Issue 192- Dr. Robert Martino

Page 1


DR. ROBERT MARTINO: REVOLUTIONIZING ORAL HEALTH AND BEYOND

PG 42 FROM RADIOLOGY TO REJUVENATION: DR. LINDA HARKAVY'S PASSIONATE PURSUIT OF WELLNESS

UNLOCKING THE BODY'S INNATE HEALING: A CONVERSATION WITH DR. KERI FRANCL

PG 16

PG 54

“We didn’t just create a product to sell; we developed beneficial, research-backed products for dentists to use and recommend. Our goal is to help dental professionals understand the importance of rinsing in every patient’s home care routine. It’s a simple step that can resolve many periodontal issues and even ease the oral side effects of radiation and chemotherapy.”

Publisher: John Highland

Editor In Chief: Hannah H.

Graphic Designer: Laura Poyner

Contributing Authors: Ocean Eagle, Evelyn Flaharty, Riley George, Michele Hughes

EXECUTIVE TEAM

Vice President of Development: Mark Carvalho

Business Director: Rob Fletcher

Fractional Marketing Officer: Craig Handley

Advisory Board: Dr. Ken Davis

Executive Assistant: Michelle Richardson

CONTRIBUTORS MAGAZINE PUBLICATION TEAM

A LETTER FROM THE EDITOR

Our mission and purpose at TopDoctor Magazine is to foster connections within the health and wellness community and empower our readers to make wellinformed healthcare and lifestyle decisions. We pride ourselves on being the ultimate resource for interviews with health and wellness leaders, trending medical news, and healthy living topics.

We understand that choosing a healthcare provider is a crucial decision. Our in-depth interviews with esteemed doctors and medical professionals aim to bridge the gap between them and their clients. By providing our readers with personal insights, philosophies, and areas of expertise, we facilitate a deeper understanding of the individuals responsible for your health and well- being. We also strive to highlight our outstanding practitioners, showcasing their dedication to their patients and contributions to the medical community.

The field of medicine is constantly evolving, with new practices, therapies, and technologies emerging at a rapid pace. At TopDoctor Magazine, we strive to keep you updated on the latest advancements in the medical world. Our comprehensive coverage of trending medical news equips both doctors and patients with the knowledge they need to make informed choices about healthcare options.

Building strong connections within the medical community is essential for enhancing patient care and driving medical progress. Our magazine serves as a bridge, connecting medical companies with doctors and vice versa. By facilitating these connections, we aim to catalyze collaborations that can lead to innovative solutions and improved healthcare outcomes for everyone.

It is our firm belief that well-informed individuals make better decisions about their health. By providing you with insights into established and emerging medical trends and technologies, we empower you to take an active role in your healthcare choices. Whether you are a healthcare professional seeking to stay updated on the latest advancements or a patient eager to make informed decisions about your well-being, TopDoctor Magazine is here to support you.

In every issue, we strive to uphold the highest standards of journalistic integrity, accuracy, and relevance. Our dedicated team of writers, editors, and medical experts work tirelessly to bring you well-researched and compelling content that is both educational and engaging. Moreover, our graphic design team is committed to delivering an aesthetically pleasing reading experience where captivating design seamlessly merges with informative content, ensuring each issue becomes an engaging journey of discovery.

As we embark on this mission to serve as your trusted source of medical information and insights, we encourage you to join us on this exciting journey. Your feedback and suggestions are invaluable to us, and we look forward to hearing from you.

Thank you for being a part of the TopDoctor Magazine community. Together, let us embrace knowledge, forge connections, and make informed decisions to lead healthier lives.

With warmest regards, Hannah

TABLE OF CONTENTS

08 16 28 42 54 64 72

A NEW FRONTIER IN BRAIN HEALTH: AN INTERVIEW WITH DR. DAYAN GOODENOWE

UNLOCKING THE BODY'S INNATE

HEALING: A CONVERSATION WITH DR. KERI FRANCL

COLLAGEN FOR HEALTHY YOUNGER LOOKING SKIN

DR. ROBERT MARTINO: REVOLUTIONIZING ORAL HEALTH AND BEYOND

FROM RADIOLOGY TO REJUVENATION: DR. LINDA

HARKAVY'S PASSIONATE PURSUIT OF WELLNESS

GRATITUDE AND ITS BENEFITS

HOW CAN SETTING BOUNDARIES

REGULATE YOUR PARASYMPATHETIC NERVOUS SYSTEM?

AGELESS TIMELESS AND

A NEW FRONTIER IN BRAIN HEALTH

AN INTERVIEW WITH DR. DAYAN GOODENOWE

Dr. Dayan Goodenowe doesn’t just study the brain to document its decline with aging—he reimagines its potential for sustained function and growth. Improving human healthspan begins with maintaining and optimizing brain structure and function. As a pioneering neuroscientist and biochemist, he has dedicated his career to understanding how neurodegeneration starts at the molecular level and how it can be prevented, slowed, or even reversed. His research into plasmalogens—essential lipids in the brain—focuses on how neurodegeneration originates at the molecular level and how it can be addressed effectively. His research positions plasmalogens, essential lipids, as critical in protecting brain cells and neuronal communication.

“The real question isn’t why some people get diseases like

TIMELESS

Alzheimer’s, but why some never do,” said Dr. Goodenowe. “Clearly, maintaining brain health is possible; the challenge is delivering it systematically to everyone. The answer lies in supporting and maintaining the brain's biochemical environment.”

BEYOND THE BRAIN: THE BIOENERGETICS REVOLUTION

Dr. Goodenowe’s research emphasizes bioenergetics—the energy metabolism critical to brain health. “When the brain’s energy capacity decreases or it becomes deficient in critical building blocks, it begins to fail. The most obvious signs are brain shrinkage and reduced function, manifesting as dementia or movement disorders,” he explained.

Recent studies indicate that patients receiving targeted plasmalogen supplementation exhibit notable improvements in memory, cognition, and overall brain performance. Although still emerging, this approach has the potential to redefine the treatment of age-related neurological decline.

HOW EXERCISE, NUTRITION, AND LIFESTYLE IMPACT BRAIN AGING

Dr. Goodenowe advocates a holistic approach to brain health, emphasizing lifestyle as crucial to cognitive resilience.

Exercise: “Resistance training isn’t just for muscles—it’s for your brain,” he said. “Strength training supports brain health significantly.”

Nutrition: Dr. Goodenowe emphasized the importance of healthy fats, antioxidants, and targeted supplementation. “The brain is 60% fat. Without the proper building blocks, optimal function isn’t possible,” he noted. He advocates diets rich in omega-3 and omega-9 fatty acids, phospholipids, and antioxidants to maintain and enhance brain health.

Lifestyle: “Optimizing sleep, managing cortisol levels, and reducing environmental toxins can significantly enhance cognitive longevity,” he explained.

CHALLENGING THE STATUS QUO IN NEUROSCIENCE

Despite promising research breakthroughs, Dr. Goodenowe acknowledged the difficulty in shifting conventional medical thinking. “The medical community typically focuses on disease reduction, not necessarily health optimization,” he noted. “To scientifically achieve health, we need objective measurements and evidence-based protocols.” He advocates using advanced mass spectrometry and neuroimaging to accurately measure brain health, enabling personalized, scientifically validated health strategies.

WHAT’S NEXT FOR DR. GOODENOWE?

Interest in Dr. Goodenowe’s research is growing among scientists, healthcare professionals, and biohackers. His next steps involve expanding research into new applications of plasmalogens and neuroprotective interventions. “By

understanding and influencing brain chemistry effectively, we have the potential to extend not just lifespan, but healthspan,” he said.

CONCLUSION: A VISION FOR THE FUTURE OF BRAIN HEALTH

Dr. Dayan Goodenowe is revolutionizing our understanding of brain aging, empowering individuals to control their cognitive futures. As more studies validate his findings, his discoveries could significantly shape neurological care. As he often emphasizes: “The brain isn’t just an organ—it’s an ecosystem. When you understand the chemistry of that ecosystem, you can influence it in ways we never thought possible.”

ABOUT DR. DAYAN GOODENOWE:

Dr. Dayan Goodenowe is a PhD neuroscientist, biochemist, synthetic organic chemist, inventor, and clinical research expert. In 1999, he invented and patented a revolutionary ion cyclotron resonance mass spectrometry technology, making it possible to comprehensively monitor human biochemistry for the first time in history.

Using this advanced technology, Dr. Goodenowe analyzed blood samples from tens of thousands of individuals of all ages, diverse racial backgrounds, and multiple countries. The biochemistry of healthy persons was compared to that of persons suffering from disease. A diverse range of over 20 diseases, from autism to dementia and from colon cancer to heart disease, was studied. The biochemistry of young versus old and all-cause mortality was studied. This research led to his discovery that early mortality and each human disease has a biochemical prodrome.

Michele Hughes is the visionary founder of Ageless and Timeless and the dynamic host of the Ageless and Timeless podcast. As a monthly contributor to Top Doctor Magazine, she offers powerful insights on wellness, longevity, and living fully at every stage of life. With a deep passion for health and vitality, and serving as a role model for timeless elegance, Michele empowers audiences to embrace their highest potential and live with purpose and grace. Michele's podcast, Ageless and Timeless, was one of 20 Inaugural Podcasts

selected for the Muscle and Fitness Plus platform, which began in 2023.

For more information, please reach out to express interest in being a potential guest on the Ageless and Timeless podcast or to be featured in the Top Doctor Magazine Ageless and Timeless column with Michele Hughes. For podcast collaborations or to have Michele Hughes on your show, please contact her at:

Email: themichelehughescompany@gmail.com

Website: www.agelessandtimeless.com

Instagram: @agelessandimeless

LinkedIn: https://www.linkedin.com/in/michele-hughes83a3b935/

Facebook: https://www.facebook.com/michele.hughes.186

Ageless and Timeless podcast, on YouTube, iTunes, Spotify, and wherever podcasts are available.

1,500 PARTICIPANTS: HEALTH & WELLNESS EN

35+ TOP SPEAKERS: INTEGRATIVE MEDICINE D

35+ EXHIBITORS: LONGEVITY TECH & ECO-PRO

15+ EXPERIENCES: HEALING & SPIRITUAL PRA

UNLOCKING THE BODY’S INNATE HEALING

A CONVERSATION WITH DR. KERI FRANCL

In a world increasingly reliant on conventional medicine, Dr. Keri Francl stands out as a passionate advocate for natural healing. As a board-certified Doctor of Natural Medicine and the driving force behind Alternative Answers, Dr. Francl dedicates her practice to uncovering the root causes of illness and empowering individuals to reclaim their health through holistic approaches. Her deeply personal and profoundly impactful journey has led her to help countless patients, including her own daughter, achieve remarkable transformations.

ROOTS IN RURAL NEBRASKA AND A JOURNEY TO NATURAL MEDICINE

Dr. Keri Francl’s story begins in the small town of Cairo, Nebraska, a community of just 700 people. Her path to becoming a Doctor of Natural Medicine was deliberate and embarked upon later in life. She pursued her education online through the University of Natural Medicine, earning her Bachelor’s in Nutrition before continuing on to achieve her Doctorate in Natural Medicine. Her credentials were further solidified by becoming board-certified through the American Naturopathic Association.

The practice she took over, Alternative Answers, actually has a rich history rooted in family.

“Alternative Answers was actually my mother-in-law’s business,” Dr. Francl revealed. “She ran this business out of her home for years.”

Her mother-in-law’s practice focused on homeopathy and herbs, with people directly seeking guidance at her residence. Dr. Francl took over the business in 2015, marking a decade of dedication to natural healing.

A LIFELONG CALLING: THE PATH TO NATUROPATHIC MEDICINE

Dr. Francl’s decision to become a naturopathic doctor was deeply influenced by her own health experiences, stretching back to her childhood. She suffered from chronic sinus issues, for which antibiotics offered little relief. This led her parents to a chiropractor who introduced them to nutrition principles and holistic health.

“He helped my healing process and became our doctor from then on out,” she recalled, highlighting the profound impact this early exposure had on her family’s approach to well-being.

Another pivotal moment occurred about 15 years ago when a tick bite led to severe, debilitating joint and muscle pain. Her mother-in-law, still running Alternative Answers from home at the time, employed muscle testing and homeopathic remedies to address what they suspected was Lyme disease.

“I started using the DesBio homeopathic kit geared towards addressing deeper stealth pathogens to address the suspected Lyme disease. Within the first vial that I took, all my symptoms were gone,” Dr. Francl recounted, emphasizing the speed and effectiveness of the treatment. This experience solidified her belief in natural medicine, which had already been ingrained in her since childhood.

Her passion intensified as she pursued her doctoral degree, continuing her education.

“Because homeopathy, herbal solutions, and a focus on nutrition helped fuel healing in my own body, it became a passion of mine. Furthering my education after dealing with my Lyme disease diagnosis is really what led me to pursue holistic wellness solutions and become a natural medicine doctor,” she explained.

A DAUGHTER’S HEALING JOURNEY: A TESTAMENT TO NATURAL MEDICINE

One of Dr. Francl’s most compelling success stories involves her own daughter. Her daughter experienced low energy, mental health struggles, and fatigue, particularly during her college years. Dr. Francl conducted comprehensive lab work and discovered her daughter had Hashimoto’s thyroiditis, an autoimmune disease that can significantly impact mental status and energy levels.

Their approach involved a multi-faceted strategy.

“We started working on her diet and lifestyle and employed several herbal therapies, along with a detox to drain toxins from her body,” Dr. Fancl shared.

More recently, they incorporated healing peptides, which yielded remarkable results.

“We ran her labs with her antibodies before she used peptides and then after. The results showed her antibodies were at high levels within the 4,000 range before she started. When we re-ran them three months after using those healing peptides, her antibody levels had lowered into the 400 range. That was a notable improvement,” she said.

This significant reduction in antibody levels, coupled with improved well-being, underscored the power of this integrative approach.

THE THREE PILLARS OF ALTERNATIVE ANSWERS: LABS, MUSCLE TESTING, AND BIO-ENERGETIC SCANS

At Alternative Answers, Dr. Francl employs a comprehensive, three-pronged approach to patient care, designed to uncover the underlying causes of health issues.

First, they run extensive labs, going far beyond the general markers typically checked by conventional doctors. This includes an in-depth analysis of hormones, gut health, food sensitivities, and environmental toxins. This detailed lab work provides a comprehensive picture of a patient’s internal landscape.

Second, they utilize in-depth muscle testing. This hands-on technique, varied in method across practitioners, is a powerful diagnostic tool. Dr. Francl explained that she can identify what is burdening specific bodily systems by testing indicator muscles, often the shoulder, and observing their strength or weakness in response to different organs and “stressor kits” (vials of frequencies representing various substances).

“Let’s say the thyroid is stressed because of a virus,” she illustrated, “we utilize the muscle response testing and nutrition response testing, where we use the body to determine the root cause of the patient’s problem. Then we give recommendations of what therapies will help best to combat the virus.”

These methods help pinpoint the root cause, whether it is a virus, bacteria, parasite, or food sensitivity impacting organ function.

The third pillar is the NES scan, a bioenergetic scan rooted in 30 years of biophysics research. This technology provides a comprehensive overview of the body’s organs, meridians, environmental toxins, and nutritional status. By combining the data from labs, muscle testing, and the NES scan, Dr. Francl compiles a detailed intake that forms the basis of each patient’s personalized healing program. They also use a heart graph in the office to analyze heart valve function and assess organ drainage, providing even more insight.

BEYOND THE DIAGNOSIS: THE IMPORTANCE OF DIET AND LIFESTYLE

Dr. Francl emphasized that diet and exercise are not merely supplementary but fundamental to their programs.

“I see inactivity as an underlying problem a lot,” she stated, adding, “You can’t out-supplement a bad diet.”

Many patients arrive unsure of what or how to eat. Her daughter Keegan, a Natural Health Practitioner at Alternative Answers, plays a key role in guiding patients through diet, lifestyle, and exercise adjustments. Dr. Francl stressed the importance of tailoring these plans to individual needs, recognizing that “not everybody is going to feel good eating carbs, not everybody is going to feel good on a keto or carbless diet. You have to tailor exercise and nutrition to each individual’s body.”

THE REWARDING WORK OF UNCOVERING ROOT CAUSES

When asked about her favorite aspect of her practice, Dr. Francl pinpointed muscle testing.

“The body can really tell you what’s going on through muscle testing,” she mused. “It’s like putting pieces of the puzzle together for me. It’s exciting to see what comes up and how the body can heal itself with the right support.”

The individuality of each case, where “less is more” for some and the opposite for others, adds to the fascination. Ultimately, the joy of seeing people get better and feel better truly drives her.

She shared powerful stories of patients who experienced significant pain relief after addressing underlying issues like Epstein-Barr virus and strep bacteria. One male farmer, initially struggling to walk due to systemic pain, became pain-free after his program. Another current patient, who had been hospitalized due to adverse reactions to antidepressants and was in severe pain, made a massive, quick turnaround

with her pain almost entirely gone within two months of starting her program. Dr. Francl also recounted cases of Lyme disease patients who, previously misdiagnosed, found complete resolution of their pain and fatigue under her care.

Dr. Francl noted that incorrect diagnoses happen more than you know.

She explained, “Pain is just the body’s way of saying there’s something wrong. It’s our check engine light that comes on, like in a car.”

Her approach is to move beyond simply labeling symptoms and instead, find out why the symptoms are happening. If something is a stressor on the body, the root cause needs to be found and addressed to help the body heal.

FUTURE ASPIRATIONS: GROWTH, EDUCATION, AND HOPE

Looking ahead, Dr. Francl envisions significant growth for Alternative Answers. She’s already brought on an online practitioner, and her medical assistant is training to become another practitioner.

“I see a lot of growth,” she affirmed, expressing a desire to add even more natural medicine practitioners. “A more personal goal of mine includes writing a book, with the aim of giving people hope that practical tools can actually change our health.”

Currently, Alternative Answers operates from a single clinic, offering both brick-and-mortar and virtual services, providing flexibility for their patients. Dr. Francl’s dedication to expanding access to natural, root-cause-focused healthcare promises a future where more individuals can discover their own paths to holistic well-being. To learn more, visit her website at https://www.alternativeanswersne.com/.

Hey there,

We’re Strive Compounding Pharmacy.

And we’re striving for the personal side of healthcare. You know, Personal Pharma over Big Pharma. People over profits. Well care over sick care. Baseline shifting pharmaceuticals over symptom-covering ones.

We help thousands of healthcare providers just like you write tailored prescriptions so your patients can become the healthiest version of themselves.

Whether you have experience prescribing compounds or not, we make it easy to get started, get confident, and get support.

By joining our network of providers, you’re making medicine more personal—exactly how it should be.

It’s time to Strive Forward, together.

Collagen for Healthy Younger Looking Skin

Have you ever noticed that some women’s skin looks so radiant and youthful? Is this due to genetics? It could be, but not everyone is blessed with great genes. What other factors play a role in maintaining healthy, youthful skin as we age? Several key factors include diet, lifestyle, skin care regimen, and collagen.

Genetics: Some individuals naturally produce and maintain collagen better than others.

Healthy Diet: Eating collagen-rich foods, antioxidants, and healthy fats supports skin elasticity and hydration.

Consistent Skin Routine: Regular use of moisturizers, serums, sunscreens, and anti-aging ingredients like retinol and vitamin C helps protect and repair skin.

Hydration: Drinking plenty of water keeps skin plump and radiant.

Sun Protection: Avoiding excessive sun exposure and using sunscreen prevents premature aging and collagen breakdown.

Avoiding Harmful Habits: Not smoking and limiting sugar intake help preserve collagen and prevent skin damage.

Collagen Supplementation: Some women take collagen supplements to support skin health and reduce wrinkles.

WHAT EXACTLY IS COLLAGEN?

Collagen is the most abundant protein in the human body, playing a crucial role in maintaining the structural integrity of various tissues, including skin, bones, muscles, tendons, and ligaments. It acts as a scaffold, providing strength and elasticity to the body’s connective tissues. This natural protein type makes up more than 80% of the skin on our bodies. It is a compound made up of long chains of amino acids, just like all other proteins. The best way to understand collagen is to picture a Jell-O salad.

Gelatin, the main ingredient in Jell-O, forms from cooking and drying collagen. You can imagine that it plays a similar role in our bodies as Jell-O, primarily providing our skin with plumpness and shine. Collagen consumption can increase skin elasticity and help your body’s skin repair process, encouraging your body to form new collagen.

The body naturally produces collagen by breaking down dietary proteins into amino acids, which are then used to synthesize new collagen fibers. This process relies on key nutrients such as vitamin C, proline, glycine, and copper. Unfortunately, collagen declines with age, leading to visible signs of aging, such as wrinkles, sagging skin, and joint discomfort.

BENEFITS OF COLLAGEN

How do we leverage these health benefits? It's all about recognizing what lifestyle choices benefit you versus damaging you. Things like age, too much sun, being overweight, and drugs or alcohol suppress some natural production of collagen in your body. On the other hand, eating a healthy, balanced diet, staying hydrated, and decreasing stress will only increase collagen production.

When it comes to the benefits of collagen, most people immediately think of skin, hair, and nails, but the benefits cover so much more, including:

Skin Health: Enhances elasticity, hydration, and overall appearance by reducing wrinkles and dryness, promoting a youthful complexion.

Joint Support: Reduces joint pain and stiffness by improving cartilage integrity, potentially benefiting individuals with osteoarthritis or joint degeneration.

Bone Strength: Helps maintain bone density and reduces the risk of osteoporosis, supporting overall skeletal health.

Muscle Mass: Supports muscle growth and recovery, particularly when combined with strength training, making it beneficial for aging adults and athletes.

Gut Health: Aids in gut lining repair, potentially benefiting conditions like leaky gut syndrome and improving digestive health.

Hair and Nail Health: Promotes stronger hair growth and reduces nail brittleness, contributing to overall aesthetic wellness.

Heart Health: Some research suggests collagen may help support arterial structure and flexibility, reducing the risk of heart-related conditions.

FACTORS THAT DECREASE COLLAGEN LEVELS

Unfortunately, when it comes to aging, there’s nothing we can do to combat that. That’s why having a handle on what we can control is so important. Several lifestyle and environmental factors can accelerate collagen breakdown in our bodies. Factors that decrease our collagen levels include:

Aging: As we age, collagen production has a natural decline.

Excessive Sun Exposure: Harmful UV rays damage collagen fibers.

Smoking: Reduces collagen synthesis and leads to premature aging.

High Sugar Intake: Excess sugar can cause glycation, which weakens collagen fibers.

WHAT ARE THE SOURCES OF COLLAGEN?

Collagen can be obtained from both natural dietary sources and supplements. Consuming a diet rich in collagen components is a must, but how you go about that is up to you. The easiest way to boost your collagen naturally is to eat foods high in vitamin C and antioxidants like brightly colored fruits and vegetables. Let’s take a closer look at these sources.

Animal-Based Sources: Bone broth, chicken skin, fish skin, beef, pork, and connective tissues.

A word of caution regarding chicken skin: most of the fat in the chicken skin is unsaturated fat, which can be beneficial for heart health WHEN consumed in moderation. However, it also contains saturated fat, which, in excess, may contribute to higher cholesterol levels and an increased risk of heart disease.

As a bodybuilder, I eat chicken almost daily without the skin. I also have issues with high cholesterol as a result of my thyroid cancer. My recommendation

is to weigh the pros and cons. You certainly don’t want to address one issue (increase your collagen levels) at the expense of creating a different problem (high cholesterol).

Eggs: Egg whites, especially, contain proline, a key amino acid for collagen synthesis.

Dairy Products: While not direct collagen sources, they provide proteins and nutrients that support collagen production.

Supplemental collagen is always an option. Collagen drinks and powders have been shown to have antioxidant properties, and antioxidants protect skin by limiting the production of free radicals, which can damage skin cells. It’s what gives essential power to tissues and organs, with the elastin supplying the stretching capabilities.

Powdered collagen supplements can be easily added to smoothies and soups to give you that extra collagen boost. Every morning without fail, I add a scoop of collagen to my BCAAs. It’s that simple and doesn’t change the drink's flavor when you add the collagen supplement. Organic and grass-fed animals are recommended when searching for collagen supplements. Another option is collagen in capsule form. The body easily absorbs both options.

HOW TO BOOST COLLAGEN PRODUCTION

We previously stated that our collagen levels decline as we age. You may see signs of aging or want to stay ahead of the decrease by boosting your collagen intake. To maintain healthy collagen levels, consider these strategies:

Consume Collagen-Rich Foods: Include bone broth, fish, and eggs in your diet. Salmon is an excellent source of collagen. Eating salmon with the skin intact can help

boost collagen intake. Additionally, salmon contains omega-3 fatty acids, which support skin hydration and elasticity.

Take Collagen Supplements: Hydrolyzed collagen is an effective way to boost your levels. Hydrolyzed collagen, also known as collagen peptides, is a form of collagen that has been broken down into smaller amino acid chains through a process called hydrolysis. This makes it easier for our body to absorb and use compared to regular collagen. Personally, I take a hydrolyzed collagen peptide. It’s important to note that non-hydrolyzed collagen supplements are less common and are primarily targeted toward joint health rather than skin or hair benefits.

Take Collagen Supplements: Hydrolyzed collagen is an effective way to boost your levels.

Increase Vitamin C Intake: Found in citrus fruits, bell peppers, and leafy greens, vitamin C is essential for collagen synthesis. You can also take a vitamin C supplement.

Stay Hydrated: Water helps maintain skin elasticity and can reduce dryness and wrinkles. I drink a gallon of water, but am also highly active with strength training and daily cardio. You may not need to drink a gallon. Listen to your body and drink when you’re thirsty. Remember, drinking water has many benefits.

Protect Your Skin: Use sunscreen to prevent UV-induced collagen breakdown. This is an important step that is often

overlooked. Why go through all the steps to boost your collagen levels if you don’t protect your skin from the sun's harmful rays?

EFFECTIVENESS OF COLLAGEN SUPPLEMENTS

Higher Absorption Rate: Hydrolyzed collagen (also known as collagen peptide) is broken down into smaller amino acids, making it easier for the body to absorb and utilize.

Presence of Vitamin C: Collagen synthesis requires vitamin C, so pairing supplements with vitamin C-rich foods enhances the effectiveness.

Convenience: Supplements provide a concentrated source of collagen without the need for food preparation. Most studies show benefits after 8-12 weeks of regular use.

Specific Benefits: Some supplements are fortified with additional nutrients like vitamin C, hyaluronic acid, and zinc, enhancing collagen synthesis.

Scientific Support: Studies suggest collagen supplements improve skin elasticity, hydration, joint health, and muscle recovery.

EFFECTIVENESS OF NATURAL SOURCES

Whole Nutrients: Foods rich in collagen, such as bone broth, fish, and egg whites, provide additional nutrients that support overall health.

Slower Absorption: Natural collagen requires digestion and breakdown before the body can use it for collagen synthesis.

More Comprehensive Benefits: Consuming a collagen-rich diet often includes other essential vitamins, minerals, and proteins that promote overall well-being.

WHICH IS BETTER?

Collagen supplementation and natural sources both contribute to collagen production, but they differ in effectiveness based on absorption, bioavailability, and overall health benefits. Therefore, when it comes to collagen sources, it’s not a question of one or the other; instead, you should be looking for a combination of both sources.

• For faster results, collagen supplements are more effective due to higher bioavailability.

• For long-term health, a balanced diet with natural collagen sources supports overall well-being and provides a broader range of nutrients.

WHO SHOULD TAKE COLLAGEN?

Collagen supplements are generally safe for most people and can provide significant health benefits. However, they may not be necessary for everyone.

Recommended for:

• Individuals experiencing joint pain and reduced mobility.

• Those looking to improve skin health and elasticity.

• Athletes and individuals engaging in tense physical activity.

• People recovering from injuries or surgeries involving connective tissues.

Not Recommended for:

• Individuals with allergies to collagen sources (e.g., fish, eggs, or beef)

• Those with dietary restrictions that prohibit animalderived products.

• People with specific medical conditions should consult a healthcare provider before supplementation is advised.

CONCLUSION

Collagen is an essential protein that supports the body’s structure and overall health. While natural production declines with age, maintaining a healthy diet, using supplements, and adopting a collagen-friendly lifestyle can help preserve and boost collagen levels, promoting youthful skin, strong joints, and overall vitality.

Collagen is generally safe and beneficial for most people, but it may not be necessary or recommended for everyone. Individuals with specific dietary restrictions, allergies (such as fish or egg allergies), or medical conditions should consult a healthcare provider before taking collagen supplements. Additionally, while collagen supports skin, joint, and bone health, those with balanced diets rich in protein and collagenboosting nutrients may not need additional supplementation.

Because Small Tails Don’t Tell Big Stories

Wild caught by hand. Delivered to your Wild caught by hand. Delivered to your door. Ready to steal the show. door. Ready to steal the show.

When it comes to dinner, subtlety has its place. When it comes to dinner, subtlety has its place.

This is not that place. This is not that place.

This is the kind of lobster tail that earns silence at the This is the kind of lobster tail that earns silence at the table—followed by applause. table followed by applause.

Caught by hand off the coast of the Nor th Atlantic.

Caught by hand off the coast of the Nor th Atlantic. Flash-frozen the day it's landed. Flash-frozen the day it's landed. We don’t

Dr. Robert Martino is not your typical dentist. While he still carries the title and possesses the deep understanding of oral health that comes with decades of experience in the field, his role has evolved. Today, he’s the CEO, the “takes-care-of-all-thecrap guy,” as he jokingly put it, behind a thriving multioffice dental practice and the innovative oral care product, OraCare. His journey, sparked by a simple observation during a high school romance and fueled by relentless curiosity, has led him down a path of entrepreneurial success and a genuine desire to elevate the standard of patient care.

A true entrepreneur, Dr. Martino has taken what he learned in dentistry and applied it to other endeavors. He is the founder and CEO of EASW, an international aircraft maintenance company. He also runs a statewide marketing company and is the founder of Freedom Day USA, a national charity that gives back to veterans, military members, and their families. Although he is very proud of being a dentist, it was just the start.

FROM SMALL-TOWN ROOTS TO MULTI-PRACTICE LEADERSHIP

Dr. Martino's entry into dentistry wasn’t a lifelong aspiration rooted in family tradition. Instead, it was sparked by the seemingly straightforward life of his high school girlfriend’s father, a dentist.

“He would come home like clockwork at the end of the day after working in his dental practice, and I liked that,” Dr. Martino recalled with a chuckle, acknowledging the naïve simplicity of his initial perception.

After dental school, he always intended to return to his hometown in central West Virginia. Starting with a single office that quickly became insufficient for a growing partnership, Dr. Martino and his partner strategically expanded, eventually building a network of seven thriving dental practices. For the past two decades, however, Dr. Martino’s focus has shifted from direct patient care to the operational and strategic aspects of the business.

"I haven't seen patients in twenty years. I’ve shifted to

DR. ROBERT MARTINO

REVOLUTIONIZING ORAL HEALTH AND BEYOND

fully focusing on my responsibilities as CEO," he explained, highlighting his role in managing HR, finances, and the myriad details that allow his clinical team to focus solely on providing exceptional patient care.

THE GENESIS OF ORACARE: A SOLUTION BORN FROM FRUSTRATION

Dr. Martino’s innovative spirit wasn’t confined to practice management. His foray into product development led to the creation of OraCare, driven by a desire to provide a more effective and patient-friendly solution.

“We didn’t simply create a product and go to market. We wanted to produce beneficial products for dentists to use and recommend to their patients. We’ve done significant research, identified the most pressing dental needs, and formulated our products to address those needs,” Dr. Martino explained, highlighting their intentional and science-backed approach to formulation.

THE SCIENCE BEHIND ORACARE: BEYOND MECHANICAL CLEANING

OraCare distinguishes itself from traditional mouthwashes through its unique mechanism of action. Dr. Martino emphasized that it's not just about rinsing—it's about therapeutic intervention at the microbial level. The key ingredient, chlorine dioxide, is what sets OraCare apart.

"Our interest in chlorine dioxide came from the water maintenance industry. They had been using chlorine dioxide for years because of its combined safety and effectiveness against biofilm, as well as its ability to kill bacteria, viruses, and fungi. We realized we were fighting a similar enemy. They had figured out how to manage it, and we decided this would be what we used as well," Dr. Martino explained.

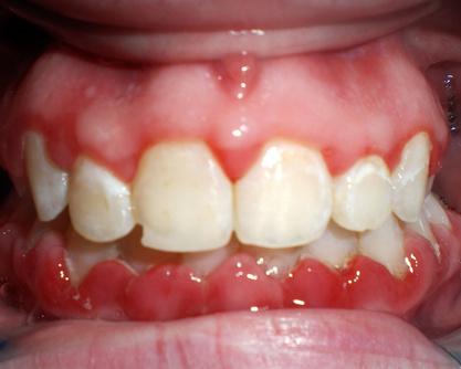
Biofilm is notoriously difficult to eliminate. It is composed of a sticky matrix of bacteria, viruses, and fungi, more commonly known as dental plaque, and is the root cause of many oral health issues, including cavities, gum disease, and bad breath. Traditional brushing and flossing are mechanical methods of plaque removal, which Dr. Martino noted have limitations.

"You have to think of it as mechanical—physically trying to take the plaque off the teeth and gums with flossing and brushing. It works to an extent. However, if it truly worked the way we wanted, we wouldn't have seventy percent of older adults in the U.S. with some form of periodontal disease. Brushing and flossing don’t work well on their own. That’s where our mouthwash comes in. OraCare's chlorine dioxide actively breaks down this biofilm and eliminates the bacteria, viruses, and fungi within the mouth," he stated, underscoring the need for a more comprehensive approach.

Clinically, OraCare has helped millions of people reduce plaque and fight periodontal disease, candidiasis, dry mouth, bad breath, and many other oral conditions. Studies have shown that OraCare reduces biofilm 112 times more effectively than brushing alone. OraCare is the only mouthwash that has both clinical evidence (before-and-

after patient results) and scientific evidence (studies) to support its effectiveness.

Furthermore, OraCare tackles bad breath at its source by eliminating volatile sulfur compounds (VSCs), the metabolic byproducts of bacteria that cause odor.

EDUCATING PROFESSIONALS AND ELEVATING PATIENT CARE

Dr. Martino's vision for OraCare extends beyond selling a product. His primary goal is to educate dental professionals and elevate the standard of oral care for all patients by emphasizing the essential role of rinsing.

"The problem isn't whether you use our product or not; it's whether you rinse at all. One of our goals is to educate dental professionals so that they understand the importance of rinsing as part of every patient’s home care routine. Rinsing is simple and can resolve a myriad of periodontal issues," he stated passionately.

Though confident in OraCare’s superiority, his overarching message is clear: any rinse is better than none. To encourage adoption among dental professionals, Dr. Martino emphasized the importance of personal experience with the product.

"The number one thing I always say is: don’t recommend products you don’t use. If dental professionals are going to carry our rinses and recommend them in their practices, I want them to use the product themselves," he asserted, highlighting that genuine recommendation stems from personal conviction.

He also emphasized the inherent value that OraCare brings to dental practices, enabling providers to offer a superior product directly to patients while generating revenue. Ultimately, however, Dr. Martino’s core motivation remains the patient's wellbeing.

"I think dentists should use OraCare because we should always do what’s best for the patient. Whatever I’m offering you is the same product I offer my family. You want to offer the best, and OraCare is the best rinse on the market," he concluded, pointing out the ethical responsibility to provide the highest standard of care.

GIVING BACK AS A CORE VALUE OF ENTREPRENEURSHIP

One of the biggest surprises, even to Dr. Martino, was OraCare’s remarkable efficacy in managing oral complications arising from cancer treatment. The discovery came serendipitously, as patients undergoing chemotherapy and radiation began reporting significant relief from dry mouth, mouth sores, and fungal infections.

This led to the creation of OraCare Cares, a charitable initiative through which OraCare donates its rinse to cancer patients in need.

"OraCare Cares exists because I believe it’s our duty to help others facing one of the biggest challenges of their lives. If we can make it a little easier for them, that’s what

matters most," Dr. Martino said, reflecting his deep personal commitment to the cause. The company donates thousands of rinses each year to patients undergoing cancer treatment, and Dr. Martino hopes to donate even more.

“It does such a great job helping these patients. I want more dentists and physicians to understand how it can relieve the oral side effects caused by radiation and chemotherapy.”

Giving back has long been a theme in Dr. Martino’s life. So much so that one of his ideas became a national charity. Founded in his office in 2010, Freedom Day USA is a 501(c) (3) organization where businesses give back to veterans, active-duty military, and their families. The concept is simple: businesses dedicate one day a year to providing free services or goods to those who’ve served.

Today, Freedom Day USA is a nationwide event involving thousands of businesses and over $35 million in donated services and products. Its motto: “A Day of Free, for a Lifetime of Freedom.”

"A true entrepreneur gives back," said Dr. Martino. "I’ve been very blessed—and it’s my duty to bless others."

CONCLUDING NOTES: A LEGACY OF INNOVATION AND A VISION FOR A HEALTHIER FUTURE

Dr. Robert Martino’s journey from a young dentist in rural West Virginia to the CEO of a multi-practice dental group—and the driving force behind OraCare—is a compelling story of entrepreneurial spirit grounded in a deep commitment to patient care. His path highlights the power of keen observation, the courage to challenge convention, and the tenacity to turn frustration into innovation. The creation of OraCare wasn’t a mere business venture; it was a response to a gap in the standard of care and a mission to provide patients with a truly effective solution for oral health.

The science behind OraCare, particularly the safe and potent use of chlorine dioxide, marks a paradigm shift in how oral hygiene is understood and practiced. By targeting the complex biofilm that traditional methods often leave behind, OraCare offers a therapeutic benefit that far surpasses mechanical cleaning alone. Its proven ability to reduce plaque, eliminate bad breath, fight periodontal disease, and ease the oral side effects of cancer treatment reflects both the efficacy of the formula and the thoughtful science behind it.

Dr. Martino’s leadership is refreshingly candid and deeply patient-focused. His insistence that dental professionals try OraCare themselves before recommending it speaks to his integrity and belief in the product. His broader commitment to educating practitioners about the critical importance of rinsing shows a desire to improve outcomes across the board, not just for his own brand. This combination of ethical leadership and strategic insight is at the core of OraCare’s success.

Beyond oral care, Dr. Martino’s work with cancer patients through OraCare Cares reveals the heart of a compassionate innovator. What began as a commercial product evolved into a meaningful source of relief for those enduring chemotherapy and radiation. His drive to expand this effort, even without direct profit, underscores his values: empathy, service, and a responsibility to give back.

Looking ahead, Dr. Martino envisions continued growth for OraCare—not only in professional dentistry but also potentially in the consumer space. His entrepreneurial energy, evident in his numerous ventures, suggests that his influence will extend beyond the dental field. At its core, however, his legacy will be defined by his drive to improve lives through science-based innovation. Dr. Martino has done more than build successful businesses; he has helped reshape how oral care is delivered and has proven how one person can elevate an entire industry.

Despite his many accomplishments and milestone birthdays, retirement isn’t in Dr. Martino’s plans. “Retire? Never. Why would I retire when I enjoy what I do?” he said, smiling.

OraCare combats multiple pathogens, making it suitable for various patient issues. You’ll see the difference when your patients use the right rinse. Find out more at www.OraCareProducts.com.

FROM RADIOLOGY TO REJUVENATION

DR. LINDA HARKAVY'S PASSIONATE PURSUIT OF WELLNESS

Dr. Linda Harkavy is a physician with a remarkable journey, transitioning from a pioneering career in radiology to opening a cutting-edge wellness and aesthetics practice. Her story is one of lifelong learning, unwavering dedication, and a profound desire to shift the paradigm of healthcare from disease management to proactive health.

Growing up on Long Island, Dr. Harkavy was inspired by her father, a beloved internist who served as her mentor. She vividly recalls a childhood experience that set her on her path.

"When I was four, he would sometimes take me on house calls with him. Someone once said to me, ‘Oh, you're gonna be your Daddy's nurse when you grow up.’ I remember thinking, ‘No way. I'm going to be a doctor, like he is,” she shared.

This early determination led her to Brown University, followed by New York Medical College, an internship at Cornell Medical Center, and a residency and fellowship at NYU, where she made history as the first woman to serve as Chief Resident in Radiology for many years.

A CAREER DEFINED BY FIRSTS AND FORWARD THINKING

Dr. Harkavy's professional life has been marked by innovation and leadership. After her academic pursuits, she ventured into private practice. In 1992, she opened Sunrise Medical Imaging in Valley Stream, Long Island.

As she recalled, this was a significant step; "I was pretty much the first practice on the East Coast to have an open MRI. That was an exciting and crucial step."

She ran this successful practice for nearly two decades before the evolving landscape of outpatient radiology led her to merge with an orthopedic group. Eventually, with the onset of COVID-19, she decided to retire.

However, retirement proved to be a temporary state for Dr. Harkavy. After two and a half years, she realized being retired didn’t work for her as she felt a need to be doing something.

This longing to contribute stemmed from a long-standing interest in integrative medicine, a passion ignited in 1993 when she took the first course on integrative medicine with Andrew Weil, widely regarded as the father of integrative medicine. This deep-seated interest, coupled with the freedom afforded by her later work, allowed her to pursue numerous courses in hormone replacement, peptides, integrated medicine, and functional medicine.

"Integrative medicine was always a passion of mine that I always came back to through the years," she stated.

FORGING A NEW PATH: FORM & FUNCTION AESTHETICS AND WELLNESS

At the age of 69, Dr. Harkavy embarked on a new chapter, driven by a desire to focus on patient health instead of patient disease. This vision materialized in the opening of Form & Function

Aesthetics and Wellness. While her practice offers aesthetic services, her true passion lies in wellness, particularly in weight loss, hormone replacement, and overall well-being.

Dr. Harkavy's extensive experience as a radiologist has made her a little bit of a device junkie, leading her to equip her practice with state-of-the-art technology. She highlighted the BTL devices geared towards wellness, specifically praising the EMSELLA, an amazing and completely noninvasive, comfortable treatment for incontinence and sexual function, as well as the EMSCULPT, which is amazing for building muscle.

A recent and exciting addition to her practice is the ExoMind, a device based on TMS (Transcranial Magnetic Stimulation), a 40-year-old technology initially developed for treating major depression, re-engineered for mental and emotional wellness.

She raved about the results, saying, "My practice has been treating patients who have experienced fantastic results. I’ve had patients tell me they’ve slept for the first time in years, they’re no longer in a reactive state, and don't have an urge to binge. It's a really great device."

When asked about her favorite aspect of her work, Dr. Harkavy enthusiastically pointed to the ExoMind. She also expressed a deep satisfaction with hormone replacement therapy, especially for retired and disabled first responders.

She explained her connection with this demographic, stating, "I love working with retired first responders on weight loss and hormone replacement therapy, because they're so used to being active and feeling great until they retire. Then they get out of those active routines and have difficulty returning to a healthy place physically."

She finds it incredibly rewarding to help them regain their "Mojo."

A PARADIGM SHIFT IN HEALTHCARE

Dr. Harkavy's decision to pivot her career was not sudden; it was the culmination of years of interest and a growing conviction that healthcare needs a fundamental change.

"It was something I've always been interested in. I've been taking courses in integrative medicine, functional medicine, aesthetics, peptides, and hormones for years, not knowing exactly how I would use them. Still, I had some idea in the back of my mind," she explained.

She also acknowledged a shift in her feelings towards radiology, explaining, "I really loved radiology when I had an office and patients came in, and I could talk with other doctors. That profession now has you sitting in a darkroom behind a computer, not interacting directly with anyone. That wasn't for me anymore." Her desire for human connection and interaction now drives her work.

The COVID-19 pandemic further solidified her belief in the need for a paradigm shift in healthcare.

“The health care industry has been so focused on crisis management and only taking care of people once they get sick. I wanted to do something to take care of people so they don't get sick. Then they get to experience what it feels like to be healthy," she asserted.

Dr. Harkavy views her practice as a vital part of this shift, emphasizing prevention and early intervention to keep people healthy from a young age.

EMPOWERING CLIENTS THROUGH COMPREHENSIVE WELLNESS

Dr. Harkavy actively promotes diet and exercise to all her clients. She is even developing an AI app for nutrition that will provide personalized meal plans based on her philosophies, offering recipes, ingredients, and even ordering capabilities. Her future aspirations include developing functional exercise programs to maximize health and strength in minimal time, a concept she and her husband, an orthopedic surgeon, often dream about doing together.

She vividly described the impact she makes on her clients, citing the example of a 57-yearold retired fireman who has lost his vitality, struggling with weight gain, injuries, and low testosterone. Dr. Harkavy currently works with him on weight loss, hormone balancing, and lifestyle changes, helping him find alternative exercises and encouraging social interaction.

She recalled one client's enthusiastic response to the ExoMind device, saying they feel refreshed and their brain fog is finally going away.

She also highlighted the satisfaction of helping clients, such as a 65-year-old woman preparing for her daughter's wedding. Dr. Harkavy has helped improve her skin and overall appearance through treatments like plasma, significantly boosting her confidence. As she said, "patients use these treatment protocols and feel like a new person."

A WELCOMING AND MODERN PRACTICE

Form & Function Aesthetics and Wellness, which celebrated its grand opening on July 9th, 2024, is located in East Meadow, Long Island, serving a "socio-economically mixed area." The practice boasts a beautiful, clean, and modern-looking space, with four examining rooms and a wide range of wellness devices. The positive feedback from clients, who often comment on the welcoming atmosphere and friendly staff, is a source of pride for Dr. Harkavy. A sign on her wall encapsulates her philosophy: "It seems impossible until it's done."

Dr. Harkavy emphasized her accessibility to clients. "I talk to everybody. I'm very accessible, whether by email or a quick call. I like my patients knowing I’m here for them to help in any way I can," she explained.

While some treatments are monthly, like weight loss and hormone therapy, others, like device treatments, are often a six-week course followed by a two-month check-up. Injectables and fillers have varying frequencies, but she noted, "once people come in, they see all the other treatments we offer and are usually curious to see how they can help their wellness journey."

EDUCATION, EMPOWERMENT, AND THE FIVE PILLARS OF WELLNESS

Dr. Harkavy is deeply committed to educating and empowering her clients.

"So much of what we do is about empowering our patients through educating them on healthy lifestyle changes and beyond,” she stated. The whole philosophy of my practice is to implement treatments and improve lifestyle choices to help people's bodies heal themselves."

She believes in providing the body with the resources it needs to be optimal, preferring natural approaches over an overreliance on pharmaceuticals. While acknowledging the place for certain medications, she generally aims to stay away from them, focusing on helping people be as healthy as possible based on their own bodies.

Dr. Harkavy believes that since the COVID-19 pandemic, people are seeking a proactive approach to health.

She distilled her wellness philosophy into five key pillars: "It comes down to good nutrition, moderate exercise, sleep, stress management, and community—having friends and being social." These, she asserted, are the five pillars of wellness.

Beyond her professional life, Dr. Harkavy enjoys hiking and being outdoors, finding her happy place in nature. She is also the proud mother of two accomplished daughters, one of whom works for Google and the other for a consulting firm. Her dedication to her family and her renewed passion for helping others achieve optimal health underscore Dr. Linda Harkavy's remarkable and inspiring journey.

To learn more about her practice, Form & Function, visit her website at https:// formandfunctionaesthetics.com/.

COFFEE THAT HEALS COFFEE THAT HEALS

MARKETING THAT GROWS PRACTICES

EXPERTS IN DENTAL + MEDICAL DIGITAL STRATEGY

From branding to SEO to social media, the NOA Firm crafts powerful strategies tailored to healthcare professionals. Led by Aaron Perez trusted by top doctors nationwide.

Gratitude AND ITS BENEFITS

Gratitude is more than a feel-good emotion or a polite response. It’s a mindset, a way of life, and a daily practice that holds the power to transform your world from the inside out. In the midst of life’s challenges, distractions, and ambitions, gratitude calls us back to the present, inviting us to recognize the blessings we already have. While it may seem simple, gratitude can have a profound impact on your mental and physical health, as well as your relationships and overall well-being.

Mental and Emotional Health

When it comes to mental health, gratitude works like a natural antidepressant. Practicing gratitude shifts your focus from what’s missing to what’s already good in your life. This perspective shift can help quiet anxiety, reduce stress, and lift symptoms of depression. Each time you express gratitude, your brain releases feel-good chemicals, such as dopamine and serotonin, neurotransmitters that boost your mood and foster emotional balance.

Gratitude encourages a more optimistic outlook on life. It teaches your brain to look for the positive, even in difficult situations. People who regularly practice gratitude are more resilient; they bounce back faster from setbacks and tend to handle adversity with more grace. Over time, gratitude rewires your brain to become more solution-focused and less prone to negativity, making it a powerful tool in maintaining mental wellness.

Physical Health

Believe it or not, gratitude can also influence your physical health. People who are more grateful tend to engage in healthier behaviors. They’re more likely to eat nutritious foods, stay physically active, and attend regular health checkups. This proactive approach to self-care often leads to fewer health issues and a better quality of life.

Gratitude lowers levels of the stress hormone cortisol. When your stress levels go down, your body benefits significantly. Inflammation decreases, the immune system becomes more efficient, and you feel more energized. You’re less likely to experience chronic fatigue,

headaches, or digestive problems. In short, gratitude not only makes you feel better emotionally, but it also helps your body function more effectively.

After my cancer diagnosis, practicing gratitude became a powerful source of healing and strength. Instead of clinging to fear, anger, or the question “Why me?”, I made a conscious choice to release those emotions with gratitude. I thanked my body for fighting, my doctors for their care, and even the diagnosis itself for opening my eyes to what truly matters. Letting go with appreciation helped me stop resisting the reality I faced and start embracing each day with renewed purpose. It was through this shift—from fear to thankfulness—that I found peace in uncertainty and developed resilience in the face of adversity. Gratitude didn’t change my diagnosis, but it transformed my mindset, and that made all the difference.

Sleep: The Foundation of Well-being

A good night’s sleep is one of the cornerstones of a healthy life, and gratitude plays a surprising role in improving it. Many people struggle with falling or staying asleep because of racing thoughts or anxiety. Practicing gratitude before bed by writing in a gratitude journal or mentally listing what you’re thankful for can create a sense of peace that eases your mind into restful sleep.

When your mind is focused on what’s good rather than what’s stressful, your nervous system calms down. This results in falling asleep faster and enjoying deeper, more restorative rest. People who practice gratitude tend to sleep longer and wake up feeling more refreshed. That energy boost carries over into your day, helping you stay focused, positive, and productive throughout the day.

Heart and Cardiovascular Health

Your heart responds not just to what you eat or how much you exercise, but also to your emotional state. Chronic stress and negative emotions can increase your risk of high blood pressure, heart disease, and stroke. Gratitude acts as a natural counterbalance to these harmful effects.

Grateful individuals typically have lower blood pressure and better heart rate variability, which are key indicators of cardiovascular health. By reducing stress and encouraging relaxation, gratitude helps your heart work more efficiently. It creates a calm, steady rhythm—literally and metaphorically. When you live from a place of appreciation, your entire cardiovascular system benefits.

Social Benefits

Gratitude strengthens relationships by encouraging kindness, empathy, and appreciation. When you take the time to acknowledge the people who support and uplift you, it creates a positive feedback loop. People feel seen, valued, and respected—and they’re more likely to respond with warmth and generosity.

In romantic relationships, gratitude increases feelings of intimacy and trust; couples who

express appreciation for each other tend to experience greater satisfaction and are more effective at resolving conflicts. In friendships, gratitude makes you a more thoughtful and giving companion. And in the workplace, grateful employees are more engaged, motivated, and loyal.

Whether it’s saying “thank you,” writing a note, or simply expressing appreciation through your actions, gratitude fosters stronger, more meaningful human connections. It also makes you more likable and trustworthy. It’s a win-win for everyone involved.

Perspective and Resilience

Gratitude doesn’t mean ignoring life’s challenges. Instead, it helps you approach them with a balanced perspective. It teaches you to find meaning even in hardship, to appreciate the growth that comes from struggle, and to recognize your inner strength. This mindset builds resilience.

When you practice gratitude regularly, you’re better equipped to manage life’s ups and downs. You’re more likely to see challenges as temporary and solvable. Gratitude reminds you that even in tough times, there’s still good to be found, whether it’s the support of a friend, a lesson learned, or simply the fact that you made it through another day.

Ways to Practice Gratitude

Gratitude doesn’t require grand gestures. Often, the most impactful practices are the simplest. Here are a few ways to incorporate gratitude into your daily routine:

• Keep a gratitude journal. Each day, write down three things you’re thankful for.

• Say thank you more often. Make it a habit to express appreciation for even the smallest things.

• Reflect before bed. Take a few minutes each night to think about what went well.

• Practice mindfulness. Be present and notice the good in your surroundings.

Over time, these small acts can lead to big changes. Gratitude becomes more than just a practice—it becomes part of who you are.

Final Thoughts

Gratitude is not about ignoring pain, pretending life is perfect, or settling for less. It’s about choosing to see the beauty, the blessings, and the kindness that exist alongside the challenges. It’s about recognizing that, even in the midst of chaos, there’s always something for which to be thankful.

When you make gratitude a daily habit, you unlock a cascade of benefits that touch every area of your life. Your mind becomes calmer. Your body grows stronger. Your relationships deepen. And your outlook on life becomes more hopeful.

So, if you’re not already practicing gratitude, start today. Take a deep breath, look around, and say “thank you.” Gratitude won’t just change your day, but it can change your life, if you allow it.

BRE ATHE NATURALLY.

BRE ATHE BET TER.

Introducing HypoNasal™ the allnatural nasal spray and rinse made with ultra-pure HOCl and Reverse Osmosis water for gentle, effective nasal care

All-Natural & Pure: Made with pharmaceutical-grade hypochlorous acid and reverse osmosis water

Clean Formula: Free of salt, preservatives, stabilizers, and f ragrances

Scientif ically Balanced:

Optimized pH 5 4–5 7 with 100–110 PPM HOCl.

Residue-Free Relief: Soothes, cleanses, and ref reshes without irritation.

Long-Lasting: Stays potent for over 12 months when properly stored

AVAILABLE NOW

HypoNasal™ Twin Pack (2 x 30 mL)

How Can Setting Boundaries Regulate Your Parasympathetic Nervous System?

By Ocean Eagle

Are you the master of your energy and boundaries? Or are you a slave to outdated relationships that you keep on life support while trying to fix and save them? Is your current career inspiring to you, or does it feel like trudging through mud as you watch the clock on the wall daily? Are the people in your life blowing wind beneath your wings, or do they feel like anchors holding you back from flying? It might surprise you that toxic people and unhealthy environments can be the cause of your lack of sleep, sexual arousal, salivation, lacrimation, urination, digestion, and stool issues. Your parasympathetic nervous system is responsible for regulating these functions during periods of rest and digestion. It is one of the three arms of the autonomic nervous system (parasympathetic, sympathetic, and enteric).

I encourage you to identify all unhealthy energies in your life that are causing you to have stress, fear, and anxiety. Knowing the source is the first step to healing yourself and improving your nervous system health. You must clear away all negative people, material possessions, and environments that block you from experiencing higher energy levels. Clearing away the dead weight that isn’t serving your highest and best good is paramount if you wish to be set free and experience true self-mastery.

You must establish boundaries in relationships with friends, coworkers, and family members whose energies can drain you. Consider the people currently occupying free space in your life or those you are supporting emotionally and financially with little to no return. And by that, I mean people who only take from you, whether it be money, time, emotions, or possessions. The deeper question is, “Why am I allowing this?” As you begin to take ownership of your choices and understand that you have been allowing people in your field who suck the life out of you, you can start to reclaim your power by setting boundaries and expressing them clearly. If people in your life don’t know how you feel, they will continue to act in ways that disturb the rhythms of your nervous system. If people will not honor your clear and reasonable boundaries, it’s time for new people.

People ask me, “How do I walk away from family members?” Easy, blood, no blood, makes no difference. Societal programming keeps us anchored to people in our families who are toxic for us to be around. We feel we owe them something, or bow down to family expectations and shame. Once you understand that you don’t owe anyone anything, you can begin to dismantle the false belief systems that keep you rooted to a family member who will never honor your boundaries and push you to be the best version of yourself. Only you can release all the toxicity blocking your true, higher calling —the reason you were born. You can attain self-regulation of the parasympathetic nervous system by practicing self-love in all aspects of your life. These practices of turning inward to find the strength to walk away from family relationships also apply to friendships. Boundaries can serve you in every aspect of your life.

Many I have worked with over the years have come to the realization that they have had friendships for decades that probably should have ended years ago. Can you think of a person like this? Someone has a victim mentality, constantly living in the problem, and expecting you to listen to their sad story. They only want time with you if you will co-sign and join in their suffering. A quick way to see who your true friends are is to stop texting or calling them for a

period of time. Do they reach out to check on you and see if you’re okay? Do they genuinely care about you? Are they there for you when times are tough? Do they possess the ability to listen and hold space for you without trying to solve or fix your problem? You know the one who always has an answer for all your problems when their own life is in shambles. They claim to know how to clean your porch when theirs is a disaster. Again, we turn the focus inward and ask, “Why am I allowing this energy vampire to stay in my life?”

Is your career serving you? If the answer is no, why do you stay in your current job? You should wake up excited about what you will create or who you will help. You can’t put a price tag on serving the passions that are within you. Humans are often driven to make money in order to create the life that society has programmed everyone to follow. Are you in your career for the money or because you truly love what you do? The “system” grabs people at a young age and implants a false sense of pleasure and purpose. I chased money and material possessions, only to realize that when I achieved all I wanted, I was still miserable. I wasn’t sleeping through the night, my anxiety was through the roof, I had digestive issues, and I felt like I was always behind while trying to hold on to everything I had. Eventually, everything, including my marriage, stopped working for me, and I had a nervous system breakdown at age 41.

Once I began to remove everything and everyone from my life that didn’t belong there, I started getting physically, emotionally, mentally, and spiritually healthy. It took some time and a lot of courage to set the boundaries I needed to set. I stepped away from my career as a real estate broker, I divorced a wife that I was allowing to create debilitating anxiety within me, I changed my diet and recommitted to my physical wellbeing, I spent more time alone in nature, I stopped communicating with everyone on my father’s side of the family, I walked away from friendships that were built on nothing and completely one-sided, and I learned how to breathe myself back to health. I travel extensively around the world, and I have not been sick in eight years. I take no supplements and use no devices. 25 ½ years ago, I got sober, so I no longer poison my body with alcohol or any other mind-altering substances.

I’m closer with people I’ve known for less than six years

than I was with anyone in my previous 50 years, because I'm setting proper boundaries. I’m no longer programmed to believe that just because I was born into a family, I must spend time with them or allow their heavy energy into my life. There are people in life I must love from afar. I’m building a family of my choice today, and I owe nothing to anyone! No matter how much money I make, I’m going to find my source of happiness and inner peace through service to humanity. I now serve my call to love as I evolve to follow my true purpose. Healthy boundaries have set me free, and I’m the healthiest I’ve ever been in my life at age 56.

Here is an easy checklist to help you get started as you set and commit to your boundaries within your relationships, career, and other areas of life.

• Set Your Boundaries

• Hold Your Boundaries

• Recommit to Them Daily

• Make Sure Everyone in Your Life Knows Your Boundaries

• Clear Away Dead Weight

• Love From a Healed Place, Not a Wounded One

• Be the Change You Wish to See

You don’t have to continue to carry around the weight of unhealthy relationships and conditions. Setting boundaries will set you free of toxic environments and create new, healthy lifestyles!

You can connect with me through the link - https://linktr.ee/ oceaneagle1

REFERENCES AND RESOURCES

A NEW FRONTIER IN BRAIN HEALTH: AN INTERVIEW WITH DR. DAYAN GOODENOWE

Discover more about Dr. Dayan Goodenowe and his work in brain health by visiting https:// drgoodenowe.com/.

For more information, please reach out to express interest in being a potential guest on the Ageless and Timeless podcast or to be featured in the Top Doctor Magazine Ageless and Timeless column with Michele Hughes. For podcast collaborations or to have Michele Hughes on your show, please contact her at:

1. Email: themichelehughescompany@gmail.com

2. Website: www.agelessandtimeless.com

3. Instagram: @agelessandimeless

4. LinkedIn: https://www.linkedin.com/in/michele-hughes-83a3b935/

5. Facebook: https://www.facebook.com/michele.hughes.186

6. Ageless and Timeless podcast, on YouTube, iTunes, Spotify, and wherever podcasts are available.

UNLOCKING THE BODY'S INNATE HEALING: A CONVERSATION WITH DR. KERI FRANCL

1. Discover natural, root-cause-focused care with Dr. Francl, offering both in-clinic and virtual visits for your convenience. Take the next step toward holistic well-being today by visiting alternativeanswersne. com.

COLLAGEN FOR HEALTHY YOUNGER LOOKING SKIN

You can find more from Evelyn through her website or social media channels:

1. Website: EvelynFlaharty.com

2. YouTube: Evelyn Flaharty

3. YouTube: Workouts With Evelyn Flaharty

4. Instagram: ffmusclesandcurves

5. TikTok: @evelynifbbpro

6. Facebook: Evelyn Flaharty

DR. ROBERT MARTINO: REVOLUTIONIZING ORAL HEALTH AND BEYOND

1. OraCare combats multiple pathogens, making it suitable for various patient issues. You’ll see the difference when your patients use the right rinse. Find out more at www.OraCareProducts.com.

FROM RADIOLOGY TO REJUVENATION: DR. LINDA HARKAVY'S PASSIONATE PURSUIT OF WELLNESS

1. To learn more about Dr. Harkavy’s practice, Form & Function, visit her website at https://formandfunctionaesthetics.com/.

GRATITUDE AND ITS BENEFITS

1. Discover articles from Evelyn and other contributing authors by visiting our website at topdoctormagazine.com.

HOW CAN SETTING BOUNDARIES REGULATE YOUR PARASYMPATHETIC NERVOUS SYSTEM?

1. To learn more about events and retreats, or to schedule a call with Ocean Eagle, visit https://linktr. ee/oceaneagle1.

“L arge Study Links Gum Disease With Dementia”

“Periodontal disease may increase the risk of diabetes& heart disease”

“More

Evidence of Link Between Severe Gum Disease and Cancer Risk”

Clinically Proven to Reduce Biofilm 112x Better Than Brushing Alone

Inflammation in the mouth can affect the rest of the body Heart disease, Alzheimer's, pancreatic cancer and many more diseases are linked to gum disease To fight gum disease, you must fight biofilm (dental plaque) and with up to 70% of adults having some form of gum disease, brushing and flossing are not enough OraCare has been clinically proven to remove biofilm 112x better than brushing alone.

Turn static files into dynamic content formats.

Create a flipbook
Issuu converts static files into: digital portfolios, online yearbooks, online catalogs, digital photo albums and more. Sign up and create your flipbook.