Artificial Intelligence for Healthcare
From Patient Twinning to Precision Therapy
Dr. Oliver Frings Head of Computational Modeling
Siemens Healthineers



Dr. Oliver Frings Head of Computational Modeling
Siemens Healthineers
Princeton, NJ USA
Germany
Edmonton,
Population growth by 2050 (in billions of people)1
Increased number of individuals demand access to high quality healthcare.
Global medical staff shortage
Computational Power Internet connectivity
The world will be short of 18 million healthcare workers by 2030.2
Computing power continues to develop exponentially (Moore’s law).
Information exchange bandwidth increases exponentially (Nielsen’s Law).
The level of automation will continuously increase by means of AI-powered virtual and physical robots to support healthcare professionals and ultimately patients and healthy individuals.
1 United Nations: https://www.prb.org/2020-world-population-data-sheet/#:~:text=The%202020%20Data%20Sheet%20identifies,2020%20population %20of%207.8%20billion, viewed April 19, 2021; https://population.un.org/wpp/Publications/Files/WPP2019-Wallchart.pdf, viewed April 19, 2021
2 WHO: https://www.who.int/health-topics/health-workforce#tab=tab_1 viewed April 23, 2021
PROCESSING POWER | ½ EXAFLOP AI COMPUTE STORAGE CAPACITY | 30 PB STORAGE (6 PB all-flash) NETWORK PERFORMANCE | 100 Gbps EDR INFINIBAND SUSTAINABILITY | 100% RENEWABLE ELECTRICITY (Solar, Wind)
30 M CT Scans with 3D camera per year
Choice
Conventional Deep Resolve
Deep Resolve is our AI-powered image reconstruction technology for MRI
• Enabling faster acquisitions, increased clinical productivity and better patient experience
• Increased image quality and resolution
• Reduced energy consumption per acquisition 2x
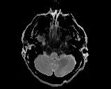
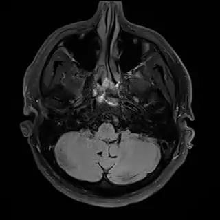
- Abnormality detection, acute infarction, acute hemorrhage, mass effect
Sagittal T1W, FLAIR, TraceW, & ADC
Processing mpMRI data after repositioning via landmarks & skull stripping
AI system
Trained on 25,000 MRI studies
Oncology risk prediction Brain tumor and mets
Lung cancer screening Chest CT Pulmonary lesions – Chest X-Ray
Supports 200+ organs at risk + clinical target volumes. 1000+ sites, 1.2M cancer patients / year
• Includes lymph node stations in Pelvic, Head & Neck, and Breast Cancer
• 82% time savings
Longitudinal patient view
Reporting Virtual
Research
What if we could create a digital twin of the patient’s heart?
• Multiscale, Personalized Physiological Model of the patient’s heart
• Anatomy, Electrophysiology, Biomechanics (muscle contraction ), Circulation (ejection fraction, pressure dynamics)
• Mechanistic and statistical modeling
• Model is under our control
• Potential to test and prescribe best therapy for the patient – e.g., Cardiac Resynchronization Therapy
Ventricular Tachycardia Atrial Fibrillation Dyssynchrony – Heart Failure
Identify the ablation targets that will effectively terminate persistence AF? Identify the minimal ablation targets (catheter, RT) that will effectively terminate VT?
1 Lluch et al, "Is Personalized Computational Model of Atrial Fibrillation Really Personalized?“, AHA 2021
Cardiac radioablation –focus radiation using localization of VT exit
Anticipate the effects of CRT on patient’s cardiac function from preoperative data?
2 Meister et al, “Extrapolation of ventricular activation times from sparse electro anatomical data using graph convolutional neural networks”, Frontiers in Physiology-Computational Physiology and Medicine 2021
3 Neumann et al, “A self-taught artificial agent for multi-physics computational model personalization, MIA, 2016
We build agents that learn to play strategy to achieve user specified KPIs under dynamic conditions
• Virtual Modeling of Hospital
• Exa-Scale Simulation
• Multi-Agent Training
• Run-Time Deployment Actions, Control Real World Virtual World Field Data Agents
Real World
We build agents that learn to play strategy to achieve user specified KPIs under dynamic conditions
Next steps
− Large portfolio of AI-based solutions already in clinical use
− Automatic image evaluation for more precise diagnosis
− Personalized therapy planning and risk prediction
− Automation of clinical workflows
− Organ level twins – mimic individual parts of the body Challenges Data integration, standardization and maintenance
Implementation into clinical workflows
Patients’ access to data and right to decide about usage