exemplars que han madurat en espais oberts tenen una coloració més clara. Per tant, no estem d'acord amb DEMOULIN (1971) ni amb JEPPSON (1987), que intenten separar aquestes dues formes segons l'hábitat, les espores i el capil•ici.
Observacions: Després d'un estudi comparatiu de 24 col· leccions, 14 de la forma «atr opurpureum» (ATR) i 10 de la forma «de cipiens» (D EC) , estem completamen t d'a cord amb l'o pinió de ORTEGA & al. (19 85) de sinoni mitzar L atropurpureum Vitt . i L decipiens Dur. & Mont. Ambdues formes presenten les mateixes espor es. El ca pil· lici no és decisiu per a la seva sepa ració, ja que presenta mol ta variabil itat segons el grau de madurac ió. En exemplars que s' han desenvolup at en ambien ts oberts com brol les, garri gues , et c., on la madur ació ha sigut més ràpida, el cap il· lici sol presen tar porus grans i parets primes de tonalitat pàl· lida, forma «de cipiens» En can vi, en ex emp lars que han madur at a l'i nterior del bosc, solen presentar porus més esca ssos i petits i les parets del cap il· lic i són gruixudes i de color vermell fosc, forma «atr opurpure um». Però ex isteix tota una gradació que uneix les dues form es, fent-les inse parables. Mac roscópicament passa el matei x, ja que hi ha tota una gradació de forma, colora ció, i ornamentació del peridi, que uneix les dues form es, depenent només dels factors ecològics i ambien ta ls. En general, els ex emp lars que han mad urat en espais oberts tenen una coloració més clara. Per tant , no estem d'a cord amb DEMOULIN (1971) ni amb JE PPSON (19 87), que intenten separar aquestes dues formes segons l'h àbitat, les espores i el capil ·l ici.
Lycoperdon echinatum Pers.: Pers. 1801
Lycoperdon ech inatum Per s.: Pers. 1801
Háb.: Solitari o en grups reduits. A tota mena de sóls, per?) molt humífers. Viu a les parts més humides dels alzinars (Quercion ilicis). Surt a la tardor. Es molt rar.
Hà b. : Soli tari o en grups reduï ts. A tota mena de sòls, però molt humífers. Viu a les parts més humides dels alzinar s (Q uercion jJicis) . Surt a la tardor. É s molt rar .
Loc. : Sant Sadurní de l' Heura, Cal Ma s Sarís, 12 0 m, DG 97 45 , 20- 11 - 89, alzinar amb Q. ilex i Q. pubescens. - Ib., Can Masfont, 80 m, DG 9746, 11 -1- 87, alzinar amb Q. ilex i Q. sube r.
Loc.: Sant Sadurní de l'Heura, Cal Mas Sarís, 120 m, DG 9745, 20-11-89, alzinar amb Q. ilex i Q. pubescens.— Ib., Can Masfont, 80 m, DG 9746, 11-1-87, alzinar amb Q. ilex i Q. suber.
Lycoperdon ericaeum Bonord. 1857 =L. muscorum Morgan 1891
Lycoperdon ericaeum Bono rd. 1857 =L muscorum Mo rgan 1891
Háb.: Solitari o en grups reduits. Viu a les brolles silicícoles d'estepes i brucs més o menys arbrades (Cistion). Surt a la tardor. Es poc freqüent.
Hà b. : Soli tari o en grups reduïts. Viu a les brolles silicícoles d' estepes i brucs més o meny s arbrades (Cistion) Surt a la tardo r. É s poc freq üent
Lo c. : Santa Cristina d' Aro, Romanyà, Can Pons, 365 m, DG 9932, 7-1 2-86, brolla de C. monspeliensis.Sant Sadurní de l' Heura, Can Vidalet, 10 0 m, DG 9845, 2- 1 2- 85, broll a de E. arborea, C. monspeliensis i Q. su ber. - Calonge , Ctra. La Ganga, 260 m, EG 0538, 4- 1 2-88 , brolla de C. monspeliensis i Eucalyptus.Monells, Campcerdans, 80 m, EG 0046, 15 -1 2-86, brolla de C. monspeliensis.
Loc.: Santa Cristina d'Aro, Romanyá, Can Pons, 365 m, DG 9932, 7-12-86, brolla de C. monspeliensis.Sant Sadurní de l'Heura, Can Vidalet, 100 m, DG 9845, 2-12-85, brolla de E. arborea, C. monspeliensis i Q. suber.— Calonge, Ctra. La Ganga, 260 m, EG 0538, 4-12-88, brolla de C. monspeliensis i Eucalyptus.— Monells, Campcerdans, 80 m, EG 0046, 15-12-86, brolla de C. monspeliensis.
Lycoperdon lividum Pers. 1809 =L. spadiceum Pers. non Poiret 1809
Lycoperdon lividum Pers . 18 09 =L spadiceum Pers. non Poiret 18 09
Háb.: Solitari o formant grups reduits, en sóls calcaris. Viu als llistonars (Thero-Brachypodion), a les brolles calcícoles (Rosmarino-Ericion), reradunes (Crucianellion maritimae), a les garrigues degradades (Quercetum cocciferae), etc. Freqüent, a la tardor.
Hà b. : Sol itari o formant grups reduïts, en sòls calcar is. Viu als llis tonars (Thero-Bra chypodion), a les brolles calcícoles (Rosma rin o-Eric ion) , reradunes (Cru cianellion maritimae), a les garri gues degradades (Q uercetum cocciferae) , etc Freqüe nt , a la tardor.
Loc.: Sant Sadurní de l'Heura, Les Serres, 110 m, DG 9944, 20-12-86, llistonar.— Fonteta, Can Turró, 100 m, EG 0543, 6-12-89, llistonar.— L'Escala (Alt Empordá), Can Vilanera, 25 m, EG 0963, 4-1-87, llistonar amb Q. coccifera i Cistus.— Torroella de Montgrí, Santa Caterina, 220 m, EG 1156, 28-12-86, brolla de garric degradada.— Ib., Torre Vella, 120 m, EG 1356, 20-11-86, brolla de garric degradada, amb C. monspeliensisi P. ha-
Loc. : Sant Sadurní de l' Heura, Les Serres, 11 0 m, DG 9944, 20- 1 2-86, llistonar .- Fonteta, Can Turró, 10 0 m, EG 0543, 6- 1 2-89, llistonar .- L' Escala (Alt Empordà), Can Vilanera, 25 m, EG 0963, 4- 1- 87, llistonar amb Q. coccifera i Cistus. - Torroella de Mo ntgrí, Santa Caterina, 220 m, EG 11 56, 28-1 2-86, brolla de garric degradada .- Ib., Torre Vella, 12 0 m, EG 13 56, 20- 11 -86, brolla de garric degradada , amb C. monspeliensis i P. ha-

Butll. Soc. Catalana Micol. 14-15 113-130 Barcelona 1991
Butll. Soc. Ca talana Micol. 14 -15 11 3-13 0 Barcelona 1991 121
lepensis. - Ib., platj a de la Fonollera, 1 m, EG 16 50, 21-1 2-86, reradu na.- Ib., L' Estartit , Punta de la Barra , 10 0 m, EG 17 56, 5- 1 2-88, brolla de Q. co ccifera i Rosmarinus, leg. M. A. Pérez.
lepensis.- Ib., platja de la Fonollera, 1 m, EG 1650, 21-12-86, reraduna.- Ib., L'Estartit, Punta de la Barra, 100 m, EG 1756, 5-12-88, brolla de Q. coccifera i Rosmarinus, leg. M.A. Pérez.
Lycoperdon mammiforme Pers. 1801
Lycoperdon mammiforme Pers . 1801
Hà b. : Forma .s rups de pocs individus, en sòls molt hum ífers . Viu als alzi nars (Q uercion ilicis) . Surt a la tard or. Es rar.
HSb.: Forma,grups de pocs individus, en sóls molt humífers. Viu als alzinars (Quercion ilicis). Surt a la tardor. Es rar.
Loc.: Campdurà (El Gironès), Sant Miquel, 19 0 m, DG 8750, 1-1 1- 86, alzinar amb Q. ilex i Q. pubescens.Madremanya (El Gironè s), Riera de Vilers, 200 m, DG 9448, 29-1 0-88 , alzinar amb Q. ilex i Q. su ber. - Sant Sadurní de l' Heura, Can Caste lló, 90 m, DG 9846, 21- 3- 91, alzin ar.- Ib., Can Sarís, 10 0 m, DG 9944, 2- 11 - 90, alzinar.
Loc.: Campdurá (El Gironés), Sant Miguel, 190 m, DG 8750, 1-11-86, alzinar amb Q. ilex i Q. pubescens.Madremanya (El Gironés), Riera de Vilers, 200 m, DG 9448, 29-10-88, alzinar amb Q. ilex i Q. suber.- Sant Sadurní de l'Heura, Can Castelló, 90 m, DG 9846, 21-3-91, alzinar.- Ib., Can Sarís, 100 m, DG 9944, 2-11-90, alzinar.
Lycoperdon marginatum Vitt. ex Moris & De Not. 1842
Lycoperdon marginatum Vitt . ex Mo ris & De Not. 18 42
=L. candidum auct. non Pers. 1801
=L. cruciatum Rostk. 1839
=L. candidum auc t. non Pers. 1801 =L. crucia tum Rostk 18 39
HSb.: Sol formar colónies, en sóls saulonosos molt oligotrófics. Viu a les brolles silicícoles d'estepes, bruc i bruguerola (Cistion). Surt a la tardor. És rar.
Hà b. : Sol formar colòn ies, en sòls saulo nosos molt oli gotrò fics. Viu a les brolles silicícoles d' estepes, bruc i bruguer ola (Cistion) Surt a la tardor. É s rar.
Loc. : Sant Feliu de Guíxols, Can Tallada, 200 m, DG 9528, 3-1- 88 i 23-1 0-88 , brolla de C. monspeliensis, E. arborea, Calluna vulga ris, Arbutus unedo i Q. su ber, mo lt degradada
Loc.: Sant Feliu de Guíxols, Can Tallada, 200 m, DG 9528, 3-1-88 i 23-10-88, brolla de C. monspeliensis, E. arborea, Calluna vulgaris, Arbutus unedo i Q. suber, molt degradada.
Lycoperdon molle Pers.: Pers. 1801
Lycoperdon molle Per s.: Pers . 18 01
Háb.: Solitari o en grups, a tota mena de sóls. Presenta una ecologia molt amplia, des de brolles (Cistion, Rosmarino-Ericion,...) i pinedes secundáries (Pinos), fins a alzinars (Quercion ilicis). Surt a la tardor. És molt freqüent.
Hà b. : Soli tari o en grups, a tota mena de sòls. Presenta una ecologia molt amplia, des de brolles (Cistion, Rosma rin o-Ericion, ... ) i pinedes secundàries (Pin us), fins a alzinars (Q uercion ilicis) . Su rt a la tardor É s molt freqü ent.
Loc.: Llagostera (El Gironés), Penedes, 160 m, DG 9532, 4-12-88, brolla de E. arborea, C. monspeliensis i Eucalyptus.- Santa Cristina d'Aro, Romanyá, Can Pons, 365 m, DG 9932, 7-12-86, brolla de C. monspeliensis.- Madremanya, Ctra. deis Angels, 350 m, DG 9448, 8-12-86, brolla de C. monspeliensis, sota C. sativa.- Quart (El Gironés), Montnegre, Mas Nadal, 240 m, DG 9544, 5-1-87, brolla de E. arborea, A. unedo i Q. suber.- Sant Sadurní de l'Heura, Cal Ermitá, 120 m, DG 9745, 31-10-84 i 20-11-84, brolla de C. monspeliensis i Q. suber.- Ib., Can Masfont, 80 m, DG 9746, 11-1-87, bosc de ribera amb Q. ilex, Robinia pseudoacacia i Ulmus minor.- Ib., Massaballs, 120 m, DG 9945, 6-11-90, olivar amb P. halepensis.- Castell d'Aro, Masnou, 320 m, EG 0231, 7-12-86, brolla de C. monspeliensis Q. suber.- Calonge, ctra. La Ganga, 260 m, EG 0538, 4-12-88, brolla de C. monspeliensis, Erica i Eucalyptus.- Monells, Campcerdans, 80 m, EG 0046, 15-12-86, alzinar.- Torroella de Montgrí, Camí de Sta. Caterina, 80 m, EG 0957, 14-11-90, garriga.- Ib., Les Dunes, 120 m, EG 1257, 23-11-84 i 20-11-86, pineda sobre dunes.- Palamós, Puig Gerner, 75 m, EG 1335, 8-12-87, pineda secundária amb P. pinea i P. pinaster.- Begur, 150 m, EG 1845, 24-12-89, brolla de C. albidus amb P. halepensis.
Loc. : Llagostera (El Gironè s), Penedes, 16 0 m, DG 9532, 4- 1 2-88, brolla de E. arborea, C. monspeliensis i Eucalyptus. - Santa Cristina d' Aro, Romanyà, Can Pons, 365 m, DG 9932, 7- 1 2-86, brolla de C. monspeliensis. - Madremanya, Ct ra. dels Angels, 350 m, DG 9448 , 8- 1 2-86, brolla de C. monspeliensis, sota C. sa tiva .- Quart (El Gironè s), Montnegre , Mas Nadal, 240 m, DG 9544, 5- 1-87, brolla de E. arborea, A. unedo i Q. su ber. - Sant Sadurní de l' He ura , Cal Ermità, 120 m, DG 9745, 31 -10-84 i 20 -11- 84, brolla de C. monspeliensis i Q. suber.- Ib., Can Masfont, 80 m, DG 97 46 , 11 -1- 87, bosc de ribera amb Q. ilex, Ro binia pseudoaca cia i U1mus minor.- Ib., Massaballs, 12 0 m, DG 9945, 6- 1 1- 90, olivar amb P. halepensis. - Castell d'A ro, Masnou, 320 m, EG 02 31, 7-1 2-86, brolla de C. monspeliensis i Q. suber.- Calonge, ctra . La Ganga, 260 m, EG 0538, 4- 1 2-88, brolla de C. monspeliensis, Erica i Eucalyptus. - Monells, Campcerdans, 80 m, EG 0046, 15-1 2- 86, alzinar.- Torroella de Montgrí, Camí de Sta. Caterina, 80 m, EG 095 7, 14-11 - 90, garriga .- Ib., Les Dunes, 12 0 m, EG 12 57, 23 -11- 84 i 20- 11 - 86, pineda sobre dunes .- Palamós, Puig Gerner, 75 m, EG 13 35, 8-12 -87, pineda secundària amb P. pinea i P. pinaster.- Begur, 150 m, EG 18 45, 24- 12 -89, brolla de C. albidus amb P. halepensis.
Citacions anteriors: CALONGE-DEMOULIN (1975) a Begur.
Citacions an teriors: CALONGE -D EMOULIN (1 975) a Begur.

Observacions: Igual que passa amb L. atropurpureum, és una espécie molt variable, que pot donar lloc a multitud d'interpretacions si no es té en compte tota la variabilitat que pot presentar. Tant la mida com la forma del carpófor són extremadament variables, arrodonida, turbinada, estipitada, etc. Sense l'ajut del microscopi es pot confondre fácilment amb espécies veYnes, com L. Iambinonii, L. ericaeum, L. umbrinum i L. atropurpureum. A nivel' microscópic, peró, també existeix una enorme variabilitat. Els exemplars que han madurat a l'interior del bosc poden presentar unes espores lleugerament més petites i un capi•ici més fosc i amb porus més petits, que pot confondre's amb el de L. lambinonii Demoulin, aquest, més propi de zones muntanyesques i
Observacions: Igual que passa amb L. atropurpureum, és una espècie molt varia ble, que pot donar lloc a mu ltitud d' interpretacions si no es té en compte tota la variabi litat que pot present ar. Tant la mida com la forma del carpòfor són extremadament variabl es, arrodo nida, turbinada , estipitada, etc. Sense l'ajut del microscopi es pot confondr e fàcilment amb veïn es, com L. am binonii L. ericae m L. um brin um i L. atropurpu re um. A nivell microscòpi c, però, també ex isteix una enorme variabili tat Els exemplars que han madurat a l' interior del bosc poden presentar unes espores lle ugeramen t més petites i un cap il· lici més fosc i amb porus més petits , que pot confond re's amb el de L. lam binonii Demo uli n, aquest, més propi de zones mu ntanyesques i
12 2

Bu tll. Soc. Catalana Micol. 14-15 11 3- 13 0 Barcelona 1991
Butll. Soc. Catalana Micol. 14-15 113-130 Barcelona 1991
de sòls calcari s. L. lam binonii D emo ul in, l'h em trobat a Albanyà (Alt Empordà) , Lliurona, 800 m, DG 7679, 17 -4-8 7, sota P. syl ves tris i F. syl vatica, fora de l' àrea d' est udi.
de sóls calcaris. L. lambinonii Demoulin, l'hem trobat a Albanyá (Alt Empordá), Lliurona, 800 m, DG 7679, 17-4-87, sota P. sylvestris i F. sylvatica, fora de l'área d'estudi.
Lycoperdon perlatum Per s.: Pers 1801
Lycoperdon perlatum Pers.: Pers. 1801
Hà b. : Es troba solitari o fascic ulat, a tota mena de sòls. Presenta una ecol ogia molt àmplia Viu a les brolles d' estepes i brucs (Cistion) , pinedes secundà ries (Pin us), garrigues (Q uercetum coccifera e) , i també als alzinars (Q uercion ilicis) . Sur t a la tardor, és fre qüent .
H3b.: Es troba solitari o fasciculat, a tota mena de sóls. Presenta una ecologia molt amplia. Viu a les brolles d'estepes i brucs (Cistion), pinedes secundáries (Pinus), garrigues (Quercetum cocciferae), i també als alzinars (Quercion ilicis). Surt a la tardor, és freqüent.
Loc.: Castell d' Aro, Masnou, 320 m, EG 02 31, 7- 1 2-86, brolla de C. monspeliensis i P. pin ea .- Torroella de Montgrí, Urb. Torre Vella, 12 0 m, EG 13 56, 28-1 0-84, alzinar degradat, amb Q. ilex i P. halepensis.Ib. , El Mon tgrí, 13 0 m, 13 -11- 90, garriga .- Mad remanya, Ctra. dels Angels, 250 m, DG 9448 , 8-1 2-86, brolla de E. arborea i Q. suber. - Ib., Serra de Mi llàs, 17 0 m, DG 97 48 , 18 -1 2-89, alzinar amb P. halepensis. - Sant Sadurní de l' Heura, Cantaga lls, 11 0 m, DG 9842, 26-11 - 88, sota Q. ilex, Q. suber i C. sa tiva .Can Puigmiquel, 12 0 m, DG 9845, 17 -11- 83, alzinar .- Cruï lles, Cal Obert, 11 0 m, DG 9942, 1-12 -83 , sota C. sativa i Q. suber, i en altres llocs i dates.
Loc.: Castell d'Aro, Masnou, 320 m, EG 0231, 7-12-86, brolla de C. monspeliensis i P. pinea.- Torroella de Montgrí, Urb. Torre Vella, 120 m, EG 1356, 28-10-84, alzinar degradat, amb Q. ilex i P. halepensis.Ib., El Montgrí, 130 m, 13-11-90, garriga.- Madremanya, Ctra. dels Angels, 250 m, DG 9448, 8-12-86, brolla de E. arborea i Q. suber.- Ib., Serra de Millas, 170 m, DG 9748, 18-12-89, alzinar amb P. halepensis.- Sant Sadurní de l'Heura, Cantagalls, 110 m, DG 9842, 26-11-88, sota Q. ilex, Q. suber i C. sativa.Can Puigmiquel, 120 m, DG 9845, 17-11-83, alzinar.- Cruilles, Cal Obert, 110 m, DG 9942, 1-12-83, sota C. sativa i Q. suber; i en altres llocs i dates.
Citacions anteriors: CALONGE-DEMOULIN (1975) a Begur.
Citacions an teriors: CALONGE -DE MOULIN (1 97 5) a Begur.
Lycoperdon umb rinum Per s.: Pers . 1801
Lycoperdon umbrinum Pers.: Pers. 1801
Háb.: Es troba solitari o en grups reduits, en sóls silicis. Viu a les brolles de bruc i estepes (Cistion) més o menys arbrades, gairebé sempre amb preséncia de Pinus, més freqüentment a les pinedes secundáries, també als alzinars (Quercion ilicis). Surt a la tardor. És poc freqüent.
Hà b. : Es troba soli tari o en red uïts , en sòls silic is. Viu a les brolles de bruc i estepes (Cistion) més o menys arbrad es, gaire bé sempre amb presència de Pin us, més freqüentment a les pinedes secundàries, també als alzinars (Q uercion jJicis) Sur t a la tardor É s poc freqüent.
Loc. : Llambilles (El Gironès), Sant Cristòfol, 18 0 m, DG 8940, 30- 12 -89, pineda de P. pinaster. - Llagostera (El Gironè s), veïnat de Pened es, 15 0 m, DG 9532, 1-1- 87, brolla de Erica, Q. su ber i Pin us. - Madremanya (El Giron ès), Can Vilar, 17 5 m, DG 9648, 6-1 2-86, brolla de Rosmarinus i P. halepensis. - Ib., Riera de Vilers, 200 m, DG 9948, 29-1 0-88 , brolla de E. ar borea, amb Q. suberi Pin us. - Sant Sadurní de l' Heura, Can Ma sfont , 80 m, DG 9746, 20- 1- 90, sota Q. i/ex i Ro binia pseudoacacia.
Loc.: Llambilles (El Gironés), Sant Cristófol, 180 m, DG 8940, 30-12-89, pineda de P. pinaster.- Llagostera (El Gironés), veinat de Penedes, 150 m, DG 9532, 1-1-87, brolla de Erica, Q. suber i Pinus.- Madremanya (El Gironés), Can Vilar, 175 m, DG 9648, 6-12-86, brolla de Rosmarinus i P. halepensis.- Ib., Riera de Vilers, 200 m, DG 9948, 29-10-88, brolla de E. arborea, amb Q. suber i Pinus.- Sant Sadurní de l'Heura, Can Masfont, 80 m, DG 9746, 20-1-90, sota Q. ilex i Robinia pseudoacacia.
Mu tinus can in us (Hud s.: Pers .) Fr. 18 49
Mutinus caninus (Huds.: Pers.) Fr. 1849
Hà b. : Forma colònies, en sòls molt hum ífers Viu als boscos de ribera (Alno-Padion) , a les omedes (Hedero-Ulm etum mino ris) , i a les parts humides del s alzi nars (Q u ercion ilicis) Força rar
Háb.: Forma colónies, en sóls molt humífers. Viu als boscos de ribera (Alno-Padion), a les ornedes (Hedero-Ulmetum minoris), i a les parts humides dels alzinars (Quercion ilicis). Forra rar.
Loc.: Sant Sadurní de l'Heura, Can Masfont, 80 m, DG 9746, 10-11-87, sota Q. ilex, Robinia pseudoacacia i Ulmus minor.- Fonteta, Puig d'en Torroella, 180 m, EG 0741, 16-10-90, sota Alnus glutinosa i Q. ilex.
Loc.: Sant Sadurní de l' Heura, Can Masfont, 80 m, DG 9746, 10-1 1-87, sota Q. ilex, Ro binia pseudoacacia i Ulm us minor.- Fonteta, Puig d'en Tor roella, 18 0 m, EG 07 41, 16 -10 -90, sota Aln us glutinosa i Q. ilex.
Mycoc ali a dur iaeana (L. & Ch . Tu l.) Palmer 1961
Mycocalia duriaeana (L. & Ch. Tul.) Palmer 1961
Gasterocarps subglobosos, aplanats a la base, de 0.5-1.4 mm de diámetre, amb nombroses protuberáncies. Peridi molt prim, de consisténcia molt laxa, cotonosa, i de color gris-ocraci. A l'interior hi han els peridiols, de 240-300 x 120-300 ium, en nombre variable, sovint fins a 25 o més, en forma de llentia, de color vermell-fosc o negrós, brillants.
Gaster ocarps sub glob oso s, apla nats a la base, de 0.5 -1. 4 mm de diàme tre , amb nombroses prot uberàncies. Peridi molt prim, de consistència molt laxa, cotonosa, i de color gris-oc raci . A l' interior hi han els peridiols, de 240-300 x 12 0-300 ¡...t. m, en nombre variable , sovint fins a 25 o més, en forma de llentia, de color vermell -fosc o negrós, brillants.
Córtex format per dues capes d'hifes entrecreuades i laberíntiques. Hifes de l'exocórtex molt atapeides, amb paret gruixuda de fins a 0.8 jim i de color vermell fosc (fig. lb). Hifes de l'endocórtex més laxes, amb parets de fins a 0.4 i de color groguenc (fig. 1c). Espores ovalades, hialines, llises, de 7-10-(13) x 5-7.5 ptm.
Córtex format per dues capes d'h ifes entrecreuades i laberíntiq ues. Hifes de l' exocórtex molt atape ïdes, amb paret gruixuda de fins a 0.8 ¡...t.m i de color vermell fosc (f ig. Ib ). Hifes de l' endocòrtex més laxes, amb parets de fins a 0.4 ¡...L m, i de color groguenc (fig. lc ). Espores ovalades, hialines , llises, de 7- 10 -(13 ) X 5-7.5 ¡...L m.
Hà b. : Forma colònies al damun t de branqui llon s i restes vegetals divers es. Viu a les brolles (Cistion) , a la tardor Rar
Háb.: Forma colónies al damunt de branquillons i restes vegetals diverses. Viu a les brolles (Cistion), a la tardor. Rar.

113-130
Loc.: Sant Sadurní de l'Heura, Cal Ermitá, 115 m, DG 9744, 26-12-87, sobre branquillons de Pinus, en una brolla de C. monspeliensis i Erica, producte d'un incendi.
Loc. : Sant Sadurní de l' Heura, Cal Ermità, 11 5 m, DG 97 44, 26 -12 -87, sobre branquillons de Pin us, en una brolla de C. monspeliensis i Erica , producte d'un incendi.
Observacions: Primera citació per Catal unya. Ante riorment (CALONGE, 19 89) havia estat citat de Madrid. Es distingeix fàcilment de la resta d'e spècies per l' estructura densa de l' exocórtex i laxa de l'e ndocór tex.
Observacions: Primera citació per Catalunya. Anteriorment (CALONGE, 1989) havia estat citat de Madrid. Es distingeix fácilment de la resta d'espécies per l'estructura densa de l'exocórtex i laxa de l'endocórtex.
Pha llus impudicus L.: Pers. 1801
Phallus impudicus L.: Pers. 1801
Hà b.: Soli tari o en colònies força nombr os es, a tota mena de sòls . Presenta una eco logia molt àmplia, des de garrigues (Q uercetum cocciferae) fins a alzinars, suredes (Q uercion iJicis) i boscos de ribera (AJno -Padion) Sur t a la tardor -p rimavera. Freqüent en anys càlids i hu mits
Háb.: Solitari o en colónies forra nombroses, a tota mena de sóls. Presenta una ecologia molt amplia, des de garrigues (Quercetum cocciferae) fins a alzinars, suredes (Quercion ilicis) i boscos de ribera (Alno-Padion). Surt a la tardor-primavera. Freqüent en anys cálids i humits.
Loc. : Llagostera (El Gironès ), Molí d'en L1ambí, 145 m, DG 9532, 23-5- 88, bosc de ribera amb Alnus glutinosa i Q. ilex. - Madremanya (El Gironès) , Serra de Millàs, 15 0 m, DG 9648 , 13 -1 2-86, alzinar.- Sant Sadurní de l' Heura, Banyeres, riu Daró, 90 m, DG 97 43, 6- 1 0-8 4, sota Q. ilex i A. glutinosa .- Ib., Can Bosc de Baix, 12 0 m, DG 9747, 6- 1 2-86, brolla amb Ulex parviflorus, P. halepensis i Q. ilex.- Ib., Cantagalls, 10 0 m, DG 9842, 3- 11 - 86, bosc de ribera amb Salix, Populus nigra i A. glutinosa.- Monells, Campcerdans, 80 m, EG 0046, 15 -1 2-86 , alzinar amb P. ha lepensis. - Pals, Horts de les Ribes, 10 m, EG 12 47, 15 -1 1- 87, bosc de ribera amb Ulm us minor i Q. ilex. - Torroella de Montgr í, El Montgrí, 120 m, EG 10 57, 14-1 1- 90, garriga
Loc.: Llagostera (El Gironés), Molí d'en Llambí, 145 m, DG 9532, 23-5-88, bosc de ribera amb Alnus glutinosa i Q. ilex.- Madremanya (El Gironés), Serra de Millás, 150 m, DG 9648, 13-12-86, alzinar.- Sant Sadurní de l'Heura, Banyeres, riu Daró, 90 m, DG 9743, 6-10-84, sota Q. ilex i A. glutinosa.- Ib., Can Bosc de Baix, 120 m, DG 9747, 6-12-86, brolla amb Ulex parviflorus, P. halepensis i Q. ilex.- Ib., Cantagalls, 100 m, DG 9842, 3-11-86, bosc de ribera amb Salix, Populus nigra i A. glutinosa.- Monells, Campcerdans, 80 m, EG 0046, 15-12-86, alzinar amb P. halepensis.- Pals, Horts de les Ribes, 10 m, EG 1247, 15-11-87, bosc de ribera amb Ulmus minori Q. ilex.- Torroella de Montgrí, El Montgrí, 120 m, EG 1057, 14-11-90, garriga.
Citacions anteriors: LLIMONA (1983) a Cassá de la Selva.
Citacions an teriors: LLIMONA (19 83) a Cassà de la Selva.
Pi solithus tinc tori us (Mic h.: Pers) Coker & Couch 19 28 =P. arhizus (Per s.) Rauschert 18 59 =P. arenarius Alb. & Schw. 18 05
Pisolithus tinctorius (Mich.: Pers) Coker & Couch 1928 =P. arhizus (Pers.) Rauschert 1859 =P. arenarius Alb. & Schw. 1805
H3b.: En colónies en sóls preferentment sorrencs, secs i assolellats. Viu associat a diferents espécies de Pinus. Forra freqüent, a la tardor.
Hà b. : En colònies en sòls preferentment sorrencs, secs i assolella ts Viu associat a diferents espècies de Pin us. Força fre qüent, a la tardor.
Loc. : Castell d'Aro, Masnou, 320 m, EG 02 31, 7-1 2- 86, sota Pin us i Q. su ber. - Calonge , Can Subart, 40 m, EG 0635 , 1-7 -84 i 6- 1 0- 86, sota P. pinea.- Pals, Puig de la Guilla, 10 0 m, EG 15 46, 26- 1 2-86, pineda sobre dunes amb P. pinea.- Torroella de Montgrí, Mas Julià, 50 m, EG, 12 55, 20-1 1-86, id. anterior; i en altres llocs i dates
Loc.: Castell d'Aro, Masnou, 320 m, EG 0231, 7-12-86, sota Pinusi Q. suber.- Calonge, Can Subart, 40 m, EG 0635, 1-7-84 i 6-10-86, sota P. pinea.- Pals, Puig de la Guilla, 100 m, EG 1546, 26-12-86, pineda sobre dunes amb P. pinea.- Torroella de Montgrí, Mas Juliá, 50 m, EG, 1255, 20-11-86, id. anterior; i en altres llocs i dates.
Scler oderma bovi sta Fr. 18 29
Scleroderma bovista Fr. 1829
Hà b. : Forma colònies força nom broses en sòls silicis , preferentment sorre ncs. Viu a les clarianes de les pinedes secundàries (Pin us) Surt a l' estiu-tardor, és rar.
Háb.: Forma colónies forra nombroses en sóls silicis, preferentment sorrencs. Viu a les clarianes de les pinedes secundáries (Pinus). Surt a l'estiu-tardor, és rar.
Loc.: Sant Sadurní de l'Heura, Molí d'en Frigola, 70 m, DG 9843, 20-6-84, brolla de C. monspeliensis, amb Q. suber i P. pinaster.- Torroella de Montgrí, Les Dunes, 60 m, EG 1355, 19-11-86, pineda sobre dunes amb P. pinea i P. pinaster.
Loc. : Sant Sadurní de l' Heura, Molí d'en Frigola , 70 m, DG 9843, 20-6-84, brolla de C. monspeliensis, amb Q. suber i P. pinaster.- Torroella de Montgrí, Les Dunes, 60 m, EG 13 55, 19 -1 1- 86, pineda sobre dunes amb P. pinea i P. pinaster.
Observacions: També l' hem trobat a Ma çanet de Cabrenys (Alt Empord à), Les Salines, 10 00 m, DG 7995, 30-7- 89, al marge d'un camí, en una plantació de Pin us nigra ssp . saJzmannii.
Observacions: També l'hem trobat a MaÇanet de Cabrenys (Alt Empordá), Les Salines, 1000 m, DG 7995, 30-7-89, al marge d'un camí, en una plantació de Pinus nigra ssp. salzmannii.
Scleroderma cepa Pers. 1801
Scleroderma cepa Pers. 1801



ar p o r gl o b ó s, s u b gl o b ó s, d e 2 - 3 5 cm. Base mice l iar petita, l axa, no ca l cificad a. Peridi gruixut , mol t dur, de 1-2.5 mm, llis o finament escamós, especialment a la part apical per on s' obre en forma d' estre lla. É s de color clar, ocraci, grog uenc, més tard ataronj at. Carn blanquinosa, vermellosa al tall.
Carpófor globós, subglob6s, de 2 -3.5 cm. Base miceliar petita, laxa, no calcificada. Peridi gruixut, molt dur, de 1-2.5 mm, llis o finament escamós, especialment a la part apical per on s'obre en forma d'estrella. És de color ciar, ocraci, groguenc, més tard ataronjat. Carn blanquinosa, vermeliosa al tall.
12 4

Butll. Soc. Catalana Micol. 14-15 113-130 Barcelona 1991
Butll. Soc. Catalana Micol. 14-15 11 3- 13 0 Barcelona 1991
Peridi format per dues capes. Capa externa molt prima formada per hifes de parets fines, de 3-6 iirn. Capa interna gruixuda formada per hifes de parets més gruixudes, de 3-7-(10) pirn (figs. 2 a,b). Espores fortament espinoses, de 8.5-13-(15) més l'ornamentació de 1.5-2 ham.
Peridi format per dues cap es. Capa externa molt prima formada per hifes de parets fines, de 3-6 M-m. Capa interna gruixuda formada per hifes de parets més gruixudes, de 3-7-( 10 ) M-m (figs. 2 a,b). Espores fortament espino ses, de 8.5 -13 -(15 ) M-m, més l'or namen tació de 1. 5-2 M- m.
Háb.: Solitari o en grups reduits, en sóls preferentment silicis. Viu en llocs secs i assolellats del domini del Cistion, associat sobretot amb Eucalyptus, peró també amb Quercus i Pinus. Surt a la tardor. Es molt rar.
Hà b. : Soli tari o en grups reduïts, en sòls preferentment silicis. Viu en llocs secs i assolellats del domini del Cís tíon, associat sobretot amb Eucalyp tus, però també amb Quercus i Pín us. Sur t a la tardor. É s molt rar.
Loc. : Sant Sadurní de l' Heura, Molí d'e n Boscà, 10 0 m, DG 9642, 1-1 2-90, sota P. pinea.- Ib. , Can Puig, 10 0 m, DG 9845, 10-10 -90, enmig d'u n camp a la vora de Q. suber i Q. ilex .- Calonge, ctra. la Ganga, 260 m, EG 0538 , 4- 1 2-88 , sota Eucalyptus.
Loc.: Sant Sadurní de l'Heura, Molí d'en Boscá, 100 m, DG 9642, 1-12-90, sota P. pinea.— Ib., Can Puig, 100 m, DG 9845, 10-10-90, enmig d'un camp a la vora de Q. suber i Q. ilex.— Calonge, ctra. la Ganga, 260 m, EG 0538, 4-12-88, sota Eucalyptus.
Scler oderma flav idum Ellis & Ever hart 18 85
Scleroderma flavidum Ellis & Everhart 1885
Gasterocarps sub glob osos o pir iformes de 2-5 cm de dià metre . Base miceliar cal cificad a, de mida molt var iable, que pot arribar als 4 cm d'a ltura Peridi molt dur, de gruix molt var iable, de 0.5 a 1. 5 mm en sec, llis o finament aureolat, a vegades fortament escamós a la part apical , amb escames de 1- 2 mm. É s de color groc a bru-vermellós. La base es manté groga, igual que el pseudope u. Carn blanquinosa, amb tonalitats grogues , més fortes al pseudop eu; pren tonalitats vermell oses al tall.
Gasterocarps subglobosos o piriformes de 2-5 cm de diámetre. Base miceliar calcificada, de mida molt variable, que pot arribar als 4 cm d'altura. Peridi molt dur, de gruix molt variable, de 0.5 a 1.5 mm en sec, llis o finament aureolat, a vegades fortament escamós a la part apical, amb escames de 1-2 mm. Es de color groc a bru-vermellós. La base es manté groga, igual que el pseudopeu. Carn blanquinosa, amb tonalitats grogues, més fortes al pseudopeu; pren tonalitats vermelloses al tall.
Els joves són quasi hipogeus; després, amb el desenvolupament del peu, emergeixen. Al madurar, el peridi es trenca per la part apical i pren forma d'estrella.
Els jo ves són qu asi hipoge us; després , amb el desenvol upament del peu, emergeixen. Al madurar, el peridi es trenca per la part apical i pren forma d' estrel la.
Peridi format per dues capes. Capa externa molt prima, de color groc-ataronjat, formada per hifes de parets fines, de 3.5-8 ¡Im de diámetre. Capa interna molt gruixuda, formada per hifes de parets gruixudes, disposades de forma molt desordenada. La major part d'aquestes hifes són fusiformes i arriben fácilment a 20 lirn de diámetre o més (figs. 2, c,d). Espores fortament espinoses, de 8-12.5-(15) més l'ornamentació de 1.25-2 p.m.
Peridi format per dues capes. Capa externa mol t prima, de color groc-ataronj at, formada per hifes de parets fines, de 3. 5-8 M-m de diàmetre Capa interna molt gruixuda, formada per hifes de parets gruixudes , disposades de forma mol t desordena da. La major part d'a qu estes hifes són fusiformes i arriben fàcilment a 20 M-m de dià metre o més (fi gs. 2, c,d). Espores fort amen t espinoses, de 8-1 2. 5-( 15 ) M- m, més l'o rnamentació de 1.2 5-2 M- m.
Háb.: Solitari o en colónies, en sóls silicis. Viu associat a diferents espécies d'Eucalyptus, Quercus i Pinus, tant a les brolles d'estepes (Cistion) com al domini de l'alzinar (Quercion ilicís). Surt a la tardor. És freqüent.
Hà b. : So litari o en colònies, en sòls silicis . Viu associat a difere nts espècies d'Eucalyp tus, Quercus i Pín us, tant a les brolles d' estepes (Cístíon) com al domini de l'a lzinar (Q u ercion ílícis) Surt a la tard or. É s fre qüent.
Lo c. : Llagostera (El Gironès), veïnat de Penedes, 16 0 m, DG 9532, 4-1 2-88 i 2- 1 2-90, plantació d' Eucalyptus, ju ntament amb Hys terangium infla tum i Hydn angium carneum .- Cruïlles, Cal Regidor, 380 m, DG 9738, 19 -11- 88, llistonar amb trèvols prop de Q. su ber i Q. ilex. - Sant Sadurní de l' Heura, Can Masfont, 80 m, DG 97 46, 11 -1- 87, alzinar amb Q. pubescens.- Ib., Molí d'en Frigola, 70 m, DG 9843 , 25- 1 0-90, brolla d' Erica i Cis tus amb Q. suber i P. pinaster. - Ib., Can Puigmiquel, 13 0 m, DG 9844, 10 -11- 87, plantació d' Eucalyptus. - Ib., Les Serres, 120 m, DG 9944, 20- 1 2-86, brolla amb Q. su ber, Q. ilex i P. pinea.- Fonteta, Fitor, La Caborca, 18 0 m, EG 0539, 23-9-84, rierol sota Salix atrocinerea, a la vora d'u na plantació d' Eucalyptus. - Ib., Can Turró, 90 m, EG 0543 , 10 -1- 91, plantació d' Eucalyp tus.
Loc.: Llagostera (El Gironés), veinat de Penedes, 160 m, DG 9532, 4-12-88 i 2-12-90, plantació d'Eucalyptus, juntament amb Hysterangium inflatum i Hydnangium carneum.— Cru'illes, Cal Regidor, 380 m, DG 9738, 19-11-88, llistonar amb trévols prop de Q. suberi Q. ilex.— Sant Sadurní de l'Heura, Can Masfont, 80 m, DG 9746, 11-1-87, alzinar amb Q. pubescens.— Ib., Molí d'en Frigola, 70 m, DG 9843, 25-10-90, brolla d'Erica i Cistus amb Q. suber i P. pinaster.— Ib., Can Puigmiquel, 130 m, DG 9844, 10-11-87, plantació d'Eucalyptus.— Ib., Les Serres, 120 m, DG 9944, 20-12-86, brolla amb Q. suber, Q. ilex i P. pinea.— Fonteta, Fitor, La Caborca, 180 m, EG 0539, 23-9-84, rierol sota Salix atrocinerea, a la vora d'una plantació d'Eucalyptus.— Ib., Can Turró, 90 m, EG 0543, 10-1-91, plantació d'Eucalyptus.
Observacions: Primera citació a Espanya. Suposem que la manca de citacions es deu a la confusió amb S. cepa i S. areolatum, en tenir en compte només la morfologia externa i la mida de les espores. Segons la nostre experiéncia, és una espécie forra freqüent.
Al principi i sense fer cap estudi de les hifes del peridi, l'haviem estat confonent tant amb l'un com amb l'altra. Hi han recol-leccions que presenten el peridi molt prim i aureolat, i que es confonen fácilment amb S. areolatum. D'altres tenen el peridi molt gruixut, dur, i més llis, especialment els que viuen associats amb Eucalyptus, i es poden confondre amb S. cepa, peró solen tenir un pseudopeu calcificat, carácter que no té aquesta última espécie.
Observacions: Primer a citació a Espanya Sup osem que la manca de citacions es deu a la confusió amb S. cepa i S. areola tum, en tenir en com pte només la morfologia externa i la mida de les espor es. Seg ons la nostre experiència, és una espècie força fre qüent . Al principi i sense fer cap estudi de les hifes del peridi, l' haviem estat confonent tant amb l'u n com amb l' altra Hi han rec ol· leccions que pres enten el peridi molt prim i au reola t, i que es confonen fàcilment amb S. areola tum. D'a ltres tenen el peridi molt grui xut, dur, i més llis, especialment els que viuen associa ts amb Eucalyptus, i es poden confondre amb S. cepa, però solen tenir un pseudopeu calcificat, caràcter que no té aq uesta última espècie .
Creiem que s'haurien de revisar les citacions de S. cepa, S. areolatum, i fins i tot les de S. verrucosum.
Creï em que s' haurien de revisar les citacions de S. cepa, S. areola tum, i fins i tot les de S. verrucosum.
Butll. Soc. Catalana Micol. 14 -15 11 3 -13 0 Barcelona 1991

12 5
Scleroderma aff. floridanum Guzmán 1967
Scleroderma aH. f1 0ridanum Gu zman 19 67
Carpófor petit, sub glob ós, de 3.6 cm de diàm etre , sèssil , amb una base miceliar fascic ulada, cu rta, de 1. 5 cm, no calc ifica da. Sup erfície finament felt rada, de color groc, formant petites escames poc apare nts , especialme nt a la part apical Peridi de 1 mm en sec, dur, fàcilment trencadís, amb obertura típicam ent estel ifo rme , formant 10 lacínies força regulars . Part interna del peridi d'un color groc viu.
Carpófor petit, subglobós, de 3.6 cm de diámetre, séssil, amb una base miceliar fasciculada, curta, de 1.5 cm, no calcificada. Superfície finament feltrada, de color groc, formant petites escames poc aparents, especialment a la part apical. Peridi de 1 mm en sec, dur, fácilment trencadís, amb obertura típicament esteliforme, formant 10 lacínies forra regulars. Part interna del peridi d'un color groc viu.
Peridi format per dues capes. Capa externa molt prima, vellutada, formada per hifes de parets primes, hialines o groguenques, molt laxes, septades, de 3-6 tm de diámetre. Capa interna gruixuda, formada per hifes de parets una mica més gruixudes, de 3-8-(11) hialines, disposades en densos feixos entrecreuats, peró desordenadament. No hem observat fíbules. format per hifes hialines, de 3.5-6.25 ptm, molt septat i ramificat. Espores subreticulades-espinoses, de 8.5-12.5-(13.5) pt.m, més les espines molt petites, de 0.5-1-(1.5) tm (figs. 1 d,e).
Peridi format per dues ca pes. Capa externa molt prima, vell utada , formada per hifes de par ets primes, hialines o groguenques, molt laxes, septa des , de 3-6 �m de dià metre . Capa interna gruixuda, formada per hifes de parets una mica més grui xudes, de 3-8-( 11 ) �m, hialines, disposades en den sos feixos entrecreuats, però desord enadament. No hem observat fíbules Cap il· lici format per hifes hialin es, de 3.5 -6.2 5 �m, molt septat i ramificat. Espores su breticu lades -espinos es, de 8.5 -12 .5 -( 13 .5) �m, més les espines molt petites, de 0.5 -1- ( 1. 5) �m (fi gs. 1 d, e) .
Loc.: Sant Sadurní de l'Heura, Can Follia de Muntanya, 140 m, DG 9644, 26-11-86, un sol exemplar, a la vora d'un camí, en una brolla de E. arborea i A. unedo amb Q. ilex i Q. saber, substrat esquistós, leg. J.M. Vidal.
Loc. : Sant Sadurní de l' Heura, Can Follia de Mu ntanya, 14 0 m, DG 9644, 26-11 - 86, un sol exemplar, a la vora d'u n camí, en una brolla de E. arborea i A. unedo amb Q. ilex i Q. su ber, substrat esquistós, leg. J.M. Vidal
Observacions: GUZMÁN (1970) descriu aquesta espécie amb les hifes del peridi fibulades i les parets de les hifes de la capa externa molt gruixudes. El nostre exemplar en difereix per presentar les hifes sense fíbules, almenys aparentment, ja que a vegades s'observa l'inici de ramificacions semblants a fíbules. També difereix per les parets de les hifes de la capa externa del peridi, que són molt primes. La resta de carácters, forma, dehiscéncia, mida de les hifes i espores i ornamentació d'aquestes, concorden perfectament amb la descripció de Guzmán. Esperem efectuar noves recol•leccions per poder assegurar la determinació d'aquest táxon. Scleroderma floridanum és una espécie propera a S. polyrhizum, amb la que havia estat confosa. Es coneix de la costa Est deis Estats Units (Florida), també de la costa Oest (Califórnia), de les Illes Bermudes, de l'Oest d'Austrália i del Sur de la China (Macao).
Observacions: GUZM A N (197 0) descriu aques ta espècie amb les hifes del pe ridi fibulades i les parets de les hifes de la capa ex terna molt gruixud es. El nostre ex emplar en difereix per presentar les hifes sense fíbules , almenys aparentment, ja que a vegades s'o bserva l' inici de ramificacions semblants a fíbules. També difereix per les parets de les hifes de la capa externa del perid i, que són mol t primes. La resta de caràcters , forma, deh iscència, mida de les hifes i espores i ornamen tació d' aquestes, concorden pe rfect amen t amb la descripció de Guzman. Esperem efectuar noves rec ol· lec cions per poder assegurar la determinació d' aquest tàx on. Scleroderma floridanu m és una espècie propera a S. poJyrhizum, amb la que havia estat confos a. Es coneix de la costa Est dels Estats Units (F lori da), també de la costa Oes t (Califòrni a), de les Illes Bermud es, de l' Oes t d' Austràlia i del Sur de la China (M aca o).
Scleroderma meridionale Demoulin & MalenÇon 1971
Scler oderma meridionale Demoulin & Ma lenç on 1971
Háb.: Forma colónies, en sóls silicis. Surt a la tardor, associat a Pinus. Es troba a la línia costanera. Es rar.
Hà b. : Forma colònies, en sòls silicis . Surt a la tardor , associat a Pin us. Es troba a la línia costanera. É s rar.
Loc. : Castell d'A ro, Masnou, 320 m, EG 02 31, 7-1 2-86, en un camí, a la vora de P. pinea .- Calonge, Can Subart, 40 m , EG 0635, 15 -1- 84 i 30-9-84, plantació de P. pinea.
Loc.: Castell d'Aro, Masnou, 320 m, EG 0231, 7-12-86, en un camí, a la vora de P. pinea.— Calonge, Can Subart, 40 m, EG 0635, 15-1-84 i 30-9-84, plantació de P. pinea.
Scleroderma polyrhizum J.F. Gmel.: Pers. 1801
=S. geaster Fr. 1829
Scleroderma polyrhizum J.F. Gme l.: Pe rs. 1801 =S. geaster Fr 18 29
Háb.: Forma colónies, en sóls silicis. Viu a les brolles (Cistion), associat a Pinus, Quercus i Eucalyptus. Surt a la tardor. Es freqüent.
Hà b. : Forma colònies, en sòls silicis Viu a les brolles (Cistio n), associat a Pin us, Quercus i EucaJyptus. Su rt a la tardor. É s freqüent.
Loc. : Santa Cristina d'Aro, Roca de Malvet, 300 m, EG 00 31, 11 - 86, brolla amb Q. su ber i P. pinea.- Castell d'Aro, Masnou, 320 m, EG 02 31, 7- 1 2-86, brolla amb P. pinea.- Calonge, Mas Subart, 40 m, EG 0635, 1- 7-84 i 6- 10 -86, pineda de P. pinea .- Fonteta, Can Turró, 90 m, EG 0543, 10-1- 91, plantació d' Eucalyptus; i en altres llocs i dates.
Loc.: Santa Cristina d'Aro, Roca de Malvet, 300 m, EG 0031, 11-86, brolla amb Q. suben i P. pinea.— Castell d'Aro, Masnou, 320 m, EG 0231, 7-12-86, brolla amb P. pinea.— Calonge, Mas Subart, 40 m, EG 0635, 1-7-84 i 6-10-86, pineda de P. pinea.— Fonteta, Can Turró, 90 m, EG 0543, 10-1-91, plantació d'Eucalyptus; i en altres Ilocs i dates.
Scleroderma ve rruc osum Bul l.: Pers 1801
Scleroderma verrucosum Bull.: Pers. 1801
Hà b. : Forma grups força nombrosos a tot tipus de sòls, però força humí fers. Presenta una ecologia molt àmplia. Viu a les brolles arbrades (Cistion) , a les garrigues (Q uercetum coc cifera e) , a les
Háb.: Forma grups forra nombrosos a tot tipus de sóls, peró forra humífers. Presenta una ecologia molt ámplia. Viu a les brolles arbrades (Cistion), a les garrigues (Quercetum cocciferae), a les
126

Butll. Soc. Catalana Micol. 14-15 11 3 -1 30 Barcelona 1991
Butll. Soc. Catalana Micol. 14-15 113-130 Barcelona 1991
pinedes secundàries {Pinus} o, més freqüentment, als alzin ars {Q u ercion ilicis} i als boscos de ribera {Alno-Padion} Surt a la tard or. É s molt fre qüent.
pinedes secundáries (Pinus) o, més freqüentment, als alzinars (Quercion ilicis) i als boscos de ribera (Alno-Padion). Surt a la tardor. És molt freqüent.
Loc. : Girona (El Gironè s), Can Gullana, 14 0 m, DG 88 47, 25 -11- 85, bosc de ribera amb A. glutinosa i Q. ilex. - Sant Sadurní de l' Heura, Can Follia de Mu ntanya, 140 m, DG 9644, 29 -11-85, entre Pteridium aq uilinu m, sota Q. ilex i Q. su ber. - Ib., Can Masfont, 80 m, DG 9746, 11 -1- 87, alzin ar.- Castell d'Aro, Masnou, 320 m, EG 02 31, 7-1 2-86, brolla amb Q. suber i Q. ilex.- La Bisbal, ctra La Ganga, 12 0 m, EG 0339, 23-9-84, sota Q. ilex.- Torroella de Montgrí, El Mo ntgrí , 90 m, EG 095 7, 14-11- 90, garriga .- Albons, Can Sant Joan, 10 m, EG 0862, 18 -1 1- 86, sota Q. pu bescens i Ulm us minor.- Pals, Els Masos, 65 m, EG 13 47, 21-12 -86, sota Q. ilex i P. halepensis; i en altres llocs i dates_
Loc.: Girona (El Gironés), Can Gullana, 140 m, DG 8847, 25-11-85, bosc de ribera amb A. glutinosa i Q. ilex.— Sant Sadurní de l'Heura, Can Follia de Muntanya, 140 m, DG 9644, 29-11-85, entre Pteridium aquilinum, sota Q. ilex i Q. suber.— Ib., Can Masfont, 80 m, DG 9746, 11-1-87, alzinar.— Castell d'Aro, Masnou, 320 m, EG 0231, 7-12-86, brolla amb Q. suber i Q. ilex.— La Bisbal, ctra. La Ganga, 120 m, EG 0339, 23-9-84, sota Q. ilex.— Torroella de Montgrí, El Montgrí, 90 m, EG 0957, 14-11-90, garriga.— Albons, Can Sant Joan, 10 m, EG 0862, 18-11-86, sota Q. pubescens i Ulmus minor.— Pals, Els Masos, 65 m, EG 1347, 21-12-86, sota Q. ilex i P. halepensis; i en altres llocs i dates.
Observacions: El peridi d'a qu esta espècie es tà constituit per una sola capa d'h ifes de fins a 9 Jlm de dià metre {f ig. 2e}. Una espècie macroscòpicament qua si idèntica és S. areolatum Ehrenb. Es distingeix per la mida de les espores , que són més grans, de 9- 14 Jlm, sens comptar l'or namen tació. Aquesta espècie, típica de contrades més sep tentrio nals , no ha estat trobada al Baix Empor dà. Els ex emplars que en un principi pensavem que ho eren , han resu ltat ser S. fla vidum Ehre nb.
Observacions: El peridi d'aquesta espécie está constituit per una sola capa d'hifes de fins a 9 de diámetre (fig. 2e). Una espécie macroscópicament quasi idéntica és S. areolatum Ehrenb. Es distingeix per la mida de les espores, que són més grans, de 9-14 ptm, sens comptar l'ornamentació. Aquesta espécie, típica de contrades més septentrionals, no ha estat trobada al Baix Empordá. Els exemplars que en un principi pensavem que ho eren, han resultat ser S. flavidum Ehrenb.
Sphaer obolus stellatus To de: Pers. 1801
Sphaerobolus stellatus Tode: Pers. 1801
Hà b. : Forma colònies al damunt de restes lle nyoses caigu des. Es troba arre u. Surt a la tard or. É s força freqüent, especialment en anys humits.
Háb.: Forma colónies al damunt de restes llenyoses caigudes. Es troba arreu. Surt a la tardor. És forra freqüent, especialment en anys humits.
Loc. : Llagostera (El Gironès), riu Ridaura, 150 m, DG 94 26, 25- 10 -87, en un bosc de ribera amb Alnus glutinosa.- Sant Sadurní de l' Heura, Can Rosselló, 10 0 m, DG 9746, 13-1 1- 86, en branquetes de Q. suber.- Ib., Can Vidalet, 10 0 m, DG 9845, 24- 12 -87, en caixes de fusta podrides; i en altres llocs i dat es.
Loc.: Llagostera (El Gironés), riu Ridaura, 150 m, DG 9426, 25-10-87, en un bosc de ribera amb Alnus glutinosa.— Sant Sadurní de l'Heura, Can Rosselló, 100 m, DG 9746, 13-11-86, en branquetes de Q. suber.— Ib., Can Vidalet, 100 m, DG 9845, 24-12-87, en caixes de fusta podrides; i en altres llocs i dates.
Torr endi
Torrendia
a pulchella Bres . 19 02
pulchella Bres. 1902
Hà b. : Forma grups poc nom brosos , en sòls silicis molt colo nitzats per líquens. Viu a les brolles d'e stepes {Cistion} , més o menys arbrades amb Pin us i Quercus. Sur t a principis de tardor . É s rara.
Háb.: Forma grups poc nombrosos, en sóls silicis molt colonitzats per líquens. Viu a les brolles d'estepes (Cistion), més o menys arbrades amb Pinus i Quercus. Surt a principis de tardor. És rara.
Loc. : Cruïll es, Can Cavarroques, 220 m, DG 9443, 14-10 -86 i 22- 10 -87, brolla de C. monspeliensis amb Q. suber i P. pinaster.- Sant Sadurní de l' Heura, Mas Nadal, 200 m, DG 9545 , 30-1 1- 90, brolla de C. monspeliensis i P. pinea.
Loc.: Cru'illes, Can Cavarroques, 220 m, DG 9443, 14-10-86 i 22-10-87, brolla de C. monspeliensis amb Q. suber i P. pinaster.— Sant Sadurní de l'Heura, Mas Nadal, 200 m, DG 9545, 30-11-90, brolla de C. monspeliensis i P. pinea.
Observacions: Primer a citació a Cat alun ya. A Espanya s'ha trobat en diverses ocasio ns, a diferents punts de la seva geografia {CA LONGE, 19 90} . Creiem que un del s motius de la seva aparent raresa és la seva mida reduï da i la ràpida descomposició del carpófor.
Observacions: Primera citació a Catalunya. A Espanya s'ha trobat en diverses ocasions, a diferents punts de la seva geografia (CALONGE, 1990). Creiem que un deis motius de la seva aparent raresa és la seva mida recluida i la rápida descomposició del carpófor.
MALENÇON {1 955} ens dona una extensa i detallada descripció d'a qu esta espècie, així com del seu desenvolupament i filogè nia. Per ico nografi a, vegeu BOLETS DE CAT ALUNY A, làmina 497 {exemp lars de Cruïlle s}.
MALENçON (1955) ens dona una extensa i detallada descripció d'aquesta espécie, així com del seu desenvolupament i filogénia. Per iconografia, vegeu BOLETS DE CATALUNYA, lámina 497 (exemplars de Cruilles).
Tulostoma brumale Pers.: Pers. 1801
Tulostoma brumale Pers .: Pers 1801
Hà b. : Forma colònies nombr os es, a tota mena de sòls, preferent calcar is. Viu en llocs secs i assolel lats , com brolles i lli stonars {Cistion, Rosmarino -Ericion, Th ero-Bra chypodion, }, enmig de gramínies i associat a molses; també a les reradunes {Crucian ellion maritimae }. Surt a finals de tardor. É s mol t freq üent.
Háb.: Forma colónies nombroses, a tota mena de sóls, preferent calcaris. Viu en llocs secs i assolellats, com brolles i llistonars (Cistion, Rosmarino-Ericion,Thero-Brachypodion,...), enmig de gramínies i associat a molses; també a les reradunes (Crucianellion maritimae). Surt a finals de tardor. Es molt freqüent.
Loc. : Santa Cristina d'A ro, Romanyà, Can Pons, 365 m, DG 9932, 26- 1 2-85 , brolla de C. monspeliensis, enmig de mols es.- Sant Sadurní de l' Heura, Can Castelló, 90 m, DG 9746, 14-1 1- 86, olivar abandonat, enmig
Loc.: Santa Cristina d'Aro, Romanyá, Can Pons, 365 m, DG 9932, 26-12-85, brolla de C. monspeliensis, enmig de molses.— Sant Sadurní de l'Heura, Can Castelló, 90 m, DG 9746, 14-11-86, olivar abandonat, enmig

Butll. Soc. Catalana Micol. 14-15 113-130 Barcelona 1991
Butll. Soc. Catalana Micol. 14 -15 11 3- 13 0 Barcelona 19 91 12 7
de molses i gramínies .- Ib., Les Serr es, 12 0 m, DG 9944, 22-1 2-86, brolla de roman í, enmig de mols es.Monells, Campcerdans, 10 0 m, EG 0046 , 15 -1 2-86, camp abandonat, enmig de molses i gramínie s.- Sant Iscle, Els Sorrers, 15 m, EG 0454, 14-1 2-86, dunes interiors fòss ils, enmig de molses .- Torroella de Montgrí, El Mont grí , 60 m, EG 095 7, 14-1 1- 90, garriga degradada, amb C. monspeliensis. - Ib., La Fonolle ra , 5 m, EG 16 50, 21-12 -86, reradun a.
de molses i gramínies.- Ib., Les Serres, 120 m, DG 9944, 22-12-86, brolla de romaní, enmig de molses.Monells, Campcerdans, 100 m, EG 0046, 15-12-86, camp abandonat, enmig de molses i gramínies.- Sant Iscle, Els Sorrers, 15 m, EG 0454, 14-12-86, dunes interiors fóssils, enmig de molses.- Torroella de Montgrí, El Montgrí, 60 m, EG 0957, 14-11-90, garriga degradada, amb C. monspeliensis.- Ib., La Fonollera, 5 m, EG 1650, 21-12-86, reraduna.
Tulo stoma fi mbriatum Fr. 1821 var. fi mbriatu m
Tulostoma fimbriatum Fr. 1821 var. fimbriatum
Hà b. : Forma colònies , en sòls sorrencs, tant àcids com bàsics. Viu a les brolles (Cistion, Rosmarino-Ericion) més o menys arbrades. Surt a la tardor . É s força rar .
Háb.: Forma colónies, en sóls sorrencs, tant ácids com básics. Viu a les brolles (Cistion, Rosmarino-Ericion) més o menys arbrades. Surt a la tardor. És forra rar.
Loc. : Castell d' Aro, Masnou, 80 m, EG 0430, 27 -8-84, brolla de C. monspeJiensis. - Torroella de Montgrí, Les Dunes, 60 m, EG 11 57, 4- 1- 87, pineda sobre dunes .- Pals, Els Masos, Puig de la Guilla, 100 m, EG 15 46, 26-1 2-86 , id. anterior.
Loc.: Castell d'Aro, Masnou, 80 m, EG 0430, 27-8-84, brolla de C. monspeliensis.- Torroella de Montgrí, Les Dunes, 60 m, EG 1157, 4-1-87, pineda sobre dunes.- Pals, Els Masos, Puig de la Guilla, 100 m, EG 1546, 26-12-86, id. anterior.
Ci tacions an teriors: MAR T Í N (1 988) a Foixà.
Citacions anteriors: MARTÍN (1988) a Foixá.
Tulo stoma fi mbriatum Fr. var. heterosporu m Wri ght 19 87
Tulostoma fimbriatum Fr. var. heterosporum Wright 1987
Hà b. : Solitari en sòl sorrenc carbo natat bàs ic. En una brolla de romaní (Rosmarino-Ericion) amb Pin us. A la tardor, molt rar.
Háb.: Solitari en sól sorrenc carbonatat básic. En una brolla de romaní (Rosmarino-Ericion) amb Pinus. A la tardor, molt rar.
Lo c. : Torroella de Montgrí, Les Dunes, 60 m, EG 11 57, 4- 1- 87, pineda sobre dunes .
Loc.: Torroella de Montgrí, Les Dunes, 60 m, EG 1157, 4 -1-87, pineda sobre dunes.
Observacions: Un sol exemplar amb endoperidi de 1 cm i peu de 4.5 x 0.3 cm. Els carácters microscópics concorden perfectament amb la descripció de WRIGHT (1987) i MARTÍN (1990).
Observacions: Un sol exempl ar amb endoperidi de 1 cm i peu de 4.5 X 0.3 cm. Els caràcters microscòpics concorden perfectament amb la descripció de WRIGHT (19 87) i MART Í N (19 90)
Tulo stoma kotlabae Pouzar 19 58
Tulostoma kotlabae Pouzar 1958
Hà b. : Forma colònies, en sòls calc aris , preferentment sorren cs. Viu a les clarianes de les brolles de romaní (Rosmarino -Ericion), més o meny s arbra des. Surt a l'e stiu-tardor. É s rar.
Háb.: Forma colónies, en sóls calcaris, preferentment sorrencs. Viu a les clarianes de les brolles de romaní (Rosmarino-Ericion), més o menys arbrades. Surt a l'estiu-tardor. És rar.
Lo c. : Pals, Els Masos, Puig de la Guilla, 80 m, EG 15 46, 21-12 -86, clariana de Pin us pinea sobre dunes, enmig de C. monspeliensis, C. aJbidus, en sòl molt colonitzat per líquens .- Torroella de Montgrí, Mas Julià, 60 m, EG 12 55, 19-11- 86, id. anteri or.- Sant Sadurní de l' Heura, Can Puigm iquel, 12 0 m, DG 9844, 15 -1 0-90, brolla de Rosmarinus i C. monspeJiensis.
Loc.: Pals, Els Masos, Puig de la Guilla, 80 m, EG 1546, 21-12-86, clariana de Pinus pinea sobre dunes, enmig de C. monspeliensis, C. albidus, en sól molt colonitzat per líquens.- Torroella de Montgrí, Mas Julia, 60 m, EG 1255, 19-11-86, id. anterior.- Sant Sadurní de l'Heura, Can Puigmiquel, 120 m, DG 9844, 15-10-90, brolla de Rosmarinus i C. monspeliensis.
Observacions: Els nostres exem plars responen perfectament a la descripció de POUZAR (19 58) i WRIGHT (19 87), encara que la mida de l'e ndoperidi sigui més gran. L' endoperidi mesura de 0.7 -1- (1. 3) cm, l' estoma és claramen t tubular i el peu està sep arat de la base de l'en doperidi per un collar que fa de 1- 2 mm d'a mplada . A Catalunya es coneix de Banyuls -sur-Mer (DEMOULI N, 1971b ) i de Gavà (MA RT Í N, 19 88) .
Observacions: Els nostres exemplars responen perfectament a la descripció de POUZAR (1958) i WRIGHT (1987), encara que la mida de l'endoperidi sigui més gran. L'endoperidi mesura de 0.7-1-(1.3) cm, l'estoma és clarament tubular i el peu está separat de la base de l'endoperidi per un collar que fa de 1-2 mm d'amplada. A Catalunya es coneix de Banyuls-sur-Mer (DEMOULIN, 1971b) i de Gavá (MARTÍN, 1988).
Vascellum pratense (Pers.: Pers.) Kreisel 1962 =Lycoperdon hiemale Vitt. 1842 =L. depressum Bonord. 1859
Vas cellum pratense (Pers .: Pers .) Kreisel 19 62 =Lycoperdon hiemaJe Vitt. 18 42 =L. depressum Bon ord. 18 59
Hà b. : Forma grups , a tota mena de sò ls. Viu en prats secs i lli stonars (Thero-Bra chypodion), camps d' userda , lloc s her bosos a les brolles d' estepes (Cistion), etc . Su rt a la tardor, és freqüent.
Háb.: Forma grups, a tota mena de sóls. Viu en prats secs i llistonars (Thero-Brachypodion), camps d'userda, llocs herbosos a les brolles d'estepes (Cistion), etc. Surt a la tardor, és freqüent.
Loc.: Madremanya (El Gironés), ctra. dels Angels, 150 m, DG 9548, 8-12-86, prat sec amb Trifolium.- Sant Sadurní de l'Heura, Banyeres, Can Boigues, 110 m, DG 9744, 26-11-86, brolla de C. monspeliensis.Platja d'Aro, Masnou, 320 m, EG 0231, 7-12-86, brolla de C. monspeliensis i Q. suber.- CruTlles, Sant Joan, 80 m, EG 0044, 6-10-84, cultiu de Medicago sativa; i en altres llocs i dates.
Loc. : Madremanya (El Gironè s), ctra. dels Angels, 15 0 m, DG 9548 , 8- 1 2-86, prat sec amb Tri!olium .- Sant Sadurní de l' Heura, Banyeres, Can Boï gues, 11 0 m, DG 97 44, 26 -11- 86, brolla de C. monspeJiensis.Platj a d'A ro, Masnou, 320 m, EG 02 31, 7-1 2-86, brolla de C. monspeJiensis i Q. su ber. - Cruïlles, Sant Joan, 80 m, EG 0044, 6-1 0-84, cultiu de Medicago sativa; i en altres llocs i dat es.



Butll. Soc. Ca ta}ana Mico}. 14·15 11 3· 13 0
Butll. Soc. Catalana Micol. 14-15 113-130


Butll. Soc. Catalana Micol. 14-15 113-130


13 0

Bu tll. Soc. Catalana Micol. 14-15 11 3- 13 0 Barcelona 1991
Butll. Soc. Catalana Micol. 14-15 113-130 Barcelona 1991
BIBLIOGRAFÍA
BIBLIOGRAFÍA
CALONGE, F.D. (19 89): Adiciones al catalogo de los gasteromicetes de España. I. Registro de nuevas especies: Geastrum pseu dolim batum Hollós y Mycocalia duria eana (Tu\ .) Palmer. Bol. Soc. Micol. Madrid 14: 20 1- 203.
CALONGE, F.D. (1989): Adiciones al catálogo de los gasteromicetes de España. I. Registro de nuevas especies: Geastrum pseudolimbatum Hollós y Mycocalia duriaeana (Tul.) Palmer. Bol. Soc. Micol. Madrid 14: 201-203.
CALONGE, F.D. (19 90): Check-List of the Spanish Gasteromycetes (Fungi, Basidiomycot ina) . Cryp t. Bot. 2: 33-55.
CALONGE, F.D. (1990): Check-List of the Spanish Gasteromycetes (Fungi, Basidiomycotina). Crypt. Bot. 2: 33-55.
CALONGE, F.D. & V. DEMOULlN (19 75): Les Gasteromycètes d'Espagne. Bull. Soc. Mycol. Fra nce 91( 2}: 247-292.
CALONGE, F.D. & V. DEMOULIN (1975): Les Gasteromycétes d'Espagne. Bull. Soc. Mycol. France 91(2): 247-292.
CALONGE, F.D. & R. ZARCO (19 88): Ileodictyon gracile Berk. (Gasteromy cetes), nuevo para el catalogo micológico españo\. Bol. Soc. Micol. Madrid 13: 171-17 4.
CALONGE, F.D. & R. ZARCO (1988): Ileodictyon gracile Berk. (Gasteromycetes), nuevo para el catálogo micológico español. Bol. Soc. Micol. Madrid 13: 171-174.
CETTO, B. (19 89): I funghi dal vero. Vo\ 6.° Ed. Saturnia. Trento
CETTO, B. (1989): I funghi dal yero. Vol. 6.° Ed. Saturnia. Trento.
COCCIA, M., V. MI GL lOZZI & c. LAVO RATO (19 90) : Studio sui genere Scleroderma Persoon Boll. AMER 20-2 1: 3-59.
COCCIA, M., V. MIGLIOZZI & C. LAVORATO (1990): Studio sul genere Scleroderma Persoon. Boll. AMER 20-21: 3-59.
CODINA, J. (19 32): Contribució a l' estudi dels macromicets de Catalunya. Ca van illesia 5: 31-35.
CODINA, J. (1932): Contribució a l'estudi dels macromicets de Catalunya. Cavanillesia 5: 31-35.
CODINA , J. i P. FONT I QUER (19 31): Introducció l' estudi dels macromicets de Catalunya. Cavanillesia 3: 10 0- 189.
CODINA, J. i P. FONT I QUER (1931): Introducció l'estudi dels macromicets de Catalunya. Cavanillesia 3: 100-189.
DEMOUL lN, V. (1971a ): Le genre Lycoperdon en Europe et en Amérique du Nord. Etude et phytogéographique. Tési. Universitat de Liège.
DEMOULIN, V. (1971a): Le genre Lycoperdon en Europe et en Amérique du Nord. Etude taxonomique et phytogéographique. Tési. Universitat de Liége.
DEMOU LlN, V. (1971b ): Un Tulostoma (Gastéromycètes) nouveau pour la France: T. kotla ba e Pouzar dans les Pyrénées-Orientales. Vie et Milieu, Sér. C: Biologie Terrestre 21( 1- C} : 115 -12 0.
DEMOULIN, V. (1971b): Un Tulostoma (Gastéromycétes) nouveau pour la France: T. kotlabae Pouzar dans les Pyrénées-Orientales. Vie et Milieu, Sér. C: Biologie Terrestre 21(1-C): 115-120.
GUZM A N, G. (1 970): Monografía del género Scleroderma. Darwiniana 16: 234-40 7.
GUZMÁN, G. (1970): Monografía del género Scleroderma. Darwiniana 16: 234-407.
HEIM, R. (1 934) : Fungi Iberici. Observations sur la flore mycologique catalane. Treb. Mus. Ciènc. Nat. Barcelona, Sér. Bot. 15 (3} : 1-14 6.
HEIM, R. (1934): Fungi Iberici. Observations sur la flore mycologique catalane. Treb. Mus. Ciénc. Nat. Barcelona, Sér. Bot. 15(3): 1-146.
JEPPSON, M. (19 84) : S¡¿¡klet Lycoperdon i Sverige. Sveriges Mykologiske Forening. Stock holm.
JEPPSON, M. (19 87): Notes on some Spanish Gasteromycete s. Bol. Soc. Micol. Madrid 11 ( 2}: 267 -282
JEPPSON, M. (1984): Sláklet Lycoperdon i Sverige. Sveriges Mykologiske Fórening. Stockholm. JEPPSON, M. (1987): Notes on some Spanish Gasteromycetes. Bol. Soc. Micol. Madrid 11(2): 267-282.
J Ü LlCH, W. (1 989) : Guida alla determinazione dei funghi. Vol. 2. Aphyllophorales. Heteroba sidiomycetes. Gastromycetes. Ed. Saturnia. Trento.
JULICH, W. (1989): Cuida alla determinazione dei funghi. Vol. 2. Aphyllophorales. Heterobasidiomycetes. Gastromycetes. Ed. Saturnia. Trento.
LIU, B. (1984): The Gasteromycetes of China. J. Cramer. Vaduz.
llU, B. (19 84): The Gasteromycetes of China. J. Cramer. Vaduz.
LLIMONA, X. (1984): Sobre fongs de primavera a Catalunya. Butll. Soc. Cat. Micol. 7: 33-45.
LLIMONA, X. (1 984) : Sobre fongs de primavera a Catalunya Bu tll. Soc. Cat. Micol. 7: 33-45.
MAIRE, R. (19 37): Fungi Catalaunici. Series altera. Contribution à l' ètude de la Flore Mycologique de la Catalogne. Publ. Inst. Bot. Barcelona 3(4} : 1-12 8.
MAIRE, R. (1937): Fungi Catalaunici. Series altera. Contribution á l'étude de la Flore Mycologique de la Catalogne. Publ. Inst. Bot. Barcelona 3(4): 1-128.
MALENÇON, G. (19 55): Le développement de Torrendia pulch ella Bres. et son morphogenétique. Rev. Mycol. 20(2}: 81- 130.
MALENçON, G. (1955): Le développement de Torrendia pulchella Bres. et son importance morphogenétique. Rev. Mycol. 20(2): 81-130.
MAR CHAND , A (1 976): Champign ons du Nord et du Midi. Vol. 4. Ed. Hachette. Paris.
MARCHAND, A. (1976): Champignons du Nord et du Midi. Vol. 4. Ed. Hachette. Paris.
MAR T Í N, M.P. (1988): Aportación al conocimiento de las Higrofonkeas y los Gasteromicetes de Cataluñ a. Ed. Esp . Soc. Catalana de Mico\. Vo\. 2. Esplugu es.
MARTIN, M.P. (1988): Aportación al conocimiento de las Higroforáceas y los Gasteromicetes de Cataluña. Ed. Esp. Soc. Catalana de Micol. Vol. 2. Esplugues.
MART Í N , M.P (1 990) : Notas sobre gasteromicetes I: Tulostoma fim briatum Fr. var. he terosporum J.E. Wright Bu tll. Soc. Catalana Micol. 13: 61 -65
MARTIN, M.P. (1990): Notas sobre gasteromicetes I: Tulostoma fimbriatum Fr. var. heterosporum J.E. Wright. Butll. Soc. Catalana Micol. 13: 61-65.
MART Í N, M.P. & J .M. VIDAL (19 91): Aportación al catalogo de los gasteromicetes de Catal uña. Bu tll. Soc. Catalana Micol. 14-15: 19 5-203
MARTIN, M.P. & J.M. VIDAL (1991): Aportación al catálogo de los gasteromicetes de Cataluña. Butll. Soc. Catalana Micol. 14-15: 195-203.
ORTEGA, A. & A.G. BUENDÍA (1989): Estudio del complejo Bovista aestivalis (Bon.) Demoulin — B. pusilla (Batsch) Pers. sensu Kreisel en España. Crypt. Mycol. 10(1): 9-18.
ORTEGA, A & A G. BUEND Í A (19 89): Estudio del complejo Bo vista aestivalis (Bon .) Demoulin - B. pu silla (Batsch) Pers. sensu Kreisel en Espa ña. Cryp t. Mycol. 10(1}: 9- 18.
ORTEGA, A., A.G. BUENDÍA & F.D. CALONGE (1985): Estudio de algunas especies interesantes del género Lycoperdon (Gasteromycetes) en España. Bol. Soc. Micol. Castellana 9: 141-148.
ORTEGA, A, AG. BUEND Í A & F.D. CALONGE (19 85) : Estudio de algunas especies interesantes del género Lycoperdon (Gasteromycetes) en Espa ña. Bol. Soc. Micol. Castellana 9: 141-148.
POUZAR, Z. (19 58): Rod Tulostoma Pers. ex Pers .- Palecka. In: Flora CSR, Ser. B, 1: 589-6 13.
POUZAR, Z. (1958): Rod Tulostoma Pers. ex Pers.— Palecka. In: Flora CSR, Ser. B, 1: 589-613.
WRIGHT, J.E. (19 87): The genus Tulostoma (Gasteromycetes). A World Monograph. J. Cramer. Stuttgart.
WRIGHT, J.E. (1987): The genus Tulostoma (Gasteromycetes). A World Monograph. J. Cramer. Stuttgart.
Bu tll. Soc. Catalana Micol. 14 -15 131-142 Barcelona 1991

ALGUNOS HONGOS HIPOGEOS (ASCOMYCOTINA Y BASIDIOMYCOTINA) INTERESANTES PARA LA MICOFLORA ESPAÑOLA
ALGUNOS HONGOS HIPOGEOS (ASCOMYCOTINA Y BASIDIOMYCOTINA) INTERESANTES
PARA LA MICOFLORA ESPAÑOLA
Josep M. Vidal*, August Rocabruna** y Manuel Tabarés*** * Massaballs, 10. 17118-Sant Sadurní de l'Heura. Girona. ** Gran Via 111, átic 1r. 08330-Premió de Mar. Barcelona. *** Coll de Portell, 44 bajos. 08024-Barcelona.
Josep M. Vidal", Aug ust Rocabruna .... y Manuel Tabarés ...... .. Ma ssabal ls, 10. 17 11 8 -San t Sad urní de l' Heura . Girona . .... Gran Via 111 , àtic 1r. 083 30-Premià de Mar. Barcelona ...... Coll de Por tell, 44 bajos. 0802 4-Barcelona .
RESUMEN
RESUMEN
Se describen e il ustran al microscopio óptico, 11 es pecies de hongos hipogeos recol ectados en di versos pun tos de la geografía española, de los cuales Elaphomyces anthracinus Vitt ., Genabea fragilis L. & Ch. Tu l., Genea lespiaultii Corda, Hydn ocystis piligera L. & Ch. Tu l., Tuber asa L. & Ch. Tul ., T. macu latum Vitt ., Alpova rubescens (Vitt .) Trappe y Melan ogaster ma crosporus VeIe n., son nu evos para España .
Se describen e ilustran al microscopio óptico, 11 especies de hongos hipogeos recolectados en diversos puntos de la geografía española, de los cuales Elaphomyces anthracinus Vitt., Genabea fragilis L. & Ch. Tul., Genea lespiaultii Corda, Hydnocystis piligera L. & Ch. Tul., Tuber asa L. & Ch. Tul., T. maculatum Vitt., Alpova rubescens (Vitt.) Trappe y Melanogaster macrosporus Velen., son nuevos para España.
SUMMARY
SUMMARY
Some interesting hypogeous fungi (Ascomycotina and Basidiomycotina) of the Spanish flora.— In this paper 11 species of hypogeous fungi are described and illustrated after luminic microscopy. Some of them are new to Spain, namely: Elaphomyces anthracinus Vitt., Genabea fragilis L. & Ch. Tul., Genea lespiaultii Corda, Hydnocystis piligera L. & Ch. Tul., Tuber asa L. & Ch. Tul., T. maculatum Vitt., Alpova rubescens (Vitt.) Trappe and Melanogaster macrosporus Velen.
Some interes ting hypogeous fungi (A scomycotina and Basidiomycotina) of the Spanish flora.In this paper 11 species of hypogeous fungi are desc ribed and illustrated after lum inic microscopy . Some of them are new to Spain, name ly: Elaphomyces anthracinus Vitt., Genabea fragilis L. & Ch. Tul ., Genea lespiaultii Corda, Hydnocystis piligera L. & eh. Tu l., Tuber asa L. & Ch. Tu l., T. maculatum Vitt ., Alpova rubescens (Vitt .) Trappe and Mela nogaster ma crosporus Velen.
INTRODUCCIÓN
INTRODUCCIÓN
Presentamos 11 hongos hipogeos (6 ascomicetes y 5 basidiomicetes) resultado de la búsqueda sistemática que han realizado los autores desde otoño de 1990 a verano de 1991 en diferentes puntos de Cataluña, y de hallazgos casuales que han realizado varios colaboradores en otras regiones (Andorra, Baleares y Castilla).
Presentamos 11 hongos hipogeos (6 ascomicetes y 5 basidiomicetes) resultado de la búsqueda sistem a tica que han realiza d o l os autores desde otoño de 19 90 a verano de 19 91 en diferentes pun tos de Cata luña, y de hallazgos casuales que han realizado varios colaboradores en otras regiones (And orra, Baleares y Castill a)
En nuestro país son muy pocas las prospecciones sistemáticas realizadas en busca de hipo-
En nue stro país son muy pocas las prospecciones sistematicas realizadas en bu sca de hipo-
2

Butll. Soc. Catalana Micol. 14 -15 131- 14 2
1991 • SANT JOAN DE LES ABADESSES

MACANET DE CA
SANT JOAN DE LES ABADESSES
LES PLANES
ESPINELVES • VILADRAU •
ESPIN ELVES . VILADRAU .
FOGÁS DE MONTCLÚS •
FOGÀS DE MONT CLÚS .
DOSRIUS . • LES PLANES O
DOSRIUS •
VALLVIDRERA • SANT JUST DESVERN • ARCELONA
VALLVIDRERA • SANT JUST DESVERN . O ARCELONA